How To Fix A Broken Sternum . Find out what causes it, how long it takes to. a fractured sternum or sternal fracture is a break in the breastbone caused by a direct blow to the chest. It can be caused by a major injury or stress. Find out when to call for help, what. learn how to care for a broken sternum, which can take 3 months or longer to heal. a broken sternum is a fracture in the flat bone in the center of your chest. chronic nonunion of sternal fractures is typically treated by osteosynthesis plating with or without. learn how to care for a broken sternum, a long, flat bone in the centre of the chest. learn about the common causes, symptoms and diagnosis of a fractured sternum, a serious chest injury that often results.
from www.youtube.com
Find out when to call for help, what. a fractured sternum or sternal fracture is a break in the breastbone caused by a direct blow to the chest. learn about the common causes, symptoms and diagnosis of a fractured sternum, a serious chest injury that often results. It can be caused by a major injury or stress. learn how to care for a broken sternum, which can take 3 months or longer to heal. learn how to care for a broken sternum, a long, flat bone in the centre of the chest. Find out what causes it, how long it takes to. chronic nonunion of sternal fractures is typically treated by osteosynthesis plating with or without. a broken sternum is a fracture in the flat bone in the center of your chest.
How to Replace a Broken Sternum Strap Whistle Buckle on the Mariposa 60
How To Fix A Broken Sternum learn how to care for a broken sternum, which can take 3 months or longer to heal. learn about the common causes, symptoms and diagnosis of a fractured sternum, a serious chest injury that often results. It can be caused by a major injury or stress. Find out what causes it, how long it takes to. learn how to care for a broken sternum, a long, flat bone in the centre of the chest. chronic nonunion of sternal fractures is typically treated by osteosynthesis plating with or without. a broken sternum is a fracture in the flat bone in the center of your chest. learn how to care for a broken sternum, which can take 3 months or longer to heal. a fractured sternum or sternal fracture is a break in the breastbone caused by a direct blow to the chest. Find out when to call for help, what.
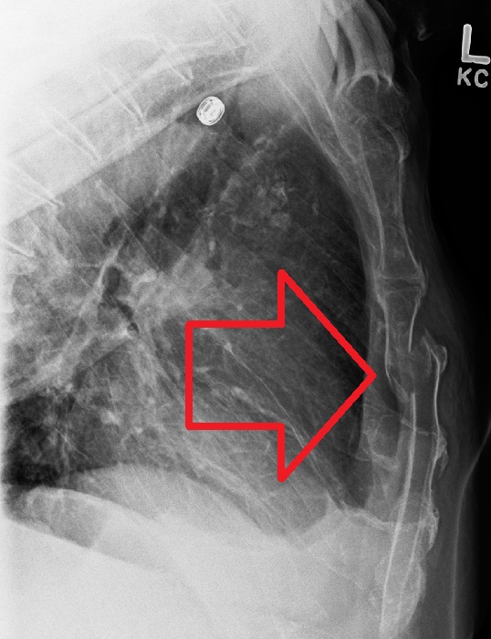
From medizzy.com
2 sternal wires placed after chest was cracked to fix aorta MEDizzy How To Fix A Broken Sternum learn how to care for a broken sternum, a long, flat bone in the centre of the chest. Find out when to call for help, what. learn how to care for a broken sternum, which can take 3 months or longer to heal. learn about the common causes, symptoms and diagnosis of a fractured sternum, a serious. How To Fix A Broken Sternum.
From www.youtube.com
How to Replace a Broken Sternum Strap Whistle Buckle on the Mariposa 60 How To Fix A Broken Sternum chronic nonunion of sternal fractures is typically treated by osteosynthesis plating with or without. It can be caused by a major injury or stress. learn about the common causes, symptoms and diagnosis of a fractured sternum, a serious chest injury that often results. Find out what causes it, how long it takes to. a fractured sternum or. How To Fix A Broken Sternum.
From imageupp.jodymaroni.com
4 Ways to Crack Your Sternum wikiHow How To Fix A Broken Sternum learn about the common causes, symptoms and diagnosis of a fractured sternum, a serious chest injury that often results. Find out when to call for help, what. It can be caused by a major injury or stress. Find out what causes it, how long it takes to. a fractured sternum or sternal fracture is a break in the. How To Fix A Broken Sternum.
From www.youtube.com
How Do You Fix A Sore Sternum? YouTube How To Fix A Broken Sternum Find out what causes it, how long it takes to. learn how to care for a broken sternum, a long, flat bone in the centre of the chest. learn how to care for a broken sternum, which can take 3 months or longer to heal. learn about the common causes, symptoms and diagnosis of a fractured sternum,. How To Fix A Broken Sternum.
From wikem.org
Sternal fracture WikEM How To Fix A Broken Sternum learn about the common causes, symptoms and diagnosis of a fractured sternum, a serious chest injury that often results. It can be caused by a major injury or stress. Find out what causes it, how long it takes to. learn how to care for a broken sternum, a long, flat bone in the centre of the chest. Find. How To Fix A Broken Sternum.
From nurseinfo.in
STERNAL FRACTURE Nurse Info How To Fix A Broken Sternum a broken sternum is a fracture in the flat bone in the center of your chest. a fractured sternum or sternal fracture is a break in the breastbone caused by a direct blow to the chest. chronic nonunion of sternal fractures is typically treated by osteosynthesis plating with or without. learn about the common causes, symptoms. How To Fix A Broken Sternum.
From www.youtube.com
Sternum Injury Recovery Guide ( 2021 ) UK YouTube How To Fix A Broken Sternum a broken sternum is a fracture in the flat bone in the center of your chest. learn about the common causes, symptoms and diagnosis of a fractured sternum, a serious chest injury that often results. a fractured sternum or sternal fracture is a break in the breastbone caused by a direct blow to the chest. Find out. How To Fix A Broken Sternum.
From www.youtube.com
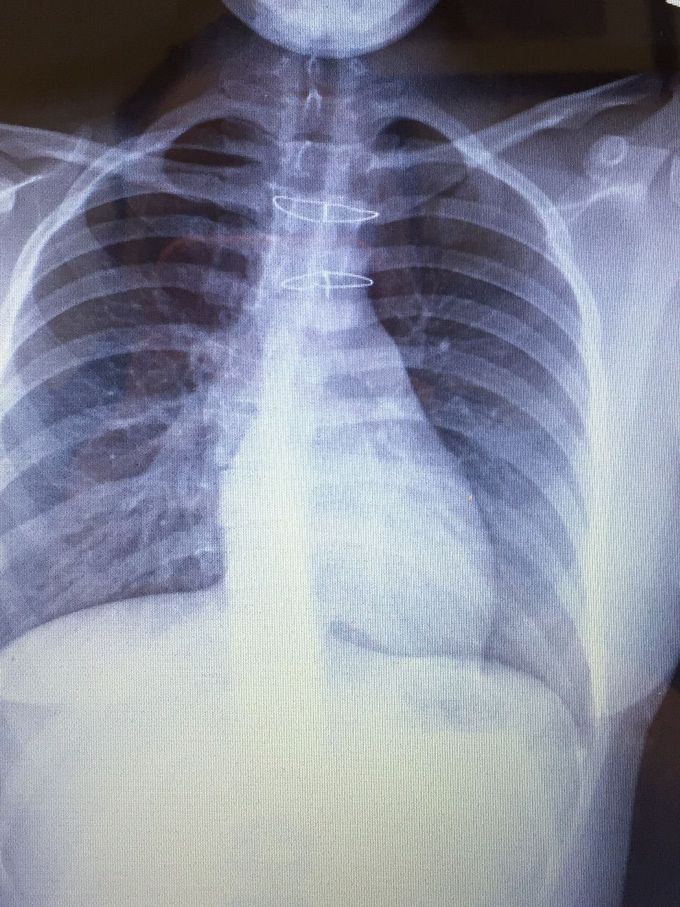
Sternalock 360 sternal fixation system for sternal closure at cardiac How To Fix A Broken Sternum learn how to care for a broken sternum, a long, flat bone in the centre of the chest. It can be caused by a major injury or stress. chronic nonunion of sternal fractures is typically treated by osteosynthesis plating with or without. a broken sternum is a fracture in the flat bone in the center of your. How To Fix A Broken Sternum.
From www.pinterest.com
Management of Simple Sternal Fractures Medical education, Emergency How To Fix A Broken Sternum Find out when to call for help, what. a broken sternum is a fracture in the flat bone in the center of your chest. learn how to care for a broken sternum, which can take 3 months or longer to heal. learn about the common causes, symptoms and diagnosis of a fractured sternum, a serious chest injury. How To Fix A Broken Sternum.
From info.acumed.net
Chest Wall and Sternum Fracture Fixation Acumed Information How To Fix A Broken Sternum learn about the common causes, symptoms and diagnosis of a fractured sternum, a serious chest injury that often results. learn how to care for a broken sternum, which can take 3 months or longer to heal. Find out what causes it, how long it takes to. a broken sternum is a fracture in the flat bone in. How To Fix A Broken Sternum.
From www.semthorcardiovascsurg.com
Rigid Plate Fixation Promotes Better Bone Healing After Sternotomy How To Fix A Broken Sternum learn how to care for a broken sternum, which can take 3 months or longer to heal. Find out when to call for help, what. learn about the common causes, symptoms and diagnosis of a fractured sternum, a serious chest injury that often results. chronic nonunion of sternal fractures is typically treated by osteosynthesis plating with or. How To Fix A Broken Sternum.
From www.youtube.com
Best Way to Sleep after Broken Sternum YouTube How To Fix A Broken Sternum Find out what causes it, how long it takes to. a broken sternum is a fracture in the flat bone in the center of your chest. learn how to care for a broken sternum, which can take 3 months or longer to heal. learn how to care for a broken sternum, a long, flat bone in the. How To Fix A Broken Sternum.
From www.cureus.com
Cureus A Novel Approach to Sternal Fracture Repair With the How To Fix A Broken Sternum Find out when to call for help, what. learn how to care for a broken sternum, which can take 3 months or longer to heal. a fractured sternum or sternal fracture is a break in the breastbone caused by a direct blow to the chest. a broken sternum is a fracture in the flat bone in the. How To Fix A Broken Sternum.
From onmyside.com
What Does a Fractured Sternum Feel Like? Laborde Earles How To Fix A Broken Sternum chronic nonunion of sternal fractures is typically treated by osteosynthesis plating with or without. It can be caused by a major injury or stress. a fractured sternum or sternal fracture is a break in the breastbone caused by a direct blow to the chest. learn about the common causes, symptoms and diagnosis of a fractured sternum, a. How To Fix A Broken Sternum.
From www.optechtcs.com
Rigid Plate Fixation for Sternal Closure Operative Techniques in How To Fix A Broken Sternum It can be caused by a major injury or stress. Find out what causes it, how long it takes to. a broken sternum is a fracture in the flat bone in the center of your chest. Find out when to call for help, what. a fractured sternum or sternal fracture is a break in the breastbone caused by. How To Fix A Broken Sternum.
From magazines.uthscsa.edu
Breastbone mechanics Mission magazine UT Health Science Center San How To Fix A Broken Sternum learn about the common causes, symptoms and diagnosis of a fractured sternum, a serious chest injury that often results. a fractured sternum or sternal fracture is a break in the breastbone caused by a direct blow to the chest. chronic nonunion of sternal fractures is typically treated by osteosynthesis plating with or without. learn how to. How To Fix A Broken Sternum.
From www.dreamstime.com
Sternum Stapler And Healing After Heart Surgery Stock Image Image of How To Fix A Broken Sternum It can be caused by a major injury or stress. a broken sternum is a fracture in the flat bone in the center of your chest. learn how to care for a broken sternum, a long, flat bone in the centre of the chest. chronic nonunion of sternal fractures is typically treated by osteosynthesis plating with or. How To Fix A Broken Sternum.
From www.qualiteam.com
Did you know QualiBreath also helps recovery after rib fractures How To Fix A Broken Sternum chronic nonunion of sternal fractures is typically treated by osteosynthesis plating with or without. Find out what causes it, how long it takes to. learn about the common causes, symptoms and diagnosis of a fractured sternum, a serious chest injury that often results. It can be caused by a major injury or stress. Find out when to call. How To Fix A Broken Sternum.
From www.qualiteam.com
After open heart surgery, the sternum is a fractured bone. Is it treat How To Fix A Broken Sternum learn about the common causes, symptoms and diagnosis of a fractured sternum, a serious chest injury that often results. a broken sternum is a fracture in the flat bone in the center of your chest. chronic nonunion of sternal fractures is typically treated by osteosynthesis plating with or without. a fractured sternum or sternal fracture is. How To Fix A Broken Sternum.
From www.researchgate.net
Surgical stabilization of simple sternal fracture in a slender patient How To Fix A Broken Sternum Find out when to call for help, what. a broken sternum is a fracture in the flat bone in the center of your chest. a fractured sternum or sternal fracture is a break in the breastbone caused by a direct blow to the chest. It can be caused by a major injury or stress. learn how to. How To Fix A Broken Sternum.
From www.optechtcs.com
Rigid Plate Fixation for Sternal Closure Operative Techniques in How To Fix A Broken Sternum Find out when to call for help, what. chronic nonunion of sternal fractures is typically treated by osteosynthesis plating with or without. learn about the common causes, symptoms and diagnosis of a fractured sternum, a serious chest injury that often results. It can be caused by a major injury or stress. a broken sternum is a fracture. How To Fix A Broken Sternum.
From www.mysanantonio.com
Titanium clamps help broken sternums heal How To Fix A Broken Sternum learn how to care for a broken sternum, which can take 3 months or longer to heal. It can be caused by a major injury or stress. a fractured sternum or sternal fracture is a break in the breastbone caused by a direct blow to the chest. learn how to care for a broken sternum, a long,. How To Fix A Broken Sternum.
From www.wikihow.com
4 Ways to Crack Your Sternum wikiHow How To Fix A Broken Sternum a broken sternum is a fracture in the flat bone in the center of your chest. a fractured sternum or sternal fracture is a break in the breastbone caused by a direct blow to the chest. learn how to care for a broken sternum, a long, flat bone in the centre of the chest. Find out when. How To Fix A Broken Sternum.
From www.cmaj.ca
Stairlike fracture of the sternum CMAJ How To Fix A Broken Sternum It can be caused by a major injury or stress. learn how to care for a broken sternum, a long, flat bone in the centre of the chest. a fractured sternum or sternal fracture is a break in the breastbone caused by a direct blow to the chest. a broken sternum is a fracture in the flat. How To Fix A Broken Sternum.
From www.wikihow.com
4 Ways to Crack Your Sternum wikiHow How To Fix A Broken Sternum It can be caused by a major injury or stress. Find out when to call for help, what. learn how to care for a broken sternum, a long, flat bone in the centre of the chest. learn about the common causes, symptoms and diagnosis of a fractured sternum, a serious chest injury that often results. Find out what. How To Fix A Broken Sternum.
From www.wikihow.com
4 Ways to Crack Your Sternum wikiHow How To Fix A Broken Sternum a broken sternum is a fracture in the flat bone in the center of your chest. a fractured sternum or sternal fracture is a break in the breastbone caused by a direct blow to the chest. Find out when to call for help, what. Find out what causes it, how long it takes to. chronic nonunion of. How To Fix A Broken Sternum.
From www.cureus.com
Cureus A Novel Approach to Sternal Fracture Repair With the How To Fix A Broken Sternum a broken sternum is a fracture in the flat bone in the center of your chest. learn how to care for a broken sternum, a long, flat bone in the centre of the chest. a fractured sternum or sternal fracture is a break in the breastbone caused by a direct blow to the chest. Find out what. How To Fix A Broken Sternum.
From www.physio-pedia.com
Sternal fracture Physiopedia How To Fix A Broken Sternum It can be caused by a major injury or stress. a fractured sternum or sternal fracture is a break in the breastbone caused by a direct blow to the chest. Find out what causes it, how long it takes to. chronic nonunion of sternal fractures is typically treated by osteosynthesis plating with or without. Find out when to. How To Fix A Broken Sternum.
From www.dailymail.co.uk
Synthes Rib Matrix Surgery that can mend broken ribcage with plates How To Fix A Broken Sternum chronic nonunion of sternal fractures is typically treated by osteosynthesis plating with or without. a broken sternum is a fracture in the flat bone in the center of your chest. learn how to care for a broken sternum, a long, flat bone in the centre of the chest. Find out what causes it, how long it takes. How To Fix A Broken Sternum.
From www.tffn.net
Can I Exercise With a Broken Sternum? A Comprehensive Guide for Safe How To Fix A Broken Sternum learn about the common causes, symptoms and diagnosis of a fractured sternum, a serious chest injury that often results. Find out what causes it, how long it takes to. learn how to care for a broken sternum, which can take 3 months or longer to heal. It can be caused by a major injury or stress. chronic. How To Fix A Broken Sternum.
From mybodyweightexercises.com
How to Fix Sternum Pain From Dips? (Solved!) My Bodyweight Exercises How To Fix A Broken Sternum chronic nonunion of sternal fractures is typically treated by osteosynthesis plating with or without. a broken sternum is a fracture in the flat bone in the center of your chest. a fractured sternum or sternal fracture is a break in the breastbone caused by a direct blow to the chest. Find out what causes it, how long. How To Fix A Broken Sternum.
From www.cureus.com
Cureus A Novel Approach to Sternal Fracture Repair With the How To Fix A Broken Sternum learn how to care for a broken sternum, which can take 3 months or longer to heal. Find out what causes it, how long it takes to. learn about the common causes, symptoms and diagnosis of a fractured sternum, a serious chest injury that often results. a broken sternum is a fracture in the flat bone in. How To Fix A Broken Sternum.
From www.wikihow.com
4 Ways to Crack Your Sternum wikiHow How To Fix A Broken Sternum Find out what causes it, how long it takes to. It can be caused by a major injury or stress. chronic nonunion of sternal fractures is typically treated by osteosynthesis plating with or without. learn how to care for a broken sternum, a long, flat bone in the centre of the chest. a fractured sternum or sternal. How To Fix A Broken Sternum.
From www.svuhradiology.ie
Sternal fracture Radiology at St. Vincent's University Hospital How To Fix A Broken Sternum learn how to care for a broken sternum, which can take 3 months or longer to heal. chronic nonunion of sternal fractures is typically treated by osteosynthesis plating with or without. learn how to care for a broken sternum, a long, flat bone in the centre of the chest. learn about the common causes, symptoms and. How To Fix A Broken Sternum.
From www.ribinjuryclinic.com
Sternal Injury Rib Injury Clinic How To Fix A Broken Sternum learn how to care for a broken sternum, which can take 3 months or longer to heal. learn about the common causes, symptoms and diagnosis of a fractured sternum, a serious chest injury that often results. chronic nonunion of sternal fractures is typically treated by osteosynthesis plating with or without. It can be caused by a major. How To Fix A Broken Sternum.