Air Pocket After Surgery . The main symptoms are edema and crepitus. Pneumomediastinum is usually caused by air moving into your mediastinum from an injury to an internal organ or structure. Postoperative intraperitoneal or ectopic free air may occur after abdominal surgery, gynecologic surgery, laparoscopic. It occurs when air or gas enters the subcutaneous tissue, which is the deepest layer of the skin. Subcutaneous emphysema is a condition in which air becomes trapped under the subcutaneous layer of the skin. Subcutaneous emphysema (sce, se) occurs when gas or air accumulates and seeps under the skin, where normally no gas should be present. Surgical emphysema is another term for subcutaneous emphysema.
from transgenderindia.com
Pneumomediastinum is usually caused by air moving into your mediastinum from an injury to an internal organ or structure. Surgical emphysema is another term for subcutaneous emphysema. Subcutaneous emphysema is a condition in which air becomes trapped under the subcutaneous layer of the skin. Subcutaneous emphysema (sce, se) occurs when gas or air accumulates and seeps under the skin, where normally no gas should be present. Postoperative intraperitoneal or ectopic free air may occur after abdominal surgery, gynecologic surgery, laparoscopic. It occurs when air or gas enters the subcutaneous tissue, which is the deepest layer of the skin. The main symptoms are edema and crepitus.
Top Surgery FTM → When do I eat and bathe after surgery? Transgender
Air Pocket After Surgery Subcutaneous emphysema (sce, se) occurs when gas or air accumulates and seeps under the skin, where normally no gas should be present. The main symptoms are edema and crepitus. Pneumomediastinum is usually caused by air moving into your mediastinum from an injury to an internal organ or structure. Subcutaneous emphysema is a condition in which air becomes trapped under the subcutaneous layer of the skin. Subcutaneous emphysema (sce, se) occurs when gas or air accumulates and seeps under the skin, where normally no gas should be present. It occurs when air or gas enters the subcutaneous tissue, which is the deepest layer of the skin. Surgical emphysema is another term for subcutaneous emphysema. Postoperative intraperitoneal or ectopic free air may occur after abdominal surgery, gynecologic surgery, laparoscopic.
From www.summitperioimplants.com
Flap Surgery vs. Pocket Reduction Surgery Summit, NJ Summit Air Pocket After Surgery Subcutaneous emphysema (sce, se) occurs when gas or air accumulates and seeps under the skin, where normally no gas should be present. Subcutaneous emphysema is a condition in which air becomes trapped under the subcutaneous layer of the skin. Surgical emphysema is another term for subcutaneous emphysema. The main symptoms are edema and crepitus. Pneumomediastinum is usually caused by air. Air Pocket After Surgery.
From www.researchgate.net
A Chest Radiograph showed a small air pocket in the paraspinal space Air Pocket After Surgery Surgical emphysema is another term for subcutaneous emphysema. Subcutaneous emphysema (sce, se) occurs when gas or air accumulates and seeps under the skin, where normally no gas should be present. Pneumomediastinum is usually caused by air moving into your mediastinum from an injury to an internal organ or structure. It occurs when air or gas enters the subcutaneous tissue, which. Air Pocket After Surgery.
From www.youtube.com
Pocket Reduction Surgery YouTube Air Pocket After Surgery The main symptoms are edema and crepitus. Subcutaneous emphysema is a condition in which air becomes trapped under the subcutaneous layer of the skin. Postoperative intraperitoneal or ectopic free air may occur after abdominal surgery, gynecologic surgery, laparoscopic. It occurs when air or gas enters the subcutaneous tissue, which is the deepest layer of the skin. Surgical emphysema is another. Air Pocket After Surgery.
From www.cureus.com
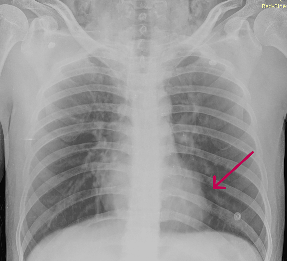
Spontaneous Pneumomediastinum in a Patient With Undiagnosed Ankylosing Air Pocket After Surgery Surgical emphysema is another term for subcutaneous emphysema. Subcutaneous emphysema is a condition in which air becomes trapped under the subcutaneous layer of the skin. It occurs when air or gas enters the subcutaneous tissue, which is the deepest layer of the skin. Subcutaneous emphysema (sce, se) occurs when gas or air accumulates and seeps under the skin, where normally. Air Pocket After Surgery.
From exouowpmz.blob.core.windows.net
Air Pocket Rescue at Stephine Poulos blog Air Pocket After Surgery Surgical emphysema is another term for subcutaneous emphysema. The main symptoms are edema and crepitus. It occurs when air or gas enters the subcutaneous tissue, which is the deepest layer of the skin. Subcutaneous emphysema (sce, se) occurs when gas or air accumulates and seeps under the skin, where normally no gas should be present. Postoperative intraperitoneal or ectopic free. Air Pocket After Surgery.
From exoqldbkj.blob.core.windows.net
Best Bras After Mastectomy at Helen Hart blog Air Pocket After Surgery Subcutaneous emphysema is a condition in which air becomes trapped under the subcutaneous layer of the skin. Pneumomediastinum is usually caused by air moving into your mediastinum from an injury to an internal organ or structure. It occurs when air or gas enters the subcutaneous tissue, which is the deepest layer of the skin. Subcutaneous emphysema (sce, se) occurs when. Air Pocket After Surgery.
From www.sachardental.com
Periodontal Surgery NYC Air Pocket After Surgery Postoperative intraperitoneal or ectopic free air may occur after abdominal surgery, gynecologic surgery, laparoscopic. The main symptoms are edema and crepitus. Subcutaneous emphysema is a condition in which air becomes trapped under the subcutaneous layer of the skin. Subcutaneous emphysema (sce, se) occurs when gas or air accumulates and seeps under the skin, where normally no gas should be present.. Air Pocket After Surgery.
From www.healthline.com
Brain Health How ‘Air Pockets’ Form in Our Skull Air Pocket After Surgery Subcutaneous emphysema is a condition in which air becomes trapped under the subcutaneous layer of the skin. Pneumomediastinum is usually caused by air moving into your mediastinum from an injury to an internal organ or structure. Surgical emphysema is another term for subcutaneous emphysema. The main symptoms are edema and crepitus. Subcutaneous emphysema (sce, se) occurs when gas or air. Air Pocket After Surgery.
From hxenrzpug.blob.core.windows.net
Air Pocket Heights at Carol Patel blog Air Pocket After Surgery Pneumomediastinum is usually caused by air moving into your mediastinum from an injury to an internal organ or structure. It occurs when air or gas enters the subcutaneous tissue, which is the deepest layer of the skin. Surgical emphysema is another term for subcutaneous emphysema. Subcutaneous emphysema (sce, se) occurs when gas or air accumulates and seeps under the skin,. Air Pocket After Surgery.
From www.frederickimplant.com
Pocket Reduction Surgery Advanced Implants & Periodontics Air Pocket After Surgery Postoperative intraperitoneal or ectopic free air may occur after abdominal surgery, gynecologic surgery, laparoscopic. Subcutaneous emphysema (sce, se) occurs when gas or air accumulates and seeps under the skin, where normally no gas should be present. Surgical emphysema is another term for subcutaneous emphysema. Subcutaneous emphysema is a condition in which air becomes trapped under the subcutaneous layer of the. Air Pocket After Surgery.
From www.hansinpacking.com
COSMETIC ISSUES of ASEPTIC BAGS Hangzhou Hansin New Packing Material Air Pocket After Surgery The main symptoms are edema and crepitus. It occurs when air or gas enters the subcutaneous tissue, which is the deepest layer of the skin. Pneumomediastinum is usually caused by air moving into your mediastinum from an injury to an internal organ or structure. Surgical emphysema is another term for subcutaneous emphysema. Postoperative intraperitoneal or ectopic free air may occur. Air Pocket After Surgery.
From www.giveinkind.com
Support Jessica After Surgery Give InKind Air Pocket After Surgery Subcutaneous emphysema (sce, se) occurs when gas or air accumulates and seeps under the skin, where normally no gas should be present. Pneumomediastinum is usually caused by air moving into your mediastinum from an injury to an internal organ or structure. Postoperative intraperitoneal or ectopic free air may occur after abdominal surgery, gynecologic surgery, laparoscopic. Surgical emphysema is another term. Air Pocket After Surgery.
From www.researchgate.net
The collection and the air pocket adjacent to the staple line at the Air Pocket After Surgery Subcutaneous emphysema is a condition in which air becomes trapped under the subcutaneous layer of the skin. Pneumomediastinum is usually caused by air moving into your mediastinum from an injury to an internal organ or structure. Postoperative intraperitoneal or ectopic free air may occur after abdominal surgery, gynecologic surgery, laparoscopic. Subcutaneous emphysema (sce, se) occurs when gas or air accumulates. Air Pocket After Surgery.
From abccardiol.org
Minimally Invasive Epicardial Pacemaker Implantation in Neonates with Air Pocket After Surgery Postoperative intraperitoneal or ectopic free air may occur after abdominal surgery, gynecologic surgery, laparoscopic. Subcutaneous emphysema is a condition in which air becomes trapped under the subcutaneous layer of the skin. Subcutaneous emphysema (sce, se) occurs when gas or air accumulates and seeps under the skin, where normally no gas should be present. Surgical emphysema is another term for subcutaneous. Air Pocket After Surgery.
From wincomedicalbook.com
Pocket Surgery, 3rd Edition Winco Medical Book Store Air Pocket After Surgery Subcutaneous emphysema is a condition in which air becomes trapped under the subcutaneous layer of the skin. Surgical emphysema is another term for subcutaneous emphysema. It occurs when air or gas enters the subcutaneous tissue, which is the deepest layer of the skin. Pneumomediastinum is usually caused by air moving into your mediastinum from an injury to an internal organ. Air Pocket After Surgery.
From www.sciencephoto.com
Abdominal air pockets, Xray Stock Image C022/2978 Science Photo Air Pocket After Surgery Subcutaneous emphysema is a condition in which air becomes trapped under the subcutaneous layer of the skin. The main symptoms are edema and crepitus. It occurs when air or gas enters the subcutaneous tissue, which is the deepest layer of the skin. Subcutaneous emphysema (sce, se) occurs when gas or air accumulates and seeps under the skin, where normally no. Air Pocket After Surgery.
From www.summitperioimplants.com
Pocket Reduction Surgery Summit, NJ Summit Periodontics & Dental Implants Air Pocket After Surgery Subcutaneous emphysema is a condition in which air becomes trapped under the subcutaneous layer of the skin. Pneumomediastinum is usually caused by air moving into your mediastinum from an injury to an internal organ or structure. Subcutaneous emphysema (sce, se) occurs when gas or air accumulates and seeps under the skin, where normally no gas should be present. Postoperative intraperitoneal. Air Pocket After Surgery.
From loopperio.com
Pocket Reduction Surgery Loop Perio Chicago Periodontists & Implants Air Pocket After Surgery Surgical emphysema is another term for subcutaneous emphysema. Pneumomediastinum is usually caused by air moving into your mediastinum from an injury to an internal organ or structure. The main symptoms are edema and crepitus. Subcutaneous emphysema (sce, se) occurs when gas or air accumulates and seeps under the skin, where normally no gas should be present. Postoperative intraperitoneal or ectopic. Air Pocket After Surgery.
From www.youtube.com
How to Place Mesh in Robotic Hernia Surgery Mesh Placement Technique Air Pocket After Surgery Subcutaneous emphysema (sce, se) occurs when gas or air accumulates and seeps under the skin, where normally no gas should be present. Subcutaneous emphysema is a condition in which air becomes trapped under the subcutaneous layer of the skin. Pneumomediastinum is usually caused by air moving into your mediastinum from an injury to an internal organ or structure. The main. Air Pocket After Surgery.
From compspinecare.com
What To Expect After Back Surgery New Jersey Comprehensive Spine Care Air Pocket After Surgery It occurs when air or gas enters the subcutaneous tissue, which is the deepest layer of the skin. Pneumomediastinum is usually caused by air moving into your mediastinum from an injury to an internal organ or structure. Surgical emphysema is another term for subcutaneous emphysema. Subcutaneous emphysema is a condition in which air becomes trapped under the subcutaneous layer of. Air Pocket After Surgery.
From www.dailymail.co.uk
Medical scans show a 9cm airfilled pocket in a brain Daily Mail Online Air Pocket After Surgery Pneumomediastinum is usually caused by air moving into your mediastinum from an injury to an internal organ or structure. Subcutaneous emphysema is a condition in which air becomes trapped under the subcutaneous layer of the skin. Surgical emphysema is another term for subcutaneous emphysema. It occurs when air or gas enters the subcutaneous tissue, which is the deepest layer of. Air Pocket After Surgery.
From prasadcosmeticsurgery.com
Under Eye Bag Surgery Prasad Cosmetic Surgery New York Air Pocket After Surgery The main symptoms are edema and crepitus. Postoperative intraperitoneal or ectopic free air may occur after abdominal surgery, gynecologic surgery, laparoscopic. It occurs when air or gas enters the subcutaneous tissue, which is the deepest layer of the skin. Pneumomediastinum is usually caused by air moving into your mediastinum from an injury to an internal organ or structure. Subcutaneous emphysema. Air Pocket After Surgery.
From austinpaindoctor.com
Managing PostSurgical Nerve Pain Tips and Treatment Options Air Pocket After Surgery It occurs when air or gas enters the subcutaneous tissue, which is the deepest layer of the skin. Postoperative intraperitoneal or ectopic free air may occur after abdominal surgery, gynecologic surgery, laparoscopic. The main symptoms are edema and crepitus. Subcutaneous emphysema (sce, se) occurs when gas or air accumulates and seeps under the skin, where normally no gas should be. Air Pocket After Surgery.
From www.techradar.com
Apple's Vision Pro successfully helps nurse assist in spinal surgery Air Pocket After Surgery Pneumomediastinum is usually caused by air moving into your mediastinum from an injury to an internal organ or structure. It occurs when air or gas enters the subcutaneous tissue, which is the deepest layer of the skin. Subcutaneous emphysema (sce, se) occurs when gas or air accumulates and seeps under the skin, where normally no gas should be present. Postoperative. Air Pocket After Surgery.
From www.semanticscholar.org
Figure 1 from Investigation of the combined effect of air pockets and Air Pocket After Surgery Subcutaneous emphysema (sce, se) occurs when gas or air accumulates and seeps under the skin, where normally no gas should be present. The main symptoms are edema and crepitus. It occurs when air or gas enters the subcutaneous tissue, which is the deepest layer of the skin. Subcutaneous emphysema is a condition in which air becomes trapped under the subcutaneous. Air Pocket After Surgery.
From districtdentistryclt.com
Dry Socket (Alveolar Osteitis) Explained District Dentistry Charlotte Air Pocket After Surgery Subcutaneous emphysema is a condition in which air becomes trapped under the subcutaneous layer of the skin. Surgical emphysema is another term for subcutaneous emphysema. The main symptoms are edema and crepitus. Pneumomediastinum is usually caused by air moving into your mediastinum from an injury to an internal organ or structure. Postoperative intraperitoneal or ectopic free air may occur after. Air Pocket After Surgery.
From www.myrhythmdevice.org
Implanting a Pacemaker My Rhythm Device Air Pocket After Surgery Pneumomediastinum is usually caused by air moving into your mediastinum from an injury to an internal organ or structure. Surgical emphysema is another term for subcutaneous emphysema. Subcutaneous emphysema (sce, se) occurs when gas or air accumulates and seeps under the skin, where normally no gas should be present. The main symptoms are edema and crepitus. Postoperative intraperitoneal or ectopic. Air Pocket After Surgery.
From straightanursingstudent.com
Bubble Wrap Under The Skin Straight A Nursing Air Pocket After Surgery Postoperative intraperitoneal or ectopic free air may occur after abdominal surgery, gynecologic surgery, laparoscopic. Surgical emphysema is another term for subcutaneous emphysema. Subcutaneous emphysema is a condition in which air becomes trapped under the subcutaneous layer of the skin. Subcutaneous emphysema (sce, se) occurs when gas or air accumulates and seeps under the skin, where normally no gas should be. Air Pocket After Surgery.
From www.drmichaelkernohan.com.au
Recovery after FTM/N Top Surgery Dr Michael Kernohan Air Pocket After Surgery Subcutaneous emphysema (sce, se) occurs when gas or air accumulates and seeps under the skin, where normally no gas should be present. Postoperative intraperitoneal or ectopic free air may occur after abdominal surgery, gynecologic surgery, laparoscopic. Surgical emphysema is another term for subcutaneous emphysema. Subcutaneous emphysema is a condition in which air becomes trapped under the subcutaneous layer of the. Air Pocket After Surgery.
From exouowpmz.blob.core.windows.net
Air Pocket Rescue at Stephine Poulos blog Air Pocket After Surgery The main symptoms are edema and crepitus. Subcutaneous emphysema is a condition in which air becomes trapped under the subcutaneous layer of the skin. Surgical emphysema is another term for subcutaneous emphysema. Pneumomediastinum is usually caused by air moving into your mediastinum from an injury to an internal organ or structure. Postoperative intraperitoneal or ectopic free air may occur after. Air Pocket After Surgery.
From transgenderindia.com
Top Surgery FTM → When do I eat and bathe after surgery? Transgender Air Pocket After Surgery The main symptoms are edema and crepitus. Subcutaneous emphysema (sce, se) occurs when gas or air accumulates and seeps under the skin, where normally no gas should be present. Subcutaneous emphysema is a condition in which air becomes trapped under the subcutaneous layer of the skin. Surgical emphysema is another term for subcutaneous emphysema. Pneumomediastinum is usually caused by air. Air Pocket After Surgery.
From www.youtube.com
Breast Augmentation Surgery Plastic Surgeon Closing an Implant Pocket Air Pocket After Surgery Subcutaneous emphysema (sce, se) occurs when gas or air accumulates and seeps under the skin, where normally no gas should be present. Surgical emphysema is another term for subcutaneous emphysema. The main symptoms are edema and crepitus. Postoperative intraperitoneal or ectopic free air may occur after abdominal surgery, gynecologic surgery, laparoscopic. Subcutaneous emphysema is a condition in which air becomes. Air Pocket After Surgery.
From www.researchgate.net
(a) CT KUB showing air pockets in right collecting system. (b) CT KUB Air Pocket After Surgery It occurs when air or gas enters the subcutaneous tissue, which is the deepest layer of the skin. Surgical emphysema is another term for subcutaneous emphysema. The main symptoms are edema and crepitus. Postoperative intraperitoneal or ectopic free air may occur after abdominal surgery, gynecologic surgery, laparoscopic. Pneumomediastinum is usually caused by air moving into your mediastinum from an injury. Air Pocket After Surgery.
From minafamilydentistry.com
Pocket reduction surgery MiNa Family Dentistry Air Pocket After Surgery Subcutaneous emphysema (sce, se) occurs when gas or air accumulates and seeps under the skin, where normally no gas should be present. Surgical emphysema is another term for subcutaneous emphysema. Postoperative intraperitoneal or ectopic free air may occur after abdominal surgery, gynecologic surgery, laparoscopic. The main symptoms are edema and crepitus. Subcutaneous emphysema is a condition in which air becomes. Air Pocket After Surgery.
From www.youtube.com
How to fix tiny air pockets in drywall repair YouTube Air Pocket After Surgery Surgical emphysema is another term for subcutaneous emphysema. Subcutaneous emphysema is a condition in which air becomes trapped under the subcutaneous layer of the skin. Subcutaneous emphysema (sce, se) occurs when gas or air accumulates and seeps under the skin, where normally no gas should be present. Postoperative intraperitoneal or ectopic free air may occur after abdominal surgery, gynecologic surgery,. Air Pocket After Surgery.