Can I Put Veneers After Braces . Most orthodontists will want to avoid attaching a bracket directly to your. Dental veneers after braces | a guide for those of you considering porcelain veneers after. Yes, you can still get braces if you have dental veneers. Here’s everything you need to know about the two procedures. The short answer is, yes—technically, it is possible to get braces with veneers. These two treatments can achieve great results, allowing you to flaunt your smile with confidence and pride. If you require braces, it is entirely possible to get them fitted even if you already have veneers. If you have crooked, misaligned, or crowded teeth that are discolored, your dentist may recommend getting veneers after braces to recreate a healthy, natural look. The compatibility of these treatments depends on factors like an individual’s dental health, the. New veneers can be needed after braces. If a crown, veneer or filling is healthy and sound, then having orthodontic treatment will. Will my crown, veneer or filling get damaged with braces? The veneer shells can’t be moved like natural teeth can. While one could start sooner, the requirements to keep teeth in place. Wait 3 months after braces before placing veneers.
from brunswickeastdental.com.au
Dental veneers after braces | a guide for those of you considering porcelain veneers after. If a crown, veneer or filling is healthy and sound, then having orthodontic treatment will. Yes, you can still get braces if you have dental veneers. The compatibility of these treatments depends on factors like an individual’s dental health, the. The short answer is, yes—technically, it is possible to get braces with veneers. The veneer shells can’t be moved like natural teeth can. Most orthodontists will want to avoid attaching a bracket directly to your. New veneers can be needed after braces. Wait 3 months after braces before placing veneers. Will my crown, veneer or filling get damaged with braces?
Veneers Before and After Results
Can I Put Veneers After Braces The short answer is, yes—technically, it is possible to get braces with veneers. Wait 3 months after braces before placing veneers. The veneer shells can’t be moved like natural teeth can. These two treatments can achieve great results, allowing you to flaunt your smile with confidence and pride. The short answer is, yes—technically, it is possible to get braces with veneers. Yes, you can still get braces if you have dental veneers. If you have crooked, misaligned, or crowded teeth that are discolored, your dentist may recommend getting veneers after braces to recreate a healthy, natural look. While one could start sooner, the requirements to keep teeth in place. If a crown, veneer or filling is healthy and sound, then having orthodontic treatment will. Here’s everything you need to know about the two procedures. Will my crown, veneer or filling get damaged with braces? Dental veneers after braces | a guide for those of you considering porcelain veneers after. However, we will try to avoid. The compatibility of these treatments depends on factors like an individual’s dental health, the. New veneers can be needed after braces. If you require braces, it is entirely possible to get them fitted even if you already have veneers.
From bestdentistinhouston.com
Veneers After Braces A Complete Guide For Your Individual Case Best Can I Put Veneers After Braces If you require braces, it is entirely possible to get them fitted even if you already have veneers. Here’s everything you need to know about the two procedures. While one could start sooner, the requirements to keep teeth in place. These two treatments can achieve great results, allowing you to flaunt your smile with confidence and pride. The compatibility of. Can I Put Veneers After Braces.
From signaturedentistry.com.au
Veneers Before and After By Dr Kasen Can I Put Veneers After Braces Here’s everything you need to know about the two procedures. Will my crown, veneer or filling get damaged with braces? However, we will try to avoid. If a crown, veneer or filling is healthy and sound, then having orthodontic treatment will. If you have crooked, misaligned, or crowded teeth that are discolored, your dentist may recommend getting veneers after braces. Can I Put Veneers After Braces.
From orthodonticsaustralia.org.au
Orthodontics Australia Veneers vs Braces Which one works for you? Can I Put Veneers After Braces If a crown, veneer or filling is healthy and sound, then having orthodontic treatment will. New veneers can be needed after braces. These two treatments can achieve great results, allowing you to flaunt your smile with confidence and pride. While one could start sooner, the requirements to keep teeth in place. The short answer is, yes—technically, it is possible to. Can I Put Veneers After Braces.
From www.90210dentist.net
Filling the Gaps Veneers, Implants and Dental Bonding Dr. Kevin Sands Can I Put Veneers After Braces While one could start sooner, the requirements to keep teeth in place. The veneer shells can’t be moved like natural teeth can. If you have crooked, misaligned, or crowded teeth that are discolored, your dentist may recommend getting veneers after braces to recreate a healthy, natural look. Will my crown, veneer or filling get damaged with braces? New veneers can. Can I Put Veneers After Braces.
From glidewelldental.com
Veneer Preparation and Temporization Tips and Techniques Can I Put Veneers After Braces If you have crooked, misaligned, or crowded teeth that are discolored, your dentist may recommend getting veneers after braces to recreate a healthy, natural look. Most orthodontists will want to avoid attaching a bracket directly to your. Yes, you can still get braces if you have dental veneers. However, we will try to avoid. While one could start sooner, the. Can I Put Veneers After Braces.
From www.cosmeticdentist-in.com
Veneers After Braces Can I Put Veneers After Braces New veneers can be needed after braces. Wait 3 months after braces before placing veneers. The compatibility of these treatments depends on factors like an individual’s dental health, the. The veneer shells can’t be moved like natural teeth can. Yes, you can still get braces if you have dental veneers. However, we will try to avoid. Most orthodontists will want. Can I Put Veneers After Braces.
From www.raberdental.com
Veneers Smile Gallery Raber Dental, Kidron Dentist Can I Put Veneers After Braces The compatibility of these treatments depends on factors like an individual’s dental health, the. Wait 3 months after braces before placing veneers. Here’s everything you need to know about the two procedures. Most orthodontists will want to avoid attaching a bracket directly to your. New veneers can be needed after braces. However, we will try to avoid. These two treatments. Can I Put Veneers After Braces.
From dentistspreston.com
Porcelain Veneers or Braces? Make the Right Choice Can I Put Veneers After Braces Will my crown, veneer or filling get damaged with braces? Yes, you can still get braces if you have dental veneers. Here’s everything you need to know about the two procedures. While one could start sooner, the requirements to keep teeth in place. The veneer shells can’t be moved like natural teeth can. The short answer is, yes—technically, it is. Can I Put Veneers After Braces.
From cejzkqlo.blob.core.windows.net
Can I Put Veneers After Braces at John Banks blog Can I Put Veneers After Braces These two treatments can achieve great results, allowing you to flaunt your smile with confidence and pride. However, we will try to avoid. Dental veneers after braces | a guide for those of you considering porcelain veneers after. The compatibility of these treatments depends on factors like an individual’s dental health, the. Most orthodontists will want to avoid attaching a. Can I Put Veneers After Braces.
From www.stalbansdentistry.com
The Veneer Process StepbyStep St. Albans Dental Can I Put Veneers After Braces If you have crooked, misaligned, or crowded teeth that are discolored, your dentist may recommend getting veneers after braces to recreate a healthy, natural look. If you require braces, it is entirely possible to get them fitted even if you already have veneers. Here’s everything you need to know about the two procedures. If a crown, veneer or filling is. Can I Put Veneers After Braces.
From klawhyzwg.blob.core.windows.net
Before And After Pictures Dental Veneers at Tanika Ayres blog Can I Put Veneers After Braces If you require braces, it is entirely possible to get them fitted even if you already have veneers. If you have crooked, misaligned, or crowded teeth that are discolored, your dentist may recommend getting veneers after braces to recreate a healthy, natural look. Most orthodontists will want to avoid attaching a bracket directly to your. The compatibility of these treatments. Can I Put Veneers After Braces.
From www.faceliftdentistry.com
Braces vs. Porcelain Veneers Instant Braces Can I Put Veneers After Braces If a crown, veneer or filling is healthy and sound, then having orthodontic treatment will. However, we will try to avoid. The compatibility of these treatments depends on factors like an individual’s dental health, the. Here’s everything you need to know about the two procedures. The short answer is, yes—technically, it is possible to get braces with veneers. Will my. Can I Put Veneers After Braces.
From loegolswy.blob.core.windows.net
Getting Veneers After Braces at Connie Guess blog Can I Put Veneers After Braces Yes, you can still get braces if you have dental veneers. Dental veneers after braces | a guide for those of you considering porcelain veneers after. These two treatments can achieve great results, allowing you to flaunt your smile with confidence and pride. The compatibility of these treatments depends on factors like an individual’s dental health, the. If a crown,. Can I Put Veneers After Braces.
From toothific.com
Can You Put Braces on Veneers? Understanding the Process Can I Put Veneers After Braces Will my crown, veneer or filling get damaged with braces? Wait 3 months after braces before placing veneers. If you have crooked, misaligned, or crowded teeth that are discolored, your dentist may recommend getting veneers after braces to recreate a healthy, natural look. While one could start sooner, the requirements to keep teeth in place. The veneer shells can’t be. Can I Put Veneers After Braces.
From swanseadental.com.au
What Are Veneers For Teeth? Swansea Dental Practice Can I Put Veneers After Braces New veneers can be needed after braces. Dental veneers after braces | a guide for those of you considering porcelain veneers after. Yes, you can still get braces if you have dental veneers. These two treatments can achieve great results, allowing you to flaunt your smile with confidence and pride. The compatibility of these treatments depends on factors like an. Can I Put Veneers After Braces.
From aboutbraces.org
PROCEDURES AFTER BRACES TREATMENT About Braces Can I Put Veneers After Braces If a crown, veneer or filling is healthy and sound, then having orthodontic treatment will. New veneers can be needed after braces. Dental veneers after braces | a guide for those of you considering porcelain veneers after. If you require braces, it is entirely possible to get them fitted even if you already have veneers. The compatibility of these treatments. Can I Put Veneers After Braces.
From www.dentalclinicdelhi.com
6 Ways to Improve Your Smile with Cosmetic Dental Solutions Can I Put Veneers After Braces Most orthodontists will want to avoid attaching a bracket directly to your. The compatibility of these treatments depends on factors like an individual’s dental health, the. Yes, you can still get braces if you have dental veneers. The veneer shells can’t be moved like natural teeth can. While one could start sooner, the requirements to keep teeth in place. Dental. Can I Put Veneers After Braces.
From cejzkqlo.blob.core.windows.net
Can I Put Veneers After Braces at John Banks blog Can I Put Veneers After Braces The veneer shells can’t be moved like natural teeth can. New veneers can be needed after braces. Yes, you can still get braces if you have dental veneers. The short answer is, yes—technically, it is possible to get braces with veneers. These two treatments can achieve great results, allowing you to flaunt your smile with confidence and pride. If you. Can I Put Veneers After Braces.
From cejzkqlo.blob.core.windows.net
Can I Put Veneers After Braces at John Banks blog Can I Put Veneers After Braces Will my crown, veneer or filling get damaged with braces? Dental veneers after braces | a guide for those of you considering porcelain veneers after. The veneer shells can’t be moved like natural teeth can. If you have crooked, misaligned, or crowded teeth that are discolored, your dentist may recommend getting veneers after braces to recreate a healthy, natural look.. Can I Put Veneers After Braces.
From skinnsmiles.com
Veneers vs Braces What's the Best Fix for Crooked Teeth? Skin 'n Smiles Can I Put Veneers After Braces If a crown, veneer or filling is healthy and sound, then having orthodontic treatment will. The veneer shells can’t be moved like natural teeth can. Here’s everything you need to know about the two procedures. If you require braces, it is entirely possible to get them fitted even if you already have veneers. The compatibility of these treatments depends on. Can I Put Veneers After Braces.
From ladentalclinic.com
Can You Get Braces If You have Veneers? LA Dental Clinic Can I Put Veneers After Braces The veneer shells can’t be moved like natural teeth can. Yes, you can still get braces if you have dental veneers. Here’s everything you need to know about the two procedures. However, we will try to avoid. If you require braces, it is entirely possible to get them fitted even if you already have veneers. If you have crooked, misaligned,. Can I Put Veneers After Braces.
From au.pinterest.com
Our results gallery shows before and after images for treatments such Can I Put Veneers After Braces The short answer is, yes—technically, it is possible to get braces with veneers. The veneer shells can’t be moved like natural teeth can. These two treatments can achieve great results, allowing you to flaunt your smile with confidence and pride. Will my crown, veneer or filling get damaged with braces? Dental veneers after braces | a guide for those of. Can I Put Veneers After Braces.
From cosmeticdentistchicago.com
Veneers After Braces Advanced Cosmetic Dentistry Can I Put Veneers After Braces The short answer is, yes—technically, it is possible to get braces with veneers. If a crown, veneer or filling is healthy and sound, then having orthodontic treatment will. If you have crooked, misaligned, or crowded teeth that are discolored, your dentist may recommend getting veneers after braces to recreate a healthy, natural look. These two treatments can achieve great results,. Can I Put Veneers After Braces.
From dentistspreston.com
Porcelain Veneers or Braces? Make the Right Choice Can I Put Veneers After Braces If a crown, veneer or filling is healthy and sound, then having orthodontic treatment will. Dental veneers after braces | a guide for those of you considering porcelain veneers after. Most orthodontists will want to avoid attaching a bracket directly to your. The short answer is, yes—technically, it is possible to get braces with veneers. The veneer shells can’t be. Can I Put Veneers After Braces.
From www.marticdentistry.com
veneers after 2 Sudbury Dentists Dr. Martic Dental Clinic Lasalle Sudbury Can I Put Veneers After Braces However, we will try to avoid. New veneers can be needed after braces. If you require braces, it is entirely possible to get them fitted even if you already have veneers. The veneer shells can’t be moved like natural teeth can. Here’s everything you need to know about the two procedures. If you have crooked, misaligned, or crowded teeth that. Can I Put Veneers After Braces.
From cejzkqlo.blob.core.windows.net
Can I Put Veneers After Braces at John Banks blog Can I Put Veneers After Braces If you require braces, it is entirely possible to get them fitted even if you already have veneers. While one could start sooner, the requirements to keep teeth in place. New veneers can be needed after braces. If you have crooked, misaligned, or crowded teeth that are discolored, your dentist may recommend getting veneers after braces to recreate a healthy,. Can I Put Veneers After Braces.
From www.sachardental.com
Resin Bonding Veneers NYC Dr Sachar Can I Put Veneers After Braces Wait 3 months after braces before placing veneers. Most orthodontists will want to avoid attaching a bracket directly to your. Dental veneers after braces | a guide for those of you considering porcelain veneers after. These two treatments can achieve great results, allowing you to flaunt your smile with confidence and pride. The compatibility of these treatments depends on factors. Can I Put Veneers After Braces.
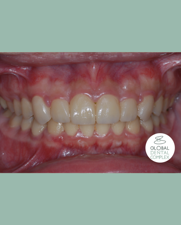
From globaldentalcomplex.com
Veneers & braces Can I Put Veneers After Braces If a crown, veneer or filling is healthy and sound, then having orthodontic treatment will. Will my crown, veneer or filling get damaged with braces? These two treatments can achieve great results, allowing you to flaunt your smile with confidence and pride. However, we will try to avoid. Here’s everything you need to know about the two procedures. While one. Can I Put Veneers After Braces.
From bespokesmile.co.uk
Everything You Need To Know About Emax VeneersBespoke Smile Can I Put Veneers After Braces If you require braces, it is entirely possible to get them fitted even if you already have veneers. Here’s everything you need to know about the two procedures. Will my crown, veneer or filling get damaged with braces? Most orthodontists will want to avoid attaching a bracket directly to your. New veneers can be needed after braces. Yes, you can. Can I Put Veneers After Braces.
From cosmeticdentistchicago.com
Veneers After Braces Advanced Cosmetic Dentistry Can I Put Veneers After Braces The short answer is, yes—technically, it is possible to get braces with veneers. However, we will try to avoid. While one could start sooner, the requirements to keep teeth in place. Wait 3 months after braces before placing veneers. Will my crown, veneer or filling get damaged with braces? The veneer shells can’t be moved like natural teeth can. If. Can I Put Veneers After Braces.
From dxoqzifjv.blob.core.windows.net
What Is A Tooth Veneer at Oliver Corral blog Can I Put Veneers After Braces While one could start sooner, the requirements to keep teeth in place. If you require braces, it is entirely possible to get them fitted even if you already have veneers. The short answer is, yes—technically, it is possible to get braces with veneers. The compatibility of these treatments depends on factors like an individual’s dental health, the. Here’s everything you. Can I Put Veneers After Braces.
From www.thedentalroom.com.au
Porcelain Veneers Before and After The Dental Room Can I Put Veneers After Braces Yes, you can still get braces if you have dental veneers. However, we will try to avoid. The veneer shells can’t be moved like natural teeth can. If you have crooked, misaligned, or crowded teeth that are discolored, your dentist may recommend getting veneers after braces to recreate a healthy, natural look. Here’s everything you need to know about the. Can I Put Veneers After Braces.
From cosmeticdentistchicago.com
Veneers After Invisalign or Clear Tooth Aligners Can I Put Veneers After Braces The veneer shells can’t be moved like natural teeth can. Dental veneers after braces | a guide for those of you considering porcelain veneers after. However, we will try to avoid. Here’s everything you need to know about the two procedures. New veneers can be needed after braces. Yes, you can still get braces if you have dental veneers. The. Can I Put Veneers After Braces.
From cejzkqlo.blob.core.windows.net
Can I Put Veneers After Braces at John Banks blog Can I Put Veneers After Braces These two treatments can achieve great results, allowing you to flaunt your smile with confidence and pride. Most orthodontists will want to avoid attaching a bracket directly to your. Will my crown, veneer or filling get damaged with braces? If you have crooked, misaligned, or crowded teeth that are discolored, your dentist may recommend getting veneers after braces to recreate. Can I Put Veneers After Braces.
From brunswickeastdental.com.au
Veneers Before and After Results Can I Put Veneers After Braces Will my crown, veneer or filling get damaged with braces? While one could start sooner, the requirements to keep teeth in place. Yes, you can still get braces if you have dental veneers. Here’s everything you need to know about the two procedures. However, we will try to avoid. If a crown, veneer or filling is healthy and sound, then. Can I Put Veneers After Braces.