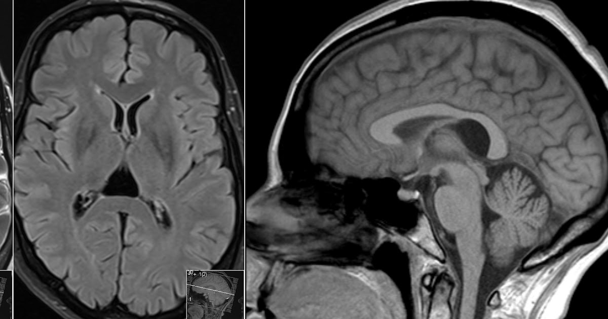
Cavum Velum Interpositum Vs Vergae . Das cavum vergae tritt oft gemeinsam mit dem cavum septi pellucidi auf und entspricht einer dorsalen erweiterung des. As in the case of cavum vergae, “vergae” is a correct form of genetivus singularis from “verga”, in other cases, correct forms are cavum septi pellucidi and cavum veli. Cavum septum pellucidum et cavum vergae. No statistically significant difference existed in the frequency of cvi. Cvi was present in 5.54% of a population of 505 neurosurgical patients between 2 months and 79 years old. The cavum velum interpositum is another potential csf midline space not connected with the ventricular system. The third related intracranial midline cyst is a cavum vergae first described by verga and sometimes referred to as verga’s ventricle. This case illustrates the typical appearances of a large (cystic) cavum velum interpositum the importance of which is mainly in that it is.
from www.semanticscholar.org
This case illustrates the typical appearances of a large (cystic) cavum velum interpositum the importance of which is mainly in that it is. The third related intracranial midline cyst is a cavum vergae first described by verga and sometimes referred to as verga’s ventricle. No statistically significant difference existed in the frequency of cvi. Das cavum vergae tritt oft gemeinsam mit dem cavum septi pellucidi auf und entspricht einer dorsalen erweiterung des. As in the case of cavum vergae, “vergae” is a correct form of genetivus singularis from “verga”, in other cases, correct forms are cavum septi pellucidi and cavum veli. Cavum septum pellucidum et cavum vergae. Cvi was present in 5.54% of a population of 505 neurosurgical patients between 2 months and 79 years old. The cavum velum interpositum is another potential csf midline space not connected with the ventricular system.
Figure 2 from Cavum septum pellucidum (CSP), Cavum vergae and Cavum
Cavum Velum Interpositum Vs Vergae The third related intracranial midline cyst is a cavum vergae first described by verga and sometimes referred to as verga’s ventricle. Cavum septum pellucidum et cavum vergae. The cavum velum interpositum is another potential csf midline space not connected with the ventricular system. The third related intracranial midline cyst is a cavum vergae first described by verga and sometimes referred to as verga’s ventricle. As in the case of cavum vergae, “vergae” is a correct form of genetivus singularis from “verga”, in other cases, correct forms are cavum septi pellucidi and cavum veli. Das cavum vergae tritt oft gemeinsam mit dem cavum septi pellucidi auf und entspricht einer dorsalen erweiterung des. No statistically significant difference existed in the frequency of cvi. Cvi was present in 5.54% of a population of 505 neurosurgical patients between 2 months and 79 years old. This case illustrates the typical appearances of a large (cystic) cavum velum interpositum the importance of which is mainly in that it is.
From radiopaedia.org
Cavum velum interpositum cyst Image Cavum Velum Interpositum Vs Vergae Cvi was present in 5.54% of a population of 505 neurosurgical patients between 2 months and 79 years old. Das cavum vergae tritt oft gemeinsam mit dem cavum septi pellucidi auf und entspricht einer dorsalen erweiterung des. The cavum velum interpositum is another potential csf midline space not connected with the ventricular system. Cavum septum pellucidum et cavum vergae. No. Cavum Velum Interpositum Vs Vergae.
From animalia-life.club
Cavum Velum Interpositum Ultrasound Cavum Velum Interpositum Vs Vergae The third related intracranial midline cyst is a cavum vergae first described by verga and sometimes referred to as verga’s ventricle. No statistically significant difference existed in the frequency of cvi. Das cavum vergae tritt oft gemeinsam mit dem cavum septi pellucidi auf und entspricht einer dorsalen erweiterung des. Cavum septum pellucidum et cavum vergae. This case illustrates the typical. Cavum Velum Interpositum Vs Vergae.
From www.slideshare.net
Neonatal Cranial Spinal Sonography Cavum Velum Interpositum Vs Vergae As in the case of cavum vergae, “vergae” is a correct form of genetivus singularis from “verga”, in other cases, correct forms are cavum septi pellucidi and cavum veli. This case illustrates the typical appearances of a large (cystic) cavum velum interpositum the importance of which is mainly in that it is. No statistically significant difference existed in the frequency. Cavum Velum Interpositum Vs Vergae.
From www.sciencephoto.com
MRI Cavum Septum Pellucidum et Vergae Stock Image C043/0390 Cavum Velum Interpositum Vs Vergae This case illustrates the typical appearances of a large (cystic) cavum velum interpositum the importance of which is mainly in that it is. Cavum septum pellucidum et cavum vergae. Das cavum vergae tritt oft gemeinsam mit dem cavum septi pellucidi auf und entspricht einer dorsalen erweiterung des. The third related intracranial midline cyst is a cavum vergae first described by. Cavum Velum Interpositum Vs Vergae.
From radiologymri.blogspot.com
Cavum Velum Interpositum on MRI Cavum Velum Interpositum Vs Vergae As in the case of cavum vergae, “vergae” is a correct form of genetivus singularis from “verga”, in other cases, correct forms are cavum septi pellucidi and cavum veli. Cvi was present in 5.54% of a population of 505 neurosurgical patients between 2 months and 79 years old. The third related intracranial midline cyst is a cavum vergae first described. Cavum Velum Interpositum Vs Vergae.
From ar.inspiredpencil.com
Cavum Velum Interpositum Ultrasound Cavum Velum Interpositum Vs Vergae The third related intracranial midline cyst is a cavum vergae first described by verga and sometimes referred to as verga’s ventricle. Das cavum vergae tritt oft gemeinsam mit dem cavum septi pellucidi auf und entspricht einer dorsalen erweiterung des. This case illustrates the typical appearances of a large (cystic) cavum velum interpositum the importance of which is mainly in that. Cavum Velum Interpositum Vs Vergae.
From ar.inspiredpencil.com
Cavum Vergae Cavum Velum Interpositum Vs Vergae This case illustrates the typical appearances of a large (cystic) cavum velum interpositum the importance of which is mainly in that it is. The third related intracranial midline cyst is a cavum vergae first described by verga and sometimes referred to as verga’s ventricle. The cavum velum interpositum is another potential csf midline space not connected with the ventricular system.. Cavum Velum Interpositum Vs Vergae.
From slidetodoc.com
Intracranial Cysts and Cystic Lesions ASN Annual Meeting Cavum Velum Interpositum Vs Vergae No statistically significant difference existed in the frequency of cvi. The third related intracranial midline cyst is a cavum vergae first described by verga and sometimes referred to as verga’s ventricle. The cavum velum interpositum is another potential csf midline space not connected with the ventricular system. This case illustrates the typical appearances of a large (cystic) cavum velum interpositum. Cavum Velum Interpositum Vs Vergae.
From radiopaedia.org
Cavum velum interpositum Image Cavum Velum Interpositum Vs Vergae The third related intracranial midline cyst is a cavum vergae first described by verga and sometimes referred to as verga’s ventricle. As in the case of cavum vergae, “vergae” is a correct form of genetivus singularis from “verga”, in other cases, correct forms are cavum septi pellucidi and cavum veli. Cvi was present in 5.54% of a population of 505. Cavum Velum Interpositum Vs Vergae.
From www.researchgate.net
Presented case illustrated in coronal section CSP Cavum septum Cavum Velum Interpositum Vs Vergae The cavum velum interpositum is another potential csf midline space not connected with the ventricular system. No statistically significant difference existed in the frequency of cvi. Das cavum vergae tritt oft gemeinsam mit dem cavum septi pellucidi auf und entspricht einer dorsalen erweiterung des. Cavum septum pellucidum et cavum vergae. As in the case of cavum vergae, “vergae” is a. Cavum Velum Interpositum Vs Vergae.
From ar.inspiredpencil.com
Cavum Velum Interpositum Ultrasound Cavum Velum Interpositum Vs Vergae This case illustrates the typical appearances of a large (cystic) cavum velum interpositum the importance of which is mainly in that it is. Das cavum vergae tritt oft gemeinsam mit dem cavum septi pellucidi auf und entspricht einer dorsalen erweiterung des. Cavum septum pellucidum et cavum vergae. As in the case of cavum vergae, “vergae” is a correct form of. Cavum Velum Interpositum Vs Vergae.
From ar.inspiredpencil.com
Cavum Velum Interpositum Ultrasound Cavum Velum Interpositum Vs Vergae As in the case of cavum vergae, “vergae” is a correct form of genetivus singularis from “verga”, in other cases, correct forms are cavum septi pellucidi and cavum veli. Das cavum vergae tritt oft gemeinsam mit dem cavum septi pellucidi auf und entspricht einer dorsalen erweiterung des. The third related intracranial midline cyst is a cavum vergae first described by. Cavum Velum Interpositum Vs Vergae.
From www.medlink.com
Cavum septi pellucidi and cavum vergae MedLink Neurology Cavum Velum Interpositum Vs Vergae Cavum septum pellucidum et cavum vergae. The cavum velum interpositum is another potential csf midline space not connected with the ventricular system. Cvi was present in 5.54% of a population of 505 neurosurgical patients between 2 months and 79 years old. No statistically significant difference existed in the frequency of cvi. This case illustrates the typical appearances of a large. Cavum Velum Interpositum Vs Vergae.
From www.pinterest.com
Cavum septum pellucidum, cavum vergae y cavum veli interpositi (CT Cavum Velum Interpositum Vs Vergae Cavum septum pellucidum et cavum vergae. No statistically significant difference existed in the frequency of cvi. The cavum velum interpositum is another potential csf midline space not connected with the ventricular system. As in the case of cavum vergae, “vergae” is a correct form of genetivus singularis from “verga”, in other cases, correct forms are cavum septi pellucidi and cavum. Cavum Velum Interpositum Vs Vergae.
From radiopaedia.org
Cavum velum interpositum Image Cavum Velum Interpositum Vs Vergae The third related intracranial midline cyst is a cavum vergae first described by verga and sometimes referred to as verga’s ventricle. This case illustrates the typical appearances of a large (cystic) cavum velum interpositum the importance of which is mainly in that it is. The cavum velum interpositum is another potential csf midline space not connected with the ventricular system.. Cavum Velum Interpositum Vs Vergae.
From www.researchgate.net
Lateral and frontal line diagrams of the cavum septi pellucidi (green Cavum Velum Interpositum Vs Vergae Cavum septum pellucidum et cavum vergae. This case illustrates the typical appearances of a large (cystic) cavum velum interpositum the importance of which is mainly in that it is. The third related intracranial midline cyst is a cavum vergae first described by verga and sometimes referred to as verga’s ventricle. As in the case of cavum vergae, “vergae” is a. Cavum Velum Interpositum Vs Vergae.
From pediatricimaging.org
Cavum Velum Interpositum Pediatric Radiology Reference Article Cavum Velum Interpositum Vs Vergae Cvi was present in 5.54% of a population of 505 neurosurgical patients between 2 months and 79 years old. Cavum septum pellucidum et cavum vergae. As in the case of cavum vergae, “vergae” is a correct form of genetivus singularis from “verga”, in other cases, correct forms are cavum septi pellucidi and cavum veli. This case illustrates the typical appearances. Cavum Velum Interpositum Vs Vergae.
From www.sciencephoto.com
MRI Cavum Septum Pellucidum et Vergae Stock Image C043/0387 Cavum Velum Interpositum Vs Vergae No statistically significant difference existed in the frequency of cvi. As in the case of cavum vergae, “vergae” is a correct form of genetivus singularis from “verga”, in other cases, correct forms are cavum septi pellucidi and cavum veli. Cvi was present in 5.54% of a population of 505 neurosurgical patients between 2 months and 79 years old. This case. Cavum Velum Interpositum Vs Vergae.
From www.researchgate.net
Lateral and frontal line diagrams of the cavum septi pellucidi (green Cavum Velum Interpositum Vs Vergae As in the case of cavum vergae, “vergae” is a correct form of genetivus singularis from “verga”, in other cases, correct forms are cavum septi pellucidi and cavum veli. The cavum velum interpositum is another potential csf midline space not connected with the ventricular system. This case illustrates the typical appearances of a large (cystic) cavum velum interpositum the importance. Cavum Velum Interpositum Vs Vergae.
From www.semanticscholar.org
Figure 2 from Cavum septum pellucidum (CSP), Cavum vergae and Cavum Cavum Velum Interpositum Vs Vergae Das cavum vergae tritt oft gemeinsam mit dem cavum septi pellucidi auf und entspricht einer dorsalen erweiterung des. Cavum septum pellucidum et cavum vergae. The cavum velum interpositum is another potential csf midline space not connected with the ventricular system. The third related intracranial midline cyst is a cavum vergae first described by verga and sometimes referred to as verga’s. Cavum Velum Interpositum Vs Vergae.
From www.semanticscholar.org
Figure 2 from Cavum septum pellucidum (CSP), Cavum vergae and Cavum Cavum Velum Interpositum Vs Vergae This case illustrates the typical appearances of a large (cystic) cavum velum interpositum the importance of which is mainly in that it is. As in the case of cavum vergae, “vergae” is a correct form of genetivus singularis from “verga”, in other cases, correct forms are cavum septi pellucidi and cavum veli. Das cavum vergae tritt oft gemeinsam mit dem. Cavum Velum Interpositum Vs Vergae.
From www.semanticscholar.org
Figure 1 from Arachnoid Cyst of the Cavum Velum Interpositum in a Cavum Velum Interpositum Vs Vergae The cavum velum interpositum is another potential csf midline space not connected with the ventricular system. This case illustrates the typical appearances of a large (cystic) cavum velum interpositum the importance of which is mainly in that it is. Das cavum vergae tritt oft gemeinsam mit dem cavum septi pellucidi auf und entspricht einer dorsalen erweiterung des. Cavum septum pellucidum. Cavum Velum Interpositum Vs Vergae.
From radiologymri.blogspot.com
Radiology MRI Cavum Velum Interpositum on MRI Cavum Velum Interpositum Vs Vergae Cvi was present in 5.54% of a population of 505 neurosurgical patients between 2 months and 79 years old. This case illustrates the typical appearances of a large (cystic) cavum velum interpositum the importance of which is mainly in that it is. Cavum septum pellucidum et cavum vergae. As in the case of cavum vergae, “vergae” is a correct form. Cavum Velum Interpositum Vs Vergae.
From ar.inspiredpencil.com
Cavum Velum Interpositum Ultrasound Cavum Velum Interpositum Vs Vergae The cavum velum interpositum is another potential csf midline space not connected with the ventricular system. This case illustrates the typical appearances of a large (cystic) cavum velum interpositum the importance of which is mainly in that it is. The third related intracranial midline cyst is a cavum vergae first described by verga and sometimes referred to as verga’s ventricle.. Cavum Velum Interpositum Vs Vergae.
From www.semanticscholar.org
Figure 1 from Cavum velum interpositum cyst causing symptomatic trapped Cavum Velum Interpositum Vs Vergae The third related intracranial midline cyst is a cavum vergae first described by verga and sometimes referred to as verga’s ventricle. Das cavum vergae tritt oft gemeinsam mit dem cavum septi pellucidi auf und entspricht einer dorsalen erweiterung des. As in the case of cavum vergae, “vergae” is a correct form of genetivus singularis from “verga”, in other cases, correct. Cavum Velum Interpositum Vs Vergae.
From radiopaedia.org
Cavum septum pellucidum, cavum vergae, and cavum veli interpositi Cavum Velum Interpositum Vs Vergae As in the case of cavum vergae, “vergae” is a correct form of genetivus singularis from “verga”, in other cases, correct forms are cavum septi pellucidi and cavum veli. The third related intracranial midline cyst is a cavum vergae first described by verga and sometimes referred to as verga’s ventricle. Das cavum vergae tritt oft gemeinsam mit dem cavum septi. Cavum Velum Interpositum Vs Vergae.
From www.radiomind.org
Cavum Septi Pellucidi (CSP) Brain imaging Cavum Velum Interpositum Vs Vergae Das cavum vergae tritt oft gemeinsam mit dem cavum septi pellucidi auf und entspricht einer dorsalen erweiterung des. Cavum septum pellucidum et cavum vergae. No statistically significant difference existed in the frequency of cvi. As in the case of cavum vergae, “vergae” is a correct form of genetivus singularis from “verga”, in other cases, correct forms are cavum septi pellucidi. Cavum Velum Interpositum Vs Vergae.
From www.researchgate.net
(PDF) Coexistent intracranial midline cysts Persistent cavum septum Cavum Velum Interpositum Vs Vergae Cvi was present in 5.54% of a population of 505 neurosurgical patients between 2 months and 79 years old. The third related intracranial midline cyst is a cavum vergae first described by verga and sometimes referred to as verga’s ventricle. Das cavum vergae tritt oft gemeinsam mit dem cavum septi pellucidi auf und entspricht einer dorsalen erweiterung des. Cavum septum. Cavum Velum Interpositum Vs Vergae.
From www.semanticscholar.org
Figure 1 from Arachnoid cyst of the cavum velum interpositum associated Cavum Velum Interpositum Vs Vergae Cvi was present in 5.54% of a population of 505 neurosurgical patients between 2 months and 79 years old. The third related intracranial midline cyst is a cavum vergae first described by verga and sometimes referred to as verga’s ventricle. Cavum septum pellucidum et cavum vergae. As in the case of cavum vergae, “vergae” is a correct form of genetivus. Cavum Velum Interpositum Vs Vergae.
From ar.inspiredpencil.com
Cavum Velum Interpositum Ultrasound Cavum Velum Interpositum Vs Vergae As in the case of cavum vergae, “vergae” is a correct form of genetivus singularis from “verga”, in other cases, correct forms are cavum septi pellucidi and cavum veli. The cavum velum interpositum is another potential csf midline space not connected with the ventricular system. Cavum septum pellucidum et cavum vergae. This case illustrates the typical appearances of a large. Cavum Velum Interpositum Vs Vergae.
From www.slideshare.net
Neonatal Cranial Spinal Sonography Cavum Velum Interpositum Vs Vergae No statistically significant difference existed in the frequency of cvi. As in the case of cavum vergae, “vergae” is a correct form of genetivus singularis from “verga”, in other cases, correct forms are cavum septi pellucidi and cavum veli. Das cavum vergae tritt oft gemeinsam mit dem cavum septi pellucidi auf und entspricht einer dorsalen erweiterung des. The cavum velum. Cavum Velum Interpositum Vs Vergae.
From ar.inspiredpencil.com
Cavum Vergae Cavum Velum Interpositum Vs Vergae No statistically significant difference existed in the frequency of cvi. Cavum septum pellucidum et cavum vergae. The third related intracranial midline cyst is a cavum vergae first described by verga and sometimes referred to as verga’s ventricle. Cvi was present in 5.54% of a population of 505 neurosurgical patients between 2 months and 79 years old. The cavum velum interpositum. Cavum Velum Interpositum Vs Vergae.
From animalia-life.club
Cavum Velum Interpositum Ultrasound Cavum Velum Interpositum Vs Vergae As in the case of cavum vergae, “vergae” is a correct form of genetivus singularis from “verga”, in other cases, correct forms are cavum septi pellucidi and cavum veli. Das cavum vergae tritt oft gemeinsam mit dem cavum septi pellucidi auf und entspricht einer dorsalen erweiterung des. No statistically significant difference existed in the frequency of cvi. Cavum septum pellucidum. Cavum Velum Interpositum Vs Vergae.
From ar.inspiredpencil.com
Cavum Velum Interpositum Ultrasound Cavum Velum Interpositum Vs Vergae This case illustrates the typical appearances of a large (cystic) cavum velum interpositum the importance of which is mainly in that it is. Cvi was present in 5.54% of a population of 505 neurosurgical patients between 2 months and 79 years old. As in the case of cavum vergae, “vergae” is a correct form of genetivus singularis from “verga”, in. Cavum Velum Interpositum Vs Vergae.
From www.semanticscholar.org
Figure 2 from Arachnoid cyst of the cavum velum interpositum associated Cavum Velum Interpositum Vs Vergae As in the case of cavum vergae, “vergae” is a correct form of genetivus singularis from “verga”, in other cases, correct forms are cavum septi pellucidi and cavum veli. Cvi was present in 5.54% of a population of 505 neurosurgical patients between 2 months and 79 years old. The third related intracranial midline cyst is a cavum vergae first described. Cavum Velum Interpositum Vs Vergae.