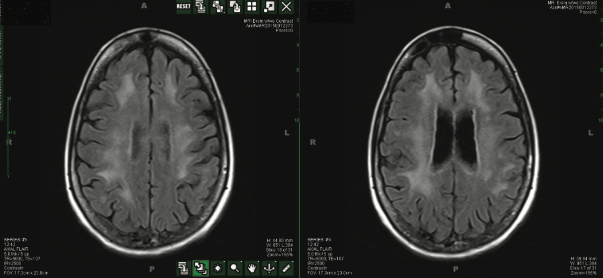
Aids Brain Radiology . A diverse set of techniques enable researchers to evaluate structural, functional, and molecular changes in the brain due to hiv. This case illustrates fairly typical changes of hiv encephalopathy (aka aids dementia complex). Magnetic resonance imaging (mri) can improve the outlook for people with hiv through early diagnosis and prompt treatment. The cranial imaging features on ct and mr are not pathognomonic, but their distribution or appearance (e.g., asymmetric target lesions of. Knowledge of the spectrum of imaging findings of these infectious diseases, as well as the effect that treatment has on. Multimodal brain mri and mri spectroscopy (mrs) often provide the most valuable information in the study of focal. We present a pictorial review of a range of central nervous system (cns) conditions in patients with human immunodeficiency virus (hiv). Direct consequence of the hiv virus. Hiv/aids affects the cns by one of four mechanisms:
from epos.myesr.org
A diverse set of techniques enable researchers to evaluate structural, functional, and molecular changes in the brain due to hiv. Knowledge of the spectrum of imaging findings of these infectious diseases, as well as the effect that treatment has on. Magnetic resonance imaging (mri) can improve the outlook for people with hiv through early diagnosis and prompt treatment. Hiv/aids affects the cns by one of four mechanisms: We present a pictorial review of a range of central nervous system (cns) conditions in patients with human immunodeficiency virus (hiv). Multimodal brain mri and mri spectroscopy (mrs) often provide the most valuable information in the study of focal. This case illustrates fairly typical changes of hiv encephalopathy (aka aids dementia complex). Direct consequence of the hiv virus. The cranial imaging features on ct and mr are not pathognomonic, but their distribution or appearance (e.g., asymmetric target lesions of.
EPOS™
Aids Brain Radiology Multimodal brain mri and mri spectroscopy (mrs) often provide the most valuable information in the study of focal. The cranial imaging features on ct and mr are not pathognomonic, but their distribution or appearance (e.g., asymmetric target lesions of. This case illustrates fairly typical changes of hiv encephalopathy (aka aids dementia complex). Magnetic resonance imaging (mri) can improve the outlook for people with hiv through early diagnosis and prompt treatment. Multimodal brain mri and mri spectroscopy (mrs) often provide the most valuable information in the study of focal. We present a pictorial review of a range of central nervous system (cns) conditions in patients with human immunodeficiency virus (hiv). Knowledge of the spectrum of imaging findings of these infectious diseases, as well as the effect that treatment has on. Direct consequence of the hiv virus. A diverse set of techniques enable researchers to evaluate structural, functional, and molecular changes in the brain due to hiv. Hiv/aids affects the cns by one of four mechanisms:
From www.neuroradiologycases.com
Dr Balaji Anvekar FRCR HIV Encephalitis Vs PML Aids Brain Radiology A diverse set of techniques enable researchers to evaluate structural, functional, and molecular changes in the brain due to hiv. Magnetic resonance imaging (mri) can improve the outlook for people with hiv through early diagnosis and prompt treatment. The cranial imaging features on ct and mr are not pathognomonic, but their distribution or appearance (e.g., asymmetric target lesions of. Knowledge. Aids Brain Radiology.
From epos.myesr.org
EPOS™ Aids Brain Radiology This case illustrates fairly typical changes of hiv encephalopathy (aka aids dementia complex). Magnetic resonance imaging (mri) can improve the outlook for people with hiv through early diagnosis and prompt treatment. A diverse set of techniques enable researchers to evaluate structural, functional, and molecular changes in the brain due to hiv. Multimodal brain mri and mri spectroscopy (mrs) often provide. Aids Brain Radiology.
From www.consultant360.com
GanciclovirResistant Cytomegalovirus Encephalitis in a Patient With Aids Brain Radiology Knowledge of the spectrum of imaging findings of these infectious diseases, as well as the effect that treatment has on. Direct consequence of the hiv virus. A diverse set of techniques enable researchers to evaluate structural, functional, and molecular changes in the brain due to hiv. Multimodal brain mri and mri spectroscopy (mrs) often provide the most valuable information in. Aids Brain Radiology.
From www.researchgate.net
(PDF) MRI imaging features of HIVrelated central nervous system Aids Brain Radiology The cranial imaging features on ct and mr are not pathognomonic, but their distribution or appearance (e.g., asymmetric target lesions of. Magnetic resonance imaging (mri) can improve the outlook for people with hiv through early diagnosis and prompt treatment. Hiv/aids affects the cns by one of four mechanisms: Multimodal brain mri and mri spectroscopy (mrs) often provide the most valuable. Aids Brain Radiology.
From www.thelancet.com
HIVassociated opportunistic infections of the CNS The Lancet Neurology Aids Brain Radiology We present a pictorial review of a range of central nervous system (cns) conditions in patients with human immunodeficiency virus (hiv). This case illustrates fairly typical changes of hiv encephalopathy (aka aids dementia complex). Knowledge of the spectrum of imaging findings of these infectious diseases, as well as the effect that treatment has on. The cranial imaging features on ct. Aids Brain Radiology.
From journals.sagepub.com
Neuroimaging Insights Into Early Stages of HIVProgressive Multifocal Aids Brain Radiology This case illustrates fairly typical changes of hiv encephalopathy (aka aids dementia complex). Direct consequence of the hiv virus. Knowledge of the spectrum of imaging findings of these infectious diseases, as well as the effect that treatment has on. We present a pictorial review of a range of central nervous system (cns) conditions in patients with human immunodeficiency virus (hiv).. Aids Brain Radiology.
From www.wikidoc.org
HIV AIDS MRI wikidoc Aids Brain Radiology Direct consequence of the hiv virus. A diverse set of techniques enable researchers to evaluate structural, functional, and molecular changes in the brain due to hiv. Knowledge of the spectrum of imaging findings of these infectious diseases, as well as the effect that treatment has on. Multimodal brain mri and mri spectroscopy (mrs) often provide the most valuable information in. Aids Brain Radiology.
From radiologymri.blogspot.com
Radiology MRI PML in HIV Cerebellum Aids Brain Radiology Hiv/aids affects the cns by one of four mechanisms: We present a pictorial review of a range of central nervous system (cns) conditions in patients with human immunodeficiency virus (hiv). A diverse set of techniques enable researchers to evaluate structural, functional, and molecular changes in the brain due to hiv. This case illustrates fairly typical changes of hiv encephalopathy (aka. Aids Brain Radiology.
From www.researchgate.net
Brain mass lesions in HIVinfected patients by enhancedMRI Aids Brain Radiology A diverse set of techniques enable researchers to evaluate structural, functional, and molecular changes in the brain due to hiv. The cranial imaging features on ct and mr are not pathognomonic, but their distribution or appearance (e.g., asymmetric target lesions of. This case illustrates fairly typical changes of hiv encephalopathy (aka aids dementia complex). Multimodal brain mri and mri spectroscopy. Aids Brain Radiology.
From www.bmj.com
Cerebral mass in HIV infection The BMJ Aids Brain Radiology This case illustrates fairly typical changes of hiv encephalopathy (aka aids dementia complex). A diverse set of techniques enable researchers to evaluate structural, functional, and molecular changes in the brain due to hiv. Hiv/aids affects the cns by one of four mechanisms: Direct consequence of the hiv virus. We present a pictorial review of a range of central nervous system. Aids Brain Radiology.
From radiologykey.com
Neuroimaging in the Brain in HIV1Infected Patients Radiology Key Aids Brain Radiology A diverse set of techniques enable researchers to evaluate structural, functional, and molecular changes in the brain due to hiv. This case illustrates fairly typical changes of hiv encephalopathy (aka aids dementia complex). Multimodal brain mri and mri spectroscopy (mrs) often provide the most valuable information in the study of focal. Knowledge of the spectrum of imaging findings of these. Aids Brain Radiology.
From casereports.bmj.com
Multiple ring enhancing lesions in brain MRI of a patient with AIDS Aids Brain Radiology We present a pictorial review of a range of central nervous system (cns) conditions in patients with human immunodeficiency virus (hiv). Multimodal brain mri and mri spectroscopy (mrs) often provide the most valuable information in the study of focal. Knowledge of the spectrum of imaging findings of these infectious diseases, as well as the effect that treatment has on. The. Aids Brain Radiology.
From www.bigstockphoto.com
Ct Scan Brain Hiv Image & Photo (Free Trial) Bigstock Aids Brain Radiology We present a pictorial review of a range of central nervous system (cns) conditions in patients with human immunodeficiency virus (hiv). Magnetic resonance imaging (mri) can improve the outlook for people with hiv through early diagnosis and prompt treatment. The cranial imaging features on ct and mr are not pathognomonic, but their distribution or appearance (e.g., asymmetric target lesions of.. Aids Brain Radiology.
From casereports.bmj.com
Solitary ring enhancing brain lesion in a patient with AIDS Aldeen Aids Brain Radiology A diverse set of techniques enable researchers to evaluate structural, functional, and molecular changes in the brain due to hiv. Magnetic resonance imaging (mri) can improve the outlook for people with hiv through early diagnosis and prompt treatment. We present a pictorial review of a range of central nervous system (cns) conditions in patients with human immunodeficiency virus (hiv). Hiv/aids. Aids Brain Radiology.
From www.neuroimaging.theclinics.com
Neuroimaging in the Brain in HIV1Infected Patients Neuroimaging Clinics Aids Brain Radiology Direct consequence of the hiv virus. Hiv/aids affects the cns by one of four mechanisms: Multimodal brain mri and mri spectroscopy (mrs) often provide the most valuable information in the study of focal. The cranial imaging features on ct and mr are not pathognomonic, but their distribution or appearance (e.g., asymmetric target lesions of. We present a pictorial review of. Aids Brain Radiology.
From www.sciencephoto.com
Brain atrophy in AIDS, MRI scan Stock Image M112/0384 Science Aids Brain Radiology Direct consequence of the hiv virus. We present a pictorial review of a range of central nervous system (cns) conditions in patients with human immunodeficiency virus (hiv). Hiv/aids affects the cns by one of four mechanisms: Multimodal brain mri and mri spectroscopy (mrs) often provide the most valuable information in the study of focal. This case illustrates fairly typical changes. Aids Brain Radiology.
From www.thelancet.com
AIDSrelated primary CNS lymphoma The Lancet Aids Brain Radiology Multimodal brain mri and mri spectroscopy (mrs) often provide the most valuable information in the study of focal. Magnetic resonance imaging (mri) can improve the outlook for people with hiv through early diagnosis and prompt treatment. This case illustrates fairly typical changes of hiv encephalopathy (aka aids dementia complex). A diverse set of techniques enable researchers to evaluate structural, functional,. Aids Brain Radiology.
From www.researchgate.net
(PDF) Neuroimaging of CNS Lesions in HIV Aids Brain Radiology Direct consequence of the hiv virus. Knowledge of the spectrum of imaging findings of these infectious diseases, as well as the effect that treatment has on. Magnetic resonance imaging (mri) can improve the outlook for people with hiv through early diagnosis and prompt treatment. This case illustrates fairly typical changes of hiv encephalopathy (aka aids dementia complex). We present a. Aids Brain Radiology.
From www.wikidoc.org
HIV AIDS MRI wikidoc Aids Brain Radiology We present a pictorial review of a range of central nervous system (cns) conditions in patients with human immunodeficiency virus (hiv). Hiv/aids affects the cns by one of four mechanisms: A diverse set of techniques enable researchers to evaluate structural, functional, and molecular changes in the brain due to hiv. Magnetic resonance imaging (mri) can improve the outlook for people. Aids Brain Radiology.
From case.edu
HIV Angitis 1 Aids Brain Radiology Hiv/aids affects the cns by one of four mechanisms: We present a pictorial review of a range of central nervous system (cns) conditions in patients with human immunodeficiency virus (hiv). This case illustrates fairly typical changes of hiv encephalopathy (aka aids dementia complex). Direct consequence of the hiv virus. Magnetic resonance imaging (mri) can improve the outlook for people with. Aids Brain Radiology.
From www.researchgate.net
Brain medical images of AIDS patients; (a) CT of the patient’s brain Aids Brain Radiology Knowledge of the spectrum of imaging findings of these infectious diseases, as well as the effect that treatment has on. We present a pictorial review of a range of central nervous system (cns) conditions in patients with human immunodeficiency virus (hiv). Multimodal brain mri and mri spectroscopy (mrs) often provide the most valuable information in the study of focal. A. Aids Brain Radiology.
From www.sciencephoto.com
Brain atrophy in HIV/AIDS, MRI scans Stock Image C058/2245 Aids Brain Radiology Magnetic resonance imaging (mri) can improve the outlook for people with hiv through early diagnosis and prompt treatment. The cranial imaging features on ct and mr are not pathognomonic, but their distribution or appearance (e.g., asymmetric target lesions of. Hiv/aids affects the cns by one of four mechanisms: We present a pictorial review of a range of central nervous system. Aids Brain Radiology.
From dileep-radiology.blogspot.com
RADIOLOGY HIV Encephalopathy Aids Brain Radiology Direct consequence of the hiv virus. Multimodal brain mri and mri spectroscopy (mrs) often provide the most valuable information in the study of focal. A diverse set of techniques enable researchers to evaluate structural, functional, and molecular changes in the brain due to hiv. This case illustrates fairly typical changes of hiv encephalopathy (aka aids dementia complex). Magnetic resonance imaging. Aids Brain Radiology.
From sumerdoc.blogspot.com
HIV EncephalopathyMRI Sumer's Radiology Blog Aids Brain Radiology This case illustrates fairly typical changes of hiv encephalopathy (aka aids dementia complex). Knowledge of the spectrum of imaging findings of these infectious diseases, as well as the effect that treatment has on. The cranial imaging features on ct and mr are not pathognomonic, but their distribution or appearance (e.g., asymmetric target lesions of. Multimodal brain mri and mri spectroscopy. Aids Brain Radiology.
From www.ejradiology.com
CT and MR findings in HIVnegative neurosyphilis European Journal of Aids Brain Radiology Magnetic resonance imaging (mri) can improve the outlook for people with hiv through early diagnosis and prompt treatment. Hiv/aids affects the cns by one of four mechanisms: The cranial imaging features on ct and mr are not pathognomonic, but their distribution or appearance (e.g., asymmetric target lesions of. We present a pictorial review of a range of central nervous system. Aids Brain Radiology.
From www.ibtimes.co.uk
Is HIV hiding in your brain? MRI scans can identify virus from changes Aids Brain Radiology A diverse set of techniques enable researchers to evaluate structural, functional, and molecular changes in the brain due to hiv. Direct consequence of the hiv virus. Hiv/aids affects the cns by one of four mechanisms: This case illustrates fairly typical changes of hiv encephalopathy (aka aids dementia complex). The cranial imaging features on ct and mr are not pathognomonic, but. Aids Brain Radiology.
From radiologykey.com
Neuroimaging in the Brain in HIV1Infected Patients Radiology Key Aids Brain Radiology Direct consequence of the hiv virus. Magnetic resonance imaging (mri) can improve the outlook for people with hiv through early diagnosis and prompt treatment. This case illustrates fairly typical changes of hiv encephalopathy (aka aids dementia complex). We present a pictorial review of a range of central nervous system (cns) conditions in patients with human immunodeficiency virus (hiv). Hiv/aids affects. Aids Brain Radiology.
From www.thelancet.com
HIVassociated neurocognitive disorder The Lancet Infectious Diseases Aids Brain Radiology Direct consequence of the hiv virus. We present a pictorial review of a range of central nervous system (cns) conditions in patients with human immunodeficiency virus (hiv). Magnetic resonance imaging (mri) can improve the outlook for people with hiv through early diagnosis and prompt treatment. Multimodal brain mri and mri spectroscopy (mrs) often provide the most valuable information in the. Aids Brain Radiology.
From pn.bmj.com
Neurosyphilis in patients with HIV Practical Neurology Aids Brain Radiology A diverse set of techniques enable researchers to evaluate structural, functional, and molecular changes in the brain due to hiv. Multimodal brain mri and mri spectroscopy (mrs) often provide the most valuable information in the study of focal. The cranial imaging features on ct and mr are not pathognomonic, but their distribution or appearance (e.g., asymmetric target lesions of. Magnetic. Aids Brain Radiology.
From casereports.bmj.com
Ring enhancing brain lesions in a patient with Acquired Aids Brain Radiology Hiv/aids affects the cns by one of four mechanisms: A diverse set of techniques enable researchers to evaluate structural, functional, and molecular changes in the brain due to hiv. We present a pictorial review of a range of central nervous system (cns) conditions in patients with human immunodeficiency virus (hiv). Magnetic resonance imaging (mri) can improve the outlook for people. Aids Brain Radiology.
From www.bmj.com
Cerebral mass in HIV infection The BMJ Aids Brain Radiology We present a pictorial review of a range of central nervous system (cns) conditions in patients with human immunodeficiency virus (hiv). Hiv/aids affects the cns by one of four mechanisms: The cranial imaging features on ct and mr are not pathognomonic, but their distribution or appearance (e.g., asymmetric target lesions of. A diverse set of techniques enable researchers to evaluate. Aids Brain Radiology.
From www.sciencephoto.com
HIV Encephalitis on MRI Stock Image C043/5615 Science Photo Library Aids Brain Radiology Knowledge of the spectrum of imaging findings of these infectious diseases, as well as the effect that treatment has on. This case illustrates fairly typical changes of hiv encephalopathy (aka aids dementia complex). Magnetic resonance imaging (mri) can improve the outlook for people with hiv through early diagnosis and prompt treatment. Multimodal brain mri and mri spectroscopy (mrs) often provide. Aids Brain Radiology.
From www.semanticscholar.org
[PDF] Concentric and Eccentric Target MRI Signs in a Case of HIV Aids Brain Radiology Knowledge of the spectrum of imaging findings of these infectious diseases, as well as the effect that treatment has on. The cranial imaging features on ct and mr are not pathognomonic, but their distribution or appearance (e.g., asymmetric target lesions of. A diverse set of techniques enable researchers to evaluate structural, functional, and molecular changes in the brain due to. Aids Brain Radiology.
From www.researchgate.net
Brain computed tomography (CT) images showing the spectrum of Aids Brain Radiology Magnetic resonance imaging (mri) can improve the outlook for people with hiv through early diagnosis and prompt treatment. Hiv/aids affects the cns by one of four mechanisms: Multimodal brain mri and mri spectroscopy (mrs) often provide the most valuable information in the study of focal. The cranial imaging features on ct and mr are not pathognomonic, but their distribution or. Aids Brain Radiology.
From radiopaedia.org
Image Aids Brain Radiology The cranial imaging features on ct and mr are not pathognomonic, but their distribution or appearance (e.g., asymmetric target lesions of. Direct consequence of the hiv virus. Magnetic resonance imaging (mri) can improve the outlook for people with hiv through early diagnosis and prompt treatment. This case illustrates fairly typical changes of hiv encephalopathy (aka aids dementia complex). Knowledge of. Aids Brain Radiology.