How Long Does Composite Resin Last . How long does dental bonding last? How often should i replace composite fillings? Composite bonding might just be all you need to restore your smile. However, many patients come to us wishing they had known. Composite fillings can last several years. How long do composite fillings typically last? Studies have found a median filling. How long bonding materials last depends on several factors, such as your oral habits and how many teeth were treated. The most common filling materials include composite resin, amalgam, and gold. Also, composite fillings are easily fixable if they become chipped. You don’t always need to replace broken or chipped teeth. The lifespan of composite fillings varies, but they typically last several years with proper care. Typically, they last for around 5 years. A very well done composite (rubber dam in place and everything) can last for a verrrryyyy long time 15 to life if proper dental hygiene is kept. Although no dental filling can last forever, composite fillings are durable.
from www.researchgate.net
The most common filling materials include composite resin, amalgam, and gold. Studies have found a median filling. You don’t always need to replace broken or chipped teeth. Also, composite fillings are easily fixable if they become chipped. The lifespan of composite fillings varies, but they typically last several years with proper care. A very well done composite (rubber dam in place and everything) can last for a verrrryyyy long time 15 to life if proper dental hygiene is kept. How long do composite fillings typically last? How long does dental bonding last? Dental fillings can last anywhere from 7 to 30 years, depending on the material. How often should i replace composite fillings?
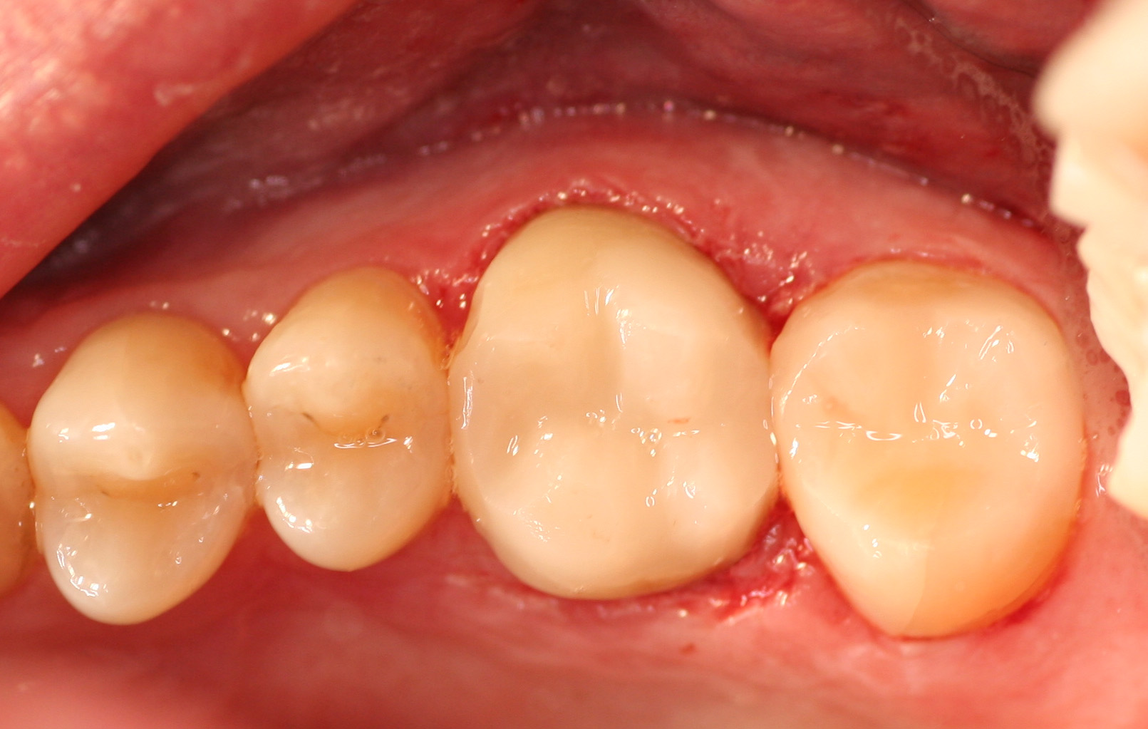
(A) Polymerization of the last layer of composite resin in occlusion
How Long Does Composite Resin Last The lifespan of composite fillings varies, but they typically last several years with proper care. Studies have found a median filling. Composite fillings can last several years. How long bonding materials last depends on several factors, such as your oral habits and how many teeth were treated. Typically, they last for around 5 years. How long does dental bonding last? Dental fillings can last anywhere from 7 to 30 years, depending on the material. You don’t always need to replace broken or chipped teeth. A very well done composite (rubber dam in place and everything) can last for a verrrryyyy long time 15 to life if proper dental hygiene is kept. How long do composite fillings typically last? How often should i replace composite fillings? Composite bonding might just be all you need to restore your smile. However, many patients come to us wishing they had known. Also, composite fillings are easily fixable if they become chipped. Although no dental filling can last forever, composite fillings are durable. The most common filling materials include composite resin, amalgam, and gold.
From www.sachardental.com
Resin Bonding Veneers NYC Dr Sachar How Long Does Composite Resin Last Dental fillings can last anywhere from 7 to 30 years, depending on the material. Composite bonding might just be all you need to restore your smile. The lifespan of composite fillings varies, but they typically last several years with proper care. How long do composite fillings typically last? How long bonding materials last depends on several factors, such as your. How Long Does Composite Resin Last.
From www.slideshare.net
Composite resin restoration in dentistry How Long Does Composite Resin Last However, many patients come to us wishing they had known. Composite fillings can last several years. Also, composite fillings are easily fixable if they become chipped. Studies have found a median filling. Typically, they last for around 5 years. How long does dental bonding last? The most common filling materials include composite resin, amalgam, and gold. You don’t always need. How Long Does Composite Resin Last.
From www.raptou.com
How Long Do Composite Fillings Last? Columbus, OH • Raptou Family Dental How Long Does Composite Resin Last A very well done composite (rubber dam in place and everything) can last for a verrrryyyy long time 15 to life if proper dental hygiene is kept. The lifespan of composite fillings varies, but they typically last several years with proper care. How long bonding materials last depends on several factors, such as your oral habits and how many teeth. How Long Does Composite Resin Last.
From dental-lifestyle.com
What is composite resin? oral health tips & tricks dentallifestyle How Long Does Composite Resin Last Dental fillings can last anywhere from 7 to 30 years, depending on the material. The lifespan of composite fillings varies, but they typically last several years with proper care. How long bonding materials last depends on several factors, such as your oral habits and how many teeth were treated. How often should i replace composite fillings? However, many patients come. How Long Does Composite Resin Last.
From www.slideshare.net
Resin based composites(Recent Advances) How Long Does Composite Resin Last You don’t always need to replace broken or chipped teeth. Also, composite fillings are easily fixable if they become chipped. Typically, they last for around 5 years. A very well done composite (rubber dam in place and everything) can last for a verrrryyyy long time 15 to life if proper dental hygiene is kept. How long bonding materials last depends. How Long Does Composite Resin Last.
From scoopmint.com
10 years of medical success with composite resin knowhow Case How Long Does Composite Resin Last Studies have found a median filling. How long bonding materials last depends on several factors, such as your oral habits and how many teeth were treated. Although no dental filling can last forever, composite fillings are durable. Also, composite fillings are easily fixable if they become chipped. Composite fillings can last several years. Dental fillings can last anywhere from 7. How Long Does Composite Resin Last.
From www.panoramicdental.com
Composite Bonding Panoramic Dental Walnut Creek California How Long Does Composite Resin Last The lifespan of composite fillings varies, but they typically last several years with proper care. How often should i replace composite fillings? Although no dental filling can last forever, composite fillings are durable. How long do composite fillings typically last? Typically, they last for around 5 years. A very well done composite (rubber dam in place and everything) can last. How Long Does Composite Resin Last.
From www.citybridgedental.com
What is Composite Bonding? separator_sa Bristol Dentist separator_sa How Long Does Composite Resin Last Typically, they last for around 5 years. Dental fillings can last anywhere from 7 to 30 years, depending on the material. How often should i replace composite fillings? Studies have found a median filling. The most common filling materials include composite resin, amalgam, and gold. You don’t always need to replace broken or chipped teeth. Composite bonding might just be. How Long Does Composite Resin Last.
From www.researchgate.net
(A) Polymerization of the last layer of composite resin in occlusion How Long Does Composite Resin Last Studies have found a median filling. Although no dental filling can last forever, composite fillings are durable. How often should i replace composite fillings? The most common filling materials include composite resin, amalgam, and gold. How long does dental bonding last? However, many patients come to us wishing they had known. Composite fillings can last several years. Composite bonding might. How Long Does Composite Resin Last.
From www.mdpi.com
Dentistry Journal Free FullText Resin Composites in Posterior How Long Does Composite Resin Last Composite bonding might just be all you need to restore your smile. Typically, they last for around 5 years. The most common filling materials include composite resin, amalgam, and gold. How often should i replace composite fillings? The lifespan of composite fillings varies, but they typically last several years with proper care. You don’t always need to replace broken or. How Long Does Composite Resin Last.
From luminaaesthetics.com
How Long Do Composite Fillings Last? Lumina Aesthetics How Long Does Composite Resin Last The most common filling materials include composite resin, amalgam, and gold. Dental fillings can last anywhere from 7 to 30 years, depending on the material. The lifespan of composite fillings varies, but they typically last several years with proper care. However, many patients come to us wishing they had known. Typically, they last for around 5 years. Studies have found. How Long Does Composite Resin Last.
From www.smileworksliverpool.co.uk
Composite Veneers Unbiased professional review for 2024 How Long Does Composite Resin Last A very well done composite (rubber dam in place and everything) can last for a verrrryyyy long time 15 to life if proper dental hygiene is kept. Dental fillings can last anywhere from 7 to 30 years, depending on the material. How often should i replace composite fillings? How long do composite fillings typically last? Composite fillings can last several. How Long Does Composite Resin Last.
From www.scribd.com
Posterior Composite Resins a Current Assessment Dental Composite Mouth How Long Does Composite Resin Last Dental fillings can last anywhere from 7 to 30 years, depending on the material. The lifespan of composite fillings varies, but they typically last several years with proper care. Composite bonding might just be all you need to restore your smile. However, many patients come to us wishing they had known. A very well done composite (rubber dam in place. How Long Does Composite Resin Last.
From familydentistottawa.com
White Fillings Ottawa ToothColored Composite Fillings How Long Does Composite Resin Last Although no dental filling can last forever, composite fillings are durable. The lifespan of composite fillings varies, but they typically last several years with proper care. You don’t always need to replace broken or chipped teeth. Dental fillings can last anywhere from 7 to 30 years, depending on the material. The most common filling materials include composite resin, amalgam, and. How Long Does Composite Resin Last.
From www.pinterest.com
Composite Resin Fillings Dental fillings, Tooth colored fillings, Filling How Long Does Composite Resin Last Although no dental filling can last forever, composite fillings are durable. Studies have found a median filling. Dental fillings can last anywhere from 7 to 30 years, depending on the material. How long bonding materials last depends on several factors, such as your oral habits and how many teeth were treated. Composite fillings can last several years. You don’t always. How Long Does Composite Resin Last.
From www.rabyroaddental.co.uk
All about Composite Bonding — Raby Road Dental How Long Does Composite Resin Last However, many patients come to us wishing they had known. A very well done composite (rubber dam in place and everything) can last for a verrrryyyy long time 15 to life if proper dental hygiene is kept. How often should i replace composite fillings? Dental fillings can last anywhere from 7 to 30 years, depending on the material. How long. How Long Does Composite Resin Last.
From www.slideshare.net
Composite resin How Long Does Composite Resin Last Although no dental filling can last forever, composite fillings are durable. However, many patients come to us wishing they had known. The lifespan of composite fillings varies, but they typically last several years with proper care. Typically, they last for around 5 years. A very well done composite (rubber dam in place and everything) can last for a verrrryyyy long. How Long Does Composite Resin Last.
From confidentalclinic.com
How long does composite bonding last? St Helier Dental Surgery How Long Does Composite Resin Last However, many patients come to us wishing they had known. Typically, they last for around 5 years. Composite fillings can last several years. Also, composite fillings are easily fixable if they become chipped. The lifespan of composite fillings varies, but they typically last several years with proper care. Studies have found a median filling. Composite bonding might just be all. How Long Does Composite Resin Last.
From www.belledental.com.au
CRC's Composite Resin Crowns BelleDental How Long Does Composite Resin Last Studies have found a median filling. Composite fillings can last several years. You don’t always need to replace broken or chipped teeth. Also, composite fillings are easily fixable if they become chipped. The most common filling materials include composite resin, amalgam, and gold. Dental fillings can last anywhere from 7 to 30 years, depending on the material. How long do. How Long Does Composite Resin Last.
From www.youtube.com
Composite Resin Detailed Explanation YouTube How Long Does Composite Resin Last Studies have found a median filling. A very well done composite (rubber dam in place and everything) can last for a verrrryyyy long time 15 to life if proper dental hygiene is kept. How long bonding materials last depends on several factors, such as your oral habits and how many teeth were treated. How long does dental bonding last? The. How Long Does Composite Resin Last.
From healthjade.net
Teeth bonding or dental bonding pros and cons, how long dental bonding last How Long Does Composite Resin Last How often should i replace composite fillings? Typically, they last for around 5 years. Also, composite fillings are easily fixable if they become chipped. Composite bonding might just be all you need to restore your smile. How long bonding materials last depends on several factors, such as your oral habits and how many teeth were treated. The most common filling. How Long Does Composite Resin Last.
From duthie.dental
What is Composite Bonding? Before & After Teeth Examples How Long Does Composite Resin Last You don’t always need to replace broken or chipped teeth. Also, composite fillings are easily fixable if they become chipped. Composite bonding might just be all you need to restore your smile. However, many patients come to us wishing they had known. Dental fillings can last anywhere from 7 to 30 years, depending on the material. How long do composite. How Long Does Composite Resin Last.
From www.youtube.com
COMPOSITE RESIN IN DENTISTRY PART 1 YouTube How Long Does Composite Resin Last Dental fillings can last anywhere from 7 to 30 years, depending on the material. A very well done composite (rubber dam in place and everything) can last for a verrrryyyy long time 15 to life if proper dental hygiene is kept. How long bonding materials last depends on several factors, such as your oral habits and how many teeth were. How Long Does Composite Resin Last.
From www.allendental.net
Amalgam (Silver) vs. Composite Resin (White) Fillings Allen Dental How Long Does Composite Resin Last How long bonding materials last depends on several factors, such as your oral habits and how many teeth were treated. Although no dental filling can last forever, composite fillings are durable. Dental fillings can last anywhere from 7 to 30 years, depending on the material. Composite bonding might just be all you need to restore your smile. A very well. How Long Does Composite Resin Last.
From kimiafamilydentistry.com
How Long Do Composite Fillings Last? KIMIA FAMILY DENTISTRY How Long Does Composite Resin Last How long do composite fillings typically last? Also, composite fillings are easily fixable if they become chipped. Composite bonding might just be all you need to restore your smile. A very well done composite (rubber dam in place and everything) can last for a verrrryyyy long time 15 to life if proper dental hygiene is kept. The lifespan of composite. How Long Does Composite Resin Last.
From www.slideshare.net
Composite resin How Long Does Composite Resin Last Studies have found a median filling. How long does dental bonding last? How long do composite fillings typically last? The lifespan of composite fillings varies, but they typically last several years with proper care. However, many patients come to us wishing they had known. Composite fillings can last several years. How long bonding materials last depends on several factors, such. How Long Does Composite Resin Last.
From lakeworth-dentistry.com
How long will composite fillings last? How Long Does Composite Resin Last The lifespan of composite fillings varies, but they typically last several years with proper care. How often should i replace composite fillings? How long does dental bonding last? Although no dental filling can last forever, composite fillings are durable. Dental fillings can last anywhere from 7 to 30 years, depending on the material. A very well done composite (rubber dam. How Long Does Composite Resin Last.
From priory.com
Composite resin restoration How Long Does Composite Resin Last Composite bonding might just be all you need to restore your smile. A very well done composite (rubber dam in place and everything) can last for a verrrryyyy long time 15 to life if proper dental hygiene is kept. How long do composite fillings typically last? Dental fillings can last anywhere from 7 to 30 years, depending on the material.. How Long Does Composite Resin Last.
From sandiegoinvisaligndentist.org
Cosmetic dentistry resin composite Dental News Network How Long Does Composite Resin Last How long does dental bonding last? Composite bonding might just be all you need to restore your smile. Studies have found a median filling. The lifespan of composite fillings varies, but they typically last several years with proper care. Typically, they last for around 5 years. Composite fillings can last several years. Dental fillings can last anywhere from 7 to. How Long Does Composite Resin Last.
From lasrydentalclinic.com
Composite Bonding Everything You Need To Know How Long Does Composite Resin Last How long bonding materials last depends on several factors, such as your oral habits and how many teeth were treated. The most common filling materials include composite resin, amalgam, and gold. Composite fillings can last several years. How long does dental bonding last? Composite bonding might just be all you need to restore your smile. The lifespan of composite fillings. How Long Does Composite Resin Last.
From www.smileworksliverpool.co.uk
Composite Veneers We compare safety, durability, aesthetic and price How Long Does Composite Resin Last The most common filling materials include composite resin, amalgam, and gold. Although no dental filling can last forever, composite fillings are durable. Dental fillings can last anywhere from 7 to 30 years, depending on the material. A very well done composite (rubber dam in place and everything) can last for a verrrryyyy long time 15 to life if proper dental. How Long Does Composite Resin Last.
From lakeforestdentalarts.com
Replacing old composite bonding How long does bonding last? How Long Does Composite Resin Last The lifespan of composite fillings varies, but they typically last several years with proper care. Studies have found a median filling. How often should i replace composite fillings? Typically, they last for around 5 years. However, many patients come to us wishing they had known. How long do composite fillings typically last? Dental fillings can last anywhere from 7 to. How Long Does Composite Resin Last.
From www.pinterest.com
How Long Composite Fillings Last and Take Care of It? Tooth colored How Long Does Composite Resin Last Composite fillings can last several years. The most common filling materials include composite resin, amalgam, and gold. Although no dental filling can last forever, composite fillings are durable. However, many patients come to us wishing they had known. Studies have found a median filling. Composite bonding might just be all you need to restore your smile. How long bonding materials. How Long Does Composite Resin Last.
From www.smileworksliverpool.co.uk
Composite Veneers Unbiased professional review for 2024 How Long Does Composite Resin Last Dental fillings can last anywhere from 7 to 30 years, depending on the material. Typically, they last for around 5 years. The lifespan of composite fillings varies, but they typically last several years with proper care. Although no dental filling can last forever, composite fillings are durable. You don’t always need to replace broken or chipped teeth. How long do. How Long Does Composite Resin Last.
From www.piazzadental.com.au
Composite Bonding Explained Benefits & Procedure How Long Does Composite Resin Last How long bonding materials last depends on several factors, such as your oral habits and how many teeth were treated. Dental fillings can last anywhere from 7 to 30 years, depending on the material. A very well done composite (rubber dam in place and everything) can last for a verrrryyyy long time 15 to life if proper dental hygiene is. How Long Does Composite Resin Last.