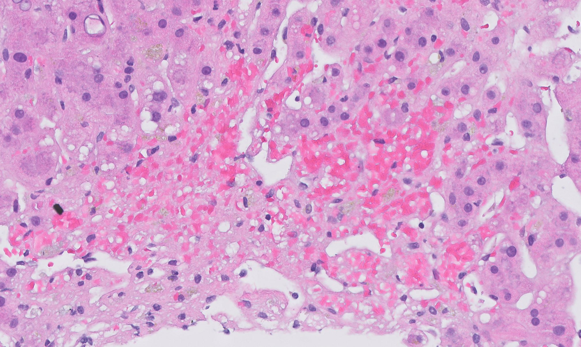
Nutmeg Liver Histology . grossly, the congested liver has been characterized as a “nutmeg liver,” 12 with dark centrilobular zones reflecting. This 47 year old man, a known sufferer from chronic rheumatic valvulitis, was admitted in. microscopically, the nutmeg pattern results from passive congestion around the central veins , as seen here. nutmeg liver is a term for the appearance of liver in chronic venous congestion, which resembles the speckled nutmeg kernel. Here is an example of a nutmeg liver seen with chronic passive congestion of the liver. a nutmeg liver appearance is due to a perfusion abnormality of the liver usually as result of hepatic venous. cardiac (congestive) hepatopathy and fontan associated liver disease are manifestations of chronic,. The congestive liver explant has been characterized as a “nutmeg liver”, due to the presence of dark.
from emj.bmj.com
a nutmeg liver appearance is due to a perfusion abnormality of the liver usually as result of hepatic venous. microscopically, the nutmeg pattern results from passive congestion around the central veins , as seen here. This 47 year old man, a known sufferer from chronic rheumatic valvulitis, was admitted in. grossly, the congested liver has been characterized as a “nutmeg liver,” 12 with dark centrilobular zones reflecting. Here is an example of a nutmeg liver seen with chronic passive congestion of the liver. cardiac (congestive) hepatopathy and fontan associated liver disease are manifestations of chronic,. The congestive liver explant has been characterized as a “nutmeg liver”, due to the presence of dark. nutmeg liver is a term for the appearance of liver in chronic venous congestion, which resembles the speckled nutmeg kernel.
Nutmeg liver Emergency Medicine Journal
Nutmeg Liver Histology This 47 year old man, a known sufferer from chronic rheumatic valvulitis, was admitted in. This 47 year old man, a known sufferer from chronic rheumatic valvulitis, was admitted in. microscopically, the nutmeg pattern results from passive congestion around the central veins , as seen here. a nutmeg liver appearance is due to a perfusion abnormality of the liver usually as result of hepatic venous. cardiac (congestive) hepatopathy and fontan associated liver disease are manifestations of chronic,. The congestive liver explant has been characterized as a “nutmeg liver”, due to the presence of dark. Here is an example of a nutmeg liver seen with chronic passive congestion of the liver. grossly, the congested liver has been characterized as a “nutmeg liver,” 12 with dark centrilobular zones reflecting. nutmeg liver is a term for the appearance of liver in chronic venous congestion, which resembles the speckled nutmeg kernel.
From www.pathologyoutlines.com
Pathology Outlines Patterns of injury Nutmeg Liver Histology a nutmeg liver appearance is due to a perfusion abnormality of the liver usually as result of hepatic venous. grossly, the congested liver has been characterized as a “nutmeg liver,” 12 with dark centrilobular zones reflecting. nutmeg liver is a term for the appearance of liver in chronic venous congestion, which resembles the speckled nutmeg kernel. The. Nutmeg Liver Histology.
From www.pathologyoutlines.com
Pathology Outlines Cardiac (congestive) hepatopathy and Fontan Nutmeg Liver Histology cardiac (congestive) hepatopathy and fontan associated liver disease are manifestations of chronic,. grossly, the congested liver has been characterized as a “nutmeg liver,” 12 with dark centrilobular zones reflecting. The congestive liver explant has been characterized as a “nutmeg liver”, due to the presence of dark. microscopically, the nutmeg pattern results from passive congestion around the central. Nutmeg Liver Histology.
From ar.inspiredpencil.com
Nutmeg Liver Histology Nutmeg Liver Histology a nutmeg liver appearance is due to a perfusion abnormality of the liver usually as result of hepatic venous. nutmeg liver is a term for the appearance of liver in chronic venous congestion, which resembles the speckled nutmeg kernel. The congestive liver explant has been characterized as a “nutmeg liver”, due to the presence of dark. This 47. Nutmeg Liver Histology.
From fity.club
Liver Slide Histology Nutmeg Liver Histology nutmeg liver is a term for the appearance of liver in chronic venous congestion, which resembles the speckled nutmeg kernel. This 47 year old man, a known sufferer from chronic rheumatic valvulitis, was admitted in. grossly, the congested liver has been characterized as a “nutmeg liver,” 12 with dark centrilobular zones reflecting. cardiac (congestive) hepatopathy and fontan. Nutmeg Liver Histology.
From mavink.com
Liver Fibrosis Histology Nutmeg Liver Histology The congestive liver explant has been characterized as a “nutmeg liver”, due to the presence of dark. Here is an example of a nutmeg liver seen with chronic passive congestion of the liver. nutmeg liver is a term for the appearance of liver in chronic venous congestion, which resembles the speckled nutmeg kernel. This 47 year old man, a. Nutmeg Liver Histology.
From medicine.nus.edu.sg
Liver Chronic Venous Congestion NUS Pathweb NUS Pathweb Nutmeg Liver Histology The congestive liver explant has been characterized as a “nutmeg liver”, due to the presence of dark. nutmeg liver is a term for the appearance of liver in chronic venous congestion, which resembles the speckled nutmeg kernel. Here is an example of a nutmeg liver seen with chronic passive congestion of the liver. cardiac (congestive) hepatopathy and fontan. Nutmeg Liver Histology.
From ar.inspiredpencil.com
Nutmeg Liver Histology Nutmeg Liver Histology Here is an example of a nutmeg liver seen with chronic passive congestion of the liver. The congestive liver explant has been characterized as a “nutmeg liver”, due to the presence of dark. microscopically, the nutmeg pattern results from passive congestion around the central veins , as seen here. a nutmeg liver appearance is due to a perfusion. Nutmeg Liver Histology.
From proper-cooking.info
Liver Histology Diagram Nutmeg Liver Histology grossly, the congested liver has been characterized as a “nutmeg liver,” 12 with dark centrilobular zones reflecting. This 47 year old man, a known sufferer from chronic rheumatic valvulitis, was admitted in. microscopically, the nutmeg pattern results from passive congestion around the central veins , as seen here. a nutmeg liver appearance is due to a perfusion. Nutmeg Liver Histology.
From www.inutoneko.info
Nutmeg Liver Histology Nutmeg Liver Histology Here is an example of a nutmeg liver seen with chronic passive congestion of the liver. This 47 year old man, a known sufferer from chronic rheumatic valvulitis, was admitted in. nutmeg liver is a term for the appearance of liver in chronic venous congestion, which resembles the speckled nutmeg kernel. The congestive liver explant has been characterized as. Nutmeg Liver Histology.
From www.pinterest.com
Nutmeg liver (chronic passive venous congestion) via Michal Kunk MKunk Nutmeg Liver Histology a nutmeg liver appearance is due to a perfusion abnormality of the liver usually as result of hepatic venous. Here is an example of a nutmeg liver seen with chronic passive congestion of the liver. grossly, the congested liver has been characterized as a “nutmeg liver,” 12 with dark centrilobular zones reflecting. nutmeg liver is a term. Nutmeg Liver Histology.
From ar.inspiredpencil.com
Liver Histology Central Vein Nutmeg Liver Histology This 47 year old man, a known sufferer from chronic rheumatic valvulitis, was admitted in. Here is an example of a nutmeg liver seen with chronic passive congestion of the liver. microscopically, the nutmeg pattern results from passive congestion around the central veins , as seen here. cardiac (congestive) hepatopathy and fontan associated liver disease are manifestations of. Nutmeg Liver Histology.
From overallscience.com
Structure of Liver Overall Science Nutmeg Liver Histology This 47 year old man, a known sufferer from chronic rheumatic valvulitis, was admitted in. microscopically, the nutmeg pattern results from passive congestion around the central veins , as seen here. grossly, the congested liver has been characterized as a “nutmeg liver,” 12 with dark centrilobular zones reflecting. cardiac (congestive) hepatopathy and fontan associated liver disease are. Nutmeg Liver Histology.
From www.pathologyoutlines.com
Pathology Outlines Cardiac (congestive) hepatopathy and Fontan Nutmeg Liver Histology grossly, the congested liver has been characterized as a “nutmeg liver,” 12 with dark centrilobular zones reflecting. Here is an example of a nutmeg liver seen with chronic passive congestion of the liver. cardiac (congestive) hepatopathy and fontan associated liver disease are manifestations of chronic,. This 47 year old man, a known sufferer from chronic rheumatic valvulitis, was. Nutmeg Liver Histology.
From www.inutoneko.info
Nutmeg Liver Histology Nutmeg Liver Histology This 47 year old man, a known sufferer from chronic rheumatic valvulitis, was admitted in. Here is an example of a nutmeg liver seen with chronic passive congestion of the liver. microscopically, the nutmeg pattern results from passive congestion around the central veins , as seen here. The congestive liver explant has been characterized as a “nutmeg liver”, due. Nutmeg Liver Histology.
From www.researchgate.net
Gross morphology and histopathology of the liver in (A) control, (B Nutmeg Liver Histology microscopically, the nutmeg pattern results from passive congestion around the central veins , as seen here. grossly, the congested liver has been characterized as a “nutmeg liver,” 12 with dark centrilobular zones reflecting. Here is an example of a nutmeg liver seen with chronic passive congestion of the liver. This 47 year old man, a known sufferer from. Nutmeg Liver Histology.
From fity.club
5 Anatomy And Functional Histology Of The Liver Medicine Nutmeg Liver Histology This 47 year old man, a known sufferer from chronic rheumatic valvulitis, was admitted in. cardiac (congestive) hepatopathy and fontan associated liver disease are manifestations of chronic,. microscopically, the nutmeg pattern results from passive congestion around the central veins , as seen here. a nutmeg liver appearance is due to a perfusion abnormality of the liver usually. Nutmeg Liver Histology.
From www.researchgate.net
Histopathology changes in the translocated part of the liver. Image a Nutmeg Liver Histology cardiac (congestive) hepatopathy and fontan associated liver disease are manifestations of chronic,. Here is an example of a nutmeg liver seen with chronic passive congestion of the liver. The congestive liver explant has been characterized as a “nutmeg liver”, due to the presence of dark. a nutmeg liver appearance is due to a perfusion abnormality of the liver. Nutmeg Liver Histology.
From www.wikidoc.org
Nutmeg liver wikidoc Nutmeg Liver Histology nutmeg liver is a term for the appearance of liver in chronic venous congestion, which resembles the speckled nutmeg kernel. The congestive liver explant has been characterized as a “nutmeg liver”, due to the presence of dark. Here is an example of a nutmeg liver seen with chronic passive congestion of the liver. cardiac (congestive) hepatopathy and fontan. Nutmeg Liver Histology.
From www.researchgate.net
Cardiac (congestive) hepatopathy. (A) Gross photograph of a liver with Nutmeg Liver Histology This 47 year old man, a known sufferer from chronic rheumatic valvulitis, was admitted in. nutmeg liver is a term for the appearance of liver in chronic venous congestion, which resembles the speckled nutmeg kernel. a nutmeg liver appearance is due to a perfusion abnormality of the liver usually as result of hepatic venous. microscopically, the nutmeg. Nutmeg Liver Histology.
From www.inutoneko.info
Nutmeg Liver Histology Nutmeg Liver Histology This 47 year old man, a known sufferer from chronic rheumatic valvulitis, was admitted in. microscopically, the nutmeg pattern results from passive congestion around the central veins , as seen here. grossly, the congested liver has been characterized as a “nutmeg liver,” 12 with dark centrilobular zones reflecting. Here is an example of a nutmeg liver seen with. Nutmeg Liver Histology.
From ar.inspiredpencil.com
Nutmeg Liver Histology Nutmeg Liver Histology This 47 year old man, a known sufferer from chronic rheumatic valvulitis, was admitted in. microscopically, the nutmeg pattern results from passive congestion around the central veins , as seen here. Here is an example of a nutmeg liver seen with chronic passive congestion of the liver. grossly, the congested liver has been characterized as a “nutmeg liver,”. Nutmeg Liver Histology.
From ar.inspiredpencil.com
Nutmeg Liver Histology Nutmeg Liver Histology a nutmeg liver appearance is due to a perfusion abnormality of the liver usually as result of hepatic venous. This 47 year old man, a known sufferer from chronic rheumatic valvulitis, was admitted in. nutmeg liver is a term for the appearance of liver in chronic venous congestion, which resembles the speckled nutmeg kernel. grossly, the congested. Nutmeg Liver Histology.
From emj.bmj.com
Nutmeg liver Emergency Medicine Journal Nutmeg Liver Histology This 47 year old man, a known sufferer from chronic rheumatic valvulitis, was admitted in. cardiac (congestive) hepatopathy and fontan associated liver disease are manifestations of chronic,. nutmeg liver is a term for the appearance of liver in chronic venous congestion, which resembles the speckled nutmeg kernel. microscopically, the nutmeg pattern results from passive congestion around the. Nutmeg Liver Histology.
From embryology.med.unsw.edu.au
FileLiver histology 101.jpg Embryology Nutmeg Liver Histology nutmeg liver is a term for the appearance of liver in chronic venous congestion, which resembles the speckled nutmeg kernel. grossly, the congested liver has been characterized as a “nutmeg liver,” 12 with dark centrilobular zones reflecting. The congestive liver explant has been characterized as a “nutmeg liver”, due to the presence of dark. Here is an example. Nutmeg Liver Histology.
From www.inutoneko.info
Nutmeg Liver Histology Nutmeg Liver Histology Here is an example of a nutmeg liver seen with chronic passive congestion of the liver. nutmeg liver is a term for the appearance of liver in chronic venous congestion, which resembles the speckled nutmeg kernel. This 47 year old man, a known sufferer from chronic rheumatic valvulitis, was admitted in. The congestive liver explant has been characterized as. Nutmeg Liver Histology.
From ar.inspiredpencil.com
Nutmeg Liver Histology Nutmeg Liver Histology cardiac (congestive) hepatopathy and fontan associated liver disease are manifestations of chronic,. nutmeg liver is a term for the appearance of liver in chronic venous congestion, which resembles the speckled nutmeg kernel. The congestive liver explant has been characterized as a “nutmeg liver”, due to the presence of dark. microscopically, the nutmeg pattern results from passive congestion. Nutmeg Liver Histology.
From www.wikidoc.org
Nutmeg liver wikidoc Nutmeg Liver Histology The congestive liver explant has been characterized as a “nutmeg liver”, due to the presence of dark. cardiac (congestive) hepatopathy and fontan associated liver disease are manifestations of chronic,. nutmeg liver is a term for the appearance of liver in chronic venous congestion, which resembles the speckled nutmeg kernel. This 47 year old man, a known sufferer from. Nutmeg Liver Histology.
From ar.inspiredpencil.com
Nutmeg Liver Histology Nutmeg Liver Histology cardiac (congestive) hepatopathy and fontan associated liver disease are manifestations of chronic,. grossly, the congested liver has been characterized as a “nutmeg liver,” 12 with dark centrilobular zones reflecting. nutmeg liver is a term for the appearance of liver in chronic venous congestion, which resembles the speckled nutmeg kernel. microscopically, the nutmeg pattern results from passive. Nutmeg Liver Histology.
From www.youtube.com
CVC LIVER NUTMEG LIVER Hemodynamic Disorder I Pathology YouTube Nutmeg Liver Histology grossly, the congested liver has been characterized as a “nutmeg liver,” 12 with dark centrilobular zones reflecting. cardiac (congestive) hepatopathy and fontan associated liver disease are manifestations of chronic,. Here is an example of a nutmeg liver seen with chronic passive congestion of the liver. microscopically, the nutmeg pattern results from passive congestion around the central veins. Nutmeg Liver Histology.
From ar.inspiredpencil.com
Nutmeg Liver Histology Nutmeg Liver Histology The congestive liver explant has been characterized as a “nutmeg liver”, due to the presence of dark. This 47 year old man, a known sufferer from chronic rheumatic valvulitis, was admitted in. microscopically, the nutmeg pattern results from passive congestion around the central veins , as seen here. a nutmeg liver appearance is due to a perfusion abnormality. Nutmeg Liver Histology.
From scribnerelectric.com
liver histology photos of vasco nunez Nutmeg Liver Histology The congestive liver explant has been characterized as a “nutmeg liver”, due to the presence of dark. a nutmeg liver appearance is due to a perfusion abnormality of the liver usually as result of hepatic venous. Here is an example of a nutmeg liver seen with chronic passive congestion of the liver. nutmeg liver is a term for. Nutmeg Liver Histology.
From fity.club
5 Anatomy And Functional Histology Of The Liver Medicine Nutmeg Liver Histology cardiac (congestive) hepatopathy and fontan associated liver disease are manifestations of chronic,. Here is an example of a nutmeg liver seen with chronic passive congestion of the liver. grossly, the congested liver has been characterized as a “nutmeg liver,” 12 with dark centrilobular zones reflecting. a nutmeg liver appearance is due to a perfusion abnormality of the. Nutmeg Liver Histology.
From www.inutoneko.info
Nutmeg Liver Histology Nutmeg Liver Histology microscopically, the nutmeg pattern results from passive congestion around the central veins , as seen here. Here is an example of a nutmeg liver seen with chronic passive congestion of the liver. cardiac (congestive) hepatopathy and fontan associated liver disease are manifestations of chronic,. a nutmeg liver appearance is due to a perfusion abnormality of the liver. Nutmeg Liver Histology.
From www.researchgate.net
Liver histopathology obtained at autoptic examination by Masson's Nutmeg Liver Histology a nutmeg liver appearance is due to a perfusion abnormality of the liver usually as result of hepatic venous. This 47 year old man, a known sufferer from chronic rheumatic valvulitis, was admitted in. Here is an example of a nutmeg liver seen with chronic passive congestion of the liver. nutmeg liver is a term for the appearance. Nutmeg Liver Histology.
From medicine.nus.edu.sg
Liver Normal Histology NUS Pathweb NUS Pathweb Nutmeg Liver Histology grossly, the congested liver has been characterized as a “nutmeg liver,” 12 with dark centrilobular zones reflecting. microscopically, the nutmeg pattern results from passive congestion around the central veins , as seen here. a nutmeg liver appearance is due to a perfusion abnormality of the liver usually as result of hepatic venous. This 47 year old man,. Nutmeg Liver Histology.