White Stool In Neonates . How do you approach the concern of “blood in. Biliary atresia is a rare disease of the liver and bile ducts that occurs in infants. White poop can indicate that your baby isn’t producing enough bile in their liver to help them digest food properly. What is the most common reason for “pale or white” stool in your practice? Jaundice (yellowing of the skin) and pale stools that start. Uncommon in term neonates, but can occur. It is critical to detect.
from www.childrens.com
White poop can indicate that your baby isn’t producing enough bile in their liver to help them digest food properly. Biliary atresia is a rare disease of the liver and bile ducts that occurs in infants. What is the most common reason for “pale or white” stool in your practice? Jaundice (yellowing of the skin) and pale stools that start. It is critical to detect. Uncommon in term neonates, but can occur. How do you approach the concern of “blood in.
What does my child’s poop color mean? Children's Health
White Stool In Neonates It is critical to detect. How do you approach the concern of “blood in. Jaundice (yellowing of the skin) and pale stools that start. White poop can indicate that your baby isn’t producing enough bile in their liver to help them digest food properly. Biliary atresia is a rare disease of the liver and bile ducts that occurs in infants. What is the most common reason for “pale or white” stool in your practice? Uncommon in term neonates, but can occur. It is critical to detect.
From community.babycenter.com
Mucous in stool BabyCenter White Stool In Neonates Uncommon in term neonates, but can occur. It is critical to detect. What is the most common reason for “pale or white” stool in your practice? How do you approach the concern of “blood in. Biliary atresia is a rare disease of the liver and bile ducts that occurs in infants. Jaundice (yellowing of the skin) and pale stools that. White Stool In Neonates.
From www.pinterest.com
Poop differences Breastfed baby poop, Baby pooping, Formula fed babies White Stool In Neonates It is critical to detect. What is the most common reason for “pale or white” stool in your practice? Jaundice (yellowing of the skin) and pale stools that start. Biliary atresia is a rare disease of the liver and bile ducts that occurs in infants. Uncommon in term neonates, but can occur. How do you approach the concern of “blood. White Stool In Neonates.
From pipediatra.blogspot.com
Diagnóstico de la Atresia de Vías Biliares White Stool In Neonates What is the most common reason for “pale or white” stool in your practice? Uncommon in term neonates, but can occur. It is critical to detect. Biliary atresia is a rare disease of the liver and bile ducts that occurs in infants. How do you approach the concern of “blood in. Jaundice (yellowing of the skin) and pale stools that. White Stool In Neonates.
From www.vrogue.co
The Best Photos Of Stool Colors For Kids 2023 Caleb S vrogue.co White Stool In Neonates How do you approach the concern of “blood in. Jaundice (yellowing of the skin) and pale stools that start. What is the most common reason for “pale or white” stool in your practice? It is critical to detect. Biliary atresia is a rare disease of the liver and bile ducts that occurs in infants. White poop can indicate that your. White Stool In Neonates.
From mavink.com
Stages Of Newborn Poop White Stool In Neonates Jaundice (yellowing of the skin) and pale stools that start. Biliary atresia is a rare disease of the liver and bile ducts that occurs in infants. It is critical to detect. Uncommon in term neonates, but can occur. White poop can indicate that your baby isn’t producing enough bile in their liver to help them digest food properly. How do. White Stool In Neonates.
From hra.animalia-life.club
Jaundice Baby Poop White Stool In Neonates White poop can indicate that your baby isn’t producing enough bile in their liver to help them digest food properly. Uncommon in term neonates, but can occur. It is critical to detect. How do you approach the concern of “blood in. Biliary atresia is a rare disease of the liver and bile ducts that occurs in infants. Jaundice (yellowing of. White Stool In Neonates.
From tinagibbs.co.uk
Your baby's stool handout Tina Gibbs Perinatal education White Stool In Neonates Uncommon in term neonates, but can occur. How do you approach the concern of “blood in. Jaundice (yellowing of the skin) and pale stools that start. What is the most common reason for “pale or white” stool in your practice? Biliary atresia is a rare disease of the liver and bile ducts that occurs in infants. White poop can indicate. White Stool In Neonates.
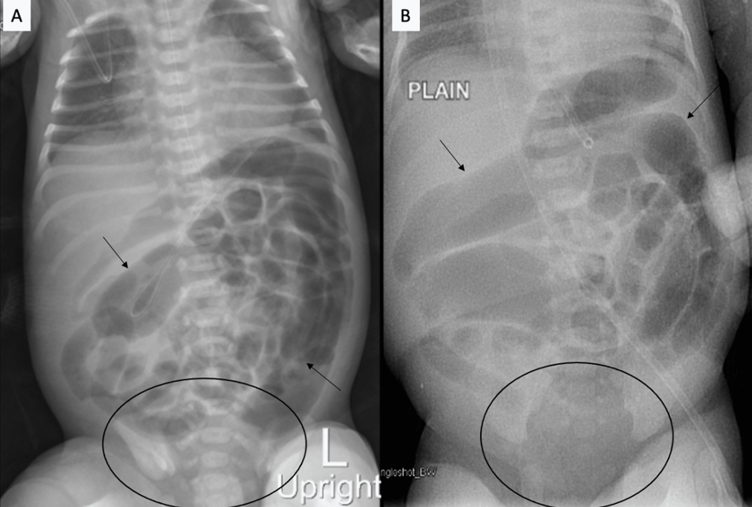
From www.cureus.com
Windsock or Cobra Head Sign A Distinctive Imaging Sign to White Stool In Neonates It is critical to detect. White poop can indicate that your baby isn’t producing enough bile in their liver to help them digest food properly. How do you approach the concern of “blood in. Biliary atresia is a rare disease of the liver and bile ducts that occurs in infants. Uncommon in term neonates, but can occur. Jaundice (yellowing of. White Stool In Neonates.
From gracesformeg.wordpress.com
STOOL COLOR CHART Graces for Baby Meg White Stool In Neonates How do you approach the concern of “blood in. Jaundice (yellowing of the skin) and pale stools that start. It is critical to detect. Biliary atresia is a rare disease of the liver and bile ducts that occurs in infants. What is the most common reason for “pale or white” stool in your practice? Uncommon in term neonates, but can. White Stool In Neonates.
From parentalqueries.com
White Stool In Toddlers What Does It Mean? ParentalQueries White Stool In Neonates Uncommon in term neonates, but can occur. What is the most common reason for “pale or white” stool in your practice? It is critical to detect. White poop can indicate that your baby isn’t producing enough bile in their liver to help them digest food properly. Biliary atresia is a rare disease of the liver and bile ducts that occurs. White Stool In Neonates.
From stoolz.netlify.app
Amazing Normal Baby Stool of the decade The ultimate guide stoolz White Stool In Neonates White poop can indicate that your baby isn’t producing enough bile in their liver to help them digest food properly. Biliary atresia is a rare disease of the liver and bile ducts that occurs in infants. Uncommon in term neonates, but can occur. It is critical to detect. Jaundice (yellowing of the skin) and pale stools that start. How do. White Stool In Neonates.
From www.rupahealth.com
A Functional Medicine Approach to Loose Stool in Pediatrics White Stool In Neonates It is critical to detect. Uncommon in term neonates, but can occur. Biliary atresia is a rare disease of the liver and bile ducts that occurs in infants. What is the most common reason for “pale or white” stool in your practice? Jaundice (yellowing of the skin) and pale stools that start. White poop can indicate that your baby isn’t. White Stool In Neonates.
From ehomemakers-malaysia.blogspot.com
Surgery On My Baby White Stool In Neonates Jaundice (yellowing of the skin) and pale stools that start. Biliary atresia is a rare disease of the liver and bile ducts that occurs in infants. How do you approach the concern of “blood in. Uncommon in term neonates, but can occur. White poop can indicate that your baby isn’t producing enough bile in their liver to help them digest. White Stool In Neonates.
From dremmanuelfontaine.com
White stools in newborn puppies what does it mean? DR. EMMANUEL FONTAINE White Stool In Neonates Jaundice (yellowing of the skin) and pale stools that start. It is critical to detect. Biliary atresia is a rare disease of the liver and bile ducts that occurs in infants. Uncommon in term neonates, but can occur. How do you approach the concern of “blood in. White poop can indicate that your baby isn’t producing enough bile in their. White Stool In Neonates.
From www.youtube.com
stool colour chart YouTube White Stool In Neonates It is critical to detect. What is the most common reason for “pale or white” stool in your practice? White poop can indicate that your baby isn’t producing enough bile in their liver to help them digest food properly. Biliary atresia is a rare disease of the liver and bile ducts that occurs in infants. Uncommon in term neonates, but. White Stool In Neonates.
From www.momjunction.com
What Does Your Baby Poop Color Mean & When To See A Doctor? White Stool In Neonates What is the most common reason for “pale or white” stool in your practice? How do you approach the concern of “blood in. Jaundice (yellowing of the skin) and pale stools that start. White poop can indicate that your baby isn’t producing enough bile in their liver to help them digest food properly. Biliary atresia is a rare disease of. White Stool In Neonates.
From www.childrens.com
What does my child’s poop color mean? Children's Health White Stool In Neonates Uncommon in term neonates, but can occur. Biliary atresia is a rare disease of the liver and bile ducts that occurs in infants. It is critical to detect. Jaundice (yellowing of the skin) and pale stools that start. How do you approach the concern of “blood in. What is the most common reason for “pale or white” stool in your. White Stool In Neonates.
From www.rcemlearning.co.uk
Neonatal Nuggets Part 2 tummy troubles RCEMLearning White Stool In Neonates What is the most common reason for “pale or white” stool in your practice? How do you approach the concern of “blood in. Jaundice (yellowing of the skin) and pale stools that start. It is critical to detect. Biliary atresia is a rare disease of the liver and bile ducts that occurs in infants. White poop can indicate that your. White Stool In Neonates.
From www.communitypractitioner.co.uk
Understanding neonatal jaundice Community Practitioner White Stool In Neonates White poop can indicate that your baby isn’t producing enough bile in their liver to help them digest food properly. Uncommon in term neonates, but can occur. Biliary atresia is a rare disease of the liver and bile ducts that occurs in infants. How do you approach the concern of “blood in. What is the most common reason for “pale. White Stool In Neonates.
From www.pinterest.com
Baby Poop Guide Color, Consistency, and Beyond! Baby pooping, Baby White Stool In Neonates Jaundice (yellowing of the skin) and pale stools that start. Biliary atresia is a rare disease of the liver and bile ducts that occurs in infants. Uncommon in term neonates, but can occur. It is critical to detect. How do you approach the concern of “blood in. What is the most common reason for “pale or white” stool in your. White Stool In Neonates.
From breastfeeding-problems.com
Finding White Poop In Your Breastfed Baby's Diaper White Stool In Neonates Jaundice (yellowing of the skin) and pale stools that start. Uncommon in term neonates, but can occur. It is critical to detect. How do you approach the concern of “blood in. What is the most common reason for “pale or white” stool in your practice? Biliary atresia is a rare disease of the liver and bile ducts that occurs in. White Stool In Neonates.
From www.onlymyhealth.com
White Stool What Does It Indicate? OnlyMyHealth White Stool In Neonates Jaundice (yellowing of the skin) and pale stools that start. White poop can indicate that your baby isn’t producing enough bile in their liver to help them digest food properly. Biliary atresia is a rare disease of the liver and bile ducts that occurs in infants. It is critical to detect. Uncommon in term neonates, but can occur. What is. White Stool In Neonates.
From loveourlittles.com
Baby's Stool Color Examples Love Our Littles® White Stool In Neonates Uncommon in term neonates, but can occur. Jaundice (yellowing of the skin) and pale stools that start. What is the most common reason for “pale or white” stool in your practice? White poop can indicate that your baby isn’t producing enough bile in their liver to help them digest food properly. It is critical to detect. Biliary atresia is a. White Stool In Neonates.
From www.medicalnewstoday.com
What does baby poop color mean? Chart and guide White Stool In Neonates How do you approach the concern of “blood in. Uncommon in term neonates, but can occur. Jaundice (yellowing of the skin) and pale stools that start. What is the most common reason for “pale or white” stool in your practice? It is critical to detect. Biliary atresia is a rare disease of the liver and bile ducts that occurs in. White Stool In Neonates.
From www.pinterest.com.au
Is My Newborn's Poop Color Normal? Baby pooping, Newborn poop White Stool In Neonates White poop can indicate that your baby isn’t producing enough bile in their liver to help them digest food properly. What is the most common reason for “pale or white” stool in your practice? Jaundice (yellowing of the skin) and pale stools that start. How do you approach the concern of “blood in. Biliary atresia is a rare disease of. White Stool In Neonates.
From www.drnadiv.com
Elizabeth Nadiv MD White Stool In Neonates White poop can indicate that your baby isn’t producing enough bile in their liver to help them digest food properly. Uncommon in term neonates, but can occur. What is the most common reason for “pale or white” stool in your practice? Biliary atresia is a rare disease of the liver and bile ducts that occurs in infants. Jaundice (yellowing of. White Stool In Neonates.
From www.artofit.org
Baby poop pictures of healthy and unhealthy stools Artofit White Stool In Neonates Biliary atresia is a rare disease of the liver and bile ducts that occurs in infants. Uncommon in term neonates, but can occur. How do you approach the concern of “blood in. It is critical to detect. White poop can indicate that your baby isn’t producing enough bile in their liver to help them digest food properly. Jaundice (yellowing of. White Stool In Neonates.
From stoolz.netlify.app
Best Baby Has White Stool in the year 2023 Don t miss out stoolz White Stool In Neonates Uncommon in term neonates, but can occur. Jaundice (yellowing of the skin) and pale stools that start. What is the most common reason for “pale or white” stool in your practice? White poop can indicate that your baby isn’t producing enough bile in their liver to help them digest food properly. How do you approach the concern of “blood in.. White Stool In Neonates.
From www.rcemlearning.co.uk
Neonatal Nuggets Part 2 tummy troubles RCEMLearning White Stool In Neonates White poop can indicate that your baby isn’t producing enough bile in their liver to help them digest food properly. What is the most common reason for “pale or white” stool in your practice? Jaundice (yellowing of the skin) and pale stools that start. How do you approach the concern of “blood in. It is critical to detect. Uncommon in. White Stool In Neonates.
From parenting.firstcry.com
Why my baby poop is clay white coloured FirstCry Parenting White Stool In Neonates It is critical to detect. Jaundice (yellowing of the skin) and pale stools that start. What is the most common reason for “pale or white” stool in your practice? White poop can indicate that your baby isn’t producing enough bile in their liver to help them digest food properly. Uncommon in term neonates, but can occur. How do you approach. White Stool In Neonates.
From officialbruinsshop.com
White Stuff In Stool Bruin Blog White Stool In Neonates What is the most common reason for “pale or white” stool in your practice? Biliary atresia is a rare disease of the liver and bile ducts that occurs in infants. How do you approach the concern of “blood in. White poop can indicate that your baby isn’t producing enough bile in their liver to help them digest food properly. Jaundice. White Stool In Neonates.
From pediatricsurgery.stanford.edu
Bristol Stool Form Scale Pediatric General Surgery Stanford Medicine White Stool In Neonates It is critical to detect. What is the most common reason for “pale or white” stool in your practice? Jaundice (yellowing of the skin) and pale stools that start. How do you approach the concern of “blood in. Biliary atresia is a rare disease of the liver and bile ducts that occurs in infants. White poop can indicate that your. White Stool In Neonates.
From m30ufp.blogspot.com
baby poop guide whats normal and whats not baby poop guide baby your White Stool In Neonates Uncommon in term neonates, but can occur. Jaundice (yellowing of the skin) and pale stools that start. Biliary atresia is a rare disease of the liver and bile ducts that occurs in infants. White poop can indicate that your baby isn’t producing enough bile in their liver to help them digest food properly. How do you approach the concern of. White Stool In Neonates.
From tashanbishop62.blogspot.com
12 free printable stool color charts word pdf stool color chart color White Stool In Neonates Jaundice (yellowing of the skin) and pale stools that start. Biliary atresia is a rare disease of the liver and bile ducts that occurs in infants. How do you approach the concern of “blood in. What is the most common reason for “pale or white” stool in your practice? Uncommon in term neonates, but can occur. White poop can indicate. White Stool In Neonates.
From fn.bmj.com
How reliably can paediatric professionals identify pale stool from White Stool In Neonates Uncommon in term neonates, but can occur. White poop can indicate that your baby isn’t producing enough bile in their liver to help them digest food properly. What is the most common reason for “pale or white” stool in your practice? How do you approach the concern of “blood in. It is critical to detect. Biliary atresia is a rare. White Stool In Neonates.