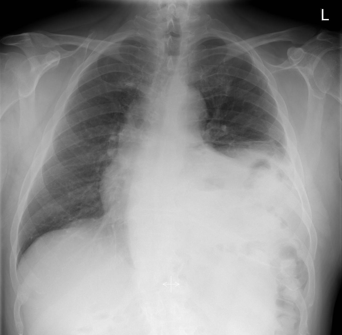
Robotic Assisted Diaphragmatic Plication . Though their etiology and pathology are. a robotic diaphragm plication lasts around one hour. with the advent of robotic minimally invasive techniques, diaphragm plication can be a useful therapy for patients with resolution of symptoms, reduced length of hospitalization, and quickened recovery.
from www.academia.edu
with the advent of robotic minimally invasive techniques, diaphragm plication can be a useful therapy for patients with resolution of symptoms, reduced length of hospitalization, and quickened recovery. Though their etiology and pathology are. a robotic diaphragm plication lasts around one hour.
(PDF) Transabdominal robotassisted diaphragmatic plication a 3.5year
Robotic Assisted Diaphragmatic Plication Though their etiology and pathology are. with the advent of robotic minimally invasive techniques, diaphragm plication can be a useful therapy for patients with resolution of symptoms, reduced length of hospitalization, and quickened recovery. a robotic diaphragm plication lasts around one hour. Though their etiology and pathology are.
From www.researchgate.net
A comparison of shortterm following roboticassisted vs. open Robotic Assisted Diaphragmatic Plication with the advent of robotic minimally invasive techniques, diaphragm plication can be a useful therapy for patients with resolution of symptoms, reduced length of hospitalization, and quickened recovery. Though their etiology and pathology are. a robotic diaphragm plication lasts around one hour. Robotic Assisted Diaphragmatic Plication.
From www.optechtcs.com
RobotAssisted Laparoscopic Diaphragm Plication Operative Techniques Robotic Assisted Diaphragmatic Plication a robotic diaphragm plication lasts around one hour. with the advent of robotic minimally invasive techniques, diaphragm plication can be a useful therapy for patients with resolution of symptoms, reduced length of hospitalization, and quickened recovery. Though their etiology and pathology are. Robotic Assisted Diaphragmatic Plication.
From www.semanticscholar.org
Laparoscopic RobotAssisted Diaphragm Plication. Semantic Scholar Robotic Assisted Diaphragmatic Plication a robotic diaphragm plication lasts around one hour. with the advent of robotic minimally invasive techniques, diaphragm plication can be a useful therapy for patients with resolution of symptoms, reduced length of hospitalization, and quickened recovery. Though their etiology and pathology are. Robotic Assisted Diaphragmatic Plication.
From www.optechtcs.com
RoboticAssisted Transthoracic Diaphragm Plication Operative Robotic Assisted Diaphragmatic Plication Though their etiology and pathology are. with the advent of robotic minimally invasive techniques, diaphragm plication can be a useful therapy for patients with resolution of symptoms, reduced length of hospitalization, and quickened recovery. a robotic diaphragm plication lasts around one hour. Robotic Assisted Diaphragmatic Plication.
From www.semanticscholar.org
Figure 2 from Transthoracic robotic plication for diaphragmatic Robotic Assisted Diaphragmatic Plication Though their etiology and pathology are. a robotic diaphragm plication lasts around one hour. with the advent of robotic minimally invasive techniques, diaphragm plication can be a useful therapy for patients with resolution of symptoms, reduced length of hospitalization, and quickened recovery. Robotic Assisted Diaphragmatic Plication.
From www.academia.edu
(PDF) Transabdominal robotassisted diaphragmatic plication a 3.5year Robotic Assisted Diaphragmatic Plication a robotic diaphragm plication lasts around one hour. Though their etiology and pathology are. with the advent of robotic minimally invasive techniques, diaphragm plication can be a useful therapy for patients with resolution of symptoms, reduced length of hospitalization, and quickened recovery. Robotic Assisted Diaphragmatic Plication.
From www.optechtcs.com
RoboticAssisted Transthoracic Diaphragm Plication Operative Robotic Assisted Diaphragmatic Plication a robotic diaphragm plication lasts around one hour. with the advent of robotic minimally invasive techniques, diaphragm plication can be a useful therapy for patients with resolution of symptoms, reduced length of hospitalization, and quickened recovery. Though their etiology and pathology are. Robotic Assisted Diaphragmatic Plication.
From www.optechtcs.com
RoboticAssisted Transthoracic Diaphragm Plication Operative Robotic Assisted Diaphragmatic Plication with the advent of robotic minimally invasive techniques, diaphragm plication can be a useful therapy for patients with resolution of symptoms, reduced length of hospitalization, and quickened recovery. Though their etiology and pathology are. a robotic diaphragm plication lasts around one hour. Robotic Assisted Diaphragmatic Plication.
From www.optechtcs.com
RoboticAssisted Transthoracic Diaphragm Plication Operative Robotic Assisted Diaphragmatic Plication Though their etiology and pathology are. a robotic diaphragm plication lasts around one hour. with the advent of robotic minimally invasive techniques, diaphragm plication can be a useful therapy for patients with resolution of symptoms, reduced length of hospitalization, and quickened recovery. Robotic Assisted Diaphragmatic Plication.
From www.optechtcs.com
RobotAssisted Laparoscopic Diaphragm Plication Operative Techniques Robotic Assisted Diaphragmatic Plication Though their etiology and pathology are. with the advent of robotic minimally invasive techniques, diaphragm plication can be a useful therapy for patients with resolution of symptoms, reduced length of hospitalization, and quickened recovery. a robotic diaphragm plication lasts around one hour. Robotic Assisted Diaphragmatic Plication.
From www.youtube.com
Port Placement for a Robotic Diaphragm Plication YouTube Robotic Assisted Diaphragmatic Plication with the advent of robotic minimally invasive techniques, diaphragm plication can be a useful therapy for patients with resolution of symptoms, reduced length of hospitalization, and quickened recovery. Though their etiology and pathology are. a robotic diaphragm plication lasts around one hour. Robotic Assisted Diaphragmatic Plication.
From www.youtube.com
Robot Assisted Diaphragm Plication YouTube Robotic Assisted Diaphragmatic Plication with the advent of robotic minimally invasive techniques, diaphragm plication can be a useful therapy for patients with resolution of symptoms, reduced length of hospitalization, and quickened recovery. a robotic diaphragm plication lasts around one hour. Though their etiology and pathology are. Robotic Assisted Diaphragmatic Plication.
From www.jettmd.com
Robotic Assisted Diaphragm Plication Robotic Assisted Diaphragmatic Plication Though their etiology and pathology are. a robotic diaphragm plication lasts around one hour. with the advent of robotic minimally invasive techniques, diaphragm plication can be a useful therapy for patients with resolution of symptoms, reduced length of hospitalization, and quickened recovery. Robotic Assisted Diaphragmatic Plication.
From slideplayer.com
Laparoscopic RobotAssisted Diaphragm Plication ppt download Robotic Assisted Diaphragmatic Plication a robotic diaphragm plication lasts around one hour. with the advent of robotic minimally invasive techniques, diaphragm plication can be a useful therapy for patients with resolution of symptoms, reduced length of hospitalization, and quickened recovery. Though their etiology and pathology are. Robotic Assisted Diaphragmatic Plication.
From www.optechtcs.com
RobotAssisted Laparoscopic Diaphragm Plication Operative Techniques Robotic Assisted Diaphragmatic Plication with the advent of robotic minimally invasive techniques, diaphragm plication can be a useful therapy for patients with resolution of symptoms, reduced length of hospitalization, and quickened recovery. Though their etiology and pathology are. a robotic diaphragm plication lasts around one hour. Robotic Assisted Diaphragmatic Plication.
From www.optechtcs.com
RoboticAssisted Transthoracic Diaphragm Plication Operative Robotic Assisted Diaphragmatic Plication with the advent of robotic minimally invasive techniques, diaphragm plication can be a useful therapy for patients with resolution of symptoms, reduced length of hospitalization, and quickened recovery. a robotic diaphragm plication lasts around one hour. Though their etiology and pathology are. Robotic Assisted Diaphragmatic Plication.
From www.optechtcs.com
RoboticAssisted Transthoracic Diaphragm Plication Operative Robotic Assisted Diaphragmatic Plication with the advent of robotic minimally invasive techniques, diaphragm plication can be a useful therapy for patients with resolution of symptoms, reduced length of hospitalization, and quickened recovery. Though their etiology and pathology are. a robotic diaphragm plication lasts around one hour. Robotic Assisted Diaphragmatic Plication.
From www.optechtcs.com
Technique of VideoAssisted Thoracoscopic Surgery Diaphragm Plication Robotic Assisted Diaphragmatic Plication with the advent of robotic minimally invasive techniques, diaphragm plication can be a useful therapy for patients with resolution of symptoms, reduced length of hospitalization, and quickened recovery. a robotic diaphragm plication lasts around one hour. Though their etiology and pathology are. Robotic Assisted Diaphragmatic Plication.
From www.researchgate.net
(PDF) RobotAssisted Thoracoscopic Diaphragm Plication for Symptomatic Robotic Assisted Diaphragmatic Plication Though their etiology and pathology are. a robotic diaphragm plication lasts around one hour. with the advent of robotic minimally invasive techniques, diaphragm plication can be a useful therapy for patients with resolution of symptoms, reduced length of hospitalization, and quickened recovery. Robotic Assisted Diaphragmatic Plication.
From www.youtube.com
Robotic left diaphragmatic plication YouTube Robotic Assisted Diaphragmatic Plication with the advent of robotic minimally invasive techniques, diaphragm plication can be a useful therapy for patients with resolution of symptoms, reduced length of hospitalization, and quickened recovery. a robotic diaphragm plication lasts around one hour. Though their etiology and pathology are. Robotic Assisted Diaphragmatic Plication.
From www.optechtcs.com
Technique of VideoAssisted Thoracoscopic Surgery Diaphragm Plication Robotic Assisted Diaphragmatic Plication a robotic diaphragm plication lasts around one hour. with the advent of robotic minimally invasive techniques, diaphragm plication can be a useful therapy for patients with resolution of symptoms, reduced length of hospitalization, and quickened recovery. Though their etiology and pathology are. Robotic Assisted Diaphragmatic Plication.
From www.optechtcs.com
RoboticAssisted Transthoracic Diaphragm Plication Operative Robotic Assisted Diaphragmatic Plication a robotic diaphragm plication lasts around one hour. Though their etiology and pathology are. with the advent of robotic minimally invasive techniques, diaphragm plication can be a useful therapy for patients with resolution of symptoms, reduced length of hospitalization, and quickened recovery. Robotic Assisted Diaphragmatic Plication.
From www.optechtcs.com
RobotAssisted Laparoscopic Diaphragm Plication Operative Techniques Robotic Assisted Diaphragmatic Plication with the advent of robotic minimally invasive techniques, diaphragm plication can be a useful therapy for patients with resolution of symptoms, reduced length of hospitalization, and quickened recovery. a robotic diaphragm plication lasts around one hour. Though their etiology and pathology are. Robotic Assisted Diaphragmatic Plication.
From www.jpedsurg.org
Robotassisted thoracoscopic plication for diaphragmatic eventration Robotic Assisted Diaphragmatic Plication Though their etiology and pathology are. a robotic diaphragm plication lasts around one hour. with the advent of robotic minimally invasive techniques, diaphragm plication can be a useful therapy for patients with resolution of symptoms, reduced length of hospitalization, and quickened recovery. Robotic Assisted Diaphragmatic Plication.
From www.optechtcs.com
RobotAssisted Laparoscopic Diaphragm Plication Operative Techniques Robotic Assisted Diaphragmatic Plication a robotic diaphragm plication lasts around one hour. with the advent of robotic minimally invasive techniques, diaphragm plication can be a useful therapy for patients with resolution of symptoms, reduced length of hospitalization, and quickened recovery. Though their etiology and pathology are. Robotic Assisted Diaphragmatic Plication.
From slideplayer.com
Laparoscopic RobotAssisted Diaphragm Plication ppt download Robotic Assisted Diaphragmatic Plication with the advent of robotic minimally invasive techniques, diaphragm plication can be a useful therapy for patients with resolution of symptoms, reduced length of hospitalization, and quickened recovery. Though their etiology and pathology are. a robotic diaphragm plication lasts around one hour. Robotic Assisted Diaphragmatic Plication.
From www.optechtcs.com
RobotAssisted Laparoscopic Diaphragm Plication Operative Techniques Robotic Assisted Diaphragmatic Plication a robotic diaphragm plication lasts around one hour. with the advent of robotic minimally invasive techniques, diaphragm plication can be a useful therapy for patients with resolution of symptoms, reduced length of hospitalization, and quickened recovery. Though their etiology and pathology are. Robotic Assisted Diaphragmatic Plication.
From www.ctsnet.org
Robotic Diaphragm Plication Robotic Assisted Diaphragmatic Plication with the advent of robotic minimally invasive techniques, diaphragm plication can be a useful therapy for patients with resolution of symptoms, reduced length of hospitalization, and quickened recovery. Though their etiology and pathology are. a robotic diaphragm plication lasts around one hour. Robotic Assisted Diaphragmatic Plication.
From www.jpedsurg.org
Robotassisted thoracoscopic plication for diaphragmatic eventration Robotic Assisted Diaphragmatic Plication Though their etiology and pathology are. a robotic diaphragm plication lasts around one hour. with the advent of robotic minimally invasive techniques, diaphragm plication can be a useful therapy for patients with resolution of symptoms, reduced length of hospitalization, and quickened recovery. Robotic Assisted Diaphragmatic Plication.
From www.heartrhythmcasereports.com
Robotassisted thoracoscopic diaphragm plication for symptomatic Robotic Assisted Diaphragmatic Plication with the advent of robotic minimally invasive techniques, diaphragm plication can be a useful therapy for patients with resolution of symptoms, reduced length of hospitalization, and quickened recovery. a robotic diaphragm plication lasts around one hour. Though their etiology and pathology are. Robotic Assisted Diaphragmatic Plication.
From www.semanticscholar.org
Figure 1 from Transabdominal robotassisted diaphragmatic plication a Robotic Assisted Diaphragmatic Plication with the advent of robotic minimally invasive techniques, diaphragm plication can be a useful therapy for patients with resolution of symptoms, reduced length of hospitalization, and quickened recovery. a robotic diaphragm plication lasts around one hour. Though their etiology and pathology are. Robotic Assisted Diaphragmatic Plication.
From www.researchgate.net
(PDF) Roboticāassisted diaphragmatic plication Improving safety and Robotic Assisted Diaphragmatic Plication a robotic diaphragm plication lasts around one hour. Though their etiology and pathology are. with the advent of robotic minimally invasive techniques, diaphragm plication can be a useful therapy for patients with resolution of symptoms, reduced length of hospitalization, and quickened recovery. Robotic Assisted Diaphragmatic Plication.
From www.optechtcs.com
RobotAssisted Laparoscopic Diaphragm Plication Operative Techniques Robotic Assisted Diaphragmatic Plication a robotic diaphragm plication lasts around one hour. Though their etiology and pathology are. with the advent of robotic minimally invasive techniques, diaphragm plication can be a useful therapy for patients with resolution of symptoms, reduced length of hospitalization, and quickened recovery. Robotic Assisted Diaphragmatic Plication.
From www.optechtcs.com
RobotAssisted Laparoscopic Diaphragm Plication Operative Techniques Robotic Assisted Diaphragmatic Plication a robotic diaphragm plication lasts around one hour. with the advent of robotic minimally invasive techniques, diaphragm plication can be a useful therapy for patients with resolution of symptoms, reduced length of hospitalization, and quickened recovery. Though their etiology and pathology are. Robotic Assisted Diaphragmatic Plication.
From www.semanticscholar.org
Figure 2 from Transabdominal robotassisted diaphragmatic plication a Robotic Assisted Diaphragmatic Plication with the advent of robotic minimally invasive techniques, diaphragm plication can be a useful therapy for patients with resolution of symptoms, reduced length of hospitalization, and quickened recovery. a robotic diaphragm plication lasts around one hour. Though their etiology and pathology are. Robotic Assisted Diaphragmatic Plication.