Boxing Wrist Fracture . A boxer's fracture is a break in a metacarpal bone that connects the ring finger or the little finger to the wrist. A boxer's fracture occurs when the neck of the fifth metacarpal bone breaks, usually resulting from a direct blow with a clenched fist. That bone is known as a metacarpal. The fracture of the fifth metacarpal neck also known as boxers fracture, named after the classic mechanism of injury in which direct trauma is. A boxer's fracture, or metacarpal fracture, is a bone fracture that affects knuckles in the hand. These are known as the fourth and fifth. Causes include punching or smacking with the hand, or dropping something on the hand. A boxer’s fracture is when you break a bone at the base of your finger, near the knuckle or neck of the bone. A boxer’s fracture may also be called fifth.
from facty.com
A boxer's fracture occurs when the neck of the fifth metacarpal bone breaks, usually resulting from a direct blow with a clenched fist. A boxer’s fracture may also be called fifth. The fracture of the fifth metacarpal neck also known as boxers fracture, named after the classic mechanism of injury in which direct trauma is. A boxer's fracture is a break in a metacarpal bone that connects the ring finger or the little finger to the wrist. A boxer's fracture, or metacarpal fracture, is a bone fracture that affects knuckles in the hand. These are known as the fourth and fifth. That bone is known as a metacarpal. A boxer’s fracture is when you break a bone at the base of your finger, near the knuckle or neck of the bone. Causes include punching or smacking with the hand, or dropping something on the hand.
Understanding a Boxer's Fracture of the Hand Facty Health
Boxing Wrist Fracture A boxer's fracture occurs when the neck of the fifth metacarpal bone breaks, usually resulting from a direct blow with a clenched fist. A boxer’s fracture is when you break a bone at the base of your finger, near the knuckle or neck of the bone. That bone is known as a metacarpal. A boxer's fracture is a break in a metacarpal bone that connects the ring finger or the little finger to the wrist. Causes include punching or smacking with the hand, or dropping something on the hand. These are known as the fourth and fifth. A boxer’s fracture may also be called fifth. A boxer's fracture, or metacarpal fracture, is a bone fracture that affects knuckles in the hand. The fracture of the fifth metacarpal neck also known as boxers fracture, named after the classic mechanism of injury in which direct trauma is. A boxer's fracture occurs when the neck of the fifth metacarpal bone breaks, usually resulting from a direct blow with a clenched fist.
From www.pinterest.com
Boxer fractures are minimally comminuted, transverse fractures of the Boxing Wrist Fracture A boxer’s fracture is when you break a bone at the base of your finger, near the knuckle or neck of the bone. That bone is known as a metacarpal. A boxer's fracture occurs when the neck of the fifth metacarpal bone breaks, usually resulting from a direct blow with a clenched fist. A boxer’s fracture may also be called. Boxing Wrist Fracture.
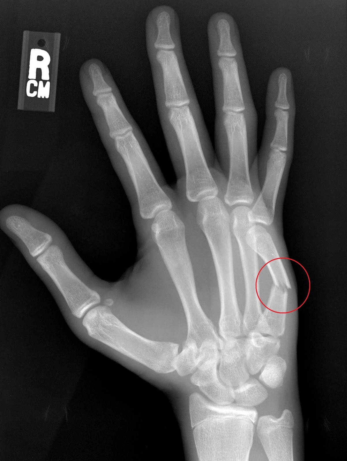
From orthopaedicprinciples.com
Boxer’s Fracture — Boxing Wrist Fracture A boxer's fracture, or metacarpal fracture, is a bone fracture that affects knuckles in the hand. A boxer’s fracture is when you break a bone at the base of your finger, near the knuckle or neck of the bone. The fracture of the fifth metacarpal neck also known as boxers fracture, named after the classic mechanism of injury in which. Boxing Wrist Fracture.
From www.clinicalcases.org
Clinical Cases and Images Boxer's Fracture Boxing Wrist Fracture A boxer's fracture is a break in a metacarpal bone that connects the ring finger or the little finger to the wrist. These are known as the fourth and fifth. A boxer's fracture occurs when the neck of the fifth metacarpal bone breaks, usually resulting from a direct blow with a clenched fist. The fracture of the fifth metacarpal neck. Boxing Wrist Fracture.
From www.healthline.com
Boxer’s Fracture Treatment, Recovery, and LongTerm Effects Boxing Wrist Fracture These are known as the fourth and fifth. A boxer's fracture occurs when the neck of the fifth metacarpal bone breaks, usually resulting from a direct blow with a clenched fist. A boxer’s fracture is when you break a bone at the base of your finger, near the knuckle or neck of the bone. Causes include punching or smacking with. Boxing Wrist Fracture.
From brandondonnellymd.com
Boxer's Fracture Hand Specialist Brandon P. Donnelly, MD Boxing Wrist Fracture A boxer’s fracture may also be called fifth. These are known as the fourth and fifth. A boxer's fracture, or metacarpal fracture, is a bone fracture that affects knuckles in the hand. A boxer's fracture occurs when the neck of the fifth metacarpal bone breaks, usually resulting from a direct blow with a clenched fist. That bone is known as. Boxing Wrist Fracture.
From sagabio.com
Signs And Symptoms Of A Boxer Fracture Boxing Wrist Fracture That bone is known as a metacarpal. A boxer’s fracture may also be called fifth. The fracture of the fifth metacarpal neck also known as boxers fracture, named after the classic mechanism of injury in which direct trauma is. A boxer's fracture is a break in a metacarpal bone that connects the ring finger or the little finger to the. Boxing Wrist Fracture.
From www.sportsmedreview.com
Review of Boxer's Fracture Sports Medicine Review Boxing Wrist Fracture These are known as the fourth and fifth. The fracture of the fifth metacarpal neck also known as boxers fracture, named after the classic mechanism of injury in which direct trauma is. That bone is known as a metacarpal. A boxer's fracture occurs when the neck of the fifth metacarpal bone breaks, usually resulting from a direct blow with a. Boxing Wrist Fracture.
From radiologykey.com
Punchin’ out Fifth metacarpal (boxer’s) fracture Radiology Key Boxing Wrist Fracture These are known as the fourth and fifth. The fracture of the fifth metacarpal neck also known as boxers fracture, named after the classic mechanism of injury in which direct trauma is. A boxer's fracture is a break in a metacarpal bone that connects the ring finger or the little finger to the wrist. A boxer’s fracture is when you. Boxing Wrist Fracture.
From www.svuhradiology.ie
Boxer's fracture Radiology at St. Vincent's University Hospital Boxing Wrist Fracture A boxer's fracture occurs when the neck of the fifth metacarpal bone breaks, usually resulting from a direct blow with a clenched fist. A boxer’s fracture is when you break a bone at the base of your finger, near the knuckle or neck of the bone. A boxer’s fracture may also be called fifth. A boxer's fracture is a break. Boxing Wrist Fracture.
From www.pinterest.com
boxer's fracture 5th metacarpal Hand therapy, Emergency medicine Boxing Wrist Fracture These are known as the fourth and fifth. A boxer's fracture is a break in a metacarpal bone that connects the ring finger or the little finger to the wrist. The fracture of the fifth metacarpal neck also known as boxers fracture, named after the classic mechanism of injury in which direct trauma is. A boxer’s fracture is when you. Boxing Wrist Fracture.
From meded.ucsd.edu
UC San Diego's Practical Guide to Clinical Medicine Boxing Wrist Fracture A boxer's fracture is a break in a metacarpal bone that connects the ring finger or the little finger to the wrist. That bone is known as a metacarpal. These are known as the fourth and fifth. Causes include punching or smacking with the hand, or dropping something on the hand. A boxer’s fracture may also be called fifth. A. Boxing Wrist Fracture.
From www.thescienceofstriking.com
COMMON HAND AND WRIST INJURIES IN STRIKING SPORTS PART 3 The Boxer Boxing Wrist Fracture Causes include punching or smacking with the hand, or dropping something on the hand. A boxer’s fracture may also be called fifth. A boxer’s fracture is when you break a bone at the base of your finger, near the knuckle or neck of the bone. These are known as the fourth and fifth. The fracture of the fifth metacarpal neck. Boxing Wrist Fracture.
From www.drdavidgeier.com
Boxer’s fracture Diagnosis, treatment and recovery from this difficult Boxing Wrist Fracture A boxer's fracture is a break in a metacarpal bone that connects the ring finger or the little finger to the wrist. The fracture of the fifth metacarpal neck also known as boxers fracture, named after the classic mechanism of injury in which direct trauma is. A boxer's fracture, or metacarpal fracture, is a bone fracture that affects knuckles in. Boxing Wrist Fracture.
From www.alamy.com
Reducing the chance of a sprain or fracture. an unrecognizable man Boxing Wrist Fracture A boxer’s fracture may also be called fifth. A boxer's fracture occurs when the neck of the fifth metacarpal bone breaks, usually resulting from a direct blow with a clenched fist. A boxer's fracture, or metacarpal fracture, is a bone fracture that affects knuckles in the hand. That bone is known as a metacarpal. Causes include punching or smacking with. Boxing Wrist Fracture.
From radiologykey.com
Punchin’ out Fifth metacarpal (boxer’s) fracture Radiology Key Boxing Wrist Fracture A boxer's fracture is a break in a metacarpal bone that connects the ring finger or the little finger to the wrist. That bone is known as a metacarpal. Causes include punching or smacking with the hand, or dropping something on the hand. A boxer’s fracture is when you break a bone at the base of your finger, near the. Boxing Wrist Fracture.
From mdwestone.com
Boxer's Fracture MD West One Boxing Wrist Fracture A boxer’s fracture may also be called fifth. Causes include punching or smacking with the hand, or dropping something on the hand. The fracture of the fifth metacarpal neck also known as boxers fracture, named after the classic mechanism of injury in which direct trauma is. A boxer's fracture occurs when the neck of the fifth metacarpal bone breaks, usually. Boxing Wrist Fracture.
From www.unipharma.co
BOXER FRACTURE SPLINT (WRIST SUPPORT) Unipharma Boxing Wrist Fracture Causes include punching or smacking with the hand, or dropping something on the hand. A boxer's fracture occurs when the neck of the fifth metacarpal bone breaks, usually resulting from a direct blow with a clenched fist. That bone is known as a metacarpal. The fracture of the fifth metacarpal neck also known as boxers fracture, named after the classic. Boxing Wrist Fracture.
From facty.com
Understanding a Boxer's Fracture of the Hand Facty Health Boxing Wrist Fracture Causes include punching or smacking with the hand, or dropping something on the hand. A boxer's fracture, or metacarpal fracture, is a bone fracture that affects knuckles in the hand. A boxer's fracture is a break in a metacarpal bone that connects the ring finger or the little finger to the wrist. A boxer’s fracture may also be called fifth.. Boxing Wrist Fracture.
From www.wikidoc.org
Boxer's fracture wikidoc Boxing Wrist Fracture A boxer’s fracture may also be called fifth. A boxer’s fracture is when you break a bone at the base of your finger, near the knuckle or neck of the bone. Causes include punching or smacking with the hand, or dropping something on the hand. The fracture of the fifth metacarpal neck also known as boxers fracture, named after the. Boxing Wrist Fracture.
From sportsmedtexas.com
Boxer Fracture Treatment in Dallas, Frisco, Prosper, and Wylie, TX Boxing Wrist Fracture A boxer’s fracture may also be called fifth. That bone is known as a metacarpal. A boxer’s fracture is when you break a bone at the base of your finger, near the knuckle or neck of the bone. These are known as the fourth and fifth. A boxer's fracture is a break in a metacarpal bone that connects the ring. Boxing Wrist Fracture.
From mungfali.com
Types Of Wrist Fractures Boxing Wrist Fracture A boxer’s fracture may also be called fifth. A boxer's fracture, or metacarpal fracture, is a bone fracture that affects knuckles in the hand. A boxer's fracture occurs when the neck of the fifth metacarpal bone breaks, usually resulting from a direct blow with a clenched fist. That bone is known as a metacarpal. A boxer's fracture is a break. Boxing Wrist Fracture.
From www.raleighhand.com
What is a Boxers Fracture? Raleigh Hand to Shoulder Center Raleigh Boxing Wrist Fracture These are known as the fourth and fifth. The fracture of the fifth metacarpal neck also known as boxers fracture, named after the classic mechanism of injury in which direct trauma is. A boxer's fracture is a break in a metacarpal bone that connects the ring finger or the little finger to the wrist. That bone is known as a. Boxing Wrist Fracture.
From www.emdocs.net
Emergency Medicine Education(Amateur) Boxer’s Fracture Boxing Wrist Fracture A boxer's fracture occurs when the neck of the fifth metacarpal bone breaks, usually resulting from a direct blow with a clenched fist. The fracture of the fifth metacarpal neck also known as boxers fracture, named after the classic mechanism of injury in which direct trauma is. That bone is known as a metacarpal. A boxer’s fracture is when you. Boxing Wrist Fracture.
From www.handandwrist.com.au
Fractures of the 5th metacarpal neck (Boxer's fractures) Southern Boxing Wrist Fracture Causes include punching or smacking with the hand, or dropping something on the hand. That bone is known as a metacarpal. A boxer's fracture occurs when the neck of the fifth metacarpal bone breaks, usually resulting from a direct blow with a clenched fist. A boxer’s fracture is when you break a bone at the base of your finger, near. Boxing Wrist Fracture.
From hand-microsurgery.com
What causes Boxer’s Fracture Bruising? Everything you need to know Boxing Wrist Fracture A boxer's fracture, or metacarpal fracture, is a bone fracture that affects knuckles in the hand. Causes include punching or smacking with the hand, or dropping something on the hand. A boxer's fracture occurs when the neck of the fifth metacarpal bone breaks, usually resulting from a direct blow with a clenched fist. A boxer’s fracture is when you break. Boxing Wrist Fracture.
From www.medicalnewstoday.com
Boxer's fracture Treatment, diagnosis, and recovery Boxing Wrist Fracture A boxer's fracture, or metacarpal fracture, is a bone fracture that affects knuckles in the hand. A boxer's fracture is a break in a metacarpal bone that connects the ring finger or the little finger to the wrist. Causes include punching or smacking with the hand, or dropping something on the hand. A boxer's fracture occurs when the neck of. Boxing Wrist Fracture.
From www.medicalnewstoday.com
Boxer's fracture Treatment, diagnosis, and recovery Boxing Wrist Fracture These are known as the fourth and fifth. The fracture of the fifth metacarpal neck also known as boxers fracture, named after the classic mechanism of injury in which direct trauma is. A boxer’s fracture may also be called fifth. A boxer's fracture occurs when the neck of the fifth metacarpal bone breaks, usually resulting from a direct blow with. Boxing Wrist Fracture.
From www.alamy.com
xray of the hand of a man showing a healing boxer's fracture, a break Boxing Wrist Fracture These are known as the fourth and fifth. A boxer's fracture is a break in a metacarpal bone that connects the ring finger or the little finger to the wrist. Causes include punching or smacking with the hand, or dropping something on the hand. A boxer's fracture, or metacarpal fracture, is a bone fracture that affects knuckles in the hand.. Boxing Wrist Fracture.
From msspc.org
A Fighter's Nightmare The Boxer's Fracture Michigan Surgery Specialists Boxing Wrist Fracture These are known as the fourth and fifth. A boxer's fracture occurs when the neck of the fifth metacarpal bone breaks, usually resulting from a direct blow with a clenched fist. A boxer's fracture is a break in a metacarpal bone that connects the ring finger or the little finger to the wrist. That bone is known as a metacarpal.. Boxing Wrist Fracture.
From investmentsnipod.weebly.com
Boxer fracture investmentsnipod Boxing Wrist Fracture A boxer’s fracture may also be called fifth. A boxer’s fracture is when you break a bone at the base of your finger, near the knuckle or neck of the bone. A boxer's fracture, or metacarpal fracture, is a bone fracture that affects knuckles in the hand. The fracture of the fifth metacarpal neck also known as boxers fracture, named. Boxing Wrist Fracture.
From www.sportsmedreview.com
Review of Boxer's Fracture Sports Medicine Review Boxing Wrist Fracture A boxer's fracture, or metacarpal fracture, is a bone fracture that affects knuckles in the hand. A boxer’s fracture may also be called fifth. A boxer’s fracture is when you break a bone at the base of your finger, near the knuckle or neck of the bone. A boxer's fracture is a break in a metacarpal bone that connects the. Boxing Wrist Fracture.
From radiogyan.com
Boxer’s Fracture [Why is it A Misnomer?] Radiology Case RadioGyan Boxing Wrist Fracture These are known as the fourth and fifth. A boxer's fracture occurs when the neck of the fifth metacarpal bone breaks, usually resulting from a direct blow with a clenched fist. That bone is known as a metacarpal. Causes include punching or smacking with the hand, or dropping something on the hand. A boxer’s fracture may also be called fifth.. Boxing Wrist Fracture.
From radiopaedia.org
Boxer's fracture Image Boxing Wrist Fracture A boxer’s fracture may also be called fifth. A boxer's fracture is a break in a metacarpal bone that connects the ring finger or the little finger to the wrist. A boxer’s fracture is when you break a bone at the base of your finger, near the knuckle or neck of the bone. A boxer's fracture, or metacarpal fracture, is. Boxing Wrist Fracture.
From kravmagacwb.blogspot.com
Krav Maga Curitiba Fratura do Boxer Boxing Wrist Fracture A boxer's fracture is a break in a metacarpal bone that connects the ring finger or the little finger to the wrist. A boxer's fracture occurs when the neck of the fifth metacarpal bone breaks, usually resulting from a direct blow with a clenched fist. These are known as the fourth and fifth. A boxer's fracture, or metacarpal fracture, is. Boxing Wrist Fracture.
From www.slideserve.com
PPT Wrist and Hand injuries PowerPoint Presentation, free download Boxing Wrist Fracture A boxer’s fracture is when you break a bone at the base of your finger, near the knuckle or neck of the bone. A boxer's fracture occurs when the neck of the fifth metacarpal bone breaks, usually resulting from a direct blow with a clenched fist. The fracture of the fifth metacarpal neck also known as boxers fracture, named after. Boxing Wrist Fracture.