Thin Basement Membrane Disease Example . Thin basement membrane nephropathy (tbmn), also known as thin basement membrane disease, is a. Thin basement membrane nephropathy (tbmn) is the most common cause of persistent glomerular bleeding. Thin basement membrane nephropathy (tbmn) is the most common cause of persistent hematuria in children and adults, the other main causes. It is often familial (probably with autosomal dominant inheritance 419 ) and. Hereditary nephritis (hn) and thin glomerular basement membrane (gbm) lesion share a common clinical presentation of. Thin basement membrane disease (tbmd) is an inherited disorder that mainly affects the glomeruli, which are tiny tufts of. Thin basement membrane disease is a relatively common disorder.
from www.semanticscholar.org
Hereditary nephritis (hn) and thin glomerular basement membrane (gbm) lesion share a common clinical presentation of. Thin basement membrane nephropathy (tbmn) is the most common cause of persistent glomerular bleeding. Thin basement membrane disease (tbmd) is an inherited disorder that mainly affects the glomeruli, which are tiny tufts of. It is often familial (probably with autosomal dominant inheritance 419 ) and. Thin basement membrane disease is a relatively common disorder. Thin basement membrane nephropathy (tbmn) is the most common cause of persistent hematuria in children and adults, the other main causes. Thin basement membrane nephropathy (tbmn), also known as thin basement membrane disease, is a.
Figure 1 from Atypical Noncrescentic Antiglomerular Basement Membrane
Thin Basement Membrane Disease Example Thin basement membrane disease is a relatively common disorder. Hereditary nephritis (hn) and thin glomerular basement membrane (gbm) lesion share a common clinical presentation of. Thin basement membrane nephropathy (tbmn) is the most common cause of persistent glomerular bleeding. It is often familial (probably with autosomal dominant inheritance 419 ) and. Thin basement membrane disease is a relatively common disorder. Thin basement membrane nephropathy (tbmn), also known as thin basement membrane disease, is a. Thin basement membrane nephropathy (tbmn) is the most common cause of persistent hematuria in children and adults, the other main causes. Thin basement membrane disease (tbmd) is an inherited disorder that mainly affects the glomeruli, which are tiny tufts of.
From www.arkanalabs.com
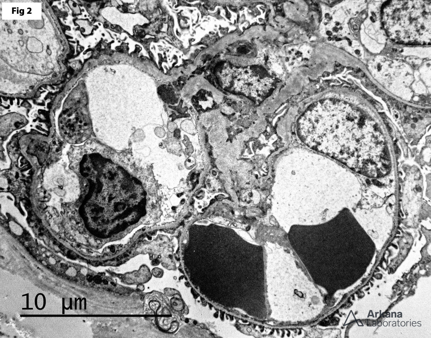
Thin Basement Membrane Disease (TBMD) Teaching Points Thin Basement Membrane Disease Example Thin basement membrane nephropathy (tbmn) is the most common cause of persistent glomerular bleeding. Thin basement membrane disease is a relatively common disorder. It is often familial (probably with autosomal dominant inheritance 419 ) and. Hereditary nephritis (hn) and thin glomerular basement membrane (gbm) lesion share a common clinical presentation of. Thin basement membrane disease (tbmd) is an inherited disorder. Thin Basement Membrane Disease Example.
From www.openbasement.com
Thin Basement Membrane Disease Complications Openbasement Thin Basement Membrane Disease Example Thin basement membrane nephropathy (tbmn) is the most common cause of persistent hematuria in children and adults, the other main causes. Thin basement membrane disease (tbmd) is an inherited disorder that mainly affects the glomeruli, which are tiny tufts of. Thin basement membrane nephropathy (tbmn), also known as thin basement membrane disease, is a. Hereditary nephritis (hn) and thin glomerular. Thin Basement Membrane Disease Example.
From ruangmenggambar749.blogspot.com
Thin Basement Membrane Disease And Pregnancy (PDF) Clinical and Thin Basement Membrane Disease Example Thin basement membrane disease is a relatively common disorder. It is often familial (probably with autosomal dominant inheritance 419 ) and. Thin basement membrane nephropathy (tbmn) is the most common cause of persistent hematuria in children and adults, the other main causes. Thin basement membrane nephropathy (tbmn) is the most common cause of persistent glomerular bleeding. Thin basement membrane disease. Thin Basement Membrane Disease Example.
From www.openbasement.com
Thin Basement Membrane Disease Kidney Donor Openbasement Thin Basement Membrane Disease Example Hereditary nephritis (hn) and thin glomerular basement membrane (gbm) lesion share a common clinical presentation of. Thin basement membrane nephropathy (tbmn) is the most common cause of persistent glomerular bleeding. Thin basement membrane nephropathy (tbmn) is the most common cause of persistent hematuria in children and adults, the other main causes. It is often familial (probably with autosomal dominant inheritance. Thin Basement Membrane Disease Example.
From jocmr.org
An Overlapping Case of Alport Syndrome and Thin Basement Membrane Thin Basement Membrane Disease Example It is often familial (probably with autosomal dominant inheritance 419 ) and. Thin basement membrane nephropathy (tbmn), also known as thin basement membrane disease, is a. Hereditary nephritis (hn) and thin glomerular basement membrane (gbm) lesion share a common clinical presentation of. Thin basement membrane nephropathy (tbmn) is the most common cause of persistent glomerular bleeding. Thin basement membrane nephropathy. Thin Basement Membrane Disease Example.
From www.semanticscholar.org
Figure 1 from Atypical Noncrescentic Antiglomerular Basement Membrane Thin Basement Membrane Disease Example Thin basement membrane nephropathy (tbmn), also known as thin basement membrane disease, is a. Thin basement membrane nephropathy (tbmn) is the most common cause of persistent glomerular bleeding. Thin basement membrane nephropathy (tbmn) is the most common cause of persistent hematuria in children and adults, the other main causes. Thin basement membrane disease (tbmd) is an inherited disorder that mainly. Thin Basement Membrane Disease Example.
From www.youtube.com
Thin basement membrane disease (Medical Condition) YouTube Thin Basement Membrane Disease Example Thin basement membrane nephropathy (tbmn) is the most common cause of persistent glomerular bleeding. Thin basement membrane nephropathy (tbmn) is the most common cause of persistent hematuria in children and adults, the other main causes. It is often familial (probably with autosomal dominant inheritance 419 ) and. Thin basement membrane nephropathy (tbmn), also known as thin basement membrane disease, is. Thin Basement Membrane Disease Example.
From www.wjnu.org
Thin Basement Membrane Disease Associated With Nephrotic Range Thin Basement Membrane Disease Example Thin basement membrane disease is a relatively common disorder. It is often familial (probably with autosomal dominant inheritance 419 ) and. Thin basement membrane nephropathy (tbmn), also known as thin basement membrane disease, is a. Thin basement membrane nephropathy (tbmn) is the most common cause of persistent glomerular bleeding. Thin basement membrane disease (tbmd) is an inherited disorder that mainly. Thin Basement Membrane Disease Example.
From www.pathologyoutlines.com
Pathology Outlines Alport syndrome and thin basement membrane lesion Thin Basement Membrane Disease Example Hereditary nephritis (hn) and thin glomerular basement membrane (gbm) lesion share a common clinical presentation of. Thin basement membrane disease (tbmd) is an inherited disorder that mainly affects the glomeruli, which are tiny tufts of. Thin basement membrane nephropathy (tbmn) is the most common cause of persistent hematuria in children and adults, the other main causes. It is often familial. Thin Basement Membrane Disease Example.
From bjo.bmj.com
Ocular abnormalities in thin basement membrane disease British Thin Basement Membrane Disease Example Thin basement membrane disease (tbmd) is an inherited disorder that mainly affects the glomeruli, which are tiny tufts of. Thin basement membrane nephropathy (tbmn) is the most common cause of persistent hematuria in children and adults, the other main causes. Thin basement membrane disease is a relatively common disorder. Hereditary nephritis (hn) and thin glomerular basement membrane (gbm) lesion share. Thin Basement Membrane Disease Example.
From www.researchgate.net
(PDF) [Thin glomerular basement membrane disease] Thin Basement Membrane Disease Example Thin basement membrane disease is a relatively common disorder. It is often familial (probably with autosomal dominant inheritance 419 ) and. Hereditary nephritis (hn) and thin glomerular basement membrane (gbm) lesion share a common clinical presentation of. Thin basement membrane nephropathy (tbmn) is the most common cause of persistent glomerular bleeding. Thin basement membrane nephropathy (tbmn) is the most common. Thin Basement Membrane Disease Example.
From bjo.bmj.com
Ocular abnormalities in thin basement membrane disease British Thin Basement Membrane Disease Example Thin basement membrane nephropathy (tbmn) is the most common cause of persistent hematuria in children and adults, the other main causes. Thin basement membrane disease is a relatively common disorder. Thin basement membrane nephropathy (tbmn), also known as thin basement membrane disease, is a. It is often familial (probably with autosomal dominant inheritance 419 ) and. Thin basement membrane nephropathy. Thin Basement Membrane Disease Example.
From www.researchgate.net
(PDF) Thin basement membrane disease literature review Thin Basement Membrane Disease Example Thin basement membrane disease is a relatively common disorder. It is often familial (probably with autosomal dominant inheritance 419 ) and. Thin basement membrane nephropathy (tbmn) is the most common cause of persistent glomerular bleeding. Thin basement membrane disease (tbmd) is an inherited disorder that mainly affects the glomeruli, which are tiny tufts of. Hereditary nephritis (hn) and thin glomerular. Thin Basement Membrane Disease Example.
From bjo.bmj.com
Ocular abnormalities in thin basement membrane disease British Thin Basement Membrane Disease Example Thin basement membrane nephropathy (tbmn) is the most common cause of persistent hematuria in children and adults, the other main causes. Thin basement membrane disease is a relatively common disorder. Thin basement membrane nephropathy (tbmn), also known as thin basement membrane disease, is a. Hereditary nephritis (hn) and thin glomerular basement membrane (gbm) lesion share a common clinical presentation of.. Thin Basement Membrane Disease Example.
From www.chegg.com
Solved Thin basement membrane disease (TBMD) is a rare Thin Basement Membrane Disease Example Thin basement membrane nephropathy (tbmn), also known as thin basement membrane disease, is a. Thin basement membrane disease is a relatively common disorder. Thin basement membrane nephropathy (tbmn) is the most common cause of persistent glomerular bleeding. Thin basement membrane disease (tbmd) is an inherited disorder that mainly affects the glomeruli, which are tiny tufts of. Hereditary nephritis (hn) and. Thin Basement Membrane Disease Example.
From www.msdmanuals.com
Thin Basement Membrane Disease Genitourinary Disorders MSD Manual Thin Basement Membrane Disease Example Thin basement membrane disease is a relatively common disorder. Thin basement membrane nephropathy (tbmn), also known as thin basement membrane disease, is a. Thin basement membrane nephropathy (tbmn) is the most common cause of persistent glomerular bleeding. Thin basement membrane disease (tbmd) is an inherited disorder that mainly affects the glomeruli, which are tiny tufts of. Thin basement membrane nephropathy. Thin Basement Membrane Disease Example.
From basicmedicalkey.com
Thin Basement Membrane Disease Basicmedical Key Thin Basement Membrane Disease Example Thin basement membrane disease is a relatively common disorder. Thin basement membrane nephropathy (tbmn), also known as thin basement membrane disease, is a. It is often familial (probably with autosomal dominant inheritance 419 ) and. Thin basement membrane nephropathy (tbmn) is the most common cause of persistent glomerular bleeding. Hereditary nephritis (hn) and thin glomerular basement membrane (gbm) lesion share. Thin Basement Membrane Disease Example.
From www.researchgate.net
Pathologic features of minimal change disease, thinbasementmembrane Thin Basement Membrane Disease Example Thin basement membrane disease is a relatively common disorder. Thin basement membrane nephropathy (tbmn), also known as thin basement membrane disease, is a. Thin basement membrane nephropathy (tbmn) is the most common cause of persistent glomerular bleeding. It is often familial (probably with autosomal dominant inheritance 419 ) and. Hereditary nephritis (hn) and thin glomerular basement membrane (gbm) lesion share. Thin Basement Membrane Disease Example.
From www.slideserve.com
PPT A few inborn errors PowerPoint Presentation, free download ID Thin Basement Membrane Disease Example Thin basement membrane nephropathy (tbmn) is the most common cause of persistent hematuria in children and adults, the other main causes. It is often familial (probably with autosomal dominant inheritance 419 ) and. Thin basement membrane disease is a relatively common disorder. Hereditary nephritis (hn) and thin glomerular basement membrane (gbm) lesion share a common clinical presentation of. Thin basement. Thin Basement Membrane Disease Example.
From www.arkanalabs.com
Thin Basement Membrane Disease (TBMD) Teaching Points Thin Basement Membrane Disease Example Thin basement membrane disease (tbmd) is an inherited disorder that mainly affects the glomeruli, which are tiny tufts of. Thin basement membrane nephropathy (tbmn) is the most common cause of persistent glomerular bleeding. Thin basement membrane nephropathy (tbmn) is the most common cause of persistent hematuria in children and adults, the other main causes. Thin basement membrane nephropathy (tbmn), also. Thin Basement Membrane Disease Example.
From www.openbasement.com
Thin Basement Membrane Disease Pathology Outlines Openbasement Thin Basement Membrane Disease Example Thin basement membrane nephropathy (tbmn) is the most common cause of persistent glomerular bleeding. It is often familial (probably with autosomal dominant inheritance 419 ) and. Thin basement membrane disease (tbmd) is an inherited disorder that mainly affects the glomeruli, which are tiny tufts of. Thin basement membrane disease is a relatively common disorder. Thin basement membrane nephropathy (tbmn), also. Thin Basement Membrane Disease Example.
From basement-tips.blogspot.com
20 Images Thin Glomerular Basement Membrane Disease basement tips Thin Basement Membrane Disease Example It is often familial (probably with autosomal dominant inheritance 419 ) and. Thin basement membrane nephropathy (tbmn) is the most common cause of persistent hematuria in children and adults, the other main causes. Thin basement membrane nephropathy (tbmn) is the most common cause of persistent glomerular bleeding. Thin basement membrane disease is a relatively common disorder. Hereditary nephritis (hn) and. Thin Basement Membrane Disease Example.
From www.researchgate.net
(PDF) A case report of thin basement membrane nephropathy Thin Basement Membrane Disease Example Thin basement membrane nephropathy (tbmn) is the most common cause of persistent glomerular bleeding. Thin basement membrane disease (tbmd) is an inherited disorder that mainly affects the glomeruli, which are tiny tufts of. Hereditary nephritis (hn) and thin glomerular basement membrane (gbm) lesion share a common clinical presentation of. It is often familial (probably with autosomal dominant inheritance 419 ). Thin Basement Membrane Disease Example.
From www.youtube.com
Thin Basement Membrane Disease with Minimal Change Disease Poster Thin Basement Membrane Disease Example Thin basement membrane nephropathy (tbmn) is the most common cause of persistent glomerular bleeding. Thin basement membrane nephropathy (tbmn), also known as thin basement membrane disease, is a. It is often familial (probably with autosomal dominant inheritance 419 ) and. Hereditary nephritis (hn) and thin glomerular basement membrane (gbm) lesion share a common clinical presentation of. Thin basement membrane disease. Thin Basement Membrane Disease Example.
From www.openbasement.com
What Is Thin Basement Membrane Disease Openbasement Thin Basement Membrane Disease Example Thin basement membrane disease (tbmd) is an inherited disorder that mainly affects the glomeruli, which are tiny tufts of. Thin basement membrane nephropathy (tbmn) is the most common cause of persistent glomerular bleeding. Thin basement membrane nephropathy (tbmn), also known as thin basement membrane disease, is a. Hereditary nephritis (hn) and thin glomerular basement membrane (gbm) lesion share a common. Thin Basement Membrane Disease Example.
From www.ajkd.org
AJKD Atlas of Renal Pathology Thin Basement Membrane Lesion American Thin Basement Membrane Disease Example Thin basement membrane disease (tbmd) is an inherited disorder that mainly affects the glomeruli, which are tiny tufts of. Thin basement membrane disease is a relatively common disorder. Hereditary nephritis (hn) and thin glomerular basement membrane (gbm) lesion share a common clinical presentation of. Thin basement membrane nephropathy (tbmn) is the most common cause of persistent glomerular bleeding. Thin basement. Thin Basement Membrane Disease Example.
From www.researchgate.net
(PDF) Clinical and morphological aspects of thin glomerular basement Thin Basement Membrane Disease Example Thin basement membrane disease is a relatively common disorder. It is often familial (probably with autosomal dominant inheritance 419 ) and. Thin basement membrane disease (tbmd) is an inherited disorder that mainly affects the glomeruli, which are tiny tufts of. Thin basement membrane nephropathy (tbmn), also known as thin basement membrane disease, is a. Hereditary nephritis (hn) and thin glomerular. Thin Basement Membrane Disease Example.
From www.openbasement.com
What Is Thin Basement Membrane Disease Openbasement Thin Basement Membrane Disease Example Thin basement membrane nephropathy (tbmn) is the most common cause of persistent glomerular bleeding. Thin basement membrane disease is a relatively common disorder. Thin basement membrane disease (tbmd) is an inherited disorder that mainly affects the glomeruli, which are tiny tufts of. Hereditary nephritis (hn) and thin glomerular basement membrane (gbm) lesion share a common clinical presentation of. Thin basement. Thin Basement Membrane Disease Example.
From www.wikidoc.org
Thin basement membrane disease biopsy wikidoc Thin Basement Membrane Disease Example Thin basement membrane nephropathy (tbmn) is the most common cause of persistent glomerular bleeding. Thin basement membrane disease (tbmd) is an inherited disorder that mainly affects the glomeruli, which are tiny tufts of. Thin basement membrane nephropathy (tbmn), also known as thin basement membrane disease, is a. Thin basement membrane nephropathy (tbmn) is the most common cause of persistent hematuria. Thin Basement Membrane Disease Example.
From www.ajkd.org
AJKD Atlas of Renal Pathology Thin Basement Membrane Lesion American Thin Basement Membrane Disease Example It is often familial (probably with autosomal dominant inheritance 419 ) and. Thin basement membrane disease is a relatively common disorder. Thin basement membrane nephropathy (tbmn) is the most common cause of persistent hematuria in children and adults, the other main causes. Thin basement membrane nephropathy (tbmn) is the most common cause of persistent glomerular bleeding. Thin basement membrane nephropathy. Thin Basement Membrane Disease Example.
From www.researchgate.net
Thin basement membrane disease. Lamina densa... Download Scientific Thin Basement Membrane Disease Example Thin basement membrane disease is a relatively common disorder. Thin basement membrane nephropathy (tbmn), also known as thin basement membrane disease, is a. It is often familial (probably with autosomal dominant inheritance 419 ) and. Thin basement membrane disease (tbmd) is an inherited disorder that mainly affects the glomeruli, which are tiny tufts of. Thin basement membrane nephropathy (tbmn) is. Thin Basement Membrane Disease Example.
From www.semanticscholar.org
Table 1 from An Overlapping Case of Alport Syndrome and Thin Basement Thin Basement Membrane Disease Example Thin basement membrane disease (tbmd) is an inherited disorder that mainly affects the glomeruli, which are tiny tufts of. It is often familial (probably with autosomal dominant inheritance 419 ) and. Thin basement membrane nephropathy (tbmn) is the most common cause of persistent glomerular bleeding. Thin basement membrane nephropathy (tbmn) is the most common cause of persistent hematuria in children. Thin Basement Membrane Disease Example.
From www.openbasement.com
Thin Basement Membrane Disease Complications Openbasement Thin Basement Membrane Disease Example Thin basement membrane nephropathy (tbmn), also known as thin basement membrane disease, is a. Thin basement membrane nephropathy (tbmn) is the most common cause of persistent glomerular bleeding. Thin basement membrane disease is a relatively common disorder. Thin basement membrane nephropathy (tbmn) is the most common cause of persistent hematuria in children and adults, the other main causes. Hereditary nephritis. Thin Basement Membrane Disease Example.
From www.openbasement.com
Thin Basement Membrane Disease Complications Openbasement Thin Basement Membrane Disease Example It is often familial (probably with autosomal dominant inheritance 419 ) and. Thin basement membrane disease is a relatively common disorder. Thin basement membrane nephropathy (tbmn), also known as thin basement membrane disease, is a. Thin basement membrane disease (tbmd) is an inherited disorder that mainly affects the glomeruli, which are tiny tufts of. Thin basement membrane nephropathy (tbmn) is. Thin Basement Membrane Disease Example.
From bjo.bmj.com
Ocular abnormalities in thin basement membrane disease British Thin Basement Membrane Disease Example Thin basement membrane nephropathy (tbmn) is the most common cause of persistent hematuria in children and adults, the other main causes. Thin basement membrane nephropathy (tbmn) is the most common cause of persistent glomerular bleeding. It is often familial (probably with autosomal dominant inheritance 419 ) and. Thin basement membrane nephropathy (tbmn), also known as thin basement membrane disease, is. Thin Basement Membrane Disease Example.