What Is A Bucket Handle Tear Definition . These tears often cause the knee to become stuck. a bucket handle meniscus tear is a common knee injury that occurs when the meniscus, which is a piece of cartilage in the knee,. According to the journal arthroscopy techniques, an estimated. a bucket handle tear is a type of meniscus tear that affects your knee.
from www.slideshare.net
a bucket handle meniscus tear is a common knee injury that occurs when the meniscus, which is a piece of cartilage in the knee,. These tears often cause the knee to become stuck. a bucket handle tear is a type of meniscus tear that affects your knee. According to the journal arthroscopy techniques, an estimated.
Bucket handle tear
What Is A Bucket Handle Tear Definition These tears often cause the knee to become stuck. a bucket handle meniscus tear is a common knee injury that occurs when the meniscus, which is a piece of cartilage in the knee,. a bucket handle tear is a type of meniscus tear that affects your knee. These tears often cause the knee to become stuck. According to the journal arthroscopy techniques, an estimated.
From pregnancylinegb.blogspot.com
bucket handle meniscus tear Pregnant Center Informations What Is A Bucket Handle Tear Definition a bucket handle tear is a type of meniscus tear that affects your knee. These tears often cause the knee to become stuck. According to the journal arthroscopy techniques, an estimated. a bucket handle meniscus tear is a common knee injury that occurs when the meniscus, which is a piece of cartilage in the knee,. What Is A Bucket Handle Tear Definition.
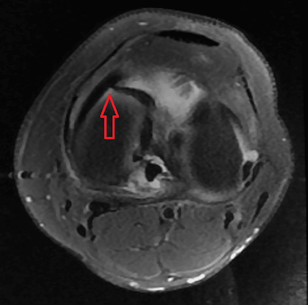
From james-mccormack.com
Posterior Horn Medial Meniscus Tear Recovery Time What Is A Bucket Handle Tear Definition a bucket handle tear is a type of meniscus tear that affects your knee. These tears often cause the knee to become stuck. a bucket handle meniscus tear is a common knee injury that occurs when the meniscus, which is a piece of cartilage in the knee,. According to the journal arthroscopy techniques, an estimated. What Is A Bucket Handle Tear Definition.
From radsource.us
Buckethandle Tear of the Meniscus Radsource What Is A Bucket Handle Tear Definition a bucket handle meniscus tear is a common knee injury that occurs when the meniscus, which is a piece of cartilage in the knee,. These tears often cause the knee to become stuck. According to the journal arthroscopy techniques, an estimated. a bucket handle tear is a type of meniscus tear that affects your knee. What Is A Bucket Handle Tear Definition.
From radsource.us
Buckethandle Tear of the Meniscus Radsource What Is A Bucket Handle Tear Definition According to the journal arthroscopy techniques, an estimated. a bucket handle tear is a type of meniscus tear that affects your knee. a bucket handle meniscus tear is a common knee injury that occurs when the meniscus, which is a piece of cartilage in the knee,. These tears often cause the knee to become stuck. What Is A Bucket Handle Tear Definition.
From radedasia.com
Hemi Bucket Handle Tear Knee MRI Radedasia What Is A Bucket Handle Tear Definition a bucket handle tear is a type of meniscus tear that affects your knee. These tears often cause the knee to become stuck. a bucket handle meniscus tear is a common knee injury that occurs when the meniscus, which is a piece of cartilage in the knee,. According to the journal arthroscopy techniques, an estimated. What Is A Bucket Handle Tear Definition.
From dxodibmlr.blob.core.windows.net
Bucket Handle Tear Medial Meniscus at Wilson McMahan blog What Is A Bucket Handle Tear Definition These tears often cause the knee to become stuck. a bucket handle meniscus tear is a common knee injury that occurs when the meniscus, which is a piece of cartilage in the knee,. According to the journal arthroscopy techniques, an estimated. a bucket handle tear is a type of meniscus tear that affects your knee. What Is A Bucket Handle Tear Definition.
From www.slideshare.net
Bucket handle tear What Is A Bucket Handle Tear Definition These tears often cause the knee to become stuck. a bucket handle meniscus tear is a common knee injury that occurs when the meniscus, which is a piece of cartilage in the knee,. According to the journal arthroscopy techniques, an estimated. a bucket handle tear is a type of meniscus tear that affects your knee. What Is A Bucket Handle Tear Definition.
From www.cureus.com
Cureus MRI in the Diagnosis of Bucket Handle Tears What Is the What Is A Bucket Handle Tear Definition These tears often cause the knee to become stuck. a bucket handle tear is a type of meniscus tear that affects your knee. According to the journal arthroscopy techniques, an estimated. a bucket handle meniscus tear is a common knee injury that occurs when the meniscus, which is a piece of cartilage in the knee,. What Is A Bucket Handle Tear Definition.
From exomgvhle.blob.core.windows.net
Bucket Handle Meniscus Tear Meniscectomy at Alyce Penn blog What Is A Bucket Handle Tear Definition According to the journal arthroscopy techniques, an estimated. a bucket handle tear is a type of meniscus tear that affects your knee. a bucket handle meniscus tear is a common knee injury that occurs when the meniscus, which is a piece of cartilage in the knee,. These tears often cause the knee to become stuck. What Is A Bucket Handle Tear Definition.
From www.youtube.com
Meniscus Bucket Handle Tear YouTube What Is A Bucket Handle Tear Definition a bucket handle tear is a type of meniscus tear that affects your knee. a bucket handle meniscus tear is a common knee injury that occurs when the meniscus, which is a piece of cartilage in the knee,. According to the journal arthroscopy techniques, an estimated. These tears often cause the knee to become stuck. What Is A Bucket Handle Tear Definition.
From kineticlabs.ca
The Complete Guide to a Meniscus Tear Labs What Is A Bucket Handle Tear Definition These tears often cause the knee to become stuck. a bucket handle meniscus tear is a common knee injury that occurs when the meniscus, which is a piece of cartilage in the knee,. According to the journal arthroscopy techniques, an estimated. a bucket handle tear is a type of meniscus tear that affects your knee. What Is A Bucket Handle Tear Definition.
From exobjgsnr.blob.core.windows.net
Bucket Tear Meniscus Symptoms at Margie Strickland blog What Is A Bucket Handle Tear Definition These tears often cause the knee to become stuck. According to the journal arthroscopy techniques, an estimated. a bucket handle tear is a type of meniscus tear that affects your knee. a bucket handle meniscus tear is a common knee injury that occurs when the meniscus, which is a piece of cartilage in the knee,. What Is A Bucket Handle Tear Definition.
From dxodaxngv.blob.core.windows.net
Bucket Handle Meniscus Tear Uk at Mariano Navarro blog What Is A Bucket Handle Tear Definition a bucket handle tear is a type of meniscus tear that affects your knee. a bucket handle meniscus tear is a common knee injury that occurs when the meniscus, which is a piece of cartilage in the knee,. According to the journal arthroscopy techniques, an estimated. These tears often cause the knee to become stuck. What Is A Bucket Handle Tear Definition.
From radsource.us
Buckethandle Tear of the Meniscus Radsource What Is A Bucket Handle Tear Definition a bucket handle tear is a type of meniscus tear that affects your knee. According to the journal arthroscopy techniques, an estimated. These tears often cause the knee to become stuck. a bucket handle meniscus tear is a common knee injury that occurs when the meniscus, which is a piece of cartilage in the knee,. What Is A Bucket Handle Tear Definition.
From exomgvhle.blob.core.windows.net
Bucket Handle Meniscus Tear Meniscectomy at Alyce Penn blog What Is A Bucket Handle Tear Definition a bucket handle meniscus tear is a common knee injury that occurs when the meniscus, which is a piece of cartilage in the knee,. These tears often cause the knee to become stuck. a bucket handle tear is a type of meniscus tear that affects your knee. According to the journal arthroscopy techniques, an estimated. What Is A Bucket Handle Tear Definition.
From dxohlpkki.blob.core.windows.net
Is A Bucket Handle Tear Painful at Daniel June blog What Is A Bucket Handle Tear Definition a bucket handle tear is a type of meniscus tear that affects your knee. According to the journal arthroscopy techniques, an estimated. These tears often cause the knee to become stuck. a bucket handle meniscus tear is a common knee injury that occurs when the meniscus, which is a piece of cartilage in the knee,. What Is A Bucket Handle Tear Definition.
From justinsalimanmd.com
Bucket Handle Meniscus Tear Specialist Justin Saliman MD What Is A Bucket Handle Tear Definition a bucket handle meniscus tear is a common knee injury that occurs when the meniscus, which is a piece of cartilage in the knee,. These tears often cause the knee to become stuck. According to the journal arthroscopy techniques, an estimated. a bucket handle tear is a type of meniscus tear that affects your knee. What Is A Bucket Handle Tear Definition.
From www.slideserve.com
PPT Imaging of Common Injuries Encountered in Sports Medicine What Is A Bucket Handle Tear Definition According to the journal arthroscopy techniques, an estimated. a bucket handle meniscus tear is a common knee injury that occurs when the meniscus, which is a piece of cartilage in the knee,. These tears often cause the knee to become stuck. a bucket handle tear is a type of meniscus tear that affects your knee. What Is A Bucket Handle Tear Definition.
From pregnancylinegb.blogspot.com
bucket handle meniscus tear Pregnant Center Informations What Is A Bucket Handle Tear Definition a bucket handle tear is a type of meniscus tear that affects your knee. a bucket handle meniscus tear is a common knee injury that occurs when the meniscus, which is a piece of cartilage in the knee,. These tears often cause the knee to become stuck. According to the journal arthroscopy techniques, an estimated. What Is A Bucket Handle Tear Definition.
From healthjade.com
Meniscus tear knee symptoms, signs, diagnosis, treatment and recovery What Is A Bucket Handle Tear Definition a bucket handle tear is a type of meniscus tear that affects your knee. a bucket handle meniscus tear is a common knee injury that occurs when the meniscus, which is a piece of cartilage in the knee,. These tears often cause the knee to become stuck. According to the journal arthroscopy techniques, an estimated. What Is A Bucket Handle Tear Definition.
From exomgvhle.blob.core.windows.net
Bucket Handle Meniscus Tear Meniscectomy at Alyce Penn blog What Is A Bucket Handle Tear Definition a bucket handle tear is a type of meniscus tear that affects your knee. These tears often cause the knee to become stuck. According to the journal arthroscopy techniques, an estimated. a bucket handle meniscus tear is a common knee injury that occurs when the meniscus, which is a piece of cartilage in the knee,. What Is A Bucket Handle Tear Definition.
From www.cureus.com
Cureus MRI in the Diagnosis of Bucket Handle Tears What Is the What Is A Bucket Handle Tear Definition a bucket handle tear is a type of meniscus tear that affects your knee. According to the journal arthroscopy techniques, an estimated. These tears often cause the knee to become stuck. a bucket handle meniscus tear is a common knee injury that occurs when the meniscus, which is a piece of cartilage in the knee,. What Is A Bucket Handle Tear Definition.
From mrionline.com
Bucket Handle Meniscal Tear Diagnosis MRI Online What Is A Bucket Handle Tear Definition These tears often cause the knee to become stuck. a bucket handle tear is a type of meniscus tear that affects your knee. According to the journal arthroscopy techniques, an estimated. a bucket handle meniscus tear is a common knee injury that occurs when the meniscus, which is a piece of cartilage in the knee,. What Is A Bucket Handle Tear Definition.
From exopzbhgt.blob.core.windows.net
Bucket Handle Tear Of Medial Meniscus Of Knee at Christopher Lord blog What Is A Bucket Handle Tear Definition According to the journal arthroscopy techniques, an estimated. a bucket handle meniscus tear is a common knee injury that occurs when the meniscus, which is a piece of cartilage in the knee,. These tears often cause the knee to become stuck. a bucket handle tear is a type of meniscus tear that affects your knee. What Is A Bucket Handle Tear Definition.
From www.howardluksmd.com
Bucket Handle Meniscus Tear Howard J. Luks, MD What Is A Bucket Handle Tear Definition a bucket handle meniscus tear is a common knee injury that occurs when the meniscus, which is a piece of cartilage in the knee,. a bucket handle tear is a type of meniscus tear that affects your knee. According to the journal arthroscopy techniques, an estimated. These tears often cause the knee to become stuck. What Is A Bucket Handle Tear Definition.
From radsource.us
Buckethandle Tear of the Meniscus Radsource What Is A Bucket Handle Tear Definition These tears often cause the knee to become stuck. According to the journal arthroscopy techniques, an estimated. a bucket handle tear is a type of meniscus tear that affects your knee. a bucket handle meniscus tear is a common knee injury that occurs when the meniscus, which is a piece of cartilage in the knee,. What Is A Bucket Handle Tear Definition.
From pt.slideshare.net
Bucket handle tear What Is A Bucket Handle Tear Definition These tears often cause the knee to become stuck. According to the journal arthroscopy techniques, an estimated. a bucket handle tear is a type of meniscus tear that affects your knee. a bucket handle meniscus tear is a common knee injury that occurs when the meniscus, which is a piece of cartilage in the knee,. What Is A Bucket Handle Tear Definition.
From ar.inspiredpencil.com
Bucket Handle Injury What Is A Bucket Handle Tear Definition These tears often cause the knee to become stuck. According to the journal arthroscopy techniques, an estimated. a bucket handle tear is a type of meniscus tear that affects your knee. a bucket handle meniscus tear is a common knee injury that occurs when the meniscus, which is a piece of cartilage in the knee,. What Is A Bucket Handle Tear Definition.
From www.towncenterortho.com
Bucket Handle Meniscal Tears (Video Series) Town Center Orthopaedics What Is A Bucket Handle Tear Definition These tears often cause the knee to become stuck. a bucket handle meniscus tear is a common knee injury that occurs when the meniscus, which is a piece of cartilage in the knee,. According to the journal arthroscopy techniques, an estimated. a bucket handle tear is a type of meniscus tear that affects your knee. What Is A Bucket Handle Tear Definition.
From radsource.us
Buckethandle Tear of the Meniscus Radsource What Is A Bucket Handle Tear Definition These tears often cause the knee to become stuck. a bucket handle meniscus tear is a common knee injury that occurs when the meniscus, which is a piece of cartilage in the knee,. According to the journal arthroscopy techniques, an estimated. a bucket handle tear is a type of meniscus tear that affects your knee. What Is A Bucket Handle Tear Definition.
From radsource.us
Buckethandle Tear of the Meniscus Radsource What Is A Bucket Handle Tear Definition a bucket handle tear is a type of meniscus tear that affects your knee. According to the journal arthroscopy techniques, an estimated. a bucket handle meniscus tear is a common knee injury that occurs when the meniscus, which is a piece of cartilage in the knee,. These tears often cause the knee to become stuck. What Is A Bucket Handle Tear Definition.
From radsource.us
Buckethandle Tear of the Meniscus Radsource What Is A Bucket Handle Tear Definition a bucket handle tear is a type of meniscus tear that affects your knee. According to the journal arthroscopy techniques, an estimated. a bucket handle meniscus tear is a common knee injury that occurs when the meniscus, which is a piece of cartilage in the knee,. These tears often cause the knee to become stuck. What Is A Bucket Handle Tear Definition.
From www.slideshare.net
Bucket handle tear What Is A Bucket Handle Tear Definition a bucket handle meniscus tear is a common knee injury that occurs when the meniscus, which is a piece of cartilage in the knee,. According to the journal arthroscopy techniques, an estimated. These tears often cause the knee to become stuck. a bucket handle tear is a type of meniscus tear that affects your knee. What Is A Bucket Handle Tear Definition.
From dxojjrxyo.blob.core.windows.net
Bucket Handle Tear Anatomy at Devon Halstead blog What Is A Bucket Handle Tear Definition a bucket handle tear is a type of meniscus tear that affects your knee. According to the journal arthroscopy techniques, an estimated. These tears often cause the knee to become stuck. a bucket handle meniscus tear is a common knee injury that occurs when the meniscus, which is a piece of cartilage in the knee,. What Is A Bucket Handle Tear Definition.
From buxtonosteopathy.co.uk
Common Knee Ligament Problems Buxton Osteopathy Clinic What Is A Bucket Handle Tear Definition a bucket handle tear is a type of meniscus tear that affects your knee. These tears often cause the knee to become stuck. According to the journal arthroscopy techniques, an estimated. a bucket handle meniscus tear is a common knee injury that occurs when the meniscus, which is a piece of cartilage in the knee,. What Is A Bucket Handle Tear Definition.