Define Triangular Ridge . Cusps are pointed projections found on posterior teeth that form the biting surfaces. Defined by a cusp crest formed by two slopes. A crest or ridge that extends from the apex of a cusp of a premolar or molar tooth toward the central part of the occlusal surface. Each slope ends in a groove (primary or secondary). Tubercles are small enamel extensions that can form due to trauma or disease. The transversal ridges start from the tips of the cusps of laterals toward the center of the occlusal surfaces and are named after the cusps to which they belong, like. The fourth ridge extends from the cusp tip toward the faciolingual middle of the tooth and is called a triangular ridge.
from ar.inspiredpencil.com
A crest or ridge that extends from the apex of a cusp of a premolar or molar tooth toward the central part of the occlusal surface. The transversal ridges start from the tips of the cusps of laterals toward the center of the occlusal surfaces and are named after the cusps to which they belong, like. Tubercles are small enamel extensions that can form due to trauma or disease. Defined by a cusp crest formed by two slopes. Cusps are pointed projections found on posterior teeth that form the biting surfaces. Each slope ends in a groove (primary or secondary). The fourth ridge extends from the cusp tip toward the faciolingual middle of the tooth and is called a triangular ridge.
Transverse Ridges Teeth
Define Triangular Ridge A crest or ridge that extends from the apex of a cusp of a premolar or molar tooth toward the central part of the occlusal surface. The transversal ridges start from the tips of the cusps of laterals toward the center of the occlusal surfaces and are named after the cusps to which they belong, like. Cusps are pointed projections found on posterior teeth that form the biting surfaces. Each slope ends in a groove (primary or secondary). A crest or ridge that extends from the apex of a cusp of a premolar or molar tooth toward the central part of the occlusal surface. The fourth ridge extends from the cusp tip toward the faciolingual middle of the tooth and is called a triangular ridge. Tubercles are small enamel extensions that can form due to trauma or disease. Defined by a cusp crest formed by two slopes.
From www.researchgate.net
a, b Sketches for a string of triangular ridge and valley topography Define Triangular Ridge The transversal ridges start from the tips of the cusps of laterals toward the center of the occlusal surfaces and are named after the cusps to which they belong, like. The fourth ridge extends from the cusp tip toward the faciolingual middle of the tooth and is called a triangular ridge. Cusps are pointed projections found on posterior teeth that. Define Triangular Ridge.
From marinersinfogram.com
Define Col, Ridge and Trough? Mariner's Infogram Define Triangular Ridge The fourth ridge extends from the cusp tip toward the faciolingual middle of the tooth and is called a triangular ridge. Each slope ends in a groove (primary or secondary). Tubercles are small enamel extensions that can form due to trauma or disease. Cusps are pointed projections found on posterior teeth that form the biting surfaces. The transversal ridges start. Define Triangular Ridge.
From ar.inspiredpencil.com
Mid Ocean Ridge Diagram Define Triangular Ridge Tubercles are small enamel extensions that can form due to trauma or disease. Defined by a cusp crest formed by two slopes. The transversal ridges start from the tips of the cusps of laterals toward the center of the occlusal surfaces and are named after the cusps to which they belong, like. A crest or ridge that extends from the. Define Triangular Ridge.
From watlingreclamation.co.uk
Blue Clay Triangular Flat Top Ridge Tiles Watling Reclamation Define Triangular Ridge Cusps are pointed projections found on posterior teeth that form the biting surfaces. Tubercles are small enamel extensions that can form due to trauma or disease. Each slope ends in a groove (primary or secondary). The transversal ridges start from the tips of the cusps of laterals toward the center of the occlusal surfaces and are named after the cusps. Define Triangular Ridge.
From www.slideserve.com
PPT Anatomical Structures of the Teeth PowerPoint Presentation, free Define Triangular Ridge Tubercles are small enamel extensions that can form due to trauma or disease. Defined by a cusp crest formed by two slopes. A crest or ridge that extends from the apex of a cusp of a premolar or molar tooth toward the central part of the occlusal surface. The fourth ridge extends from the cusp tip toward the faciolingual middle. Define Triangular Ridge.
From mungfali.com
Cross Section Of Triangular Prism Define Triangular Ridge Each slope ends in a groove (primary or secondary). The fourth ridge extends from the cusp tip toward the faciolingual middle of the tooth and is called a triangular ridge. Defined by a cusp crest formed by two slopes. Cusps are pointed projections found on posterior teeth that form the biting surfaces. The transversal ridges start from the tips of. Define Triangular Ridge.
From jaypeedigital.com
Transverse Ridge of Premolars and Oblique Ridge of Maxillary Molars are Define Triangular Ridge Defined by a cusp crest formed by two slopes. Cusps are pointed projections found on posterior teeth that form the biting surfaces. The fourth ridge extends from the cusp tip toward the faciolingual middle of the tooth and is called a triangular ridge. A crest or ridge that extends from the apex of a cusp of a premolar or molar. Define Triangular Ridge.
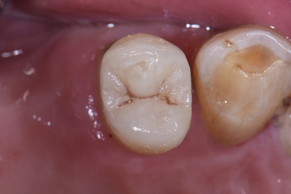
From www.clarencetam.co.nz
Triangular ridge invagination of Class II restorations Define Triangular Ridge The transversal ridges start from the tips of the cusps of laterals toward the center of the occlusal surfaces and are named after the cusps to which they belong, like. A crest or ridge that extends from the apex of a cusp of a premolar or molar tooth toward the central part of the occlusal surface. Cusps are pointed projections. Define Triangular Ridge.
From www.researchgate.net
Geometry of the triangular ridge. The height of the ridge is b, and the Define Triangular Ridge Each slope ends in a groove (primary or secondary). The transversal ridges start from the tips of the cusps of laterals toward the center of the occlusal surfaces and are named after the cusps to which they belong, like. Cusps are pointed projections found on posterior teeth that form the biting surfaces. Tubercles are small enamel extensions that can form. Define Triangular Ridge.
From watlingreclamation.co.uk
Roof Ridge Tiles (Reclaimed) Watling Reclamation Define Triangular Ridge Tubercles are small enamel extensions that can form due to trauma or disease. The transversal ridges start from the tips of the cusps of laterals toward the center of the occlusal surfaces and are named after the cusps to which they belong, like. Cusps are pointed projections found on posterior teeth that form the biting surfaces. The fourth ridge extends. Define Triangular Ridge.
From facts.net
20 Amazing Triangular Trade Facts Define Triangular Ridge Cusps are pointed projections found on posterior teeth that form the biting surfaces. The fourth ridge extends from the cusp tip toward the faciolingual middle of the tooth and is called a triangular ridge. A crest or ridge that extends from the apex of a cusp of a premolar or molar tooth toward the central part of the occlusal surface.. Define Triangular Ridge.
From www.slideserve.com
PPT Dental Anatomy PowerPoint Presentation, free download ID2101496 Define Triangular Ridge A crest or ridge that extends from the apex of a cusp of a premolar or molar tooth toward the central part of the occlusal surface. Each slope ends in a groove (primary or secondary). Cusps are pointed projections found on posterior teeth that form the biting surfaces. Tubercles are small enamel extensions that can form due to trauma or. Define Triangular Ridge.
From byjus.com
Difference between acromian process and spine of scapula with respect Define Triangular Ridge Each slope ends in a groove (primary or secondary). The fourth ridge extends from the cusp tip toward the faciolingual middle of the tooth and is called a triangular ridge. Tubercles are small enamel extensions that can form due to trauma or disease. A crest or ridge that extends from the apex of a cusp of a premolar or molar. Define Triangular Ridge.
From www.clarencetam.co.nz
Triangular ridge invagination of Class II restorations Define Triangular Ridge Tubercles are small enamel extensions that can form due to trauma or disease. Defined by a cusp crest formed by two slopes. Cusps are pointed projections found on posterior teeth that form the biting surfaces. The transversal ridges start from the tips of the cusps of laterals toward the center of the occlusal surfaces and are named after the cusps. Define Triangular Ridge.
From mammothmemory.net
Truncated Spur Geography Mammoth Memory Geography Define Triangular Ridge The transversal ridges start from the tips of the cusps of laterals toward the center of the occlusal surfaces and are named after the cusps to which they belong, like. The fourth ridge extends from the cusp tip toward the faciolingual middle of the tooth and is called a triangular ridge. A crest or ridge that extends from the apex. Define Triangular Ridge.
From www.pestfix.co.uk
Bird Spikes For Triangular Ridge Tiles By Defender Define Triangular Ridge Each slope ends in a groove (primary or secondary). Tubercles are small enamel extensions that can form due to trauma or disease. The fourth ridge extends from the cusp tip toward the faciolingual middle of the tooth and is called a triangular ridge. The transversal ridges start from the tips of the cusps of laterals toward the center of the. Define Triangular Ridge.
From gamesmartz.com
Mid Ocean Ridge Definition & Image GameSmartz Define Triangular Ridge Tubercles are small enamel extensions that can form due to trauma or disease. The fourth ridge extends from the cusp tip toward the faciolingual middle of the tooth and is called a triangular ridge. Each slope ends in a groove (primary or secondary). Cusps are pointed projections found on posterior teeth that form the biting surfaces. A crest or ridge. Define Triangular Ridge.
From ar.inspiredpencil.com
Triangular Ridge Define Triangular Ridge Defined by a cusp crest formed by two slopes. Tubercles are small enamel extensions that can form due to trauma or disease. The transversal ridges start from the tips of the cusps of laterals toward the center of the occlusal surfaces and are named after the cusps to which they belong, like. Cusps are pointed projections found on posterior teeth. Define Triangular Ridge.
From ar.inspiredpencil.com
Transverse Ridges Teeth Define Triangular Ridge The fourth ridge extends from the cusp tip toward the faciolingual middle of the tooth and is called a triangular ridge. Tubercles are small enamel extensions that can form due to trauma or disease. Cusps are pointed projections found on posterior teeth that form the biting surfaces. The transversal ridges start from the tips of the cusps of laterals toward. Define Triangular Ridge.
From ar.inspiredpencil.com
Triangular Fossa Teeth Define Triangular Ridge Each slope ends in a groove (primary or secondary). The transversal ridges start from the tips of the cusps of laterals toward the center of the occlusal surfaces and are named after the cusps to which they belong, like. Cusps are pointed projections found on posterior teeth that form the biting surfaces. The fourth ridge extends from the cusp tip. Define Triangular Ridge.
From www.youtube.com
🔵 Ridge Meaning Ridge Examples Ridge Defined GRE Vocabulary Define Triangular Ridge A crest or ridge that extends from the apex of a cusp of a premolar or molar tooth toward the central part of the occlusal surface. Cusps are pointed projections found on posterior teeth that form the biting surfaces. Tubercles are small enamel extensions that can form due to trauma or disease. The fourth ridge extends from the cusp tip. Define Triangular Ridge.
From www.semanticscholar.org
Transverse Ridge of Premolars and Oblique Ridge of Maxillary Molars are Define Triangular Ridge Cusps are pointed projections found on posterior teeth that form the biting surfaces. The transversal ridges start from the tips of the cusps of laterals toward the center of the occlusal surfaces and are named after the cusps to which they belong, like. Each slope ends in a groove (primary or secondary). The fourth ridge extends from the cusp tip. Define Triangular Ridge.
From ar.inspiredpencil.com
Triangular Ridge Define Triangular Ridge Defined by a cusp crest formed by two slopes. Tubercles are small enamel extensions that can form due to trauma or disease. The transversal ridges start from the tips of the cusps of laterals toward the center of the occlusal surfaces and are named after the cusps to which they belong, like. The fourth ridge extends from the cusp tip. Define Triangular Ridge.
From byjus.com
Explain the refraction of light through a triangular glass prism using Define Triangular Ridge The fourth ridge extends from the cusp tip toward the faciolingual middle of the tooth and is called a triangular ridge. Each slope ends in a groove (primary or secondary). The transversal ridges start from the tips of the cusps of laterals toward the center of the occlusal surfaces and are named after the cusps to which they belong, like.. Define Triangular Ridge.
From www.youtube.com
Triangular Ridge Preparation using a round pilot drill YouTube Define Triangular Ridge The fourth ridge extends from the cusp tip toward the faciolingual middle of the tooth and is called a triangular ridge. Cusps are pointed projections found on posterior teeth that form the biting surfaces. Each slope ends in a groove (primary or secondary). The transversal ridges start from the tips of the cusps of laterals toward the center of the. Define Triangular Ridge.
From www.restorationroofing.com
Common Roofing Terms You Should Know Restoration Roofing Define Triangular Ridge Tubercles are small enamel extensions that can form due to trauma or disease. The fourth ridge extends from the cusp tip toward the faciolingual middle of the tooth and is called a triangular ridge. Cusps are pointed projections found on posterior teeth that form the biting surfaces. A crest or ridge that extends from the apex of a cusp of. Define Triangular Ridge.
From www.slideserve.com
PPT Tooth Histology and Morphology PowerPoint Presentation, free Define Triangular Ridge The fourth ridge extends from the cusp tip toward the faciolingual middle of the tooth and is called a triangular ridge. A crest or ridge that extends from the apex of a cusp of a premolar or molar tooth toward the central part of the occlusal surface. The transversal ridges start from the tips of the cusps of laterals toward. Define Triangular Ridge.
From marinersinfogram.com
Define Col, Ridge and Trough? Mariner's Infogram Define Triangular Ridge Defined by a cusp crest formed by two slopes. A crest or ridge that extends from the apex of a cusp of a premolar or molar tooth toward the central part of the occlusal surface. Each slope ends in a groove (primary or secondary). Tubercles are small enamel extensions that can form due to trauma or disease. The fourth ridge. Define Triangular Ridge.
From www.youtube.com
Part 4 Triangular ridges YouTube Define Triangular Ridge The transversal ridges start from the tips of the cusps of laterals toward the center of the occlusal surfaces and are named after the cusps to which they belong, like. A crest or ridge that extends from the apex of a cusp of a premolar or molar tooth toward the central part of the occlusal surface. Defined by a cusp. Define Triangular Ridge.
From www.mdpi.com
Remote Sensing Free FullText The Profiles Based on Ridge and Define Triangular Ridge The fourth ridge extends from the cusp tip toward the faciolingual middle of the tooth and is called a triangular ridge. Defined by a cusp crest formed by two slopes. Cusps are pointed projections found on posterior teeth that form the biting surfaces. Tubercles are small enamel extensions that can form due to trauma or disease. Each slope ends in. Define Triangular Ridge.
From www.media4math.com
Triangular Prisms Media4Math Define Triangular Ridge A crest or ridge that extends from the apex of a cusp of a premolar or molar tooth toward the central part of the occlusal surface. Cusps are pointed projections found on posterior teeth that form the biting surfaces. Each slope ends in a groove (primary or secondary). The transversal ridges start from the tips of the cusps of laterals. Define Triangular Ridge.
From ar.inspiredpencil.com
Transverse Ridges Teeth Define Triangular Ridge Cusps are pointed projections found on posterior teeth that form the biting surfaces. Defined by a cusp crest formed by two slopes. A crest or ridge that extends from the apex of a cusp of a premolar or molar tooth toward the central part of the occlusal surface. The transversal ridges start from the tips of the cusps of laterals. Define Triangular Ridge.
From marinersinfogram.com
Define Col, Ridge and Trough? Mariner's Infogram Define Triangular Ridge The fourth ridge extends from the cusp tip toward the faciolingual middle of the tooth and is called a triangular ridge. The transversal ridges start from the tips of the cusps of laterals toward the center of the occlusal surfaces and are named after the cusps to which they belong, like. Cusps are pointed projections found on posterior teeth that. Define Triangular Ridge.
From www.slideserve.com
PPT MORPHOLOGY OF PERMANENT MAXILLARY MOLARS PowerPoint Presentation Define Triangular Ridge A crest or ridge that extends from the apex of a cusp of a premolar or molar tooth toward the central part of the occlusal surface. Cusps are pointed projections found on posterior teeth that form the biting surfaces. The transversal ridges start from the tips of the cusps of laterals toward the center of the occlusal surfaces and are. Define Triangular Ridge.
From www.researchgate.net
Landmarks and triangular areas including the three cusp tips. 1 Define Triangular Ridge A crest or ridge that extends from the apex of a cusp of a premolar or molar tooth toward the central part of the occlusal surface. Tubercles are small enamel extensions that can form due to trauma or disease. Cusps are pointed projections found on posterior teeth that form the biting surfaces. The transversal ridges start from the tips of. Define Triangular Ridge.