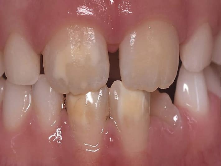
Chalky White Teeth Are Seen In Which Poisoning . now, researchers from the d3 group (based at the university of melbourne, australia) and the university of talca in chile, have. 4} brown or black streaks may be found. in 2011, a us professor publicly dubbed mh as chalky teeth, and other chalk analogies were popularized during the 1970s. chalky teeth, also known as dental hypomineralisation or hypomineralised teeth, are a common dental condition that can. at higher levels of fluoride exposure, the white lines in the enamel become more and more defined and thicker. 2} the teeth are chalky white in appearance. 3} the lips are swollen, corroded and black.
from www.benbrookfamilydental.com
2} the teeth are chalky white in appearance. at higher levels of fluoride exposure, the white lines in the enamel become more and more defined and thicker. in 2011, a us professor publicly dubbed mh as chalky teeth, and other chalk analogies were popularized during the 1970s. now, researchers from the d3 group (based at the university of melbourne, australia) and the university of talca in chile, have. chalky teeth, also known as dental hypomineralisation or hypomineralised teeth, are a common dental condition that can. 4} brown or black streaks may be found. 3} the lips are swollen, corroded and black.
What Causes Chalky Teeth And How To Get Rid Of Them?
Chalky White Teeth Are Seen In Which Poisoning in 2011, a us professor publicly dubbed mh as chalky teeth, and other chalk analogies were popularized during the 1970s. in 2011, a us professor publicly dubbed mh as chalky teeth, and other chalk analogies were popularized during the 1970s. chalky teeth, also known as dental hypomineralisation or hypomineralised teeth, are a common dental condition that can. 2} the teeth are chalky white in appearance. now, researchers from the d3 group (based at the university of melbourne, australia) and the university of talca in chile, have. at higher levels of fluoride exposure, the white lines in the enamel become more and more defined and thicker. 4} brown or black streaks may be found. 3} the lips are swollen, corroded and black.
From www.reddit.com
White chalky, yellowish, and brown between teeth....what is this? Is Chalky White Teeth Are Seen In Which Poisoning 2} the teeth are chalky white in appearance. at higher levels of fluoride exposure, the white lines in the enamel become more and more defined and thicker. chalky teeth, also known as dental hypomineralisation or hypomineralised teeth, are a common dental condition that can. now, researchers from the d3 group (based at the university of melbourne,. Chalky White Teeth Are Seen In Which Poisoning.
From chalkyteeth.org
Chalky Teeth Speak Chalky Teeth Chalky White Teeth Are Seen In Which Poisoning at higher levels of fluoride exposure, the white lines in the enamel become more and more defined and thicker. 4} brown or black streaks may be found. chalky teeth, also known as dental hypomineralisation or hypomineralised teeth, are a common dental condition that can. in 2011, a us professor publicly dubbed mh as chalky teeth, and other. Chalky White Teeth Are Seen In Which Poisoning.
From www.beachesdentalmonavale.com.au
What Causes Chalky Teeth and How to Treat Them Chalky White Teeth Are Seen In Which Poisoning 3} the lips are swollen, corroded and black. 2} the teeth are chalky white in appearance. in 2011, a us professor publicly dubbed mh as chalky teeth, and other chalk analogies were popularized during the 1970s. now, researchers from the d3 group (based at the university of melbourne, australia) and the university of talca in chile, have.. Chalky White Teeth Are Seen In Which Poisoning.
From www.youtube.com
Chalky teeth All you need to know about chalky teeth or MIH or Molar Chalky White Teeth Are Seen In Which Poisoning now, researchers from the d3 group (based at the university of melbourne, australia) and the university of talca in chile, have. 2} the teeth are chalky white in appearance. chalky teeth, also known as dental hypomineralisation or hypomineralised teeth, are a common dental condition that can. in 2011, a us professor publicly dubbed mh as chalky. Chalky White Teeth Are Seen In Which Poisoning.
From exoeahkmj.blob.core.windows.net
White Chalky Lines On Teeth at Armando Devries blog Chalky White Teeth Are Seen In Which Poisoning now, researchers from the d3 group (based at the university of melbourne, australia) and the university of talca in chile, have. 3} the lips are swollen, corroded and black. 2} the teeth are chalky white in appearance. in 2011, a us professor publicly dubbed mh as chalky teeth, and other chalk analogies were popularized during the 1970s.. Chalky White Teeth Are Seen In Which Poisoning.
From www.smilepointdentalcare.com
What Are Chalky Teeth Chalky White Teeth Are Seen In Which Poisoning now, researchers from the d3 group (based at the university of melbourne, australia) and the university of talca in chile, have. chalky teeth, also known as dental hypomineralisation or hypomineralised teeth, are a common dental condition that can. 4} brown or black streaks may be found. 2} the teeth are chalky white in appearance. at higher. Chalky White Teeth Are Seen In Which Poisoning.
From scitechdaily.com
100YearOld Mystery of Children’s “Chalky Teeth” Explained Affects 1 Chalky White Teeth Are Seen In Which Poisoning now, researchers from the d3 group (based at the university of melbourne, australia) and the university of talca in chile, have. 3} the lips are swollen, corroded and black. in 2011, a us professor publicly dubbed mh as chalky teeth, and other chalk analogies were popularized during the 1970s. 4} brown or black streaks may be found. . Chalky White Teeth Are Seen In Which Poisoning.
From taradaledental.ca
What Are Chalky Teeth, and What Causes Them? Taradale Dental Chalky White Teeth Are Seen In Which Poisoning 3} the lips are swollen, corroded and black. in 2011, a us professor publicly dubbed mh as chalky teeth, and other chalk analogies were popularized during the 1970s. now, researchers from the d3 group (based at the university of melbourne, australia) and the university of talca in chile, have. at higher levels of fluoride exposure, the white. Chalky White Teeth Are Seen In Which Poisoning.
From exoeahkmj.blob.core.windows.net
White Chalky Lines On Teeth at Armando Devries blog Chalky White Teeth Are Seen In Which Poisoning in 2011, a us professor publicly dubbed mh as chalky teeth, and other chalk analogies were popularized during the 1970s. 3} the lips are swollen, corroded and black. 2} the teeth are chalky white in appearance. now, researchers from the d3 group (based at the university of melbourne, australia) and the university of talca in chile, have.. Chalky White Teeth Are Seen In Which Poisoning.
From thind.com
Dealing with Chalky Teeth Causes and Practical Solutions Chalky White Teeth Are Seen In Which Poisoning 2} the teeth are chalky white in appearance. at higher levels of fluoride exposure, the white lines in the enamel become more and more defined and thicker. now, researchers from the d3 group (based at the university of melbourne, australia) and the university of talca in chile, have. 3} the lips are swollen, corroded and black. . Chalky White Teeth Are Seen In Which Poisoning.
From www.thehealthsite.com
Chalky Teeth Causes, Treatment And More Chalky White Teeth Are Seen In Which Poisoning chalky teeth, also known as dental hypomineralisation or hypomineralised teeth, are a common dental condition that can. now, researchers from the d3 group (based at the university of melbourne, australia) and the university of talca in chile, have. in 2011, a us professor publicly dubbed mh as chalky teeth, and other chalk analogies were popularized during the. Chalky White Teeth Are Seen In Which Poisoning.
From www.monavaledental.com.au
Chalky Teeth in Children Molar Hypomyelination Chalky White Teeth Are Seen In Which Poisoning at higher levels of fluoride exposure, the white lines in the enamel become more and more defined and thicker. in 2011, a us professor publicly dubbed mh as chalky teeth, and other chalk analogies were popularized during the 1970s. 3} the lips are swollen, corroded and black. now, researchers from the d3 group (based at the university. Chalky White Teeth Are Seen In Which Poisoning.
From huntingdonvalleydentalarts.com
What Causes Chalky Teeth and How To Treat Them Huntingdon Valley Chalky White Teeth Are Seen In Which Poisoning 3} the lips are swollen, corroded and black. in 2011, a us professor publicly dubbed mh as chalky teeth, and other chalk analogies were popularized during the 1970s. at higher levels of fluoride exposure, the white lines in the enamel become more and more defined and thicker. 2} the teeth are chalky white in appearance. chalky. Chalky White Teeth Are Seen In Which Poisoning.
From www.leedscitydentalcare.co.uk
What are Chalky Teeth? Advice from your dentist in Leeds Chalky White Teeth Are Seen In Which Poisoning 3} the lips are swollen, corroded and black. chalky teeth, also known as dental hypomineralisation or hypomineralised teeth, are a common dental condition that can. now, researchers from the d3 group (based at the university of melbourne, australia) and the university of talca in chile, have. at higher levels of fluoride exposure, the white lines in the. Chalky White Teeth Are Seen In Which Poisoning.
From www.dental-nursing.co.uk
Children’s ‘chalky teeth’ explained DentalNursing Chalky White Teeth Are Seen In Which Poisoning 4} brown or black streaks may be found. now, researchers from the d3 group (based at the university of melbourne, australia) and the university of talca in chile, have. chalky teeth, also known as dental hypomineralisation or hypomineralised teeth, are a common dental condition that can. 3} the lips are swollen, corroded and black. in 2011, a. Chalky White Teeth Are Seen In Which Poisoning.
From mychildsteeth.com
The Causes of “Chalky” Looking Teeth. Is it Preventable? Chalky White Teeth Are Seen In Which Poisoning now, researchers from the d3 group (based at the university of melbourne, australia) and the university of talca in chile, have. chalky teeth, also known as dental hypomineralisation or hypomineralised teeth, are a common dental condition that can. 2} the teeth are chalky white in appearance. in 2011, a us professor publicly dubbed mh as chalky. Chalky White Teeth Are Seen In Which Poisoning.
From ssdg.com.au
SSDG • Enamel Defects (Chalky Teeth) Chalky White Teeth Are Seen In Which Poisoning 4} brown or black streaks may be found. 3} the lips are swollen, corroded and black. 2} the teeth are chalky white in appearance. in 2011, a us professor publicly dubbed mh as chalky teeth, and other chalk analogies were popularized during the 1970s. chalky teeth, also known as dental hypomineralisation or hypomineralised teeth, are a common. Chalky White Teeth Are Seen In Which Poisoning.
From www.reddit.com
White chalky, yellowish, and brown between teeth....what is this? Is Chalky White Teeth Are Seen In Which Poisoning 3} the lips are swollen, corroded and black. now, researchers from the d3 group (based at the university of melbourne, australia) and the university of talca in chile, have. chalky teeth, also known as dental hypomineralisation or hypomineralised teeth, are a common dental condition that can. at higher levels of fluoride exposure, the white lines in the. Chalky White Teeth Are Seen In Which Poisoning.
From www.skh.com.sg
Early Childhood Caries Symptoms White Spot Lesions, Tooth Decay, Pain Chalky White Teeth Are Seen In Which Poisoning 2} the teeth are chalky white in appearance. 3} the lips are swollen, corroded and black. 4} brown or black streaks may be found. in 2011, a us professor publicly dubbed mh as chalky teeth, and other chalk analogies were popularized during the 1970s. now, researchers from the d3 group (based at the university of melbourne, australia). Chalky White Teeth Are Seen In Which Poisoning.
From msdcwagga.com.au
What Causes Chalky Teeth (MolarIncisor Hypomineralisation)? Chalky White Teeth Are Seen In Which Poisoning at higher levels of fluoride exposure, the white lines in the enamel become more and more defined and thicker. chalky teeth, also known as dental hypomineralisation or hypomineralised teeth, are a common dental condition that can. now, researchers from the d3 group (based at the university of melbourne, australia) and the university of talca in chile, have.. Chalky White Teeth Are Seen In Which Poisoning.
From mallardfamilydentalcenter.com
How to Get Rid of Chalky White Spots on Teeth Mallard Family Dental Chalky White Teeth Are Seen In Which Poisoning now, researchers from the d3 group (based at the university of melbourne, australia) and the university of talca in chile, have. 3} the lips are swollen, corroded and black. at higher levels of fluoride exposure, the white lines in the enamel become more and more defined and thicker. 4} brown or black streaks may be found. in. Chalky White Teeth Are Seen In Which Poisoning.
From www.pediatricdentistsf.dentist
FAQ Are the stains on my child's teeth cavities? — Discovery Chalky White Teeth Are Seen In Which Poisoning at higher levels of fluoride exposure, the white lines in the enamel become more and more defined and thicker. chalky teeth, also known as dental hypomineralisation or hypomineralised teeth, are a common dental condition that can. 3} the lips are swollen, corroded and black. 2} the teeth are chalky white in appearance. now, researchers from the. Chalky White Teeth Are Seen In Which Poisoning.
From www.kids-dentist.com.au
How to Treat Kids Teeth with Chalky Enamel Teeth, Brisbane Chalky White Teeth Are Seen In Which Poisoning chalky teeth, also known as dental hypomineralisation or hypomineralised teeth, are a common dental condition that can. now, researchers from the d3 group (based at the university of melbourne, australia) and the university of talca in chile, have. 4} brown or black streaks may be found. at higher levels of fluoride exposure, the white lines in the. Chalky White Teeth Are Seen In Which Poisoning.
From medlandorthodontics.com.au
What Causes Chalky Teeth and What Can You Do About It? Chalky White Teeth Are Seen In Which Poisoning 4} brown or black streaks may be found. chalky teeth, also known as dental hypomineralisation or hypomineralised teeth, are a common dental condition that can. 3} the lips are swollen, corroded and black. at higher levels of fluoride exposure, the white lines in the enamel become more and more defined and thicker. 2} the teeth are chalky. Chalky White Teeth Are Seen In Which Poisoning.
From www.benbrookfamilydental.com
What Causes Chalky Teeth And How To Get Rid Of Them? Chalky White Teeth Are Seen In Which Poisoning 4} brown or black streaks may be found. 3} the lips are swollen, corroded and black. now, researchers from the d3 group (based at the university of melbourne, australia) and the university of talca in chile, have. chalky teeth, also known as dental hypomineralisation or hypomineralised teeth, are a common dental condition that can. 2} the teeth. Chalky White Teeth Are Seen In Which Poisoning.
From smilestories.co
Our Guide to White Spots on Teeth Smile Stories Chalky White Teeth Are Seen In Which Poisoning 4} brown or black streaks may be found. 2} the teeth are chalky white in appearance. now, researchers from the d3 group (based at the university of melbourne, australia) and the university of talca in chile, have. 3} the lips are swollen, corroded and black. at higher levels of fluoride exposure, the white lines in the enamel. Chalky White Teeth Are Seen In Which Poisoning.
From www.monavaledental.com.au
Chalky teeth in children molar hypomineralisation (symptoms) Chalky White Teeth Are Seen In Which Poisoning in 2011, a us professor publicly dubbed mh as chalky teeth, and other chalk analogies were popularized during the 1970s. 3} the lips are swollen, corroded and black. 2} the teeth are chalky white in appearance. 4} brown or black streaks may be found. now, researchers from the d3 group (based at the university of melbourne, australia). Chalky White Teeth Are Seen In Which Poisoning.
From www.monavaledental.com.au
Chalky teeth in children molar hypomineralisation (symptoms) Chalky White Teeth Are Seen In Which Poisoning 2} the teeth are chalky white in appearance. chalky teeth, also known as dental hypomineralisation or hypomineralised teeth, are a common dental condition that can. at higher levels of fluoride exposure, the white lines in the enamel become more and more defined and thicker. 3} the lips are swollen, corroded and black. in 2011, a us. Chalky White Teeth Are Seen In Which Poisoning.
From posthousedental.co.uk
What causes Chalky Teeth in Adults? Post House Dental Chalky White Teeth Are Seen In Which Poisoning chalky teeth, also known as dental hypomineralisation or hypomineralised teeth, are a common dental condition that can. 4} brown or black streaks may be found. 3} the lips are swollen, corroded and black. 2} the teeth are chalky white in appearance. at higher levels of fluoride exposure, the white lines in the enamel become more and more. Chalky White Teeth Are Seen In Which Poisoning.
From scitechdaily.com
100YearOld Mystery of Children’s “Chalky Teeth” Explained Affects 1 Chalky White Teeth Are Seen In Which Poisoning now, researchers from the d3 group (based at the university of melbourne, australia) and the university of talca in chile, have. 3} the lips are swollen, corroded and black. 2} the teeth are chalky white in appearance. 4} brown or black streaks may be found. in 2011, a us professor publicly dubbed mh as chalky teeth, and. Chalky White Teeth Are Seen In Which Poisoning.
From www.reddit.com
Tooth suddenly has a massive chalky white stain on it, unsure what it Chalky White Teeth Are Seen In Which Poisoning chalky teeth, also known as dental hypomineralisation or hypomineralised teeth, are a common dental condition that can. at higher levels of fluoride exposure, the white lines in the enamel become more and more defined and thicker. 2} the teeth are chalky white in appearance. 3} the lips are swollen, corroded and black. now, researchers from the. Chalky White Teeth Are Seen In Which Poisoning.
From www.pickettfamilydental.com
What Causes Chalky Teeth and What You Can Do About It Pickett Family Chalky White Teeth Are Seen In Which Poisoning 2} the teeth are chalky white in appearance. 3} the lips are swollen, corroded and black. at higher levels of fluoride exposure, the white lines in the enamel become more and more defined and thicker. chalky teeth, also known as dental hypomineralisation or hypomineralised teeth, are a common dental condition that can. in 2011, a us. Chalky White Teeth Are Seen In Which Poisoning.
From www.researchgate.net
(PDF) Amelogenesis imperfecta A case report Chalky White Teeth Are Seen In Which Poisoning 2} the teeth are chalky white in appearance. chalky teeth, also known as dental hypomineralisation or hypomineralised teeth, are a common dental condition that can. now, researchers from the d3 group (based at the university of melbourne, australia) and the university of talca in chile, have. in 2011, a us professor publicly dubbed mh as chalky. Chalky White Teeth Are Seen In Which Poisoning.
From www.kids-dentist.com.au
How to Treat Kids Teeth with Chalky Enamel Teeth, Brisbane Chalky White Teeth Are Seen In Which Poisoning 3} the lips are swollen, corroded and black. 2} the teeth are chalky white in appearance. in 2011, a us professor publicly dubbed mh as chalky teeth, and other chalk analogies were popularized during the 1970s. chalky teeth, also known as dental hypomineralisation or hypomineralised teeth, are a common dental condition that can. at higher levels. Chalky White Teeth Are Seen In Which Poisoning.
From www.pickettfamilydental.com
What Causes Chalky Teeth and What You Can Do About It Pickett Family Chalky White Teeth Are Seen In Which Poisoning 4} brown or black streaks may be found. in 2011, a us professor publicly dubbed mh as chalky teeth, and other chalk analogies were popularized during the 1970s. chalky teeth, also known as dental hypomineralisation or hypomineralised teeth, are a common dental condition that can. 3} the lips are swollen, corroded and black. at higher levels of. Chalky White Teeth Are Seen In Which Poisoning.