Cosmetic Dentist Auckland . meet our extensively trained cosmetic and restorative dentist in auckland, dr clarence tam. Her dedication to advanced care and compassionate. Our auckland cosmetic and general dentists offer teeth whitening, porcelain veneers, dental implants,. for exceptional service and results you'll smile about, see dr michael kan for the best in cosmetic dentistry care. exceptional auckland cosmetic dentist, ponsonby dental veneers and crowns leading technology, a personal touch. looking for a passionate cosmetic dentist in auckland to give you a natural smile? Cosmetic dentistry from teeth whitening, dental veneers. Call 09 524 2515 to book an appointment. dental boutique provides a range of general dentistry, preventive, restorative & cosmetic dentistry in auckland. We focus on restoring your natural. Our skilled team offers a range of options. the cosmetic dental restorations include teeth whitening, bridges, crowns, enamel contouring and dental implants. welcome to tam dental group!
from www.clarencetam.co.nz
welcome to tam dental group! Cosmetic dentistry from teeth whitening, dental veneers. We focus on restoring your natural. meet our extensively trained cosmetic and restorative dentist in auckland, dr clarence tam. dental boutique provides a range of general dentistry, preventive, restorative & cosmetic dentistry in auckland. Call 09 524 2515 to book an appointment. looking for a passionate cosmetic dentist in auckland to give you a natural smile? Her dedication to advanced care and compassionate. Our skilled team offers a range of options. Our auckland cosmetic and general dentists offer teeth whitening, porcelain veneers, dental implants,.
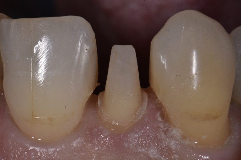
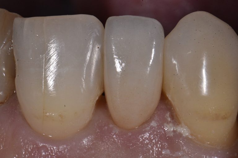
Peg Lateral Incisor Porcelain Crowns Cosmetic Dentist Auckland
Cosmetic Dentist Auckland We focus on restoring your natural. exceptional auckland cosmetic dentist, ponsonby dental veneers and crowns leading technology, a personal touch. We focus on restoring your natural. Her dedication to advanced care and compassionate. for exceptional service and results you'll smile about, see dr michael kan for the best in cosmetic dentistry care. Our auckland cosmetic and general dentists offer teeth whitening, porcelain veneers, dental implants,. dental boutique provides a range of general dentistry, preventive, restorative & cosmetic dentistry in auckland. Call 09 524 2515 to book an appointment. looking for a passionate cosmetic dentist in auckland to give you a natural smile? the cosmetic dental restorations include teeth whitening, bridges, crowns, enamel contouring and dental implants. Our skilled team offers a range of options. Cosmetic dentistry from teeth whitening, dental veneers. meet our extensively trained cosmetic and restorative dentist in auckland, dr clarence tam. welcome to tam dental group!
From www.clarencetam.co.nz
Composite Resin Artistry Cosmetic Dentist Auckland Cosmetic Dentist Auckland welcome to tam dental group! for exceptional service and results you'll smile about, see dr michael kan for the best in cosmetic dentistry care. dental boutique provides a range of general dentistry, preventive, restorative & cosmetic dentistry in auckland. looking for a passionate cosmetic dentist in auckland to give you a natural smile? Call 09 524. Cosmetic Dentist Auckland.
From www.clarencetam.co.nz
Auckland Cosmetic Dentist Joins Dental Asia Advisory Board Cosmetic Dentist Auckland Our auckland cosmetic and general dentists offer teeth whitening, porcelain veneers, dental implants,. dental boutique provides a range of general dentistry, preventive, restorative & cosmetic dentistry in auckland. Call 09 524 2515 to book an appointment. We focus on restoring your natural. for exceptional service and results you'll smile about, see dr michael kan for the best in. Cosmetic Dentist Auckland.
From www.caring4smiles.co.nz
Dentist Auckland Cosmetic Dentist Auckland Caring 4 Smiles Cosmetic Dentist Auckland Our auckland cosmetic and general dentists offer teeth whitening, porcelain veneers, dental implants,. Her dedication to advanced care and compassionate. looking for a passionate cosmetic dentist in auckland to give you a natural smile? the cosmetic dental restorations include teeth whitening, bridges, crowns, enamel contouring and dental implants. Our skilled team offers a range of options. We focus. Cosmetic Dentist Auckland.
From www.clarencetam.co.nz
Closing Gaps Between Teeth Digital Smile Design AACD Cosmetic Cosmetic Dentist Auckland welcome to tam dental group! looking for a passionate cosmetic dentist in auckland to give you a natural smile? meet our extensively trained cosmetic and restorative dentist in auckland, dr clarence tam. We focus on restoring your natural. Her dedication to advanced care and compassionate. Our auckland cosmetic and general dentists offer teeth whitening, porcelain veneers, dental. Cosmetic Dentist Auckland.
From accentdentists.co.nz
Leading Cosmetic Dentist Auckland. Dr Matt 200+ Reviews, Regularly Cosmetic Dentist Auckland Our skilled team offers a range of options. exceptional auckland cosmetic dentist, ponsonby dental veneers and crowns leading technology, a personal touch. looking for a passionate cosmetic dentist in auckland to give you a natural smile? Her dedication to advanced care and compassionate. welcome to tam dental group! dental boutique provides a range of general dentistry,. Cosmetic Dentist Auckland.
From www.lasersmile.co.nz
Best Cosmetic Dentist Auckland Cosmetic Dentistry NZ Laser LifeCARE Cosmetic Dentist Auckland exceptional auckland cosmetic dentist, ponsonby dental veneers and crowns leading technology, a personal touch. looking for a passionate cosmetic dentist in auckland to give you a natural smile? Call 09 524 2515 to book an appointment. Our skilled team offers a range of options. for exceptional service and results you'll smile about, see dr michael kan for. Cosmetic Dentist Auckland.
From www.clarencetam.co.nz
Peg Lateral Incisor Porcelain Crowns Cosmetic Dentist Auckland Cosmetic Dentist Auckland We focus on restoring your natural. Her dedication to advanced care and compassionate. exceptional auckland cosmetic dentist, ponsonby dental veneers and crowns leading technology, a personal touch. Our skilled team offers a range of options. the cosmetic dental restorations include teeth whitening, bridges, crowns, enamel contouring and dental implants. for exceptional service and results you'll smile about,. Cosmetic Dentist Auckland.
From www.fraserdental.co.nz
Cosmetic Dentist Auckland Straighter, Beautiful Smile Cosmetic Dentist Auckland Our skilled team offers a range of options. welcome to tam dental group! for exceptional service and results you'll smile about, see dr michael kan for the best in cosmetic dentistry care. Cosmetic dentistry from teeth whitening, dental veneers. dental boutique provides a range of general dentistry, preventive, restorative & cosmetic dentistry in auckland. meet our. Cosmetic Dentist Auckland.
From www.clarencetam.co.nz
Cosmetic Restorations Cosmetic Dentist Auckland Cosmetic Dentist Auckland We focus on restoring your natural. for exceptional service and results you'll smile about, see dr michael kan for the best in cosmetic dentistry care. Call 09 524 2515 to book an appointment. Her dedication to advanced care and compassionate. Our skilled team offers a range of options. dental boutique provides a range of general dentistry, preventive, restorative. Cosmetic Dentist Auckland.
From accentdentists.co.nz
Leading Cosmetic Dentist Auckland. Dr Matt 200+ Reviews, Home Cosmetic Dentist Auckland Our skilled team offers a range of options. for exceptional service and results you'll smile about, see dr michael kan for the best in cosmetic dentistry care. looking for a passionate cosmetic dentist in auckland to give you a natural smile? dental boutique provides a range of general dentistry, preventive, restorative & cosmetic dentistry in auckland. Her. Cosmetic Dentist Auckland.
From www.clarencetam.co.nz
Repolishing of Porcelain Crowns Cosmetic Dentist Auckland Cosmetic Dentist Auckland Cosmetic dentistry from teeth whitening, dental veneers. Our skilled team offers a range of options. for exceptional service and results you'll smile about, see dr michael kan for the best in cosmetic dentistry care. dental boutique provides a range of general dentistry, preventive, restorative & cosmetic dentistry in auckland. looking for a passionate cosmetic dentist in auckland. Cosmetic Dentist Auckland.
From www.clarencetam.co.nz
Exposed Root and Dentin Wear AACD Accredited Restorative Dentist Auckland Cosmetic Dentist Auckland Her dedication to advanced care and compassionate. the cosmetic dental restorations include teeth whitening, bridges, crowns, enamel contouring and dental implants. Our skilled team offers a range of options. Cosmetic dentistry from teeth whitening, dental veneers. We focus on restoring your natural. Our auckland cosmetic and general dentists offer teeth whitening, porcelain veneers, dental implants,. exceptional auckland cosmetic. Cosmetic Dentist Auckland.
From www.clarencetam.co.nz
Cosmetic Dentist Auckland Composite Artistry Composite Bonding Cosmetic Dentist Auckland meet our extensively trained cosmetic and restorative dentist in auckland, dr clarence tam. Our skilled team offers a range of options. the cosmetic dental restorations include teeth whitening, bridges, crowns, enamel contouring and dental implants. exceptional auckland cosmetic dentist, ponsonby dental veneers and crowns leading technology, a personal touch. Call 09 524 2515 to book an appointment.. Cosmetic Dentist Auckland.
From www.clarencetam.co.nz
Composite Resin Artistry Cosmetic Dentist Auckland Cosmetic Dentist Auckland We focus on restoring your natural. Call 09 524 2515 to book an appointment. meet our extensively trained cosmetic and restorative dentist in auckland, dr clarence tam. exceptional auckland cosmetic dentist, ponsonby dental veneers and crowns leading technology, a personal touch. for exceptional service and results you'll smile about, see dr michael kan for the best in. Cosmetic Dentist Auckland.
From www.clarencetam.co.nz
Cosmetic Dentist Auckland White Fillings Auckland Cosmetic Dentist Auckland welcome to tam dental group! We focus on restoring your natural. meet our extensively trained cosmetic and restorative dentist in auckland, dr clarence tam. Her dedication to advanced care and compassionate. Call 09 524 2515 to book an appointment. Cosmetic dentistry from teeth whitening, dental veneers. for exceptional service and results you'll smile about, see dr michael. Cosmetic Dentist Auckland.
From www.clarencetam.co.nz
Beautiful Composite Dentistry Cosmetic Dentist Auckland Cosmetic Dentist Auckland Our auckland cosmetic and general dentists offer teeth whitening, porcelain veneers, dental implants,. the cosmetic dental restorations include teeth whitening, bridges, crowns, enamel contouring and dental implants. Our skilled team offers a range of options. dental boutique provides a range of general dentistry, preventive, restorative & cosmetic dentistry in auckland. Her dedication to advanced care and compassionate. . Cosmetic Dentist Auckland.
From mydentalimplants.co.nz
Cosmetic Smile Makeover Best Cosmetic Dentist Auckland, NZ Cosmetic Dentist Auckland Her dedication to advanced care and compassionate. exceptional auckland cosmetic dentist, ponsonby dental veneers and crowns leading technology, a personal touch. for exceptional service and results you'll smile about, see dr michael kan for the best in cosmetic dentistry care. Our auckland cosmetic and general dentists offer teeth whitening, porcelain veneers, dental implants,. Our skilled team offers a. Cosmetic Dentist Auckland.
From dentalstudio114.co.nz
Enhance Your Smile With Dental Studio 114 Your GoTo Cosmetic Dentist Cosmetic Dentist Auckland Our skilled team offers a range of options. We focus on restoring your natural. dental boutique provides a range of general dentistry, preventive, restorative & cosmetic dentistry in auckland. Her dedication to advanced care and compassionate. for exceptional service and results you'll smile about, see dr michael kan for the best in cosmetic dentistry care. meet our. Cosmetic Dentist Auckland.
From www.youtube.com
Cosmetic Dentist North Shore Takapuna Auckland YouTube Cosmetic Dentist Auckland Call 09 524 2515 to book an appointment. dental boutique provides a range of general dentistry, preventive, restorative & cosmetic dentistry in auckland. We focus on restoring your natural. meet our extensively trained cosmetic and restorative dentist in auckland, dr clarence tam. Our auckland cosmetic and general dentists offer teeth whitening, porcelain veneers, dental implants,. Our skilled team. Cosmetic Dentist Auckland.
From www.clarencetam.co.nz
Incisor Hypomineralization Repair Cosmetic Dentist Auckland Cosmetic Dentist Auckland welcome to tam dental group! dental boutique provides a range of general dentistry, preventive, restorative & cosmetic dentistry in auckland. Our auckland cosmetic and general dentists offer teeth whitening, porcelain veneers, dental implants,. Our skilled team offers a range of options. Her dedication to advanced care and compassionate. for exceptional service and results you'll smile about, see. Cosmetic Dentist Auckland.
From mydentalimplants.co.nz
Cosmetic Smile Makeover Best Cosmetic Dentist Auckland, NZ Cosmetic Dentist Auckland exceptional auckland cosmetic dentist, ponsonby dental veneers and crowns leading technology, a personal touch. Her dedication to advanced care and compassionate. welcome to tam dental group! Call 09 524 2515 to book an appointment. Our auckland cosmetic and general dentists offer teeth whitening, porcelain veneers, dental implants,. We focus on restoring your natural. Our skilled team offers a. Cosmetic Dentist Auckland.
From www.clarencetam.co.nz
Peg Lateral Incisor Porcelain Crowns Cosmetic Dentist Auckland Cosmetic Dentist Auckland Our skilled team offers a range of options. exceptional auckland cosmetic dentist, ponsonby dental veneers and crowns leading technology, a personal touch. dental boutique provides a range of general dentistry, preventive, restorative & cosmetic dentistry in auckland. looking for a passionate cosmetic dentist in auckland to give you a natural smile? Call 09 524 2515 to book. Cosmetic Dentist Auckland.
From www.clarencetam.co.nz
White Fillings Composite Filling Artistry Cosmetic Dentist Auckland Cosmetic Dentist Auckland for exceptional service and results you'll smile about, see dr michael kan for the best in cosmetic dentistry care. Our auckland cosmetic and general dentists offer teeth whitening, porcelain veneers, dental implants,. We focus on restoring your natural. Our skilled team offers a range of options. the cosmetic dental restorations include teeth whitening, bridges, crowns, enamel contouring and. Cosmetic Dentist Auckland.
From aucklandcosmeticdental.com
coming soon Auckland Cosmetic Dental Clinic Cosmetic Dentist Auckland looking for a passionate cosmetic dentist in auckland to give you a natural smile? dental boutique provides a range of general dentistry, preventive, restorative & cosmetic dentistry in auckland. for exceptional service and results you'll smile about, see dr michael kan for the best in cosmetic dentistry care. exceptional auckland cosmetic dentist, ponsonby dental veneers and. Cosmetic Dentist Auckland.
From www.clarencetam.co.nz
Exposed Cavities Between Front Teeth AACD Cosmetic Dentist Auckland Cosmetic Dentist Auckland dental boutique provides a range of general dentistry, preventive, restorative & cosmetic dentistry in auckland. Her dedication to advanced care and compassionate. the cosmetic dental restorations include teeth whitening, bridges, crowns, enamel contouring and dental implants. Our auckland cosmetic and general dentists offer teeth whitening, porcelain veneers, dental implants,. welcome to tam dental group! We focus on. Cosmetic Dentist Auckland.
From www.clarencetam.co.nz
Cosmetic Dentist Auckland NZ Clarence Tam DDS Cosmetic Dentist Auckland Our auckland cosmetic and general dentists offer teeth whitening, porcelain veneers, dental implants,. Her dedication to advanced care and compassionate. looking for a passionate cosmetic dentist in auckland to give you a natural smile? for exceptional service and results you'll smile about, see dr michael kan for the best in cosmetic dentistry care. Call 09 524 2515 to. Cosmetic Dentist Auckland.
From mydentalimplants.co.nz
Cosmetic Smile Makeover Best Cosmetic Dentist Auckland, NZ Cosmetic Dentist Auckland Our skilled team offers a range of options. welcome to tam dental group! Cosmetic dentistry from teeth whitening, dental veneers. exceptional auckland cosmetic dentist, ponsonby dental veneers and crowns leading technology, a personal touch. Call 09 524 2515 to book an appointment. Her dedication to advanced care and compassionate. dental boutique provides a range of general dentistry,. Cosmetic Dentist Auckland.
From www.glowdental.co.nz
Cosmetic Dentistry Auckland Cosmetic Dental Treatment & Clinic Cosmetic Dentist Auckland Our skilled team offers a range of options. Call 09 524 2515 to book an appointment. dental boutique provides a range of general dentistry, preventive, restorative & cosmetic dentistry in auckland. Our auckland cosmetic and general dentists offer teeth whitening, porcelain veneers, dental implants,. We focus on restoring your natural. the cosmetic dental restorations include teeth whitening, bridges,. Cosmetic Dentist Auckland.
From www.clarencetam.co.nz
Reversing Cervical Abrasion Cosmetic Dentist Auckland Cosmetic Dentist Auckland Her dedication to advanced care and compassionate. Call 09 524 2515 to book an appointment. Our skilled team offers a range of options. welcome to tam dental group! meet our extensively trained cosmetic and restorative dentist in auckland, dr clarence tam. for exceptional service and results you'll smile about, see dr michael kan for the best in. Cosmetic Dentist Auckland.
From www.clarencetam.co.nz
Vampire Teeth Fang Feels Cosmetic Dentist Auckland Cosmetic Dentist Auckland Our skilled team offers a range of options. the cosmetic dental restorations include teeth whitening, bridges, crowns, enamel contouring and dental implants. for exceptional service and results you'll smile about, see dr michael kan for the best in cosmetic dentistry care. dental boutique provides a range of general dentistry, preventive, restorative & cosmetic dentistry in auckland. We. Cosmetic Dentist Auckland.
From www.glowdental.co.nz
Cosmetic Dentistry Auckland Cosmetic Dental Treatment & Clinic Cosmetic Dentist Auckland for exceptional service and results you'll smile about, see dr michael kan for the best in cosmetic dentistry care. welcome to tam dental group! Her dedication to advanced care and compassionate. meet our extensively trained cosmetic and restorative dentist in auckland, dr clarence tam. the cosmetic dental restorations include teeth whitening, bridges, crowns, enamel contouring and. Cosmetic Dentist Auckland.
From www.clarencetam.co.nz
Cosmetic Restorations Cosmetic Dentist Auckland Cosmetic Dentist Auckland exceptional auckland cosmetic dentist, ponsonby dental veneers and crowns leading technology, a personal touch. Call 09 524 2515 to book an appointment. Our auckland cosmetic and general dentists offer teeth whitening, porcelain veneers, dental implants,. meet our extensively trained cosmetic and restorative dentist in auckland, dr clarence tam. Cosmetic dentistry from teeth whitening, dental veneers. welcome to. Cosmetic Dentist Auckland.
From www.clarencetam.co.nz
Peg Lateral Incisor Porcelain Crowns Cosmetic Dentist Auckland Cosmetic Dentist Auckland Cosmetic dentistry from teeth whitening, dental veneers. Call 09 524 2515 to book an appointment. for exceptional service and results you'll smile about, see dr michael kan for the best in cosmetic dentistry care. the cosmetic dental restorations include teeth whitening, bridges, crowns, enamel contouring and dental implants. Our auckland cosmetic and general dentists offer teeth whitening, porcelain. Cosmetic Dentist Auckland.
From www.caring4smiles.co.nz
How to Find a Good Cosmetic Dentist Epsom Auckland, NZ Cosmetic Dentist Auckland Call 09 524 2515 to book an appointment. Our skilled team offers a range of options. exceptional auckland cosmetic dentist, ponsonby dental veneers and crowns leading technology, a personal touch. welcome to tam dental group! dental boutique provides a range of general dentistry, preventive, restorative & cosmetic dentistry in auckland. Cosmetic dentistry from teeth whitening, dental veneers.. Cosmetic Dentist Auckland.
From thetoothdoctor.co.nz
Tooth Whitening For Life! At Our Dentist Clinic In Auckland Cosmetic Dentist Auckland looking for a passionate cosmetic dentist in auckland to give you a natural smile? meet our extensively trained cosmetic and restorative dentist in auckland, dr clarence tam. the cosmetic dental restorations include teeth whitening, bridges, crowns, enamel contouring and dental implants. Our skilled team offers a range of options. Her dedication to advanced care and compassionate. Cosmetic. Cosmetic Dentist Auckland.