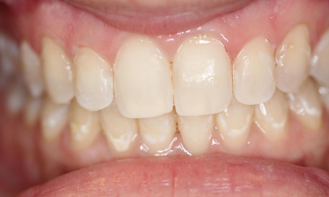
What Causes White Lines On Teeth . In this comprehensive guide, we’ll explore the causes of white lines and spots on teeth, including white lines on teeth near gums and white lines in teeth, and. Most of the craze lines in teeth are only visible up close. Craze lines are hairline cracks in teeth. Instead, craze lines are small spilts on the tooth, and are hard to get rid of. Craze lines are small vertical cracks in the enamel of your teeth. Craze lines are tiny, hairline cracks on teeth that run vertically (up and down) across the surface. They don’t often turn into deep cracks, and are considered cosmetic in nature. But they can lead to. They aren’t painful, but they can be unsightly. craze lines. In this article, we will discuss the potential causes of white horizontal lines on teeth and the different solutions to restore your natural, confident smile. Craze lines, caused sometimes by grinding teeth or an uneven bite, are not a sign of tooth decay or serious dental issues.
from www.pickettfamilydental.com
They don’t often turn into deep cracks, and are considered cosmetic in nature. Instead, craze lines are small spilts on the tooth, and are hard to get rid of. In this article, we will discuss the potential causes of white horizontal lines on teeth and the different solutions to restore your natural, confident smile. They aren’t painful, but they can be unsightly. craze lines. Craze lines are tiny, hairline cracks on teeth that run vertically (up and down) across the surface. Craze lines are small vertical cracks in the enamel of your teeth. Craze lines, caused sometimes by grinding teeth or an uneven bite, are not a sign of tooth decay or serious dental issues. Craze lines are hairline cracks in teeth. In this comprehensive guide, we’ll explore the causes of white lines and spots on teeth, including white lines on teeth near gums and white lines in teeth, and. But they can lead to.
Causes of Stains on Teeth Pickett Family Dental
What Causes White Lines On Teeth Craze lines are tiny, hairline cracks on teeth that run vertically (up and down) across the surface. Most of the craze lines in teeth are only visible up close. Craze lines, caused sometimes by grinding teeth or an uneven bite, are not a sign of tooth decay or serious dental issues. Instead, craze lines are small spilts on the tooth, and are hard to get rid of. But they can lead to. In this comprehensive guide, we’ll explore the causes of white lines and spots on teeth, including white lines on teeth near gums and white lines in teeth, and. Craze lines are tiny, hairline cracks on teeth that run vertically (up and down) across the surface. In this article, we will discuss the potential causes of white horizontal lines on teeth and the different solutions to restore your natural, confident smile. They aren’t painful, but they can be unsightly. craze lines. They don’t often turn into deep cracks, and are considered cosmetic in nature. Craze lines are hairline cracks in teeth. Craze lines are small vertical cracks in the enamel of your teeth.
From suredental.com.au
What Are the Lines on the Front of My Teeth? Sure Dental What Causes White Lines On Teeth Craze lines, caused sometimes by grinding teeth or an uneven bite, are not a sign of tooth decay or serious dental issues. Instead, craze lines are small spilts on the tooth, and are hard to get rid of. They don’t often turn into deep cracks, and are considered cosmetic in nature. Craze lines are small vertical cracks in the enamel. What Causes White Lines On Teeth.
From teethwalls.blogspot.com
White Lines On Teeth By Gums TeethWalls What Causes White Lines On Teeth But they can lead to. Most of the craze lines in teeth are only visible up close. In this comprehensive guide, we’ll explore the causes of white lines and spots on teeth, including white lines on teeth near gums and white lines in teeth, and. They don’t often turn into deep cracks, and are considered cosmetic in nature. Craze lines. What Causes White Lines On Teeth.
From teethwalls.blogspot.com
White Lines On Teeth By Gums TeethWalls What Causes White Lines On Teeth Craze lines, caused sometimes by grinding teeth or an uneven bite, are not a sign of tooth decay or serious dental issues. But they can lead to. Instead, craze lines are small spilts on the tooth, and are hard to get rid of. Most of the craze lines in teeth are only visible up close. In this comprehensive guide, we’ll. What Causes White Lines On Teeth.
From trustdentalcare.com
What do White Spots on Your Teeth Mean? (How to Get Rid of Them) What Causes White Lines On Teeth Craze lines, caused sometimes by grinding teeth or an uneven bite, are not a sign of tooth decay or serious dental issues. In this article, we will discuss the potential causes of white horizontal lines on teeth and the different solutions to restore your natural, confident smile. Craze lines are small vertical cracks in the enamel of your teeth. Craze. What Causes White Lines On Teeth.
From topsmiledentalclinic.com
Understanding White Lines and Spots on Teeth Top Smile Dental Clinic What Causes White Lines On Teeth Craze lines are hairline cracks in teeth. Craze lines are small vertical cracks in the enamel of your teeth. They don’t often turn into deep cracks, and are considered cosmetic in nature. In this comprehensive guide, we’ll explore the causes of white lines and spots on teeth, including white lines on teeth near gums and white lines in teeth, and.. What Causes White Lines On Teeth.
From www.youtube.com
What Causes White Spots on Teeth and How to Get Rid of Them! YouTube What Causes White Lines On Teeth Craze lines are tiny, hairline cracks on teeth that run vertically (up and down) across the surface. Instead, craze lines are small spilts on the tooth, and are hard to get rid of. In this comprehensive guide, we’ll explore the causes of white lines and spots on teeth, including white lines on teeth near gums and white lines in teeth,. What Causes White Lines On Teeth.
From trustdentalcare.com
What do White Spots on Your Teeth Mean? (How to Get Rid of Them) What Causes White Lines On Teeth They aren’t painful, but they can be unsightly. craze lines. Craze lines are hairline cracks in teeth. In this article, we will discuss the potential causes of white horizontal lines on teeth and the different solutions to restore your natural, confident smile. Craze lines are tiny, hairline cracks on teeth that run vertically (up and down) across the surface. Instead,. What Causes White Lines On Teeth.
From puredentistry.blogspot.com
Pure Dentistry Decalcification "White Spots" What Causes White Lines On Teeth In this article, we will discuss the potential causes of white horizontal lines on teeth and the different solutions to restore your natural, confident smile. Craze lines are tiny, hairline cracks on teeth that run vertically (up and down) across the surface. But they can lead to. They aren’t painful, but they can be unsightly. craze lines. Craze lines are. What Causes White Lines On Teeth.
From teethposter.blogspot.com
What Causes Horizontal Lines In Teeth Teeth Poster What Causes White Lines On Teeth They don’t often turn into deep cracks, and are considered cosmetic in nature. Most of the craze lines in teeth are only visible up close. Craze lines are tiny, hairline cracks on teeth that run vertically (up and down) across the surface. Craze lines are hairline cracks in teeth. Instead, craze lines are small spilts on the tooth, and are. What Causes White Lines On Teeth.
From www.tooth-life.com
Horizontal White Lines on Teeth What Exactly Are They? What Causes White Lines On Teeth In this article, we will discuss the potential causes of white horizontal lines on teeth and the different solutions to restore your natural, confident smile. They don’t often turn into deep cracks, and are considered cosmetic in nature. Most of the craze lines in teeth are only visible up close. Instead, craze lines are small spilts on the tooth, and. What Causes White Lines On Teeth.
From smilestories.co
Our Guide to White Spots on Teeth Smile Stories What Causes White Lines On Teeth Most of the craze lines in teeth are only visible up close. They aren’t painful, but they can be unsightly. craze lines. In this article, we will discuss the potential causes of white horizontal lines on teeth and the different solutions to restore your natural, confident smile. They don’t often turn into deep cracks, and are considered cosmetic in nature.. What Causes White Lines On Teeth.
From www.medicalnewstoday.com
White spots on teeth 11 tips on how to get rid of them What Causes White Lines On Teeth They don’t often turn into deep cracks, and are considered cosmetic in nature. Craze lines, caused sometimes by grinding teeth or an uneven bite, are not a sign of tooth decay or serious dental issues. Craze lines are tiny, hairline cracks on teeth that run vertically (up and down) across the surface. Craze lines are small vertical cracks in the. What Causes White Lines On Teeth.
From blog.smarthealthshop.com
White Line on Gums Below Teeth Unveiling the Mystery Smart Health Shop What Causes White Lines On Teeth They aren’t painful, but they can be unsightly. craze lines. Craze lines, caused sometimes by grinding teeth or an uneven bite, are not a sign of tooth decay or serious dental issues. Craze lines are tiny, hairline cracks on teeth that run vertically (up and down) across the surface. They don’t often turn into deep cracks, and are considered cosmetic. What Causes White Lines On Teeth.
From teethwalls.blogspot.com
Horizontal White Lines On Teeth TeethWalls What Causes White Lines On Teeth Craze lines are tiny, hairline cracks on teeth that run vertically (up and down) across the surface. Craze lines, caused sometimes by grinding teeth or an uneven bite, are not a sign of tooth decay or serious dental issues. They aren’t painful, but they can be unsightly. craze lines. In this comprehensive guide, we’ll explore the causes of white lines. What Causes White Lines On Teeth.
From lafayettedentistchauvin.com
How to get rid of white spots on your teeth Dr Chauvin What Causes White Lines On Teeth Instead, craze lines are small spilts on the tooth, and are hard to get rid of. They don’t often turn into deep cracks, and are considered cosmetic in nature. Most of the craze lines in teeth are only visible up close. Craze lines are small vertical cracks in the enamel of your teeth. Craze lines are tiny, hairline cracks on. What Causes White Lines On Teeth.
From hancockvillagedental.com
Different Types Of White Spots on Teeth and What They Mean Hancock What Causes White Lines On Teeth But they can lead to. Craze lines are hairline cracks in teeth. They aren’t painful, but they can be unsightly. craze lines. In this comprehensive guide, we’ll explore the causes of white lines and spots on teeth, including white lines on teeth near gums and white lines in teeth, and. Craze lines are tiny, hairline cracks on teeth that run. What Causes White Lines On Teeth.
From teethwalls.blogspot.com
White Lines On Teeth Near Gums TeethWalls What Causes White Lines On Teeth Most of the craze lines in teeth are only visible up close. Craze lines are small vertical cracks in the enamel of your teeth. Craze lines are hairline cracks in teeth. They don’t often turn into deep cracks, and are considered cosmetic in nature. In this article, we will discuss the potential causes of white horizontal lines on teeth and. What Causes White Lines On Teeth.
From www.lighthousedentalcentre.com
101 Guide to What Causes White Spots on Teeth What Causes White Lines On Teeth But they can lead to. They aren’t painful, but they can be unsightly. craze lines. Craze lines are hairline cracks in teeth. They don’t often turn into deep cracks, and are considered cosmetic in nature. In this comprehensive guide, we’ll explore the causes of white lines and spots on teeth, including white lines on teeth near gums and white lines. What Causes White Lines On Teeth.
From www.bauersmiles.com
White spots teeth? What are they and how do you get rid of them? What Causes White Lines On Teeth They don’t often turn into deep cracks, and are considered cosmetic in nature. Craze lines are tiny, hairline cracks on teeth that run vertically (up and down) across the surface. They aren’t painful, but they can be unsightly. craze lines. Instead, craze lines are small spilts on the tooth, and are hard to get rid of. Most of the craze. What Causes White Lines On Teeth.
From www.meyarn.dk
What to Do About Craze Lines on Teeth MEYARN Oral Care What Causes White Lines On Teeth Craze lines are small vertical cracks in the enamel of your teeth. Most of the craze lines in teeth are only visible up close. Craze lines are hairline cracks in teeth. In this comprehensive guide, we’ll explore the causes of white lines and spots on teeth, including white lines on teeth near gums and white lines in teeth, and. They. What Causes White Lines On Teeth.
From kuipersortho.com
All About White Lines on Teeth (Fluorosis And Craze Lines) What Causes White Lines On Teeth Most of the craze lines in teeth are only visible up close. Craze lines are hairline cracks in teeth. They aren’t painful, but they can be unsightly. craze lines. Instead, craze lines are small spilts on the tooth, and are hard to get rid of. But they can lead to. Craze lines are small vertical cracks in the enamel of. What Causes White Lines On Teeth.
From teethwalls.blogspot.com
Horizontal White Lines On Teeth TeethWalls What Causes White Lines On Teeth But they can lead to. Craze lines, caused sometimes by grinding teeth or an uneven bite, are not a sign of tooth decay or serious dental issues. Craze lines are hairline cracks in teeth. They aren’t painful, but they can be unsightly. craze lines. Most of the craze lines in teeth are only visible up close. Instead, craze lines are. What Causes White Lines On Teeth.
From www.timberlakedental.com
White Spots on Your Teeth? Here’s What You Need to Know! What Causes White Lines On Teeth Instead, craze lines are small spilts on the tooth, and are hard to get rid of. They don’t often turn into deep cracks, and are considered cosmetic in nature. Craze lines are small vertical cracks in the enamel of your teeth. In this comprehensive guide, we’ll explore the causes of white lines and spots on teeth, including white lines on. What Causes White Lines On Teeth.
From dentalpickup.com
White Spots On Teeth Causes and How to Quickly Treat Them What Causes White Lines On Teeth Craze lines are hairline cracks in teeth. They aren’t painful, but they can be unsightly. craze lines. In this article, we will discuss the potential causes of white horizontal lines on teeth and the different solutions to restore your natural, confident smile. Craze lines, caused sometimes by grinding teeth or an uneven bite, are not a sign of tooth decay. What Causes White Lines On Teeth.
From yourdentalhealthresource.com
Do You Have White Spots on Your Teeth? Your Dental Health Resource What Causes White Lines On Teeth In this article, we will discuss the potential causes of white horizontal lines on teeth and the different solutions to restore your natural, confident smile. They don’t often turn into deep cracks, and are considered cosmetic in nature. In this comprehensive guide, we’ll explore the causes of white lines and spots on teeth, including white lines on teeth near gums. What Causes White Lines On Teeth.
From drmiski.com
CAUSES OF WHITE SPOTS ON YOUR TEETH? Dr. Miski What Causes White Lines On Teeth Craze lines are hairline cracks in teeth. They don’t often turn into deep cracks, and are considered cosmetic in nature. Most of the craze lines in teeth are only visible up close. Craze lines, caused sometimes by grinding teeth or an uneven bite, are not a sign of tooth decay or serious dental issues. In this comprehensive guide, we’ll explore. What Causes White Lines On Teeth.
From www.thedentalstudio.ae
What are the white spots on my baby’s teeth? Dental Studio What Causes White Lines On Teeth In this comprehensive guide, we’ll explore the causes of white lines and spots on teeth, including white lines on teeth near gums and white lines in teeth, and. Craze lines are hairline cracks in teeth. They aren’t painful, but they can be unsightly. craze lines. They don’t often turn into deep cracks, and are considered cosmetic in nature. Craze lines. What Causes White Lines On Teeth.
From teethwalls.blogspot.com
White Lines On Teeth By Gums TeethWalls What Causes White Lines On Teeth But they can lead to. In this article, we will discuss the potential causes of white horizontal lines on teeth and the different solutions to restore your natural, confident smile. In this comprehensive guide, we’ll explore the causes of white lines and spots on teeth, including white lines on teeth near gums and white lines in teeth, and. They don’t. What Causes White Lines On Teeth.
From toothtruthtoday.com
What Are Teeth Craze Lines? Treatment, Causes & Prevention Tooth Truth What Causes White Lines On Teeth Craze lines are hairline cracks in teeth. Craze lines, caused sometimes by grinding teeth or an uneven bite, are not a sign of tooth decay or serious dental issues. Craze lines are small vertical cracks in the enamel of your teeth. Most of the craze lines in teeth are only visible up close. But they can lead to. They don’t. What Causes White Lines On Teeth.
From orthodonticbracescare.com
White Spots On Teeth After Braces Causes, How to fix Orthodontic What Causes White Lines On Teeth Craze lines, caused sometimes by grinding teeth or an uneven bite, are not a sign of tooth decay or serious dental issues. Craze lines are tiny, hairline cracks on teeth that run vertically (up and down) across the surface. In this article, we will discuss the potential causes of white horizontal lines on teeth and the different solutions to restore. What Causes White Lines On Teeth.
From mcomiedentistry.com
Teeth Have White Spots? What Can Be Done? Dentistry What Causes White Lines On Teeth In this comprehensive guide, we’ll explore the causes of white lines and spots on teeth, including white lines on teeth near gums and white lines in teeth, and. Instead, craze lines are small spilts on the tooth, and are hard to get rid of. Craze lines are tiny, hairline cracks on teeth that run vertically (up and down) across the. What Causes White Lines On Teeth.
From www.leesimondds.com
Eleven tips to treat white spots on teeth Lee Simon What Causes White Lines On Teeth In this article, we will discuss the potential causes of white horizontal lines on teeth and the different solutions to restore your natural, confident smile. They don’t often turn into deep cracks, and are considered cosmetic in nature. Craze lines are small vertical cracks in the enamel of your teeth. Craze lines are hairline cracks in teeth. Craze lines, caused. What Causes White Lines On Teeth.
From www.healthline.com
White Gums Causes, Treatments, and More What Causes White Lines On Teeth But they can lead to. Craze lines are small vertical cracks in the enamel of your teeth. In this article, we will discuss the potential causes of white horizontal lines on teeth and the different solutions to restore your natural, confident smile. Craze lines are hairline cracks in teeth. They aren’t painful, but they can be unsightly. craze lines. Craze. What Causes White Lines On Teeth.
From www.tooth-life.com
Horizontal White Lines on Teeth What Exactly Are They? What Causes White Lines On Teeth But they can lead to. Most of the craze lines in teeth are only visible up close. Craze lines are tiny, hairline cracks on teeth that run vertically (up and down) across the surface. Craze lines are hairline cracks in teeth. Craze lines, caused sometimes by grinding teeth or an uneven bite, are not a sign of tooth decay or. What Causes White Lines On Teeth.
From www.pickettfamilydental.com
Causes of Stains on Teeth Pickett Family Dental What Causes White Lines On Teeth Craze lines are small vertical cracks in the enamel of your teeth. In this article, we will discuss the potential causes of white horizontal lines on teeth and the different solutions to restore your natural, confident smile. Craze lines are tiny, hairline cracks on teeth that run vertically (up and down) across the surface. They don’t often turn into deep. What Causes White Lines On Teeth.