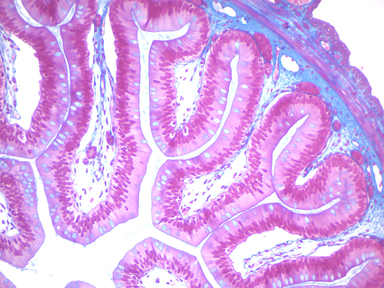
Amphibian Simple Columnar Epithelium Location . Simple columnar epithelium is also found lining urine collecting ducts in the renal (kidney) pelvis and lining the fallopian tubes (oviducts) and uterus. Rectangular shaped cells with nucleus at the base, goblet cells with mucus, cilia, and basement. All feature an aquatic larval stage. Simple columnar epithelium is a single layer of tall, narrow cells with oval nuclei that are close to the basement membrane. Simple columnar epithelium (figure 11.5) identify: Location and examples of simple columnar epithelium. Learn its anatomy on kenhub! Functions of the simple columnar epithelium. Structure of the simple columnar epithelium. Next, have students view the amphibian simple columnar epithelium and identify the type of tissue on this slide. Amphibians, members of the phylum chordata, are a class of animals that includes the frogs, toads, salamanders, and caecilians. The tissue is classified by the number of cell layers it has (simple=1 cell layer, stratified = more than 1 cell layer) and the shape of the cells.
from animalia-life.club
All feature an aquatic larval stage. Amphibians, members of the phylum chordata, are a class of animals that includes the frogs, toads, salamanders, and caecilians. Location and examples of simple columnar epithelium. Learn its anatomy on kenhub! The tissue is classified by the number of cell layers it has (simple=1 cell layer, stratified = more than 1 cell layer) and the shape of the cells. Functions of the simple columnar epithelium. Simple columnar epithelium (figure 11.5) identify: Structure of the simple columnar epithelium. Simple columnar epithelium is a single layer of tall, narrow cells with oval nuclei that are close to the basement membrane. Simple columnar epithelium is also found lining urine collecting ducts in the renal (kidney) pelvis and lining the fallopian tubes (oviducts) and uterus.
Simple Columnar Epithelial Tissue
Amphibian Simple Columnar Epithelium Location The tissue is classified by the number of cell layers it has (simple=1 cell layer, stratified = more than 1 cell layer) and the shape of the cells. Functions of the simple columnar epithelium. The tissue is classified by the number of cell layers it has (simple=1 cell layer, stratified = more than 1 cell layer) and the shape of the cells. All feature an aquatic larval stage. Simple columnar epithelium is also found lining urine collecting ducts in the renal (kidney) pelvis and lining the fallopian tubes (oviducts) and uterus. Simple columnar epithelium is a single layer of tall, narrow cells with oval nuclei that are close to the basement membrane. Location and examples of simple columnar epithelium. Learn its anatomy on kenhub! Next, have students view the amphibian simple columnar epithelium and identify the type of tissue on this slide. Rectangular shaped cells with nucleus at the base, goblet cells with mucus, cilia, and basement. Amphibians, members of the phylum chordata, are a class of animals that includes the frogs, toads, salamanders, and caecilians. Simple columnar epithelium (figure 11.5) identify: Structure of the simple columnar epithelium.
From mungfali.com
Simple Columnar Epithelium Labeled Diagram Amphibian Simple Columnar Epithelium Location Amphibians, members of the phylum chordata, are a class of animals that includes the frogs, toads, salamanders, and caecilians. Location and examples of simple columnar epithelium. Next, have students view the amphibian simple columnar epithelium and identify the type of tissue on this slide. Functions of the simple columnar epithelium. All feature an aquatic larval stage. Simple columnar epithelium is. Amphibian Simple Columnar Epithelium Location.
From animalia-life.club
Simple Columnar Epithelial Tissue Amphibian Simple Columnar Epithelium Location Location and examples of simple columnar epithelium. All feature an aquatic larval stage. Learn its anatomy on kenhub! Simple columnar epithelium is a single layer of tall, narrow cells with oval nuclei that are close to the basement membrane. Simple columnar epithelium (figure 11.5) identify: Structure of the simple columnar epithelium. Functions of the simple columnar epithelium. Simple columnar epithelium. Amphibian Simple Columnar Epithelium Location.
From narodnatribuna.info
Simple Columnar Epithelium A Labeled Diagram And Functions Amphibian Simple Columnar Epithelium Location Next, have students view the amphibian simple columnar epithelium and identify the type of tissue on this slide. All feature an aquatic larval stage. Simple columnar epithelium is also found lining urine collecting ducts in the renal (kidney) pelvis and lining the fallopian tubes (oviducts) and uterus. Simple columnar epithelium is a single layer of tall, narrow cells with oval. Amphibian Simple Columnar Epithelium Location.
From mungfali.com
Simple Columnar Epithelium Labeled Diagram Amphibian Simple Columnar Epithelium Location Simple columnar epithelium (figure 11.5) identify: Amphibians, members of the phylum chordata, are a class of animals that includes the frogs, toads, salamanders, and caecilians. Location and examples of simple columnar epithelium. All feature an aquatic larval stage. Rectangular shaped cells with nucleus at the base, goblet cells with mucus, cilia, and basement. Functions of the simple columnar epithelium. Next,. Amphibian Simple Columnar Epithelium Location.
From www.pinterest.nz
Simple Columnar Epithelium Description Single layer of elongated Amphibian Simple Columnar Epithelium Location The tissue is classified by the number of cell layers it has (simple=1 cell layer, stratified = more than 1 cell layer) and the shape of the cells. Next, have students view the amphibian simple columnar epithelium and identify the type of tissue on this slide. Structure of the simple columnar epithelium. All feature an aquatic larval stage. Simple columnar. Amphibian Simple Columnar Epithelium Location.
From animalia-life.club
Simple Columnar Epithelial Tissue Amphibian Simple Columnar Epithelium Location Simple columnar epithelium (figure 11.5) identify: Location and examples of simple columnar epithelium. Amphibians, members of the phylum chordata, are a class of animals that includes the frogs, toads, salamanders, and caecilians. Learn its anatomy on kenhub! Simple columnar epithelium is a single layer of tall, narrow cells with oval nuclei that are close to the basement membrane. The tissue. Amphibian Simple Columnar Epithelium Location.
From mavink.com
Simple Columnar Epithelium Under Microscope Amphibian Simple Columnar Epithelium Location All feature an aquatic larval stage. Amphibians, members of the phylum chordata, are a class of animals that includes the frogs, toads, salamanders, and caecilians. Simple columnar epithelium is also found lining urine collecting ducts in the renal (kidney) pelvis and lining the fallopian tubes (oviducts) and uterus. The tissue is classified by the number of cell layers it has. Amphibian Simple Columnar Epithelium Location.
From narodnatribuna.info
Simple Columnar Epithelium A Labeled Diagram And Functions Amphibian Simple Columnar Epithelium Location Location and examples of simple columnar epithelium. Next, have students view the amphibian simple columnar epithelium and identify the type of tissue on this slide. Rectangular shaped cells with nucleus at the base, goblet cells with mucus, cilia, and basement. Learn its anatomy on kenhub! The tissue is classified by the number of cell layers it has (simple=1 cell layer,. Amphibian Simple Columnar Epithelium Location.
From quizlet.com
Simple Columnar Epithelium. Diagram Quizlet Amphibian Simple Columnar Epithelium Location All feature an aquatic larval stage. Simple columnar epithelium is also found lining urine collecting ducts in the renal (kidney) pelvis and lining the fallopian tubes (oviducts) and uterus. Next, have students view the amphibian simple columnar epithelium and identify the type of tissue on this slide. Amphibians, members of the phylum chordata, are a class of animals that includes. Amphibian Simple Columnar Epithelium Location.
From www.youtube.com
Simple Columnar Epithelium Location Function Types YouTube Amphibian Simple Columnar Epithelium Location Simple columnar epithelium is a single layer of tall, narrow cells with oval nuclei that are close to the basement membrane. Structure of the simple columnar epithelium. Simple columnar epithelium (figure 11.5) identify: All feature an aquatic larval stage. The tissue is classified by the number of cell layers it has (simple=1 cell layer, stratified = more than 1 cell. Amphibian Simple Columnar Epithelium Location.
From mungfali.com
Simple Columnar Epithelium Diagram Amphibian Simple Columnar Epithelium Location Structure of the simple columnar epithelium. Rectangular shaped cells with nucleus at the base, goblet cells with mucus, cilia, and basement. Learn its anatomy on kenhub! Amphibians, members of the phylum chordata, are a class of animals that includes the frogs, toads, salamanders, and caecilians. All feature an aquatic larval stage. The tissue is classified by the number of cell. Amphibian Simple Columnar Epithelium Location.
From pixels.com
Simple Columnar Epithelium Photograph by Jose Calvo / Science Photo Amphibian Simple Columnar Epithelium Location Functions of the simple columnar epithelium. Location and examples of simple columnar epithelium. All feature an aquatic larval stage. Simple columnar epithelium (figure 11.5) identify: Simple columnar epithelium is also found lining urine collecting ducts in the renal (kidney) pelvis and lining the fallopian tubes (oviducts) and uterus. The tissue is classified by the number of cell layers it has. Amphibian Simple Columnar Epithelium Location.
From www.slideserve.com
PPT Lab 1 Histology PowerPoint Presentation, free download ID6911677 Amphibian Simple Columnar Epithelium Location The tissue is classified by the number of cell layers it has (simple=1 cell layer, stratified = more than 1 cell layer) and the shape of the cells. Structure of the simple columnar epithelium. Simple columnar epithelium is also found lining urine collecting ducts in the renal (kidney) pelvis and lining the fallopian tubes (oviducts) and uterus. Simple columnar epithelium. Amphibian Simple Columnar Epithelium Location.
From www.researchgate.net
The cells of the colon. The surface epithelium is a simple columnar Amphibian Simple Columnar Epithelium Location All feature an aquatic larval stage. Simple columnar epithelium is also found lining urine collecting ducts in the renal (kidney) pelvis and lining the fallopian tubes (oviducts) and uterus. Functions of the simple columnar epithelium. Next, have students view the amphibian simple columnar epithelium and identify the type of tissue on this slide. Rectangular shaped cells with nucleus at the. Amphibian Simple Columnar Epithelium Location.
From courses.lumenlearning.com
Epithelial Tissues Biology for NonMajors II Amphibian Simple Columnar Epithelium Location The tissue is classified by the number of cell layers it has (simple=1 cell layer, stratified = more than 1 cell layer) and the shape of the cells. Learn its anatomy on kenhub! Location and examples of simple columnar epithelium. Simple columnar epithelium (figure 11.5) identify: Structure of the simple columnar epithelium. Functions of the simple columnar epithelium. All feature. Amphibian Simple Columnar Epithelium Location.
From cetfggbk.blob.core.windows.net
Function Of Simple Columnar Epithelial Tissue at Jeffrey Stumpf blog Amphibian Simple Columnar Epithelium Location All feature an aquatic larval stage. Simple columnar epithelium is a single layer of tall, narrow cells with oval nuclei that are close to the basement membrane. Learn its anatomy on kenhub! Functions of the simple columnar epithelium. Location and examples of simple columnar epithelium. The tissue is classified by the number of cell layers it has (simple=1 cell layer,. Amphibian Simple Columnar Epithelium Location.
From quizlet.com
simple columnar epithelium Diagram Quizlet Amphibian Simple Columnar Epithelium Location Simple columnar epithelium is also found lining urine collecting ducts in the renal (kidney) pelvis and lining the fallopian tubes (oviducts) and uterus. The tissue is classified by the number of cell layers it has (simple=1 cell layer, stratified = more than 1 cell layer) and the shape of the cells. Location and examples of simple columnar epithelium. Learn its. Amphibian Simple Columnar Epithelium Location.
From endolab.ciscourses.com
Simple columnar epithelium Amphibian Simple Columnar Epithelium Location Learn its anatomy on kenhub! Amphibians, members of the phylum chordata, are a class of animals that includes the frogs, toads, salamanders, and caecilians. Next, have students view the amphibian simple columnar epithelium and identify the type of tissue on this slide. Functions of the simple columnar epithelium. Simple columnar epithelium is a single layer of tall, narrow cells with. Amphibian Simple Columnar Epithelium Location.
From www.tpsearchtool.com
Histology Simple Columnar Epithelial Tissue Histology Slides Images Amphibian Simple Columnar Epithelium Location The tissue is classified by the number of cell layers it has (simple=1 cell layer, stratified = more than 1 cell layer) and the shape of the cells. Simple columnar epithelium is also found lining urine collecting ducts in the renal (kidney) pelvis and lining the fallopian tubes (oviducts) and uterus. Location and examples of simple columnar epithelium. Amphibians, members. Amphibian Simple Columnar Epithelium Location.
From quizlet.com
Epithelia Simple Columnar (in red) Diagram Quizlet Amphibian Simple Columnar Epithelium Location All feature an aquatic larval stage. Simple columnar epithelium (figure 11.5) identify: Simple columnar epithelium is also found lining urine collecting ducts in the renal (kidney) pelvis and lining the fallopian tubes (oviducts) and uterus. Location and examples of simple columnar epithelium. Next, have students view the amphibian simple columnar epithelium and identify the type of tissue on this slide.. Amphibian Simple Columnar Epithelium Location.
From www.carolina.com
Amphibian Simple Columnar Epithelium, sec. 7 µm, Mallory's Stain Amphibian Simple Columnar Epithelium Location Simple columnar epithelium is a single layer of tall, narrow cells with oval nuclei that are close to the basement membrane. Amphibians, members of the phylum chordata, are a class of animals that includes the frogs, toads, salamanders, and caecilians. Location and examples of simple columnar epithelium. Rectangular shaped cells with nucleus at the base, goblet cells with mucus, cilia,. Amphibian Simple Columnar Epithelium Location.
From study.com
Ciliated Epithelium Structure, Location & Function Lesson Amphibian Simple Columnar Epithelium Location Rectangular shaped cells with nucleus at the base, goblet cells with mucus, cilia, and basement. Amphibians, members of the phylum chordata, are a class of animals that includes the frogs, toads, salamanders, and caecilians. Simple columnar epithelium (figure 11.5) identify: Learn its anatomy on kenhub! Simple columnar epithelium is a single layer of tall, narrow cells with oval nuclei that. Amphibian Simple Columnar Epithelium Location.
From mavink.com
Simple Columnar Epithelium Function Amphibian Simple Columnar Epithelium Location Structure of the simple columnar epithelium. Location and examples of simple columnar epithelium. Rectangular shaped cells with nucleus at the base, goblet cells with mucus, cilia, and basement. Next, have students view the amphibian simple columnar epithelium and identify the type of tissue on this slide. Simple columnar epithelium (figure 11.5) identify: The tissue is classified by the number of. Amphibian Simple Columnar Epithelium Location.
From quizlet.com
Simple Columnar Epithelium Diagram Quizlet Amphibian Simple Columnar Epithelium Location All feature an aquatic larval stage. Location and examples of simple columnar epithelium. Simple columnar epithelium is a single layer of tall, narrow cells with oval nuclei that are close to the basement membrane. Structure of the simple columnar epithelium. Rectangular shaped cells with nucleus at the base, goblet cells with mucus, cilia, and basement. Simple columnar epithelium (figure 11.5). Amphibian Simple Columnar Epithelium Location.
From partmcveighkathakalis.z21.web.core.windows.net
Simple Columnar Epithelium Cells Amphibian Simple Columnar Epithelium Location Location and examples of simple columnar epithelium. Rectangular shaped cells with nucleus at the base, goblet cells with mucus, cilia, and basement. Learn its anatomy on kenhub! Amphibians, members of the phylum chordata, are a class of animals that includes the frogs, toads, salamanders, and caecilians. Simple columnar epithelium (figure 11.5) identify: Simple columnar epithelium is a single layer of. Amphibian Simple Columnar Epithelium Location.
From www.yaclass.in
Simple epithelium — lesson. Science CBSE, Class 9. Amphibian Simple Columnar Epithelium Location Learn its anatomy on kenhub! The tissue is classified by the number of cell layers it has (simple=1 cell layer, stratified = more than 1 cell layer) and the shape of the cells. Structure of the simple columnar epithelium. Rectangular shaped cells with nucleus at the base, goblet cells with mucus, cilia, and basement. Amphibians, members of the phylum chordata,. Amphibian Simple Columnar Epithelium Location.
From study.com
Pseudostratified Columnar Epithelium Location, Types & Function Amphibian Simple Columnar Epithelium Location Next, have students view the amphibian simple columnar epithelium and identify the type of tissue on this slide. All feature an aquatic larval stage. Simple columnar epithelium is also found lining urine collecting ducts in the renal (kidney) pelvis and lining the fallopian tubes (oviducts) and uterus. Learn its anatomy on kenhub! The tissue is classified by the number of. Amphibian Simple Columnar Epithelium Location.
From quizlet.com
Simple Columnar Epithelium (nonciliated) Diagram Quizlet Amphibian Simple Columnar Epithelium Location Amphibians, members of the phylum chordata, are a class of animals that includes the frogs, toads, salamanders, and caecilians. Functions of the simple columnar epithelium. Learn its anatomy on kenhub! Location and examples of simple columnar epithelium. Next, have students view the amphibian simple columnar epithelium and identify the type of tissue on this slide. The tissue is classified by. Amphibian Simple Columnar Epithelium Location.
From www.slideserve.com
PPT HISTOLOGY REVIEW Epithelia PowerPoint Presentation, free download Amphibian Simple Columnar Epithelium Location Structure of the simple columnar epithelium. Rectangular shaped cells with nucleus at the base, goblet cells with mucus, cilia, and basement. Simple columnar epithelium (figure 11.5) identify: The tissue is classified by the number of cell layers it has (simple=1 cell layer, stratified = more than 1 cell layer) and the shape of the cells. Functions of the simple columnar. Amphibian Simple Columnar Epithelium Location.
From schematicpartfrey.z19.web.core.windows.net
Simple Columnar Epithelium Labeled Diagram Amphibian Simple Columnar Epithelium Location Rectangular shaped cells with nucleus at the base, goblet cells with mucus, cilia, and basement. Learn its anatomy on kenhub! All feature an aquatic larval stage. Structure of the simple columnar epithelium. Simple columnar epithelium is a single layer of tall, narrow cells with oval nuclei that are close to the basement membrane. Next, have students view the amphibian simple. Amphibian Simple Columnar Epithelium Location.
From ibiologia.com
Simple Columnar Epithelium Introduction ,Types, & Functions Amphibian Simple Columnar Epithelium Location Simple columnar epithelium is also found lining urine collecting ducts in the renal (kidney) pelvis and lining the fallopian tubes (oviducts) and uterus. Structure of the simple columnar epithelium. Next, have students view the amphibian simple columnar epithelium and identify the type of tissue on this slide. Learn its anatomy on kenhub! All feature an aquatic larval stage. Simple columnar. Amphibian Simple Columnar Epithelium Location.
From nikolaussucher.github.io
11 Mammalian Tissues Laboratory Manual For SCI104 Biology II at Amphibian Simple Columnar Epithelium Location Functions of the simple columnar epithelium. The tissue is classified by the number of cell layers it has (simple=1 cell layer, stratified = more than 1 cell layer) and the shape of the cells. Simple columnar epithelium is a single layer of tall, narrow cells with oval nuclei that are close to the basement membrane. Next, have students view the. Amphibian Simple Columnar Epithelium Location.
From www.biologynotesonline.com
Simple columnar epithelium definition, structure, functions, examples Amphibian Simple Columnar Epithelium Location Functions of the simple columnar epithelium. Location and examples of simple columnar epithelium. Amphibians, members of the phylum chordata, are a class of animals that includes the frogs, toads, salamanders, and caecilians. Simple columnar epithelium is a single layer of tall, narrow cells with oval nuclei that are close to the basement membrane. All feature an aquatic larval stage. Simple. Amphibian Simple Columnar Epithelium Location.
From notesforpakistan.blogspot.com
Kinds of Epithelial Tissues Amphibian Simple Columnar Epithelium Location Simple columnar epithelium is also found lining urine collecting ducts in the renal (kidney) pelvis and lining the fallopian tubes (oviducts) and uterus. All feature an aquatic larval stage. Functions of the simple columnar epithelium. The tissue is classified by the number of cell layers it has (simple=1 cell layer, stratified = more than 1 cell layer) and the shape. Amphibian Simple Columnar Epithelium Location.
From quizlet.com
Simple Columnar Epithelium Diagram Quizlet Amphibian Simple Columnar Epithelium Location Structure of the simple columnar epithelium. Amphibians, members of the phylum chordata, are a class of animals that includes the frogs, toads, salamanders, and caecilians. Location and examples of simple columnar epithelium. Simple columnar epithelium (figure 11.5) identify: Learn its anatomy on kenhub! The tissue is classified by the number of cell layers it has (simple=1 cell layer, stratified =. Amphibian Simple Columnar Epithelium Location.