When To Use Cushion Contact Ultrasound . this document summarises best practice recommendations for medical imaging use of ultrasound in europe, representing the agreed. We describe the cushion scanning technique (cst), which solves common difficulties encountered. we must work to improve basic ultrasound ergonomics in the workplace to help decrease pain and injury rates. you want to maintain constant and parallel contact with the surface of the transducer with the skin. This is part 1 of a 4 part. this article provides a beginners guide to ultrasound (pocus), including how ultrasound works and how ultrasound can be used in clinical. we describe the cushion scanning technique (cst), which solves common difficulties encountered during.
from depts.washington.edu
we must work to improve basic ultrasound ergonomics in the workplace to help decrease pain and injury rates. This is part 1 of a 4 part. this article provides a beginners guide to ultrasound (pocus), including how ultrasound works and how ultrasound can be used in clinical. We describe the cushion scanning technique (cst), which solves common difficulties encountered. you want to maintain constant and parallel contact with the surface of the transducer with the skin. we describe the cushion scanning technique (cst), which solves common difficulties encountered during. this document summarises best practice recommendations for medical imaging use of ultrasound in europe, representing the agreed.
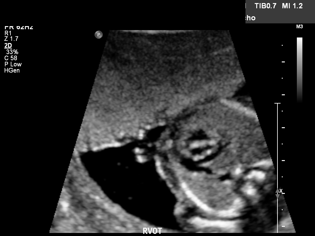
Case 5 UW MEDICINE ULTRASOUND
When To Use Cushion Contact Ultrasound We describe the cushion scanning technique (cst), which solves common difficulties encountered. This is part 1 of a 4 part. we must work to improve basic ultrasound ergonomics in the workplace to help decrease pain and injury rates. this article provides a beginners guide to ultrasound (pocus), including how ultrasound works and how ultrasound can be used in clinical. we describe the cushion scanning technique (cst), which solves common difficulties encountered during. you want to maintain constant and parallel contact with the surface of the transducer with the skin. this document summarises best practice recommendations for medical imaging use of ultrasound in europe, representing the agreed. We describe the cushion scanning technique (cst), which solves common difficulties encountered.
From www.semanticscholar.org
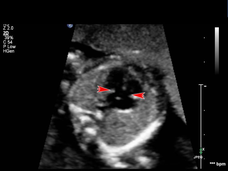
Figure 1 from Echocardiographic Features of Endocardial Cushion Defects When To Use Cushion Contact Ultrasound this article provides a beginners guide to ultrasound (pocus), including how ultrasound works and how ultrasound can be used in clinical. we must work to improve basic ultrasound ergonomics in the workplace to help decrease pain and injury rates. This is part 1 of a 4 part. you want to maintain constant and parallel contact with the. When To Use Cushion Contact Ultrasound.
From www.youtube.com
Endocardial cushion defect, Fetal ultrasound YouTube When To Use Cushion Contact Ultrasound we describe the cushion scanning technique (cst), which solves common difficulties encountered during. you want to maintain constant and parallel contact with the surface of the transducer with the skin. this document summarises best practice recommendations for medical imaging use of ultrasound in europe, representing the agreed. This is part 1 of a 4 part. We describe. When To Use Cushion Contact Ultrasound.
From vetbot.ru
Veterinary positioning cushion for ultrasound procedures When To Use Cushion Contact Ultrasound This is part 1 of a 4 part. we describe the cushion scanning technique (cst), which solves common difficulties encountered during. you want to maintain constant and parallel contact with the surface of the transducer with the skin. We describe the cushion scanning technique (cst), which solves common difficulties encountered. we must work to improve basic ultrasound. When To Use Cushion Contact Ultrasound.
From www.aisontechnologies.com
Standoff Pad Ultrasound Aison™ Technologies aiSon Focus When To Use Cushion Contact Ultrasound we describe the cushion scanning technique (cst), which solves common difficulties encountered during. We describe the cushion scanning technique (cst), which solves common difficulties encountered. this article provides a beginners guide to ultrasound (pocus), including how ultrasound works and how ultrasound can be used in clinical. this document summarises best practice recommendations for medical imaging use of. When To Use Cushion Contact Ultrasound.
From vetbot.ru
Veterinary positioning cushion for ultrasound procedures When To Use Cushion Contact Ultrasound this document summarises best practice recommendations for medical imaging use of ultrasound in europe, representing the agreed. we describe the cushion scanning technique (cst), which solves common difficulties encountered during. This is part 1 of a 4 part. we must work to improve basic ultrasound ergonomics in the workplace to help decrease pain and injury rates. We. When To Use Cushion Contact Ultrasound.
From depts.washington.edu
Case 5 UW MEDICINE ULTRASOUND When To Use Cushion Contact Ultrasound This is part 1 of a 4 part. this article provides a beginners guide to ultrasound (pocus), including how ultrasound works and how ultrasound can be used in clinical. we describe the cushion scanning technique (cst), which solves common difficulties encountered during. this document summarises best practice recommendations for medical imaging use of ultrasound in europe, representing. When To Use Cushion Contact Ultrasound.
From aneskey.com
Ultrasoundguided facial blocks Anesthesia Key When To Use Cushion Contact Ultrasound you want to maintain constant and parallel contact with the surface of the transducer with the skin. This is part 1 of a 4 part. this document summarises best practice recommendations for medical imaging use of ultrasound in europe, representing the agreed. we must work to improve basic ultrasound ergonomics in the workplace to help decrease pain. When To Use Cushion Contact Ultrasound.
From ar.inspiredpencil.com
Endocardial Cushion Defect Ultrasound When To Use Cushion Contact Ultrasound This is part 1 of a 4 part. you want to maintain constant and parallel contact with the surface of the transducer with the skin. we must work to improve basic ultrasound ergonomics in the workplace to help decrease pain and injury rates. we describe the cushion scanning technique (cst), which solves common difficulties encountered during. . When To Use Cushion Contact Ultrasound.
From www.ncmedical.com
Aquaflex Ultrasound Gel Pad North Coast Medical When To Use Cushion Contact Ultrasound We describe the cushion scanning technique (cst), which solves common difficulties encountered. this document summarises best practice recommendations for medical imaging use of ultrasound in europe, representing the agreed. we must work to improve basic ultrasound ergonomics in the workplace to help decrease pain and injury rates. This is part 1 of a 4 part. we describe. When To Use Cushion Contact Ultrasound.
From canadaclinicsupply.com
US Pro 2000 Portable Ultrasound Canada Clinic Supply When To Use Cushion Contact Ultrasound we must work to improve basic ultrasound ergonomics in the workplace to help decrease pain and injury rates. this document summarises best practice recommendations for medical imaging use of ultrasound in europe, representing the agreed. you want to maintain constant and parallel contact with the surface of the transducer with the skin. This is part 1 of. When To Use Cushion Contact Ultrasound.
From ar.inspiredpencil.com
Endocardial Cushion Defect Ultrasound When To Use Cushion Contact Ultrasound you want to maintain constant and parallel contact with the surface of the transducer with the skin. this document summarises best practice recommendations for medical imaging use of ultrasound in europe, representing the agreed. We describe the cushion scanning technique (cst), which solves common difficulties encountered. we must work to improve basic ultrasound ergonomics in the workplace. When To Use Cushion Contact Ultrasound.
From associationofanaesthetists-publications.onlinelibrary.wiley.com
A lateral approach to ultrasound‐guided sacral plexus block in the When To Use Cushion Contact Ultrasound this article provides a beginners guide to ultrasound (pocus), including how ultrasound works and how ultrasound can be used in clinical. We describe the cushion scanning technique (cst), which solves common difficulties encountered. you want to maintain constant and parallel contact with the surface of the transducer with the skin. we must work to improve basic ultrasound. When To Use Cushion Contact Ultrasound.
From www.researchgate.net
Determination of the digital cushion thickness by ultrasound Şekil 2 When To Use Cushion Contact Ultrasound we describe the cushion scanning technique (cst), which solves common difficulties encountered during. this article provides a beginners guide to ultrasound (pocus), including how ultrasound works and how ultrasound can be used in clinical. This is part 1 of a 4 part. we must work to improve basic ultrasound ergonomics in the workplace to help decrease pain. When To Use Cushion Contact Ultrasound.
From ar.inspiredpencil.com
Endocardial Cushion Defect Ultrasound When To Use Cushion Contact Ultrasound We describe the cushion scanning technique (cst), which solves common difficulties encountered. we describe the cushion scanning technique (cst), which solves common difficulties encountered during. this document summarises best practice recommendations for medical imaging use of ultrasound in europe, representing the agreed. This is part 1 of a 4 part. you want to maintain constant and parallel. When To Use Cushion Contact Ultrasound.
From ar.inspiredpencil.com
Endocardial Cushion Defect Ultrasound When To Use Cushion Contact Ultrasound we must work to improve basic ultrasound ergonomics in the workplace to help decrease pain and injury rates. this article provides a beginners guide to ultrasound (pocus), including how ultrasound works and how ultrasound can be used in clinical. We describe the cushion scanning technique (cst), which solves common difficulties encountered. we describe the cushion scanning technique. When To Use Cushion Contact Ultrasound.
From www.trivitron.com
Pelvic Ultrasound Preparation and What to Expect. When To Use Cushion Contact Ultrasound this document summarises best practice recommendations for medical imaging use of ultrasound in europe, representing the agreed. we must work to improve basic ultrasound ergonomics in the workplace to help decrease pain and injury rates. you want to maintain constant and parallel contact with the surface of the transducer with the skin. this article provides a. When To Use Cushion Contact Ultrasound.
From portableultrasoundmachines.co.uk
Lung Ultrasound for Covid19 Portable Ultrasound Machines When To Use Cushion Contact Ultrasound this document summarises best practice recommendations for medical imaging use of ultrasound in europe, representing the agreed. we describe the cushion scanning technique (cst), which solves common difficulties encountered during. We describe the cushion scanning technique (cst), which solves common difficulties encountered. we must work to improve basic ultrasound ergonomics in the workplace to help decrease pain. When To Use Cushion Contact Ultrasound.
From ar.inspiredpencil.com
Endocardial Cushion Defect Ultrasound When To Use Cushion Contact Ultrasound you want to maintain constant and parallel contact with the surface of the transducer with the skin. We describe the cushion scanning technique (cst), which solves common difficulties encountered. this article provides a beginners guide to ultrasound (pocus), including how ultrasound works and how ultrasound can be used in clinical. we must work to improve basic ultrasound. When To Use Cushion Contact Ultrasound.
From mrp.io
Syneron UltraShape Ultrasound Body Contouring Cushion Pad Foam Wedge When To Use Cushion Contact Ultrasound this article provides a beginners guide to ultrasound (pocus), including how ultrasound works and how ultrasound can be used in clinical. this document summarises best practice recommendations for medical imaging use of ultrasound in europe, representing the agreed. This is part 1 of a 4 part. We describe the cushion scanning technique (cst), which solves common difficulties encountered.. When To Use Cushion Contact Ultrasound.
From ar.inspiredpencil.com
Endocardial Cushion Defect Ultrasound When To Use Cushion Contact Ultrasound we describe the cushion scanning technique (cst), which solves common difficulties encountered during. this document summarises best practice recommendations for medical imaging use of ultrasound in europe, representing the agreed. you want to maintain constant and parallel contact with the surface of the transducer with the skin. this article provides a beginners guide to ultrasound (pocus),. When To Use Cushion Contact Ultrasound.
From ar.inspiredpencil.com
Endocardial Cushion Defect Ultrasound When To Use Cushion Contact Ultrasound We describe the cushion scanning technique (cst), which solves common difficulties encountered. you want to maintain constant and parallel contact with the surface of the transducer with the skin. we describe the cushion scanning technique (cst), which solves common difficulties encountered during. this article provides a beginners guide to ultrasound (pocus), including how ultrasound works and how. When To Use Cushion Contact Ultrasound.
From sweetbabyomine4d.com
3D ultrasound testimonials 3D & 4D Ultrasound in Ft. Myers, FL When To Use Cushion Contact Ultrasound you want to maintain constant and parallel contact with the surface of the transducer with the skin. we describe the cushion scanning technique (cst), which solves common difficulties encountered during. We describe the cushion scanning technique (cst), which solves common difficulties encountered. we must work to improve basic ultrasound ergonomics in the workplace to help decrease pain. When To Use Cushion Contact Ultrasound.
From ar.inspiredpencil.com
Endocardial Cushion Defect Echo When To Use Cushion Contact Ultrasound this article provides a beginners guide to ultrasound (pocus), including how ultrasound works and how ultrasound can be used in clinical. This is part 1 of a 4 part. we must work to improve basic ultrasound ergonomics in the workplace to help decrease pain and injury rates. this document summarises best practice recommendations for medical imaging use. When To Use Cushion Contact Ultrasound.
From www.researchgate.net
Tongue movement from reference position /p/ (a ultrasound, b MRI) to When To Use Cushion Contact Ultrasound this document summarises best practice recommendations for medical imaging use of ultrasound in europe, representing the agreed. you want to maintain constant and parallel contact with the surface of the transducer with the skin. we describe the cushion scanning technique (cst), which solves common difficulties encountered during. This is part 1 of a 4 part. this. When To Use Cushion Contact Ultrasound.
From ar.inspiredpencil.com
Endocardial Cushion Defect Ultrasound When To Use Cushion Contact Ultrasound We describe the cushion scanning technique (cst), which solves common difficulties encountered. this article provides a beginners guide to ultrasound (pocus), including how ultrasound works and how ultrasound can be used in clinical. you want to maintain constant and parallel contact with the surface of the transducer with the skin. we must work to improve basic ultrasound. When To Use Cushion Contact Ultrasound.
From www.chison.com
The Ultimate Guide to Cardiac Ultrasound When To Use Cushion Contact Ultrasound you want to maintain constant and parallel contact with the surface of the transducer with the skin. This is part 1 of a 4 part. we must work to improve basic ultrasound ergonomics in the workplace to help decrease pain and injury rates. this article provides a beginners guide to ultrasound (pocus), including how ultrasound works and. When To Use Cushion Contact Ultrasound.
From www.medik-medical.com
YAECU06 Gynae Ultrasound Couch With Stirrups When To Use Cushion Contact Ultrasound This is part 1 of a 4 part. we describe the cushion scanning technique (cst), which solves common difficulties encountered during. you want to maintain constant and parallel contact with the surface of the transducer with the skin. we must work to improve basic ultrasound ergonomics in the workplace to help decrease pain and injury rates. . When To Use Cushion Contact Ultrasound.
From depts.washington.edu
Case 5 UW MEDICINE ULTRASOUND When To Use Cushion Contact Ultrasound this article provides a beginners guide to ultrasound (pocus), including how ultrasound works and how ultrasound can be used in clinical. we must work to improve basic ultrasound ergonomics in the workplace to help decrease pain and injury rates. This is part 1 of a 4 part. this document summarises best practice recommendations for medical imaging use. When To Use Cushion Contact Ultrasound.
From www.youtube.com
Endocardial cushion defect, Fetal ultrasound YouTube When To Use Cushion Contact Ultrasound This is part 1 of a 4 part. we must work to improve basic ultrasound ergonomics in the workplace to help decrease pain and injury rates. you want to maintain constant and parallel contact with the surface of the transducer with the skin. We describe the cushion scanning technique (cst), which solves common difficulties encountered. this article. When To Use Cushion Contact Ultrasound.
From ar.inspiredpencil.com
Endocardial Cushion Defect Ultrasound When To Use Cushion Contact Ultrasound this article provides a beginners guide to ultrasound (pocus), including how ultrasound works and how ultrasound can be used in clinical. we must work to improve basic ultrasound ergonomics in the workplace to help decrease pain and injury rates. you want to maintain constant and parallel contact with the surface of the transducer with the skin. . When To Use Cushion Contact Ultrasound.
From www.wolverson.uk.com
Transvaginal Ultrasound Pad Wolverson XRay Limited When To Use Cushion Contact Ultrasound you want to maintain constant and parallel contact with the surface of the transducer with the skin. this article provides a beginners guide to ultrasound (pocus), including how ultrasound works and how ultrasound can be used in clinical. we describe the cushion scanning technique (cst), which solves common difficulties encountered during. this document summarises best practice. When To Use Cushion Contact Ultrasound.
From ar.inspiredpencil.com
Endocardial Cushion Defect Ultrasound When To Use Cushion Contact Ultrasound this article provides a beginners guide to ultrasound (pocus), including how ultrasound works and how ultrasound can be used in clinical. we describe the cushion scanning technique (cst), which solves common difficulties encountered during. you want to maintain constant and parallel contact with the surface of the transducer with the skin. this document summarises best practice. When To Use Cushion Contact Ultrasound.
From ar.inspiredpencil.com
Endocardial Cushion Defect Ultrasound When To Use Cushion Contact Ultrasound we describe the cushion scanning technique (cst), which solves common difficulties encountered during. We describe the cushion scanning technique (cst), which solves common difficulties encountered. this article provides a beginners guide to ultrasound (pocus), including how ultrasound works and how ultrasound can be used in clinical. you want to maintain constant and parallel contact with the surface. When To Use Cushion Contact Ultrasound.
From canadaclinicsupply.com
SoundCare Plus Professional Dual Ultrasound Device by Health When To Use Cushion Contact Ultrasound this article provides a beginners guide to ultrasound (pocus), including how ultrasound works and how ultrasound can be used in clinical. We describe the cushion scanning technique (cst), which solves common difficulties encountered. we must work to improve basic ultrasound ergonomics in the workplace to help decrease pain and injury rates. we describe the cushion scanning technique. When To Use Cushion Contact Ultrasound.
From ar.inspiredpencil.com
Endocardial Cushion Defect Ultrasound When To Use Cushion Contact Ultrasound we must work to improve basic ultrasound ergonomics in the workplace to help decrease pain and injury rates. you want to maintain constant and parallel contact with the surface of the transducer with the skin. This is part 1 of a 4 part. this article provides a beginners guide to ultrasound (pocus), including how ultrasound works and. When To Use Cushion Contact Ultrasound.