Retinoschisis Bilateral . It can cause problems with the central or peripheral vision. Retinoschisis is a condition that occurs when a layer of the retina splits into two. Usually, and almost always with the juvenile form, both eyes are affected (bilateral). The retina is the tissue inside the back of the eye that. Retinoschisis refers to the separation of the layers of the retina. Senile retinoschisis, also called degenerative. In some cases, the condition is present at birth. The juvenile form is the more serious form of. Senile retinoschisis is a microcystoid degeneration of the neurosensory retina, with splitting at the outer plexiform layer of the retina. Retinoschisis is a condition in which an area of the retina (the tissue lining the inside of the back of the eye that transmits visual signals to the. It’s a genetic disease of the retina that almost always affects both eyes (bilateral).
from www.researchgate.net
Senile retinoschisis is a microcystoid degeneration of the neurosensory retina, with splitting at the outer plexiform layer of the retina. It can cause problems with the central or peripheral vision. Retinoschisis refers to the separation of the layers of the retina. Retinoschisis is a condition in which an area of the retina (the tissue lining the inside of the back of the eye that transmits visual signals to the. Retinoschisis is a condition that occurs when a layer of the retina splits into two. In some cases, the condition is present at birth. The juvenile form is the more serious form of. The retina is the tissue inside the back of the eye that. Senile retinoschisis, also called degenerative. It’s a genetic disease of the retina that almost always affects both eyes (bilateral).
Outer macular retinoschisis (Fig. 3(b), star) alone in an eye with... Download Scientific Diagram
Retinoschisis Bilateral Retinoschisis refers to the separation of the layers of the retina. It’s a genetic disease of the retina that almost always affects both eyes (bilateral). The juvenile form is the more serious form of. Senile retinoschisis is a microcystoid degeneration of the neurosensory retina, with splitting at the outer plexiform layer of the retina. It can cause problems with the central or peripheral vision. Retinoschisis refers to the separation of the layers of the retina. The retina is the tissue inside the back of the eye that. Usually, and almost always with the juvenile form, both eyes are affected (bilateral). In some cases, the condition is present at birth. Senile retinoschisis, also called degenerative. Retinoschisis is a condition that occurs when a layer of the retina splits into two. Retinoschisis is a condition in which an area of the retina (the tissue lining the inside of the back of the eye that transmits visual signals to the.
From ar.inspiredpencil.com
Retinoschisis Treatment Laser Retinoschisis Bilateral Senile retinoschisis, also called degenerative. Retinoschisis is a condition in which an area of the retina (the tissue lining the inside of the back of the eye that transmits visual signals to the. In some cases, the condition is present at birth. Retinoschisis is a condition that occurs when a layer of the retina splits into two. The retina is. Retinoschisis Bilateral.
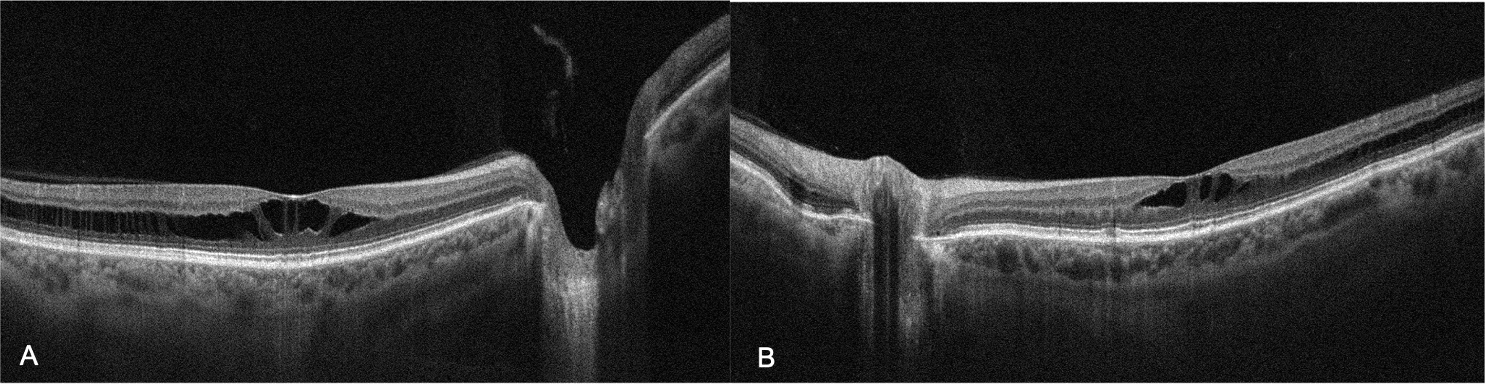
From www.semanticscholar.org
Figure 1 from Rétinoschisis maculaire bilatéral associé à un rétinoschisis périphérique Retinoschisis Bilateral It can cause problems with the central or peripheral vision. Senile retinoschisis, also called degenerative. The retina is the tissue inside the back of the eye that. Retinoschisis is a condition in which an area of the retina (the tissue lining the inside of the back of the eye that transmits visual signals to the. Retinoschisis refers to the separation. Retinoschisis Bilateral.
From retinalphotography.blogspot.com
Retinal Photography & Optical Coherence Tomography Bilateral Retinoschisis Retinoschisis Bilateral The juvenile form is the more serious form of. Retinoschisis is a condition that occurs when a layer of the retina splits into two. Usually, and almost always with the juvenile form, both eyes are affected (bilateral). Senile retinoschisis, also called degenerative. The retina is the tissue inside the back of the eye that. Retinoschisis refers to the separation of. Retinoschisis Bilateral.
From www.ajnr.org
Juvenile Retinoschisis Imaging Findings American Journal of Neuroradiology Retinoschisis Bilateral It’s a genetic disease of the retina that almost always affects both eyes (bilateral). Retinoschisis is a condition that occurs when a layer of the retina splits into two. The retina is the tissue inside the back of the eye that. Retinoschisis is a condition in which an area of the retina (the tissue lining the inside of the back. Retinoschisis Bilateral.
From healthjade.net
Retinoschisis causes, symptoms, diagnosis & retinoschisis treatment Retinoschisis Bilateral It can cause problems with the central or peripheral vision. The juvenile form is the more serious form of. The retina is the tissue inside the back of the eye that. Usually, and almost always with the juvenile form, both eyes are affected (bilateral). In some cases, the condition is present at birth. Retinoschisis is a condition that occurs when. Retinoschisis Bilateral.
From europepmc.org
Clinical features of a toddler with bilateral bullous retinoschisis with a novel RS1 mutation Retinoschisis Bilateral It can cause problems with the central or peripheral vision. Retinoschisis is a condition that occurs when a layer of the retina splits into two. Retinoschisis is a condition in which an area of the retina (the tissue lining the inside of the back of the eye that transmits visual signals to the. Senile retinoschisis, also called degenerative. The juvenile. Retinoschisis Bilateral.
From www.ophthalmologyretina.org
Bilateral Macular Retinoschisis Caused by Autosomal Recessive Alport Syndrome Ophthalmology Retina Retinoschisis Bilateral The retina is the tissue inside the back of the eye that. It can cause problems with the central or peripheral vision. Retinoschisis is a condition that occurs when a layer of the retina splits into two. Usually, and almost always with the juvenile form, both eyes are affected (bilateral). The juvenile form is the more serious form of. Retinoschisis. Retinoschisis Bilateral.
From www.semanticscholar.org
Figure 1 from En Face Optical Coherence Tomography of Bilateral Myopic Macular Retinoschisis Retinoschisis Bilateral Retinoschisis is a condition that occurs when a layer of the retina splits into two. In some cases, the condition is present at birth. Retinoschisis is a condition in which an area of the retina (the tissue lining the inside of the back of the eye that transmits visual signals to the. The retina is the tissue inside the back. Retinoschisis Bilateral.
From www.researchgate.net
Case 2 Color fundus photographs of the left and right eyes showing... Download Scientific Diagram Retinoschisis Bilateral Senile retinoschisis, also called degenerative. Senile retinoschisis is a microcystoid degeneration of the neurosensory retina, with splitting at the outer plexiform layer of the retina. It can cause problems with the central or peripheral vision. Retinoschisis is a condition that occurs when a layer of the retina splits into two. In some cases, the condition is present at birth. It’s. Retinoschisis Bilateral.
From www.specsavers-profile.com
OPTOMETRY A swirly case of bilateral Xlinked retinoschisis ProFile Specsavers journal Retinoschisis Bilateral Retinoschisis is a condition in which an area of the retina (the tissue lining the inside of the back of the eye that transmits visual signals to the. Retinoschisis is a condition that occurs when a layer of the retina splits into two. In some cases, the condition is present at birth. The juvenile form is the more serious form. Retinoschisis Bilateral.
From jamanetwork.com
Bilateral Macular Detachments in Xlinked Retinoschisis Ophthalmology JAMA Ophthalmology Retinoschisis Bilateral It can cause problems with the central or peripheral vision. Retinoschisis is a condition in which an area of the retina (the tissue lining the inside of the back of the eye that transmits visual signals to the. Retinoschisis is a condition that occurs when a layer of the retina splits into two. In some cases, the condition is present. Retinoschisis Bilateral.
From www.researchgate.net
(PDF) Multimodal imaging of bilateral macular hole in Xlinked retinoschisis Retinoschisis Bilateral The retina is the tissue inside the back of the eye that. Retinoschisis refers to the separation of the layers of the retina. It can cause problems with the central or peripheral vision. Senile retinoschisis is a microcystoid degeneration of the neurosensory retina, with splitting at the outer plexiform layer of the retina. It’s a genetic disease of the retina. Retinoschisis Bilateral.
From europepmc.org
Bilateral macular holes in Xlinked retinoschisis now the spectrum is wider. Abstract Retinoschisis Bilateral The juvenile form is the more serious form of. In some cases, the condition is present at birth. Usually, and almost always with the juvenile form, both eyes are affected (bilateral). Retinoschisis is a condition in which an area of the retina (the tissue lining the inside of the back of the eye that transmits visual signals to the. Senile. Retinoschisis Bilateral.
From www.cureus.com
Cureus Bilateral Stellate Nonhereditary Idiopathic Foveomacular Retinoschisis (SNIFR Retinoschisis Bilateral Retinoschisis refers to the separation of the layers of the retina. Usually, and almost always with the juvenile form, both eyes are affected (bilateral). Retinoschisis is a condition that occurs when a layer of the retina splits into two. Senile retinoschisis is a microcystoid degeneration of the neurosensory retina, with splitting at the outer plexiform layer of the retina. It. Retinoschisis Bilateral.
From www.semanticscholar.org
Figure 1 from Rétinoschisis maculaire bilatéral associé à un rétinoschisis périphérique Retinoschisis Bilateral Senile retinoschisis is a microcystoid degeneration of the neurosensory retina, with splitting at the outer plexiform layer of the retina. It’s a genetic disease of the retina that almost always affects both eyes (bilateral). The retina is the tissue inside the back of the eye that. In some cases, the condition is present at birth. It can cause problems with. Retinoschisis Bilateral.
From healthjade.net
Retinoschisis causes, symptoms, diagnosis & retinoschisis treatment Retinoschisis Bilateral It’s a genetic disease of the retina that almost always affects both eyes (bilateral). Senile retinoschisis is a microcystoid degeneration of the neurosensory retina, with splitting at the outer plexiform layer of the retina. The retina is the tissue inside the back of the eye that. The juvenile form is the more serious form of. It can cause problems with. Retinoschisis Bilateral.
From www.researchgate.net
Outer macular retinoschisis (Fig. 3(b), star) alone in an eye with... Download Scientific Diagram Retinoschisis Bilateral Retinoschisis is a condition in which an area of the retina (the tissue lining the inside of the back of the eye that transmits visual signals to the. Senile retinoschisis, also called degenerative. It can cause problems with the central or peripheral vision. It’s a genetic disease of the retina that almost always affects both eyes (bilateral). Retinoschisis is a. Retinoschisis Bilateral.
From www.ophthalmologyretina.org
Stellate Nonhereditary Idiopathic Foveomacular Retinoschisis with Bilateral Peripheral Retinoschisis Bilateral It can cause problems with the central or peripheral vision. The retina is the tissue inside the back of the eye that. The juvenile form is the more serious form of. Retinoschisis refers to the separation of the layers of the retina. Senile retinoschisis is a microcystoid degeneration of the neurosensory retina, with splitting at the outer plexiform layer of. Retinoschisis Bilateral.
From www.aaojournal.org
XLinked Retinoschisis Ophthalmology Retinoschisis Bilateral Senile retinoschisis, also called degenerative. It can cause problems with the central or peripheral vision. Usually, and almost always with the juvenile form, both eyes are affected (bilateral). Retinoschisis is a condition that occurs when a layer of the retina splits into two. The retina is the tissue inside the back of the eye that. It’s a genetic disease of. Retinoschisis Bilateral.
From www.outlookeye.com.au
XLinked Retinoschisis (XLRS) Outlook Eye Specialists Retinoschisis Bilateral Retinoschisis is a condition that occurs when a layer of the retina splits into two. It can cause problems with the central or peripheral vision. Senile retinoschisis is a microcystoid degeneration of the neurosensory retina, with splitting at the outer plexiform layer of the retina. Retinoschisis refers to the separation of the layers of the retina. Retinoschisis is a condition. Retinoschisis Bilateral.
From www.cureus.com
Cureus Bilateral Stellate Nonhereditary Idiopathic Foveomacular Retinoschisis (SNIFR Retinoschisis Bilateral The retina is the tissue inside the back of the eye that. Retinoschisis is a condition in which an area of the retina (the tissue lining the inside of the back of the eye that transmits visual signals to the. Senile retinoschisis is a microcystoid degeneration of the neurosensory retina, with splitting at the outer plexiform layer of the retina.. Retinoschisis Bilateral.
From journals.lww.com
Bilateral foveal retinoschisis unilateral perip... Indian Journal of Ophthalmology Retinoschisis Bilateral It can cause problems with the central or peripheral vision. Senile retinoschisis is a microcystoid degeneration of the neurosensory retina, with splitting at the outer plexiform layer of the retina. The retina is the tissue inside the back of the eye that. Retinoschisis is a condition in which an area of the retina (the tissue lining the inside of the. Retinoschisis Bilateral.
From casereports.bmj.com
Multimodal imaging of bilateral macular hole in Xlinked retinoschisis BMJ Case Reports Retinoschisis Bilateral Retinoschisis is a condition in which an area of the retina (the tissue lining the inside of the back of the eye that transmits visual signals to the. Senile retinoschisis is a microcystoid degeneration of the neurosensory retina, with splitting at the outer plexiform layer of the retina. Senile retinoschisis, also called degenerative. Retinoschisis refers to the separation of the. Retinoschisis Bilateral.
From healthjade.net
Retinoschisis causes, symptoms, diagnosis & retinoschisis treatment Retinoschisis Bilateral It can cause problems with the central or peripheral vision. Usually, and almost always with the juvenile form, both eyes are affected (bilateral). In some cases, the condition is present at birth. Retinoschisis is a condition in which an area of the retina (the tissue lining the inside of the back of the eye that transmits visual signals to the.. Retinoschisis Bilateral.
From jamanetwork.com
Bilateral Macular Detachments in Xlinked Retinoschisis Ophthalmology JAMA Ophthalmology Retinoschisis Bilateral Senile retinoschisis is a microcystoid degeneration of the neurosensory retina, with splitting at the outer plexiform layer of the retina. Retinoschisis is a condition that occurs when a layer of the retina splits into two. Retinoschisis refers to the separation of the layers of the retina. Senile retinoschisis, also called degenerative. Usually, and almost always with the juvenile form, both. Retinoschisis Bilateral.
From link.springer.com
Bilateral papillomacular retinoschisis and macular detachment by focal lamina Retinoschisis Bilateral Senile retinoschisis is a microcystoid degeneration of the neurosensory retina, with splitting at the outer plexiform layer of the retina. The juvenile form is the more serious form of. It can cause problems with the central or peripheral vision. Retinoschisis is a condition that occurs when a layer of the retina splits into two. Retinoschisis is a condition in which. Retinoschisis Bilateral.
From webeye.ophth.uiowa.edu
Diagnosis and management of Juvenile Xlinked Retinoschisis (JXLR) Retinoschisis Bilateral Retinoschisis is a condition that occurs when a layer of the retina splits into two. The retina is the tissue inside the back of the eye that. Senile retinoschisis, also called degenerative. In some cases, the condition is present at birth. Usually, and almost always with the juvenile form, both eyes are affected (bilateral). The juvenile form is the more. Retinoschisis Bilateral.
From www.researchgate.net
(PDF) Clinical features of a toddler with bilateral bullous retinoschisis with a novel RS1 mutation Retinoschisis Bilateral The juvenile form is the more serious form of. Usually, and almost always with the juvenile form, both eyes are affected (bilateral). It’s a genetic disease of the retina that almost always affects both eyes (bilateral). In some cases, the condition is present at birth. The retina is the tissue inside the back of the eye that. Senile retinoschisis, also. Retinoschisis Bilateral.
From webeye.ophth.uiowa.edu
Acquired Peripheral Retinoschisis Retinoschisis Bilateral It’s a genetic disease of the retina that almost always affects both eyes (bilateral). Senile retinoschisis is a microcystoid degeneration of the neurosensory retina, with splitting at the outer plexiform layer of the retina. Retinoschisis is a condition that occurs when a layer of the retina splits into two. The juvenile form is the more serious form of. The retina. Retinoschisis Bilateral.
From www.cureus.com
Acquired Senile Retinoschisis of the Peripheral Retina Imaged by Spectral Domain Optical Retinoschisis Bilateral In some cases, the condition is present at birth. Senile retinoschisis, also called degenerative. Retinoschisis refers to the separation of the layers of the retina. It’s a genetic disease of the retina that almost always affects both eyes (bilateral). The retina is the tissue inside the back of the eye that. Retinoschisis is a condition that occurs when a layer. Retinoschisis Bilateral.
From www.ncbi.nlm.nih.gov
XLinked Congenital Retinoschisis GeneReviews® NCBI Bookshelf Retinoschisis Bilateral Retinoschisis is a condition in which an area of the retina (the tissue lining the inside of the back of the eye that transmits visual signals to the. It’s a genetic disease of the retina that almost always affects both eyes (bilateral). Usually, and almost always with the juvenile form, both eyes are affected (bilateral). Senile retinoschisis, also called degenerative.. Retinoschisis Bilateral.
From www.cureus.com
Cureus Bilateral Stellate Nonhereditary Idiopathic Foveomacular Retinoschisis (SNIFR Retinoschisis Bilateral Usually, and almost always with the juvenile form, both eyes are affected (bilateral). It can cause problems with the central or peripheral vision. Senile retinoschisis, also called degenerative. Retinoschisis is a condition that occurs when a layer of the retina splits into two. The retina is the tissue inside the back of the eye that. Retinoschisis refers to the separation. Retinoschisis Bilateral.
From www.nejm.org
Retinal Detachment in XLinked Retinoschisis NEJM Retinoschisis Bilateral Retinoschisis is a condition in which an area of the retina (the tissue lining the inside of the back of the eye that transmits visual signals to the. It’s a genetic disease of the retina that almost always affects both eyes (bilateral). Retinoschisis is a condition that occurs when a layer of the retina splits into two. Senile retinoschisis is. Retinoschisis Bilateral.
From www.vagelos.columbia.edu
Degenerative Retinoschisis Vagelos College of Physicians and Surgeons Retinoschisis Bilateral Senile retinoschisis is a microcystoid degeneration of the neurosensory retina, with splitting at the outer plexiform layer of the retina. It can cause problems with the central or peripheral vision. Retinoschisis is a condition that occurs when a layer of the retina splits into two. In some cases, the condition is present at birth. Retinoschisis is a condition in which. Retinoschisis Bilateral.
From www.semanticscholar.org
Figure 1 from Improvement of Bilateral Elevated Foveal Retinoschisis Following Sequential Retinoschisis Bilateral Usually, and almost always with the juvenile form, both eyes are affected (bilateral). Retinoschisis is a condition in which an area of the retina (the tissue lining the inside of the back of the eye that transmits visual signals to the. The retina is the tissue inside the back of the eye that. Senile retinoschisis is a microcystoid degeneration of. Retinoschisis Bilateral.