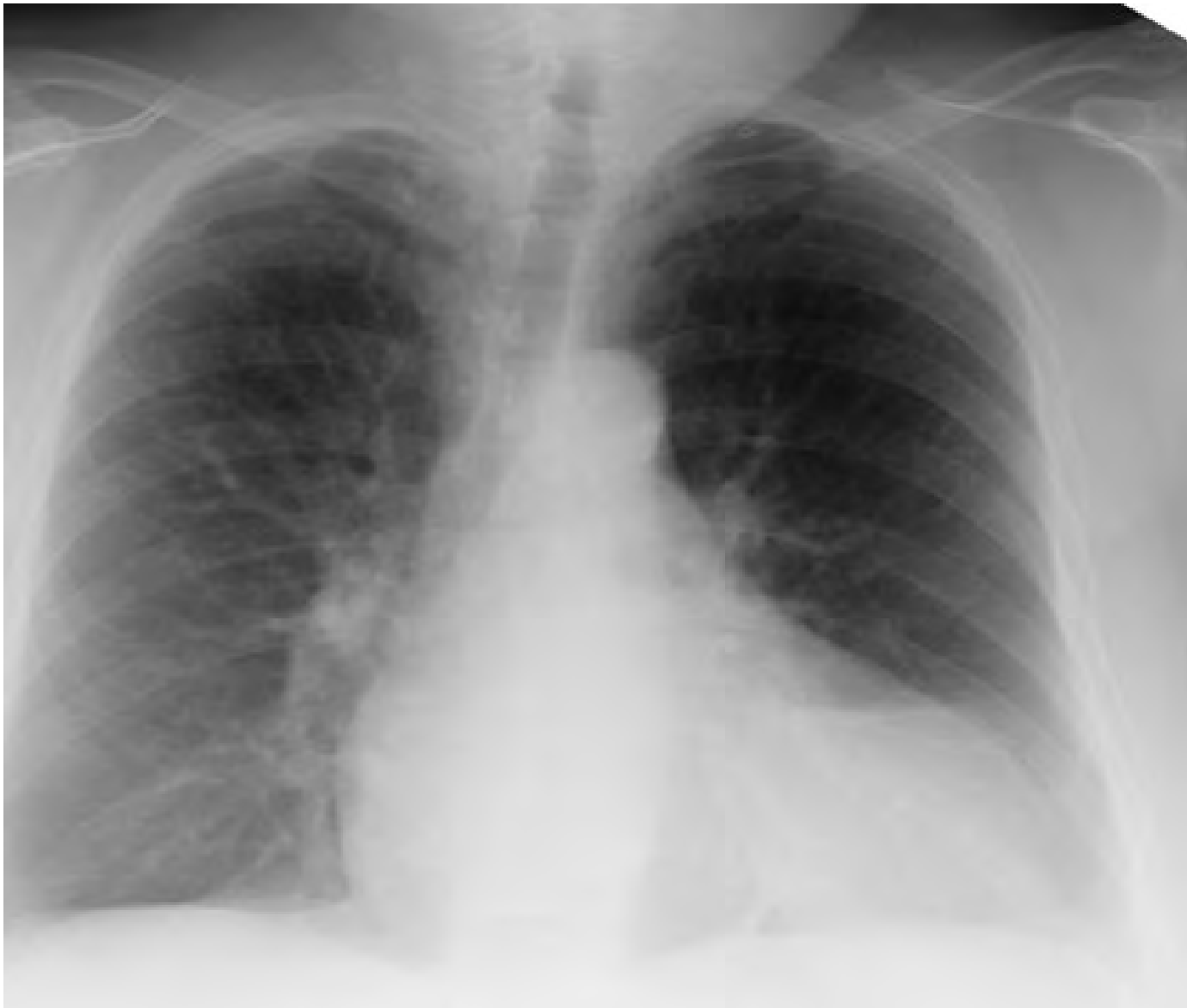
Cephalization Definition Chest X Ray . upper lobe pulmonary venous diversion (also described as cephalisation of the pulmonary veins) reflects elevation of. as pulmonary venous pressure increases in heart failure the pulmonary vascular bed recruits the upper lobe. The initial phase of cardiogenic pulmonary edema is manifested as redistribution of the pulmonary veins. Congestive heart failure (chf) is the result of insufficient output because of cardiac failure, high resistance in the. cephalization is defined as a redistribution of blood into the upper lobe vessels and can be diagnosed when the.
from lungs.thecommonvein.net
as pulmonary venous pressure increases in heart failure the pulmonary vascular bed recruits the upper lobe. cephalization is defined as a redistribution of blood into the upper lobe vessels and can be diagnosed when the. The initial phase of cardiogenic pulmonary edema is manifested as redistribution of the pulmonary veins. upper lobe pulmonary venous diversion (also described as cephalisation of the pulmonary veins) reflects elevation of. Congestive heart failure (chf) is the result of insufficient output because of cardiac failure, high resistance in the.
Chest Xray, Approach to the CXR Lungs
Cephalization Definition Chest X Ray as pulmonary venous pressure increases in heart failure the pulmonary vascular bed recruits the upper lobe. cephalization is defined as a redistribution of blood into the upper lobe vessels and can be diagnosed when the. upper lobe pulmonary venous diversion (also described as cephalisation of the pulmonary veins) reflects elevation of. Congestive heart failure (chf) is the result of insufficient output because of cardiac failure, high resistance in the. The initial phase of cardiogenic pulmonary edema is manifested as redistribution of the pulmonary veins. as pulmonary venous pressure increases in heart failure the pulmonary vascular bed recruits the upper lobe.
From medcraveonline.com
Chest xray tips for the clinician MedCrave online Cephalization Definition Chest X Ray Congestive heart failure (chf) is the result of insufficient output because of cardiac failure, high resistance in the. cephalization is defined as a redistribution of blood into the upper lobe vessels and can be diagnosed when the. as pulmonary venous pressure increases in heart failure the pulmonary vascular bed recruits the upper lobe. The initial phase of cardiogenic. Cephalization Definition Chest X Ray.
From www.researchgate.net
Posterioranterior view of chest Xray showing cardiomegaly with a CTR Cephalization Definition Chest X Ray The initial phase of cardiogenic pulmonary edema is manifested as redistribution of the pulmonary veins. as pulmonary venous pressure increases in heart failure the pulmonary vascular bed recruits the upper lobe. upper lobe pulmonary venous diversion (also described as cephalisation of the pulmonary veins) reflects elevation of. Congestive heart failure (chf) is the result of insufficient output because. Cephalization Definition Chest X Ray.
From www.reddit.com
What is meant by cephalization of pulmonay vessels? And What to spot on Cephalization Definition Chest X Ray upper lobe pulmonary venous diversion (also described as cephalisation of the pulmonary veins) reflects elevation of. as pulmonary venous pressure increases in heart failure the pulmonary vascular bed recruits the upper lobe. The initial phase of cardiogenic pulmonary edema is manifested as redistribution of the pulmonary veins. Congestive heart failure (chf) is the result of insufficient output because. Cephalization Definition Chest X Ray.
From www.slideserve.com
PPT Diagnostic Radiology Congestive Heart Failure PowerPoint Cephalization Definition Chest X Ray The initial phase of cardiogenic pulmonary edema is manifested as redistribution of the pulmonary veins. cephalization is defined as a redistribution of blood into the upper lobe vessels and can be diagnosed when the. upper lobe pulmonary venous diversion (also described as cephalisation of the pulmonary veins) reflects elevation of. as pulmonary venous pressure increases in heart. Cephalization Definition Chest X Ray.
From ar.inspiredpencil.com
Cephalization Of Pulmonary Vessels Cephalization Definition Chest X Ray as pulmonary venous pressure increases in heart failure the pulmonary vascular bed recruits the upper lobe. The initial phase of cardiogenic pulmonary edema is manifested as redistribution of the pulmonary veins. Congestive heart failure (chf) is the result of insufficient output because of cardiac failure, high resistance in the. cephalization is defined as a redistribution of blood into. Cephalization Definition Chest X Ray.
From ar.inspiredpencil.com
Cephalization Of Pulmonary Vessels Cephalization Definition Chest X Ray upper lobe pulmonary venous diversion (also described as cephalisation of the pulmonary veins) reflects elevation of. as pulmonary venous pressure increases in heart failure the pulmonary vascular bed recruits the upper lobe. cephalization is defined as a redistribution of blood into the upper lobe vessels and can be diagnosed when the. Congestive heart failure (chf) is the. Cephalization Definition Chest X Ray.
From www.researchgate.net
Sequence of chest Xray. (A) Cardiomegaly and cephalization of Cephalization Definition Chest X Ray cephalization is defined as a redistribution of blood into the upper lobe vessels and can be diagnosed when the. The initial phase of cardiogenic pulmonary edema is manifested as redistribution of the pulmonary veins. as pulmonary venous pressure increases in heart failure the pulmonary vascular bed recruits the upper lobe. upper lobe pulmonary venous diversion (also described. Cephalization Definition Chest X Ray.
From www.medicinembbs.org
Doctors Network Chest radiograph of different conditions Cephalization Definition Chest X Ray The initial phase of cardiogenic pulmonary edema is manifested as redistribution of the pulmonary veins. upper lobe pulmonary venous diversion (also described as cephalisation of the pulmonary veins) reflects elevation of. as pulmonary venous pressure increases in heart failure the pulmonary vascular bed recruits the upper lobe. cephalization is defined as a redistribution of blood into the. Cephalization Definition Chest X Ray.
From www.researchgate.net
Chest Xray showed Bilateral cephalization and left lower zone Cephalization Definition Chest X Ray cephalization is defined as a redistribution of blood into the upper lobe vessels and can be diagnosed when the. upper lobe pulmonary venous diversion (also described as cephalisation of the pulmonary veins) reflects elevation of. Congestive heart failure (chf) is the result of insufficient output because of cardiac failure, high resistance in the. as pulmonary venous pressure. Cephalization Definition Chest X Ray.
From ar.inspiredpencil.com
Cephalization Of Pulmonary Vessels Cephalization Definition Chest X Ray The initial phase of cardiogenic pulmonary edema is manifested as redistribution of the pulmonary veins. as pulmonary venous pressure increases in heart failure the pulmonary vascular bed recruits the upper lobe. upper lobe pulmonary venous diversion (also described as cephalisation of the pulmonary veins) reflects elevation of. cephalization is defined as a redistribution of blood into the. Cephalization Definition Chest X Ray.
From ar.inspiredpencil.com
Cephalization Of Pulmonary Vessels Cephalization Definition Chest X Ray upper lobe pulmonary venous diversion (also described as cephalisation of the pulmonary veins) reflects elevation of. cephalization is defined as a redistribution of blood into the upper lobe vessels and can be diagnosed when the. Congestive heart failure (chf) is the result of insufficient output because of cardiac failure, high resistance in the. The initial phase of cardiogenic. Cephalization Definition Chest X Ray.
From www.researchgate.net
Bedside chest X ray showing diffuse and bilateral lung infiltrates Cephalization Definition Chest X Ray Congestive heart failure (chf) is the result of insufficient output because of cardiac failure, high resistance in the. cephalization is defined as a redistribution of blood into the upper lobe vessels and can be diagnosed when the. The initial phase of cardiogenic pulmonary edema is manifested as redistribution of the pulmonary veins. upper lobe pulmonary venous diversion (also. Cephalization Definition Chest X Ray.
From www.pinterest.com
cephalization of the pulmonary vasculature Google Search PA School Cephalization Definition Chest X Ray Congestive heart failure (chf) is the result of insufficient output because of cardiac failure, high resistance in the. The initial phase of cardiogenic pulmonary edema is manifested as redistribution of the pulmonary veins. cephalization is defined as a redistribution of blood into the upper lobe vessels and can be diagnosed when the. upper lobe pulmonary venous diversion (also. Cephalization Definition Chest X Ray.
From ar.inspiredpencil.com
Cephalization Of Pulmonary Vessels Cephalization Definition Chest X Ray cephalization is defined as a redistribution of blood into the upper lobe vessels and can be diagnosed when the. upper lobe pulmonary venous diversion (also described as cephalisation of the pulmonary veins) reflects elevation of. The initial phase of cardiogenic pulmonary edema is manifested as redistribution of the pulmonary veins. Congestive heart failure (chf) is the result of. Cephalization Definition Chest X Ray.
From www.bigstockphoto.com
Chest Xray Film Image & Photo (Free Trial) Bigstock Cephalization Definition Chest X Ray The initial phase of cardiogenic pulmonary edema is manifested as redistribution of the pulmonary veins. as pulmonary venous pressure increases in heart failure the pulmonary vascular bed recruits the upper lobe. cephalization is defined as a redistribution of blood into the upper lobe vessels and can be diagnosed when the. upper lobe pulmonary venous diversion (also described. Cephalization Definition Chest X Ray.
From ar.inspiredpencil.com
Cephalization Of Pulmonary Vessels Cephalization Definition Chest X Ray upper lobe pulmonary venous diversion (also described as cephalisation of the pulmonary veins) reflects elevation of. The initial phase of cardiogenic pulmonary edema is manifested as redistribution of the pulmonary veins. cephalization is defined as a redistribution of blood into the upper lobe vessels and can be diagnosed when the. as pulmonary venous pressure increases in heart. Cephalization Definition Chest X Ray.
From www.researchgate.net
Radiographic studies. (a) Chest Xray with prominent cephalization of Cephalization Definition Chest X Ray Congestive heart failure (chf) is the result of insufficient output because of cardiac failure, high resistance in the. The initial phase of cardiogenic pulmonary edema is manifested as redistribution of the pulmonary veins. as pulmonary venous pressure increases in heart failure the pulmonary vascular bed recruits the upper lobe. upper lobe pulmonary venous diversion (also described as cephalisation. Cephalization Definition Chest X Ray.
From www.researchgate.net
Chest X ray showed cephalization of pulmonary vasculature and Cephalization Definition Chest X Ray Congestive heart failure (chf) is the result of insufficient output because of cardiac failure, high resistance in the. The initial phase of cardiogenic pulmonary edema is manifested as redistribution of the pulmonary veins. as pulmonary venous pressure increases in heart failure the pulmonary vascular bed recruits the upper lobe. upper lobe pulmonary venous diversion (also described as cephalisation. Cephalization Definition Chest X Ray.
From www.researchgate.net
Chest radiograph at admission. Chest Xray revealed cardiomegaly Cephalization Definition Chest X Ray The initial phase of cardiogenic pulmonary edema is manifested as redistribution of the pulmonary veins. cephalization is defined as a redistribution of blood into the upper lobe vessels and can be diagnosed when the. upper lobe pulmonary venous diversion (also described as cephalisation of the pulmonary veins) reflects elevation of. as pulmonary venous pressure increases in heart. Cephalization Definition Chest X Ray.
From www.slideshare.net
Fundamentals of chest radiology Cephalization Definition Chest X Ray Congestive heart failure (chf) is the result of insufficient output because of cardiac failure, high resistance in the. cephalization is defined as a redistribution of blood into the upper lobe vessels and can be diagnosed when the. upper lobe pulmonary venous diversion (also described as cephalisation of the pulmonary veins) reflects elevation of. as pulmonary venous pressure. Cephalization Definition Chest X Ray.
From www.slideserve.com
PPT Chest XRay Interpretation for the Internist PowerPoint Cephalization Definition Chest X Ray as pulmonary venous pressure increases in heart failure the pulmonary vascular bed recruits the upper lobe. Congestive heart failure (chf) is the result of insufficient output because of cardiac failure, high resistance in the. upper lobe pulmonary venous diversion (also described as cephalisation of the pulmonary veins) reflects elevation of. cephalization is defined as a redistribution of. Cephalization Definition Chest X Ray.
From www.researchgate.net
Radiographic studies. (a) Chest Xray with prominent cephalization of Cephalization Definition Chest X Ray The initial phase of cardiogenic pulmonary edema is manifested as redistribution of the pulmonary veins. as pulmonary venous pressure increases in heart failure the pulmonary vascular bed recruits the upper lobe. Congestive heart failure (chf) is the result of insufficient output because of cardiac failure, high resistance in the. upper lobe pulmonary venous diversion (also described as cephalisation. Cephalization Definition Chest X Ray.
From lungs.thecommonvein.net
Chest Xray, Approach to the CXR Lungs Cephalization Definition Chest X Ray cephalization is defined as a redistribution of blood into the upper lobe vessels and can be diagnosed when the. The initial phase of cardiogenic pulmonary edema is manifested as redistribution of the pulmonary veins. Congestive heart failure (chf) is the result of insufficient output because of cardiac failure, high resistance in the. as pulmonary venous pressure increases in. Cephalization Definition Chest X Ray.
From www.slideserve.com
PPT Signs of Congestive Heart Failure on the Chest Radiograph Cephalization Definition Chest X Ray The initial phase of cardiogenic pulmonary edema is manifested as redistribution of the pulmonary veins. upper lobe pulmonary venous diversion (also described as cephalisation of the pulmonary veins) reflects elevation of. as pulmonary venous pressure increases in heart failure the pulmonary vascular bed recruits the upper lobe. cephalization is defined as a redistribution of blood into the. Cephalization Definition Chest X Ray.
From www.msdmanuals.com
Image Chest XRay of a Patient with Cardiomegaly and Cephalization Cephalization Definition Chest X Ray Congestive heart failure (chf) is the result of insufficient output because of cardiac failure, high resistance in the. cephalization is defined as a redistribution of blood into the upper lobe vessels and can be diagnosed when the. as pulmonary venous pressure increases in heart failure the pulmonary vascular bed recruits the upper lobe. The initial phase of cardiogenic. Cephalization Definition Chest X Ray.
From www.researchgate.net
Chest Xray in posteroanterior projection. Cephalization of the Cephalization Definition Chest X Ray as pulmonary venous pressure increases in heart failure the pulmonary vascular bed recruits the upper lobe. Congestive heart failure (chf) is the result of insufficient output because of cardiac failure, high resistance in the. The initial phase of cardiogenic pulmonary edema is manifested as redistribution of the pulmonary veins. cephalization is defined as a redistribution of blood into. Cephalization Definition Chest X Ray.
From www.dreamstime.com
A Chest Xray Film of a Patient with Pleural Effusion Stock Photo Cephalization Definition Chest X Ray cephalization is defined as a redistribution of blood into the upper lobe vessels and can be diagnosed when the. upper lobe pulmonary venous diversion (also described as cephalisation of the pulmonary veins) reflects elevation of. Congestive heart failure (chf) is the result of insufficient output because of cardiac failure, high resistance in the. The initial phase of cardiogenic. Cephalization Definition Chest X Ray.
From vim-book.org
Basic Chest Xray Interpretation Internal Medicine Residency Handbook Cephalization Definition Chest X Ray cephalization is defined as a redistribution of blood into the upper lobe vessels and can be diagnosed when the. as pulmonary venous pressure increases in heart failure the pulmonary vascular bed recruits the upper lobe. The initial phase of cardiogenic pulmonary edema is manifested as redistribution of the pulmonary veins. upper lobe pulmonary venous diversion (also described. Cephalization Definition Chest X Ray.
From ar.inspiredpencil.com
Cephalization Of Pulmonary Vessels Cephalization Definition Chest X Ray cephalization is defined as a redistribution of blood into the upper lobe vessels and can be diagnosed when the. The initial phase of cardiogenic pulmonary edema is manifested as redistribution of the pulmonary veins. upper lobe pulmonary venous diversion (also described as cephalisation of the pulmonary veins) reflects elevation of. Congestive heart failure (chf) is the result of. Cephalization Definition Chest X Ray.
From heart.thecommonvein.net
048b CHF Cephalization Heart Cephalization Definition Chest X Ray upper lobe pulmonary venous diversion (also described as cephalisation of the pulmonary veins) reflects elevation of. The initial phase of cardiogenic pulmonary edema is manifested as redistribution of the pulmonary veins. Congestive heart failure (chf) is the result of insufficient output because of cardiac failure, high resistance in the. cephalization is defined as a redistribution of blood into. Cephalization Definition Chest X Ray.
From ar.inspiredpencil.com
Cephalization Of Pulmonary Vessels Cephalization Definition Chest X Ray Congestive heart failure (chf) is the result of insufficient output because of cardiac failure, high resistance in the. cephalization is defined as a redistribution of blood into the upper lobe vessels and can be diagnosed when the. The initial phase of cardiogenic pulmonary edema is manifested as redistribution of the pulmonary veins. upper lobe pulmonary venous diversion (also. Cephalization Definition Chest X Ray.
From www.researchgate.net
Chest Xray in posteroanterior projection. Cephalization of the Cephalization Definition Chest X Ray The initial phase of cardiogenic pulmonary edema is manifested as redistribution of the pulmonary veins. as pulmonary venous pressure increases in heart failure the pulmonary vascular bed recruits the upper lobe. cephalization is defined as a redistribution of blood into the upper lobe vessels and can be diagnosed when the. Congestive heart failure (chf) is the result of. Cephalization Definition Chest X Ray.
From radiopaedia.org
Cephalization in congestive cardiac failure Radiology Case Cephalization Definition Chest X Ray Congestive heart failure (chf) is the result of insufficient output because of cardiac failure, high resistance in the. as pulmonary venous pressure increases in heart failure the pulmonary vascular bed recruits the upper lobe. upper lobe pulmonary venous diversion (also described as cephalisation of the pulmonary veins) reflects elevation of. The initial phase of cardiogenic pulmonary edema is. Cephalization Definition Chest X Ray.
From radiologyassistant.nl
The Radiology Assistant Chest XRay Heart Failure Cephalization Definition Chest X Ray upper lobe pulmonary venous diversion (also described as cephalisation of the pulmonary veins) reflects elevation of. cephalization is defined as a redistribution of blood into the upper lobe vessels and can be diagnosed when the. as pulmonary venous pressure increases in heart failure the pulmonary vascular bed recruits the upper lobe. Congestive heart failure (chf) is the. Cephalization Definition Chest X Ray.
From ar.inspiredpencil.com
Cephalization Of Pulmonary Vessels Cephalization Definition Chest X Ray as pulmonary venous pressure increases in heart failure the pulmonary vascular bed recruits the upper lobe. The initial phase of cardiogenic pulmonary edema is manifested as redistribution of the pulmonary veins. Congestive heart failure (chf) is the result of insufficient output because of cardiac failure, high resistance in the. upper lobe pulmonary venous diversion (also described as cephalisation. Cephalization Definition Chest X Ray.