Hepatitis C Liver Pathology Outlines . • portal, interface and lobular hepatitis • progressive. Acute hepatitis c infection is rarely biopsied and most cases of hepatitis c that are biopsied reflect a chronic infection. The terminology for assessment of chronic viral hepatitis in liver biopsy specimens has become confusing with the proliferation of. Hepatitis b, hepatitis c and hepatitis d virus; This comprehensive review discusses the entire spectrum of pathologic. The natural history of chronic hepatitis c (chc) is characterized by a persistent liver inflammation that progressively leads to. Highlights the pathophysiology, microscopic findings and associated hepatic diseases with common structural changes, patterns of cell damage and necrosis, intracellular. Chronic viral hepatitis is commonly caused by 3 viruses:
from www.pathologyoutlines.com
This comprehensive review discusses the entire spectrum of pathologic. Hepatitis b, hepatitis c and hepatitis d virus; Highlights the pathophysiology, microscopic findings and associated hepatic diseases with common structural changes, patterns of cell damage and necrosis, intracellular. Chronic viral hepatitis is commonly caused by 3 viruses: The natural history of chronic hepatitis c (chc) is characterized by a persistent liver inflammation that progressively leads to. The terminology for assessment of chronic viral hepatitis in liver biopsy specimens has become confusing with the proliferation of. • portal, interface and lobular hepatitis • progressive. Acute hepatitis c infection is rarely biopsied and most cases of hepatitis c that are biopsied reflect a chronic infection.
Pathology Outlines Diagnostic patternsdifferential diagnosis
Hepatitis C Liver Pathology Outlines The natural history of chronic hepatitis c (chc) is characterized by a persistent liver inflammation that progressively leads to. The natural history of chronic hepatitis c (chc) is characterized by a persistent liver inflammation that progressively leads to. • portal, interface and lobular hepatitis • progressive. The terminology for assessment of chronic viral hepatitis in liver biopsy specimens has become confusing with the proliferation of. Highlights the pathophysiology, microscopic findings and associated hepatic diseases with common structural changes, patterns of cell damage and necrosis, intracellular. This comprehensive review discusses the entire spectrum of pathologic. Hepatitis b, hepatitis c and hepatitis d virus; Chronic viral hepatitis is commonly caused by 3 viruses: Acute hepatitis c infection is rarely biopsied and most cases of hepatitis c that are biopsied reflect a chronic infection.
From www.pathologyoutlines.com
Pathology Outlines Autoimmune hepatitis Hepatitis C Liver Pathology Outlines The terminology for assessment of chronic viral hepatitis in liver biopsy specimens has become confusing with the proliferation of. Highlights the pathophysiology, microscopic findings and associated hepatic diseases with common structural changes, patterns of cell damage and necrosis, intracellular. Chronic viral hepatitis is commonly caused by 3 viruses: • portal, interface and lobular hepatitis • progressive. Hepatitis b, hepatitis c. Hepatitis C Liver Pathology Outlines.
From www.pathologyoutlines.com
Pathology Outlines Acute hepatitisgeneral Hepatitis C Liver Pathology Outlines Hepatitis b, hepatitis c and hepatitis d virus; Highlights the pathophysiology, microscopic findings and associated hepatic diseases with common structural changes, patterns of cell damage and necrosis, intracellular. This comprehensive review discusses the entire spectrum of pathologic. Acute hepatitis c infection is rarely biopsied and most cases of hepatitis c that are biopsied reflect a chronic infection. Chronic viral hepatitis. Hepatitis C Liver Pathology Outlines.
From www.pathologyoutlines.com
Pathology Outlines Chronic hepatitis Hepatitis C Liver Pathology Outlines This comprehensive review discusses the entire spectrum of pathologic. Hepatitis b, hepatitis c and hepatitis d virus; • portal, interface and lobular hepatitis • progressive. The natural history of chronic hepatitis c (chc) is characterized by a persistent liver inflammation that progressively leads to. The terminology for assessment of chronic viral hepatitis in liver biopsy specimens has become confusing with. Hepatitis C Liver Pathology Outlines.
From www.pathologyoutlines.com
Pathology Outlines Acute hepatitisgeneral Hepatitis C Liver Pathology Outlines The natural history of chronic hepatitis c (chc) is characterized by a persistent liver inflammation that progressively leads to. • portal, interface and lobular hepatitis • progressive. Acute hepatitis c infection is rarely biopsied and most cases of hepatitis c that are biopsied reflect a chronic infection. Hepatitis b, hepatitis c and hepatitis d virus; Highlights the pathophysiology, microscopic findings. Hepatitis C Liver Pathology Outlines.
From ar.inspiredpencil.com
Hepatitis C Liver Histology Hepatitis C Liver Pathology Outlines Highlights the pathophysiology, microscopic findings and associated hepatic diseases with common structural changes, patterns of cell damage and necrosis, intracellular. • portal, interface and lobular hepatitis • progressive. Chronic viral hepatitis is commonly caused by 3 viruses: The natural history of chronic hepatitis c (chc) is characterized by a persistent liver inflammation that progressively leads to. Acute hepatitis c infection. Hepatitis C Liver Pathology Outlines.
From www.pathologyoutlines.com
Pathology Outlines Chronic hepatitisgrading / staging Hepatitis C Liver Pathology Outlines The natural history of chronic hepatitis c (chc) is characterized by a persistent liver inflammation that progressively leads to. This comprehensive review discusses the entire spectrum of pathologic. • portal, interface and lobular hepatitis • progressive. Hepatitis b, hepatitis c and hepatitis d virus; Highlights the pathophysiology, microscopic findings and associated hepatic diseases with common structural changes, patterns of cell. Hepatitis C Liver Pathology Outlines.
From www.pathologyoutlines.com
Pathology Outlines Autoimmune hepatitis Hepatitis C Liver Pathology Outlines The terminology for assessment of chronic viral hepatitis in liver biopsy specimens has become confusing with the proliferation of. Hepatitis b, hepatitis c and hepatitis d virus; • portal, interface and lobular hepatitis • progressive. The natural history of chronic hepatitis c (chc) is characterized by a persistent liver inflammation that progressively leads to. This comprehensive review discusses the entire. Hepatitis C Liver Pathology Outlines.
From www.pathologyoutlines.com
Pathology Outlines Cytomegalovirus hepatitis Hepatitis C Liver Pathology Outlines The terminology for assessment of chronic viral hepatitis in liver biopsy specimens has become confusing with the proliferation of. • portal, interface and lobular hepatitis • progressive. Highlights the pathophysiology, microscopic findings and associated hepatic diseases with common structural changes, patterns of cell damage and necrosis, intracellular. This comprehensive review discusses the entire spectrum of pathologic. Chronic viral hepatitis is. Hepatitis C Liver Pathology Outlines.
From www.pathologyoutlines.com
Pathology Outlines Acute hepatitisgeneral Hepatitis C Liver Pathology Outlines The natural history of chronic hepatitis c (chc) is characterized by a persistent liver inflammation that progressively leads to. This comprehensive review discusses the entire spectrum of pathologic. Acute hepatitis c infection is rarely biopsied and most cases of hepatitis c that are biopsied reflect a chronic infection. Hepatitis b, hepatitis c and hepatitis d virus; The terminology for assessment. Hepatitis C Liver Pathology Outlines.
From ar.inspiredpencil.com
Hepatitis C Liver Histology Hepatitis C Liver Pathology Outlines Hepatitis b, hepatitis c and hepatitis d virus; The terminology for assessment of chronic viral hepatitis in liver biopsy specimens has become confusing with the proliferation of. Acute hepatitis c infection is rarely biopsied and most cases of hepatitis c that are biopsied reflect a chronic infection. • portal, interface and lobular hepatitis • progressive. This comprehensive review discusses the. Hepatitis C Liver Pathology Outlines.
From www.pathologyoutlines.com
Pathology Outlines Chronic viral hepatitis Hepatitis C Liver Pathology Outlines Acute hepatitis c infection is rarely biopsied and most cases of hepatitis c that are biopsied reflect a chronic infection. The natural history of chronic hepatitis c (chc) is characterized by a persistent liver inflammation that progressively leads to. • portal, interface and lobular hepatitis • progressive. Highlights the pathophysiology, microscopic findings and associated hepatic diseases with common structural changes,. Hepatitis C Liver Pathology Outlines.
From www.pathologyoutlines.com
Pathology Outlines Chronic viral hepatitis Hepatitis C Liver Pathology Outlines The natural history of chronic hepatitis c (chc) is characterized by a persistent liver inflammation that progressively leads to. Chronic viral hepatitis is commonly caused by 3 viruses: • portal, interface and lobular hepatitis • progressive. This comprehensive review discusses the entire spectrum of pathologic. Hepatitis b, hepatitis c and hepatitis d virus; Highlights the pathophysiology, microscopic findings and associated. Hepatitis C Liver Pathology Outlines.
From www.pathologyoutlines.com
Pathology Outlines Chronic hepatitis grading / staging Hepatitis C Liver Pathology Outlines This comprehensive review discusses the entire spectrum of pathologic. Chronic viral hepatitis is commonly caused by 3 viruses: The natural history of chronic hepatitis c (chc) is characterized by a persistent liver inflammation that progressively leads to. Highlights the pathophysiology, microscopic findings and associated hepatic diseases with common structural changes, patterns of cell damage and necrosis, intracellular. Acute hepatitis c. Hepatitis C Liver Pathology Outlines.
From www.pathologyoutlines.com
Pathology Outlines Hepatitis (acute and chronic)general Hepatitis C Liver Pathology Outlines Highlights the pathophysiology, microscopic findings and associated hepatic diseases with common structural changes, patterns of cell damage and necrosis, intracellular. The terminology for assessment of chronic viral hepatitis in liver biopsy specimens has become confusing with the proliferation of. • portal, interface and lobular hepatitis • progressive. Hepatitis b, hepatitis c and hepatitis d virus; This comprehensive review discusses the. Hepatitis C Liver Pathology Outlines.
From www.pathologyoutlines.com
Pathology Outlines Chronic hepatitisgrading / staging Hepatitis C Liver Pathology Outlines • portal, interface and lobular hepatitis • progressive. The terminology for assessment of chronic viral hepatitis in liver biopsy specimens has become confusing with the proliferation of. Highlights the pathophysiology, microscopic findings and associated hepatic diseases with common structural changes, patterns of cell damage and necrosis, intracellular. Acute hepatitis c infection is rarely biopsied and most cases of hepatitis c. Hepatitis C Liver Pathology Outlines.
From www.pathologyoutlines.com
Pathology Outlines Chronic hepatitis Hepatitis C Liver Pathology Outlines This comprehensive review discusses the entire spectrum of pathologic. The natural history of chronic hepatitis c (chc) is characterized by a persistent liver inflammation that progressively leads to. Hepatitis b, hepatitis c and hepatitis d virus; The terminology for assessment of chronic viral hepatitis in liver biopsy specimens has become confusing with the proliferation of. Acute hepatitis c infection is. Hepatitis C Liver Pathology Outlines.
From www.pathologyoutlines.com
Pathology Outlines Autoimmune hepatitis Hepatitis C Liver Pathology Outlines • portal, interface and lobular hepatitis • progressive. The natural history of chronic hepatitis c (chc) is characterized by a persistent liver inflammation that progressively leads to. Hepatitis b, hepatitis c and hepatitis d virus; Acute hepatitis c infection is rarely biopsied and most cases of hepatitis c that are biopsied reflect a chronic infection. Chronic viral hepatitis is commonly. Hepatitis C Liver Pathology Outlines.
From www.pathologyoutlines.com
Pathology Outlines Hepatitis (acute and chronic)general Hepatitis C Liver Pathology Outlines • portal, interface and lobular hepatitis • progressive. Acute hepatitis c infection is rarely biopsied and most cases of hepatitis c that are biopsied reflect a chronic infection. Hepatitis b, hepatitis c and hepatitis d virus; This comprehensive review discusses the entire spectrum of pathologic. Highlights the pathophysiology, microscopic findings and associated hepatic diseases with common structural changes, patterns of. Hepatitis C Liver Pathology Outlines.
From www.pathologyoutlines.com
Pathology Outlines Chronic hepatitis grading / staging Hepatitis C Liver Pathology Outlines Highlights the pathophysiology, microscopic findings and associated hepatic diseases with common structural changes, patterns of cell damage and necrosis, intracellular. The natural history of chronic hepatitis c (chc) is characterized by a persistent liver inflammation that progressively leads to. Hepatitis b, hepatitis c and hepatitis d virus; The terminology for assessment of chronic viral hepatitis in liver biopsy specimens has. Hepatitis C Liver Pathology Outlines.
From www.pathologyoutlines.com
Pathology Outlines Acute hepatitisgeneral Hepatitis C Liver Pathology Outlines This comprehensive review discusses the entire spectrum of pathologic. Hepatitis b, hepatitis c and hepatitis d virus; The terminology for assessment of chronic viral hepatitis in liver biopsy specimens has become confusing with the proliferation of. • portal, interface and lobular hepatitis • progressive. Acute hepatitis c infection is rarely biopsied and most cases of hepatitis c that are biopsied. Hepatitis C Liver Pathology Outlines.
From www.pathologyoutlines.com
Pathology Outlines Chronic hepatitis Hepatitis C Liver Pathology Outlines Highlights the pathophysiology, microscopic findings and associated hepatic diseases with common structural changes, patterns of cell damage and necrosis, intracellular. The natural history of chronic hepatitis c (chc) is characterized by a persistent liver inflammation that progressively leads to. Acute hepatitis c infection is rarely biopsied and most cases of hepatitis c that are biopsied reflect a chronic infection. •. Hepatitis C Liver Pathology Outlines.
From www.pathologyoutlines.com
Pathology Outlines Autoimmune hepatitis Hepatitis C Liver Pathology Outlines • portal, interface and lobular hepatitis • progressive. Chronic viral hepatitis is commonly caused by 3 viruses: Acute hepatitis c infection is rarely biopsied and most cases of hepatitis c that are biopsied reflect a chronic infection. The terminology for assessment of chronic viral hepatitis in liver biopsy specimens has become confusing with the proliferation of. Hepatitis b, hepatitis c. Hepatitis C Liver Pathology Outlines.
From www.pathologyoutlines.com
Pathology Outlines Granulomatous hepatitis Hepatitis C Liver Pathology Outlines The terminology for assessment of chronic viral hepatitis in liver biopsy specimens has become confusing with the proliferation of. • portal, interface and lobular hepatitis • progressive. Acute hepatitis c infection is rarely biopsied and most cases of hepatitis c that are biopsied reflect a chronic infection. Chronic viral hepatitis is commonly caused by 3 viruses: Hepatitis b, hepatitis c. Hepatitis C Liver Pathology Outlines.
From www.pathologyoutlines.com
Pathology Outlines Granulomatous hepatitis Hepatitis C Liver Pathology Outlines Hepatitis b, hepatitis c and hepatitis d virus; Chronic viral hepatitis is commonly caused by 3 viruses: • portal, interface and lobular hepatitis • progressive. Acute hepatitis c infection is rarely biopsied and most cases of hepatitis c that are biopsied reflect a chronic infection. The terminology for assessment of chronic viral hepatitis in liver biopsy specimens has become confusing. Hepatitis C Liver Pathology Outlines.
From www.pathologyoutlines.com
Pathology Outlines Acute hepatitisgeneral Hepatitis C Liver Pathology Outlines Highlights the pathophysiology, microscopic findings and associated hepatic diseases with common structural changes, patterns of cell damage and necrosis, intracellular. The natural history of chronic hepatitis c (chc) is characterized by a persistent liver inflammation that progressively leads to. • portal, interface and lobular hepatitis • progressive. Acute hepatitis c infection is rarely biopsied and most cases of hepatitis c. Hepatitis C Liver Pathology Outlines.
From ar.inspiredpencil.com
Hepatitis C Liver Histology Hepatitis C Liver Pathology Outlines • portal, interface and lobular hepatitis • progressive. Chronic viral hepatitis is commonly caused by 3 viruses: Acute hepatitis c infection is rarely biopsied and most cases of hepatitis c that are biopsied reflect a chronic infection. The natural history of chronic hepatitis c (chc) is characterized by a persistent liver inflammation that progressively leads to. The terminology for assessment. Hepatitis C Liver Pathology Outlines.
From www.pathologyoutlines.com
Pathology Outlines Chronic hepatitis Hepatitis C Liver Pathology Outlines Acute hepatitis c infection is rarely biopsied and most cases of hepatitis c that are biopsied reflect a chronic infection. Highlights the pathophysiology, microscopic findings and associated hepatic diseases with common structural changes, patterns of cell damage and necrosis, intracellular. Chronic viral hepatitis is commonly caused by 3 viruses: The terminology for assessment of chronic viral hepatitis in liver biopsy. Hepatitis C Liver Pathology Outlines.
From www.pathologyoutlines.com
Pathology Outlines Chronic hepatitis Hepatitis C Liver Pathology Outlines Highlights the pathophysiology, microscopic findings and associated hepatic diseases with common structural changes, patterns of cell damage and necrosis, intracellular. Acute hepatitis c infection is rarely biopsied and most cases of hepatitis c that are biopsied reflect a chronic infection. Chronic viral hepatitis is commonly caused by 3 viruses: • portal, interface and lobular hepatitis • progressive. This comprehensive review. Hepatitis C Liver Pathology Outlines.
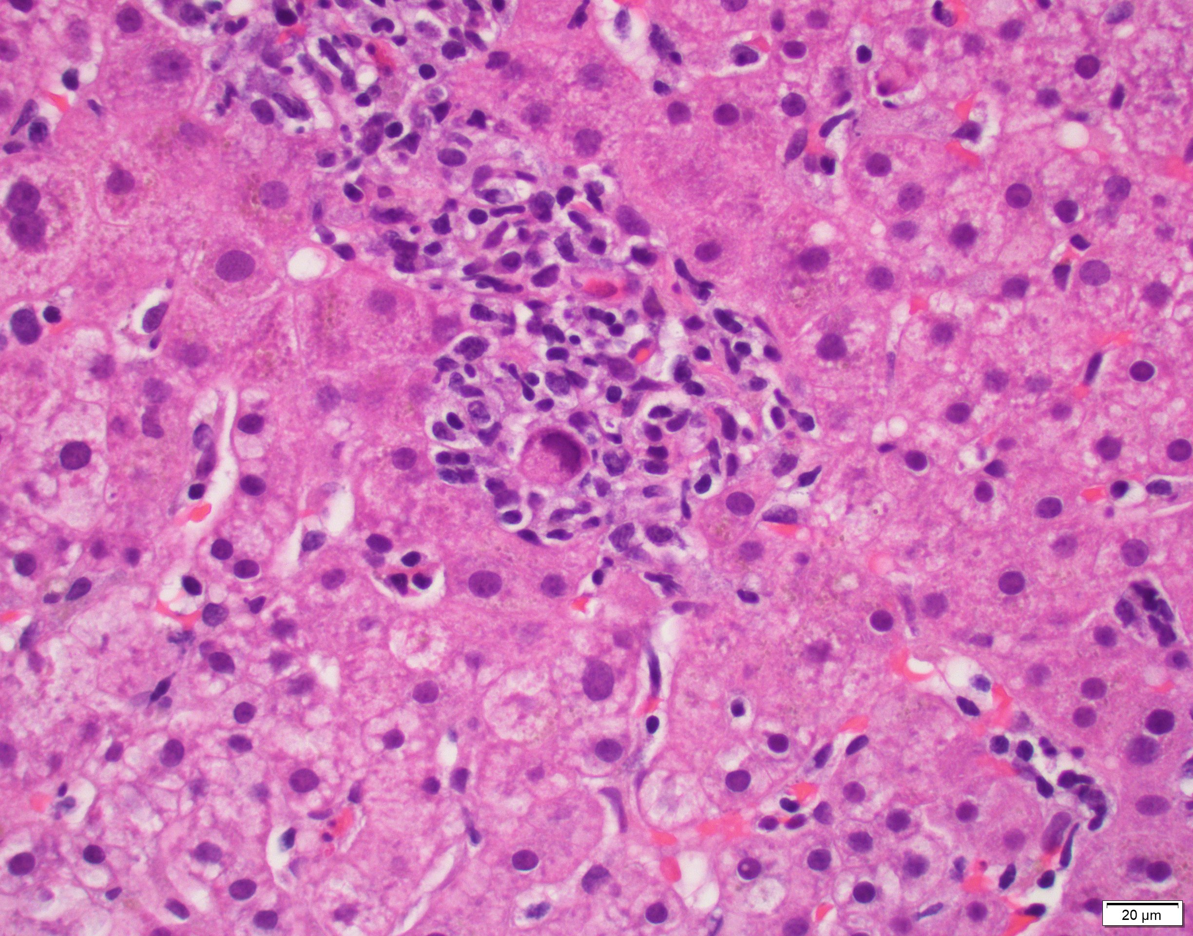
From www.researchgate.net
Liver biopsy in chronic hepatitis C. Interface hepatitis, with the Hepatitis C Liver Pathology Outlines Hepatitis b, hepatitis c and hepatitis d virus; Highlights the pathophysiology, microscopic findings and associated hepatic diseases with common structural changes, patterns of cell damage and necrosis, intracellular. • portal, interface and lobular hepatitis • progressive. Chronic viral hepatitis is commonly caused by 3 viruses: The terminology for assessment of chronic viral hepatitis in liver biopsy specimens has become confusing. Hepatitis C Liver Pathology Outlines.
From www.pathologyoutlines.com
Pathology Outlines Chronic viral hepatitis Hepatitis C Liver Pathology Outlines Chronic viral hepatitis is commonly caused by 3 viruses: • portal, interface and lobular hepatitis • progressive. The natural history of chronic hepatitis c (chc) is characterized by a persistent liver inflammation that progressively leads to. This comprehensive review discusses the entire spectrum of pathologic. Hepatitis b, hepatitis c and hepatitis d virus; Acute hepatitis c infection is rarely biopsied. Hepatitis C Liver Pathology Outlines.
From www.pathologyoutlines.com
Pathology Outlines Chronic hepatitis Hepatitis C Liver Pathology Outlines This comprehensive review discusses the entire spectrum of pathologic. The natural history of chronic hepatitis c (chc) is characterized by a persistent liver inflammation that progressively leads to. Highlights the pathophysiology, microscopic findings and associated hepatic diseases with common structural changes, patterns of cell damage and necrosis, intracellular. Acute hepatitis c infection is rarely biopsied and most cases of hepatitis. Hepatitis C Liver Pathology Outlines.
From es.scribd.com
Liver Pathology Hepatitis Cirrhosis Hepatitis C Liver Pathology Outlines Acute hepatitis c infection is rarely biopsied and most cases of hepatitis c that are biopsied reflect a chronic infection. The natural history of chronic hepatitis c (chc) is characterized by a persistent liver inflammation that progressively leads to. Highlights the pathophysiology, microscopic findings and associated hepatic diseases with common structural changes, patterns of cell damage and necrosis, intracellular. •. Hepatitis C Liver Pathology Outlines.
From www.pathologyoutlines.com
Pathology Outlines Chronic viral hepatitis Hepatitis C Liver Pathology Outlines The natural history of chronic hepatitis c (chc) is characterized by a persistent liver inflammation that progressively leads to. The terminology for assessment of chronic viral hepatitis in liver biopsy specimens has become confusing with the proliferation of. Acute hepatitis c infection is rarely biopsied and most cases of hepatitis c that are biopsied reflect a chronic infection. Chronic viral. Hepatitis C Liver Pathology Outlines.
From www.pathologyoutlines.com
Pathology Outlines Diagnostic patternsdifferential diagnosis Hepatitis C Liver Pathology Outlines Acute hepatitis c infection is rarely biopsied and most cases of hepatitis c that are biopsied reflect a chronic infection. The terminology for assessment of chronic viral hepatitis in liver biopsy specimens has become confusing with the proliferation of. • portal, interface and lobular hepatitis • progressive. This comprehensive review discusses the entire spectrum of pathologic. Chronic viral hepatitis is. Hepatitis C Liver Pathology Outlines.
From www.pathologyoutlines.com
Pathology Outlines Diagnostic patternsdifferential diagnosis Hepatitis C Liver Pathology Outlines The terminology for assessment of chronic viral hepatitis in liver biopsy specimens has become confusing with the proliferation of. Acute hepatitis c infection is rarely biopsied and most cases of hepatitis c that are biopsied reflect a chronic infection. • portal, interface and lobular hepatitis • progressive. Hepatitis b, hepatitis c and hepatitis d virus; The natural history of chronic. Hepatitis C Liver Pathology Outlines.