Radius Break Near Wrist . Your doctor may refer to it as a wrist fracture or broken wrist. Distal radius fractures are the most. A distal radius fracture, aka wrist fracture, is a common injury to one of the forearm bones, near the wrist. Discover the different types, causes, and treatment options for. In fact, the radius is the most commonly. Find out what you need to know about a broken wrist or distal radius fracture. Distal radius fractures are very common. This type of fracture is quite common and can vary in severity, ranging from a minor crack or break to a. What is a fracture of the distal radius? A fracture of the distal radius occurs when the radius — one of the two long bones in the forearm — breaks close to the wrist. When the radius breaks near the wrist, it is called a distal radius fracture. It can also happen in a car accident, a bike accident, a skiing accident or another sports activity. A distal radius fracture is a break in the part of the bone closest to your wrist. A distal radius fracture occurs when there is a break in the radius bone near the wrist joint. Distal radial fractures typically occur when there is a fall onto an outstretched.
from tcomn.com
It can also happen in a car accident, a bike accident, a skiing accident or another sports activity. A fracture of the distal radius occurs when the radius — one of the two long bones in the forearm — breaks close to the wrist. Find out what you need to know about a broken wrist or distal radius fracture. Distal radius fractures are the most. This type of fracture is quite common and can vary in severity, ranging from a minor crack or break to a. The break usually happens due to falling on an outstretched or flexed hand. Your doctor may refer to it as a wrist fracture or broken wrist. A distal radius fracture, aka wrist fracture, is a common injury to one of the forearm bones, near the wrist. A distal radius fracture is a break in the part of the bone closest to your wrist. Distal radial fractures typically occur when there is a fall onto an outstretched.
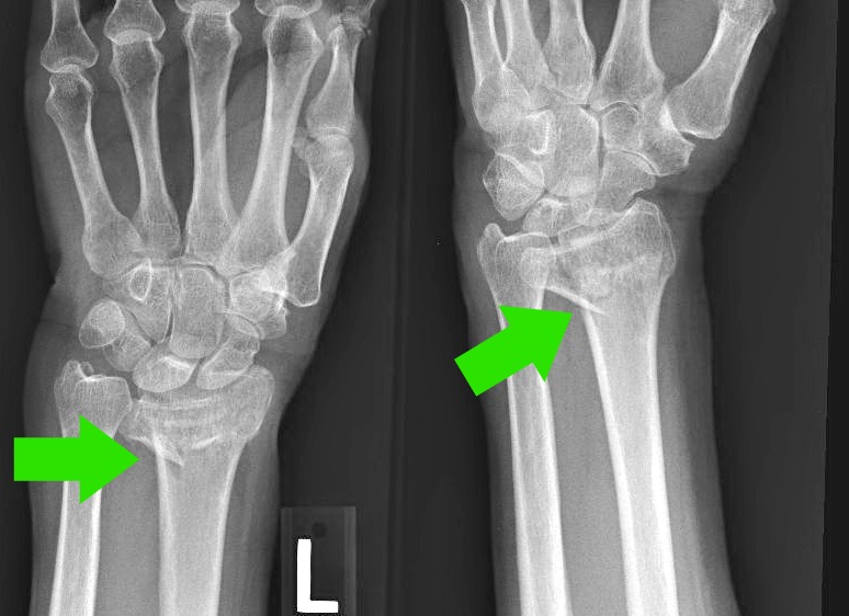
Osteoporosis Case Study 2 Radius Wrist Fracture
Radius Break Near Wrist Find out what you need to know about a broken wrist or distal radius fracture. A distal radius fracture, aka wrist fracture, is a common injury to one of the forearm bones, near the wrist. Distal radius fractures are very common. Distal radial fractures typically occur when there is a fall onto an outstretched. This type of fracture is quite common and can vary in severity, ranging from a minor crack or break to a. The break usually happens due to falling on an outstretched or flexed hand. In fact, the radius is the most commonly. When the radius breaks near the wrist, it is called a distal radius fracture. It can also happen in a car accident, a bike accident, a skiing accident or another sports activity. Discover the different types, causes, and treatment options for. What is a fracture of the distal radius? A fracture of the distal radius occurs when the radius — one of the two long bones in the forearm — breaks close to the wrist. Find out what you need to know about a broken wrist or distal radius fracture. A distal radius fracture occurs when there is a break in the radius bone near the wrist joint. A distal radius fracture is a break in the part of the bone closest to your wrist. Distal radius fractures are the most.
From main-tasc.blogspot.com
Distal End Radius Fracture X Ray / Broken Wrist Treatment in Raleigh Radius Break Near Wrist A fracture of the distal radius occurs when the radius — one of the two long bones in the forearm — breaks close to the wrist. When the radius breaks near the wrist, it is called a distal radius fracture. A distal radius fracture is a break in the part of the bone closest to your wrist. It can also. Radius Break Near Wrist.
From www.prodoctor.blog
Wrist Fractures (Distal Radius Fractures) Pro doctor Radius Break Near Wrist Distal radius fractures are very common. It can also happen in a car accident, a bike accident, a skiing accident or another sports activity. In fact, the radius is the most commonly. A distal radius fracture, aka wrist fracture, is a common injury to one of the forearm bones, near the wrist. A fracture of the distal radius occurs when. Radius Break Near Wrist.
From mungfali.com
Right Distal Radius Fracture Radius Break Near Wrist Find out what you need to know about a broken wrist or distal radius fracture. In fact, the radius is the most commonly. This type of fracture is quite common and can vary in severity, ranging from a minor crack or break to a. The break usually happens due to falling on an outstretched or flexed hand. What is a. Radius Break Near Wrist.
From www.vecteezy.com
film x ray wrist show fracture distal radius forearm s bone 2465811 Radius Break Near Wrist In fact, the radius is the most commonly. Find out what you need to know about a broken wrist or distal radius fracture. Distal radius fractures are the most. Discover the different types, causes, and treatment options for. A fracture of the distal radius occurs when the radius — one of the two long bones in the forearm — breaks. Radius Break Near Wrist.
From www.theinjurysource.com
What Makes a Pediatric Wrist Fracture Different? Radius Break Near Wrist It can also happen in a car accident, a bike accident, a skiing accident or another sports activity. Distal radius fractures are the most. Distal radius fractures are very common. Discover the different types, causes, and treatment options for. A fracture of the distal radius occurs when the radius — one of the two long bones in the forearm —. Radius Break Near Wrist.
From www.vecteezy.com
Xray Left wrist joint Fracture with displacement distal end left Radius Break Near Wrist Distal radius fractures are very common. When the radius breaks near the wrist, it is called a distal radius fracture. The break usually happens due to falling on an outstretched or flexed hand. Distal radius fractures are the most. This type of fracture is quite common and can vary in severity, ranging from a minor crack or break to a.. Radius Break Near Wrist.
From www.prodoctor.blog
Wrist Fractures (Distal Radius Fractures) Pro doctor Radius Break Near Wrist Distal radius fractures are the most. Distal radius fractures are very common. When the radius breaks near the wrist, it is called a distal radius fracture. A distal radius fracture is a break in the part of the bone closest to your wrist. Distal radial fractures typically occur when there is a fall onto an outstretched. Your doctor may refer. Radius Break Near Wrist.
From www.rehabmypatient.com
Distal Radius Fracture Rehab My Patient Radius Break Near Wrist Find out what you need to know about a broken wrist or distal radius fracture. When the radius breaks near the wrist, it is called a distal radius fracture. A fracture of the distal radius occurs when the radius — one of the two long bones in the forearm — breaks close to the wrist. A distal radius fracture, aka. Radius Break Near Wrist.
From murdochorthopaedic.com.au
Distal Radial Fractures Murdoch Orthopaedic Clinic Radius Break Near Wrist When the radius breaks near the wrist, it is called a distal radius fracture. Your doctor may refer to it as a wrist fracture or broken wrist. A distal radius fracture, aka wrist fracture, is a common injury to one of the forearm bones, near the wrist. Find out what you need to know about a broken wrist or distal. Radius Break Near Wrist.
From exobfqtit.blob.core.windows.net
Radius Ulna Fracture Name at Clara Bullock blog Radius Break Near Wrist In fact, the radius is the most commonly. Distal radius fractures are very common. A distal radius fracture is a break in the part of the bone closest to your wrist. What is a fracture of the distal radius? Distal radius fractures are the most. This type of fracture is quite common and can vary in severity, ranging from a. Radius Break Near Wrist.
From www.hobartorthopaedics.com.au
Wrist Fractures (Distal Radius) Hobart Orthopaedics Radius Break Near Wrist Distal radial fractures typically occur when there is a fall onto an outstretched. Distal radius fractures are very common. A distal radius fracture occurs when there is a break in the radius bone near the wrist joint. Discover the different types, causes, and treatment options for. A fracture of the distal radius occurs when the radius — one of the. Radius Break Near Wrist.
From www.schreibermd.com
Buckle Fracture Raleigh Hand Surgery — Joseph J. Schreiber, MD Radius Break Near Wrist Find out what you need to know about a broken wrist or distal radius fracture. It can also happen in a car accident, a bike accident, a skiing accident or another sports activity. Your doctor may refer to it as a wrist fracture or broken wrist. Distal radius fractures are very common. What is a fracture of the distal radius?. Radius Break Near Wrist.
From www.johnericksonmd.com
Wrist Fracture Treatment in Raleigh John Erickson, MD Radius Break Near Wrist It can also happen in a car accident, a bike accident, a skiing accident or another sports activity. Distal radial fractures typically occur when there is a fall onto an outstretched. The break usually happens due to falling on an outstretched or flexed hand. Distal radius fractures are the most. A fracture of the distal radius occurs when the radius. Radius Break Near Wrist.
From www.coastalorthoteam.com
Distal Radius Fracture Signs, Symptoms, Causes, and Treatment Options Radius Break Near Wrist A distal radius fracture, aka wrist fracture, is a common injury to one of the forearm bones, near the wrist. Discover the different types, causes, and treatment options for. Distal radius fractures are very common. What is a fracture of the distal radius? Your doctor may refer to it as a wrist fracture or broken wrist. A distal radius fracture. Radius Break Near Wrist.
From www.cureus.com
Cureus Combined Radial and Ulnar Epiphyseal Injury at the Wrist A Radius Break Near Wrist A distal radius fracture is a break in the part of the bone closest to your wrist. Distal radius fractures are the most. The break usually happens due to falling on an outstretched or flexed hand. Distal radius fractures are very common. A distal radius fracture, aka wrist fracture, is a common injury to one of the forearm bones, near. Radius Break Near Wrist.
From klajhbqrz.blob.core.windows.net
Compression Fracture Radius at James Sesco blog Radius Break Near Wrist This type of fracture is quite common and can vary in severity, ranging from a minor crack or break to a. A distal radius fracture, aka wrist fracture, is a common injury to one of the forearm bones, near the wrist. Distal radius fractures are the most. A distal radius fracture occurs when there is a break in the radius. Radius Break Near Wrist.
From www.schreibermd.com
Distal Radius Fracture Raleigh Hand Surgery — Joseph J. Schreiber, MD Radius Break Near Wrist A distal radius fracture is a break in the part of the bone closest to your wrist. Distal radius fractures are the most. Distal radial fractures typically occur when there is a fall onto an outstretched. Distal radius fractures are very common. In fact, the radius is the most commonly. A distal radius fracture occurs when there is a break. Radius Break Near Wrist.
From www.johnericksonmd.com
Wrist Fracture Treatment in Raleigh John Erickson, MD Radius Break Near Wrist A fracture of the distal radius occurs when the radius — one of the two long bones in the forearm — breaks close to the wrist. This type of fracture is quite common and can vary in severity, ranging from a minor crack or break to a. When the radius breaks near the wrist, it is called a distal radius. Radius Break Near Wrist.
From www.johnericksonmd.com
Wrist Fracture Treatment in Raleigh John Erickson, MD Radius Break Near Wrist It can also happen in a car accident, a bike accident, a skiing accident or another sports activity. The break usually happens due to falling on an outstretched or flexed hand. A distal radius fracture, aka wrist fracture, is a common injury to one of the forearm bones, near the wrist. Discover the different types, causes, and treatment options for.. Radius Break Near Wrist.
From www.advancedhand.com.sg
Distal Radius Wrist Fractures Advanced Hand, Wrist & Nerve Centre Radius Break Near Wrist A fracture of the distal radius occurs when the radius — one of the two long bones in the forearm — breaks close to the wrist. This type of fracture is quite common and can vary in severity, ranging from a minor crack or break to a. When the radius breaks near the wrist, it is called a distal radius. Radius Break Near Wrist.
From tcomn.com
Osteoporosis Case Study 2 Radius Wrist Fracture Radius Break Near Wrist When the radius breaks near the wrist, it is called a distal radius fracture. Your doctor may refer to it as a wrist fracture or broken wrist. A fracture of the distal radius occurs when the radius — one of the two long bones in the forearm — breaks close to the wrist. In fact, the radius is the most. Radius Break Near Wrist.
From www.healthline.com
Distal Radius Fracture Diagnosis, Treatment, and Home Care Radius Break Near Wrist Distal radius fractures are the most. This type of fracture is quite common and can vary in severity, ranging from a minor crack or break to a. A distal radius fracture is a break in the part of the bone closest to your wrist. When the radius breaks near the wrist, it is called a distal radius fracture. The break. Radius Break Near Wrist.
From www.care2curephysiotherapy.com
WRIST FRACTURE Care2Cure Physiotherapy & Rehab Center Radius Break Near Wrist A distal radius fracture is a break in the part of the bone closest to your wrist. What is a fracture of the distal radius? It can also happen in a car accident, a bike accident, a skiing accident or another sports activity. A fracture of the distal radius occurs when the radius — one of the two long bones. Radius Break Near Wrist.
From www.orthoinfo.org
Distal Radius Fractures (Broken Wrist) OrthoInfo AAOS Radius Break Near Wrist Discover the different types, causes, and treatment options for. It can also happen in a car accident, a bike accident, a skiing accident or another sports activity. In fact, the radius is the most commonly. Distal radius fractures are very common. A distal radius fracture, aka wrist fracture, is a common injury to one of the forearm bones, near the. Radius Break Near Wrist.
From www.epainassist.com
Colles Fracture of Wrist or Distal Radius FractureCausesSymptoms Radius Break Near Wrist Distal radius fractures are the most. This type of fracture is quite common and can vary in severity, ranging from a minor crack or break to a. Find out what you need to know about a broken wrist or distal radius fracture. What is a fracture of the distal radius? A fracture of the distal radius occurs when the radius. Radius Break Near Wrist.
From smortho.ca
Distal Radius Fractures SimcoeMuskoka Orthopaedics Radius Break Near Wrist Discover the different types, causes, and treatment options for. A distal radius fracture is a break in the part of the bone closest to your wrist. When the radius breaks near the wrist, it is called a distal radius fracture. Distal radius fractures are the most. It can also happen in a car accident, a bike accident, a skiing accident. Radius Break Near Wrist.
From www.floridaortho.com
Colles’ Fractures (Broken Wrist) Florida Orthopaedic Institute Radius Break Near Wrist Find out what you need to know about a broken wrist or distal radius fracture. A distal radius fracture is a break in the part of the bone closest to your wrist. Your doctor may refer to it as a wrist fracture or broken wrist. When the radius breaks near the wrist, it is called a distal radius fracture. A. Radius Break Near Wrist.
From www.johnericksonmd.com
Wrist Fracture Treatment in Raleigh John Erickson, MD Radius Break Near Wrist Your doctor may refer to it as a wrist fracture or broken wrist. This type of fracture is quite common and can vary in severity, ranging from a minor crack or break to a. A distal radius fracture occurs when there is a break in the radius bone near the wrist joint. Find out what you need to know about. Radius Break Near Wrist.
From www.orthoinfo.org
Adult Forearm Fractures OrthoInfo AAOS Radius Break Near Wrist It can also happen in a car accident, a bike accident, a skiing accident or another sports activity. A distal radius fracture, aka wrist fracture, is a common injury to one of the forearm bones, near the wrist. What is a fracture of the distal radius? Distal radius fractures are very common. The break usually happens due to falling on. Radius Break Near Wrist.
From www.alamy.com
Broken Wrist Fractured Radius and Ulna with Ulnar Shortening Stock Radius Break Near Wrist A fracture of the distal radius occurs when the radius — one of the two long bones in the forearm — breaks close to the wrist. Your doctor may refer to it as a wrist fracture or broken wrist. What is a fracture of the distal radius? Find out what you need to know about a broken wrist or distal. Radius Break Near Wrist.
From healthlifemedia.com
Hand Injuries Wrist fracture Health Life Media Radius Break Near Wrist The break usually happens due to falling on an outstretched or flexed hand. Distal radial fractures typically occur when there is a fall onto an outstretched. Discover the different types, causes, and treatment options for. A fracture of the distal radius occurs when the radius — one of the two long bones in the forearm — breaks close to the. Radius Break Near Wrist.
From www.saginimd.com
Distal Radius Fracture (Wrist Fractures) Radius Break Near Wrist What is a fracture of the distal radius? The break usually happens due to falling on an outstretched or flexed hand. Find out what you need to know about a broken wrist or distal radius fracture. A fracture of the distal radius occurs when the radius — one of the two long bones in the forearm — breaks close to. Radius Break Near Wrist.
From www.sexizpix.com
Fracture Wrist Distal Radius And Ulna Physeal Fractures Sexiz Pix Radius Break Near Wrist A fracture of the distal radius occurs when the radius — one of the two long bones in the forearm — breaks close to the wrist. Distal radius fractures are very common. Distal radial fractures typically occur when there is a fall onto an outstretched. A distal radius fracture is a break in the part of the bone closest to. Radius Break Near Wrist.
From www.facebook.com
distal radius fracture a common injury that affects the wrist. A Radius Break Near Wrist What is a fracture of the distal radius? This type of fracture is quite common and can vary in severity, ranging from a minor crack or break to a. Distal radius fractures are very common. In fact, the radius is the most commonly. A distal radius fracture occurs when there is a break in the radius bone near the wrist. Radius Break Near Wrist.
From www.handtherapyacademy.com
Different types of distal radius fractures seen in the hand therapy clinic Radius Break Near Wrist Your doctor may refer to it as a wrist fracture or broken wrist. A distal radius fracture occurs when there is a break in the radius bone near the wrist joint. Distal radius fractures are the most. A distal radius fracture, aka wrist fracture, is a common injury to one of the forearm bones, near the wrist. A fracture of. Radius Break Near Wrist.