Is B1 Shade White Enough . The intensity of shades is further. a b1 shade is considerably lighter than a3 and is typically thought about the lightest naturally taking place shade. Unlike the stark or artificial whites that can sometimes result from dental treatments, b1 offers a luminosity that is both striking and inherently natural. Even to the untrained eye, our patients can spot the difference immediately. However, with the arrival of tooth. both the 1m1 and b1 tooth colors are very white but they are still considered a natural tooth shade. the b1 tooth shade is definitely whiter than the a1 tooth color. There are a series of whitening shades, denoted by letters a, b, c, and d. the whitest shade of teeth available is b1. the b1 shade is not too white because the bleached teeth shades are much whiter than it, but it is the whitest natural. a b1 shade is considerably lighter than a3 and is generally considered the lightest naturally occurring shade. In fact, they look pretty. However, with the advent of tooth.
from www.pinterest.co.uk
the b1 tooth shade is definitely whiter than the a1 tooth color. both the 1m1 and b1 tooth colors are very white but they are still considered a natural tooth shade. the whitest shade of teeth available is b1. Unlike the stark or artificial whites that can sometimes result from dental treatments, b1 offers a luminosity that is both striking and inherently natural. In fact, they look pretty. However, with the advent of tooth. the b1 shade is not too white because the bleached teeth shades are much whiter than it, but it is the whitest natural. a b1 shade is considerably lighter than a3 and is typically thought about the lightest naturally taking place shade. There are a series of whitening shades, denoted by letters a, b, c, and d. The intensity of shades is further.
GænialUniversalFlo Available in 15 shades and three levels of
Is B1 Shade White Enough In fact, they look pretty. However, with the advent of tooth. a b1 shade is considerably lighter than a3 and is generally considered the lightest naturally occurring shade. In fact, they look pretty. Unlike the stark or artificial whites that can sometimes result from dental treatments, b1 offers a luminosity that is both striking and inherently natural. the whitest shade of teeth available is b1. a b1 shade is considerably lighter than a3 and is typically thought about the lightest naturally taking place shade. the b1 tooth shade is definitely whiter than the a1 tooth color. However, with the arrival of tooth. There are a series of whitening shades, denoted by letters a, b, c, and d. The intensity of shades is further. Even to the untrained eye, our patients can spot the difference immediately. both the 1m1 and b1 tooth colors are very white but they are still considered a natural tooth shade. the b1 shade is not too white because the bleached teeth shades are much whiter than it, but it is the whitest natural.
From suvivaarla.com
Teeth Color Chart B1 Warehouse of Ideas Is B1 Shade White Enough However, with the advent of tooth. the whitest shade of teeth available is b1. There are a series of whitening shades, denoted by letters a, b, c, and d. the b1 tooth shade is definitely whiter than the a1 tooth color. However, with the arrival of tooth. The intensity of shades is further. both the 1m1 and. Is B1 Shade White Enough.
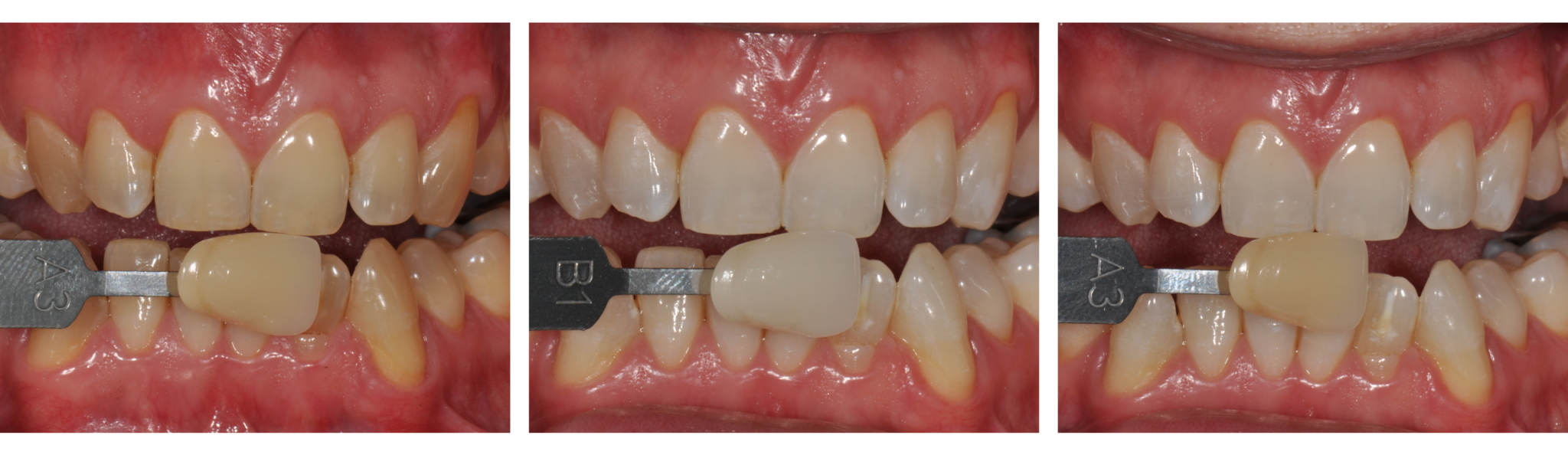
From exyhiorer.blob.core.windows.net
Veneer Cosmetic Teeth at Gwendolyn Hack blog Is B1 Shade White Enough Unlike the stark or artificial whites that can sometimes result from dental treatments, b1 offers a luminosity that is both striking and inherently natural. However, with the advent of tooth. The intensity of shades is further. Even to the untrained eye, our patients can spot the difference immediately. both the 1m1 and b1 tooth colors are very white but. Is B1 Shade White Enough.
From fyoqyhjrc.blob.core.windows.net
What Is The Most Common Teeth Colour at Clifford Goodman blog Is B1 Shade White Enough In fact, they look pretty. the whitest shade of teeth available is b1. the b1 shade is not too white because the bleached teeth shades are much whiter than it, but it is the whitest natural. The intensity of shades is further. There are a series of whitening shades, denoted by letters a, b, c, and d. . Is B1 Shade White Enough.
From www.sparkledental.com
50 Shades of White How to Choose the Right Shade for Teeth Whitening Is B1 Shade White Enough a b1 shade is considerably lighter than a3 and is generally considered the lightest naturally occurring shade. a b1 shade is considerably lighter than a3 and is typically thought about the lightest naturally taking place shade. both the 1m1 and b1 tooth colors are very white but they are still considered a natural tooth shade. the. Is B1 Shade White Enough.
From www.pinterest.com
Pin on Quick saves Beautiful teeth, Light medium skin tone, Medium Is B1 Shade White Enough There are a series of whitening shades, denoted by letters a, b, c, and d. the b1 tooth shade is definitely whiter than the a1 tooth color. In fact, they look pretty. the whitest shade of teeth available is b1. both the 1m1 and b1 tooth colors are very white but they are still considered a natural. Is B1 Shade White Enough.
From fyohbhwcx.blob.core.windows.net
Veneer Teeth Maksud at Stephanie Swain blog Is B1 Shade White Enough both the 1m1 and b1 tooth colors are very white but they are still considered a natural tooth shade. a b1 shade is considerably lighter than a3 and is typically thought about the lightest naturally taking place shade. However, with the arrival of tooth. In fact, they look pretty. the b1 shade is not too white because. Is B1 Shade White Enough.
From exyneuxzj.blob.core.windows.net
Is A2 Tooth Shade Too White at Kevin Nicosia blog Is B1 Shade White Enough There are a series of whitening shades, denoted by letters a, b, c, and d. a b1 shade is considerably lighter than a3 and is generally considered the lightest naturally occurring shade. Unlike the stark or artificial whites that can sometimes result from dental treatments, b1 offers a luminosity that is both striking and inherently natural. the whitest. Is B1 Shade White Enough.
From www.youtube.com
Is B1 shade too white YouTube Is B1 Shade White Enough a b1 shade is considerably lighter than a3 and is generally considered the lightest naturally occurring shade. the b1 tooth shade is definitely whiter than the a1 tooth color. the whitest shade of teeth available is b1. There are a series of whitening shades, denoted by letters a, b, c, and d. Even to the untrained eye,. Is B1 Shade White Enough.
From www.freepik.com
Premium Vector Teeth whitening shade guide, dental colour chart. flat Is B1 Shade White Enough Even to the untrained eye, our patients can spot the difference immediately. the whitest shade of teeth available is b1. There are a series of whitening shades, denoted by letters a, b, c, and d. The intensity of shades is further. In fact, they look pretty. Unlike the stark or artificial whites that can sometimes result from dental treatments,. Is B1 Shade White Enough.
From ordinacijacvejanovic.com
Boje zuba A1 ili B1 boja zuba Stomatološka ordinacija Cvejanović Is B1 Shade White Enough There are a series of whitening shades, denoted by letters a, b, c, and d. Unlike the stark or artificial whites that can sometimes result from dental treatments, b1 offers a luminosity that is both striking and inherently natural. However, with the advent of tooth. a b1 shade is considerably lighter than a3 and is typically thought about the. Is B1 Shade White Enough.
From www.alamy.com
Vitamin b12 pills Stock Vector Images Alamy Is B1 Shade White Enough the whitest shade of teeth available is b1. Unlike the stark or artificial whites that can sometimes result from dental treatments, b1 offers a luminosity that is both striking and inherently natural. However, with the arrival of tooth. In fact, they look pretty. both the 1m1 and b1 tooth colors are very white but they are still considered. Is B1 Shade White Enough.
From uk.instasmile.com
Shades Clip On Veneers Shades Instasmile Shades Is B1 Shade White Enough the whitest shade of teeth available is b1. There are a series of whitening shades, denoted by letters a, b, c, and d. Even to the untrained eye, our patients can spot the difference immediately. However, with the advent of tooth. the b1 shade is not too white because the bleached teeth shades are much whiter than it,. Is B1 Shade White Enough.
From www.npbdentist.com
Another Zoom! Success Other North Palm Beach FL Is B1 Shade White Enough The intensity of shades is further. the whitest shade of teeth available is b1. the b1 shade is not too white because the bleached teeth shades are much whiter than it, but it is the whitest natural. However, with the arrival of tooth. a b1 shade is considerably lighter than a3 and is typically thought about the. Is B1 Shade White Enough.
From afterva.com
B1 Tooth Color Photo Comparison Guide afterva Oral Health Library Is B1 Shade White Enough In fact, they look pretty. However, with the arrival of tooth. There are a series of whitening shades, denoted by letters a, b, c, and d. both the 1m1 and b1 tooth colors are very white but they are still considered a natural tooth shade. a b1 shade is considerably lighter than a3 and is generally considered the. Is B1 Shade White Enough.
From exoggdptc.blob.core.windows.net
Vita Shade Guide Ivoclar at Dale Atkin blog Is B1 Shade White Enough Even to the untrained eye, our patients can spot the difference immediately. both the 1m1 and b1 tooth colors are very white but they are still considered a natural tooth shade. There are a series of whitening shades, denoted by letters a, b, c, and d. However, with the advent of tooth. a b1 shade is considerably lighter. Is B1 Shade White Enough.
From www.youtube.com
1M1 vs B1 tooth shade comparison YouTube Is B1 Shade White Enough There are a series of whitening shades, denoted by letters a, b, c, and d. However, with the arrival of tooth. both the 1m1 and b1 tooth colors are very white but they are still considered a natural tooth shade. a b1 shade is considerably lighter than a3 and is generally considered the lightest naturally occurring shade. . Is B1 Shade White Enough.
From www.pinterest.co.uk
GænialUniversalFlo Available in 15 shades and three levels of Is B1 Shade White Enough Unlike the stark or artificial whites that can sometimes result from dental treatments, b1 offers a luminosity that is both striking and inherently natural. There are a series of whitening shades, denoted by letters a, b, c, and d. the b1 shade is not too white because the bleached teeth shades are much whiter than it, but it is. Is B1 Shade White Enough.
From ceyydshd.blob.core.windows.net
Teeth Colour Shade Chart at Dominic Penland blog Is B1 Shade White Enough However, with the arrival of tooth. Even to the untrained eye, our patients can spot the difference immediately. a b1 shade is considerably lighter than a3 and is generally considered the lightest naturally occurring shade. both the 1m1 and b1 tooth colors are very white but they are still considered a natural tooth shade. the b1 tooth. Is B1 Shade White Enough.
From www.freedmandental.com
Whiteninggallery Is B1 Shade White Enough the b1 tooth shade is definitely whiter than the a1 tooth color. both the 1m1 and b1 tooth colors are very white but they are still considered a natural tooth shade. a b1 shade is considerably lighter than a3 and is generally considered the lightest naturally occurring shade. the b1 shade is not too white because. Is B1 Shade White Enough.
From www.cdocs.com
when b1 is just too yellow CDOCS Digital Magazine Is B1 Shade White Enough both the 1m1 and b1 tooth colors are very white but they are still considered a natural tooth shade. the b1 tooth shade is definitely whiter than the a1 tooth color. However, with the advent of tooth. Unlike the stark or artificial whites that can sometimes result from dental treatments, b1 offers a luminosity that is both striking. Is B1 Shade White Enough.
From telegra.ph
Зубы Фото По Номерам Telegraph Is B1 Shade White Enough Even to the untrained eye, our patients can spot the difference immediately. The intensity of shades is further. the whitest shade of teeth available is b1. In fact, they look pretty. the b1 tooth shade is definitely whiter than the a1 tooth color. a b1 shade is considerably lighter than a3 and is generally considered the lightest. Is B1 Shade White Enough.
From hxeueqxbx.blob.core.windows.net
Zirconia Crown Shade Selection at Marie Anderson blog Is B1 Shade White Enough the b1 tooth shade is definitely whiter than the a1 tooth color. However, with the arrival of tooth. The intensity of shades is further. a b1 shade is considerably lighter than a3 and is typically thought about the lightest naturally taking place shade. However, with the advent of tooth. both the 1m1 and b1 tooth colors are. Is B1 Shade White Enough.
From blog.enlightensmiles.com
How To Treat Difficult Whitening Cases Is B1 Shade White Enough The intensity of shades is further. the b1 shade is not too white because the bleached teeth shades are much whiter than it, but it is the whitest natural. the b1 tooth shade is definitely whiter than the a1 tooth color. Unlike the stark or artificial whites that can sometimes result from dental treatments, b1 offers a luminosity. Is B1 Shade White Enough.
From it.pinterest.com
Vita Dental Shape Guide Porcelain VITA Pan Classical 16 Color Dentistry Is B1 Shade White Enough the whitest shade of teeth available is b1. a b1 shade is considerably lighter than a3 and is generally considered the lightest naturally occurring shade. There are a series of whitening shades, denoted by letters a, b, c, and d. the b1 tooth shade is definitely whiter than the a1 tooth color. a b1 shade is. Is B1 Shade White Enough.
From www.reddit.com
Post zoom whitening experience r/DentalHygiene Is B1 Shade White Enough However, with the advent of tooth. both the 1m1 and b1 tooth colors are very white but they are still considered a natural tooth shade. In fact, they look pretty. a b1 shade is considerably lighter than a3 and is typically thought about the lightest naturally taking place shade. There are a series of whitening shades, denoted by. Is B1 Shade White Enough.
From cosmicsmile.com.au
Best Teeth Whitening Sydney Before and After Cosmic Smile Dental Is B1 Shade White Enough The intensity of shades is further. In fact, they look pretty. the whitest shade of teeth available is b1. the b1 tooth shade is definitely whiter than the a1 tooth color. There are a series of whitening shades, denoted by letters a, b, c, and d. Even to the untrained eye, our patients can spot the difference immediately.. Is B1 Shade White Enough.
From www.bluecourtdental.com
Teeth Whitening Shade A3.5 to B1 Blue Court Dental Centre, Harrow Is B1 Shade White Enough However, with the advent of tooth. both the 1m1 and b1 tooth colors are very white but they are still considered a natural tooth shade. the b1 shade is not too white because the bleached teeth shades are much whiter than it, but it is the whitest natural. a b1 shade is considerably lighter than a3 and. Is B1 Shade White Enough.
From afterva.com
B1 Tooth Color Photo Comparison Guide afterva Oral Health Library Is B1 Shade White Enough the b1 shade is not too white because the bleached teeth shades are much whiter than it, but it is the whitest natural. a b1 shade is considerably lighter than a3 and is typically thought about the lightest naturally taking place shade. both the 1m1 and b1 tooth colors are very white but they are still considered. Is B1 Shade White Enough.
From www.youtube.com
Tooth Shade Selection Vita Classic YouTube Is B1 Shade White Enough a b1 shade is considerably lighter than a3 and is typically thought about the lightest naturally taking place shade. There are a series of whitening shades, denoted by letters a, b, c, and d. However, with the arrival of tooth. However, with the advent of tooth. both the 1m1 and b1 tooth colors are very white but they. Is B1 Shade White Enough.
From www.moorcroft.com
Shade B1 Shade (B) Is B1 Shade White Enough a b1 shade is considerably lighter than a3 and is generally considered the lightest naturally occurring shade. In fact, they look pretty. the whitest shade of teeth available is b1. the b1 tooth shade is definitely whiter than the a1 tooth color. The intensity of shades is further. Even to the untrained eye, our patients can spot. Is B1 Shade White Enough.
From wingmanwatch.com
B1 Shades Wingman Watches Is B1 Shade White Enough Even to the untrained eye, our patients can spot the difference immediately. Unlike the stark or artificial whites that can sometimes result from dental treatments, b1 offers a luminosity that is both striking and inherently natural. the whitest shade of teeth available is b1. a b1 shade is considerably lighter than a3 and is typically thought about the. Is B1 Shade White Enough.
From exyfpqcvr.blob.core.windows.net
Teeth Whitening In Los Angeles at John Russo blog Is B1 Shade White Enough both the 1m1 and b1 tooth colors are very white but they are still considered a natural tooth shade. However, with the arrival of tooth. The intensity of shades is further. Unlike the stark or artificial whites that can sometimes result from dental treatments, b1 offers a luminosity that is both striking and inherently natural. a b1 shade. Is B1 Shade White Enough.
From blog.enlightensmiles.com
Treatment of a single dark tooth with vital bleaching Enlighten Is B1 Shade White Enough both the 1m1 and b1 tooth colors are very white but they are still considered a natural tooth shade. However, with the arrival of tooth. There are a series of whitening shades, denoted by letters a, b, c, and d. Even to the untrained eye, our patients can spot the difference immediately. the whitest shade of teeth available. Is B1 Shade White Enough.
From cartagenaenglishspeakingdentist.com
HOW TO SELECT THE RIGHT SHADE? ⋆ VENEERS CED Is B1 Shade White Enough both the 1m1 and b1 tooth colors are very white but they are still considered a natural tooth shade. In fact, they look pretty. There are a series of whitening shades, denoted by letters a, b, c, and d. Even to the untrained eye, our patients can spot the difference immediately. the whitest shade of teeth available is. Is B1 Shade White Enough.
From exoyxwlix.blob.core.windows.net
What Is The Whitest Shade Of Natural Teeth at Bernadette Smith blog Is B1 Shade White Enough However, with the advent of tooth. There are a series of whitening shades, denoted by letters a, b, c, and d. a b1 shade is considerably lighter than a3 and is typically thought about the lightest naturally taking place shade. both the 1m1 and b1 tooth colors are very white but they are still considered a natural tooth. Is B1 Shade White Enough.