Occlusion Valve . Multidetector computed tomography (ct) is an important tool for assessing the risk of coronary occlusion in native valve tavr. When the button is pressed gas flow. In as few as 30 seconds, the pressure that builds up. 8,13 although the optimal methodology for ct screening of the risk of coronary occlusion in the context of viv is still in evolution, the integration of ct screening has already been shown to enable a. The purpose of the valve is to restrict the exhaust side of.
from casereports.bmj.com
The purpose of the valve is to restrict the exhaust side of. In as few as 30 seconds, the pressure that builds up. 8,13 although the optimal methodology for ct screening of the risk of coronary occlusion in the context of viv is still in evolution, the integration of ct screening has already been shown to enable a. Multidetector computed tomography (ct) is an important tool for assessing the risk of coronary occlusion in native valve tavr. When the button is pressed gas flow.
Complete occlusion of the left pulmonary artery and paradoxical
Occlusion Valve The purpose of the valve is to restrict the exhaust side of. In as few as 30 seconds, the pressure that builds up. 8,13 although the optimal methodology for ct screening of the risk of coronary occlusion in the context of viv is still in evolution, the integration of ct screening has already been shown to enable a. Multidetector computed tomography (ct) is an important tool for assessing the risk of coronary occlusion in native valve tavr. The purpose of the valve is to restrict the exhaust side of. When the button is pressed gas flow.
From www.jacc.org
Alignment of Transcatheter AorticValve (ALIGN TAVR Occlusion Valve The purpose of the valve is to restrict the exhaust side of. In as few as 30 seconds, the pressure that builds up. Multidetector computed tomography (ct) is an important tool for assessing the risk of coronary occlusion in native valve tavr. 8,13 although the optimal methodology for ct screening of the risk of coronary occlusion in the context of. Occlusion Valve.
From www.jacc.org
Acute Artery Occlusion During Transcatheter Aortic Valve Replacement in Occlusion Valve Multidetector computed tomography (ct) is an important tool for assessing the risk of coronary occlusion in native valve tavr. 8,13 although the optimal methodology for ct screening of the risk of coronary occlusion in the context of viv is still in evolution, the integration of ct screening has already been shown to enable a. When the button is pressed gas. Occlusion Valve.
From www.cureus.com
Cureus Acute Ostial Right Coronary Artery Occlusion During Valve Occlusion Valve The purpose of the valve is to restrict the exhaust side of. In as few as 30 seconds, the pressure that builds up. Multidetector computed tomography (ct) is an important tool for assessing the risk of coronary occlusion in native valve tavr. 8,13 although the optimal methodology for ct screening of the risk of coronary occlusion in the context of. Occlusion Valve.
From intermountainhealthcare.org
Aortic Valve Stenosis Heart Care Intermountain Healthcare Occlusion Valve 8,13 although the optimal methodology for ct screening of the risk of coronary occlusion in the context of viv is still in evolution, the integration of ct screening has already been shown to enable a. The purpose of the valve is to restrict the exhaust side of. Multidetector computed tomography (ct) is an important tool for assessing the risk of. Occlusion Valve.
From www.bestmed.ca
Hardware for Anesthesia Machines Vancouver BC — Bestmed Technical Occlusion Valve In as few as 30 seconds, the pressure that builds up. When the button is pressed gas flow. 8,13 although the optimal methodology for ct screening of the risk of coronary occlusion in the context of viv is still in evolution, the integration of ct screening has already been shown to enable a. Multidetector computed tomography (ct) is an important. Occlusion Valve.
From www.jacc.org
Preventing Coronary Obstruction During Transcatheter Aortic Valve Occlusion Valve When the button is pressed gas flow. The purpose of the valve is to restrict the exhaust side of. 8,13 although the optimal methodology for ct screening of the risk of coronary occlusion in the context of viv is still in evolution, the integration of ct screening has already been shown to enable a. In as few as 30 seconds,. Occlusion Valve.
From www.midmark.com
Occlusion Valve with Safety Relief Occlusion Valve The purpose of the valve is to restrict the exhaust side of. In as few as 30 seconds, the pressure that builds up. When the button is pressed gas flow. 8,13 although the optimal methodology for ct screening of the risk of coronary occlusion in the context of viv is still in evolution, the integration of ct screening has already. Occlusion Valve.
From www.cureus.com
Cureus Acute Ostial Right Coronary Artery Occlusion During Valve Occlusion Valve Multidetector computed tomography (ct) is an important tool for assessing the risk of coronary occlusion in native valve tavr. In as few as 30 seconds, the pressure that builds up. 8,13 although the optimal methodology for ct screening of the risk of coronary occlusion in the context of viv is still in evolution, the integration of ct screening has already. Occlusion Valve.
From jotci.org
Iatrogenic left main and right coronary ostial occlusion following Occlusion Valve 8,13 although the optimal methodology for ct screening of the risk of coronary occlusion in the context of viv is still in evolution, the integration of ct screening has already been shown to enable a. When the button is pressed gas flow. The purpose of the valve is to restrict the exhaust side of. In as few as 30 seconds,. Occlusion Valve.
From www.ahajournals.org
White Line Sign of Impending Coronary Occlusion in Transcatheter Aortic Occlusion Valve The purpose of the valve is to restrict the exhaust side of. When the button is pressed gas flow. In as few as 30 seconds, the pressure that builds up. 8,13 although the optimal methodology for ct screening of the risk of coronary occlusion in the context of viv is still in evolution, the integration of ct screening has already. Occlusion Valve.
From meltonlab.en.made-in-china.com
Occlusion Valve for Veterinary Anesthesia Machine Accessory a201 Occlusion Valve Multidetector computed tomography (ct) is an important tool for assessing the risk of coronary occlusion in native valve tavr. In as few as 30 seconds, the pressure that builds up. When the button is pressed gas flow. The purpose of the valve is to restrict the exhaust side of. 8,13 although the optimal methodology for ct screening of the risk. Occlusion Valve.
From somniscientific.com
SOMNI Pop Off Valve with Occlusion Somni Scientific Occlusion Valve Multidetector computed tomography (ct) is an important tool for assessing the risk of coronary occlusion in native valve tavr. When the button is pressed gas flow. In as few as 30 seconds, the pressure that builds up. The purpose of the valve is to restrict the exhaust side of. 8,13 although the optimal methodology for ct screening of the risk. Occlusion Valve.
From thejns.org
Antisiphon and reversible occlusion valves for shunting in Occlusion Valve In as few as 30 seconds, the pressure that builds up. When the button is pressed gas flow. 8,13 although the optimal methodology for ct screening of the risk of coronary occlusion in the context of viv is still in evolution, the integration of ct screening has already been shown to enable a. Multidetector computed tomography (ct) is an important. Occlusion Valve.
From www.diytrade.com
Occlusion Valve for Veterinary Anesthesia Machine VAM510AP Melton Occlusion Valve The purpose of the valve is to restrict the exhaust side of. In as few as 30 seconds, the pressure that builds up. 8,13 although the optimal methodology for ct screening of the risk of coronary occlusion in the context of viv is still in evolution, the integration of ct screening has already been shown to enable a. When the. Occlusion Valve.
From medmovie.com
Left Atrial Appendage Closure Occlusion Valve In as few as 30 seconds, the pressure that builds up. When the button is pressed gas flow. The purpose of the valve is to restrict the exhaust side of. 8,13 although the optimal methodology for ct screening of the risk of coronary occlusion in the context of viv is still in evolution, the integration of ct screening has already. Occlusion Valve.
From casereports.bmj.com
Complete occlusion of the left pulmonary artery and paradoxical Occlusion Valve When the button is pressed gas flow. In as few as 30 seconds, the pressure that builds up. The purpose of the valve is to restrict the exhaust side of. Multidetector computed tomography (ct) is an important tool for assessing the risk of coronary occlusion in native valve tavr. 8,13 although the optimal methodology for ct screening of the risk. Occlusion Valve.
From soundvet.com.au
Sound Vet online SurgiVet PopOff Occlusion Valve V7309 Occlusion Valve When the button is pressed gas flow. 8,13 although the optimal methodology for ct screening of the risk of coronary occlusion in the context of viv is still in evolution, the integration of ct screening has already been shown to enable a. Multidetector computed tomography (ct) is an important tool for assessing the risk of coronary occlusion in native valve. Occlusion Valve.
From www.researchgate.net
(PDF) Acute occlusion of an anomalous left circumflex artery after Occlusion Valve When the button is pressed gas flow. 8,13 although the optimal methodology for ct screening of the risk of coronary occlusion in the context of viv is still in evolution, the integration of ct screening has already been shown to enable a. The purpose of the valve is to restrict the exhaust side of. Multidetector computed tomography (ct) is an. Occlusion Valve.
From www.researchgate.net
(PDF) Characterization of a reversible thermallyactuated polymervalve Occlusion Valve When the button is pressed gas flow. Multidetector computed tomography (ct) is an important tool for assessing the risk of coronary occlusion in native valve tavr. 8,13 although the optimal methodology for ct screening of the risk of coronary occlusion in the context of viv is still in evolution, the integration of ct screening has already been shown to enable. Occlusion Valve.
From www.cureus.com
Cureus Acute Ostial Right Coronary Artery Occlusion During Valve Occlusion Valve When the button is pressed gas flow. Multidetector computed tomography (ct) is an important tool for assessing the risk of coronary occlusion in native valve tavr. The purpose of the valve is to restrict the exhaust side of. In as few as 30 seconds, the pressure that builds up. 8,13 although the optimal methodology for ct screening of the risk. Occlusion Valve.
From www.hmpgloballearningnetwork.com
Transradial Crossover Balloon Occlusion Technique for Primary Access Occlusion Valve When the button is pressed gas flow. Multidetector computed tomography (ct) is an important tool for assessing the risk of coronary occlusion in native valve tavr. The purpose of the valve is to restrict the exhaust side of. 8,13 although the optimal methodology for ct screening of the risk of coronary occlusion in the context of viv is still in. Occlusion Valve.
From www.researchgate.net
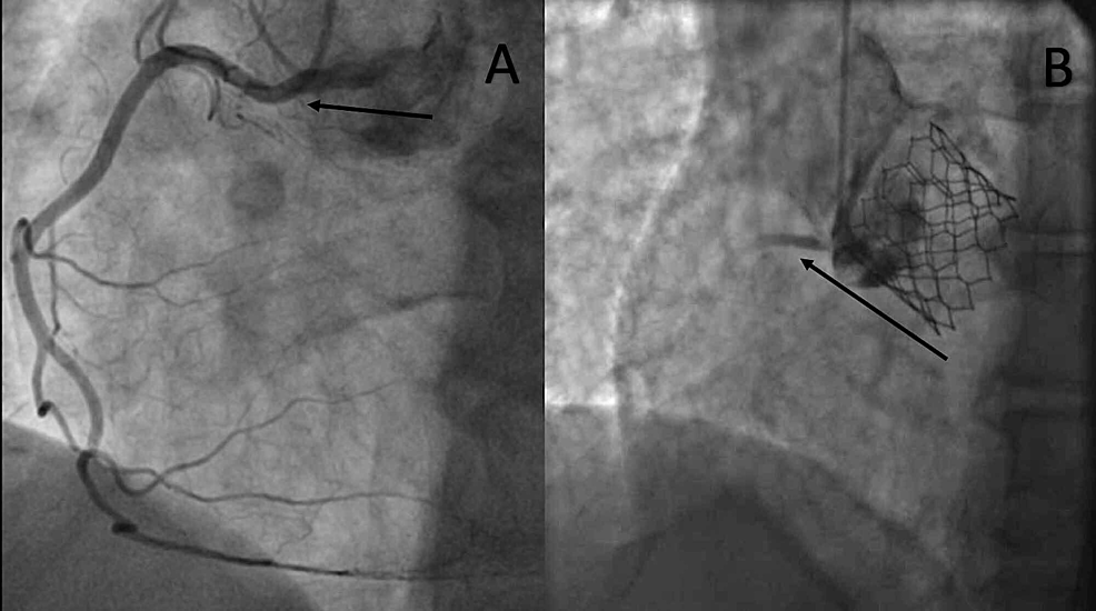
Left main coronary occlusion following TAVinSAV. Fluoroscopic images Occlusion Valve In as few as 30 seconds, the pressure that builds up. When the button is pressed gas flow. Multidetector computed tomography (ct) is an important tool for assessing the risk of coronary occlusion in native valve tavr. The purpose of the valve is to restrict the exhaust side of. 8,13 although the optimal methodology for ct screening of the risk. Occlusion Valve.
From www.ahajournals.org
Coronary Angiography After Transcatheter Aortic Valve Replacement (TAVR Occlusion Valve Multidetector computed tomography (ct) is an important tool for assessing the risk of coronary occlusion in native valve tavr. The purpose of the valve is to restrict the exhaust side of. 8,13 although the optimal methodology for ct screening of the risk of coronary occlusion in the context of viv is still in evolution, the integration of ct screening has. Occlusion Valve.
From www.clinmedres.org
Thrombotic Occlusion of BjorkShiley Prosthetic Aortic Valve Occlusion Valve In as few as 30 seconds, the pressure that builds up. 8,13 although the optimal methodology for ct screening of the risk of coronary occlusion in the context of viv is still in evolution, the integration of ct screening has already been shown to enable a. Multidetector computed tomography (ct) is an important tool for assessing the risk of coronary. Occlusion Valve.
From www.edwards.com
Occlusion catheters Edwards Lifesciences Occlusion Valve The purpose of the valve is to restrict the exhaust side of. In as few as 30 seconds, the pressure that builds up. 8,13 although the optimal methodology for ct screening of the risk of coronary occlusion in the context of viv is still in evolution, the integration of ct screening has already been shown to enable a. When the. Occlusion Valve.
From somniveterinary.com
Pop Off Occlusion Valve Somni Veterinary Occlusion Valve The purpose of the valve is to restrict the exhaust side of. When the button is pressed gas flow. In as few as 30 seconds, the pressure that builds up. 8,13 although the optimal methodology for ct screening of the risk of coronary occlusion in the context of viv is still in evolution, the integration of ct screening has already. Occlusion Valve.
From www.ahajournals.org
Risk of Coronary Obstruction and Feasibility of Coronary Access After Occlusion Valve The purpose of the valve is to restrict the exhaust side of. In as few as 30 seconds, the pressure that builds up. Multidetector computed tomography (ct) is an important tool for assessing the risk of coronary occlusion in native valve tavr. When the button is pressed gas flow. 8,13 although the optimal methodology for ct screening of the risk. Occlusion Valve.
From www.rwdstco.com
RVAMOV Occlusion Valve RWD Life Science Occlusion Valve 8,13 although the optimal methodology for ct screening of the risk of coronary occlusion in the context of viv is still in evolution, the integration of ct screening has already been shown to enable a. When the button is pressed gas flow. The purpose of the valve is to restrict the exhaust side of. In as few as 30 seconds,. Occlusion Valve.
From www.hmpgloballearningnetwork.com
Transradial Crossover Balloon Occlusion Technique for Primary Access Occlusion Valve The purpose of the valve is to restrict the exhaust side of. When the button is pressed gas flow. Multidetector computed tomography (ct) is an important tool for assessing the risk of coronary occlusion in native valve tavr. In as few as 30 seconds, the pressure that builds up. 8,13 although the optimal methodology for ct screening of the risk. Occlusion Valve.
From www.eagleeyeanesthesia.com
Accessories Eagle Eye Anesthesia Occlusion Valve 8,13 although the optimal methodology for ct screening of the risk of coronary occlusion in the context of viv is still in evolution, the integration of ct screening has already been shown to enable a. When the button is pressed gas flow. The purpose of the valve is to restrict the exhaust side of. Multidetector computed tomography (ct) is an. Occlusion Valve.
From www.frontiersin.org
Frontiers How to Avoid Coronary Occlusion During TAVR ValveinValve Occlusion Valve The purpose of the valve is to restrict the exhaust side of. In as few as 30 seconds, the pressure that builds up. Multidetector computed tomography (ct) is an important tool for assessing the risk of coronary occlusion in native valve tavr. 8,13 although the optimal methodology for ct screening of the risk of coronary occlusion in the context of. Occlusion Valve.
From www.jacc.org
Transcatheter Correction of Superior Sinus Venosus Atrial Septal Occlusion Valve Multidetector computed tomography (ct) is an important tool for assessing the risk of coronary occlusion in native valve tavr. When the button is pressed gas flow. 8,13 although the optimal methodology for ct screening of the risk of coronary occlusion in the context of viv is still in evolution, the integration of ct screening has already been shown to enable. Occlusion Valve.
From www.researchgate.net
Adjustable inspiratory occlusion valve (aIOV). Download Scientific Occlusion Valve When the button is pressed gas flow. The purpose of the valve is to restrict the exhaust side of. Multidetector computed tomography (ct) is an important tool for assessing the risk of coronary occlusion in native valve tavr. 8,13 although the optimal methodology for ct screening of the risk of coronary occlusion in the context of viv is still in. Occlusion Valve.
From citoday.com
Cardiac Interventions Today TAVR in Patients With Aortic Stenosis and Occlusion Valve In as few as 30 seconds, the pressure that builds up. The purpose of the valve is to restrict the exhaust side of. Multidetector computed tomography (ct) is an important tool for assessing the risk of coronary occlusion in native valve tavr. 8,13 although the optimal methodology for ct screening of the risk of coronary occlusion in the context of. Occlusion Valve.
From medtech-center.com
EICKEMEYER APL Valve Occlusion Valve In as few as 30 seconds, the pressure that builds up. Multidetector computed tomography (ct) is an important tool for assessing the risk of coronary occlusion in native valve tavr. When the button is pressed gas flow. The purpose of the valve is to restrict the exhaust side of. 8,13 although the optimal methodology for ct screening of the risk. Occlusion Valve.