What Is Hybrid Dentures . In a hybrid denture, the prosthetic teeth are fixed onto dental implants, creating a permanent solution. It consists of a fixed framework supported. A fixed denture — sometimes called a hybrid denture — attaches permanently to dental implants in your jawbone. They are commonly known as. A fixed hybrid denture combines a removable denture and a set of dental implants. You can’t remove it at home, but your dentist can. Hybrid dentures are a set of permanent dentures attached to your implants on the jawbone. Because a hybrid denture is secured into place. As the name implies, hybrid implant dentures consist of dentures that are fixed onto implants. A hybrid denture is a dental prosthesis that combines the stability of dental implants with the affordability of removable dentures. What is a hybrid denture? An overdenture rests on dental implants but can be removed. These dentures are called hybrids because they are both fixed and removable.
from www.artdentallab.com
These dentures are called hybrids because they are both fixed and removable. A fixed denture — sometimes called a hybrid denture — attaches permanently to dental implants in your jawbone. An overdenture rests on dental implants but can be removed. Hybrid dentures are a set of permanent dentures attached to your implants on the jawbone. A fixed hybrid denture combines a removable denture and a set of dental implants. They are commonly known as. What is a hybrid denture? Because a hybrid denture is secured into place. You can’t remove it at home, but your dentist can. As the name implies, hybrid implant dentures consist of dentures that are fixed onto implants.
Hybrid Dentures Art Dental Lab
What Is Hybrid Dentures In a hybrid denture, the prosthetic teeth are fixed onto dental implants, creating a permanent solution. It consists of a fixed framework supported. These dentures are called hybrids because they are both fixed and removable. A fixed denture — sometimes called a hybrid denture — attaches permanently to dental implants in your jawbone. Hybrid dentures are a set of permanent dentures attached to your implants on the jawbone. In a hybrid denture, the prosthetic teeth are fixed onto dental implants, creating a permanent solution. What is a hybrid denture? You can’t remove it at home, but your dentist can. Because a hybrid denture is secured into place. They are commonly known as. A fixed hybrid denture combines a removable denture and a set of dental implants. A hybrid denture is a dental prosthesis that combines the stability of dental implants with the affordability of removable dentures. As the name implies, hybrid implant dentures consist of dentures that are fixed onto implants. An overdenture rests on dental implants but can be removed.
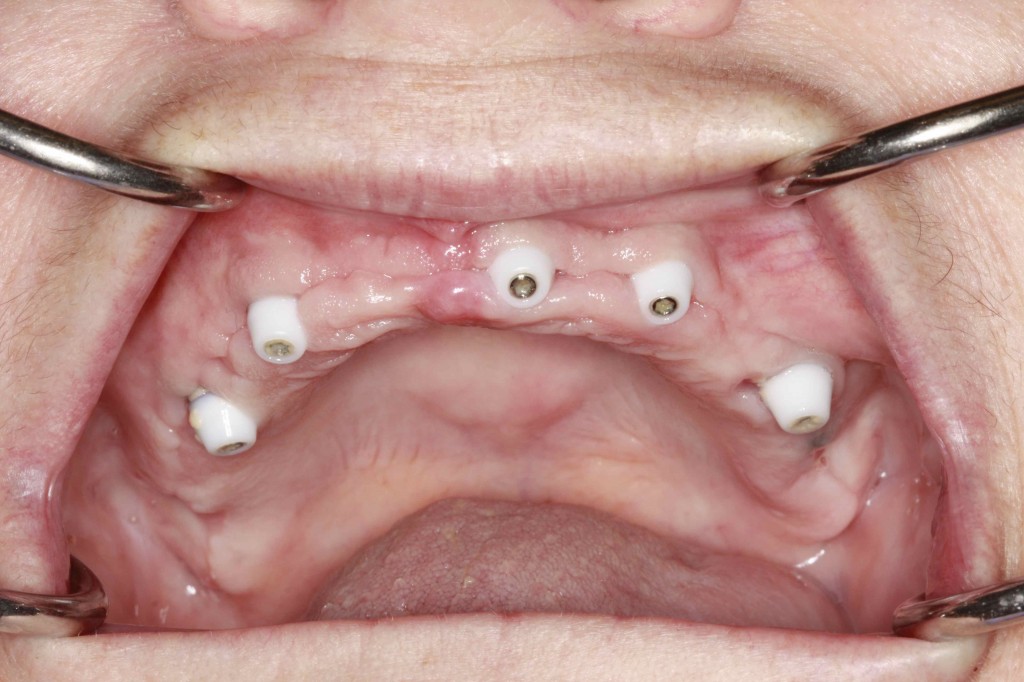
From www.bauersmiles.com
Dental code hybrid denture Locator denture code Hybrid code Bauer What Is Hybrid Dentures A fixed hybrid denture combines a removable denture and a set of dental implants. As the name implies, hybrid implant dentures consist of dentures that are fixed onto implants. It consists of a fixed framework supported. In a hybrid denture, the prosthetic teeth are fixed onto dental implants, creating a permanent solution. These dentures are called hybrids because they are. What Is Hybrid Dentures.
From www.moderndentalusa.com
Hybrid Denture — MODERN DENTAL What Is Hybrid Dentures As the name implies, hybrid implant dentures consist of dentures that are fixed onto implants. In a hybrid denture, the prosthetic teeth are fixed onto dental implants, creating a permanent solution. You can’t remove it at home, but your dentist can. A hybrid denture is a dental prosthesis that combines the stability of dental implants with the affordability of removable. What Is Hybrid Dentures.
From ashforddentalcentre.com.sg
Implantsupported Hybrid Dentures Ashford Dental What Is Hybrid Dentures A hybrid denture is a dental prosthesis that combines the stability of dental implants with the affordability of removable dentures. It consists of a fixed framework supported. What is a hybrid denture? You can’t remove it at home, but your dentist can. An overdenture rests on dental implants but can be removed. As the name implies, hybrid implant dentures consist. What Is Hybrid Dentures.
From www.lovettdental.com
Hybrid Fixed Dentures Specialty Dentistry Lovett Dental TX What Is Hybrid Dentures Hybrid dentures are a set of permanent dentures attached to your implants on the jawbone. It consists of a fixed framework supported. An overdenture rests on dental implants but can be removed. What is a hybrid denture? You can’t remove it at home, but your dentist can. These dentures are called hybrids because they are both fixed and removable. In. What Is Hybrid Dentures.
From procaredentureclinic.com
Implant Supported Dentures ProCare Denture & Implant Clinic South What Is Hybrid Dentures You can’t remove it at home, but your dentist can. Because a hybrid denture is secured into place. What is a hybrid denture? Hybrid dentures are a set of permanent dentures attached to your implants on the jawbone. They are commonly known as. These dentures are called hybrids because they are both fixed and removable. A hybrid denture is a. What Is Hybrid Dentures.
From www.firstimpressiondentalfresno.com
Hybrid Implant Dentures First Impression Dental Fresno General Dentists What Is Hybrid Dentures What is a hybrid denture? An overdenture rests on dental implants but can be removed. A fixed hybrid denture combines a removable denture and a set of dental implants. They are commonly known as. These dentures are called hybrids because they are both fixed and removable. A hybrid denture is a dental prosthesis that combines the stability of dental implants. What Is Hybrid Dentures.
From teethwisdom.org
What is a Hybrid Denture? Teeth Wisdom What Is Hybrid Dentures Hybrid dentures are a set of permanent dentures attached to your implants on the jawbone. An overdenture rests on dental implants but can be removed. As the name implies, hybrid implant dentures consist of dentures that are fixed onto implants. In a hybrid denture, the prosthetic teeth are fixed onto dental implants, creating a permanent solution. What is a hybrid. What Is Hybrid Dentures.
From www.uptownprosthodontics.com
Hybrid Denture AllOnFour in Aurora CO Before & After What Is Hybrid Dentures It consists of a fixed framework supported. These dentures are called hybrids because they are both fixed and removable. A hybrid denture is a dental prosthesis that combines the stability of dental implants with the affordability of removable dentures. A fixed denture — sometimes called a hybrid denture — attaches permanently to dental implants in your jawbone. You can’t remove. What Is Hybrid Dentures.
From www.loudounsmilecenter.com
Smile Again With Hybrid Dentures What Is Hybrid Dentures What is a hybrid denture? Because a hybrid denture is secured into place. In a hybrid denture, the prosthetic teeth are fixed onto dental implants, creating a permanent solution. You can’t remove it at home, but your dentist can. An overdenture rests on dental implants but can be removed. As the name implies, hybrid implant dentures consist of dentures that. What Is Hybrid Dentures.
From www.artdentallab.com
Hybrid Dentures Art Dental Lab What Is Hybrid Dentures Because a hybrid denture is secured into place. You can’t remove it at home, but your dentist can. A hybrid denture is a dental prosthesis that combines the stability of dental implants with the affordability of removable dentures. What is a hybrid denture? It consists of a fixed framework supported. Hybrid dentures are a set of permanent dentures attached to. What Is Hybrid Dentures.
From www.positivelypda.com
Palmetto Dental Associates — Hybrid / Allon4 Dentures What Is Hybrid Dentures An overdenture rests on dental implants but can be removed. As the name implies, hybrid implant dentures consist of dentures that are fixed onto implants. What is a hybrid denture? It consists of a fixed framework supported. They are commonly known as. A fixed denture — sometimes called a hybrid denture — attaches permanently to dental implants in your jawbone.. What Is Hybrid Dentures.
From procaredentureclinic.com
Fixed Implant Retained Hybrid Dentures ProCare Denture Clinic What Is Hybrid Dentures Hybrid dentures are a set of permanent dentures attached to your implants on the jawbone. A fixed hybrid denture combines a removable denture and a set of dental implants. You can’t remove it at home, but your dentist can. An overdenture rests on dental implants but can be removed. As the name implies, hybrid implant dentures consist of dentures that. What Is Hybrid Dentures.
From burbankdental.com
The Hybrid Denture in a Class of its Own Burbank Dental Lab What Is Hybrid Dentures Because a hybrid denture is secured into place. It consists of a fixed framework supported. As the name implies, hybrid implant dentures consist of dentures that are fixed onto implants. A fixed hybrid denture combines a removable denture and a set of dental implants. They are commonly known as. An overdenture rests on dental implants but can be removed. What. What Is Hybrid Dentures.
From procaredentureclinic.com
Fixed Implant Retained Hybrid Dentures ProCare Denture Clinic What Is Hybrid Dentures They are commonly known as. A fixed hybrid denture combines a removable denture and a set of dental implants. Hybrid dentures are a set of permanent dentures attached to your implants on the jawbone. An overdenture rests on dental implants but can be removed. What is a hybrid denture? As the name implies, hybrid implant dentures consist of dentures that. What Is Hybrid Dentures.
From marylandholisticdentist.com
Snap on Dentures vs All on 4 Permanent Implants What Is Hybrid Dentures Hybrid dentures are a set of permanent dentures attached to your implants on the jawbone. You can’t remove it at home, but your dentist can. What is a hybrid denture? It consists of a fixed framework supported. A hybrid denture is a dental prosthesis that combines the stability of dental implants with the affordability of removable dentures. A fixed hybrid. What Is Hybrid Dentures.
From parthadental.com
Improve Your Smile With Hybrid Dentures At Partha Dental What Is Hybrid Dentures You can’t remove it at home, but your dentist can. An overdenture rests on dental implants but can be removed. What is a hybrid denture? Hybrid dentures are a set of permanent dentures attached to your implants on the jawbone. A hybrid denture is a dental prosthesis that combines the stability of dental implants with the affordability of removable dentures.. What Is Hybrid Dentures.
From tahlequahdental.com
Dentures Dentist Tahlequah, OK Premiere Dentistry What Is Hybrid Dentures A fixed hybrid denture combines a removable denture and a set of dental implants. Because a hybrid denture is secured into place. As the name implies, hybrid implant dentures consist of dentures that are fixed onto implants. You can’t remove it at home, but your dentist can. In a hybrid denture, the prosthetic teeth are fixed onto dental implants, creating. What Is Hybrid Dentures.
From www.plantationroaddental.com
Are Fixed Hybrid Dentures Right For Me? Plantation Road Dental Care What Is Hybrid Dentures What is a hybrid denture? A fixed denture — sometimes called a hybrid denture — attaches permanently to dental implants in your jawbone. These dentures are called hybrids because they are both fixed and removable. A fixed hybrid denture combines a removable denture and a set of dental implants. An overdenture rests on dental implants but can be removed. A. What Is Hybrid Dentures.
From www.artdentallab.com
Hybrid Dentures Art Dental Lab What Is Hybrid Dentures They are commonly known as. A fixed denture — sometimes called a hybrid denture — attaches permanently to dental implants in your jawbone. A hybrid denture is a dental prosthesis that combines the stability of dental implants with the affordability of removable dentures. These dentures are called hybrids because they are both fixed and removable. A fixed hybrid denture combines. What Is Hybrid Dentures.
From www.wellingtonlaserdentistry.com
Implant Supported OverDentures & Hybrids Wellington FL, Wellington What Is Hybrid Dentures It consists of a fixed framework supported. A hybrid denture is a dental prosthesis that combines the stability of dental implants with the affordability of removable dentures. What is a hybrid denture? Hybrid dentures are a set of permanent dentures attached to your implants on the jawbone. In a hybrid denture, the prosthetic teeth are fixed onto dental implants, creating. What Is Hybrid Dentures.
From sweetdentures.com
Hybrid Dentures in Port Orange, FL Sweet Comfort Dentures What Is Hybrid Dentures It consists of a fixed framework supported. A hybrid denture is a dental prosthesis that combines the stability of dental implants with the affordability of removable dentures. An overdenture rests on dental implants but can be removed. A fixed hybrid denture combines a removable denture and a set of dental implants. In a hybrid denture, the prosthetic teeth are fixed. What Is Hybrid Dentures.
From burbankdental.com
The Hybrid Denture in a Class of its Own Burbank Dental Lab What Is Hybrid Dentures Hybrid dentures are a set of permanent dentures attached to your implants on the jawbone. What is a hybrid denture? As the name implies, hybrid implant dentures consist of dentures that are fixed onto implants. It consists of a fixed framework supported. These dentures are called hybrids because they are both fixed and removable. A hybrid denture is a dental. What Is Hybrid Dentures.
From dxorrzljt.blob.core.windows.net
Dental Codes For Hybrid Denture at Jonathan Harris blog What Is Hybrid Dentures A hybrid denture is a dental prosthesis that combines the stability of dental implants with the affordability of removable dentures. An overdenture rests on dental implants but can be removed. It consists of a fixed framework supported. What is a hybrid denture? You can’t remove it at home, but your dentist can. They are commonly known as. These dentures are. What Is Hybrid Dentures.
From www.advancedsedationdds.com
Hybrid Dentures in Chesapeake, VA Advanced Sedation Dentistry What Is Hybrid Dentures Because a hybrid denture is secured into place. An overdenture rests on dental implants but can be removed. A hybrid denture is a dental prosthesis that combines the stability of dental implants with the affordability of removable dentures. Hybrid dentures are a set of permanent dentures attached to your implants on the jawbone. A fixed hybrid denture combines a removable. What Is Hybrid Dentures.
From www.artdentallab.com
Hybrid Dentures Art Dental Lab What Is Hybrid Dentures An overdenture rests on dental implants but can be removed. These dentures are called hybrids because they are both fixed and removable. Hybrid dentures are a set of permanent dentures attached to your implants on the jawbone. A fixed hybrid denture combines a removable denture and a set of dental implants. As the name implies, hybrid implant dentures consist of. What Is Hybrid Dentures.
From www.speareducation.com
Denture to Interim Hybrid Using the Ministar Spear Education What Is Hybrid Dentures They are commonly known as. A fixed denture — sometimes called a hybrid denture — attaches permanently to dental implants in your jawbone. A hybrid denture is a dental prosthesis that combines the stability of dental implants with the affordability of removable dentures. As the name implies, hybrid implant dentures consist of dentures that are fixed onto implants. In a. What Is Hybrid Dentures.
From www.georgetownsmile.com
What is a Hybrid Denture? What Is Hybrid Dentures A fixed hybrid denture combines a removable denture and a set of dental implants. A fixed denture — sometimes called a hybrid denture — attaches permanently to dental implants in your jawbone. It consists of a fixed framework supported. A hybrid denture is a dental prosthesis that combines the stability of dental implants with the affordability of removable dentures. An. What Is Hybrid Dentures.
From www.ahsmiles.com
What are Fixed Hybrid Dentures? Arlington Heights, IL Dentist What Is Hybrid Dentures As the name implies, hybrid implant dentures consist of dentures that are fixed onto implants. Because a hybrid denture is secured into place. It consists of a fixed framework supported. What is a hybrid denture? Hybrid dentures are a set of permanent dentures attached to your implants on the jawbone. These dentures are called hybrids because they are both fixed. What Is Hybrid Dentures.
From burbankdental.com
Dental Implant Hybrid Restorations Burbank Dental Lab What Is Hybrid Dentures As the name implies, hybrid implant dentures consist of dentures that are fixed onto implants. They are commonly known as. Because a hybrid denture is secured into place. What is a hybrid denture? A fixed hybrid denture combines a removable denture and a set of dental implants. A hybrid denture is a dental prosthesis that combines the stability of dental. What Is Hybrid Dentures.
From www.youtube.com
Fixed Denture / Hybrid Denture / Allon4 Dental Implants YouTube What Is Hybrid Dentures You can’t remove it at home, but your dentist can. They are commonly known as. Hybrid dentures are a set of permanent dentures attached to your implants on the jawbone. A fixed denture — sometimes called a hybrid denture — attaches permanently to dental implants in your jawbone. What is a hybrid denture? A fixed hybrid denture combines a removable. What Is Hybrid Dentures.
From thedentalclinicthane.com
Post Operative Care for Fixed Hybrid Dentures Dental Clinic in Thane West What Is Hybrid Dentures These dentures are called hybrids because they are both fixed and removable. A hybrid denture is a dental prosthesis that combines the stability of dental implants with the affordability of removable dentures. It consists of a fixed framework supported. They are commonly known as. Hybrid dentures are a set of permanent dentures attached to your implants on the jawbone. An. What Is Hybrid Dentures.
From procaredentureclinic.com
Fixed Implant Retained Hybrid Dentures ProCare Denture Clinic What Is Hybrid Dentures A hybrid denture is a dental prosthesis that combines the stability of dental implants with the affordability of removable dentures. An overdenture rests on dental implants but can be removed. A fixed denture — sometimes called a hybrid denture — attaches permanently to dental implants in your jawbone. Because a hybrid denture is secured into place. A fixed hybrid denture. What Is Hybrid Dentures.
From ballantynedentistry.com
Hybrid Dentures Charlotte’s Premier Cosmetic, Sedation, and Implant What Is Hybrid Dentures They are commonly known as. In a hybrid denture, the prosthetic teeth are fixed onto dental implants, creating a permanent solution. An overdenture rests on dental implants but can be removed. Hybrid dentures are a set of permanent dentures attached to your implants on the jawbone. A fixed denture — sometimes called a hybrid denture — attaches permanently to dental. What Is Hybrid Dentures.
From dentureish.com
What Is A Hybrid Denture? What Is Hybrid Dentures They are commonly known as. An overdenture rests on dental implants but can be removed. It consists of a fixed framework supported. In a hybrid denture, the prosthetic teeth are fixed onto dental implants, creating a permanent solution. What is a hybrid denture? Hybrid dentures are a set of permanent dentures attached to your implants on the jawbone. A hybrid. What Is Hybrid Dentures.
From www.bauersmiles.com
Hybrid denture What Is Hybrid Dentures A hybrid denture is a dental prosthesis that combines the stability of dental implants with the affordability of removable dentures. Hybrid dentures are a set of permanent dentures attached to your implants on the jawbone. A fixed denture — sometimes called a hybrid denture — attaches permanently to dental implants in your jawbone. A fixed hybrid denture combines a removable. What Is Hybrid Dentures.