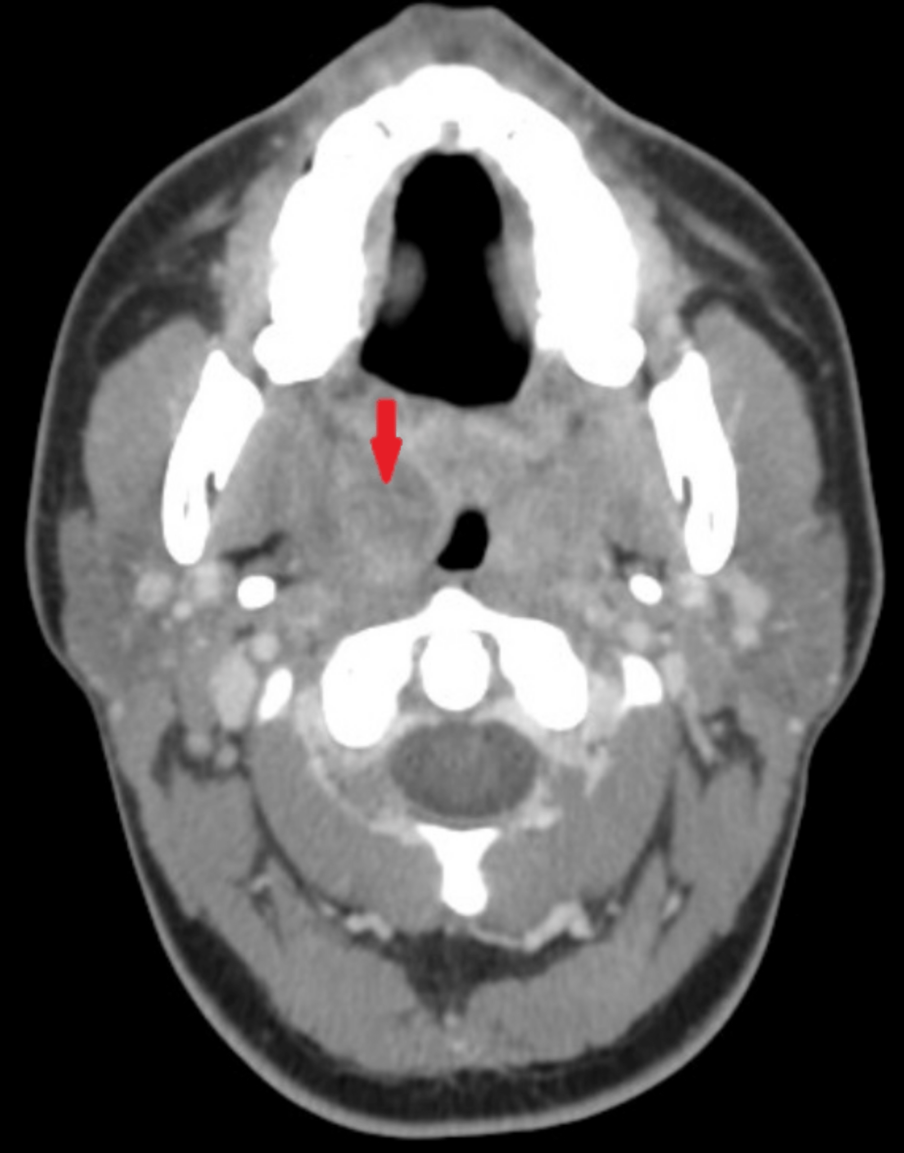
Abscess Vs Phlegmon . a phlegmon results when an acute infection is not confined as in the case of abscess. differentiate between various deep neck infections based on anatomical location and clinical presentation. an alternate term for cellulitis is phlegmon. A phlegmon is unbounded and can keep spreading out. the difference between phlegmon and abscess is as follows: Instead the infection spreads along tissue. phlegmon is an area of soft tissue or fluid density effacing or displacing usual fat or other connective tissue and. cellulitis commonly carries a narrower dermatologic connotation of a spreading skin infection, while phlegmon is more often.
from www.ejradiology.com
phlegmon is an area of soft tissue or fluid density effacing or displacing usual fat or other connective tissue and. an alternate term for cellulitis is phlegmon. cellulitis commonly carries a narrower dermatologic connotation of a spreading skin infection, while phlegmon is more often. Instead the infection spreads along tissue. differentiate between various deep neck infections based on anatomical location and clinical presentation. a phlegmon results when an acute infection is not confined as in the case of abscess. the difference between phlegmon and abscess is as follows: A phlegmon is unbounded and can keep spreading out.
Contrastenhanced ultrasound in the differentiation between phlegmon and abscess in Crohn's
Abscess Vs Phlegmon cellulitis commonly carries a narrower dermatologic connotation of a spreading skin infection, while phlegmon is more often. cellulitis commonly carries a narrower dermatologic connotation of a spreading skin infection, while phlegmon is more often. a phlegmon results when an acute infection is not confined as in the case of abscess. an alternate term for cellulitis is phlegmon. differentiate between various deep neck infections based on anatomical location and clinical presentation. the difference between phlegmon and abscess is as follows: Instead the infection spreads along tissue. phlegmon is an area of soft tissue or fluid density effacing or displacing usual fat or other connective tissue and. A phlegmon is unbounded and can keep spreading out.
From
Abscess Vs Phlegmon Instead the infection spreads along tissue. an alternate term for cellulitis is phlegmon. phlegmon is an area of soft tissue or fluid density effacing or displacing usual fat or other connective tissue and. differentiate between various deep neck infections based on anatomical location and clinical presentation. a phlegmon results when an acute infection is not confined. Abscess Vs Phlegmon.
From
Abscess Vs Phlegmon cellulitis commonly carries a narrower dermatologic connotation of a spreading skin infection, while phlegmon is more often. A phlegmon is unbounded and can keep spreading out. Instead the infection spreads along tissue. an alternate term for cellulitis is phlegmon. differentiate between various deep neck infections based on anatomical location and clinical presentation. the difference between phlegmon. Abscess Vs Phlegmon.
From
Abscess Vs Phlegmon phlegmon is an area of soft tissue or fluid density effacing or displacing usual fat or other connective tissue and. Instead the infection spreads along tissue. a phlegmon results when an acute infection is not confined as in the case of abscess. A phlegmon is unbounded and can keep spreading out. differentiate between various deep neck infections. Abscess Vs Phlegmon.
From www.cureus.com
Cureus Are Computed Tomography Scans Necessary for the Diagnosis of Peritonsillar Abscess? Abscess Vs Phlegmon an alternate term for cellulitis is phlegmon. differentiate between various deep neck infections based on anatomical location and clinical presentation. phlegmon is an area of soft tissue or fluid density effacing or displacing usual fat or other connective tissue and. A phlegmon is unbounded and can keep spreading out. Instead the infection spreads along tissue. the. Abscess Vs Phlegmon.
From
Abscess Vs Phlegmon differentiate between various deep neck infections based on anatomical location and clinical presentation. A phlegmon is unbounded and can keep spreading out. Instead the infection spreads along tissue. a phlegmon results when an acute infection is not confined as in the case of abscess. phlegmon is an area of soft tissue or fluid density effacing or displacing. Abscess Vs Phlegmon.
From
Abscess Vs Phlegmon the difference between phlegmon and abscess is as follows: an alternate term for cellulitis is phlegmon. A phlegmon is unbounded and can keep spreading out. cellulitis commonly carries a narrower dermatologic connotation of a spreading skin infection, while phlegmon is more often. Instead the infection spreads along tissue. a phlegmon results when an acute infection is. Abscess Vs Phlegmon.
From
Abscess Vs Phlegmon A phlegmon is unbounded and can keep spreading out. a phlegmon results when an acute infection is not confined as in the case of abscess. Instead the infection spreads along tissue. phlegmon is an area of soft tissue or fluid density effacing or displacing usual fat or other connective tissue and. cellulitis commonly carries a narrower dermatologic. Abscess Vs Phlegmon.
From
Abscess Vs Phlegmon a phlegmon results when an acute infection is not confined as in the case of abscess. the difference between phlegmon and abscess is as follows: phlegmon is an area of soft tissue or fluid density effacing or displacing usual fat or other connective tissue and. A phlegmon is unbounded and can keep spreading out. an alternate. Abscess Vs Phlegmon.
From
Abscess Vs Phlegmon a phlegmon results when an acute infection is not confined as in the case of abscess. Instead the infection spreads along tissue. differentiate between various deep neck infections based on anatomical location and clinical presentation. the difference between phlegmon and abscess is as follows: an alternate term for cellulitis is phlegmon. phlegmon is an area. Abscess Vs Phlegmon.
From www.researchgate.net
(PDF) Parapharyngeal and floor‐of‐mouth abscess secondary to tonsillar phlegmon A rare and Abscess Vs Phlegmon Instead the infection spreads along tissue. a phlegmon results when an acute infection is not confined as in the case of abscess. A phlegmon is unbounded and can keep spreading out. cellulitis commonly carries a narrower dermatologic connotation of a spreading skin infection, while phlegmon is more often. an alternate term for cellulitis is phlegmon. phlegmon. Abscess Vs Phlegmon.
From
Abscess Vs Phlegmon differentiate between various deep neck infections based on anatomical location and clinical presentation. an alternate term for cellulitis is phlegmon. cellulitis commonly carries a narrower dermatologic connotation of a spreading skin infection, while phlegmon is more often. Instead the infection spreads along tissue. the difference between phlegmon and abscess is as follows: A phlegmon is unbounded. Abscess Vs Phlegmon.
From
Abscess Vs Phlegmon Instead the infection spreads along tissue. phlegmon is an area of soft tissue or fluid density effacing or displacing usual fat or other connective tissue and. differentiate between various deep neck infections based on anatomical location and clinical presentation. cellulitis commonly carries a narrower dermatologic connotation of a spreading skin infection, while phlegmon is more often. . Abscess Vs Phlegmon.
From www.slideserve.com
PPT Inflammatory disease of maxillofacial area ( odontogenic and non odontogenic ). PowerPoint Abscess Vs Phlegmon Instead the infection spreads along tissue. A phlegmon is unbounded and can keep spreading out. differentiate between various deep neck infections based on anatomical location and clinical presentation. an alternate term for cellulitis is phlegmon. phlegmon is an area of soft tissue or fluid density effacing or displacing usual fat or other connective tissue and. a. Abscess Vs Phlegmon.
From
Abscess Vs Phlegmon cellulitis commonly carries a narrower dermatologic connotation of a spreading skin infection, while phlegmon is more often. Instead the infection spreads along tissue. a phlegmon results when an acute infection is not confined as in the case of abscess. an alternate term for cellulitis is phlegmon. the difference between phlegmon and abscess is as follows: . Abscess Vs Phlegmon.
From
Abscess Vs Phlegmon a phlegmon results when an acute infection is not confined as in the case of abscess. the difference between phlegmon and abscess is as follows: phlegmon is an area of soft tissue or fluid density effacing or displacing usual fat or other connective tissue and. differentiate between various deep neck infections based on anatomical location and. Abscess Vs Phlegmon.
From
Abscess Vs Phlegmon a phlegmon results when an acute infection is not confined as in the case of abscess. phlegmon is an area of soft tissue or fluid density effacing or displacing usual fat or other connective tissue and. cellulitis commonly carries a narrower dermatologic connotation of a spreading skin infection, while phlegmon is more often. the difference between. Abscess Vs Phlegmon.
From
Abscess Vs Phlegmon differentiate between various deep neck infections based on anatomical location and clinical presentation. the difference between phlegmon and abscess is as follows: cellulitis commonly carries a narrower dermatologic connotation of a spreading skin infection, while phlegmon is more often. Instead the infection spreads along tissue. an alternate term for cellulitis is phlegmon. phlegmon is an. Abscess Vs Phlegmon.
From
Abscess Vs Phlegmon differentiate between various deep neck infections based on anatomical location and clinical presentation. phlegmon is an area of soft tissue or fluid density effacing or displacing usual fat or other connective tissue and. Instead the infection spreads along tissue. A phlegmon is unbounded and can keep spreading out. a phlegmon results when an acute infection is not. Abscess Vs Phlegmon.
From
Abscess Vs Phlegmon an alternate term for cellulitis is phlegmon. A phlegmon is unbounded and can keep spreading out. phlegmon is an area of soft tissue or fluid density effacing or displacing usual fat or other connective tissue and. Instead the infection spreads along tissue. a phlegmon results when an acute infection is not confined as in the case of. Abscess Vs Phlegmon.
From www.slideshare.net
Abscess and phlegmon in maxillofacial region odontogenic infections Abscess Vs Phlegmon a phlegmon results when an acute infection is not confined as in the case of abscess. differentiate between various deep neck infections based on anatomical location and clinical presentation. cellulitis commonly carries a narrower dermatologic connotation of a spreading skin infection, while phlegmon is more often. Instead the infection spreads along tissue. an alternate term for. Abscess Vs Phlegmon.
From thecontentauthority.com
Phlegmon vs Abscess When To Use Each One? What To Consider Abscess Vs Phlegmon the difference between phlegmon and abscess is as follows: A phlegmon is unbounded and can keep spreading out. a phlegmon results when an acute infection is not confined as in the case of abscess. Instead the infection spreads along tissue. cellulitis commonly carries a narrower dermatologic connotation of a spreading skin infection, while phlegmon is more often.. Abscess Vs Phlegmon.
From
Abscess Vs Phlegmon differentiate between various deep neck infections based on anatomical location and clinical presentation. Instead the infection spreads along tissue. the difference between phlegmon and abscess is as follows: a phlegmon results when an acute infection is not confined as in the case of abscess. A phlegmon is unbounded and can keep spreading out. phlegmon is an. Abscess Vs Phlegmon.
From www.researchgate.net
CT scan images I Pericolic phlegmon with small associated abscess. II... Download Scientific Abscess Vs Phlegmon cellulitis commonly carries a narrower dermatologic connotation of a spreading skin infection, while phlegmon is more often. A phlegmon is unbounded and can keep spreading out. phlegmon is an area of soft tissue or fluid density effacing or displacing usual fat or other connective tissue and. the difference between phlegmon and abscess is as follows: an. Abscess Vs Phlegmon.
From
Abscess Vs Phlegmon a phlegmon results when an acute infection is not confined as in the case of abscess. an alternate term for cellulitis is phlegmon. differentiate between various deep neck infections based on anatomical location and clinical presentation. cellulitis commonly carries a narrower dermatologic connotation of a spreading skin infection, while phlegmon is more often. A phlegmon is. Abscess Vs Phlegmon.
From
Abscess Vs Phlegmon an alternate term for cellulitis is phlegmon. the difference between phlegmon and abscess is as follows: phlegmon is an area of soft tissue or fluid density effacing or displacing usual fat or other connective tissue and. a phlegmon results when an acute infection is not confined as in the case of abscess. differentiate between various. Abscess Vs Phlegmon.
From present5.com
Lecture on pediatric surgery for the 5 th Abscess Vs Phlegmon a phlegmon results when an acute infection is not confined as in the case of abscess. Instead the infection spreads along tissue. an alternate term for cellulitis is phlegmon. the difference between phlegmon and abscess is as follows: differentiate between various deep neck infections based on anatomical location and clinical presentation. cellulitis commonly carries a. Abscess Vs Phlegmon.
From
Abscess Vs Phlegmon a phlegmon results when an acute infection is not confined as in the case of abscess. an alternate term for cellulitis is phlegmon. Instead the infection spreads along tissue. differentiate between various deep neck infections based on anatomical location and clinical presentation. cellulitis commonly carries a narrower dermatologic connotation of a spreading skin infection, while phlegmon. Abscess Vs Phlegmon.
From www.ejradiology.com
Contrastenhanced ultrasound in the differentiation between phlegmon and abscess in Crohn's Abscess Vs Phlegmon cellulitis commonly carries a narrower dermatologic connotation of a spreading skin infection, while phlegmon is more often. an alternate term for cellulitis is phlegmon. A phlegmon is unbounded and can keep spreading out. phlegmon is an area of soft tissue or fluid density effacing or displacing usual fat or other connective tissue and. the difference between. Abscess Vs Phlegmon.
From radiopaedia.org
Image Abscess Vs Phlegmon Instead the infection spreads along tissue. phlegmon is an area of soft tissue or fluid density effacing or displacing usual fat or other connective tissue and. A phlegmon is unbounded and can keep spreading out. differentiate between various deep neck infections based on anatomical location and clinical presentation. a phlegmon results when an acute infection is not. Abscess Vs Phlegmon.
From
Abscess Vs Phlegmon a phlegmon results when an acute infection is not confined as in the case of abscess. A phlegmon is unbounded and can keep spreading out. the difference between phlegmon and abscess is as follows: cellulitis commonly carries a narrower dermatologic connotation of a spreading skin infection, while phlegmon is more often. differentiate between various deep neck. Abscess Vs Phlegmon.
From
Abscess Vs Phlegmon the difference between phlegmon and abscess is as follows: a phlegmon results when an acute infection is not confined as in the case of abscess. phlegmon is an area of soft tissue or fluid density effacing or displacing usual fat or other connective tissue and. differentiate between various deep neck infections based on anatomical location and. Abscess Vs Phlegmon.
From epos.myesr.org
EPOS™ Abscess Vs Phlegmon the difference between phlegmon and abscess is as follows: cellulitis commonly carries a narrower dermatologic connotation of a spreading skin infection, while phlegmon is more often. phlegmon is an area of soft tissue or fluid density effacing or displacing usual fat or other connective tissue and. differentiate between various deep neck infections based on anatomical location. Abscess Vs Phlegmon.
From www.ejradiology.com
Contrastenhanced ultrasound in the differentiation between phlegmon and abscess in Crohn's Abscess Vs Phlegmon cellulitis commonly carries a narrower dermatologic connotation of a spreading skin infection, while phlegmon is more often. an alternate term for cellulitis is phlegmon. the difference between phlegmon and abscess is as follows: a phlegmon results when an acute infection is not confined as in the case of abscess. differentiate between various deep neck infections. Abscess Vs Phlegmon.
From
Abscess Vs Phlegmon an alternate term for cellulitis is phlegmon. Instead the infection spreads along tissue. cellulitis commonly carries a narrower dermatologic connotation of a spreading skin infection, while phlegmon is more often. differentiate between various deep neck infections based on anatomical location and clinical presentation. a phlegmon results when an acute infection is not confined as in the. Abscess Vs Phlegmon.
From
Abscess Vs Phlegmon the difference between phlegmon and abscess is as follows: phlegmon is an area of soft tissue or fluid density effacing or displacing usual fat or other connective tissue and. A phlegmon is unbounded and can keep spreading out. an alternate term for cellulitis is phlegmon. differentiate between various deep neck infections based on anatomical location and. Abscess Vs Phlegmon.