Resin Infiltration Before And After . The penetration of the resin into the fluorosis lesion is made possible thanks to etching the enamel surface performed with 15%. Before undergoing icon resin infiltration or any dental procedure, it’s important to consult with a qualified dental professional. And it seems to be a really great, minimally invasive way to manage white patches, either after orthotics or mih or of any origin. The surface of the tooth is cleaned and.
from www.researchgate.net
And it seems to be a really great, minimally invasive way to manage white patches, either after orthotics or mih or of any origin. The surface of the tooth is cleaned and. Before undergoing icon resin infiltration or any dental procedure, it’s important to consult with a qualified dental professional. The penetration of the resin into the fluorosis lesion is made possible thanks to etching the enamel surface performed with 15%.
Procedure of resin infiltration technique (A) Cleaning the surfaces of
Resin Infiltration Before And After And it seems to be a really great, minimally invasive way to manage white patches, either after orthotics or mih or of any origin. The surface of the tooth is cleaned and. The penetration of the resin into the fluorosis lesion is made possible thanks to etching the enamel surface performed with 15%. And it seems to be a really great, minimally invasive way to manage white patches, either after orthotics or mih or of any origin. Before undergoing icon resin infiltration or any dental procedure, it’s important to consult with a qualified dental professional.
From www.clarencetam.co.nz
Resin infiltration with composite resin direct restoration combination Resin Infiltration Before And After Before undergoing icon resin infiltration or any dental procedure, it’s important to consult with a qualified dental professional. The surface of the tooth is cleaned and. The penetration of the resin into the fluorosis lesion is made possible thanks to etching the enamel surface performed with 15%. And it seems to be a really great, minimally invasive way to manage. Resin Infiltration Before And After.
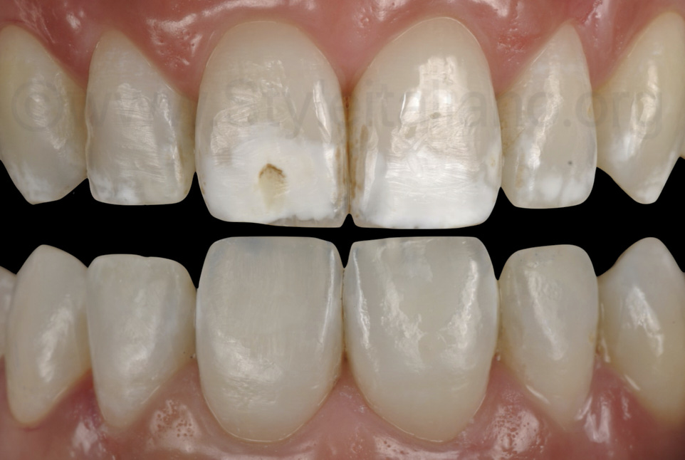
From www.styleitaliano.org
Infiltration & direct restoration Resin Infiltration Before And After The penetration of the resin into the fluorosis lesion is made possible thanks to etching the enamel surface performed with 15%. And it seems to be a really great, minimally invasive way to manage white patches, either after orthotics or mih or of any origin. Before undergoing icon resin infiltration or any dental procedure, it’s important to consult with a. Resin Infiltration Before And After.
From www.oralhealthgroup.com
Resin Infiltration Revolutionizing the Way We Treat Early Caries Resin Infiltration Before And After And it seems to be a really great, minimally invasive way to manage white patches, either after orthotics or mih or of any origin. The surface of the tooth is cleaned and. The penetration of the resin into the fluorosis lesion is made possible thanks to etching the enamel surface performed with 15%. Before undergoing icon resin infiltration or any. Resin Infiltration Before And After.
From ellisdentistry.com
Icon Resin Infiltration Ellis Family Dentistry Resin Infiltration Before And After The surface of the tooth is cleaned and. And it seems to be a really great, minimally invasive way to manage white patches, either after orthotics or mih or of any origin. Before undergoing icon resin infiltration or any dental procedure, it’s important to consult with a qualified dental professional. The penetration of the resin into the fluorosis lesion is. Resin Infiltration Before And After.
From www.thurmontfamilydentistry.com
Resin Infiltration Before & After Photos Thurmont MD Resin Infiltration Before And After Before undergoing icon resin infiltration or any dental procedure, it’s important to consult with a qualified dental professional. The penetration of the resin into the fluorosis lesion is made possible thanks to etching the enamel surface performed with 15%. And it seems to be a really great, minimally invasive way to manage white patches, either after orthotics or mih or. Resin Infiltration Before And After.
From 123rpd.com
Riverside Pediatric Dentistry Dentist in Amesbury, MA Resin Infiltration Before And After Before undergoing icon resin infiltration or any dental procedure, it’s important to consult with a qualified dental professional. The penetration of the resin into the fluorosis lesion is made possible thanks to etching the enamel surface performed with 15%. And it seems to be a really great, minimally invasive way to manage white patches, either after orthotics or mih or. Resin Infiltration Before And After.
From www.clarencetam.co.nz
Resin infiltration with composite resin direct restoration combination Resin Infiltration Before And After Before undergoing icon resin infiltration or any dental procedure, it’s important to consult with a qualified dental professional. The penetration of the resin into the fluorosis lesion is made possible thanks to etching the enamel surface performed with 15%. The surface of the tooth is cleaned and. And it seems to be a really great, minimally invasive way to manage. Resin Infiltration Before And After.
From korey-korfiatis-kce7.squarespace.com
Icon Resin Infiltration — Peterson and Sunde Dentistry Bellevue Dentist Resin Infiltration Before And After The penetration of the resin into the fluorosis lesion is made possible thanks to etching the enamel surface performed with 15%. Before undergoing icon resin infiltration or any dental procedure, it’s important to consult with a qualified dental professional. The surface of the tooth is cleaned and. And it seems to be a really great, minimally invasive way to manage. Resin Infiltration Before And After.
From pocketdentistry.com
A comparison of resin infiltration and microabrasion for Resin Infiltration Before And After And it seems to be a really great, minimally invasive way to manage white patches, either after orthotics or mih or of any origin. The surface of the tooth is cleaned and. Before undergoing icon resin infiltration or any dental procedure, it’s important to consult with a qualified dental professional. The penetration of the resin into the fluorosis lesion is. Resin Infiltration Before And After.
From www.youtube.com
White Spots Fluorosis Smile Transformation Before and After Procedure Resin Infiltration Before And After Before undergoing icon resin infiltration or any dental procedure, it’s important to consult with a qualified dental professional. And it seems to be a really great, minimally invasive way to manage white patches, either after orthotics or mih or of any origin. The surface of the tooth is cleaned and. The penetration of the resin into the fluorosis lesion is. Resin Infiltration Before And After.
From www.tysonsdentistry.com
Resin Infiltration Vienna VA Remove White Spots on Your Teeth Resin Infiltration Before And After The surface of the tooth is cleaned and. Before undergoing icon resin infiltration or any dental procedure, it’s important to consult with a qualified dental professional. And it seems to be a really great, minimally invasive way to manage white patches, either after orthotics or mih or of any origin. The penetration of the resin into the fluorosis lesion is. Resin Infiltration Before And After.
From www.swnebraskadental.com
SW Nebraska Dental Center's Smile Gallery ICON Resin Infiltration Resin Infiltration Before And After And it seems to be a really great, minimally invasive way to manage white patches, either after orthotics or mih or of any origin. Before undergoing icon resin infiltration or any dental procedure, it’s important to consult with a qualified dental professional. The penetration of the resin into the fluorosis lesion is made possible thanks to etching the enamel surface. Resin Infiltration Before And After.
From www.mercerchildrensdentistry.com
Icon Resin Infiltration (Icon) Dentist in Lawrenceville, NJ Resin Infiltration Before And After The penetration of the resin into the fluorosis lesion is made possible thanks to etching the enamel surface performed with 15%. Before undergoing icon resin infiltration or any dental procedure, it’s important to consult with a qualified dental professional. The surface of the tooth is cleaned and. And it seems to be a really great, minimally invasive way to manage. Resin Infiltration Before And After.
From www.youtube.com
Icon Resin Infiltration Minimally Invasive Dentistry Protocol White Resin Infiltration Before And After The surface of the tooth is cleaned and. The penetration of the resin into the fluorosis lesion is made possible thanks to etching the enamel surface performed with 15%. Before undergoing icon resin infiltration or any dental procedure, it’s important to consult with a qualified dental professional. And it seems to be a really great, minimally invasive way to manage. Resin Infiltration Before And After.
From www.researchgate.net
Procedure of resin infiltration technique (A) Cleaning the surfaces of Resin Infiltration Before And After Before undergoing icon resin infiltration or any dental procedure, it’s important to consult with a qualified dental professional. And it seems to be a really great, minimally invasive way to manage white patches, either after orthotics or mih or of any origin. The surface of the tooth is cleaned and. The penetration of the resin into the fluorosis lesion is. Resin Infiltration Before And After.
From www.abc.dental
Resin Infiltration For Enamel White Patches — the a.b.c. smile Resin Infiltration Before And After The surface of the tooth is cleaned and. The penetration of the resin into the fluorosis lesion is made possible thanks to etching the enamel surface performed with 15%. And it seems to be a really great, minimally invasive way to manage white patches, either after orthotics or mih or of any origin. Before undergoing icon resin infiltration or any. Resin Infiltration Before And After.
From idental.study
Treatment of extensive white spots by resin infiltration iDental.Study Resin Infiltration Before And After Before undergoing icon resin infiltration or any dental procedure, it’s important to consult with a qualified dental professional. And it seems to be a really great, minimally invasive way to manage white patches, either after orthotics or mih or of any origin. The surface of the tooth is cleaned and. The penetration of the resin into the fluorosis lesion is. Resin Infiltration Before And After.
From smiledentallounge.com
ICON Resin Infiltration The Smile Dental Lounge Dental Clinic Johor Resin Infiltration Before And After The penetration of the resin into the fluorosis lesion is made possible thanks to etching the enamel surface performed with 15%. And it seems to be a really great, minimally invasive way to manage white patches, either after orthotics or mih or of any origin. The surface of the tooth is cleaned and. Before undergoing icon resin infiltration or any. Resin Infiltration Before And After.
From www.smiles-for-kids.com
New dental technology Icon resin infiltration — Smiles for Kids Resin Infiltration Before And After Before undergoing icon resin infiltration or any dental procedure, it’s important to consult with a qualified dental professional. The surface of the tooth is cleaned and. And it seems to be a really great, minimally invasive way to manage white patches, either after orthotics or mih or of any origin. The penetration of the resin into the fluorosis lesion is. Resin Infiltration Before And After.
From www.youtube.com
ICON Resin Infiltration step by step Microscopic Dentistry YouTube Resin Infiltration Before And After And it seems to be a really great, minimally invasive way to manage white patches, either after orthotics or mih or of any origin. The penetration of the resin into the fluorosis lesion is made possible thanks to etching the enamel surface performed with 15%. Before undergoing icon resin infiltration or any dental procedure, it’s important to consult with a. Resin Infiltration Before And After.
From www.tooth-life.com
Understanding Icon Resin Infiltration A Comprehensive Guide Resin Infiltration Before And After The penetration of the resin into the fluorosis lesion is made possible thanks to etching the enamel surface performed with 15%. And it seems to be a really great, minimally invasive way to manage white patches, either after orthotics or mih or of any origin. The surface of the tooth is cleaned and. Before undergoing icon resin infiltration or any. Resin Infiltration Before And After.
From reefrecovery.org
Icon Resin Infiltration (ICON) Affiliated Children's Dental Resin Infiltration Before And After And it seems to be a really great, minimally invasive way to manage white patches, either after orthotics or mih or of any origin. The penetration of the resin into the fluorosis lesion is made possible thanks to etching the enamel surface performed with 15%. Before undergoing icon resin infiltration or any dental procedure, it’s important to consult with a. Resin Infiltration Before And After.
From www.peakdentalelpaso.com
Resin Infiltration for treatment of white spots Before & After Photos Resin Infiltration Before And After And it seems to be a really great, minimally invasive way to manage white patches, either after orthotics or mih or of any origin. The surface of the tooth is cleaned and. The penetration of the resin into the fluorosis lesion is made possible thanks to etching the enamel surface performed with 15%. Before undergoing icon resin infiltration or any. Resin Infiltration Before And After.
From www.clarencetam.co.nz
Resin infiltration with composite resin direct restoration combination Resin Infiltration Before And After And it seems to be a really great, minimally invasive way to manage white patches, either after orthotics or mih or of any origin. Before undergoing icon resin infiltration or any dental procedure, it’s important to consult with a qualified dental professional. The penetration of the resin into the fluorosis lesion is made possible thanks to etching the enamel surface. Resin Infiltration Before And After.
From www.santarosapediatricdentistry.com
Icon Resin Infiltration Santa Rosa CA, Santa Rosa Pediatric Dentistry Resin Infiltration Before And After The penetration of the resin into the fluorosis lesion is made possible thanks to etching the enamel surface performed with 15%. The surface of the tooth is cleaned and. And it seems to be a really great, minimally invasive way to manage white patches, either after orthotics or mih or of any origin. Before undergoing icon resin infiltration or any. Resin Infiltration Before And After.
From www.dentiquesandiego.com
Icon Resin Infiltration Dentique San Diego Resin Infiltration Before And After Before undergoing icon resin infiltration or any dental procedure, it’s important to consult with a qualified dental professional. The surface of the tooth is cleaned and. And it seems to be a really great, minimally invasive way to manage white patches, either after orthotics or mih or of any origin. The penetration of the resin into the fluorosis lesion is. Resin Infiltration Before And After.
From www.etxortho.com
ICON Resin Infiltration Mack & Hansen Orthodontics Longview TX Resin Infiltration Before And After The surface of the tooth is cleaned and. Before undergoing icon resin infiltration or any dental procedure, it’s important to consult with a qualified dental professional. And it seems to be a really great, minimally invasive way to manage white patches, either after orthotics or mih or of any origin. The penetration of the resin into the fluorosis lesion is. Resin Infiltration Before And After.
From www.swnebraskadental.com
SW Nebraska Dental Center's Smile Gallery ICON Resin Infiltration Resin Infiltration Before And After Before undergoing icon resin infiltration or any dental procedure, it’s important to consult with a qualified dental professional. The penetration of the resin into the fluorosis lesion is made possible thanks to etching the enamel surface performed with 15%. The surface of the tooth is cleaned and. And it seems to be a really great, minimally invasive way to manage. Resin Infiltration Before And After.
From www.clarencetam.co.nz
Resin infiltration with composite resin direct restoration combination Resin Infiltration Before And After The penetration of the resin into the fluorosis lesion is made possible thanks to etching the enamel surface performed with 15%. And it seems to be a really great, minimally invasive way to manage white patches, either after orthotics or mih or of any origin. Before undergoing icon resin infiltration or any dental procedure, it’s important to consult with a. Resin Infiltration Before And After.
From www.toothtownpd.com
Woodstock Resin Infiltration Tooth Town Pediatric Dentistry Resin Infiltration Before And After The penetration of the resin into the fluorosis lesion is made possible thanks to etching the enamel surface performed with 15%. And it seems to be a really great, minimally invasive way to manage white patches, either after orthotics or mih or of any origin. The surface of the tooth is cleaned and. Before undergoing icon resin infiltration or any. Resin Infiltration Before And After.
From www.tooth-life.com
Understanding Icon Resin Infiltration A Comprehensive Guide Resin Infiltration Before And After The surface of the tooth is cleaned and. And it seems to be a really great, minimally invasive way to manage white patches, either after orthotics or mih or of any origin. The penetration of the resin into the fluorosis lesion is made possible thanks to etching the enamel surface performed with 15%. Before undergoing icon resin infiltration or any. Resin Infiltration Before And After.
From www.oralhealthgroup.com
Resin Infiltration as Treatment for an Anterior Tooth Discoloration of Resin Infiltration Before And After Before undergoing icon resin infiltration or any dental procedure, it’s important to consult with a qualified dental professional. The surface of the tooth is cleaned and. And it seems to be a really great, minimally invasive way to manage white patches, either after orthotics or mih or of any origin. The penetration of the resin into the fluorosis lesion is. Resin Infiltration Before And After.
From www.toothtownpd.com
Woodstock Resin Infiltration Tooth Town Pediatric Dentistry Resin Infiltration Before And After And it seems to be a really great, minimally invasive way to manage white patches, either after orthotics or mih or of any origin. The surface of the tooth is cleaned and. Before undergoing icon resin infiltration or any dental procedure, it’s important to consult with a qualified dental professional. The penetration of the resin into the fluorosis lesion is. Resin Infiltration Before And After.
From kidsteethandbraces.com
ICON Resin Infiltration Affiliated Children's Dental Specialists Resin Infiltration Before And After The surface of the tooth is cleaned and. The penetration of the resin into the fluorosis lesion is made possible thanks to etching the enamel surface performed with 15%. Before undergoing icon resin infiltration or any dental procedure, it’s important to consult with a qualified dental professional. And it seems to be a really great, minimally invasive way to manage. Resin Infiltration Before And After.
From alrezfamilydentistry.com
How Does Resin Infiltration Work? l Alrez Family Dentistry Resin Infiltration Before And After The surface of the tooth is cleaned and. Before undergoing icon resin infiltration or any dental procedure, it’s important to consult with a qualified dental professional. The penetration of the resin into the fluorosis lesion is made possible thanks to etching the enamel surface performed with 15%. And it seems to be a really great, minimally invasive way to manage. Resin Infiltration Before And After.