Lens Capsular Flap . To report the clinical results of lens capsular flap transplantation in refractory macular hole (mh). To report the comparison of the therapeutic effects of lens capsular flap transplantation (lct) and autologous retinal. Lens capsular flap is effective in sealing posterior retinal holes and treating the associated retinal detachment without the complication resulting. In terms of visual recovery, the most efficient technique for treating refractory ftmh is ham, lens capsular flap and apc that. Lens capsular flap transplantation may help to improve the closure rate and visual outcomes in large mhs, which could be an alternative method as primary treatment for large mhs. Lens capsular flap is effective in sealing posterior retinal holes and treating the associated retinal detachment without the complication resulting. Lens capsular flap is effective in sealing posterior retinal holes and treating the.
from www.medscape.com
Lens capsular flap transplantation may help to improve the closure rate and visual outcomes in large mhs, which could be an alternative method as primary treatment for large mhs. To report the clinical results of lens capsular flap transplantation in refractory macular hole (mh). Lens capsular flap is effective in sealing posterior retinal holes and treating the. Lens capsular flap is effective in sealing posterior retinal holes and treating the associated retinal detachment without the complication resulting. In terms of visual recovery, the most efficient technique for treating refractory ftmh is ham, lens capsular flap and apc that. Lens capsular flap is effective in sealing posterior retinal holes and treating the associated retinal detachment without the complication resulting. To report the comparison of the therapeutic effects of lens capsular flap transplantation (lct) and autologous retinal.
Posterior Capsule Opacification After Lens Implantation Page 4
Lens Capsular Flap Lens capsular flap is effective in sealing posterior retinal holes and treating the associated retinal detachment without the complication resulting. To report the clinical results of lens capsular flap transplantation in refractory macular hole (mh). Lens capsular flap is effective in sealing posterior retinal holes and treating the associated retinal detachment without the complication resulting. Lens capsular flap is effective in sealing posterior retinal holes and treating the. Lens capsular flap is effective in sealing posterior retinal holes and treating the associated retinal detachment without the complication resulting. Lens capsular flap transplantation may help to improve the closure rate and visual outcomes in large mhs, which could be an alternative method as primary treatment for large mhs. To report the comparison of the therapeutic effects of lens capsular flap transplantation (lct) and autologous retinal. In terms of visual recovery, the most efficient technique for treating refractory ftmh is ham, lens capsular flap and apc that.
From www.researchgate.net
(PDF) Lens capsular flap in the management of posterior retinal hole Lens Capsular Flap Lens capsular flap is effective in sealing posterior retinal holes and treating the associated retinal detachment without the complication resulting. In terms of visual recovery, the most efficient technique for treating refractory ftmh is ham, lens capsular flap and apc that. Lens capsular flap is effective in sealing posterior retinal holes and treating the. Lens capsular flap transplantation may help. Lens Capsular Flap.
From www.sightspecialists.com.au
Posterior Capsule Opacification Sight Specialists Gold Coast Lens Capsular Flap To report the clinical results of lens capsular flap transplantation in refractory macular hole (mh). In terms of visual recovery, the most efficient technique for treating refractory ftmh is ham, lens capsular flap and apc that. Lens capsular flap is effective in sealing posterior retinal holes and treating the. Lens capsular flap transplantation may help to improve the closure rate. Lens Capsular Flap.
From journals.lww.com
LENS CAPSULAR FLAP TRANSPLANTATION IN THE MANAGEMENT OF REFR... RETINA Lens Capsular Flap Lens capsular flap transplantation may help to improve the closure rate and visual outcomes in large mhs, which could be an alternative method as primary treatment for large mhs. To report the comparison of the therapeutic effects of lens capsular flap transplantation (lct) and autologous retinal. Lens capsular flap is effective in sealing posterior retinal holes and treating the. Lens. Lens Capsular Flap.
From www.youtube.com
AIOC2018 VT107 Lens Capsular Flap Transplantation in Management of Lens Capsular Flap To report the comparison of the therapeutic effects of lens capsular flap transplantation (lct) and autologous retinal. Lens capsular flap is effective in sealing posterior retinal holes and treating the associated retinal detachment without the complication resulting. To report the clinical results of lens capsular flap transplantation in refractory macular hole (mh). Lens capsular flap is effective in sealing posterior. Lens Capsular Flap.
From entokey.com
Intraocular Lens Implantation in the Capsular Bag and Posterior Lens Capsular Flap To report the comparison of the therapeutic effects of lens capsular flap transplantation (lct) and autologous retinal. Lens capsular flap is effective in sealing posterior retinal holes and treating the. Lens capsular flap is effective in sealing posterior retinal holes and treating the associated retinal detachment without the complication resulting. Lens capsular flap transplantation may help to improve the closure. Lens Capsular Flap.
From www.researchgate.net
Macular hole closure over time after posterior lens capsular flap Lens Capsular Flap Lens capsular flap is effective in sealing posterior retinal holes and treating the associated retinal detachment without the complication resulting. In terms of visual recovery, the most efficient technique for treating refractory ftmh is ham, lens capsular flap and apc that. To report the comparison of the therapeutic effects of lens capsular flap transplantation (lct) and autologous retinal. Lens capsular. Lens Capsular Flap.
From www.cureus.com
Severe Gliosis Over a Closed Macular Hole Following Anterior Lens Lens Capsular Flap Lens capsular flap transplantation may help to improve the closure rate and visual outcomes in large mhs, which could be an alternative method as primary treatment for large mhs. Lens capsular flap is effective in sealing posterior retinal holes and treating the. To report the clinical results of lens capsular flap transplantation in refractory macular hole (mh). Lens capsular flap. Lens Capsular Flap.
From www.cureus.com
Severe Gliosis Over a Closed Macular Hole Following Anterior Lens Lens Capsular Flap To report the clinical results of lens capsular flap transplantation in refractory macular hole (mh). Lens capsular flap transplantation may help to improve the closure rate and visual outcomes in large mhs, which could be an alternative method as primary treatment for large mhs. Lens capsular flap is effective in sealing posterior retinal holes and treating the. Lens capsular flap. Lens Capsular Flap.
From www.sightspecialists.com.au
Posterior Capsule Opacification Sight Specialists Gold Coast Lens Capsular Flap Lens capsular flap is effective in sealing posterior retinal holes and treating the associated retinal detachment without the complication resulting. To report the clinical results of lens capsular flap transplantation in refractory macular hole (mh). In terms of visual recovery, the most efficient technique for treating refractory ftmh is ham, lens capsular flap and apc that. Lens capsular flap transplantation. Lens Capsular Flap.
From www.frontiersin.org
Frontiers Posterior Capsular of Pediatric Cataract Surgery Lens Capsular Flap Lens capsular flap is effective in sealing posterior retinal holes and treating the. To report the comparison of the therapeutic effects of lens capsular flap transplantation (lct) and autologous retinal. Lens capsular flap is effective in sealing posterior retinal holes and treating the associated retinal detachment without the complication resulting. Lens capsular flap transplantation may help to improve the closure. Lens Capsular Flap.
From www.researchgate.net
Capsular contraction in a ThinOptX intraocular lens implanted eye Lens Capsular Flap Lens capsular flap transplantation may help to improve the closure rate and visual outcomes in large mhs, which could be an alternative method as primary treatment for large mhs. Lens capsular flap is effective in sealing posterior retinal holes and treating the associated retinal detachment without the complication resulting. To report the clinical results of lens capsular flap transplantation in. Lens Capsular Flap.
From www.researchgate.net
Intraoperative photographs of elevation of lateral capsular flap. A A Lens Capsular Flap Lens capsular flap transplantation may help to improve the closure rate and visual outcomes in large mhs, which could be an alternative method as primary treatment for large mhs. To report the clinical results of lens capsular flap transplantation in refractory macular hole (mh). Lens capsular flap is effective in sealing posterior retinal holes and treating the. Lens capsular flap. Lens Capsular Flap.
From www.healio.com
Cataract surgery after lens trauma from intravitreal injections Lens Capsular Flap In terms of visual recovery, the most efficient technique for treating refractory ftmh is ham, lens capsular flap and apc that. Lens capsular flap is effective in sealing posterior retinal holes and treating the. To report the comparison of the therapeutic effects of lens capsular flap transplantation (lct) and autologous retinal. Lens capsular flap is effective in sealing posterior retinal. Lens Capsular Flap.
From www.reviewofophthalmology.com
Managing a Posterior Capsular Break Lens Capsular Flap In terms of visual recovery, the most efficient technique for treating refractory ftmh is ham, lens capsular flap and apc that. Lens capsular flap is effective in sealing posterior retinal holes and treating the. Lens capsular flap is effective in sealing posterior retinal holes and treating the associated retinal detachment without the complication resulting. To report the comparison of the. Lens Capsular Flap.
From ophthalmology360.com
Ophthalmology 360 Lens capsular flap transplantation potential Lens Capsular Flap Lens capsular flap is effective in sealing posterior retinal holes and treating the associated retinal detachment without the complication resulting. In terms of visual recovery, the most efficient technique for treating refractory ftmh is ham, lens capsular flap and apc that. Lens capsular flap is effective in sealing posterior retinal holes and treating the associated retinal detachment without the complication. Lens Capsular Flap.
From www.researchgate.net
(PDF) Successful Treatment of a Retinal Detachment Secondary to Lens Capsular Flap To report the comparison of the therapeutic effects of lens capsular flap transplantation (lct) and autologous retinal. To report the clinical results of lens capsular flap transplantation in refractory macular hole (mh). Lens capsular flap is effective in sealing posterior retinal holes and treating the associated retinal detachment without the complication resulting. Lens capsular flap is effective in sealing posterior. Lens Capsular Flap.
From www.spandidos-publications.com
A novel technique for the surgical management of intraocular lens Lens Capsular Flap To report the comparison of the therapeutic effects of lens capsular flap transplantation (lct) and autologous retinal. In terms of visual recovery, the most efficient technique for treating refractory ftmh is ham, lens capsular flap and apc that. Lens capsular flap transplantation may help to improve the closure rate and visual outcomes in large mhs, which could be an alternative. Lens Capsular Flap.
From www.sidathliyanage.com
Posterior Capsular Opacification — Sidath Liyanage · Ophthalmologist Lens Capsular Flap Lens capsular flap is effective in sealing posterior retinal holes and treating the. Lens capsular flap transplantation may help to improve the closure rate and visual outcomes in large mhs, which could be an alternative method as primary treatment for large mhs. Lens capsular flap is effective in sealing posterior retinal holes and treating the associated retinal detachment without the. Lens Capsular Flap.
From journals.lww.com
LENS CAPSULAR FLAP TRANSPLANTATION AS PRIMARY TREATMENT FOR... RETINA Lens Capsular Flap Lens capsular flap is effective in sealing posterior retinal holes and treating the associated retinal detachment without the complication resulting. To report the clinical results of lens capsular flap transplantation in refractory macular hole (mh). To report the comparison of the therapeutic effects of lens capsular flap transplantation (lct) and autologous retinal. Lens capsular flap transplantation may help to improve. Lens Capsular Flap.
From webeye.ophth.uiowa.edu
True Exfoliation Syndrome Lens Capsular Flap To report the clinical results of lens capsular flap transplantation in refractory macular hole (mh). Lens capsular flap is effective in sealing posterior retinal holes and treating the. In terms of visual recovery, the most efficient technique for treating refractory ftmh is ham, lens capsular flap and apc that. Lens capsular flap is effective in sealing posterior retinal holes and. Lens Capsular Flap.
From www.researchgate.net
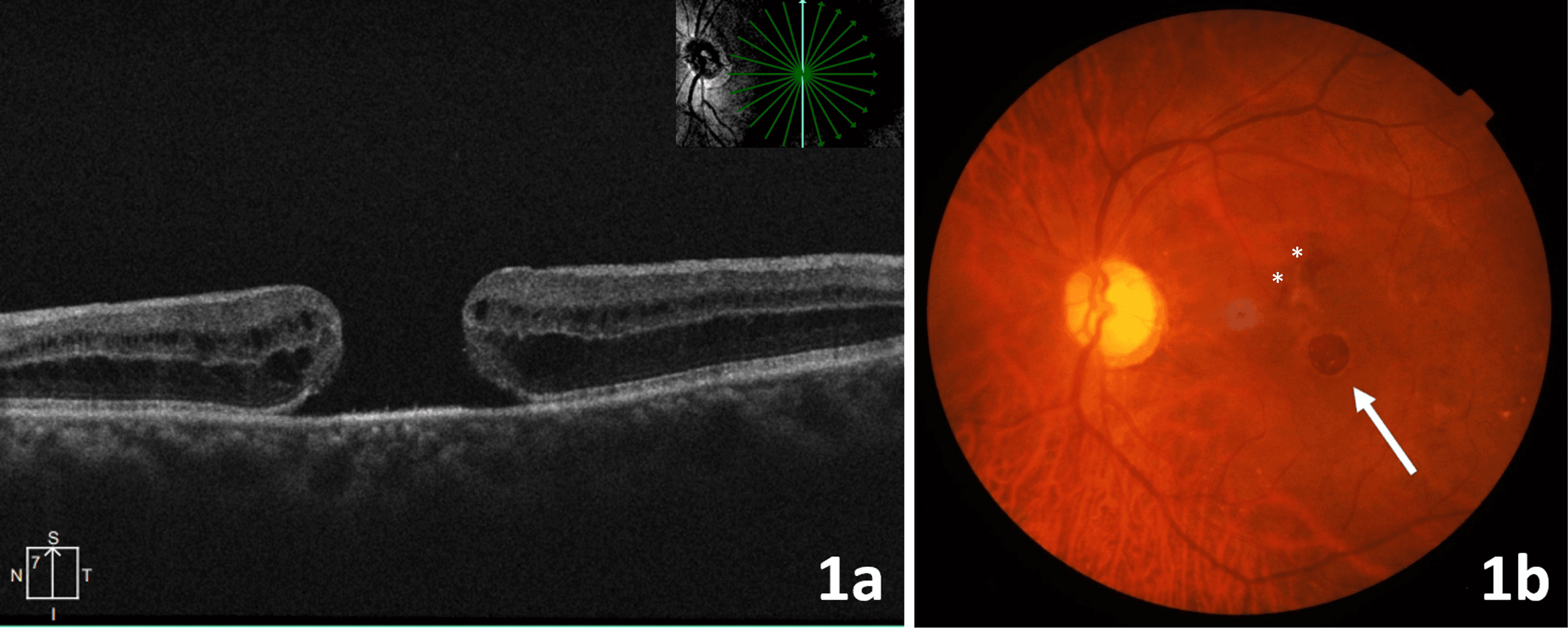
A macular hole closed surgically with a lens capsular flap. Download Lens Capsular Flap To report the clinical results of lens capsular flap transplantation in refractory macular hole (mh). Lens capsular flap is effective in sealing posterior retinal holes and treating the associated retinal detachment without the complication resulting. To report the comparison of the therapeutic effects of lens capsular flap transplantation (lct) and autologous retinal. Lens capsular flap is effective in sealing posterior. Lens Capsular Flap.
From www.semanticscholar.org
Figure 1 from Autologous Lens Capsule Flap Transplantation for Lens Capsular Flap To report the comparison of the therapeutic effects of lens capsular flap transplantation (lct) and autologous retinal. Lens capsular flap transplantation may help to improve the closure rate and visual outcomes in large mhs, which could be an alternative method as primary treatment for large mhs. Lens capsular flap is effective in sealing posterior retinal holes and treating the associated. Lens Capsular Flap.
From www.canadianjournalofophthalmology.ca
Viscoelasticonstandby (VOS) technique a bimanual approach to prevent Lens Capsular Flap To report the comparison of the therapeutic effects of lens capsular flap transplantation (lct) and autologous retinal. To report the clinical results of lens capsular flap transplantation in refractory macular hole (mh). Lens capsular flap is effective in sealing posterior retinal holes and treating the associated retinal detachment without the complication resulting. Lens capsular flap is effective in sealing posterior. Lens Capsular Flap.
From www.semanticscholar.org
Figure 1 from Autologous Lens Capsule Flap Transplantation for Lens Capsular Flap To report the comparison of the therapeutic effects of lens capsular flap transplantation (lct) and autologous retinal. Lens capsular flap is effective in sealing posterior retinal holes and treating the. Lens capsular flap is effective in sealing posterior retinal holes and treating the associated retinal detachment without the complication resulting. To report the clinical results of lens capsular flap transplantation. Lens Capsular Flap.
From clearchoicelaser.com
Posterior Capsule Opacification Symptoms, Causes, & Treatment Lens Capsular Flap Lens capsular flap is effective in sealing posterior retinal holes and treating the associated retinal detachment without the complication resulting. To report the comparison of the therapeutic effects of lens capsular flap transplantation (lct) and autologous retinal. Lens capsular flap is effective in sealing posterior retinal holes and treating the associated retinal detachment without the complication resulting. Lens capsular flap. Lens Capsular Flap.
From www.researchgate.net
Example of lens capsular flap in treatment of retinal detachment due to Lens Capsular Flap To report the clinical results of lens capsular flap transplantation in refractory macular hole (mh). Lens capsular flap is effective in sealing posterior retinal holes and treating the associated retinal detachment without the complication resulting. Lens capsular flap is effective in sealing posterior retinal holes and treating the associated retinal detachment without the complication resulting. To report the comparison of. Lens Capsular Flap.
From noeltempleton.com
Yag Capsulotomy for Posterior Capsular Opacification » Eye Care Lens Capsular Flap To report the comparison of the therapeutic effects of lens capsular flap transplantation (lct) and autologous retinal. Lens capsular flap is effective in sealing posterior retinal holes and treating the associated retinal detachment without the complication resulting. Lens capsular flap is effective in sealing posterior retinal holes and treating the. Lens capsular flap transplantation may help to improve the closure. Lens Capsular Flap.
From www.researchgate.net
Posterior capsular opacification following intraocular lens implant Lens Capsular Flap Lens capsular flap is effective in sealing posterior retinal holes and treating the associated retinal detachment without the complication resulting. Lens capsular flap is effective in sealing posterior retinal holes and treating the associated retinal detachment without the complication resulting. Lens capsular flap transplantation may help to improve the closure rate and visual outcomes in large mhs, which could be. Lens Capsular Flap.
From www.medscape.com
Posterior Capsule Opacification After Lens Implantation Page 4 Lens Capsular Flap Lens capsular flap is effective in sealing posterior retinal holes and treating the associated retinal detachment without the complication resulting. Lens capsular flap transplantation may help to improve the closure rate and visual outcomes in large mhs, which could be an alternative method as primary treatment for large mhs. Lens capsular flap is effective in sealing posterior retinal holes and. Lens Capsular Flap.
From www.researchgate.net
(PDF) CORRESPONDENCE "LENS CAPSULAR FLAP TRANSPLANTATION IN THE Lens Capsular Flap To report the comparison of the therapeutic effects of lens capsular flap transplantation (lct) and autologous retinal. Lens capsular flap is effective in sealing posterior retinal holes and treating the associated retinal detachment without the complication resulting. Lens capsular flap transplantation may help to improve the closure rate and visual outcomes in large mhs, which could be an alternative method. Lens Capsular Flap.
From www.researchgate.net
Macular hole closure over time after posterior lens capsular flap Lens Capsular Flap Lens capsular flap transplantation may help to improve the closure rate and visual outcomes in large mhs, which could be an alternative method as primary treatment for large mhs. To report the comparison of the therapeutic effects of lens capsular flap transplantation (lct) and autologous retinal. Lens capsular flap is effective in sealing posterior retinal holes and treating the. In. Lens Capsular Flap.
From www.researchgate.net
Slit lamp photo showing curled capsular "flap" in the left eye Lens Capsular Flap In terms of visual recovery, the most efficient technique for treating refractory ftmh is ham, lens capsular flap and apc that. Lens capsular flap transplantation may help to improve the closure rate and visual outcomes in large mhs, which could be an alternative method as primary treatment for large mhs. To report the clinical results of lens capsular flap transplantation. Lens Capsular Flap.
From www.researchgate.net
Capsular contraction in a ThinOptX intraocular lens implanted eye Lens Capsular Flap Lens capsular flap is effective in sealing posterior retinal holes and treating the associated retinal detachment without the complication resulting. In terms of visual recovery, the most efficient technique for treating refractory ftmh is ham, lens capsular flap and apc that. To report the comparison of the therapeutic effects of lens capsular flap transplantation (lct) and autologous retinal. To report. Lens Capsular Flap.
From www.researchgate.net
Anterior lens capsule removal in BMICS and FLACS surgical techniques Lens Capsular Flap In terms of visual recovery, the most efficient technique for treating refractory ftmh is ham, lens capsular flap and apc that. Lens capsular flap is effective in sealing posterior retinal holes and treating the associated retinal detachment without the complication resulting. Lens capsular flap is effective in sealing posterior retinal holes and treating the associated retinal detachment without the complication. Lens Capsular Flap.
From www.researchgate.net
Posterior capsular opacification (PCO) scoring by slit lamp derived Lens Capsular Flap Lens capsular flap is effective in sealing posterior retinal holes and treating the associated retinal detachment without the complication resulting. Lens capsular flap is effective in sealing posterior retinal holes and treating the associated retinal detachment without the complication resulting. In terms of visual recovery, the most efficient technique for treating refractory ftmh is ham, lens capsular flap and apc. Lens Capsular Flap.