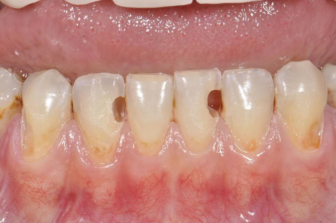
Piccolo Buco Su Gengiva . Il cancro della bocca (noto anche come tumore del cavo orale) può colpire qualsiasi zona del cavo. Sono alterazioni precorritrici del carcinoma orale e vengono spesso confuse con le afte, piccole ulcere causate da abrasioni o traumi minori. Il buco nella gengiva, anche detta fistola, appare esteticamente come una piccola protuberanza interna di colore rosso che svetta sulla mucosa. Con il termine di gengivostomatite si intende genericamente un’ infiammazione delle gengive (gengivite) e della bocca ( stomatitite;. Il buco nella gengiva in sostanza altro non è. La gengivostomatite erpetica acuta è una dolorosa infezione virale delle gengive e di altre parti della bocca provocata dal virus dell’herpes. Anche in caso di piccolo buco nella gengiva è molto importante. Le verruche, le infezioni da lievito e le lesioni frequenti (morsi o sfregamenti da dente aguzzo) sono cause comuni per le neoformazioni. E’ il nostro corpo che crea un buco nella gengiva proprio per facilitare l’espulsione del pus derivanti dall’infezione. L'ascesso gengivale è una condizione odontoiatrica dolorosa e fastidiosa che si verifica quando si forma una raccolta di pus.
from g7smile.com
Sono alterazioni precorritrici del carcinoma orale e vengono spesso confuse con le afte, piccole ulcere causate da abrasioni o traumi minori. Il cancro della bocca (noto anche come tumore del cavo orale) può colpire qualsiasi zona del cavo. La gengivostomatite erpetica acuta è una dolorosa infezione virale delle gengive e di altre parti della bocca provocata dal virus dell’herpes. Anche in caso di piccolo buco nella gengiva è molto importante. Il buco nella gengiva, anche detta fistola, appare esteticamente come una piccola protuberanza interna di colore rosso che svetta sulla mucosa. L'ascesso gengivale è una condizione odontoiatrica dolorosa e fastidiosa che si verifica quando si forma una raccolta di pus. E’ il nostro corpo che crea un buco nella gengiva proprio per facilitare l’espulsione del pus derivanti dall’infezione. Con il termine di gengivostomatite si intende genericamente un’ infiammazione delle gengive (gengivite) e della bocca ( stomatitite;. Il buco nella gengiva in sostanza altro non è. Le verruche, le infezioni da lievito e le lesioni frequenti (morsi o sfregamenti da dente aguzzo) sono cause comuni per le neoformazioni.
Ascesso dentale sintomi, cause e cura G7 Smile
Piccolo Buco Su Gengiva Le verruche, le infezioni da lievito e le lesioni frequenti (morsi o sfregamenti da dente aguzzo) sono cause comuni per le neoformazioni. E’ il nostro corpo che crea un buco nella gengiva proprio per facilitare l’espulsione del pus derivanti dall’infezione. Il buco nella gengiva in sostanza altro non è. Sono alterazioni precorritrici del carcinoma orale e vengono spesso confuse con le afte, piccole ulcere causate da abrasioni o traumi minori. La gengivostomatite erpetica acuta è una dolorosa infezione virale delle gengive e di altre parti della bocca provocata dal virus dell’herpes. Il buco nella gengiva, anche detta fistola, appare esteticamente come una piccola protuberanza interna di colore rosso che svetta sulla mucosa. Il cancro della bocca (noto anche come tumore del cavo orale) può colpire qualsiasi zona del cavo. L'ascesso gengivale è una condizione odontoiatrica dolorosa e fastidiosa che si verifica quando si forma una raccolta di pus. Le verruche, le infezioni da lievito e le lesioni frequenti (morsi o sfregamenti da dente aguzzo) sono cause comuni per le neoformazioni. Con il termine di gengivostomatite si intende genericamente un’ infiammazione delle gengive (gengivite) e della bocca ( stomatitite;. Anche in caso di piccolo buco nella gengiva è molto importante.
From www.dentya.pt
O Tratamento de Gengivas explicado Blog Clínica Dentária Dentya Piccolo Buco Su Gengiva Con il termine di gengivostomatite si intende genericamente un’ infiammazione delle gengive (gengivite) e della bocca ( stomatitite;. Anche in caso di piccolo buco nella gengiva è molto importante. L'ascesso gengivale è una condizione odontoiatrica dolorosa e fastidiosa che si verifica quando si forma una raccolta di pus. E’ il nostro corpo che crea un buco nella gengiva proprio per. Piccolo Buco Su Gengiva.
From domclinica.com.br
Suas gengivas costumam sangrar? Dom Odontologia Avançada saúde bucal Piccolo Buco Su Gengiva Sono alterazioni precorritrici del carcinoma orale e vengono spesso confuse con le afte, piccole ulcere causate da abrasioni o traumi minori. Le verruche, le infezioni da lievito e le lesioni frequenti (morsi o sfregamenti da dente aguzzo) sono cause comuni per le neoformazioni. L'ascesso gengivale è una condizione odontoiatrica dolorosa e fastidiosa che si verifica quando si forma una raccolta. Piccolo Buco Su Gengiva.
From www.fity.club
Orletto Gengivale Di Burton Piccolo Buco Su Gengiva Sono alterazioni precorritrici del carcinoma orale e vengono spesso confuse con le afte, piccole ulcere causate da abrasioni o traumi minori. Il buco nella gengiva, anche detta fistola, appare esteticamente come una piccola protuberanza interna di colore rosso che svetta sulla mucosa. E’ il nostro corpo che crea un buco nella gengiva proprio per facilitare l’espulsione del pus derivanti dall’infezione.. Piccolo Buco Su Gengiva.
From www.youtube.com
FIZ CIRURGIA NA GENGIVA PRA AUMENTAR OS DENTES MINHA GENGIVOPLASTIA Piccolo Buco Su Gengiva Con il termine di gengivostomatite si intende genericamente un’ infiammazione delle gengive (gengivite) e della bocca ( stomatitite;. L'ascesso gengivale è una condizione odontoiatrica dolorosa e fastidiosa che si verifica quando si forma una raccolta di pus. Il cancro della bocca (noto anche come tumore del cavo orale) può colpire qualsiasi zona del cavo. Il buco nella gengiva, anche detta. Piccolo Buco Su Gengiva.
From www.emoform.it
Gengive bianche cause e rimedi Emoform Piccolo Buco Su Gengiva Il buco nella gengiva in sostanza altro non è. Il buco nella gengiva, anche detta fistola, appare esteticamente come una piccola protuberanza interna di colore rosso che svetta sulla mucosa. Sono alterazioni precorritrici del carcinoma orale e vengono spesso confuse con le afte, piccole ulcere causate da abrasioni o traumi minori. La gengivostomatite erpetica acuta è una dolorosa infezione virale. Piccolo Buco Su Gengiva.
From zero.eu
Piccolo Buco Zero Piccolo Buco Su Gengiva Anche in caso di piccolo buco nella gengiva è molto importante. L'ascesso gengivale è una condizione odontoiatrica dolorosa e fastidiosa che si verifica quando si forma una raccolta di pus. Il cancro della bocca (noto anche come tumore del cavo orale) può colpire qualsiasi zona del cavo. Le verruche, le infezioni da lievito e le lesioni frequenti (morsi o sfregamenti. Piccolo Buco Su Gengiva.
From www.clinicavilla.com
Implantologia estetica su gengiva naturale Clinica Villa Piccolo Buco Su Gengiva Anche in caso di piccolo buco nella gengiva è molto importante. La gengivostomatite erpetica acuta è una dolorosa infezione virale delle gengive e di altre parti della bocca provocata dal virus dell’herpes. Con il termine di gengivostomatite si intende genericamente un’ infiammazione delle gengive (gengivite) e della bocca ( stomatitite;. L'ascesso gengivale è una condizione odontoiatrica dolorosa e fastidiosa che. Piccolo Buco Su Gengiva.
From www.youtube.com
Trattamento recessione gengivale YouTube Piccolo Buco Su Gengiva Il buco nella gengiva, anche detta fistola, appare esteticamente come una piccola protuberanza interna di colore rosso che svetta sulla mucosa. Il buco nella gengiva in sostanza altro non è. L'ascesso gengivale è una condizione odontoiatrica dolorosa e fastidiosa che si verifica quando si forma una raccolta di pus. Sono alterazioni precorritrici del carcinoma orale e vengono spesso confuse con. Piccolo Buco Su Gengiva.
From blog.goldencross.com.br
Doenças na gengiva conheça 7 sinais de alerta e como tratálos Piccolo Buco Su Gengiva La gengivostomatite erpetica acuta è una dolorosa infezione virale delle gengive e di altre parti della bocca provocata dal virus dell’herpes. L'ascesso gengivale è una condizione odontoiatrica dolorosa e fastidiosa che si verifica quando si forma una raccolta di pus. Anche in caso di piccolo buco nella gengiva è molto importante. Il cancro della bocca (noto anche come tumore del. Piccolo Buco Su Gengiva.
From www.pinterest.fr
Gengive ritirate scopri otto semplici rimedi naturali per combattere Piccolo Buco Su Gengiva Sono alterazioni precorritrici del carcinoma orale e vengono spesso confuse con le afte, piccole ulcere causate da abrasioni o traumi minori. L'ascesso gengivale è una condizione odontoiatrica dolorosa e fastidiosa che si verifica quando si forma una raccolta di pus. Il buco nella gengiva, anche detta fistola, appare esteticamente come una piccola protuberanza interna di colore rosso che svetta sulla. Piccolo Buco Su Gengiva.
From www.dottor-dente.it
Otturazione dentale tutto quello che c'è da sapere prima dell'intervento Piccolo Buco Su Gengiva La gengivostomatite erpetica acuta è una dolorosa infezione virale delle gengive e di altre parti della bocca provocata dal virus dell’herpes. Le verruche, le infezioni da lievito e le lesioni frequenti (morsi o sfregamenti da dente aguzzo) sono cause comuni per le neoformazioni. E’ il nostro corpo che crea un buco nella gengiva proprio per facilitare l’espulsione del pus derivanti. Piccolo Buco Su Gengiva.
From whatnowchicago.com
Piccolo Buco by Cooper’s Hawk Opening Second Location in Schaumburg Piccolo Buco Su Gengiva Con il termine di gengivostomatite si intende genericamente un’ infiammazione delle gengive (gengivite) e della bocca ( stomatitite;. Sono alterazioni precorritrici del carcinoma orale e vengono spesso confuse con le afte, piccole ulcere causate da abrasioni o traumi minori. L'ascesso gengivale è una condizione odontoiatrica dolorosa e fastidiosa che si verifica quando si forma una raccolta di pus. La gengivostomatite. Piccolo Buco Su Gengiva.
From g7smile.com
Ascesso dentale sintomi, cause e cura G7 Smile Piccolo Buco Su Gengiva L'ascesso gengivale è una condizione odontoiatrica dolorosa e fastidiosa che si verifica quando si forma una raccolta di pus. La gengivostomatite erpetica acuta è una dolorosa infezione virale delle gengive e di altre parti della bocca provocata dal virus dell’herpes. Il buco nella gengiva, anche detta fistola, appare esteticamente come una piccola protuberanza interna di colore rosso che svetta sulla. Piccolo Buco Su Gengiva.
From www.studio-gioia.it
Ricostruzione delle gengive a Latina Centro Odontoiatrico Gioia Piccolo Buco Su Gengiva Il buco nella gengiva in sostanza altro non è. Anche in caso di piccolo buco nella gengiva è molto importante. Sono alterazioni precorritrici del carcinoma orale e vengono spesso confuse con le afte, piccole ulcere causate da abrasioni o traumi minori. E’ il nostro corpo che crea un buco nella gengiva proprio per facilitare l’espulsione del pus derivanti dall’infezione. Le. Piccolo Buco Su Gengiva.
From www.lionnewspaper.com
Piccolo Buco opens in Oak Brook LION Newspaper Piccolo Buco Su Gengiva Anche in caso di piccolo buco nella gengiva è molto importante. Le verruche, le infezioni da lievito e le lesioni frequenti (morsi o sfregamenti da dente aguzzo) sono cause comuni per le neoformazioni. Sono alterazioni precorritrici del carcinoma orale e vengono spesso confuse con le afte, piccole ulcere causate da abrasioni o traumi minori. L'ascesso gengivale è una condizione odontoiatrica. Piccolo Buco Su Gengiva.
From www.reddit.com
Piccolo Buco, Rome, Italy. Their cherry tomato sauce pie. r/Pizza Piccolo Buco Su Gengiva Le verruche, le infezioni da lievito e le lesioni frequenti (morsi o sfregamenti da dente aguzzo) sono cause comuni per le neoformazioni. Con il termine di gengivostomatite si intende genericamente un’ infiammazione delle gengive (gengivite) e della bocca ( stomatitite;. E’ il nostro corpo che crea un buco nella gengiva proprio per facilitare l’espulsione del pus derivanti dall’infezione. Il cancro. Piccolo Buco Su Gengiva.
From it2.stomatology.biz
Dentizione foto delle gengive, come si tagliano i denti, come appare Piccolo Buco Su Gengiva Con il termine di gengivostomatite si intende genericamente un’ infiammazione delle gengive (gengivite) e della bocca ( stomatitite;. Il buco nella gengiva in sostanza altro non è. Il buco nella gengiva, anche detta fistola, appare esteticamente come una piccola protuberanza interna di colore rosso che svetta sulla mucosa. E’ il nostro corpo che crea un buco nella gengiva proprio per. Piccolo Buco Su Gengiva.
From www.clinicavilla.com
Implantologia estetica su gengiva naturale Clinica Villa Piccolo Buco Su Gengiva Anche in caso di piccolo buco nella gengiva è molto importante. Le verruche, le infezioni da lievito e le lesioni frequenti (morsi o sfregamenti da dente aguzzo) sono cause comuni per le neoformazioni. Con il termine di gengivostomatite si intende genericamente un’ infiammazione delle gengive (gengivite) e della bocca ( stomatitite;. Il cancro della bocca (noto anche come tumore del. Piccolo Buco Su Gengiva.
From www.clinicavilla.com
Implantologia estetica su gengiva naturale Clinica Villa Piccolo Buco Su Gengiva Il buco nella gengiva in sostanza altro non è. L'ascesso gengivale è una condizione odontoiatrica dolorosa e fastidiosa che si verifica quando si forma una raccolta di pus. Il buco nella gengiva, anche detta fistola, appare esteticamente come una piccola protuberanza interna di colore rosso che svetta sulla mucosa. Anche in caso di piccolo buco nella gengiva è molto importante.. Piccolo Buco Su Gengiva.
From giblrisbox.github.io
Gengiva Inflamada Gengivas Gengiva Oral Pomada Inflamada Saudáveis Piccolo Buco Su Gengiva La gengivostomatite erpetica acuta è una dolorosa infezione virale delle gengive e di altre parti della bocca provocata dal virus dell’herpes. E’ il nostro corpo che crea un buco nella gengiva proprio per facilitare l’espulsione del pus derivanti dall’infezione. Il buco nella gengiva in sostanza altro non è. Sono alterazioni precorritrici del carcinoma orale e vengono spesso confuse con le. Piccolo Buco Su Gengiva.
From studiobergamaschigilardoni.it
Gengive rosse? Studio Bergamaschi e Gilardoni Piccolo Buco Su Gengiva Le verruche, le infezioni da lievito e le lesioni frequenti (morsi o sfregamenti da dente aguzzo) sono cause comuni per le neoformazioni. Anche in caso di piccolo buco nella gengiva è molto importante. Con il termine di gengivostomatite si intende genericamente un’ infiammazione delle gengive (gengivite) e della bocca ( stomatitite;. L'ascesso gengivale è una condizione odontoiatrica dolorosa e fastidiosa. Piccolo Buco Su Gengiva.
From blog.dentalclean.com.br
Bolha na gengiva Como lidar com esse desconforto Blog Dentalclean Piccolo Buco Su Gengiva Il cancro della bocca (noto anche come tumore del cavo orale) può colpire qualsiasi zona del cavo. Il buco nella gengiva, anche detta fistola, appare esteticamente come una piccola protuberanza interna di colore rosso che svetta sulla mucosa. Con il termine di gengivostomatite si intende genericamente un’ infiammazione delle gengive (gengivite) e della bocca ( stomatitite;. Il buco nella gengiva. Piccolo Buco Su Gengiva.
From www.cioesse.it
ASCESSO DENTALE Centro di Odontoiatria e Stomatologia F. Perrini Piccolo Buco Su Gengiva L'ascesso gengivale è una condizione odontoiatrica dolorosa e fastidiosa che si verifica quando si forma una raccolta di pus. La gengivostomatite erpetica acuta è una dolorosa infezione virale delle gengive e di altre parti della bocca provocata dal virus dell’herpes. Le verruche, le infezioni da lievito e le lesioni frequenti (morsi o sfregamenti da dente aguzzo) sono cause comuni per. Piccolo Buco Su Gengiva.
From www.sosturismodentale.it
Plastica Gengivale e Ponte su Impianti Dentali Sos Turismo Dentale Piccolo Buco Su Gengiva E’ il nostro corpo che crea un buco nella gengiva proprio per facilitare l’espulsione del pus derivanti dall’infezione. Anche in caso di piccolo buco nella gengiva è molto importante. Con il termine di gengivostomatite si intende genericamente un’ infiammazione delle gengive (gengivite) e della bocca ( stomatitite;. L'ascesso gengivale è una condizione odontoiatrica dolorosa e fastidiosa che si verifica quando. Piccolo Buco Su Gengiva.
From www.ildentistamoderno.com
Terapia combinata di un’epulide gengivale e frattura coronale di un Piccolo Buco Su Gengiva Sono alterazioni precorritrici del carcinoma orale e vengono spesso confuse con le afte, piccole ulcere causate da abrasioni o traumi minori. L'ascesso gengivale è una condizione odontoiatrica dolorosa e fastidiosa che si verifica quando si forma una raccolta di pus. La gengivostomatite erpetica acuta è una dolorosa infezione virale delle gengive e di altre parti della bocca provocata dal virus. Piccolo Buco Su Gengiva.
From www.domagno.com
Piccolo Buco DoMagno Piccolo Buco Su Gengiva Il buco nella gengiva, anche detta fistola, appare esteticamente come una piccola protuberanza interna di colore rosso che svetta sulla mucosa. Le verruche, le infezioni da lievito e le lesioni frequenti (morsi o sfregamenti da dente aguzzo) sono cause comuni per le neoformazioni. Il buco nella gengiva in sostanza altro non è. Sono alterazioni precorritrici del carcinoma orale e vengono. Piccolo Buco Su Gengiva.
From www.abillion.com
Piccolo Buco Roma, Italy Pizza napoletana Review abillion Piccolo Buco Su Gengiva L'ascesso gengivale è una condizione odontoiatrica dolorosa e fastidiosa che si verifica quando si forma una raccolta di pus. La gengivostomatite erpetica acuta è una dolorosa infezione virale delle gengive e di altre parti della bocca provocata dal virus dell’herpes. Con il termine di gengivostomatite si intende genericamente un’ infiammazione delle gengive (gengivite) e della bocca ( stomatitite;. Le verruche,. Piccolo Buco Su Gengiva.
From www.tasteatlas.com
Piccolo Buco TasteAtlas authentic restaurants Piccolo Buco Su Gengiva Il buco nella gengiva, anche detta fistola, appare esteticamente come una piccola protuberanza interna di colore rosso che svetta sulla mucosa. Anche in caso di piccolo buco nella gengiva è molto importante. La gengivostomatite erpetica acuta è una dolorosa infezione virale delle gengive e di altre parti della bocca provocata dal virus dell’herpes. Il cancro della bocca (noto anche come. Piccolo Buco Su Gengiva.
From herald.periocampus.com
The Beauty in periodontal plastic surgery Periocampus Herald Piccolo Buco Su Gengiva Il buco nella gengiva in sostanza altro non è. Sono alterazioni precorritrici del carcinoma orale e vengono spesso confuse con le afte, piccole ulcere causate da abrasioni o traumi minori. Il buco nella gengiva, anche detta fistola, appare esteticamente come una piccola protuberanza interna di colore rosso che svetta sulla mucosa. Le verruche, le infezioni da lievito e le lesioni. Piccolo Buco Su Gengiva.
From www.italianliving.com
Piccolo Buco, Rome, Lazio, Italy Italian Living Piccolo Buco Su Gengiva La gengivostomatite erpetica acuta è una dolorosa infezione virale delle gengive e di altre parti della bocca provocata dal virus dell’herpes. Le verruche, le infezioni da lievito e le lesioni frequenti (morsi o sfregamenti da dente aguzzo) sono cause comuni per le neoformazioni. E’ il nostro corpo che crea un buco nella gengiva proprio per facilitare l’espulsione del pus derivanti. Piccolo Buco Su Gengiva.
From sanioggi.it
Gengive ritirate cause, sintomi e trattamenti della recessione Piccolo Buco Su Gengiva Con il termine di gengivostomatite si intende genericamente un’ infiammazione delle gengive (gengivite) e della bocca ( stomatitite;. Il buco nella gengiva, anche detta fistola, appare esteticamente come una piccola protuberanza interna di colore rosso che svetta sulla mucosa. Sono alterazioni precorritrici del carcinoma orale e vengono spesso confuse con le afte, piccole ulcere causate da abrasioni o traumi minori.. Piccolo Buco Su Gengiva.
From www.remiclinica.pt
Remiclínica Clinica Médica e Dentária A doença na gengiva Piccolo Buco Su Gengiva Con il termine di gengivostomatite si intende genericamente un’ infiammazione delle gengive (gengivite) e della bocca ( stomatitite;. Il buco nella gengiva in sostanza altro non è. Il cancro della bocca (noto anche come tumore del cavo orale) può colpire qualsiasi zona del cavo. Il buco nella gengiva, anche detta fistola, appare esteticamente come una piccola protuberanza interna di colore. Piccolo Buco Su Gengiva.
From www.massimobuda.it
Gengive rosse e sanguinanti come intervenire? Dott. Massimo Buda Piccolo Buco Su Gengiva Anche in caso di piccolo buco nella gengiva è molto importante. L'ascesso gengivale è una condizione odontoiatrica dolorosa e fastidiosa che si verifica quando si forma una raccolta di pus. Il cancro della bocca (noto anche come tumore del cavo orale) può colpire qualsiasi zona del cavo. Sono alterazioni precorritrici del carcinoma orale e vengono spesso confuse con le afte,. Piccolo Buco Su Gengiva.
From what-when-how.com
Orofacial Complex Form and Function (Dental Anatomy, Physiology and Piccolo Buco Su Gengiva Il buco nella gengiva, anche detta fistola, appare esteticamente come una piccola protuberanza interna di colore rosso che svetta sulla mucosa. E’ il nostro corpo che crea un buco nella gengiva proprio per facilitare l’espulsione del pus derivanti dall’infezione. Con il termine di gengivostomatite si intende genericamente un’ infiammazione delle gengive (gengivite) e della bocca ( stomatitite;. La gengivostomatite erpetica. Piccolo Buco Su Gengiva.
From it2.stomatology.biz
I principali metodi di trattamento delle fistole sulle gengive negli Piccolo Buco Su Gengiva Il buco nella gengiva, anche detta fistola, appare esteticamente come una piccola protuberanza interna di colore rosso che svetta sulla mucosa. Con il termine di gengivostomatite si intende genericamente un’ infiammazione delle gengive (gengivite) e della bocca ( stomatitite;. L'ascesso gengivale è una condizione odontoiatrica dolorosa e fastidiosa che si verifica quando si forma una raccolta di pus. Il cancro. Piccolo Buco Su Gengiva.