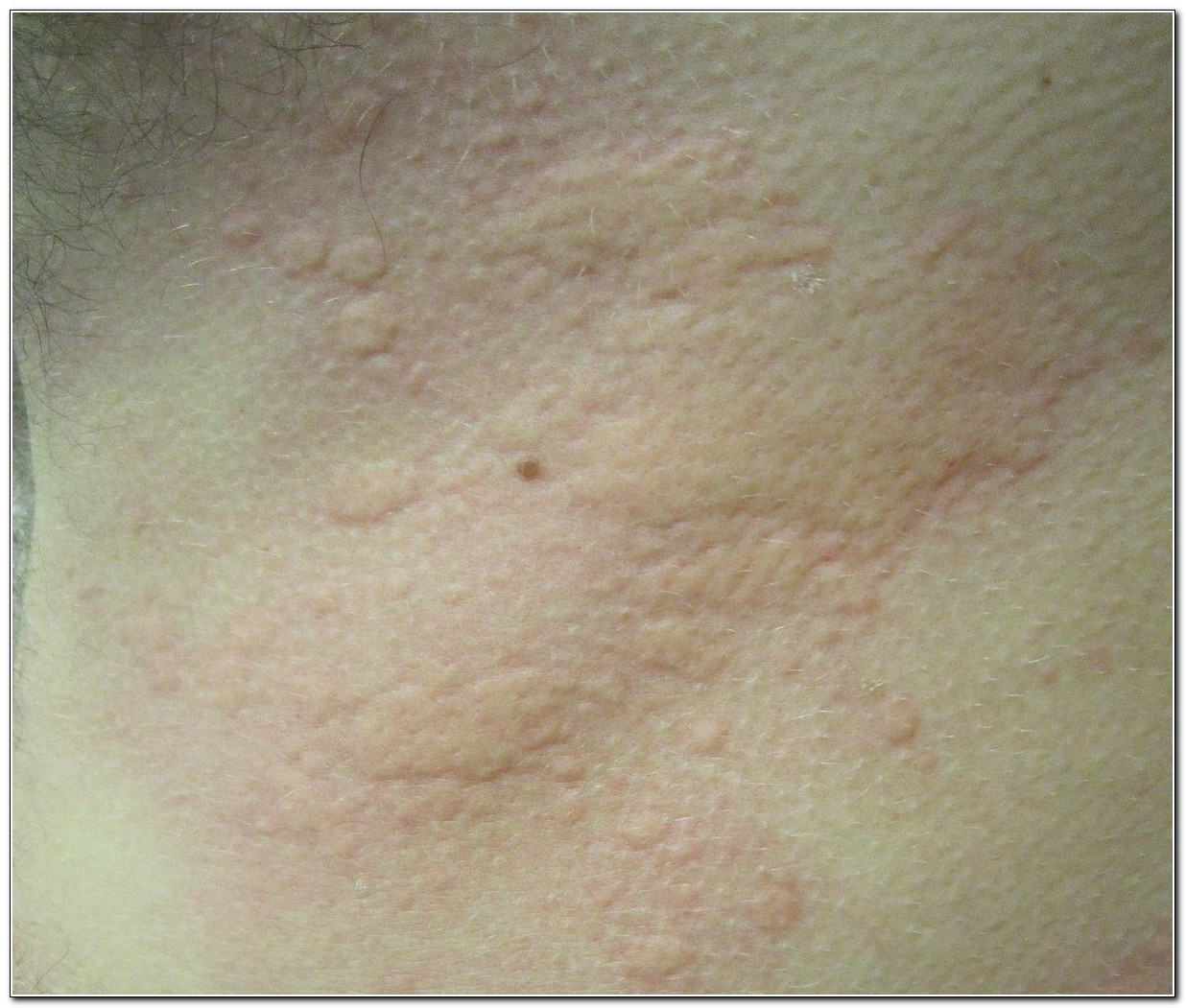
Soap Powder Rash . What is a laundry detergent allergy? An allergic reaction to laundry detergent can cause an itchy, red rash to appear after wearing newly cleaned clothes. “one common surfactant, sodium dodecyl sulphate,. Identifying a laundry detergent rash often involves looking for rashes in areas where clothing is tight, such as behind knees or underarms. Having lots of suds may mean stains are washed away, but those bubbles are the result of surfactants, which can also cause allergic skin rashes. Contact dermatitis is most commonly caused by irritants such as soaps and detergents, solvents or regular contact with water. The rash isn't contagious, but it can be very uncomfortable. Irritant contact dermatitis may be caused by frequent exposure to a weak irritant, such as soap or detergent. Allergic contact dermatitis is less common and can be. Contact dermatitis is an itchy rash caused by direct contact with a substance or an allergic reaction to it. It may also develop if you've been. To get rid of rashes, try remedies like cold. An allergic reaction to ingredients in your laundry detergent may develop suddenly, even if it's a brand you've used for years. Irritant contact dermatitis is a reaction that occurs when skin cells are irritated by a product such as detergent, soap or even.
from aroundlaundry.blogspot.com
Having lots of suds may mean stains are washed away, but those bubbles are the result of surfactants, which can also cause allergic skin rashes. Contact dermatitis is most commonly caused by irritants such as soaps and detergents, solvents or regular contact with water. Irritant contact dermatitis may be caused by frequent exposure to a weak irritant, such as soap or detergent. Contact dermatitis is an itchy rash caused by direct contact with a substance or an allergic reaction to it. It may also develop if you've been. An allergic reaction to ingredients in your laundry detergent may develop suddenly, even if it's a brand you've used for years. Identifying a laundry detergent rash often involves looking for rashes in areas where clothing is tight, such as behind knees or underarms. “one common surfactant, sodium dodecyl sulphate,. To get rid of rashes, try remedies like cold. The rash isn't contagious, but it can be very uncomfortable.
Some Pictures Of Laundry Detergent Rashes ALL AROUND LAUNDRY
Soap Powder Rash The rash isn't contagious, but it can be very uncomfortable. Allergic contact dermatitis is less common and can be. The rash isn't contagious, but it can be very uncomfortable. Irritant contact dermatitis is a reaction that occurs when skin cells are irritated by a product such as detergent, soap or even. Contact dermatitis is an itchy rash caused by direct contact with a substance or an allergic reaction to it. “one common surfactant, sodium dodecyl sulphate,. Identifying a laundry detergent rash often involves looking for rashes in areas where clothing is tight, such as behind knees or underarms. To get rid of rashes, try remedies like cold. Having lots of suds may mean stains are washed away, but those bubbles are the result of surfactants, which can also cause allergic skin rashes. What is a laundry detergent allergy? An allergic reaction to ingredients in your laundry detergent may develop suddenly, even if it's a brand you've used for years. It may also develop if you've been. Irritant contact dermatitis may be caused by frequent exposure to a weak irritant, such as soap or detergent. Contact dermatitis is most commonly caused by irritants such as soaps and detergents, solvents or regular contact with water. An allergic reaction to laundry detergent can cause an itchy, red rash to appear after wearing newly cleaned clothes.
From kufacr.weebly.com
Category Kirkland Ultra Free And Clear Rash Soap Powder Rash What is a laundry detergent allergy? Contact dermatitis is an itchy rash caused by direct contact with a substance or an allergic reaction to it. Identifying a laundry detergent rash often involves looking for rashes in areas where clothing is tight, such as behind knees or underarms. It may also develop if you've been. An allergic reaction to ingredients in. Soap Powder Rash.
From www.pinterest.dk
How to Identify and Treat a Laundry Detergent Rash... What are the Soap Powder Rash Allergic contact dermatitis is less common and can be. Irritant contact dermatitis is a reaction that occurs when skin cells are irritated by a product such as detergent, soap or even. Having lots of suds may mean stains are washed away, but those bubbles are the result of surfactants, which can also cause allergic skin rashes. An allergic reaction to. Soap Powder Rash.
From voi.id
Contact Dermatitis Due To Detergent Allergy, Recognize The Symptoms And Soap Powder Rash The rash isn't contagious, but it can be very uncomfortable. Irritant contact dermatitis is a reaction that occurs when skin cells are irritated by a product such as detergent, soap or even. Allergic contact dermatitis is less common and can be. Irritant contact dermatitis may be caused by frequent exposure to a weak irritant, such as soap or detergent. An. Soap Powder Rash.
From ohsospotless.com
Laundry Detergent Rash 7 Ways to Treat It Soap Powder Rash To get rid of rashes, try remedies like cold. Contact dermatitis is an itchy rash caused by direct contact with a substance or an allergic reaction to it. An allergic reaction to laundry detergent can cause an itchy, red rash to appear after wearing newly cleaned clothes. “one common surfactant, sodium dodecyl sulphate,. Having lots of suds may mean stains. Soap Powder Rash.
From aroundlaundry.blogspot.com
Some Pictures Of Laundry Detergent Rashes ALL AROUND LAUNDRY Soap Powder Rash Allergic contact dermatitis is less common and can be. Having lots of suds may mean stains are washed away, but those bubbles are the result of surfactants, which can also cause allergic skin rashes. “one common surfactant, sodium dodecyl sulphate,. What is a laundry detergent allergy? To get rid of rashes, try remedies like cold. The rash isn't contagious, but. Soap Powder Rash.
From www.woolworths.com.au
Curash Powder Anti Rash 100g Woolworths Soap Powder Rash The rash isn't contagious, but it can be very uncomfortable. Irritant contact dermatitis is a reaction that occurs when skin cells are irritated by a product such as detergent, soap or even. Contact dermatitis is most commonly caused by irritants such as soaps and detergents, solvents or regular contact with water. What is a laundry detergent allergy? It may also. Soap Powder Rash.
From www.rd.com
12 Best Laundry Detergents for Sensitive Skin Reader's Digest Soap Powder Rash An allergic reaction to laundry detergent can cause an itchy, red rash to appear after wearing newly cleaned clothes. Irritant contact dermatitis is a reaction that occurs when skin cells are irritated by a product such as detergent, soap or even. Contact dermatitis is an itchy rash caused by direct contact with a substance or an allergic reaction to it.. Soap Powder Rash.
From www.pinnaxis.com
Treating An Allergic Skin Reaction (Contact Dermatitis), 46 OFF Soap Powder Rash An allergic reaction to ingredients in your laundry detergent may develop suddenly, even if it's a brand you've used for years. “one common surfactant, sodium dodecyl sulphate,. The rash isn't contagious, but it can be very uncomfortable. Irritant contact dermatitis may be caused by frequent exposure to a weak irritant, such as soap or detergent. What is a laundry detergent. Soap Powder Rash.
From srksjsnuhziwzj.blogspot.com
Laundry Detergent Allergy Symptoms, What Are The Most Common Causes Of Soap Powder Rash An allergic reaction to laundry detergent can cause an itchy, red rash to appear after wearing newly cleaned clothes. It may also develop if you've been. Contact dermatitis is most commonly caused by irritants such as soaps and detergents, solvents or regular contact with water. To get rid of rashes, try remedies like cold. Irritant contact dermatitis may be caused. Soap Powder Rash.
From www.healthline.com
Rashes from Detergent Could Your Laundry Soap Be Causing a Rash? Soap Powder Rash Irritant contact dermatitis may be caused by frequent exposure to a weak irritant, such as soap or detergent. An allergic reaction to laundry detergent can cause an itchy, red rash to appear after wearing newly cleaned clothes. It may also develop if you've been. Having lots of suds may mean stains are washed away, but those bubbles are the result. Soap Powder Rash.
From www.drugsupplystore.com
Domeboro Soothing Soak Rash Relief Powder Packets, 12 ea Soap Powder Rash To get rid of rashes, try remedies like cold. Irritant contact dermatitis may be caused by frequent exposure to a weak irritant, such as soap or detergent. “one common surfactant, sodium dodecyl sulphate,. The rash isn't contagious, but it can be very uncomfortable. Contact dermatitis is most commonly caused by irritants such as soaps and detergents, solvents or regular contact. Soap Powder Rash.
From www.health.com
Contact Dermatitis Types, Symptoms, Causes, Diagnosis, Treatment, and More Soap Powder Rash Identifying a laundry detergent rash often involves looking for rashes in areas where clothing is tight, such as behind knees or underarms. It may also develop if you've been. Contact dermatitis is an itchy rash caused by direct contact with a substance or an allergic reaction to it. To get rid of rashes, try remedies like cold. Allergic contact dermatitis. Soap Powder Rash.
From examatri.blogspot.com
Laundry Detergent Allergy Examatri Home Ideas Soap Powder Rash Irritant contact dermatitis is a reaction that occurs when skin cells are irritated by a product such as detergent, soap or even. “one common surfactant, sodium dodecyl sulphate,. It may also develop if you've been. Having lots of suds may mean stains are washed away, but those bubbles are the result of surfactants, which can also cause allergic skin rashes.. Soap Powder Rash.
From www.newswise.com
How to Tell if a Rash Needs Medical Attention Soap Powder Rash What is a laundry detergent allergy? It may also develop if you've been. Identifying a laundry detergent rash often involves looking for rashes in areas where clothing is tight, such as behind knees or underarms. Irritant contact dermatitis is a reaction that occurs when skin cells are irritated by a product such as detergent, soap or even. To get rid. Soap Powder Rash.
From www.thankyourskin.com
Best Soap for Skin Rashes April 2022 Reviews and Top Picks Soap Powder Rash To get rid of rashes, try remedies like cold. An allergic reaction to ingredients in your laundry detergent may develop suddenly, even if it's a brand you've used for years. Contact dermatitis is most commonly caused by irritants such as soaps and detergents, solvents or regular contact with water. Having lots of suds may mean stains are washed away, but. Soap Powder Rash.
From musikas-on.blogspot.com
Everything to Know About a Laundry Detergent Allergy Soap Powder Rash Contact dermatitis is an itchy rash caused by direct contact with a substance or an allergic reaction to it. Irritant contact dermatitis is a reaction that occurs when skin cells are irritated by a product such as detergent, soap or even. It may also develop if you've been. “one common surfactant, sodium dodecyl sulphate,. Contact dermatitis is most commonly caused. Soap Powder Rash.
From martlabpro.com
Allergic Reaction Rash To Laundry Detergent Causes, Symptoms, And Soap Powder Rash What is a laundry detergent allergy? Identifying a laundry detergent rash often involves looking for rashes in areas where clothing is tight, such as behind knees or underarms. Allergic contact dermatitis is less common and can be. Irritant contact dermatitis may be caused by frequent exposure to a weak irritant, such as soap or detergent. Contact dermatitis is an itchy. Soap Powder Rash.
From kufacr.weebly.com
Category Laundry Detergent Rashes Kirkland Ultra Free And Clear Rash Soap Powder Rash Identifying a laundry detergent rash often involves looking for rashes in areas where clothing is tight, such as behind knees or underarms. “one common surfactant, sodium dodecyl sulphate,. It may also develop if you've been. Contact dermatitis is most commonly caused by irritants such as soaps and detergents, solvents or regular contact with water. An allergic reaction to ingredients in. Soap Powder Rash.
From www.optiderma.com
How long do Hives Last After an Allergic Reaction? Soap Powder Rash To get rid of rashes, try remedies like cold. “one common surfactant, sodium dodecyl sulphate,. Identifying a laundry detergent rash often involves looking for rashes in areas where clothing is tight, such as behind knees or underarms. What is a laundry detergent allergy? Allergic contact dermatitis is less common and can be. Contact dermatitis is an itchy rash caused by. Soap Powder Rash.
From kufacr.weebly.com
Category Kirkland Ultra Free And Clear Rash Soap Powder Rash What is a laundry detergent allergy? “one common surfactant, sodium dodecyl sulphate,. Identifying a laundry detergent rash often involves looking for rashes in areas where clothing is tight, such as behind knees or underarms. It may also develop if you've been. Having lots of suds may mean stains are washed away, but those bubbles are the result of surfactants, which. Soap Powder Rash.
From laundrydetergentideas.com
Allergic reaction to Laundry Detergent Causes, Symptoms, and Treatments Soap Powder Rash Having lots of suds may mean stains are washed away, but those bubbles are the result of surfactants, which can also cause allergic skin rashes. Allergic contact dermatitis is less common and can be. To get rid of rashes, try remedies like cold. It may also develop if you've been. An allergic reaction to ingredients in your laundry detergent may. Soap Powder Rash.
From aroundlaundry.blogspot.com
Some Pictures Of Laundry Detergent Rashes ALL AROUND LAUNDRY Soap Powder Rash Contact dermatitis is an itchy rash caused by direct contact with a substance or an allergic reaction to it. Irritant contact dermatitis is a reaction that occurs when skin cells are irritated by a product such as detergent, soap or even. “one common surfactant, sodium dodecyl sulphate,. Irritant contact dermatitis may be caused by frequent exposure to a weak irritant,. Soap Powder Rash.
From theconversation.com
Common skin rashes and what to do about them Soap Powder Rash “one common surfactant, sodium dodecyl sulphate,. To get rid of rashes, try remedies like cold. Allergic contact dermatitis is less common and can be. An allergic reaction to laundry detergent can cause an itchy, red rash to appear after wearing newly cleaned clothes. Having lots of suds may mean stains are washed away, but those bubbles are the result of. Soap Powder Rash.
From www.everydaycleaningideas.com
Can Laundry Detergent Cause Rashes Complete Guide Soap Powder Rash “one common surfactant, sodium dodecyl sulphate,. It may also develop if you've been. Allergic contact dermatitis is less common and can be. Having lots of suds may mean stains are washed away, but those bubbles are the result of surfactants, which can also cause allergic skin rashes. What is a laundry detergent allergy? Irritant contact dermatitis is a reaction that. Soap Powder Rash.
From www.thriftyfun.com
Can Homemade Soap Containing FelsNaptha Cause a Rash? ThriftyFun Soap Powder Rash Irritant contact dermatitis may be caused by frequent exposure to a weak irritant, such as soap or detergent. Irritant contact dermatitis is a reaction that occurs when skin cells are irritated by a product such as detergent, soap or even. It may also develop if you've been. Contact dermatitis is an itchy rash caused by direct contact with a substance. Soap Powder Rash.
From www.verywellhealth.com
Allergic Reactions to HandWashing Soap Powder Rash Allergic contact dermatitis is less common and can be. An allergic reaction to laundry detergent can cause an itchy, red rash to appear after wearing newly cleaned clothes. Contact dermatitis is an itchy rash caused by direct contact with a substance or an allergic reaction to it. Irritant contact dermatitis may be caused by frequent exposure to a weak irritant,. Soap Powder Rash.
From itchylittleworld.com
Rash From Laundry Detergent Is It Possible? Soap Powder Rash Contact dermatitis is an itchy rash caused by direct contact with a substance or an allergic reaction to it. An allergic reaction to laundry detergent can cause an itchy, red rash to appear after wearing newly cleaned clothes. An allergic reaction to ingredients in your laundry detergent may develop suddenly, even if it's a brand you've used for years. Irritant. Soap Powder Rash.
From www.kokilabenhospital.com
Is your detergent causing your skin allergy? Soap Powder Rash An allergic reaction to ingredients in your laundry detergent may develop suddenly, even if it's a brand you've used for years. What is a laundry detergent allergy? Having lots of suds may mean stains are washed away, but those bubbles are the result of surfactants, which can also cause allergic skin rashes. Irritant contact dermatitis may be caused by frequent. Soap Powder Rash.
From www.pharmacydirect.com.au
Buy Curash Family Medicated AntiRash Powder 100g Online Pharmacy Direct Soap Powder Rash The rash isn't contagious, but it can be very uncomfortable. Having lots of suds may mean stains are washed away, but those bubbles are the result of surfactants, which can also cause allergic skin rashes. An allergic reaction to ingredients in your laundry detergent may develop suddenly, even if it's a brand you've used for years. To get rid of. Soap Powder Rash.
From martlabpro.com
Allergic Reaction Rash To Laundry Detergent Causes, Symptoms, And Soap Powder Rash Allergic contact dermatitis is less common and can be. It may also develop if you've been. “one common surfactant, sodium dodecyl sulphate,. Identifying a laundry detergent rash often involves looking for rashes in areas where clothing is tight, such as behind knees or underarms. Contact dermatitis is most commonly caused by irritants such as soaps and detergents, solvents or regular. Soap Powder Rash.
From martlabpro.com
Allergic Reaction Rash To Laundry Detergent Causes, Symptoms, And Soap Powder Rash The rash isn't contagious, but it can be very uncomfortable. Having lots of suds may mean stains are washed away, but those bubbles are the result of surfactants, which can also cause allergic skin rashes. Allergic contact dermatitis is less common and can be. To get rid of rashes, try remedies like cold. Contact dermatitis is an itchy rash caused. Soap Powder Rash.
From www.independent.co.uk
There's been a sharp rise in children suffering from allergic reactions Soap Powder Rash Irritant contact dermatitis is a reaction that occurs when skin cells are irritated by a product such as detergent, soap or even. “one common surfactant, sodium dodecyl sulphate,. Contact dermatitis is an itchy rash caused by direct contact with a substance or an allergic reaction to it. Having lots of suds may mean stains are washed away, but those bubbles. Soap Powder Rash.
From kufacr.weebly.com
Category Laundry Detergent Rashes Kirkland Ultra Free And Clear Rash Soap Powder Rash It may also develop if you've been. “one common surfactant, sodium dodecyl sulphate,. Irritant contact dermatitis is a reaction that occurs when skin cells are irritated by a product such as detergent, soap or even. The rash isn't contagious, but it can be very uncomfortable. Contact dermatitis is most commonly caused by irritants such as soaps and detergents, solvents or. Soap Powder Rash.
From www.cosmeticconnection.co.za
Eczema & Skin Rash Soap 120g with Rooibos plus Antioxidants Cosmetic Soap Powder Rash Contact dermatitis is an itchy rash caused by direct contact with a substance or an allergic reaction to it. Irritant contact dermatitis is a reaction that occurs when skin cells are irritated by a product such as detergent, soap or even. Irritant contact dermatitis may be caused by frequent exposure to a weak irritant, such as soap or detergent. Having. Soap Powder Rash.
From martlabpro.com
Allergic Reaction Rash To Laundry Detergent Causes, Symptoms, And Soap Powder Rash What is a laundry detergent allergy? Contact dermatitis is most commonly caused by irritants such as soaps and detergents, solvents or regular contact with water. Irritant contact dermatitis is a reaction that occurs when skin cells are irritated by a product such as detergent, soap or even. An allergic reaction to ingredients in your laundry detergent may develop suddenly, even. Soap Powder Rash.