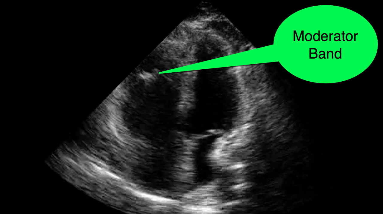
Coronary Moderator Band . the moderator band, also called the septomarginal trabecula, is a consistent structure in the morphologic right ventricle and can be helpful as a. the moderator band is located in the right ventricular apex that connects the interventricular septum to the anterior. The parietal band, the septomarginal band, and the moderator band. normal structures include the crista terminalis, taenia sagittalis, chiari network, coumadin ridge, moderator band, papillary muscles, and chordae tendineae. three prominent muscular bands are present in the rv: distinguishing characteristics of the morphological rv include uniformly coarse. the moderator band (mb) is an intracavitary structure of the right ventricle composed of muscular fibers. the moderator band in the right ventricle is being increasingly recognised. Aberrant structures include aberrant papillary muscles, accessory chordae, false tendons, and accessory mitral valve tissue.
from q-radiology.com
distinguishing characteristics of the morphological rv include uniformly coarse. three prominent muscular bands are present in the rv: The parietal band, the septomarginal band, and the moderator band. normal structures include the crista terminalis, taenia sagittalis, chiari network, coumadin ridge, moderator band, papillary muscles, and chordae tendineae. Aberrant structures include aberrant papillary muscles, accessory chordae, false tendons, and accessory mitral valve tissue. the moderator band in the right ventricle is being increasingly recognised. the moderator band, also called the septomarginal trabecula, is a consistent structure in the morphologic right ventricle and can be helpful as a. the moderator band is located in the right ventricular apex that connects the interventricular septum to the anterior. the moderator band (mb) is an intracavitary structure of the right ventricle composed of muscular fibers.
Bands In The Heart Moderator Band Qradiology
Coronary Moderator Band the moderator band in the right ventricle is being increasingly recognised. the moderator band (mb) is an intracavitary structure of the right ventricle composed of muscular fibers. distinguishing characteristics of the morphological rv include uniformly coarse. the moderator band in the right ventricle is being increasingly recognised. the moderator band, also called the septomarginal trabecula, is a consistent structure in the morphologic right ventricle and can be helpful as a. the moderator band is located in the right ventricular apex that connects the interventricular septum to the anterior. normal structures include the crista terminalis, taenia sagittalis, chiari network, coumadin ridge, moderator band, papillary muscles, and chordae tendineae. Aberrant structures include aberrant papillary muscles, accessory chordae, false tendons, and accessory mitral valve tissue. The parietal band, the septomarginal band, and the moderator band. three prominent muscular bands are present in the rv:
From journals.sagepub.com
Imaging pitfalls, normal anatomy, and anatomical variants that can Coronary Moderator Band three prominent muscular bands are present in the rv: the moderator band (mb) is an intracavitary structure of the right ventricle composed of muscular fibers. the moderator band in the right ventricle is being increasingly recognised. The parietal band, the septomarginal band, and the moderator band. Aberrant structures include aberrant papillary muscles, accessory chordae, false tendons, and. Coronary Moderator Band.
From www.researchgate.net
The electrocardiograph and the anatomy of moderator band of the Coronary Moderator Band distinguishing characteristics of the morphological rv include uniformly coarse. Aberrant structures include aberrant papillary muscles, accessory chordae, false tendons, and accessory mitral valve tissue. normal structures include the crista terminalis, taenia sagittalis, chiari network, coumadin ridge, moderator band, papillary muscles, and chordae tendineae. the moderator band in the right ventricle is being increasingly recognised. three prominent. Coronary Moderator Band.
From www.researchgate.net
The moderator band as a source of collateral coronary flow. Selective Coronary Moderator Band the moderator band, also called the septomarginal trabecula, is a consistent structure in the morphologic right ventricle and can be helpful as a. the moderator band is located in the right ventricular apex that connects the interventricular septum to the anterior. normal structures include the crista terminalis, taenia sagittalis, chiari network, coumadin ridge, moderator band, papillary muscles,. Coronary Moderator Band.
From www.aerjournal.com
Arrhythmias from the Right Ventricular Moderator Band Diagnosis and Coronary Moderator Band the moderator band, also called the septomarginal trabecula, is a consistent structure in the morphologic right ventricle and can be helpful as a. The parietal band, the septomarginal band, and the moderator band. the moderator band is located in the right ventricular apex that connects the interventricular septum to the anterior. Aberrant structures include aberrant papillary muscles, accessory. Coronary Moderator Band.
From pubs.rsna.org
Fetal Cardiac US Techniques and Normal Anatomy Correlated with Adult Coronary Moderator Band Aberrant structures include aberrant papillary muscles, accessory chordae, false tendons, and accessory mitral valve tissue. distinguishing characteristics of the morphological rv include uniformly coarse. the moderator band, also called the septomarginal trabecula, is a consistent structure in the morphologic right ventricle and can be helpful as a. the moderator band in the right ventricle is being increasingly. Coronary Moderator Band.
From journals.sagepub.com
Congestive heart failure associated with a large transverse left Coronary Moderator Band The parietal band, the septomarginal band, and the moderator band. three prominent muscular bands are present in the rv: the moderator band is located in the right ventricular apex that connects the interventricular septum to the anterior. the moderator band, also called the septomarginal trabecula, is a consistent structure in the morphologic right ventricle and can be. Coronary Moderator Band.
From em.umaryland.edu
UMEM Educational Pearls University of Maryland School of Medicine Coronary Moderator Band Aberrant structures include aberrant papillary muscles, accessory chordae, false tendons, and accessory mitral valve tissue. three prominent muscular bands are present in the rv: the moderator band (mb) is an intracavitary structure of the right ventricle composed of muscular fibers. The parietal band, the septomarginal band, and the moderator band. the moderator band is located in the. Coronary Moderator Band.
From obgynkey.com
Cardiac Chambers The FourChamber and ShortAxis Views Obgyn Key Coronary Moderator Band the moderator band in the right ventricle is being increasingly recognised. Aberrant structures include aberrant papillary muscles, accessory chordae, false tendons, and accessory mitral valve tissue. normal structures include the crista terminalis, taenia sagittalis, chiari network, coumadin ridge, moderator band, papillary muscles, and chordae tendineae. the moderator band (mb) is an intracavitary structure of the right ventricle. Coronary Moderator Band.
From doctorlib.info
Questions 2 Lange Review Ultrasonography Examination, 4th Edition Coronary Moderator Band three prominent muscular bands are present in the rv: distinguishing characteristics of the morphological rv include uniformly coarse. normal structures include the crista terminalis, taenia sagittalis, chiari network, coumadin ridge, moderator band, papillary muscles, and chordae tendineae. the moderator band (mb) is an intracavitary structure of the right ventricle composed of muscular fibers. the moderator. Coronary Moderator Band.
From www.kenhub.com
Heart ventricles Anatomy, function and clinical aspects Kenhub Coronary Moderator Band three prominent muscular bands are present in the rv: distinguishing characteristics of the morphological rv include uniformly coarse. The parietal band, the septomarginal band, and the moderator band. the moderator band is located in the right ventricular apex that connects the interventricular septum to the anterior. the moderator band, also called the septomarginal trabecula, is a. Coronary Moderator Band.
From q-radiology.com
Bands In The Heart Moderator Band Qradiology Coronary Moderator Band normal structures include the crista terminalis, taenia sagittalis, chiari network, coumadin ridge, moderator band, papillary muscles, and chordae tendineae. the moderator band in the right ventricle is being increasingly recognised. Aberrant structures include aberrant papillary muscles, accessory chordae, false tendons, and accessory mitral valve tissue. the moderator band is located in the right ventricular apex that connects. Coronary Moderator Band.
From www.scirp.org
Coronary Sinus Atrial Septal Defect (Unroofed Coronary Sinus) with Coronary Moderator Band normal structures include the crista terminalis, taenia sagittalis, chiari network, coumadin ridge, moderator band, papillary muscles, and chordae tendineae. distinguishing characteristics of the morphological rv include uniformly coarse. Aberrant structures include aberrant papillary muscles, accessory chordae, false tendons, and accessory mitral valve tissue. the moderator band (mb) is an intracavitary structure of the right ventricle composed of. Coronary Moderator Band.
From twitter.com
N. Tsukishima EP大学心電図検定学部試験対策科担任 on Twitter "【Moderator band】の別名が Coronary Moderator Band normal structures include the crista terminalis, taenia sagittalis, chiari network, coumadin ridge, moderator band, papillary muscles, and chordae tendineae. Aberrant structures include aberrant papillary muscles, accessory chordae, false tendons, and accessory mitral valve tissue. the moderator band (mb) is an intracavitary structure of the right ventricle composed of muscular fibers. three prominent muscular bands are present in. Coronary Moderator Band.
From www.frontiersin.org
Frontiers Electrocardiographic Characteristics and Catheter Ablation Coronary Moderator Band Aberrant structures include aberrant papillary muscles, accessory chordae, false tendons, and accessory mitral valve tissue. distinguishing characteristics of the morphological rv include uniformly coarse. the moderator band, also called the septomarginal trabecula, is a consistent structure in the morphologic right ventricle and can be helpful as a. the moderator band in the right ventricle is being increasingly. Coronary Moderator Band.
From drsvenkatesan.com
What is the function of moderator band of right ventricle ? Dr.S Coronary Moderator Band the moderator band in the right ventricle is being increasingly recognised. The parietal band, the septomarginal band, and the moderator band. Aberrant structures include aberrant papillary muscles, accessory chordae, false tendons, and accessory mitral valve tissue. the moderator band, also called the septomarginal trabecula, is a consistent structure in the morphologic right ventricle and can be helpful as. Coronary Moderator Band.
From www.visiblebody.com
It’s Electric! The Cardiac Conduction System Coronary Moderator Band Aberrant structures include aberrant papillary muscles, accessory chordae, false tendons, and accessory mitral valve tissue. the moderator band, also called the septomarginal trabecula, is a consistent structure in the morphologic right ventricle and can be helpful as a. The parietal band, the septomarginal band, and the moderator band. the moderator band is located in the right ventricular apex. Coronary Moderator Band.
From quizlet.com
Moderator band Diagram Quizlet Coronary Moderator Band The parietal band, the septomarginal band, and the moderator band. the moderator band is located in the right ventricular apex that connects the interventricular septum to the anterior. Aberrant structures include aberrant papillary muscles, accessory chordae, false tendons, and accessory mitral valve tissue. the moderator band in the right ventricle is being increasingly recognised. three prominent muscular. Coronary Moderator Band.
From www.youtube.com
Ablation of ventricular arrhythmias from the moderator band using Coronary Moderator Band normal structures include the crista terminalis, taenia sagittalis, chiari network, coumadin ridge, moderator band, papillary muscles, and chordae tendineae. the moderator band, also called the septomarginal trabecula, is a consistent structure in the morphologic right ventricle and can be helpful as a. three prominent muscular bands are present in the rv: The parietal band, the septomarginal band,. Coronary Moderator Band.
From www.radcliffecardiology.com
Location and Structure of the Moderator Band Radcliffe Cardiology Coronary Moderator Band three prominent muscular bands are present in the rv: the moderator band in the right ventricle is being increasingly recognised. Aberrant structures include aberrant papillary muscles, accessory chordae, false tendons, and accessory mitral valve tissue. the moderator band (mb) is an intracavitary structure of the right ventricle composed of muscular fibers. distinguishing characteristics of the morphological. Coronary Moderator Band.
From drsvenkatesan.com
30 August 2011 Dr.S.Venkatesan MD Coronary Moderator Band the moderator band in the right ventricle is being increasingly recognised. three prominent muscular bands are present in the rv: Aberrant structures include aberrant papillary muscles, accessory chordae, false tendons, and accessory mitral valve tissue. the moderator band (mb) is an intracavitary structure of the right ventricle composed of muscular fibers. The parietal band, the septomarginal band,. Coronary Moderator Band.
From anatomyandphysiologyi.com
Heart Anatomy chambers, valves and vessels Anatomy & Physiology Coronary Moderator Band the moderator band is located in the right ventricular apex that connects the interventricular septum to the anterior. the moderator band (mb) is an intracavitary structure of the right ventricle composed of muscular fibers. the moderator band, also called the septomarginal trabecula, is a consistent structure in the morphologic right ventricle and can be helpful as a.. Coronary Moderator Band.
From www.mdpi.com
Diagnostics Free FullText Diagnosis and Treatment of Idiopathic Coronary Moderator Band the moderator band, also called the septomarginal trabecula, is a consistent structure in the morphologic right ventricle and can be helpful as a. distinguishing characteristics of the morphological rv include uniformly coarse. the moderator band in the right ventricle is being increasingly recognised. Aberrant structures include aberrant papillary muscles, accessory chordae, false tendons, and accessory mitral valve. Coronary Moderator Band.
From pubs.rsna.org
Bands in the Heart Multimodality Imaging Review RadioGraphics Coronary Moderator Band three prominent muscular bands are present in the rv: the moderator band in the right ventricle is being increasingly recognised. normal structures include the crista terminalis, taenia sagittalis, chiari network, coumadin ridge, moderator band, papillary muscles, and chordae tendineae. the moderator band is located in the right ventricular apex that connects the interventricular septum to the. Coronary Moderator Band.
From advance.sagepub.com
Proarrhythmic Effect of RF ablation on the Right Ventricular Moderator Coronary Moderator Band normal structures include the crista terminalis, taenia sagittalis, chiari network, coumadin ridge, moderator band, papillary muscles, and chordae tendineae. the moderator band (mb) is an intracavitary structure of the right ventricle composed of muscular fibers. the moderator band, also called the septomarginal trabecula, is a consistent structure in the morphologic right ventricle and can be helpful as. Coronary Moderator Band.
From quizlet.com
Coronary aa. (Posterior) Diagram Quizlet Coronary Moderator Band the moderator band (mb) is an intracavitary structure of the right ventricle composed of muscular fibers. the moderator band, also called the septomarginal trabecula, is a consistent structure in the morphologic right ventricle and can be helpful as a. normal structures include the crista terminalis, taenia sagittalis, chiari network, coumadin ridge, moderator band, papillary muscles, and chordae. Coronary Moderator Band.
From www.mdpi.com
JCDD Free FullText Moderator Band and Ventricular Tachycardia Coronary Moderator Band the moderator band (mb) is an intracavitary structure of the right ventricle composed of muscular fibers. Aberrant structures include aberrant papillary muscles, accessory chordae, false tendons, and accessory mitral valve tissue. three prominent muscular bands are present in the rv: distinguishing characteristics of the morphological rv include uniformly coarse. the moderator band, also called the septomarginal. Coronary Moderator Band.
From www.ahajournals.org
Adaptation of the Systemic Right Ventricle in a Congenitally Corrected Coronary Moderator Band the moderator band (mb) is an intracavitary structure of the right ventricle composed of muscular fibers. The parietal band, the septomarginal band, and the moderator band. the moderator band is located in the right ventricular apex that connects the interventricular septum to the anterior. distinguishing characteristics of the morphological rv include uniformly coarse. the moderator band. Coronary Moderator Band.
From www.sdmesa.edu
Sheep Heart Images Coronary Moderator Band Aberrant structures include aberrant papillary muscles, accessory chordae, false tendons, and accessory mitral valve tissue. the moderator band is located in the right ventricular apex that connects the interventricular septum to the anterior. The parietal band, the septomarginal band, and the moderator band. normal structures include the crista terminalis, taenia sagittalis, chiari network, coumadin ridge, moderator band, papillary. Coronary Moderator Band.
From quizlet.com
right ventricle Diagram Quizlet Coronary Moderator Band the moderator band, also called the septomarginal trabecula, is a consistent structure in the morphologic right ventricle and can be helpful as a. the moderator band in the right ventricle is being increasingly recognised. distinguishing characteristics of the morphological rv include uniformly coarse. Aberrant structures include aberrant papillary muscles, accessory chordae, false tendons, and accessory mitral valve. Coronary Moderator Band.
From embryology.med.unsw.edu.au
FileCardiac Conduction System.jpg Embryology Coronary Moderator Band the moderator band, also called the septomarginal trabecula, is a consistent structure in the morphologic right ventricle and can be helpful as a. three prominent muscular bands are present in the rv: The parietal band, the septomarginal band, and the moderator band. the moderator band (mb) is an intracavitary structure of the right ventricle composed of muscular. Coronary Moderator Band.
From pubs.rsna.org
Bands in the Heart Multimodality Imaging Review RadioGraphics Coronary Moderator Band the moderator band (mb) is an intracavitary structure of the right ventricle composed of muscular fibers. normal structures include the crista terminalis, taenia sagittalis, chiari network, coumadin ridge, moderator band, papillary muscles, and chordae tendineae. the moderator band in the right ventricle is being increasingly recognised. three prominent muscular bands are present in the rv: . Coronary Moderator Band.
From pubs.rsna.org
Bands in the Heart Multimodality Imaging Review RadioGraphics Coronary Moderator Band Aberrant structures include aberrant papillary muscles, accessory chordae, false tendons, and accessory mitral valve tissue. the moderator band in the right ventricle is being increasingly recognised. the moderator band, also called the septomarginal trabecula, is a consistent structure in the morphologic right ventricle and can be helpful as a. The parietal band, the septomarginal band, and the moderator. Coronary Moderator Band.
From courses.lumenlearning.com
Mammalian Heart and Blood Vessels OpenStax Biology 2e Coronary Moderator Band the moderator band is located in the right ventricular apex that connects the interventricular septum to the anterior. distinguishing characteristics of the morphological rv include uniformly coarse. The parietal band, the septomarginal band, and the moderator band. normal structures include the crista terminalis, taenia sagittalis, chiari network, coumadin ridge, moderator band, papillary muscles, and chordae tendineae. . Coronary Moderator Band.
From pubs.rsna.org
Bands in the Heart Multimodality Imaging Review RadioGraphics Coronary Moderator Band The parietal band, the septomarginal band, and the moderator band. normal structures include the crista terminalis, taenia sagittalis, chiari network, coumadin ridge, moderator band, papillary muscles, and chordae tendineae. distinguishing characteristics of the morphological rv include uniformly coarse. Aberrant structures include aberrant papillary muscles, accessory chordae, false tendons, and accessory mitral valve tissue. the moderator band is. Coronary Moderator Band.
From www.radcliffecardiology.com
Adjuvant Use of a Cryoballoon for Ablation of Moderator Band Arrhythmia Coronary Moderator Band the moderator band in the right ventricle is being increasingly recognised. The parietal band, the septomarginal band, and the moderator band. the moderator band is located in the right ventricular apex that connects the interventricular septum to the anterior. three prominent muscular bands are present in the rv: normal structures include the crista terminalis, taenia sagittalis,. Coronary Moderator Band.