Hand Soft Tissue Calcification Radiology . These are listed below in order of prevalence. Soft tissue calcifications are usually caused by one of the following six entities. Soft tissue calcification is commonly seen and caused by a wide range of pathology. Posteroanterior radiograph of the hand shows tumoural calcinosis in the soft tissue (arrow). Soft tissue calcification is commonly seen and caused by a wide range of pathology. Post surgical dystrophic calcification or. There is a wide range of. As you can see, almost every. Common causes of periarticular soft tissue calcification include:
from www.reumatologiaclinica.org
Soft tissue calcification is commonly seen and caused by a wide range of pathology. Post surgical dystrophic calcification or. Posteroanterior radiograph of the hand shows tumoural calcinosis in the soft tissue (arrow). Soft tissue calcifications are usually caused by one of the following six entities. There is a wide range of. These are listed below in order of prevalence. Common causes of periarticular soft tissue calcification include: As you can see, almost every. Soft tissue calcification is commonly seen and caused by a wide range of pathology.
Acute calcific periarthritis in proximal interphalangeal joint An
Hand Soft Tissue Calcification Radiology Post surgical dystrophic calcification or. As you can see, almost every. Soft tissue calcification is commonly seen and caused by a wide range of pathology. These are listed below in order of prevalence. Soft tissue calcifications are usually caused by one of the following six entities. Posteroanterior radiograph of the hand shows tumoural calcinosis in the soft tissue (arrow). Common causes of periarticular soft tissue calcification include: There is a wide range of. Soft tissue calcification is commonly seen and caused by a wide range of pathology. Post surgical dystrophic calcification or.
From www.researchgate.net
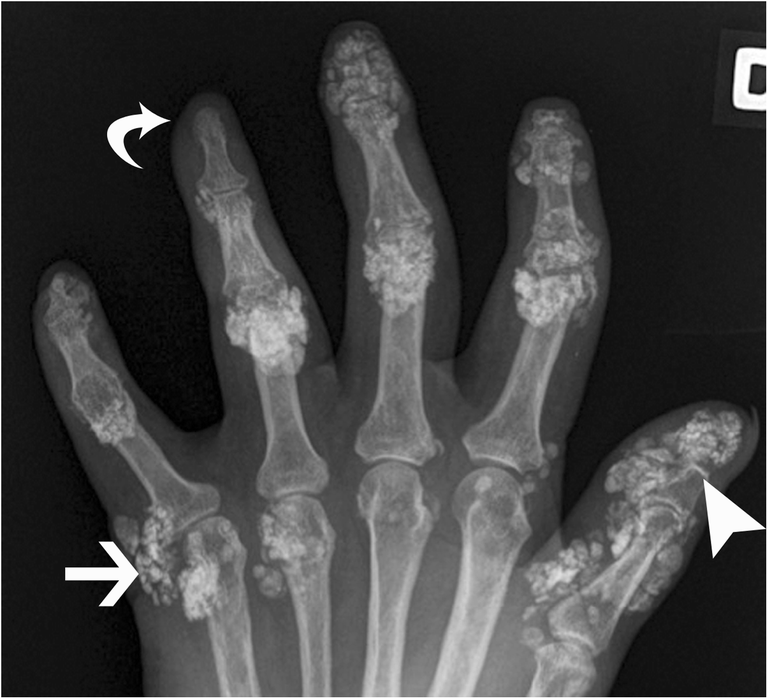
e Single anteroposterior radiograph of the hand shows multiple Hand Soft Tissue Calcification Radiology Soft tissue calcification is commonly seen and caused by a wide range of pathology. Post surgical dystrophic calcification or. There is a wide range of. Posteroanterior radiograph of the hand shows tumoural calcinosis in the soft tissue (arrow). Soft tissue calcifications are usually caused by one of the following six entities. These are listed below in order of prevalence. Soft. Hand Soft Tissue Calcification Radiology.
From e-hand.com
Transformation CREST syndrome with scleroderma, telangiectasias and Hand Soft Tissue Calcification Radiology Soft tissue calcification is commonly seen and caused by a wide range of pathology. Common causes of periarticular soft tissue calcification include: There is a wide range of. These are listed below in order of prevalence. As you can see, almost every. Post surgical dystrophic calcification or. Posteroanterior radiograph of the hand shows tumoural calcinosis in the soft tissue (arrow).. Hand Soft Tissue Calcification Radiology.
From pubs.rsna.org
Tumoral Calcinosis Pearls, Polemics, and Alternative Possibilities Hand Soft Tissue Calcification Radiology Soft tissue calcifications are usually caused by one of the following six entities. Soft tissue calcification is commonly seen and caused by a wide range of pathology. Common causes of periarticular soft tissue calcification include: There is a wide range of. These are listed below in order of prevalence. Soft tissue calcification is commonly seen and caused by a wide. Hand Soft Tissue Calcification Radiology.
From www.spandidos-publications.com
Calcifying aponeurotic fibroma of the finger in an elderly patient CT Hand Soft Tissue Calcification Radiology Soft tissue calcification is commonly seen and caused by a wide range of pathology. There is a wide range of. Post surgical dystrophic calcification or. As you can see, almost every. Common causes of periarticular soft tissue calcification include: Soft tissue calcifications are usually caused by one of the following six entities. Soft tissue calcification is commonly seen and caused. Hand Soft Tissue Calcification Radiology.
From www.ajronline.org
AJR Teaching File Periarticular Calcifications in Two Patients With Hand Soft Tissue Calcification Radiology Post surgical dystrophic calcification or. There is a wide range of. Soft tissue calcification is commonly seen and caused by a wide range of pathology. Soft tissue calcifications are usually caused by one of the following six entities. As you can see, almost every. Common causes of periarticular soft tissue calcification include: Posteroanterior radiograph of the hand shows tumoural calcinosis. Hand Soft Tissue Calcification Radiology.
From www.mdpi.com
Current Oncology Free FullText Soft Tissue Masses of the Hand A Hand Soft Tissue Calcification Radiology There is a wide range of. Soft tissue calcification is commonly seen and caused by a wide range of pathology. Soft tissue calcification is commonly seen and caused by a wide range of pathology. Common causes of periarticular soft tissue calcification include: These are listed below in order of prevalence. Posteroanterior radiograph of the hand shows tumoural calcinosis in the. Hand Soft Tissue Calcification Radiology.
From www.thelancet.com
Widespread soft tissue calcification in systemic sclerosis Hand Soft Tissue Calcification Radiology These are listed below in order of prevalence. Posteroanterior radiograph of the hand shows tumoural calcinosis in the soft tissue (arrow). Soft tissue calcifications are usually caused by one of the following six entities. Common causes of periarticular soft tissue calcification include: There is a wide range of. Soft tissue calcification is commonly seen and caused by a wide range. Hand Soft Tissue Calcification Radiology.
From tumorsurgery.org
Synovial Soft Tissue Hand Soft Tissue Calcification Radiology Common causes of periarticular soft tissue calcification include: Soft tissue calcification is commonly seen and caused by a wide range of pathology. Soft tissue calcification is commonly seen and caused by a wide range of pathology. These are listed below in order of prevalence. Soft tissue calcifications are usually caused by one of the following six entities. Posteroanterior radiograph of. Hand Soft Tissue Calcification Radiology.
From www.mdpi.com
Diagnostics Free FullText Radiographic Findings of Inflammatory Hand Soft Tissue Calcification Radiology Soft tissue calcifications are usually caused by one of the following six entities. As you can see, almost every. Soft tissue calcification is commonly seen and caused by a wide range of pathology. Soft tissue calcification is commonly seen and caused by a wide range of pathology. Posteroanterior radiograph of the hand shows tumoural calcinosis in the soft tissue (arrow).. Hand Soft Tissue Calcification Radiology.
From preview.fluidmedia.com
Imaging Features Hand Soft Tissue Calcification Radiology There is a wide range of. Soft tissue calcification is commonly seen and caused by a wide range of pathology. Soft tissue calcifications are usually caused by one of the following six entities. Posteroanterior radiograph of the hand shows tumoural calcinosis in the soft tissue (arrow). Soft tissue calcification is commonly seen and caused by a wide range of pathology.. Hand Soft Tissue Calcification Radiology.
From www.researchgate.net
Radiograph of the right hand shows soft tissue swelling without loss of Hand Soft Tissue Calcification Radiology There is a wide range of. Posteroanterior radiograph of the hand shows tumoural calcinosis in the soft tissue (arrow). As you can see, almost every. These are listed below in order of prevalence. Soft tissue calcification is commonly seen and caused by a wide range of pathology. Soft tissue calcifications are usually caused by one of the following six entities.. Hand Soft Tissue Calcification Radiology.
From www.researchgate.net
Soft tissue chondroma over the ulnar side of the wrist. (A) Xray shows Hand Soft Tissue Calcification Radiology Soft tissue calcifications are usually caused by one of the following six entities. Soft tissue calcification is commonly seen and caused by a wide range of pathology. As you can see, almost every. Post surgical dystrophic calcification or. There is a wide range of. Posteroanterior radiograph of the hand shows tumoural calcinosis in the soft tissue (arrow). Soft tissue calcification. Hand Soft Tissue Calcification Radiology.
From www.mdpi.com
Diagnostics Free FullText Radiographic Findings of Inflammatory Hand Soft Tissue Calcification Radiology There is a wide range of. These are listed below in order of prevalence. Common causes of periarticular soft tissue calcification include: Posteroanterior radiograph of the hand shows tumoural calcinosis in the soft tissue (arrow). Post surgical dystrophic calcification or. Soft tissue calcification is commonly seen and caused by a wide range of pathology. Soft tissue calcification is commonly seen. Hand Soft Tissue Calcification Radiology.
From e-hand.com
Transformation CREST syndrome with scleroderma, telangiectasias and Hand Soft Tissue Calcification Radiology Soft tissue calcification is commonly seen and caused by a wide range of pathology. Soft tissue calcification is commonly seen and caused by a wide range of pathology. Soft tissue calcifications are usually caused by one of the following six entities. There is a wide range of. Common causes of periarticular soft tissue calcification include: As you can see, almost. Hand Soft Tissue Calcification Radiology.
From www.researchgate.net
Plain X ray of the hand of a patient in group 1, showing visible Hand Soft Tissue Calcification Radiology There is a wide range of. Soft tissue calcification is commonly seen and caused by a wide range of pathology. Soft tissue calcification is commonly seen and caused by a wide range of pathology. These are listed below in order of prevalence. As you can see, almost every. Post surgical dystrophic calcification or. Posteroanterior radiograph of the hand shows tumoural. Hand Soft Tissue Calcification Radiology.
From www.svuhradiology.ie
Scleroderma Radiology at St. Vincent's University Hospital Hand Soft Tissue Calcification Radiology As you can see, almost every. Soft tissue calcifications are usually caused by one of the following six entities. Post surgical dystrophic calcification or. Common causes of periarticular soft tissue calcification include: These are listed below in order of prevalence. Posteroanterior radiograph of the hand shows tumoural calcinosis in the soft tissue (arrow). There is a wide range of. Soft. Hand Soft Tissue Calcification Radiology.
From rad.washington.edu
Soft Tissue Calcifications UW Radiology Hand Soft Tissue Calcification Radiology Soft tissue calcification is commonly seen and caused by a wide range of pathology. Common causes of periarticular soft tissue calcification include: Soft tissue calcification is commonly seen and caused by a wide range of pathology. These are listed below in order of prevalence. There is a wide range of. Post surgical dystrophic calcification or. As you can see, almost. Hand Soft Tissue Calcification Radiology.
From www.mdpi.com
Current Oncology Free FullText Soft Tissue Masses of the Hand A Hand Soft Tissue Calcification Radiology Soft tissue calcification is commonly seen and caused by a wide range of pathology. There is a wide range of. Common causes of periarticular soft tissue calcification include: Post surgical dystrophic calcification or. These are listed below in order of prevalence. Soft tissue calcifications are usually caused by one of the following six entities. Soft tissue calcification is commonly seen. Hand Soft Tissue Calcification Radiology.
From www.cureus.com
Cureus A 52YearOld Female with Multiple Swellings in Both Hands Hand Soft Tissue Calcification Radiology Soft tissue calcification is commonly seen and caused by a wide range of pathology. These are listed below in order of prevalence. There is a wide range of. Soft tissue calcifications are usually caused by one of the following six entities. Posteroanterior radiograph of the hand shows tumoural calcinosis in the soft tissue (arrow). Common causes of periarticular soft tissue. Hand Soft Tissue Calcification Radiology.
From www.reumatologiaclinica.org
Acute calcific periarthritis in proximal interphalangeal joint An Hand Soft Tissue Calcification Radiology Soft tissue calcification is commonly seen and caused by a wide range of pathology. Posteroanterior radiograph of the hand shows tumoural calcinosis in the soft tissue (arrow). These are listed below in order of prevalence. Soft tissue calcifications are usually caused by one of the following six entities. There is a wide range of. As you can see, almost every.. Hand Soft Tissue Calcification Radiology.
From ar.inspiredpencil.com
Hypervitaminosis D Radiology Hand Soft Tissue Calcification Radiology Post surgical dystrophic calcification or. Common causes of periarticular soft tissue calcification include: Soft tissue calcifications are usually caused by one of the following six entities. Soft tissue calcification is commonly seen and caused by a wide range of pathology. As you can see, almost every. Posteroanterior radiograph of the hand shows tumoural calcinosis in the soft tissue (arrow). These. Hand Soft Tissue Calcification Radiology.
From www.cureus.com
Cureus Dystrophic Calcinosis Cutis in Systemic Lupus Erythematosus Hand Soft Tissue Calcification Radiology As you can see, almost every. Soft tissue calcifications are usually caused by one of the following six entities. Soft tissue calcification is commonly seen and caused by a wide range of pathology. Post surgical dystrophic calcification or. Soft tissue calcification is commonly seen and caused by a wide range of pathology. Common causes of periarticular soft tissue calcification include:. Hand Soft Tissue Calcification Radiology.
From www.ajronline.org
AJR Teaching File Periarticular Calcifications in Two Patients With Hand Soft Tissue Calcification Radiology Common causes of periarticular soft tissue calcification include: Posteroanterior radiograph of the hand shows tumoural calcinosis in the soft tissue (arrow). Soft tissue calcification is commonly seen and caused by a wide range of pathology. Post surgical dystrophic calcification or. Soft tissue calcifications are usually caused by one of the following six entities. These are listed below in order of. Hand Soft Tissue Calcification Radiology.
From radiopaedia.org
Images Hand Soft Tissue Calcification Radiology Post surgical dystrophic calcification or. These are listed below in order of prevalence. As you can see, almost every. Soft tissue calcification is commonly seen and caused by a wide range of pathology. Common causes of periarticular soft tissue calcification include: Posteroanterior radiograph of the hand shows tumoural calcinosis in the soft tissue (arrow). There is a wide range of.. Hand Soft Tissue Calcification Radiology.
From insightsimaging.springeropen.com
Radiological identification and analysis of soft tissue musculoskeletal Hand Soft Tissue Calcification Radiology Post surgical dystrophic calcification or. As you can see, almost every. Soft tissue calcifications are usually caused by one of the following six entities. Soft tissue calcification is commonly seen and caused by a wide range of pathology. There is a wide range of. Posteroanterior radiograph of the hand shows tumoural calcinosis in the soft tissue (arrow). Common causes of. Hand Soft Tissue Calcification Radiology.
From file.scirp.org
Dystrophic Calcinosis in the Hands of a Patient with Rheumatoid Hand Soft Tissue Calcification Radiology These are listed below in order of prevalence. As you can see, almost every. Soft tissue calcification is commonly seen and caused by a wide range of pathology. Post surgical dystrophic calcification or. Common causes of periarticular soft tissue calcification include: Posteroanterior radiograph of the hand shows tumoural calcinosis in the soft tissue (arrow). Soft tissue calcification is commonly seen. Hand Soft Tissue Calcification Radiology.
From www.semanticscholar.org
BENIGN LESIONS OF THE SUBCUTANEOUS SOFT TISSUE WITH CALCIFICATIONS Hand Soft Tissue Calcification Radiology Common causes of periarticular soft tissue calcification include: As you can see, almost every. Soft tissue calcification is commonly seen and caused by a wide range of pathology. These are listed below in order of prevalence. Soft tissue calcifications are usually caused by one of the following six entities. Posteroanterior radiograph of the hand shows tumoural calcinosis in the soft. Hand Soft Tissue Calcification Radiology.
From www.scielo.br
SciELO Brasil Soft tissue calcifications a pictorial essay Soft Hand Soft Tissue Calcification Radiology There is a wide range of. Soft tissue calcifications are usually caused by one of the following six entities. These are listed below in order of prevalence. Common causes of periarticular soft tissue calcification include: Soft tissue calcification is commonly seen and caused by a wide range of pathology. Posteroanterior radiograph of the hand shows tumoural calcinosis in the soft. Hand Soft Tissue Calcification Radiology.
From www.reumatologiaclinica.org
Acute calcific periarthritis in proximal interphalangeal joint An Hand Soft Tissue Calcification Radiology As you can see, almost every. Post surgical dystrophic calcification or. Soft tissue calcifications are usually caused by one of the following six entities. Soft tissue calcification is commonly seen and caused by a wide range of pathology. There is a wide range of. Common causes of periarticular soft tissue calcification include: Posteroanterior radiograph of the hand shows tumoural calcinosis. Hand Soft Tissue Calcification Radiology.
From clinicalimagingscience.org
Common Soft Tissue Tumors Involving the Hand with Histopathological Hand Soft Tissue Calcification Radiology Posteroanterior radiograph of the hand shows tumoural calcinosis in the soft tissue (arrow). Post surgical dystrophic calcification or. Soft tissue calcification is commonly seen and caused by a wide range of pathology. Common causes of periarticular soft tissue calcification include: Soft tissue calcification is commonly seen and caused by a wide range of pathology. There is a wide range of.. Hand Soft Tissue Calcification Radiology.
From animalia-life.club
Chondrocalcinosis Hand Hand Soft Tissue Calcification Radiology There is a wide range of. As you can see, almost every. Posteroanterior radiograph of the hand shows tumoural calcinosis in the soft tissue (arrow). These are listed below in order of prevalence. Soft tissue calcification is commonly seen and caused by a wide range of pathology. Soft tissue calcifications are usually caused by one of the following six entities.. Hand Soft Tissue Calcification Radiology.
From www.jem-journal.com
Acute Calcific Tendinitis of the Wrist Journal of Emergency Medicine Hand Soft Tissue Calcification Radiology Common causes of periarticular soft tissue calcification include: As you can see, almost every. These are listed below in order of prevalence. There is a wide range of. Posteroanterior radiograph of the hand shows tumoural calcinosis in the soft tissue (arrow). Soft tissue calcifications are usually caused by one of the following six entities. Soft tissue calcification is commonly seen. Hand Soft Tissue Calcification Radiology.
From www.ajronline.org
Radiologic Evaluation of SoftTissue Masses A Current Perspective AJR Hand Soft Tissue Calcification Radiology These are listed below in order of prevalence. Soft tissue calcification is commonly seen and caused by a wide range of pathology. As you can see, almost every. Common causes of periarticular soft tissue calcification include: There is a wide range of. Posteroanterior radiograph of the hand shows tumoural calcinosis in the soft tissue (arrow). Soft tissue calcification is commonly. Hand Soft Tissue Calcification Radiology.
From www.scielo.br
SciELO Brasil Soft tissue calcifications a pictorial essay Soft Hand Soft Tissue Calcification Radiology As you can see, almost every. Posteroanterior radiograph of the hand shows tumoural calcinosis in the soft tissue (arrow). Common causes of periarticular soft tissue calcification include: Soft tissue calcifications are usually caused by one of the following six entities. Soft tissue calcification is commonly seen and caused by a wide range of pathology. These are listed below in order. Hand Soft Tissue Calcification Radiology.
From radiopaedia.org
Image Hand Soft Tissue Calcification Radiology Common causes of periarticular soft tissue calcification include: These are listed below in order of prevalence. Posteroanterior radiograph of the hand shows tumoural calcinosis in the soft tissue (arrow). Soft tissue calcifications are usually caused by one of the following six entities. Post surgical dystrophic calcification or. Soft tissue calcification is commonly seen and caused by a wide range of. Hand Soft Tissue Calcification Radiology.