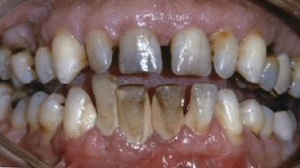
Crushed Aspirin On Tooth . Both patients had similiar symptoms, but had not been told that chewing aspirin could harm. The authors present two cases of patients with damage to their tooth enamel and dentin. Placing aspirin on your teeth is a very dangerous practice because once the aspirin is gone, it will leave behind a white, chemical burn on the area. Forbes health explores 10 of the best and most effective home toothache remedies to use for immediate tooth pain relief, according to science. However, it is important to consult. This typically results in a painful burn on the soft tissue below the teeth and it can last for several days. Another effective way of using aspirin for tooth pain is to mix the crushed aspirin with a small amount of water to make a paste.
from www.faim.org
The authors present two cases of patients with damage to their tooth enamel and dentin. This typically results in a painful burn on the soft tissue below the teeth and it can last for several days. Another effective way of using aspirin for tooth pain is to mix the crushed aspirin with a small amount of water to make a paste. Placing aspirin on your teeth is a very dangerous practice because once the aspirin is gone, it will leave behind a white, chemical burn on the area. Forbes health explores 10 of the best and most effective home toothache remedies to use for immediate tooth pain relief, according to science. However, it is important to consult. Both patients had similiar symptoms, but had not been told that chewing aspirin could harm.
Queen’s Research Shows Aspirin Could Repair Tooth Decay Foundation
Crushed Aspirin On Tooth Placing aspirin on your teeth is a very dangerous practice because once the aspirin is gone, it will leave behind a white, chemical burn on the area. Forbes health explores 10 of the best and most effective home toothache remedies to use for immediate tooth pain relief, according to science. Placing aspirin on your teeth is a very dangerous practice because once the aspirin is gone, it will leave behind a white, chemical burn on the area. Another effective way of using aspirin for tooth pain is to mix the crushed aspirin with a small amount of water to make a paste. However, it is important to consult. This typically results in a painful burn on the soft tissue below the teeth and it can last for several days. Both patients had similiar symptoms, but had not been told that chewing aspirin could harm. The authors present two cases of patients with damage to their tooth enamel and dentin.
From abeautypalette.com
How To Use Crushed Aspirin For Acne Step by step tutorial + Pictures Crushed Aspirin On Tooth The authors present two cases of patients with damage to their tooth enamel and dentin. However, it is important to consult. This typically results in a painful burn on the soft tissue below the teeth and it can last for several days. Forbes health explores 10 of the best and most effective home toothache remedies to use for immediate tooth. Crushed Aspirin On Tooth.
From www.pinterest.co.uk
Placing an aspirin directly on your gum causes an ulceration of the Crushed Aspirin On Tooth However, it is important to consult. Both patients had similiar symptoms, but had not been told that chewing aspirin could harm. Another effective way of using aspirin for tooth pain is to mix the crushed aspirin with a small amount of water to make a paste. Placing aspirin on your teeth is a very dangerous practice because once the aspirin. Crushed Aspirin On Tooth.
From www.slideserve.com
PPT Aspirin Helps Recover Rotten Teeth PowerPoint Presentation, free Crushed Aspirin On Tooth However, it is important to consult. Both patients had similiar symptoms, but had not been told that chewing aspirin could harm. The authors present two cases of patients with damage to their tooth enamel and dentin. Placing aspirin on your teeth is a very dangerous practice because once the aspirin is gone, it will leave behind a white, chemical burn. Crushed Aspirin On Tooth.
From www.pinterest.co.uk
Placing an aspirin directly on your gum causes an ulceration of the Crushed Aspirin On Tooth Forbes health explores 10 of the best and most effective home toothache remedies to use for immediate tooth pain relief, according to science. Both patients had similiar symptoms, but had not been told that chewing aspirin could harm. This typically results in a painful burn on the soft tissue below the teeth and it can last for several days. The. Crushed Aspirin On Tooth.
From www.nationalelfservice.net
Tooth extraction no need to stop aspirin Crushed Aspirin On Tooth The authors present two cases of patients with damage to their tooth enamel and dentin. Placing aspirin on your teeth is a very dangerous practice because once the aspirin is gone, it will leave behind a white, chemical burn on the area. Another effective way of using aspirin for tooth pain is to mix the crushed aspirin with a small. Crushed Aspirin On Tooth.
From www.semanticscholar.org
Figure 3 from Chemical burn from direct application of aspirin onto a Crushed Aspirin On Tooth However, it is important to consult. Another effective way of using aspirin for tooth pain is to mix the crushed aspirin with a small amount of water to make a paste. Placing aspirin on your teeth is a very dangerous practice because once the aspirin is gone, it will leave behind a white, chemical burn on the area. Forbes health. Crushed Aspirin On Tooth.
From www.fabhow.com
How to Get Rid of Dandruff Fab How Crushed Aspirin On Tooth Both patients had similiar symptoms, but had not been told that chewing aspirin could harm. Placing aspirin on your teeth is a very dangerous practice because once the aspirin is gone, it will leave behind a white, chemical burn on the area. However, it is important to consult. The authors present two cases of patients with damage to their tooth. Crushed Aspirin On Tooth.
From www.faim.org
Queen’s Research Shows Aspirin Could Repair Tooth Decay Foundation Crushed Aspirin On Tooth Another effective way of using aspirin for tooth pain is to mix the crushed aspirin with a small amount of water to make a paste. However, it is important to consult. Both patients had similiar symptoms, but had not been told that chewing aspirin could harm. The authors present two cases of patients with damage to their tooth enamel and. Crushed Aspirin On Tooth.
From anketor.com
Is Aspirin Good for Toothache? Anketör Crushed Aspirin On Tooth The authors present two cases of patients with damage to their tooth enamel and dentin. Another effective way of using aspirin for tooth pain is to mix the crushed aspirin with a small amount of water to make a paste. Placing aspirin on your teeth is a very dangerous practice because once the aspirin is gone, it will leave behind. Crushed Aspirin On Tooth.
From www.mirror.co.uk
Aspirin could reverse effects of tooth decay and save NHS billions Crushed Aspirin On Tooth Forbes health explores 10 of the best and most effective home toothache remedies to use for immediate tooth pain relief, according to science. This typically results in a painful burn on the soft tissue below the teeth and it can last for several days. However, it is important to consult. Placing aspirin on your teeth is a very dangerous practice. Crushed Aspirin On Tooth.
From www.bbc.com
Belfast scientists say aspirin could reverse tooth decay BBC News Crushed Aspirin On Tooth Both patients had similiar symptoms, but had not been told that chewing aspirin could harm. The authors present two cases of patients with damage to their tooth enamel and dentin. Another effective way of using aspirin for tooth pain is to mix the crushed aspirin with a small amount of water to make a paste. Forbes health explores 10 of. Crushed Aspirin On Tooth.
From www.semanticscholar.org
Figure 1 from Aspirin induced intraoral burn A rare case report with Crushed Aspirin On Tooth The authors present two cases of patients with damage to their tooth enamel and dentin. However, it is important to consult. Placing aspirin on your teeth is a very dangerous practice because once the aspirin is gone, it will leave behind a white, chemical burn on the area. Another effective way of using aspirin for tooth pain is to mix. Crushed Aspirin On Tooth.
From www.taylor-dental.com
Direct From The Dentist Chewing Aspirin Can Destroy Your Teeth Dr Crushed Aspirin On Tooth Both patients had similiar symptoms, but had not been told that chewing aspirin could harm. The authors present two cases of patients with damage to their tooth enamel and dentin. Placing aspirin on your teeth is a very dangerous practice because once the aspirin is gone, it will leave behind a white, chemical burn on the area. Forbes health explores. Crushed Aspirin On Tooth.
From martinajohansson.se
crushed aspirin Next Level Biohacking Crushed Aspirin On Tooth Another effective way of using aspirin for tooth pain is to mix the crushed aspirin with a small amount of water to make a paste. Placing aspirin on your teeth is a very dangerous practice because once the aspirin is gone, it will leave behind a white, chemical burn on the area. However, it is important to consult. This typically. Crushed Aspirin On Tooth.
From www.medicalanswersnow.com
does placing Crushed aspirin on toothache help? Medical Answers Crushed Aspirin On Tooth This typically results in a painful burn on the soft tissue below the teeth and it can last for several days. Both patients had similiar symptoms, but had not been told that chewing aspirin could harm. However, it is important to consult. Another effective way of using aspirin for tooth pain is to mix the crushed aspirin with a small. Crushed Aspirin On Tooth.
From www.bbc.com
Belfast scientists say aspirin could reverse tooth decay BBC News Crushed Aspirin On Tooth However, it is important to consult. This typically results in a painful burn on the soft tissue below the teeth and it can last for several days. Placing aspirin on your teeth is a very dangerous practice because once the aspirin is gone, it will leave behind a white, chemical burn on the area. Both patients had similiar symptoms, but. Crushed Aspirin On Tooth.
From medicalxpress.com
Research shows aspirin could repair tooth decay Crushed Aspirin On Tooth Another effective way of using aspirin for tooth pain is to mix the crushed aspirin with a small amount of water to make a paste. The authors present two cases of patients with damage to their tooth enamel and dentin. This typically results in a painful burn on the soft tissue below the teeth and it can last for several. Crushed Aspirin On Tooth.
From www.irelandsdentalmag.ie
Aspirin could help teeth ‘selfrepair’ Ireland's Dental Magazine Crushed Aspirin On Tooth This typically results in a painful burn on the soft tissue below the teeth and it can last for several days. However, it is important to consult. Another effective way of using aspirin for tooth pain is to mix the crushed aspirin with a small amount of water to make a paste. Both patients had similiar symptoms, but had not. Crushed Aspirin On Tooth.
From www.bbc.co.uk
Belfast scientists say aspirin could reverse tooth decay BBC News Crushed Aspirin On Tooth However, it is important to consult. Both patients had similiar symptoms, but had not been told that chewing aspirin could harm. This typically results in a painful burn on the soft tissue below the teeth and it can last for several days. Another effective way of using aspirin for tooth pain is to mix the crushed aspirin with a small. Crushed Aspirin On Tooth.
From uk.news.yahoo.com
Aspirin ‘could reverse the effects of tooth decay’ Crushed Aspirin On Tooth Both patients had similiar symptoms, but had not been told that chewing aspirin could harm. Forbes health explores 10 of the best and most effective home toothache remedies to use for immediate tooth pain relief, according to science. This typically results in a painful burn on the soft tissue below the teeth and it can last for several days. However,. Crushed Aspirin On Tooth.
From www.rd.com
Aspirin May Prevent Tooth Decay, Scientists Say Reader's Digest Crushed Aspirin On Tooth However, it is important to consult. Both patients had similiar symptoms, but had not been told that chewing aspirin could harm. Placing aspirin on your teeth is a very dangerous practice because once the aspirin is gone, it will leave behind a white, chemical burn on the area. Another effective way of using aspirin for tooth pain is to mix. Crushed Aspirin On Tooth.
From www.researchgate.net
(PDF) Effects of Aspirin on Odontogenesis of Human Dental Pulp Cells Crushed Aspirin On Tooth This typically results in a painful burn on the soft tissue below the teeth and it can last for several days. Both patients had similiar symptoms, but had not been told that chewing aspirin could harm. The authors present two cases of patients with damage to their tooth enamel and dentin. Another effective way of using aspirin for tooth pain. Crushed Aspirin On Tooth.
From www.academia.edu
(PDF) Aspirin, acetaminophen, and ibuprofen Their effects on Crushed Aspirin On Tooth The authors present two cases of patients with damage to their tooth enamel and dentin. However, it is important to consult. Forbes health explores 10 of the best and most effective home toothache remedies to use for immediate tooth pain relief, according to science. Placing aspirin on your teeth is a very dangerous practice because once the aspirin is gone,. Crushed Aspirin On Tooth.
From dakotadental.com
Cure a Toothache by Putting Aspirin On It? Dakota Dental Crushed Aspirin On Tooth Forbes health explores 10 of the best and most effective home toothache remedies to use for immediate tooth pain relief, according to science. This typically results in a painful burn on the soft tissue below the teeth and it can last for several days. Both patients had similiar symptoms, but had not been told that chewing aspirin could harm. Another. Crushed Aspirin On Tooth.
From www.pinterest.co.uk
Belfast scientists say aspirin could reverse tooth decay Kids Health Crushed Aspirin On Tooth However, it is important to consult. The authors present two cases of patients with damage to their tooth enamel and dentin. Placing aspirin on your teeth is a very dangerous practice because once the aspirin is gone, it will leave behind a white, chemical burn on the area. This typically results in a painful burn on the soft tissue below. Crushed Aspirin On Tooth.
From www.dentistrytoday.com
Aspirin May Repair Tooth Decay Dentistry Today Crushed Aspirin On Tooth Placing aspirin on your teeth is a very dangerous practice because once the aspirin is gone, it will leave behind a white, chemical burn on the area. Another effective way of using aspirin for tooth pain is to mix the crushed aspirin with a small amount of water to make a paste. This typically results in a painful burn on. Crushed Aspirin On Tooth.
From dibyapath.com
How To Use Aspirin For Tooth Decay Dibyapath Crushed Aspirin On Tooth Placing aspirin on your teeth is a very dangerous practice because once the aspirin is gone, it will leave behind a white, chemical burn on the area. Both patients had similiar symptoms, but had not been told that chewing aspirin could harm. This typically results in a painful burn on the soft tissue below the teeth and it can last. Crushed Aspirin On Tooth.
From countrymusicstop.com
How To Use Aspirin For Tooth Decay? New Update Crushed Aspirin On Tooth However, it is important to consult. Forbes health explores 10 of the best and most effective home toothache remedies to use for immediate tooth pain relief, according to science. Both patients had similiar symptoms, but had not been told that chewing aspirin could harm. The authors present two cases of patients with damage to their tooth enamel and dentin. Another. Crushed Aspirin On Tooth.
From remedydaily.com
Apply a paste of crushed aspirin and water to breakouts & get this effect Crushed Aspirin On Tooth Both patients had similiar symptoms, but had not been told that chewing aspirin could harm. The authors present two cases of patients with damage to their tooth enamel and dentin. This typically results in a painful burn on the soft tissue below the teeth and it can last for several days. Placing aspirin on your teeth is a very dangerous. Crushed Aspirin On Tooth.
From www.researchgate.net
(PDF) The effect of aspirin on bleeding after extraction of teeth Crushed Aspirin On Tooth However, it is important to consult. The authors present two cases of patients with damage to their tooth enamel and dentin. This typically results in a painful burn on the soft tissue below the teeth and it can last for several days. Forbes health explores 10 of the best and most effective home toothache remedies to use for immediate tooth. Crushed Aspirin On Tooth.
From www.youtube.com
Part 2 Tooth extraction in patients taking Aspirin/Clopidogrel or Crushed Aspirin On Tooth The authors present two cases of patients with damage to their tooth enamel and dentin. However, it is important to consult. Another effective way of using aspirin for tooth pain is to mix the crushed aspirin with a small amount of water to make a paste. Forbes health explores 10 of the best and most effective home toothache remedies to. Crushed Aspirin On Tooth.
From slideplayer.com
Drugs and Toxins affecting teeth ppt download Crushed Aspirin On Tooth Placing aspirin on your teeth is a very dangerous practice because once the aspirin is gone, it will leave behind a white, chemical burn on the area. This typically results in a painful burn on the soft tissue below the teeth and it can last for several days. However, it is important to consult. Another effective way of using aspirin. Crushed Aspirin On Tooth.
From www.slideserve.com
PPT Do's and Don'ts After a Tooth Extraction PowerPoint Presentation Crushed Aspirin On Tooth Forbes health explores 10 of the best and most effective home toothache remedies to use for immediate tooth pain relief, according to science. However, it is important to consult. This typically results in a painful burn on the soft tissue below the teeth and it can last for several days. Placing aspirin on your teeth is a very dangerous practice. Crushed Aspirin On Tooth.
From www.artofit.org
Crush aspirin and rub it on your face to solve a common problem these Crushed Aspirin On Tooth Forbes health explores 10 of the best and most effective home toothache remedies to use for immediate tooth pain relief, according to science. Placing aspirin on your teeth is a very dangerous practice because once the aspirin is gone, it will leave behind a white, chemical burn on the area. However, it is important to consult. Another effective way of. Crushed Aspirin On Tooth.
From www.jacksonavedental.com
Can You Use Aspirin To Kill a Tooth Nerve? 1311 Jackson Ave Dental Crushed Aspirin On Tooth This typically results in a painful burn on the soft tissue below the teeth and it can last for several days. Placing aspirin on your teeth is a very dangerous practice because once the aspirin is gone, it will leave behind a white, chemical burn on the area. The authors present two cases of patients with damage to their tooth. Crushed Aspirin On Tooth.