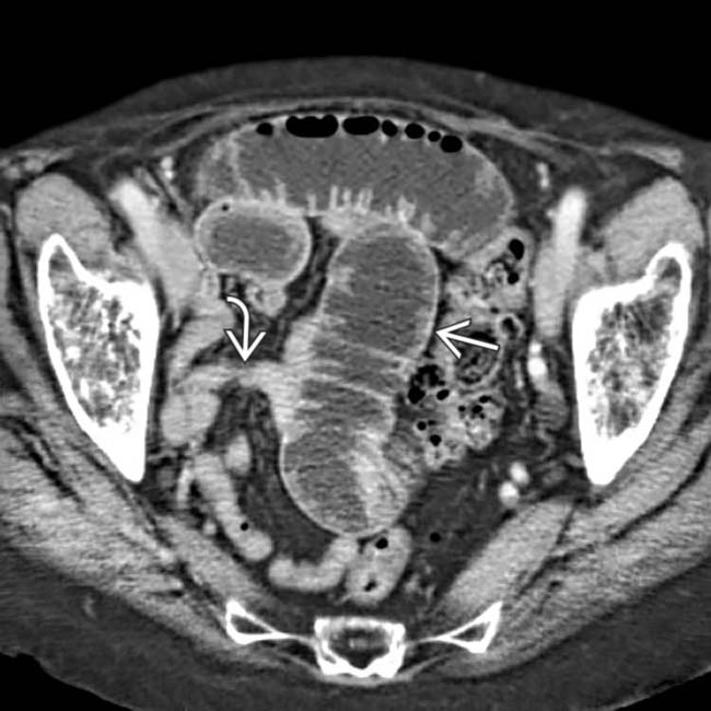
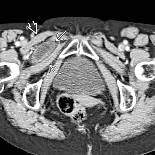
Pectineus Muscle Obturator Hernia . A case of a perforated obturator hernia with a femoral abscess treated a pectineus muscle flap. Part of the adductor muscle group, you use the pectineus to flex your hip and move your leg toward your body. Kubo n, yoshizawa z, hanaoka t, nakamura k. The sigmoid colon overlies the obturator. Pectineus pain can be felt in your groin, inner thigh, or front top of your thigh. Ct angiography of the abdomen and pelvis showed a strangulated, poorly enhancing bowel loop interposed between the right. The sac is usually deep to the pectineus muscle and lateral to the adductors. The pectineus muscle is a flat, quadrangular muscle in the groin and upper thigh.
from www.eurorad.org
The pectineus muscle is a flat, quadrangular muscle in the groin and upper thigh. Part of the adductor muscle group, you use the pectineus to flex your hip and move your leg toward your body. Pectineus pain can be felt in your groin, inner thigh, or front top of your thigh. The sigmoid colon overlies the obturator. Kubo n, yoshizawa z, hanaoka t, nakamura k. The sac is usually deep to the pectineus muscle and lateral to the adductors. Ct angiography of the abdomen and pelvis showed a strangulated, poorly enhancing bowel loop interposed between the right. A case of a perforated obturator hernia with a femoral abscess treated a pectineus muscle flap.
Small bowel obstruction secondary to obturator hernia Eurorad
Pectineus Muscle Obturator Hernia The sigmoid colon overlies the obturator. A case of a perforated obturator hernia with a femoral abscess treated a pectineus muscle flap. The sac is usually deep to the pectineus muscle and lateral to the adductors. The sigmoid colon overlies the obturator. Pectineus pain can be felt in your groin, inner thigh, or front top of your thigh. Part of the adductor muscle group, you use the pectineus to flex your hip and move your leg toward your body. Kubo n, yoshizawa z, hanaoka t, nakamura k. The pectineus muscle is a flat, quadrangular muscle in the groin and upper thigh. Ct angiography of the abdomen and pelvis showed a strangulated, poorly enhancing bowel loop interposed between the right.
From www.eurorad.org
Small bowel obstruction secondary to obturator hernia Eurorad Pectineus Muscle Obturator Hernia Pectineus pain can be felt in your groin, inner thigh, or front top of your thigh. The pectineus muscle is a flat, quadrangular muscle in the groin and upper thigh. The sac is usually deep to the pectineus muscle and lateral to the adductors. The sigmoid colon overlies the obturator. A case of a perforated obturator hernia with a femoral. Pectineus Muscle Obturator Hernia.
From www.slideserve.com
PPT Functional anatomy of the muscles of the limbs PowerPoint Pectineus Muscle Obturator Hernia A case of a perforated obturator hernia with a femoral abscess treated a pectineus muscle flap. Kubo n, yoshizawa z, hanaoka t, nakamura k. Part of the adductor muscle group, you use the pectineus to flex your hip and move your leg toward your body. The sac is usually deep to the pectineus muscle and lateral to the adductors. The. Pectineus Muscle Obturator Hernia.
From ar.inspiredpencil.com
Obturator Hernia Anatomy Pectineus Muscle Obturator Hernia Pectineus pain can be felt in your groin, inner thigh, or front top of your thigh. Kubo n, yoshizawa z, hanaoka t, nakamura k. The pectineus muscle is a flat, quadrangular muscle in the groin and upper thigh. The sac is usually deep to the pectineus muscle and lateral to the adductors. The sigmoid colon overlies the obturator. Part of. Pectineus Muscle Obturator Hernia.
From radiologykey.com
Obturator Hernia Radiology Key Pectineus Muscle Obturator Hernia Ct angiography of the abdomen and pelvis showed a strangulated, poorly enhancing bowel loop interposed between the right. The pectineus muscle is a flat, quadrangular muscle in the groin and upper thigh. Kubo n, yoshizawa z, hanaoka t, nakamura k. Pectineus pain can be felt in your groin, inner thigh, or front top of your thigh. The sac is usually. Pectineus Muscle Obturator Hernia.
From www.researchgate.net
Diagrammatic sagittal section of the upper thigh showing the pathway of Pectineus Muscle Obturator Hernia A case of a perforated obturator hernia with a femoral abscess treated a pectineus muscle flap. Ct angiography of the abdomen and pelvis showed a strangulated, poorly enhancing bowel loop interposed between the right. Pectineus pain can be felt in your groin, inner thigh, or front top of your thigh. The sigmoid colon overlies the obturator. The sac is usually. Pectineus Muscle Obturator Hernia.
From www.mickeymed.com
Structures That Pass Above and Below Pectineus Muscle Pectineus Muscle Obturator Hernia Ct angiography of the abdomen and pelvis showed a strangulated, poorly enhancing bowel loop interposed between the right. The pectineus muscle is a flat, quadrangular muscle in the groin and upper thigh. The sac is usually deep to the pectineus muscle and lateral to the adductors. Part of the adductor muscle group, you use the pectineus to flex your hip. Pectineus Muscle Obturator Hernia.
From www.alamy.com
Obturator membrane hires stock photography and images Alamy Pectineus Muscle Obturator Hernia Pectineus pain can be felt in your groin, inner thigh, or front top of your thigh. The sac is usually deep to the pectineus muscle and lateral to the adductors. Ct angiography of the abdomen and pelvis showed a strangulated, poorly enhancing bowel loop interposed between the right. The sigmoid colon overlies the obturator. Part of the adductor muscle group,. Pectineus Muscle Obturator Hernia.
From www.clinicalimaging.org
Radiographic and surgical findings of type I obturator hernias in Pectineus Muscle Obturator Hernia The sigmoid colon overlies the obturator. Ct angiography of the abdomen and pelvis showed a strangulated, poorly enhancing bowel loop interposed between the right. Pectineus pain can be felt in your groin, inner thigh, or front top of your thigh. The pectineus muscle is a flat, quadrangular muscle in the groin and upper thigh. Kubo n, yoshizawa z, hanaoka t,. Pectineus Muscle Obturator Hernia.
From www.getbodysmart.com
Pectineus Muscle Pectineus Muscle Obturator Hernia Kubo n, yoshizawa z, hanaoka t, nakamura k. Part of the adductor muscle group, you use the pectineus to flex your hip and move your leg toward your body. The sac is usually deep to the pectineus muscle and lateral to the adductors. The sigmoid colon overlies the obturator. The pectineus muscle is a flat, quadrangular muscle in the groin. Pectineus Muscle Obturator Hernia.
From mavink.com
Obturator Hernia Symptoms Pectineus Muscle Obturator Hernia Ct angiography of the abdomen and pelvis showed a strangulated, poorly enhancing bowel loop interposed between the right. The sigmoid colon overlies the obturator. A case of a perforated obturator hernia with a femoral abscess treated a pectineus muscle flap. The sac is usually deep to the pectineus muscle and lateral to the adductors. Part of the adductor muscle group,. Pectineus Muscle Obturator Hernia.
From www.slideshare.net
Special Consideration The Obturator Hernia Pectineus Muscle Obturator Hernia Ct angiography of the abdomen and pelvis showed a strangulated, poorly enhancing bowel loop interposed between the right. The sigmoid colon overlies the obturator. Part of the adductor muscle group, you use the pectineus to flex your hip and move your leg toward your body. The sac is usually deep to the pectineus muscle and lateral to the adductors. The. Pectineus Muscle Obturator Hernia.
From journals.sagepub.com
Rare case of obturator hernia Surgical anatomy, planning, and Pectineus Muscle Obturator Hernia The sac is usually deep to the pectineus muscle and lateral to the adductors. Kubo n, yoshizawa z, hanaoka t, nakamura k. The pectineus muscle is a flat, quadrangular muscle in the groin and upper thigh. Ct angiography of the abdomen and pelvis showed a strangulated, poorly enhancing bowel loop interposed between the right. The sigmoid colon overlies the obturator.. Pectineus Muscle Obturator Hernia.
From www.earthslab.com
Easy Notes On 【Obturator Externus】Learn in Just 3 Minutes! Pectineus Muscle Obturator Hernia Part of the adductor muscle group, you use the pectineus to flex your hip and move your leg toward your body. Pectineus pain can be felt in your groin, inner thigh, or front top of your thigh. Kubo n, yoshizawa z, hanaoka t, nakamura k. The sigmoid colon overlies the obturator. The sac is usually deep to the pectineus muscle. Pectineus Muscle Obturator Hernia.
From www.elsevier.com
Pectineus Muscle Complete Anatomy Pectineus Muscle Obturator Hernia Ct angiography of the abdomen and pelvis showed a strangulated, poorly enhancing bowel loop interposed between the right. Part of the adductor muscle group, you use the pectineus to flex your hip and move your leg toward your body. Pectineus pain can be felt in your groin, inner thigh, or front top of your thigh. The sac is usually deep. Pectineus Muscle Obturator Hernia.
From radiopaedia.org
Obturator hernia Image Pectineus Muscle Obturator Hernia Part of the adductor muscle group, you use the pectineus to flex your hip and move your leg toward your body. Pectineus pain can be felt in your groin, inner thigh, or front top of your thigh. A case of a perforated obturator hernia with a femoral abscess treated a pectineus muscle flap. Ct angiography of the abdomen and pelvis. Pectineus Muscle Obturator Hernia.
From www.elsevier.com
Pectineus Muscle Complete Anatomy Pectineus Muscle Obturator Hernia The sigmoid colon overlies the obturator. The sac is usually deep to the pectineus muscle and lateral to the adductors. Pectineus pain can be felt in your groin, inner thigh, or front top of your thigh. Kubo n, yoshizawa z, hanaoka t, nakamura k. Ct angiography of the abdomen and pelvis showed a strangulated, poorly enhancing bowel loop interposed between. Pectineus Muscle Obturator Hernia.
From www.researchgate.net
Axial CT scan of the abdomen showing an obturator hernia on the left Pectineus Muscle Obturator Hernia Kubo n, yoshizawa z, hanaoka t, nakamura k. Pectineus pain can be felt in your groin, inner thigh, or front top of your thigh. Ct angiography of the abdomen and pelvis showed a strangulated, poorly enhancing bowel loop interposed between the right. A case of a perforated obturator hernia with a femoral abscess treated a pectineus muscle flap. Part of. Pectineus Muscle Obturator Hernia.
From www.researchgate.net
Pathway of the obturator hernia. 1 = pubic ramus, 2 = peritoneum Pectineus Muscle Obturator Hernia The sac is usually deep to the pectineus muscle and lateral to the adductors. Pectineus pain can be felt in your groin, inner thigh, or front top of your thigh. The sigmoid colon overlies the obturator. A case of a perforated obturator hernia with a femoral abscess treated a pectineus muscle flap. Ct angiography of the abdomen and pelvis showed. Pectineus Muscle Obturator Hernia.
From www.eurorad.org
Small bowel obstruction secondary to obturator hernia Eurorad Pectineus Muscle Obturator Hernia The pectineus muscle is a flat, quadrangular muscle in the groin and upper thigh. Part of the adductor muscle group, you use the pectineus to flex your hip and move your leg toward your body. Kubo n, yoshizawa z, hanaoka t, nakamura k. The sigmoid colon overlies the obturator. A case of a perforated obturator hernia with a femoral abscess. Pectineus Muscle Obturator Hernia.
From www.bmj.com
An elderly woman with obstruction The BMJ Pectineus Muscle Obturator Hernia Kubo n, yoshizawa z, hanaoka t, nakamura k. The sigmoid colon overlies the obturator. Ct angiography of the abdomen and pelvis showed a strangulated, poorly enhancing bowel loop interposed between the right. Part of the adductor muscle group, you use the pectineus to flex your hip and move your leg toward your body. Pectineus pain can be felt in your. Pectineus Muscle Obturator Hernia.
From www.researchgate.net
CECT of pelvis showing fluidfilled hernia sac[arrow] herniated in Pectineus Muscle Obturator Hernia A case of a perforated obturator hernia with a femoral abscess treated a pectineus muscle flap. Ct angiography of the abdomen and pelvis showed a strangulated, poorly enhancing bowel loop interposed between the right. The sigmoid colon overlies the obturator. Pectineus pain can be felt in your groin, inner thigh, or front top of your thigh. The pectineus muscle is. Pectineus Muscle Obturator Hernia.
From radiopaedia.org
Obstructed obturator hernia Image Pectineus Muscle Obturator Hernia A case of a perforated obturator hernia with a femoral abscess treated a pectineus muscle flap. The sac is usually deep to the pectineus muscle and lateral to the adductors. Part of the adductor muscle group, you use the pectineus to flex your hip and move your leg toward your body. The sigmoid colon overlies the obturator. Pectineus pain can. Pectineus Muscle Obturator Hernia.
From www.researchgate.net
(PDF) A case of a perforated obturator hernia with a femoral abscess Pectineus Muscle Obturator Hernia The pectineus muscle is a flat, quadrangular muscle in the groin and upper thigh. Part of the adductor muscle group, you use the pectineus to flex your hip and move your leg toward your body. Ct angiography of the abdomen and pelvis showed a strangulated, poorly enhancing bowel loop interposed between the right. A case of a perforated obturator hernia. Pectineus Muscle Obturator Hernia.
From www.youtube.com
How To Stretch A Pectineus Muscle Strain For Pain Relief YouTube Pectineus Muscle Obturator Hernia Ct angiography of the abdomen and pelvis showed a strangulated, poorly enhancing bowel loop interposed between the right. The sigmoid colon overlies the obturator. Pectineus pain can be felt in your groin, inner thigh, or front top of your thigh. A case of a perforated obturator hernia with a femoral abscess treated a pectineus muscle flap. Part of the adductor. Pectineus Muscle Obturator Hernia.
From teachmesurgery.com
Abdominal Hernia Epigastric Spigelian Obturator TeachMeSurgery Pectineus Muscle Obturator Hernia The sigmoid colon overlies the obturator. Pectineus pain can be felt in your groin, inner thigh, or front top of your thigh. A case of a perforated obturator hernia with a femoral abscess treated a pectineus muscle flap. The pectineus muscle is a flat, quadrangular muscle in the groin and upper thigh. Ct angiography of the abdomen and pelvis showed. Pectineus Muscle Obturator Hernia.
From www.clinicalimaging.org
Radiographic and surgical findings of type I obturator hernias in Pectineus Muscle Obturator Hernia Part of the adductor muscle group, you use the pectineus to flex your hip and move your leg toward your body. The sigmoid colon overlies the obturator. The sac is usually deep to the pectineus muscle and lateral to the adductors. Ct angiography of the abdomen and pelvis showed a strangulated, poorly enhancing bowel loop interposed between the right. Pectineus. Pectineus Muscle Obturator Hernia.
From www.elsevier.com
Pectineus Muscle Complete Anatomy Pectineus Muscle Obturator Hernia The sac is usually deep to the pectineus muscle and lateral to the adductors. A case of a perforated obturator hernia with a femoral abscess treated a pectineus muscle flap. Ct angiography of the abdomen and pelvis showed a strangulated, poorly enhancing bowel loop interposed between the right. The pectineus muscle is a flat, quadrangular muscle in the groin and. Pectineus Muscle Obturator Hernia.
From www.clinicalimaging.org
Radiographic and surgical findings of type I obturator hernias in Pectineus Muscle Obturator Hernia The sac is usually deep to the pectineus muscle and lateral to the adductors. A case of a perforated obturator hernia with a femoral abscess treated a pectineus muscle flap. The pectineus muscle is a flat, quadrangular muscle in the groin and upper thigh. The sigmoid colon overlies the obturator. Kubo n, yoshizawa z, hanaoka t, nakamura k. Ct angiography. Pectineus Muscle Obturator Hernia.
From www.elsevier.com
Pectineus Muscle Complete Anatomy Pectineus Muscle Obturator Hernia Ct angiography of the abdomen and pelvis showed a strangulated, poorly enhancing bowel loop interposed between the right. Kubo n, yoshizawa z, hanaoka t, nakamura k. The pectineus muscle is a flat, quadrangular muscle in the groin and upper thigh. Part of the adductor muscle group, you use the pectineus to flex your hip and move your leg toward your. Pectineus Muscle Obturator Hernia.
From casereports.bmj.com
Obturator hernia of Richter type a diagnostic dilemma BMJ Case Reports Pectineus Muscle Obturator Hernia Kubo n, yoshizawa z, hanaoka t, nakamura k. The sac is usually deep to the pectineus muscle and lateral to the adductors. A case of a perforated obturator hernia with a femoral abscess treated a pectineus muscle flap. Part of the adductor muscle group, you use the pectineus to flex your hip and move your leg toward your body. Pectineus. Pectineus Muscle Obturator Hernia.
From www.osmosis.org
Pectineus What Is It, Location, Function, and More Osmosis Pectineus Muscle Obturator Hernia Part of the adductor muscle group, you use the pectineus to flex your hip and move your leg toward your body. Ct angiography of the abdomen and pelvis showed a strangulated, poorly enhancing bowel loop interposed between the right. Pectineus pain can be felt in your groin, inner thigh, or front top of your thigh. The pectineus muscle is a. Pectineus Muscle Obturator Hernia.
From radiologykey.com
Obturator Hernia Radiology Key Pectineus Muscle Obturator Hernia The sac is usually deep to the pectineus muscle and lateral to the adductors. Kubo n, yoshizawa z, hanaoka t, nakamura k. Pectineus pain can be felt in your groin, inner thigh, or front top of your thigh. The sigmoid colon overlies the obturator. The pectineus muscle is a flat, quadrangular muscle in the groin and upper thigh. A case. Pectineus Muscle Obturator Hernia.
From epos.myesr.org
EPOS™ Pectineus Muscle Obturator Hernia The sigmoid colon overlies the obturator. Kubo n, yoshizawa z, hanaoka t, nakamura k. Ct angiography of the abdomen and pelvis showed a strangulated, poorly enhancing bowel loop interposed between the right. The sac is usually deep to the pectineus muscle and lateral to the adductors. A case of a perforated obturator hernia with a femoral abscess treated a pectineus. Pectineus Muscle Obturator Hernia.
From www.researchgate.net
An 82yearold female patient with a left obturator hernia causing Pectineus Muscle Obturator Hernia Kubo n, yoshizawa z, hanaoka t, nakamura k. The pectineus muscle is a flat, quadrangular muscle in the groin and upper thigh. A case of a perforated obturator hernia with a femoral abscess treated a pectineus muscle flap. The sac is usually deep to the pectineus muscle and lateral to the adductors. Part of the adductor muscle group, you use. Pectineus Muscle Obturator Hernia.
From ar.inspiredpencil.com
Obturator Hernia Anatomy Pectineus Muscle Obturator Hernia The sac is usually deep to the pectineus muscle and lateral to the adductors. The pectineus muscle is a flat, quadrangular muscle in the groin and upper thigh. Part of the adductor muscle group, you use the pectineus to flex your hip and move your leg toward your body. Kubo n, yoshizawa z, hanaoka t, nakamura k. Pectineus pain can. Pectineus Muscle Obturator Hernia.