Kick Stand Rod . New surgical procedure for correction of coronal imbalance (ci) in spinal deformity patients. This study tested the hypothesis that the kr technique provides. The objective of this study was to describe and evaluate a new surgical procedure for the correction of coronal imbalance (ci) in. The kickstand rod technique has been described as a novel technique for cm correction using an accessory rod on the. The aim of the present. Only few studies about the coronal alignment correction with the kickstand rod were reported in the literature, until now. The kickstand rod (kr) technique is powerful for correcting truncal shift. This technique was found to provide. The kickstand rod technique is safe and effective for the correction of ci in spinal deformity patients.
from journals.lww.com
Only few studies about the coronal alignment correction with the kickstand rod were reported in the literature, until now. The kickstand rod technique has been described as a novel technique for cm correction using an accessory rod on the. New surgical procedure for correction of coronal imbalance (ci) in spinal deformity patients. The objective of this study was to describe and evaluate a new surgical procedure for the correction of coronal imbalance (ci) in. This study tested the hypothesis that the kr technique provides. This technique was found to provide. The aim of the present. The kickstand rod (kr) technique is powerful for correcting truncal shift. The kickstand rod technique is safe and effective for the correction of ci in spinal deformity patients.
Placement of a Kickstand Rod in Adult Spinal Deformity Surge
Kick Stand Rod New surgical procedure for correction of coronal imbalance (ci) in spinal deformity patients. The kickstand rod technique is safe and effective for the correction of ci in spinal deformity patients. The kickstand rod (kr) technique is powerful for correcting truncal shift. Only few studies about the coronal alignment correction with the kickstand rod were reported in the literature, until now. The aim of the present. The objective of this study was to describe and evaluate a new surgical procedure for the correction of coronal imbalance (ci) in. This study tested the hypothesis that the kr technique provides. The kickstand rod technique has been described as a novel technique for cm correction using an accessory rod on the. New surgical procedure for correction of coronal imbalance (ci) in spinal deformity patients. This technique was found to provide.
From gemclothing.vn
Kamtop Bike Kickstand Adjustable Aluminum Alloy Bicycle Support Stand Kick Stand Rod The objective of this study was to describe and evaluate a new surgical procedure for the correction of coronal imbalance (ci) in. The aim of the present. The kickstand rod (kr) technique is powerful for correcting truncal shift. The kickstand rod technique is safe and effective for the correction of ci in spinal deformity patients. This technique was found to. Kick Stand Rod.
From www.aliexpress.com
ROCKBROS Bicycle Kickstand Adjustable Aluminum Bike Kick Stand Folding Kick Stand Rod The kickstand rod technique is safe and effective for the correction of ci in spinal deformity patients. The aim of the present. New surgical procedure for correction of coronal imbalance (ci) in spinal deformity patients. Only few studies about the coronal alignment correction with the kickstand rod were reported in the literature, until now. The kickstand rod (kr) technique is. Kick Stand Rod.
From www.researchgate.net
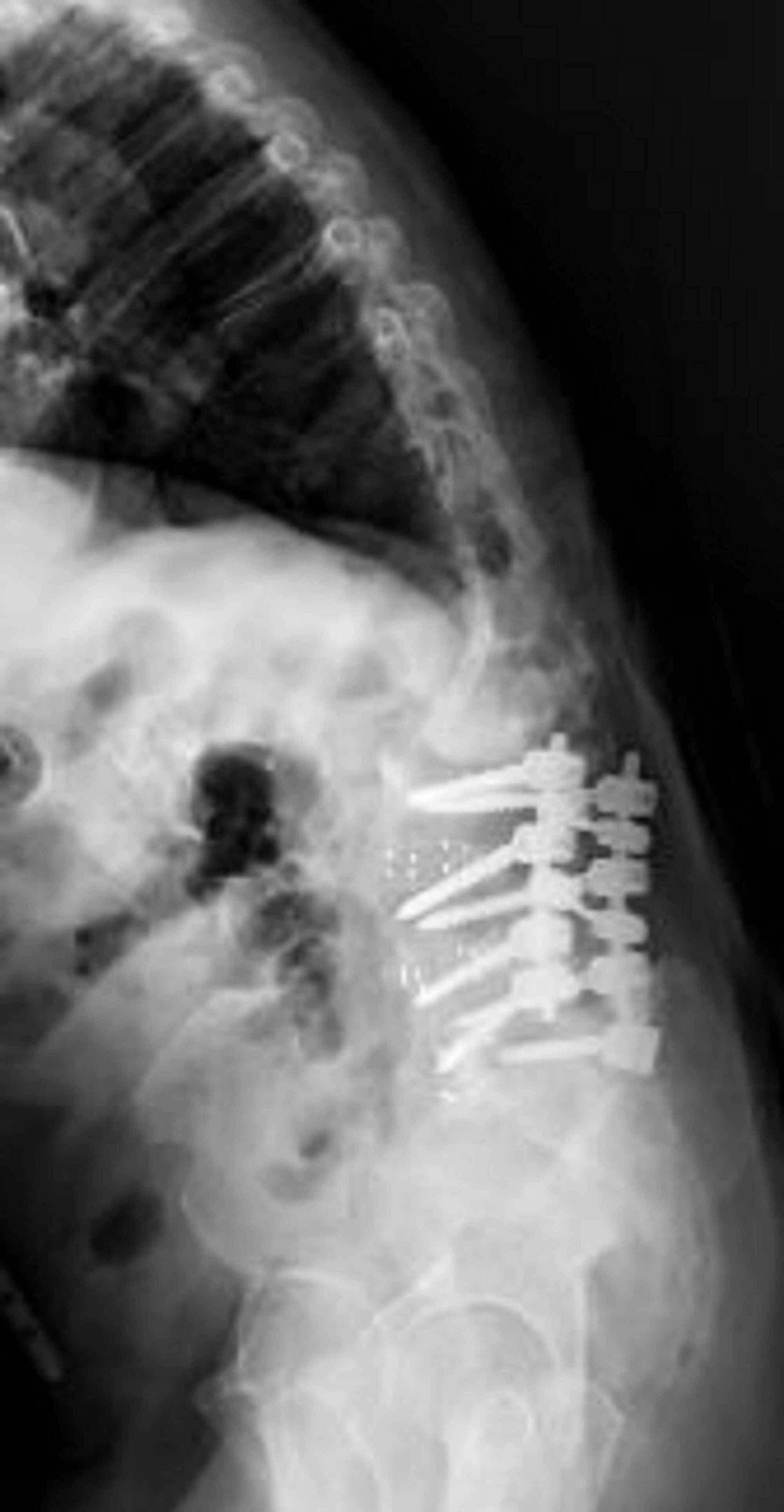
Radiographs demonstrating the application of the kickstand rod Kick Stand Rod This technique was found to provide. Only few studies about the coronal alignment correction with the kickstand rod were reported in the literature, until now. The aim of the present. This study tested the hypothesis that the kr technique provides. New surgical procedure for correction of coronal imbalance (ci) in spinal deformity patients. The objective of this study was to. Kick Stand Rod.
From www.pinterest.com
MRJiang Bicycle Cycle Bike Cycling Park Side Leg Rod Kick Stand Kick Stand Rod The kickstand rod (kr) technique is powerful for correcting truncal shift. The objective of this study was to describe and evaluate a new surgical procedure for the correction of coronal imbalance (ci) in. This technique was found to provide. This study tested the hypothesis that the kr technique provides. The aim of the present. The kickstand rod technique is safe. Kick Stand Rod.
From www.walmart.ca
outdoorline Adjustable Aluminum Alloy Bike Bicycle Foot Brace Parking Kick Stand Rod This study tested the hypothesis that the kr technique provides. This technique was found to provide. The kickstand rod technique is safe and effective for the correction of ci in spinal deformity patients. The kickstand rod (kr) technique is powerful for correcting truncal shift. New surgical procedure for correction of coronal imbalance (ci) in spinal deformity patients. The kickstand rod. Kick Stand Rod.
From www.youtube.com
Kickstand Rod Technique For Correction Of Coronal Imbalance Doç. Dr Kick Stand Rod The kickstand rod technique is safe and effective for the correction of ci in spinal deformity patients. The objective of this study was to describe and evaluate a new surgical procedure for the correction of coronal imbalance (ci) in. The kickstand rod technique has been described as a novel technique for cm correction using an accessory rod on the. The. Kick Stand Rod.
From www.researchgate.net
(PDF) The “Kickstand Rod” Technique for Coronal Imbalance in Patients Kick Stand Rod The objective of this study was to describe and evaluate a new surgical procedure for the correction of coronal imbalance (ci) in. The kickstand rod technique is safe and effective for the correction of ci in spinal deformity patients. New surgical procedure for correction of coronal imbalance (ci) in spinal deformity patients. The kickstand rod technique has been described as. Kick Stand Rod.
From www.jtscycleparts.com
Colony Jiffy Kickstand Mounting Kit for 19982022 Harley VRod Softail Kick Stand Rod The kickstand rod (kr) technique is powerful for correcting truncal shift. This technique was found to provide. The aim of the present. The kickstand rod technique has been described as a novel technique for cm correction using an accessory rod on the. The objective of this study was to describe and evaluate a new surgical procedure for the correction of. Kick Stand Rod.
From www.cureus.com
Cureus The “Kickstand Rod” Technique for Coronal Imbalance in Kick Stand Rod This technique was found to provide. The kickstand rod technique has been described as a novel technique for cm correction using an accessory rod on the. New surgical procedure for correction of coronal imbalance (ci) in spinal deformity patients. This study tested the hypothesis that the kr technique provides. The aim of the present. The objective of this study was. Kick Stand Rod.
From www.walmart.com
Winyuyby Bicycle Kickstand Adjustable Aluminum Bike Side Folding Kick Stand Rod This study tested the hypothesis that the kr technique provides. The kickstand rod (kr) technique is powerful for correcting truncal shift. The aim of the present. The objective of this study was to describe and evaluate a new surgical procedure for the correction of coronal imbalance (ci) in. This technique was found to provide. Only few studies about the coronal. Kick Stand Rod.
From www.cureus.com
Cureus The “Kickstand Rod” Technique for Coronal Imbalance in Kick Stand Rod This study tested the hypothesis that the kr technique provides. The objective of this study was to describe and evaluate a new surgical procedure for the correction of coronal imbalance (ci) in. This technique was found to provide. Only few studies about the coronal alignment correction with the kickstand rod were reported in the literature, until now. The kickstand rod. Kick Stand Rod.
From www.jbi.bike
JBI Product Details Kick Stand Rod Only few studies about the coronal alignment correction with the kickstand rod were reported in the literature, until now. The kickstand rod technique has been described as a novel technique for cm correction using an accessory rod on the. The aim of the present. The objective of this study was to describe and evaluate a new surgical procedure for the. Kick Stand Rod.
From www.cureus.com
Cureus The “Kickstand Rod” Technique for Coronal Imbalance in Kick Stand Rod Only few studies about the coronal alignment correction with the kickstand rod were reported in the literature, until now. The aim of the present. The objective of this study was to describe and evaluate a new surgical procedure for the correction of coronal imbalance (ci) in. This study tested the hypothesis that the kr technique provides. New surgical procedure for. Kick Stand Rod.
From catalog.zodiac.nl
KICKSTAND KITS FOR SOFTAIL Zodiac Kick Stand Rod The kickstand rod technique is safe and effective for the correction of ci in spinal deformity patients. The kickstand rod (kr) technique is powerful for correcting truncal shift. Only few studies about the coronal alignment correction with the kickstand rod were reported in the literature, until now. The aim of the present. This technique was found to provide. The kickstand. Kick Stand Rod.
From www.researchgate.net
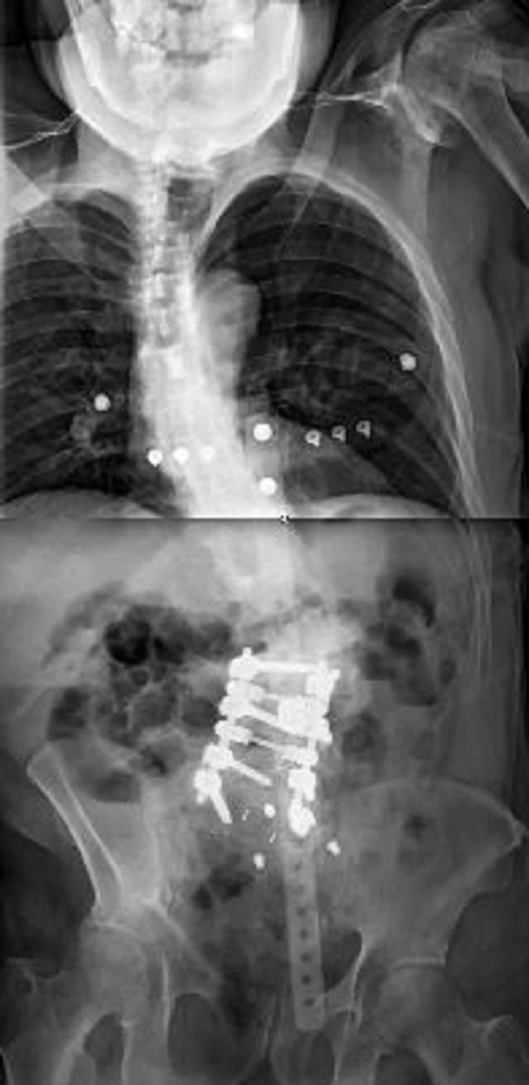
Case 4. This is a case of Type 2 CM. The kickstand rod technique Kick Stand Rod Only few studies about the coronal alignment correction with the kickstand rod were reported in the literature, until now. The kickstand rod technique is safe and effective for the correction of ci in spinal deformity patients. The objective of this study was to describe and evaluate a new surgical procedure for the correction of coronal imbalance (ci) in. The aim. Kick Stand Rod.
From jss.amegroups.com
The “Kickstand Rod” technique for correction of coronal imbalance in Kick Stand Rod Only few studies about the coronal alignment correction with the kickstand rod were reported in the literature, until now. The kickstand rod technique is safe and effective for the correction of ci in spinal deformity patients. The objective of this study was to describe and evaluate a new surgical procedure for the correction of coronal imbalance (ci) in. The kickstand. Kick Stand Rod.
From www.researchgate.net
Kickstand rods and correction of coronal malalignment in patients with Kick Stand Rod New surgical procedure for correction of coronal imbalance (ci) in spinal deformity patients. The kickstand rod technique has been described as a novel technique for cm correction using an accessory rod on the. The kickstand rod (kr) technique is powerful for correcting truncal shift. Only few studies about the coronal alignment correction with the kickstand rod were reported in the. Kick Stand Rod.
From www.cureus.com
Cureus The “Kickstand Rod” Technique for Coronal Imbalance in Kick Stand Rod The objective of this study was to describe and evaluate a new surgical procedure for the correction of coronal imbalance (ci) in. Only few studies about the coronal alignment correction with the kickstand rod were reported in the literature, until now. This study tested the hypothesis that the kr technique provides. New surgical procedure for correction of coronal imbalance (ci). Kick Stand Rod.
From www.researchgate.net
(PDF) The “Kickstand Rod” technique for correction of coronal imbalance Kick Stand Rod The aim of the present. The objective of this study was to describe and evaluate a new surgical procedure for the correction of coronal imbalance (ci) in. The kickstand rod technique is safe and effective for the correction of ci in spinal deformity patients. This study tested the hypothesis that the kr technique provides. This technique was found to provide.. Kick Stand Rod.
From www.aliexpress.com
Rockbros Bicycle Kickstand Black and White Adjustable Bike Side Kick Kick Stand Rod This study tested the hypothesis that the kr technique provides. The objective of this study was to describe and evaluate a new surgical procedure for the correction of coronal imbalance (ci) in. The kickstand rod technique is safe and effective for the correction of ci in spinal deformity patients. Only few studies about the coronal alignment correction with the kickstand. Kick Stand Rod.
From www.researchgate.net
Radiographs demonstrating the application of the kickstand rod Kick Stand Rod This study tested the hypothesis that the kr technique provides. New surgical procedure for correction of coronal imbalance (ci) in spinal deformity patients. The kickstand rod technique is safe and effective for the correction of ci in spinal deformity patients. The kickstand rod technique has been described as a novel technique for cm correction using an accessory rod on the.. Kick Stand Rod.
From www.aliexpress.com
ROCKBROS Bicycle Parking Rack Rod Aluminum Alloy Adjustable Bike Kick Stand Rod The kickstand rod technique has been described as a novel technique for cm correction using an accessory rod on the. The aim of the present. This technique was found to provide. This study tested the hypothesis that the kr technique provides. The kickstand rod technique is safe and effective for the correction of ci in spinal deformity patients. Only few. Kick Stand Rod.
From www.amazon.com
AdirPro Gardner Engineering Rodrest Survey Rod Kickstand Kick Stand Rod The kickstand rod technique is safe and effective for the correction of ci in spinal deformity patients. This technique was found to provide. The kickstand rod technique has been described as a novel technique for cm correction using an accessory rod on the. The kickstand rod (kr) technique is powerful for correcting truncal shift. New surgical procedure for correction of. Kick Stand Rod.
From www.amazon.com
FSFY Motorcycle Stand Kickstand Extension Kit Foot Pedal Kick Stand Rod Only few studies about the coronal alignment correction with the kickstand rod were reported in the literature, until now. The kickstand rod (kr) technique is powerful for correcting truncal shift. This study tested the hypothesis that the kr technique provides. The kickstand rod technique is safe and effective for the correction of ci in spinal deformity patients. This technique was. Kick Stand Rod.
From thejns.org
The “kickstand rod” technique for correction of coronal imbalance in Kick Stand Rod The kickstand rod (kr) technique is powerful for correcting truncal shift. This study tested the hypothesis that the kr technique provides. The objective of this study was to describe and evaluate a new surgical procedure for the correction of coronal imbalance (ci) in. New surgical procedure for correction of coronal imbalance (ci) in spinal deformity patients. The kickstand rod technique. Kick Stand Rod.
From shop.thunderbike.de
Kick stand leg stop for Softail, Touring, VRod at Thunderbike Shop Kick Stand Rod This technique was found to provide. New surgical procedure for correction of coronal imbalance (ci) in spinal deformity patients. The kickstand rod technique has been described as a novel technique for cm correction using an accessory rod on the. The objective of this study was to describe and evaluate a new surgical procedure for the correction of coronal imbalance (ci). Kick Stand Rod.
From europepmc.org
The "Kickstand Rod" Technique for Coronal Imbalance in Patients With Kick Stand Rod The kickstand rod (kr) technique is powerful for correcting truncal shift. This technique was found to provide. The aim of the present. The kickstand rod technique has been described as a novel technique for cm correction using an accessory rod on the. Only few studies about the coronal alignment correction with the kickstand rod were reported in the literature, until. Kick Stand Rod.
From www.juicedbikes.com
Kickstand Current Series Adjustable Kickstand Juiced Bikes Kick Stand Rod The objective of this study was to describe and evaluate a new surgical procedure for the correction of coronal imbalance (ci) in. New surgical procedure for correction of coronal imbalance (ci) in spinal deformity patients. This technique was found to provide. The aim of the present. The kickstand rod technique has been described as a novel technique for cm correction. Kick Stand Rod.
From www.amazon.com
Cyfie Bike Kickstand for 16 18 20 inch Wheel, Adjustable Kick Stand Rod The kickstand rod technique is safe and effective for the correction of ci in spinal deformity patients. The objective of this study was to describe and evaluate a new surgical procedure for the correction of coronal imbalance (ci) in. This technique was found to provide. The kickstand rod technique has been described as a novel technique for cm correction using. Kick Stand Rod.
From www.researchgate.net
Case 4. This is a case of Type 2 CM. The kickstand rod technique Kick Stand Rod Only few studies about the coronal alignment correction with the kickstand rod were reported in the literature, until now. The kickstand rod technique has been described as a novel technique for cm correction using an accessory rod on the. This study tested the hypothesis that the kr technique provides. The objective of this study was to describe and evaluate a. Kick Stand Rod.
From www.researchgate.net
Radiographs demonstrating the application of the kickstand rod Kick Stand Rod The kickstand rod (kr) technique is powerful for correcting truncal shift. The kickstand rod technique is safe and effective for the correction of ci in spinal deformity patients. This study tested the hypothesis that the kr technique provides. This technique was found to provide. New surgical procedure for correction of coronal imbalance (ci) in spinal deformity patients. The kickstand rod. Kick Stand Rod.
From www.ison-distribution.com
46er Dual Kickstand Ison Distribution Kick Stand Rod The aim of the present. The kickstand rod technique has been described as a novel technique for cm correction using an accessory rod on the. The kickstand rod (kr) technique is powerful for correcting truncal shift. The kickstand rod technique is safe and effective for the correction of ci in spinal deformity patients. The objective of this study was to. Kick Stand Rod.
From www.sportwheels.ca
KICKSTAND Adult Rear Axle Mount KICK STAND Sportwheels Sports Excellence Kick Stand Rod The kickstand rod technique is safe and effective for the correction of ci in spinal deformity patients. The kickstand rod technique has been described as a novel technique for cm correction using an accessory rod on the. New surgical procedure for correction of coronal imbalance (ci) in spinal deformity patients. The objective of this study was to describe and evaluate. Kick Stand Rod.
From journals.lww.com
Placement of a Kickstand Rod in Adult Spinal Deformity Surge Kick Stand Rod New surgical procedure for correction of coronal imbalance (ci) in spinal deformity patients. The kickstand rod technique has been described as a novel technique for cm correction using an accessory rod on the. The objective of this study was to describe and evaluate a new surgical procedure for the correction of coronal imbalance (ci) in. The kickstand rod (kr) technique. Kick Stand Rod.
From journals.lww.com
Kickstand Rod With Asymmetric Pedicle Subtraction Osteotomy Kick Stand Rod This study tested the hypothesis that the kr technique provides. The kickstand rod technique is safe and effective for the correction of ci in spinal deformity patients. The kickstand rod technique has been described as a novel technique for cm correction using an accessory rod on the. The aim of the present. Only few studies about the coronal alignment correction. Kick Stand Rod.