How Long Should An Artificial Knee Last . how long does an artificial knee last? An artificial knee, like the joint it replaces, can undergo damage from wear and tear. how long does an artificial knee last? You may need a knee replacement. knee replacement surgery is a surgery to replace parts of your knee joint with new, artificial parts. the question of how long does a knee replacement last is frequently asked by patients, and to date, we have not had a. joint replacement surgery is a safe and effective procedure to relieve pain, correct leg deformity, and help you resume normal activities. Research from 2019 showed that approximately 82% of total knee replacements were still functioning and doing well at 25 years. how long you stay in the hospital after surgery depends on your individual needs. the components combine to form an artificial joint that is biologically compatible and mimics the movement of your natural knee.
from www.orthoinfo.org
Research from 2019 showed that approximately 82% of total knee replacements were still functioning and doing well at 25 years. how long does an artificial knee last? the question of how long does a knee replacement last is frequently asked by patients, and to date, we have not had a. how long does an artificial knee last? the components combine to form an artificial joint that is biologically compatible and mimics the movement of your natural knee. joint replacement surgery is a safe and effective procedure to relieve pain, correct leg deformity, and help you resume normal activities. how long you stay in the hospital after surgery depends on your individual needs. You may need a knee replacement. knee replacement surgery is a surgery to replace parts of your knee joint with new, artificial parts. An artificial knee, like the joint it replaces, can undergo damage from wear and tear.
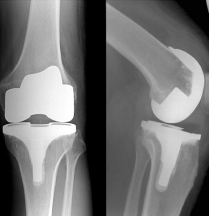
Total Knee Replacement OrthoInfo AAOS
How Long Should An Artificial Knee Last how long does an artificial knee last? knee replacement surgery is a surgery to replace parts of your knee joint with new, artificial parts. how long does an artificial knee last? You may need a knee replacement. the components combine to form an artificial joint that is biologically compatible and mimics the movement of your natural knee. Research from 2019 showed that approximately 82% of total knee replacements were still functioning and doing well at 25 years. how long you stay in the hospital after surgery depends on your individual needs. how long does an artificial knee last? joint replacement surgery is a safe and effective procedure to relieve pain, correct leg deformity, and help you resume normal activities. the question of how long does a knee replacement last is frequently asked by patients, and to date, we have not had a. An artificial knee, like the joint it replaces, can undergo damage from wear and tear.
From healthella.com
Knee Replacement Surgery The Ultimate Guide Page 15 of 15 Healthella How Long Should An Artificial Knee Last Research from 2019 showed that approximately 82% of total knee replacements were still functioning and doing well at 25 years. how long you stay in the hospital after surgery depends on your individual needs. how long does an artificial knee last? An artificial knee, like the joint it replaces, can undergo damage from wear and tear. joint. How Long Should An Artificial Knee Last.
From www.orthoinfo.org
Total Knee Replacement OrthoInfo AAOS How Long Should An Artificial Knee Last how long does an artificial knee last? An artificial knee, like the joint it replaces, can undergo damage from wear and tear. joint replacement surgery is a safe and effective procedure to relieve pain, correct leg deformity, and help you resume normal activities. the components combine to form an artificial joint that is biologically compatible and mimics. How Long Should An Artificial Knee Last.
From www.slideshare.net
Total Knee Replacement Procedure Steps PDF How Long Should An Artificial Knee Last the components combine to form an artificial joint that is biologically compatible and mimics the movement of your natural knee. joint replacement surgery is a safe and effective procedure to relieve pain, correct leg deformity, and help you resume normal activities. the question of how long does a knee replacement last is frequently asked by patients, and. How Long Should An Artificial Knee Last.
From www.lateprosthetics.com
How Long Does Knee Replacement Prosthetic Last How Long Should An Artificial Knee Last An artificial knee, like the joint it replaces, can undergo damage from wear and tear. how long does an artificial knee last? knee replacement surgery is a surgery to replace parts of your knee joint with new, artificial parts. Research from 2019 showed that approximately 82% of total knee replacements were still functioning and doing well at 25. How Long Should An Artificial Knee Last.
From www.youtube.com
How Long Does a Partial Knee Replacement Last? Travis Clegg, M.D How Long Should An Artificial Knee Last how long does an artificial knee last? An artificial knee, like the joint it replaces, can undergo damage from wear and tear. knee replacement surgery is a surgery to replace parts of your knee joint with new, artificial parts. how long you stay in the hospital after surgery depends on your individual needs. You may need a. How Long Should An Artificial Knee Last.
From www.arthritis-health.com
What to Expect After Knee Replacement How Long Should An Artificial Knee Last the question of how long does a knee replacement last is frequently asked by patients, and to date, we have not had a. An artificial knee, like the joint it replaces, can undergo damage from wear and tear. You may need a knee replacement. how long you stay in the hospital after surgery depends on your individual needs.. How Long Should An Artificial Knee Last.
From www.youtube.com
How long do knee replacements last? Will I need a revision? Should I How Long Should An Artificial Knee Last the components combine to form an artificial joint that is biologically compatible and mimics the movement of your natural knee. how long does an artificial knee last? knee replacement surgery is a surgery to replace parts of your knee joint with new, artificial parts. joint replacement surgery is a safe and effective procedure to relieve pain,. How Long Should An Artificial Knee Last.
From exolefmkv.blob.core.windows.net
What Do Knees Look Like After Knee Replacement at Robert Barker blog How Long Should An Artificial Knee Last the components combine to form an artificial joint that is biologically compatible and mimics the movement of your natural knee. how long you stay in the hospital after surgery depends on your individual needs. how long does an artificial knee last? how long does an artificial knee last? knee replacement surgery is a surgery to. How Long Should An Artificial Knee Last.
From liliannorman.wordpress.com
How long does a Knee Replacement Last Education Updates How Long Should An Artificial Knee Last Research from 2019 showed that approximately 82% of total knee replacements were still functioning and doing well at 25 years. knee replacement surgery is a surgery to replace parts of your knee joint with new, artificial parts. the components combine to form an artificial joint that is biologically compatible and mimics the movement of your natural knee. You. How Long Should An Artificial Knee Last.
From kneesurgerysydney.com.au
Arthritis & knee replacement Archives Dr. Bu Balalla How Long Should An Artificial Knee Last how long does an artificial knee last? knee replacement surgery is a surgery to replace parts of your knee joint with new, artificial parts. You may need a knee replacement. the question of how long does a knee replacement last is frequently asked by patients, and to date, we have not had a. An artificial knee, like. How Long Should An Artificial Knee Last.
From exoehaqmu.blob.core.windows.net
Knee Replacement Hardware Options at Danny Lyon blog How Long Should An Artificial Knee Last how long does an artificial knee last? knee replacement surgery is a surgery to replace parts of your knee joint with new, artificial parts. how long does an artificial knee last? Research from 2019 showed that approximately 82% of total knee replacements were still functioning and doing well at 25 years. An artificial knee, like the joint. How Long Should An Artificial Knee Last.
From ar.inspiredpencil.com
Osteoarthritis Knee Replacement How Long Should An Artificial Knee Last the components combine to form an artificial joint that is biologically compatible and mimics the movement of your natural knee. You may need a knee replacement. An artificial knee, like the joint it replaces, can undergo damage from wear and tear. how long does an artificial knee last? how long does an artificial knee last? the. How Long Should An Artificial Knee Last.
From totalkneereplacementrecovery.net
How Long Do Knee Replacements Last? How Long Should An Artificial Knee Last how long you stay in the hospital after surgery depends on your individual needs. how long does an artificial knee last? the question of how long does a knee replacement last is frequently asked by patients, and to date, we have not had a. Research from 2019 showed that approximately 82% of total knee replacements were still. How Long Should An Artificial Knee Last.
From cellaxys.com
How Long Does Pain Last After Knee Replacement Surgery? Cellaxys How Long Should An Artificial Knee Last You may need a knee replacement. the question of how long does a knee replacement last is frequently asked by patients, and to date, we have not had a. Research from 2019 showed that approximately 82% of total knee replacements were still functioning and doing well at 25 years. how long does an artificial knee last? joint. How Long Should An Artificial Knee Last.
From www.medicalnewstoday.com
Knee replacement pain Management and when to see a doctor How Long Should An Artificial Knee Last the question of how long does a knee replacement last is frequently asked by patients, and to date, we have not had a. An artificial knee, like the joint it replaces, can undergo damage from wear and tear. how long does an artificial knee last? joint replacement surgery is a safe and effective procedure to relieve pain,. How Long Should An Artificial Knee Last.
From www.knieprobleme.at
Artificial knee How Long Should An Artificial Knee Last the components combine to form an artificial joint that is biologically compatible and mimics the movement of your natural knee. Research from 2019 showed that approximately 82% of total knee replacements were still functioning and doing well at 25 years. You may need a knee replacement. knee replacement surgery is a surgery to replace parts of your knee. How Long Should An Artificial Knee Last.
From www.metroprosthetics.com
Learn To Walk With Prosthetic Leg Metro Prosthetics How Long Should An Artificial Knee Last the components combine to form an artificial joint that is biologically compatible and mimics the movement of your natural knee. An artificial knee, like the joint it replaces, can undergo damage from wear and tear. You may need a knee replacement. joint replacement surgery is a safe and effective procedure to relieve pain, correct leg deformity, and help. How Long Should An Artificial Knee Last.
From www.pinterest.com
How long does knee replacement last ? Helpline +919836365632 Visit How Long Should An Artificial Knee Last You may need a knee replacement. An artificial knee, like the joint it replaces, can undergo damage from wear and tear. how long you stay in the hospital after surgery depends on your individual needs. how long does an artificial knee last? the question of how long does a knee replacement last is frequently asked by patients,. How Long Should An Artificial Knee Last.
From www.health.harvard.edu
How long will my hip or knee replacement last? Harvard Health How Long Should An Artificial Knee Last how long does an artificial knee last? knee replacement surgery is a surgery to replace parts of your knee joint with new, artificial parts. how long does an artificial knee last? how long you stay in the hospital after surgery depends on your individual needs. Research from 2019 showed that approximately 82% of total knee replacements. How Long Should An Artificial Knee Last.
From dxocgxlsq.blob.core.windows.net
Wound Dressing After Total Knee Replacement at Renee Burrows blog How Long Should An Artificial Knee Last how long does an artificial knee last? the question of how long does a knee replacement last is frequently asked by patients, and to date, we have not had a. the components combine to form an artificial joint that is biologically compatible and mimics the movement of your natural knee. You may need a knee replacement. . How Long Should An Artificial Knee Last.
From drjohnrmoore.com
Knee Replacement Surgery in Pinehurst, NC John Moore, IV, MD How Long Should An Artificial Knee Last the components combine to form an artificial joint that is biologically compatible and mimics the movement of your natural knee. how long does an artificial knee last? how long does an artificial knee last? joint replacement surgery is a safe and effective procedure to relieve pain, correct leg deformity, and help you resume normal activities. . How Long Should An Artificial Knee Last.
From exowlzjdi.blob.core.windows.net
How Long To Ski After Knee Replacement at Ricky Daniels blog How Long Should An Artificial Knee Last You may need a knee replacement. An artificial knee, like the joint it replaces, can undergo damage from wear and tear. knee replacement surgery is a surgery to replace parts of your knee joint with new, artificial parts. how long does an artificial knee last? Research from 2019 showed that approximately 82% of total knee replacements were still. How Long Should An Artificial Knee Last.
From exoinupdj.blob.core.windows.net
Knee Replacement Manipulation Procedure at Chris Ortiz blog How Long Should An Artificial Knee Last knee replacement surgery is a surgery to replace parts of your knee joint with new, artificial parts. how long does an artificial knee last? Research from 2019 showed that approximately 82% of total knee replacements were still functioning and doing well at 25 years. You may need a knee replacement. how long does an artificial knee last?. How Long Should An Artificial Knee Last.
From www.theodorideskneesurgeon.com
Total Knee Replacement (TKR) Dr A. Theodorides Knee Surgeon Specialist How Long Should An Artificial Knee Last how long does an artificial knee last? the components combine to form an artificial joint that is biologically compatible and mimics the movement of your natural knee. An artificial knee, like the joint it replaces, can undergo damage from wear and tear. how long you stay in the hospital after surgery depends on your individual needs. You. How Long Should An Artificial Knee Last.
From www.youtube.com
The Difference Between Total Knee Replacement And Partial Knee How Long Should An Artificial Knee Last the components combine to form an artificial joint that is biologically compatible and mimics the movement of your natural knee. An artificial knee, like the joint it replaces, can undergo damage from wear and tear. how long you stay in the hospital after surgery depends on your individual needs. the question of how long does a knee. How Long Should An Artificial Knee Last.
From onehealth-ie.mykajabi.com
Total Knee Replacement Don’t skip these steps. How Long Should An Artificial Knee Last Research from 2019 showed that approximately 82% of total knee replacements were still functioning and doing well at 25 years. You may need a knee replacement. An artificial knee, like the joint it replaces, can undergo damage from wear and tear. how long does an artificial knee last? joint replacement surgery is a safe and effective procedure to. How Long Should An Artificial Knee Last.
From www.irishtimes.com
‘How long will my artificial knee last?’ How Long Should An Artificial Knee Last An artificial knee, like the joint it replaces, can undergo damage from wear and tear. how long does an artificial knee last? knee replacement surgery is a surgery to replace parts of your knee joint with new, artificial parts. the question of how long does a knee replacement last is frequently asked by patients, and to date,. How Long Should An Artificial Knee Last.
From www.istockphoto.com
Best Artificial Knee Stock Photos, Pictures & RoyaltyFree Images iStock How Long Should An Artificial Knee Last An artificial knee, like the joint it replaces, can undergo damage from wear and tear. the components combine to form an artificial joint that is biologically compatible and mimics the movement of your natural knee. the question of how long does a knee replacement last is frequently asked by patients, and to date, we have not had a.. How Long Should An Artificial Knee Last.
From www.parcofontario.com
Partial vs Total Knee Replacement Which is the Better Option? The How Long Should An Artificial Knee Last how long you stay in the hospital after surgery depends on your individual needs. the components combine to form an artificial joint that is biologically compatible and mimics the movement of your natural knee. the question of how long does a knee replacement last is frequently asked by patients, and to date, we have not had a.. How Long Should An Artificial Knee Last.
From www.irishtimes.com
‘How long will my artificial knee last?’ The Irish Times How Long Should An Artificial Knee Last joint replacement surgery is a safe and effective procedure to relieve pain, correct leg deformity, and help you resume normal activities. knee replacement surgery is a surgery to replace parts of your knee joint with new, artificial parts. the question of how long does a knee replacement last is frequently asked by patients, and to date, we. How Long Should An Artificial Knee Last.
From springloadedtechnology.com
How Long Do Knee Replacements Last? The Truth. Spring Loaded Technology How Long Should An Artificial Knee Last the question of how long does a knee replacement last is frequently asked by patients, and to date, we have not had a. how long you stay in the hospital after surgery depends on your individual needs. the components combine to form an artificial joint that is biologically compatible and mimics the movement of your natural knee.. How Long Should An Artificial Knee Last.
From www.arthritis-health.com
When to Consider Knee Replacement Surgery How Long Should An Artificial Knee Last the components combine to form an artificial joint that is biologically compatible and mimics the movement of your natural knee. knee replacement surgery is a surgery to replace parts of your knee joint with new, artificial parts. how long does an artificial knee last? joint replacement surgery is a safe and effective procedure to relieve pain,. How Long Should An Artificial Knee Last.
From www.powerrebound.com
How Long Does a Knee Replacement Last? What to Expect after Surgery How Long Should An Artificial Knee Last the components combine to form an artificial joint that is biologically compatible and mimics the movement of your natural knee. You may need a knee replacement. the question of how long does a knee replacement last is frequently asked by patients, and to date, we have not had a. An artificial knee, like the joint it replaces, can. How Long Should An Artificial Knee Last.
From www.jointreplacementhawaii.com
Durability Of Knee Replacement Implants Dr. Paul Norio Morton, MD How Long Should An Artificial Knee Last knee replacement surgery is a surgery to replace parts of your knee joint with new, artificial parts. An artificial knee, like the joint it replaces, can undergo damage from wear and tear. how long you stay in the hospital after surgery depends on your individual needs. how long does an artificial knee last? Research from 2019 showed. How Long Should An Artificial Knee Last.
From exockzund.blob.core.windows.net
After Knee Replacement When Can You Drive at Gilbert Trumble blog How Long Should An Artificial Knee Last how long does an artificial knee last? joint replacement surgery is a safe and effective procedure to relieve pain, correct leg deformity, and help you resume normal activities. You may need a knee replacement. knee replacement surgery is a surgery to replace parts of your knee joint with new, artificial parts. Research from 2019 showed that approximately. How Long Should An Artificial Knee Last.