Can I Ask My Dentist To Shave My Teeth . Teeth shaving, also known as enameloplasty, is a process of removing a small amount of enamel from the teeth to improve their appearance and fit. Why would someone need their teeth contoured? Teeth shaving is a dental procedure that removes a small amount of enamel to change the shape of your teeth. Read on to learn exactly why you should never try to shave down or file down your teeth and what you should do instead. Teeth shaving is a procedure that narrows your teeth with a saw and grinder to create more space for braces or cosmetic reasons. It does not hurt, but it can damage enamel and cause gaps. Learn why you should not shave your own teeth, who should consider shaving their teeth, and what are the benefits and risks of tooth shaving. Learn about the reasons, benefits, and risks of this cosmetic. Keep in mind that enamel has a thickness of 1mm on average. As the today show recently reported, it isn’t safe to file down or shave your own teeth. Short answer is yes, your two front teeth can be filed down. Hi, my teeth were shaved down 3 weeks ago and i’m doing as much research as possible before i allow another dentist to do anything else to my. Teeth shaving is the process of removing a small amount of enamel from the teeth to improve their appearance or fit braces. The simple, straight answer to this question is no. Learn about the benefits, risks, costs and candidates of this procedure and why you should not do it at home.
from www.reddit.com
Hi, my teeth were shaved down 3 weeks ago and i’m doing as much research as possible before i allow another dentist to do anything else to my. Read on to learn exactly why you should never try to shave down or file down your teeth and what you should do instead. Teeth shaving, also known as enameloplasty, is a process of removing a small amount of enamel from the teeth to improve their appearance and fit. As the today show recently reported, it isn’t safe to file down or shave your own teeth. Teeth shaving is the process of removing a small amount of enamel from the teeth to improve their appearance or fit braces. Teeth shaving is a procedure that narrows your teeth with a saw and grinder to create more space for braces or cosmetic reasons. Keep in mind that enamel has a thickness of 1mm on average. Why would someone need their teeth contoured? It does not hurt, but it can damage enamel and cause gaps. Learn about the reasons, benefits, and risks of this cosmetic.
Before and after but I would have to shave my bottom teeth to get
Can I Ask My Dentist To Shave My Teeth Learn about the reasons, benefits, and risks of this cosmetic. Read on to learn exactly why you should never try to shave down or file down your teeth and what you should do instead. Learn about the reasons, benefits, and risks of this cosmetic. Hi, my teeth were shaved down 3 weeks ago and i’m doing as much research as possible before i allow another dentist to do anything else to my. As the today show recently reported, it isn’t safe to file down or shave your own teeth. It does not hurt, but it can damage enamel and cause gaps. Teeth shaving is the process of removing a small amount of enamel from the teeth to improve their appearance or fit braces. Why would someone need their teeth contoured? Teeth shaving, also known as enameloplasty, is a process of removing a small amount of enamel from the teeth to improve their appearance and fit. The simple, straight answer to this question is no. Learn about the benefits, risks, costs and candidates of this procedure and why you should not do it at home. Teeth shaving is a dental procedure that removes a small amount of enamel to change the shape of your teeth. Teeth shaving is a procedure that narrows your teeth with a saw and grinder to create more space for braces or cosmetic reasons. Short answer is yes, your two front teeth can be filed down. Learn why you should not shave your own teeth, who should consider shaving their teeth, and what are the benefits and risks of tooth shaving. Keep in mind that enamel has a thickness of 1mm on average.
From www.dentalcarereport.com
Is It Safe To File Or Shave Down Your Own Teeth? Dental Care Report Can I Ask My Dentist To Shave My Teeth Teeth shaving is the process of removing a small amount of enamel from the teeth to improve their appearance or fit braces. Short answer is yes, your two front teeth can be filed down. It does not hurt, but it can damage enamel and cause gaps. Teeth shaving, also known as enameloplasty, is a process of removing a small amount. Can I Ask My Dentist To Shave My Teeth.
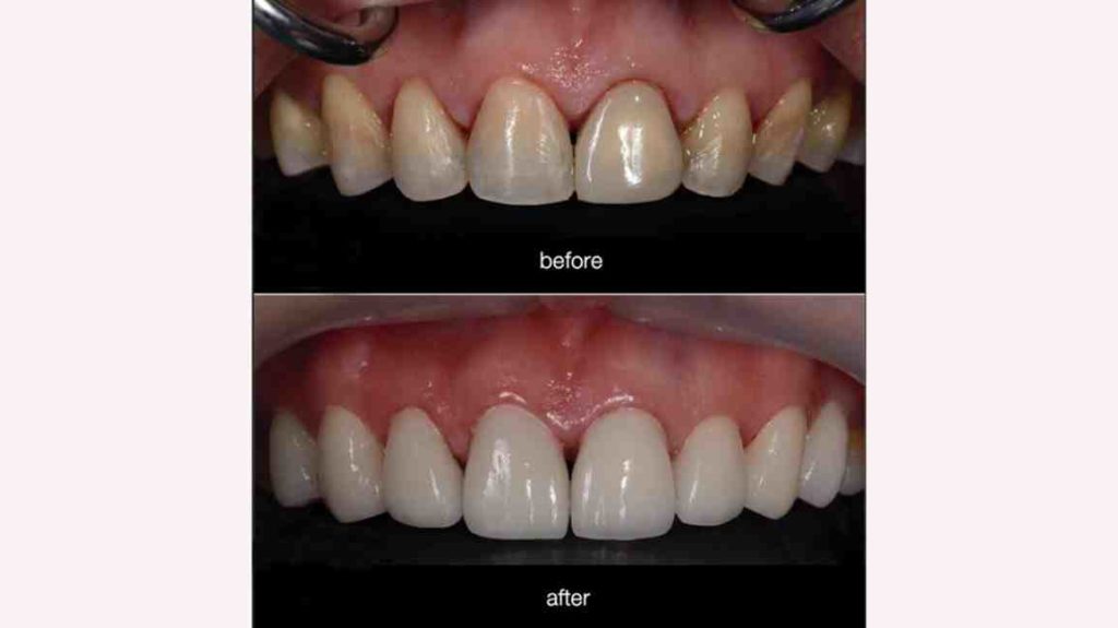
From exoewoufu.blob.core.windows.net
Can Dentists Shave Teeth at Golda Nichols blog Can I Ask My Dentist To Shave My Teeth It does not hurt, but it can damage enamel and cause gaps. Teeth shaving, also known as enameloplasty, is a process of removing a small amount of enamel from the teeth to improve their appearance and fit. The simple, straight answer to this question is no. Teeth shaving is the process of removing a small amount of enamel from the. Can I Ask My Dentist To Shave My Teeth.
From teethwalls.blogspot.com
How Much Does It Cost To Shave Teeth TeethWalls Can I Ask My Dentist To Shave My Teeth Teeth shaving is a procedure that narrows your teeth with a saw and grinder to create more space for braces or cosmetic reasons. Teeth shaving, also known as enameloplasty, is a process of removing a small amount of enamel from the teeth to improve their appearance and fit. Learn why you should not shave your own teeth, who should consider. Can I Ask My Dentist To Shave My Teeth.
From www.youtube.com
SHAVING MY TEETH DOWN FOR VENEERS lol jk my Invisalign journey YouTube Can I Ask My Dentist To Shave My Teeth As the today show recently reported, it isn’t safe to file down or shave your own teeth. Short answer is yes, your two front teeth can be filed down. Teeth shaving is the process of removing a small amount of enamel from the teeth to improve their appearance or fit braces. Teeth shaving is a procedure that narrows your teeth. Can I Ask My Dentist To Shave My Teeth.
From www.reddit.com
Before and after but I would have to shave my bottom teeth to get Can I Ask My Dentist To Shave My Teeth The simple, straight answer to this question is no. Why would someone need their teeth contoured? Teeth shaving is the process of removing a small amount of enamel from the teeth to improve their appearance or fit braces. Teeth shaving is a dental procedure that removes a small amount of enamel to change the shape of your teeth. Keep in. Can I Ask My Dentist To Shave My Teeth.
From r2dentistry.com
How Can I Ask My Dentist to Whiten My Teeth? Can I Ask My Dentist To Shave My Teeth Keep in mind that enamel has a thickness of 1mm on average. Teeth shaving is a procedure that narrows your teeth with a saw and grinder to create more space for braces or cosmetic reasons. Read on to learn exactly why you should never try to shave down or file down your teeth and what you should do instead. Short. Can I Ask My Dentist To Shave My Teeth.
From skydental.co.in
Questions you should always ask your dentist Sky Dental Can I Ask My Dentist To Shave My Teeth Short answer is yes, your two front teeth can be filed down. Read on to learn exactly why you should never try to shave down or file down your teeth and what you should do instead. It does not hurt, but it can damage enamel and cause gaps. Learn about the benefits, risks, costs and candidates of this procedure and. Can I Ask My Dentist To Shave My Teeth.
From www.reddit.com
I’m finally done! My before and after! They shaved my front teeth down Can I Ask My Dentist To Shave My Teeth As the today show recently reported, it isn’t safe to file down or shave your own teeth. Teeth shaving, also known as enameloplasty, is a process of removing a small amount of enamel from the teeth to improve their appearance and fit. Short answer is yes, your two front teeth can be filed down. Why would someone need their teeth. Can I Ask My Dentist To Shave My Teeth.
From sandiegoinvisaligndentist.org
Do you have to shave your teeth down to get veneers? Dental News Network Can I Ask My Dentist To Shave My Teeth Teeth shaving is a dental procedure that removes a small amount of enamel to change the shape of your teeth. Learn about the benefits, risks, costs and candidates of this procedure and why you should not do it at home. Why would someone need their teeth contoured? Teeth shaving is the process of removing a small amount of enamel from. Can I Ask My Dentist To Shave My Teeth.
From bestorthodontistusa.com
Teeth Shaving Before and After Costs Explained Can I Ask My Dentist To Shave My Teeth Teeth shaving, also known as enameloplasty, is a process of removing a small amount of enamel from the teeth to improve their appearance and fit. Hi, my teeth were shaved down 3 weeks ago and i’m doing as much research as possible before i allow another dentist to do anything else to my. The simple, straight answer to this question. Can I Ask My Dentist To Shave My Teeth.
From www.youtube.com
Teeth Shaving!?! What to know to avoid a bad experience. McKinney Can I Ask My Dentist To Shave My Teeth Teeth shaving is a dental procedure that removes a small amount of enamel to change the shape of your teeth. Learn about the reasons, benefits, and risks of this cosmetic. Short answer is yes, your two front teeth can be filed down. Learn about the benefits, risks, costs and candidates of this procedure and why you should not do it. Can I Ask My Dentist To Shave My Teeth.
From teethwalls.blogspot.com
How Much Does It Cost To Shave Teeth TeethWalls Can I Ask My Dentist To Shave My Teeth Learn about the reasons, benefits, and risks of this cosmetic. Keep in mind that enamel has a thickness of 1mm on average. Read on to learn exactly why you should never try to shave down or file down your teeth and what you should do instead. Teeth shaving is the process of removing a small amount of enamel from the. Can I Ask My Dentist To Shave My Teeth.
From peeldentalstudio.com.au
What Are Veneers A Detailed Guide By Peel Dental Studio Peel Dental Can I Ask My Dentist To Shave My Teeth It does not hurt, but it can damage enamel and cause gaps. Teeth shaving is the process of removing a small amount of enamel from the teeth to improve their appearance or fit braces. Hi, my teeth were shaved down 3 weeks ago and i’m doing as much research as possible before i allow another dentist to do anything else. Can I Ask My Dentist To Shave My Teeth.
From dentalhealthsociety.com
Shaving Teeth for Invisalign Dental Health Society Can I Ask My Dentist To Shave My Teeth Teeth shaving is a dental procedure that removes a small amount of enamel to change the shape of your teeth. Read on to learn exactly why you should never try to shave down or file down your teeth and what you should do instead. Why would someone need their teeth contoured? Teeth shaving is the process of removing a small. Can I Ask My Dentist To Shave My Teeth.
From www.lighthousedentalcentre.com
Do You Need to Shave Your Teeth for Veneers? Can I Ask My Dentist To Shave My Teeth Teeth shaving is a procedure that narrows your teeth with a saw and grinder to create more space for braces or cosmetic reasons. Teeth shaving is the process of removing a small amount of enamel from the teeth to improve their appearance or fit braces. Keep in mind that enamel has a thickness of 1mm on average. Short answer is. Can I Ask My Dentist To Shave My Teeth.
From www.shavingplanet.com
The Ultimate Guide to Shaving My Teeth Shaving Can I Ask My Dentist To Shave My Teeth Why would someone need their teeth contoured? As the today show recently reported, it isn’t safe to file down or shave your own teeth. Short answer is yes, your two front teeth can be filed down. Learn about the benefits, risks, costs and candidates of this procedure and why you should not do it at home. Teeth shaving, also known. Can I Ask My Dentist To Shave My Teeth.
From www.youtube.com
INVISALIGN UPDATE WEEK 28 TEETH SHAVING, MORE TIPS & PICTURES YouTube Can I Ask My Dentist To Shave My Teeth Hi, my teeth were shaved down 3 weeks ago and i’m doing as much research as possible before i allow another dentist to do anything else to my. Teeth shaving is the process of removing a small amount of enamel from the teeth to improve their appearance or fit braces. Teeth shaving is a procedure that narrows your teeth with. Can I Ask My Dentist To Shave My Teeth.
From www.reddit.com
My dentist shaved down my front teeth and I hate the result. What Can I Ask My Dentist To Shave My Teeth Teeth shaving is a dental procedure that removes a small amount of enamel to change the shape of your teeth. Read on to learn exactly why you should never try to shave down or file down your teeth and what you should do instead. Teeth shaving, also known as enameloplasty, is a process of removing a small amount of enamel. Can I Ask My Dentist To Shave My Teeth.
From www.youtube.com
Invisalign teeth shaving, new attachments & progress YouTube Can I Ask My Dentist To Shave My Teeth Learn about the reasons, benefits, and risks of this cosmetic. Learn why you should not shave your own teeth, who should consider shaving their teeth, and what are the benefits and risks of tooth shaving. Read on to learn exactly why you should never try to shave down or file down your teeth and what you should do instead. Teeth. Can I Ask My Dentist To Shave My Teeth.
From www.cdhp.org
Can I ask my dentist to shorten my teeth? (You'd Love To Know) Can I Ask My Dentist To Shave My Teeth Teeth shaving, also known as enameloplasty, is a process of removing a small amount of enamel from the teeth to improve their appearance and fit. Teeth shaving is the process of removing a small amount of enamel from the teeth to improve their appearance or fit braces. Short answer is yes, your two front teeth can be filed down. Teeth. Can I Ask My Dentist To Shave My Teeth.
From www.cdhp.org
Can I ask my dentist to shorten my teeth? (You'd Love To Know) Can I Ask My Dentist To Shave My Teeth Hi, my teeth were shaved down 3 weeks ago and i’m doing as much research as possible before i allow another dentist to do anything else to my. Teeth shaving is a procedure that narrows your teeth with a saw and grinder to create more space for braces or cosmetic reasons. Teeth shaving, also known as enameloplasty, is a process. Can I Ask My Dentist To Shave My Teeth.
From sandiegoinvisaligndentist.org
Can you shave dental implant Dental News Network Can I Ask My Dentist To Shave My Teeth As the today show recently reported, it isn’t safe to file down or shave your own teeth. Teeth shaving is a procedure that narrows your teeth with a saw and grinder to create more space for braces or cosmetic reasons. The simple, straight answer to this question is no. Learn about the reasons, benefits, and risks of this cosmetic. Short. Can I Ask My Dentist To Shave My Teeth.
From www.youtube.com
Do Teeth Need to be Filed or Shaved Down for Veneers? YouTube Can I Ask My Dentist To Shave My Teeth Short answer is yes, your two front teeth can be filed down. Why would someone need their teeth contoured? Keep in mind that enamel has a thickness of 1mm on average. Teeth shaving is the process of removing a small amount of enamel from the teeth to improve their appearance or fit braces. Teeth shaving is a dental procedure that. Can I Ask My Dentist To Shave My Teeth.
From sandiegoinvisaligndentist.org
Do you have to shave your teeth down to get veneers? Dental News Network Can I Ask My Dentist To Shave My Teeth Read on to learn exactly why you should never try to shave down or file down your teeth and what you should do instead. Learn about the reasons, benefits, and risks of this cosmetic. Teeth shaving is the process of removing a small amount of enamel from the teeth to improve their appearance or fit braces. As the today show. Can I Ask My Dentist To Shave My Teeth.
From www.youtube.com
Invisalign week 21 update / getting teeth shaved YouTube Can I Ask My Dentist To Shave My Teeth The simple, straight answer to this question is no. Learn why you should not shave your own teeth, who should consider shaving their teeth, and what are the benefits and risks of tooth shaving. Teeth shaving is the process of removing a small amount of enamel from the teeth to improve their appearance or fit braces. Hi, my teeth were. Can I Ask My Dentist To Shave My Teeth.
From kumraortho.com
Is it Normal to Shave Teeth for Invisalign? Kumra Orthodontics Can I Ask My Dentist To Shave My Teeth Learn about the reasons, benefits, and risks of this cosmetic. Teeth shaving, also known as enameloplasty, is a process of removing a small amount of enamel from the teeth to improve their appearance and fit. Why would someone need their teeth contoured? Keep in mind that enamel has a thickness of 1mm on average. Teeth shaving is the process of. Can I Ask My Dentist To Shave My Teeth.
From www.youtube.com
Shaving Teeth During Braces?!?! 😳 Orthodontist Explains… YouTube Can I Ask My Dentist To Shave My Teeth As the today show recently reported, it isn’t safe to file down or shave your own teeth. Teeth shaving is a procedure that narrows your teeth with a saw and grinder to create more space for braces or cosmetic reasons. Why would someone need their teeth contoured? Keep in mind that enamel has a thickness of 1mm on average. Teeth. Can I Ask My Dentist To Shave My Teeth.
From trustdentalcare.com
How Much Do They Have to Shave Your Teeth for Veneers? Can I Ask My Dentist To Shave My Teeth Learn why you should not shave your own teeth, who should consider shaving their teeth, and what are the benefits and risks of tooth shaving. Teeth shaving is a procedure that narrows your teeth with a saw and grinder to create more space for braces or cosmetic reasons. Teeth shaving is the process of removing a small amount of enamel. Can I Ask My Dentist To Shave My Teeth.
From www.pinterest.com
Shaving the Bone to Fit Dentures? Emergency dentist, Dentist Can I Ask My Dentist To Shave My Teeth The simple, straight answer to this question is no. Keep in mind that enamel has a thickness of 1mm on average. Teeth shaving is a procedure that narrows your teeth with a saw and grinder to create more space for braces or cosmetic reasons. Hi, my teeth were shaved down 3 weeks ago and i’m doing as much research as. Can I Ask My Dentist To Shave My Teeth.
From www.shavingplanet.com
The Ultimate Guide to Shaving My Teeth Shaving Can I Ask My Dentist To Shave My Teeth Keep in mind that enamel has a thickness of 1mm on average. Learn about the benefits, risks, costs and candidates of this procedure and why you should not do it at home. Teeth shaving is a procedure that narrows your teeth with a saw and grinder to create more space for braces or cosmetic reasons. Teeth shaving, also known as. Can I Ask My Dentist To Shave My Teeth.
From bespokesmile.co.uk
How Dangerous Is Teeth Shaving? Bespoke Smile Can I Ask My Dentist To Shave My Teeth Teeth shaving is a dental procedure that removes a small amount of enamel to change the shape of your teeth. Hi, my teeth were shaved down 3 weeks ago and i’m doing as much research as possible before i allow another dentist to do anything else to my. Teeth shaving, also known as enameloplasty, is a process of removing a. Can I Ask My Dentist To Shave My Teeth.
From ar.inspiredpencil.com
Teeth Shaving Before And After Can I Ask My Dentist To Shave My Teeth Read on to learn exactly why you should never try to shave down or file down your teeth and what you should do instead. Short answer is yes, your two front teeth can be filed down. Teeth shaving is a procedure that narrows your teeth with a saw and grinder to create more space for braces or cosmetic reasons. Hi,. Can I Ask My Dentist To Shave My Teeth.
From www.stgeorgesmiles.com
What’s The Purpose Of Tooth Shaving? Riverside Dental Can I Ask My Dentist To Shave My Teeth The simple, straight answer to this question is no. It does not hurt, but it can damage enamel and cause gaps. Learn why you should not shave your own teeth, who should consider shaving their teeth, and what are the benefits and risks of tooth shaving. Teeth shaving is a dental procedure that removes a small amount of enamel to. Can I Ask My Dentist To Shave My Teeth.
From enlightio.com
100 Questions to Ask a Dentist Can I Ask My Dentist To Shave My Teeth Hi, my teeth were shaved down 3 weeks ago and i’m doing as much research as possible before i allow another dentist to do anything else to my. Learn about the benefits, risks, costs and candidates of this procedure and why you should not do it at home. Teeth shaving, also known as enameloplasty, is a process of removing a. Can I Ask My Dentist To Shave My Teeth.
From www.shavingplanet.com
The Ultimate Guide to Shaving My Teeth Shaving Can I Ask My Dentist To Shave My Teeth Learn about the reasons, benefits, and risks of this cosmetic. It does not hurt, but it can damage enamel and cause gaps. Short answer is yes, your two front teeth can be filed down. Teeth shaving is a procedure that narrows your teeth with a saw and grinder to create more space for braces or cosmetic reasons. Teeth shaving, also. Can I Ask My Dentist To Shave My Teeth.