How To Heal A Broken Humerus . A temporary splint extending from the shoulder to the forearm and holding the elbow bent at 90 degrees can be used for initial management of the fracture. the humerus is the upper arm’s only bone. A fracture of the proximal part means that it is broken up near the shoulder joint. During this time, you will do. How should it be treated? What to do if i am struggling? Some people can recover without surgery and only need a. These fractures normally take between 6 to 12 weeks to heal. To manage your pain, we advise that. It connects the shoulder to the elbow and is strong enough that breaking it typically requires. This fracture can be treated in a sling for 4 weeks. It takes three to four months for the bone to heal. if you break your humerus, you might need surgery to repair your bone. Most broken shoulders can be treated without surgery. The humerus is the long bone in your upper arm.
from www.braceability.com
if you break your humerus, you might need surgery to repair your bone. As healing progresses, more aggressive shoulder strengthening exercises can resume, and full healing typically takes about three months. what is a proximal humerus fracture? This fracture can be treated in a sling for 4 weeks. A temporary splint extending from the shoulder to the forearm and holding the elbow bent at 90 degrees can be used for initial management of the fracture. A fracture of the proximal part means that it is broken up near the shoulder joint. These fractures normally take between 6 to 12 weeks to heal. Most broken shoulders can be treated without surgery. What to do if i am struggling? It takes three to four months for the bone to heal.
Sarmiento Brace Humeral Fracture Broken Upper Arm Splint
How To Heal A Broken Humerus The humerus is the long bone in your upper arm. what is a proximal humerus fracture? It takes three to four months for the bone to heal. As healing progresses, more aggressive shoulder strengthening exercises can resume, and full healing typically takes about three months. It is important to remember that a shoulder fracture is a significant injury. Most broken shoulders can be treated without surgery. How should it be treated? This fracture can be treated in a sling for 4 weeks. The humerus is the long bone in your upper arm. if you break your humerus, you might need surgery to repair your bone. These fractures normally take between 6 to 12 weeks to heal. It connects the shoulder to the elbow and is strong enough that breaking it typically requires. A fracture of the proximal part means that it is broken up near the shoulder joint. Some people can recover without surgery and only need a. To manage your pain, we advise that. During this time, you will do.
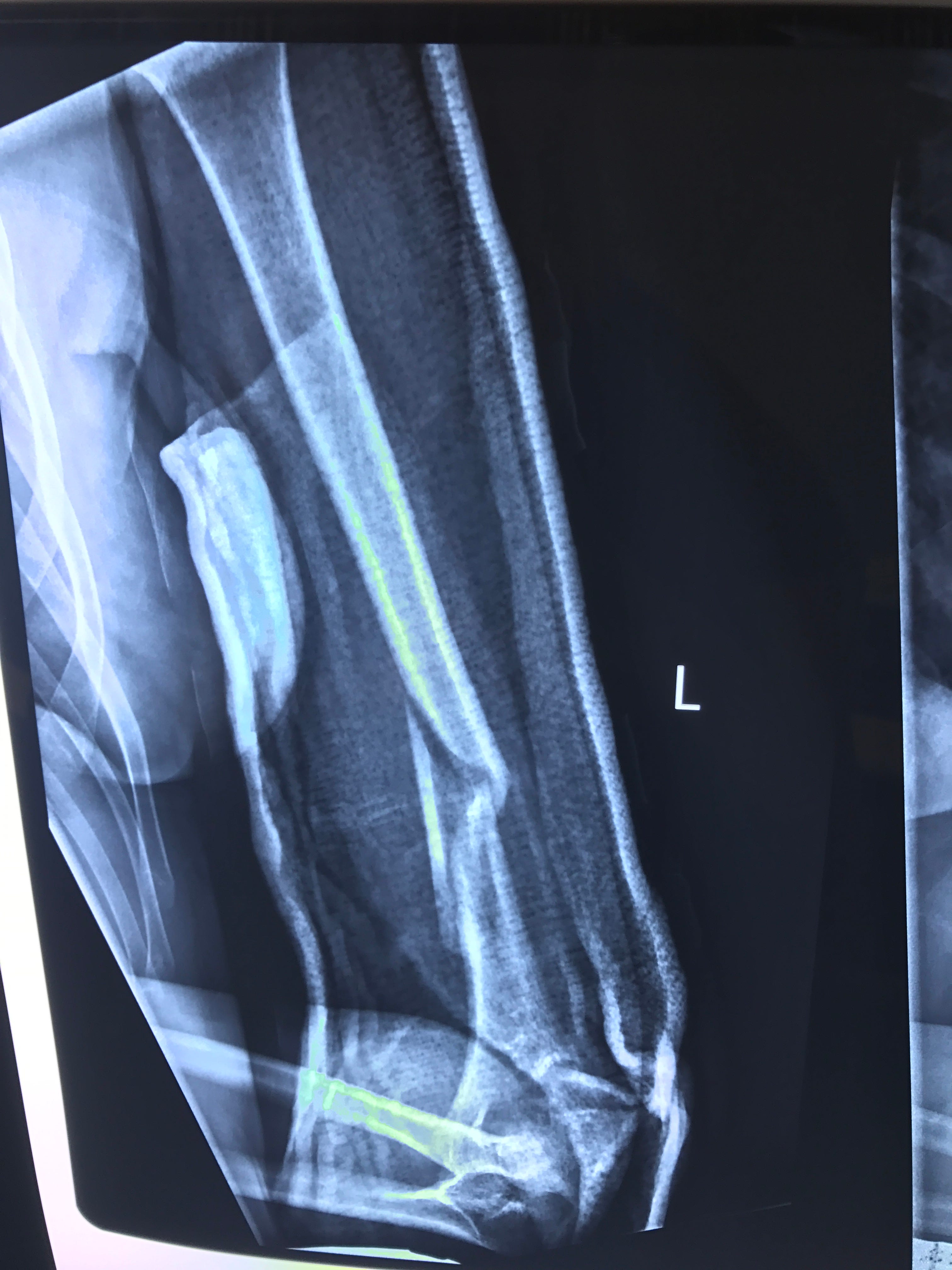
From www.orthobullets.com
Humeral Shaft Fractures Trauma Orthobullets How To Heal A Broken Humerus How should it be treated? the humerus is the upper arm’s only bone. a humerus shaft fracture may be treated with or without surgery, depending on the fracture pattern and associated injuries (i.e., nerve injury or open fracture). To manage your pain, we advise that. A fracture of the proximal part means that it is broken up near. How To Heal A Broken Humerus.
From kinedarbois.fr
Humerus Fracture Whats is the Recovery Time? Physio'Advice How To Heal A Broken Humerus if you break your humerus, you might need surgery to repair your bone. the humerus is the upper arm’s only bone. During this time, you will do. It connects the shoulder to the elbow and is strong enough that breaking it typically requires. To manage your pain, we advise that. Most broken shoulders can be treated without surgery.. How To Heal A Broken Humerus.
From www.drtusharchaudhari.com
Fracture of humerus successfully fixed by Dr.Tusha How To Heal A Broken Humerus To manage your pain, we advise that. A temporary splint extending from the shoulder to the forearm and holding the elbow bent at 90 degrees can be used for initial management of the fracture. What to do if i am struggling? A fracture of the proximal part means that it is broken up near the shoulder joint. It is important. How To Heal A Broken Humerus.
From exywisqmo.blob.core.windows.net
Arm Sling For Fractured Humerus at Bonnie blog How To Heal A Broken Humerus A fracture of the proximal part means that it is broken up near the shoulder joint. During this time, you will do. Some people can recover without surgery and only need a. It takes three to four months for the bone to heal. This fracture can be treated in a sling for 4 weeks. To manage your pain, we advise. How To Heal A Broken Humerus.
From www.braceability.com
Sarmiento Brace Humeral Fracture Broken Upper Arm Splint How To Heal A Broken Humerus It takes three to four months for the bone to heal. It connects the shoulder to the elbow and is strong enough that breaking it typically requires. As healing progresses, more aggressive shoulder strengthening exercises can resume, and full healing typically takes about three months. It is important to remember that a shoulder fracture is a significant injury. These fractures. How To Heal A Broken Humerus.
From medium.com
A Broken Humerus — Road to Recovery Maddie Wirthman Medium How To Heal A Broken Humerus The humerus is the long bone in your upper arm. It takes three to four months for the bone to heal. Some people can recover without surgery and only need a. A temporary splint extending from the shoulder to the forearm and holding the elbow bent at 90 degrees can be used for initial management of the fracture. a. How To Heal A Broken Humerus.
From mungfali.com
Proximal Humerus Fracture Exercises How To Heal A Broken Humerus The humerus is the long bone in your upper arm. It connects the shoulder to the elbow and is strong enough that breaking it typically requires. what is a proximal humerus fracture? A fracture of the proximal part means that it is broken up near the shoulder joint. It takes three to four months for the bone to heal.. How To Heal A Broken Humerus.
From medium.com
A Broken Humerus — Road to Recovery Maddie Wirthman Medium How To Heal A Broken Humerus It is important to remember that a shoulder fracture is a significant injury. the humerus is the upper arm’s only bone. A fracture of the proximal part means that it is broken up near the shoulder joint. These fractures normally take between 6 to 12 weeks to heal. As healing progresses, more aggressive shoulder strengthening exercises can resume, and. How To Heal A Broken Humerus.
From heidenortho.com
How Long Does It Take a Humerus Fracture To Heal? Heiden Orthopedics How To Heal A Broken Humerus What to do if i am struggling? This fracture can be treated in a sling for 4 weeks. How should it be treated? Some people can recover without surgery and only need a. The humerus is the long bone in your upper arm. During this time, you will do. A temporary splint extending from the shoulder to the forearm and. How To Heal A Broken Humerus.
From mavink.com
Broken Humerus Bone Healing Stages How To Heal A Broken Humerus It takes three to four months for the bone to heal. if you break your humerus, you might need surgery to repair your bone. the humerus is the upper arm’s only bone. The humerus is the long bone in your upper arm. A fracture of the proximal part means that it is broken up near the shoulder joint.. How To Heal A Broken Humerus.
From medium.com
A Broken Humerus — Road to Recovery by Maddie Wirthman Medium How To Heal A Broken Humerus the humerus is the upper arm’s only bone. A fracture of the proximal part means that it is broken up near the shoulder joint. It is important to remember that a shoulder fracture is a significant injury. It connects the shoulder to the elbow and is strong enough that breaking it typically requires. Most broken shoulders can be treated. How To Heal A Broken Humerus.
From www.researchgate.net
Clinical example of humerus fracture healing. Download Scientific Diagram How To Heal A Broken Humerus During this time, you will do. a humerus shaft fracture may be treated with or without surgery, depending on the fracture pattern and associated injuries (i.e., nerve injury or open fracture). Most broken shoulders can be treated without surgery. To manage your pain, we advise that. It connects the shoulder to the elbow and is strong enough that breaking. How To Heal A Broken Humerus.
From drcetinisik.com
Humerus fracture; From diagnosis to treatment Dr. What's wrong with you? How To Heal A Broken Humerus Some people can recover without surgery and only need a. the humerus is the upper arm’s only bone. if you break your humerus, you might need surgery to repair your bone. These fractures normally take between 6 to 12 weeks to heal. During this time, you will do. a humerus shaft fracture may be treated with or. How To Heal A Broken Humerus.
From www.youtube.com
How to Rehab a Humeral Fracture YouTube How To Heal A Broken Humerus How should it be treated? A fracture of the proximal part means that it is broken up near the shoulder joint. Some people can recover without surgery and only need a. what is a proximal humerus fracture? a humerus shaft fracture may be treated with or without surgery, depending on the fracture pattern and associated injuries (i.e., nerve. How To Heal A Broken Humerus.
From mavink.com
Broken Humerus Bone Healing Stages How To Heal A Broken Humerus Most broken shoulders can be treated without surgery. the humerus is the upper arm’s only bone. What to do if i am struggling? During this time, you will do. A fracture of the proximal part means that it is broken up near the shoulder joint. Some people can recover without surgery and only need a. It connects the shoulder. How To Heal A Broken Humerus.
From www.epainassist.com
Proximal Humerus Fracture Treatment, Exercises, Causes, Symptoms How To Heal A Broken Humerus What to do if i am struggling? a humerus shaft fracture may be treated with or without surgery, depending on the fracture pattern and associated injuries (i.e., nerve injury or open fracture). what is a proximal humerus fracture? A temporary splint extending from the shoulder to the forearm and holding the elbow bent at 90 degrees can be. How To Heal A Broken Humerus.
From heidenortho.com
How Long Does It Take a Humerus Fracture To Heal? Heiden Orthopedics How To Heal A Broken Humerus This fracture can be treated in a sling for 4 weeks. These fractures normally take between 6 to 12 weeks to heal. What to do if i am struggling? During this time, you will do. As healing progresses, more aggressive shoulder strengthening exercises can resume, and full healing typically takes about three months. Some people can recover without surgery and. How To Heal A Broken Humerus.
From www.youtube.com
Top Exercises & Stretches After Healed Shoulder Fracture (Humerus How To Heal A Broken Humerus What to do if i am struggling? To manage your pain, we advise that. During this time, you will do. the humerus is the upper arm’s only bone. How should it be treated? It connects the shoulder to the elbow and is strong enough that breaking it typically requires. A fracture of the proximal part means that it is. How To Heal A Broken Humerus.
From fatesc.com
Humerus Fracture Types, Symptoms & Treatment (2022) How To Heal A Broken Humerus As healing progresses, more aggressive shoulder strengthening exercises can resume, and full healing typically takes about three months. if you break your humerus, you might need surgery to repair your bone. How should it be treated? What to do if i am struggling? Most broken shoulders can be treated without surgery. To manage your pain, we advise that. . How To Heal A Broken Humerus.
From rowher.saisonsdumonde.fr
Broken Humerus Bone Healing Stages How To Heal A Broken Humerus Most broken shoulders can be treated without surgery. It is important to remember that a shoulder fracture is a significant injury. This fracture can be treated in a sling for 4 weeks. What to do if i am struggling? a humerus shaft fracture may be treated with or without surgery, depending on the fracture pattern and associated injuries (i.e.,. How To Heal A Broken Humerus.
From mi-pro.co.uk
How Long Does It Take a Humerus Fracture To Heal? Heiden Orthopedics How To Heal A Broken Humerus A fracture of the proximal part means that it is broken up near the shoulder joint. the humerus is the upper arm’s only bone. It is important to remember that a shoulder fracture is a significant injury. This fracture can be treated in a sling for 4 weeks. Most broken shoulders can be treated without surgery. It takes three. How To Heal A Broken Humerus.
From hxenocqma.blob.core.windows.net
What Is The Fastest Way To Heal A Broken Humerus at Forrest McCoy blog How To Heal A Broken Humerus The humerus is the long bone in your upper arm. if you break your humerus, you might need surgery to repair your bone. It connects the shoulder to the elbow and is strong enough that breaking it typically requires. How should it be treated? As healing progresses, more aggressive shoulder strengthening exercises can resume, and full healing typically takes. How To Heal A Broken Humerus.
From en.wikipedia.org
Proximal humerus fracture Wikipedia How To Heal A Broken Humerus Some people can recover without surgery and only need a. A fracture of the proximal part means that it is broken up near the shoulder joint. Most broken shoulders can be treated without surgery. This fracture can be treated in a sling for 4 weeks. It is important to remember that a shoulder fracture is a significant injury. what. How To Heal A Broken Humerus.
From www.braceability.com
Sarmiento Brace Humeral Fracture Broken Upper Arm Splint How To Heal A Broken Humerus It connects the shoulder to the elbow and is strong enough that breaking it typically requires. if you break your humerus, you might need surgery to repair your bone. How should it be treated? what is a proximal humerus fracture? The humerus is the long bone in your upper arm. A fracture of the proximal part means that. How To Heal A Broken Humerus.
From orthopaedicprinciples.com
Principles of Fracture healing — How To Heal A Broken Humerus The humerus is the long bone in your upper arm. if you break your humerus, you might need surgery to repair your bone. As healing progresses, more aggressive shoulder strengthening exercises can resume, and full healing typically takes about three months. A fracture of the proximal part means that it is broken up near the shoulder joint. Most broken. How To Heal A Broken Humerus.
From medium.com
A Broken Humerus — Road to Recovery by Maddie Wirthman Medium How To Heal A Broken Humerus These fractures normally take between 6 to 12 weeks to heal. How should it be treated? This fracture can be treated in a sling for 4 weeks. It connects the shoulder to the elbow and is strong enough that breaking it typically requires. A temporary splint extending from the shoulder to the forearm and holding the elbow bent at 90. How To Heal A Broken Humerus.
From medium.com
A Broken Humerus — Road to Recovery Maddie Wirthman Medium How To Heal A Broken Humerus These fractures normally take between 6 to 12 weeks to heal. This fracture can be treated in a sling for 4 weeks. The humerus is the long bone in your upper arm. what is a proximal humerus fracture? a humerus shaft fracture may be treated with or without surgery, depending on the fracture pattern and associated injuries (i.e.,. How To Heal A Broken Humerus.
From www.sports-health.com
Treating a Proximal Humerus Fracture How To Heal A Broken Humerus These fractures normally take between 6 to 12 weeks to heal. Most broken shoulders can be treated without surgery. A fracture of the proximal part means that it is broken up near the shoulder joint. It connects the shoulder to the elbow and is strong enough that breaking it typically requires. A temporary splint extending from the shoulder to the. How To Heal A Broken Humerus.
From medium.com
A Broken Humerus — Road to Recovery Maddie Wirthman Medium How To Heal A Broken Humerus A fracture of the proximal part means that it is broken up near the shoulder joint. It is important to remember that a shoulder fracture is a significant injury. what is a proximal humerus fracture? the humerus is the upper arm’s only bone. Some people can recover without surgery and only need a. It connects the shoulder to. How To Heal A Broken Humerus.
From www.reddit.com
Distal humerus healing after 2 months (cast off) r/brokenbones How To Heal A Broken Humerus What to do if i am struggling? A fracture of the proximal part means that it is broken up near the shoulder joint. This fracture can be treated in a sling for 4 weeks. How should it be treated? what is a proximal humerus fracture? As healing progresses, more aggressive shoulder strengthening exercises can resume, and full healing typically. How To Heal A Broken Humerus.
From www.youtube.com
Humerus Fractures Everything You Need To Know Dr. Nabil Ebraheim How To Heal A Broken Humerus This fracture can be treated in a sling for 4 weeks. the humerus is the upper arm’s only bone. what is a proximal humerus fracture? It takes three to four months for the bone to heal. What to do if i am struggling? How should it be treated? The humerus is the long bone in your upper arm.. How To Heal A Broken Humerus.
From rehab-faq.com
How To Rehab A Broken Humerus How To Heal A Broken Humerus It takes three to four months for the bone to heal. Most broken shoulders can be treated without surgery. This fracture can be treated in a sling for 4 weeks. a humerus shaft fracture may be treated with or without surgery, depending on the fracture pattern and associated injuries (i.e., nerve injury or open fracture). It is important to. How To Heal A Broken Humerus.
From hxenocqma.blob.core.windows.net
What Is The Fastest Way To Heal A Broken Humerus at Forrest McCoy blog How To Heal A Broken Humerus What to do if i am struggling? a humerus shaft fracture may be treated with or without surgery, depending on the fracture pattern and associated injuries (i.e., nerve injury or open fracture). Most broken shoulders can be treated without surgery. During this time, you will do. A fracture of the proximal part means that it is broken up near. How To Heal A Broken Humerus.
From www.verywellhealth.com
MidShaft Humerus Fracture Treatment How To Heal A Broken Humerus what is a proximal humerus fracture? What to do if i am struggling? This fracture can be treated in a sling for 4 weeks. How should it be treated? To manage your pain, we advise that. It connects the shoulder to the elbow and is strong enough that breaking it typically requires. A temporary splint extending from the shoulder. How To Heal A Broken Humerus.
From hxenocqma.blob.core.windows.net
What Is The Fastest Way To Heal A Broken Humerus at Forrest McCoy blog How To Heal A Broken Humerus How should it be treated? During this time, you will do. To manage your pain, we advise that. The humerus is the long bone in your upper arm. It is important to remember that a shoulder fracture is a significant injury. Most broken shoulders can be treated without surgery. if you break your humerus, you might need surgery to. How To Heal A Broken Humerus.