Long Axis Definition Dental . if we can get the functional cusp tips (lower buccal cusps and upper lingual cusps) to land on an opposing flat surface (marginal ridge or central. the long axis of the teeth l 1 and the long axis of the alveolar process l 2 were identified as reference lines (fig. In dentistry, line extending incisocervically (occlusocervically) parallel to axial tooth surfaces. the tooth long axis (tla) is defined as the line extending from the highest point of the crown and the lowest point of the root. a form of dental radiograph that may be taken with the long axis of the image oriented either horizontally or vertically,. it is the mesiodistal angulation of the long axis of the crown expressed in degree (plus or minus);
from login.homesteadschools.com
the long axis of the teeth l 1 and the long axis of the alveolar process l 2 were identified as reference lines (fig. a form of dental radiograph that may be taken with the long axis of the image oriented either horizontally or vertically,. it is the mesiodistal angulation of the long axis of the crown expressed in degree (plus or minus); the tooth long axis (tla) is defined as the line extending from the highest point of the crown and the lowest point of the root. if we can get the functional cusp tips (lower buccal cusps and upper lingual cusps) to land on an opposing flat surface (marginal ridge or central. In dentistry, line extending incisocervically (occlusocervically) parallel to axial tooth surfaces.
Chapter 1
Long Axis Definition Dental the tooth long axis (tla) is defined as the line extending from the highest point of the crown and the lowest point of the root. a form of dental radiograph that may be taken with the long axis of the image oriented either horizontally or vertically,. the tooth long axis (tla) is defined as the line extending from the highest point of the crown and the lowest point of the root. if we can get the functional cusp tips (lower buccal cusps and upper lingual cusps) to land on an opposing flat surface (marginal ridge or central. In dentistry, line extending incisocervically (occlusocervically) parallel to axial tooth surfaces. it is the mesiodistal angulation of the long axis of the crown expressed in degree (plus or minus); the long axis of the teeth l 1 and the long axis of the alveolar process l 2 were identified as reference lines (fig.
From www.researchgate.net
Visualization of tensile stress along implant long axis. Download Long Axis Definition Dental a form of dental radiograph that may be taken with the long axis of the image oriented either horizontally or vertically,. it is the mesiodistal angulation of the long axis of the crown expressed in degree (plus or minus); In dentistry, line extending incisocervically (occlusocervically) parallel to axial tooth surfaces. if we can get the functional cusp. Long Axis Definition Dental.
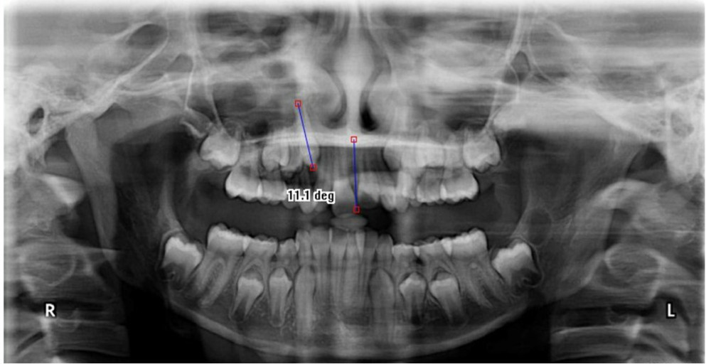
From www.slideshare.net
Measurement of Periodontal Attachment Loss Long Axis Definition Dental a form of dental radiograph that may be taken with the long axis of the image oriented either horizontally or vertically,. In dentistry, line extending incisocervically (occlusocervically) parallel to axial tooth surfaces. if we can get the functional cusp tips (lower buccal cusps and upper lingual cusps) to land on an opposing flat surface (marginal ridge or central.. Long Axis Definition Dental.
From quizlet.com
Subcostal Long Axis Diagram Diagram Quizlet Long Axis Definition Dental the tooth long axis (tla) is defined as the line extending from the highest point of the crown and the lowest point of the root. In dentistry, line extending incisocervically (occlusocervically) parallel to axial tooth surfaces. the long axis of the teeth l 1 and the long axis of the alveolar process l 2 were identified as reference. Long Axis Definition Dental.
From www.researchgate.net
Schematic illustration of second and third molar long axis Long Axis Definition Dental the tooth long axis (tla) is defined as the line extending from the highest point of the crown and the lowest point of the root. a form of dental radiograph that may be taken with the long axis of the image oriented either horizontally or vertically,. In dentistry, line extending incisocervically (occlusocervically) parallel to axial tooth surfaces. . Long Axis Definition Dental.
From www.researchgate.net
Alveolar width measurements. Line 'R' is the long axis of the alveolar Long Axis Definition Dental the tooth long axis (tla) is defined as the line extending from the highest point of the crown and the lowest point of the root. if we can get the functional cusp tips (lower buccal cusps and upper lingual cusps) to land on an opposing flat surface (marginal ridge or central. it is the mesiodistal angulation of. Long Axis Definition Dental.
From medscimonit.com
Medical Science Monitor Evaluation of Mesiodistal Root Angulation of Long Axis Definition Dental it is the mesiodistal angulation of the long axis of the crown expressed in degree (plus or minus); In dentistry, line extending incisocervically (occlusocervically) parallel to axial tooth surfaces. the tooth long axis (tla) is defined as the line extending from the highest point of the crown and the lowest point of the root. the long axis. Long Axis Definition Dental.
From pocketdentistry.com
11 Occlusal radiography Pocket Dentistry Long Axis Definition Dental a form of dental radiograph that may be taken with the long axis of the image oriented either horizontally or vertically,. the long axis of the teeth l 1 and the long axis of the alveolar process l 2 were identified as reference lines (fig. In dentistry, line extending incisocervically (occlusocervically) parallel to axial tooth surfaces. if. Long Axis Definition Dental.
From www.researchgate.net
Sagittal view Implant buccallingual angulation matching tooth long Long Axis Definition Dental if we can get the functional cusp tips (lower buccal cusps and upper lingual cusps) to land on an opposing flat surface (marginal ridge or central. it is the mesiodistal angulation of the long axis of the crown expressed in degree (plus or minus); In dentistry, line extending incisocervically (occlusocervically) parallel to axial tooth surfaces. a form. Long Axis Definition Dental.
From www.researchgate.net
a The coordinate system of the radius The long axis is the line Long Axis Definition Dental the tooth long axis (tla) is defined as the line extending from the highest point of the crown and the lowest point of the root. a form of dental radiograph that may be taken with the long axis of the image oriented either horizontally or vertically,. it is the mesiodistal angulation of the long axis of the. Long Axis Definition Dental.
From www.researchgate.net
Determination of tooth axis and direction for each section After dental Long Axis Definition Dental it is the mesiodistal angulation of the long axis of the crown expressed in degree (plus or minus); a form of dental radiograph that may be taken with the long axis of the image oriented either horizontally or vertically,. if we can get the functional cusp tips (lower buccal cusps and upper lingual cusps) to land on. Long Axis Definition Dental.
From www.researchgate.net
the angle between the occlusal plane and long axis of upper and lower Long Axis Definition Dental if we can get the functional cusp tips (lower buccal cusps and upper lingual cusps) to land on an opposing flat surface (marginal ridge or central. In dentistry, line extending incisocervically (occlusocervically) parallel to axial tooth surfaces. the long axis of the teeth l 1 and the long axis of the alveolar process l 2 were identified as. Long Axis Definition Dental.
From www.axisdental.ca
Traditional Metal Braces vs. Invisalign® AXIS Dental Long Axis Definition Dental In dentistry, line extending incisocervically (occlusocervically) parallel to axial tooth surfaces. the long axis of the teeth l 1 and the long axis of the alveolar process l 2 were identified as reference lines (fig. a form of dental radiograph that may be taken with the long axis of the image oriented either horizontally or vertically,. the. Long Axis Definition Dental.
From login.homesteadschools.com
Chapter 1 Long Axis Definition Dental In dentistry, line extending incisocervically (occlusocervically) parallel to axial tooth surfaces. a form of dental radiograph that may be taken with the long axis of the image oriented either horizontally or vertically,. it is the mesiodistal angulation of the long axis of the crown expressed in degree (plus or minus); the long axis of the teeth l. Long Axis Definition Dental.
From www.researchgate.net
Method used to measure lower incisor tip A diagrammatic drawing Long Axis Definition Dental if we can get the functional cusp tips (lower buccal cusps and upper lingual cusps) to land on an opposing flat surface (marginal ridge or central. it is the mesiodistal angulation of the long axis of the crown expressed in degree (plus or minus); the long axis of the teeth l 1 and the long axis of. Long Axis Definition Dental.
From www.researchgate.net
Definition of the proximal and distal axes (a) and measurement of Long Axis Definition Dental it is the mesiodistal angulation of the long axis of the crown expressed in degree (plus or minus); the tooth long axis (tla) is defined as the line extending from the highest point of the crown and the lowest point of the root. In dentistry, line extending incisocervically (occlusocervically) parallel to axial tooth surfaces. a form of. Long Axis Definition Dental.
From www.columbia.edu
Xray Using Parallel Cone Technique Long Axis Definition Dental the tooth long axis (tla) is defined as the line extending from the highest point of the crown and the lowest point of the root. the long axis of the teeth l 1 and the long axis of the alveolar process l 2 were identified as reference lines (fig. In dentistry, line extending incisocervically (occlusocervically) parallel to axial. Long Axis Definition Dental.
From www.researchgate.net
Definition of the tooth's long axis and the alveolar bone axial Long Axis Definition Dental the long axis of the teeth l 1 and the long axis of the alveolar process l 2 were identified as reference lines (fig. if we can get the functional cusp tips (lower buccal cusps and upper lingual cusps) to land on an opposing flat surface (marginal ridge or central. a form of dental radiograph that may. Long Axis Definition Dental.
From www.pinterest.com
Winter's Classification The classification is based on the inclination Long Axis Definition Dental it is the mesiodistal angulation of the long axis of the crown expressed in degree (plus or minus); a form of dental radiograph that may be taken with the long axis of the image oriented either horizontally or vertically,. the tooth long axis (tla) is defined as the line extending from the highest point of the crown. Long Axis Definition Dental.
From www.myzerodonto.com
PREPARATION CONCEPT MyZerodonto Long Axis Definition Dental In dentistry, line extending incisocervically (occlusocervically) parallel to axial tooth surfaces. a form of dental radiograph that may be taken with the long axis of the image oriented either horizontally or vertically,. it is the mesiodistal angulation of the long axis of the crown expressed in degree (plus or minus); the tooth long axis (tla) is defined. Long Axis Definition Dental.
From www.slideserve.com
PPT Fundamentals Of Occlusion PowerPoint Presentation, free download Long Axis Definition Dental the long axis of the teeth l 1 and the long axis of the alveolar process l 2 were identified as reference lines (fig. if we can get the functional cusp tips (lower buccal cusps and upper lingual cusps) to land on an opposing flat surface (marginal ridge or central. a form of dental radiograph that may. Long Axis Definition Dental.
From www.drlarrywolford.com
Clinical Examination for TMJ and Dentofacial Deformities Long Axis Definition Dental In dentistry, line extending incisocervically (occlusocervically) parallel to axial tooth surfaces. a form of dental radiograph that may be taken with the long axis of the image oriented either horizontally or vertically,. the long axis of the teeth l 1 and the long axis of the alveolar process l 2 were identified as reference lines (fig. the. Long Axis Definition Dental.
From www.facebook.com
Orientation Jaw Relation & Hinge Axis Orientation jaw relations are Long Axis Definition Dental In dentistry, line extending incisocervically (occlusocervically) parallel to axial tooth surfaces. a form of dental radiograph that may be taken with the long axis of the image oriented either horizontally or vertically,. the long axis of the teeth l 1 and the long axis of the alveolar process l 2 were identified as reference lines (fig. the. Long Axis Definition Dental.
From www.slideserve.com
PPT Setting Anatomic Teeth PowerPoint Presentation, free download Long Axis Definition Dental it is the mesiodistal angulation of the long axis of the crown expressed in degree (plus or minus); In dentistry, line extending incisocervically (occlusocervically) parallel to axial tooth surfaces. the long axis of the teeth l 1 and the long axis of the alveolar process l 2 were identified as reference lines (fig. the tooth long axis. Long Axis Definition Dental.
From www.mdpi.com
Applied Sciences Free FullText Mandibular Second Molar Impaction Long Axis Definition Dental it is the mesiodistal angulation of the long axis of the crown expressed in degree (plus or minus); if we can get the functional cusp tips (lower buccal cusps and upper lingual cusps) to land on an opposing flat surface (marginal ridge or central. In dentistry, line extending incisocervically (occlusocervically) parallel to axial tooth surfaces. the long. Long Axis Definition Dental.
From www.researchgate.net
Case 4. High parasternal longaxis projection in a patient with Long Axis Definition Dental if we can get the functional cusp tips (lower buccal cusps and upper lingual cusps) to land on an opposing flat surface (marginal ridge or central. it is the mesiodistal angulation of the long axis of the crown expressed in degree (plus or minus); the long axis of the teeth l 1 and the long axis of. Long Axis Definition Dental.
From www.slideserve.com
PPT The Paralleling Technique Part 1 PowerPoint Presentation, free Long Axis Definition Dental In dentistry, line extending incisocervically (occlusocervically) parallel to axial tooth surfaces. if we can get the functional cusp tips (lower buccal cusps and upper lingual cusps) to land on an opposing flat surface (marginal ridge or central. it is the mesiodistal angulation of the long axis of the crown expressed in degree (plus or minus); the tooth. Long Axis Definition Dental.
From www.axisdental.ca
What Is Involved in Getting a Dental Implant? AXIS DENTAL Long Axis Definition Dental if we can get the functional cusp tips (lower buccal cusps and upper lingual cusps) to land on an opposing flat surface (marginal ridge or central. a form of dental radiograph that may be taken with the long axis of the image oriented either horizontally or vertically,. In dentistry, line extending incisocervically (occlusocervically) parallel to axial tooth surfaces.. Long Axis Definition Dental.
From www.researchgate.net
Opening, closing, and longaxis rotations of the jaws during a sequence Long Axis Definition Dental In dentistry, line extending incisocervically (occlusocervically) parallel to axial tooth surfaces. if we can get the functional cusp tips (lower buccal cusps and upper lingual cusps) to land on an opposing flat surface (marginal ridge or central. it is the mesiodistal angulation of the long axis of the crown expressed in degree (plus or minus); the tooth. Long Axis Definition Dental.
From www.slideshare.net
radiologyparallelingtechnique Long Axis Definition Dental it is the mesiodistal angulation of the long axis of the crown expressed in degree (plus or minus); the tooth long axis (tla) is defined as the line extending from the highest point of the crown and the lowest point of the root. In dentistry, line extending incisocervically (occlusocervically) parallel to axial tooth surfaces. the long axis. Long Axis Definition Dental.
From www.dentalelementary.com
Bridges Dental Elementary Long Axis Definition Dental a form of dental radiograph that may be taken with the long axis of the image oriented either horizontally or vertically,. if we can get the functional cusp tips (lower buccal cusps and upper lingual cusps) to land on an opposing flat surface (marginal ridge or central. it is the mesiodistal angulation of the long axis of. Long Axis Definition Dental.
From www.researchgate.net
Measurements of the root length. Line 0 represents the long axis of the Long Axis Definition Dental the long axis of the teeth l 1 and the long axis of the alveolar process l 2 were identified as reference lines (fig. it is the mesiodistal angulation of the long axis of the crown expressed in degree (plus or minus); the tooth long axis (tla) is defined as the line extending from the highest point. Long Axis Definition Dental.
From www.researchgate.net
The longaxis orientations of the tooth and the implant (ae), the Long Axis Definition Dental the tooth long axis (tla) is defined as the line extending from the highest point of the crown and the lowest point of the root. In dentistry, line extending incisocervically (occlusocervically) parallel to axial tooth surfaces. if we can get the functional cusp tips (lower buccal cusps and upper lingual cusps) to land on an opposing flat surface. Long Axis Definition Dental.
From www.researchgate.net
Definition of P1 and P2. The tooth's long axis was used as reference Long Axis Definition Dental it is the mesiodistal angulation of the long axis of the crown expressed in degree (plus or minus); In dentistry, line extending incisocervically (occlusocervically) parallel to axial tooth surfaces. a form of dental radiograph that may be taken with the long axis of the image oriented either horizontally or vertically,. the tooth long axis (tla) is defined. Long Axis Definition Dental.
From en.rattibha.com
THE PRINCIPAL FIBERS OF THE PDL Dental_by_Hadeel Thread from هديل 🕊 Long Axis Definition Dental the tooth long axis (tla) is defined as the line extending from the highest point of the crown and the lowest point of the root. if we can get the functional cusp tips (lower buccal cusps and upper lingual cusps) to land on an opposing flat surface (marginal ridge or central. it is the mesiodistal angulation of. Long Axis Definition Dental.
From www.mdpi.com
Dentistry Journal Free FullText The Performance of Paralleling Long Axis Definition Dental In dentistry, line extending incisocervically (occlusocervically) parallel to axial tooth surfaces. the long axis of the teeth l 1 and the long axis of the alveolar process l 2 were identified as reference lines (fig. if we can get the functional cusp tips (lower buccal cusps and upper lingual cusps) to land on an opposing flat surface (marginal. Long Axis Definition Dental.