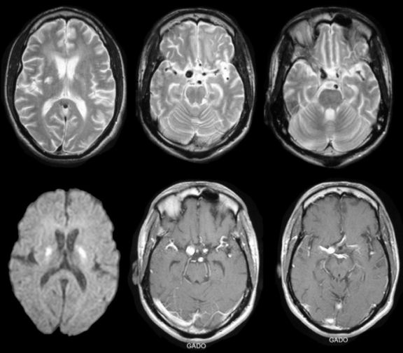
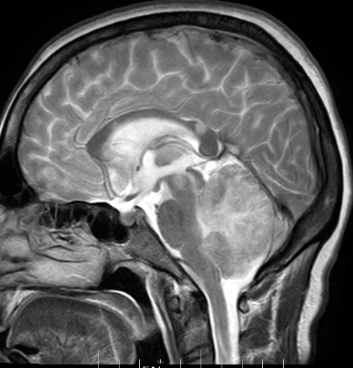
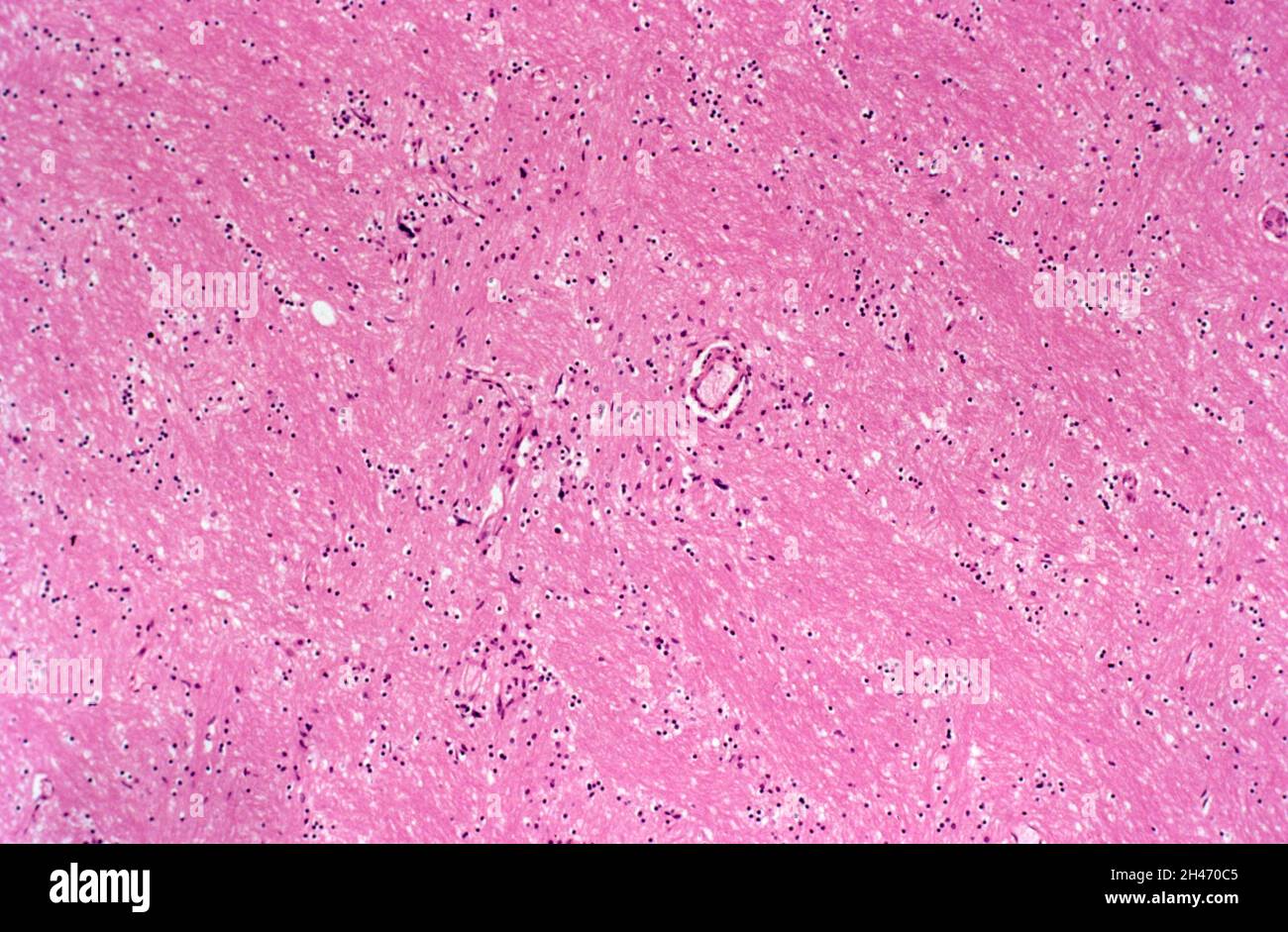
Hiv Brain Mass . Infection with hiv can affect both the peripheral and central nervous systems (cns) in their entirety as well as muscles. With the advancement and greater availability of art, cns. Multimodal brain mri and mri spectroscopy (mrs) often provide the most. Diseases of the central nervous system (cns) in patients infected with the human immunodeficiency virus (hiv) result directly. The differential diagnosis of brain disorders underlying suspected “hiv mania” includes substance use (especially stimulants), alcohol. We are presenting a case of diagnostic challenge in a patient with symptomatic multiple brain masses.
from www.ejradiology.com
Diseases of the central nervous system (cns) in patients infected with the human immunodeficiency virus (hiv) result directly. We are presenting a case of diagnostic challenge in a patient with symptomatic multiple brain masses. Multimodal brain mri and mri spectroscopy (mrs) often provide the most. With the advancement and greater availability of art, cns. The differential diagnosis of brain disorders underlying suspected “hiv mania” includes substance use (especially stimulants), alcohol. Infection with hiv can affect both the peripheral and central nervous systems (cns) in their entirety as well as muscles.
CT and MR findings in HIVnegative neurosyphilis European Journal of
Hiv Brain Mass Diseases of the central nervous system (cns) in patients infected with the human immunodeficiency virus (hiv) result directly. The differential diagnosis of brain disorders underlying suspected “hiv mania” includes substance use (especially stimulants), alcohol. Infection with hiv can affect both the peripheral and central nervous systems (cns) in their entirety as well as muscles. With the advancement and greater availability of art, cns. We are presenting a case of diagnostic challenge in a patient with symptomatic multiple brain masses. Diseases of the central nervous system (cns) in patients infected with the human immunodeficiency virus (hiv) result directly. Multimodal brain mri and mri spectroscopy (mrs) often provide the most.
From www.bigstockphoto.com
Ct Scan Brain Hiv Image & Photo (Free Trial) Bigstock Hiv Brain Mass Multimodal brain mri and mri spectroscopy (mrs) often provide the most. With the advancement and greater availability of art, cns. Infection with hiv can affect both the peripheral and central nervous systems (cns) in their entirety as well as muscles. The differential diagnosis of brain disorders underlying suspected “hiv mania” includes substance use (especially stimulants), alcohol. We are presenting a. Hiv Brain Mass.
From www.researchgate.net
Brain mass lesions in HIVinfected patients by enhancedMRI Hiv Brain Mass We are presenting a case of diagnostic challenge in a patient with symptomatic multiple brain masses. Infection with hiv can affect both the peripheral and central nervous systems (cns) in their entirety as well as muscles. Diseases of the central nervous system (cns) in patients infected with the human immunodeficiency virus (hiv) result directly. Multimodal brain mri and mri spectroscopy. Hiv Brain Mass.
From www.bmj.com
Cerebral mass in HIV infection The BMJ Hiv Brain Mass The differential diagnosis of brain disorders underlying suspected “hiv mania” includes substance use (especially stimulants), alcohol. With the advancement and greater availability of art, cns. Infection with hiv can affect both the peripheral and central nervous systems (cns) in their entirety as well as muscles. Diseases of the central nervous system (cns) in patients infected with the human immunodeficiency virus. Hiv Brain Mass.
From www.bmj.com
Cerebral mass in HIV infection The BMJ Hiv Brain Mass Multimodal brain mri and mri spectroscopy (mrs) often provide the most. Infection with hiv can affect both the peripheral and central nervous systems (cns) in their entirety as well as muscles. We are presenting a case of diagnostic challenge in a patient with symptomatic multiple brain masses. The differential diagnosis of brain disorders underlying suspected “hiv mania” includes substance use. Hiv Brain Mass.
From www.bmj.com
Cerebral mass in HIV infection The BMJ Hiv Brain Mass With the advancement and greater availability of art, cns. Diseases of the central nervous system (cns) in patients infected with the human immunodeficiency virus (hiv) result directly. Multimodal brain mri and mri spectroscopy (mrs) often provide the most. We are presenting a case of diagnostic challenge in a patient with symptomatic multiple brain masses. Infection with hiv can affect both. Hiv Brain Mass.
From www.bmj.com
Cerebral mass in HIV infection The BMJ Hiv Brain Mass Infection with hiv can affect both the peripheral and central nervous systems (cns) in their entirety as well as muscles. Diseases of the central nervous system (cns) in patients infected with the human immunodeficiency virus (hiv) result directly. Multimodal brain mri and mri spectroscopy (mrs) often provide the most. The differential diagnosis of brain disorders underlying suspected “hiv mania” includes. Hiv Brain Mass.
From casereports.bmj.com
Toxoplasmosis and tuberculosis brain lesions in HIV/AIDS Hiv Brain Mass We are presenting a case of diagnostic challenge in a patient with symptomatic multiple brain masses. With the advancement and greater availability of art, cns. Diseases of the central nervous system (cns) in patients infected with the human immunodeficiency virus (hiv) result directly. Infection with hiv can affect both the peripheral and central nervous systems (cns) in their entirety as. Hiv Brain Mass.
From www.bmj.com
Cerebral mass in HIV infection The BMJ Hiv Brain Mass Infection with hiv can affect both the peripheral and central nervous systems (cns) in their entirety as well as muscles. We are presenting a case of diagnostic challenge in a patient with symptomatic multiple brain masses. The differential diagnosis of brain disorders underlying suspected “hiv mania” includes substance use (especially stimulants), alcohol. Diseases of the central nervous system (cns) in. Hiv Brain Mass.
From case.edu
HIV Angitis 1 Hiv Brain Mass Infection with hiv can affect both the peripheral and central nervous systems (cns) in their entirety as well as muscles. With the advancement and greater availability of art, cns. Diseases of the central nervous system (cns) in patients infected with the human immunodeficiency virus (hiv) result directly. Multimodal brain mri and mri spectroscopy (mrs) often provide the most. We are. Hiv Brain Mass.
From wellcomecollection.org
Brain HIV encephalopathy Collection Hiv Brain Mass Multimodal brain mri and mri spectroscopy (mrs) often provide the most. Infection with hiv can affect both the peripheral and central nervous systems (cns) in their entirety as well as muscles. The differential diagnosis of brain disorders underlying suspected “hiv mania” includes substance use (especially stimulants), alcohol. With the advancement and greater availability of art, cns. Diseases of the central. Hiv Brain Mass.
From www.indianradiology.com
HIV EncephalopathyMRI Sumer's Radiology Blog Hiv Brain Mass The differential diagnosis of brain disorders underlying suspected “hiv mania” includes substance use (especially stimulants), alcohol. With the advancement and greater availability of art, cns. Multimodal brain mri and mri spectroscopy (mrs) often provide the most. We are presenting a case of diagnostic challenge in a patient with symptomatic multiple brain masses. Infection with hiv can affect both the peripheral. Hiv Brain Mass.
From litfl.com
HIV brain mass • LITFL • Neurological MindBoggler Hiv Brain Mass Multimodal brain mri and mri spectroscopy (mrs) often provide the most. Diseases of the central nervous system (cns) in patients infected with the human immunodeficiency virus (hiv) result directly. We are presenting a case of diagnostic challenge in a patient with symptomatic multiple brain masses. The differential diagnosis of brain disorders underlying suspected “hiv mania” includes substance use (especially stimulants),. Hiv Brain Mass.
From www.semanticscholar.org
Figure 1 from Concentric and Eccentric Target MRI Signs in a Case of Hiv Brain Mass Diseases of the central nervous system (cns) in patients infected with the human immunodeficiency virus (hiv) result directly. The differential diagnosis of brain disorders underlying suspected “hiv mania” includes substance use (especially stimulants), alcohol. We are presenting a case of diagnostic challenge in a patient with symptomatic multiple brain masses. Multimodal brain mri and mri spectroscopy (mrs) often provide the. Hiv Brain Mass.
From casereports.bmj.com
Multiple ring enhancing lesions in brain MRI of a patient with AIDS Hiv Brain Mass Infection with hiv can affect both the peripheral and central nervous systems (cns) in their entirety as well as muscles. Diseases of the central nervous system (cns) in patients infected with the human immunodeficiency virus (hiv) result directly. Multimodal brain mri and mri spectroscopy (mrs) often provide the most. The differential diagnosis of brain disorders underlying suspected “hiv mania” includes. Hiv Brain Mass.
From www.alamy.com
Brain HIV encephalopathy Stock Photo Alamy Hiv Brain Mass Multimodal brain mri and mri spectroscopy (mrs) often provide the most. We are presenting a case of diagnostic challenge in a patient with symptomatic multiple brain masses. Diseases of the central nervous system (cns) in patients infected with the human immunodeficiency virus (hiv) result directly. With the advancement and greater availability of art, cns. Infection with hiv can affect both. Hiv Brain Mass.
From casereports.bmj.com
Ring enhancing brain lesions in a patient with Acquired Hiv Brain Mass We are presenting a case of diagnostic challenge in a patient with symptomatic multiple brain masses. With the advancement and greater availability of art, cns. Infection with hiv can affect both the peripheral and central nervous systems (cns) in their entirety as well as muscles. Multimodal brain mri and mri spectroscopy (mrs) often provide the most. The differential diagnosis of. Hiv Brain Mass.
From pn.bmj.com
Neurosyphilis in patients with HIV Practical Neurology Hiv Brain Mass With the advancement and greater availability of art, cns. The differential diagnosis of brain disorders underlying suspected “hiv mania” includes substance use (especially stimulants), alcohol. Multimodal brain mri and mri spectroscopy (mrs) often provide the most. Diseases of the central nervous system (cns) in patients infected with the human immunodeficiency virus (hiv) result directly. We are presenting a case of. Hiv Brain Mass.
From www.ejradiology.com
CT and MR findings in HIVnegative neurosyphilis European Journal of Hiv Brain Mass Infection with hiv can affect both the peripheral and central nervous systems (cns) in their entirety as well as muscles. The differential diagnosis of brain disorders underlying suspected “hiv mania” includes substance use (especially stimulants), alcohol. Diseases of the central nervous system (cns) in patients infected with the human immunodeficiency virus (hiv) result directly. With the advancement and greater availability. Hiv Brain Mass.
From litfl.com
HIV brain mass • LITFL • Neurological MindBoggler Hiv Brain Mass The differential diagnosis of brain disorders underlying suspected “hiv mania” includes substance use (especially stimulants), alcohol. Multimodal brain mri and mri spectroscopy (mrs) often provide the most. With the advancement and greater availability of art, cns. Infection with hiv can affect both the peripheral and central nervous systems (cns) in their entirety as well as muscles. Diseases of the central. Hiv Brain Mass.
From www.researchgate.net
(PDF) MRI imaging features of HIVrelated central nervous system Hiv Brain Mass Multimodal brain mri and mri spectroscopy (mrs) often provide the most. The differential diagnosis of brain disorders underlying suspected “hiv mania” includes substance use (especially stimulants), alcohol. We are presenting a case of diagnostic challenge in a patient with symptomatic multiple brain masses. Infection with hiv can affect both the peripheral and central nervous systems (cns) in their entirety as. Hiv Brain Mass.
From www.sciencephoto.com
HIV Encephalitis on MRI Stock Image C043/5615 Science Photo Library Hiv Brain Mass Diseases of the central nervous system (cns) in patients infected with the human immunodeficiency virus (hiv) result directly. Infection with hiv can affect both the peripheral and central nervous systems (cns) in their entirety as well as muscles. We are presenting a case of diagnostic challenge in a patient with symptomatic multiple brain masses. With the advancement and greater availability. Hiv Brain Mass.
From www.sciencephoto.com
Cerebral Lesions in AIDS Patient Stock Image M112/0398 Science Hiv Brain Mass We are presenting a case of diagnostic challenge in a patient with symptomatic multiple brain masses. With the advancement and greater availability of art, cns. The differential diagnosis of brain disorders underlying suspected “hiv mania” includes substance use (especially stimulants), alcohol. Infection with hiv can affect both the peripheral and central nervous systems (cns) in their entirety as well as. Hiv Brain Mass.
From www.bmj.com
Cerebral mass in HIV infection The BMJ Hiv Brain Mass Infection with hiv can affect both the peripheral and central nervous systems (cns) in their entirety as well as muscles. Multimodal brain mri and mri spectroscopy (mrs) often provide the most. The differential diagnosis of brain disorders underlying suspected “hiv mania” includes substance use (especially stimulants), alcohol. With the advancement and greater availability of art, cns. Diseases of the central. Hiv Brain Mass.
From link.springer.com
Historical and current issues in HIV encephalitis, and the role of Hiv Brain Mass The differential diagnosis of brain disorders underlying suspected “hiv mania” includes substance use (especially stimulants), alcohol. With the advancement and greater availability of art, cns. Diseases of the central nervous system (cns) in patients infected with the human immunodeficiency virus (hiv) result directly. Multimodal brain mri and mri spectroscopy (mrs) often provide the most. Infection with hiv can affect both. Hiv Brain Mass.
From www.researchgate.net
HIVinduced cerebral injury. Notes (A) Volume loss. HIVinfected Hiv Brain Mass The differential diagnosis of brain disorders underlying suspected “hiv mania” includes substance use (especially stimulants), alcohol. With the advancement and greater availability of art, cns. Infection with hiv can affect both the peripheral and central nervous systems (cns) in their entirety as well as muscles. Multimodal brain mri and mri spectroscopy (mrs) often provide the most. We are presenting a. Hiv Brain Mass.
From www.researchgate.net
Cerebral toxoplasmosis. A 32yearold man with known HIV infection and Hiv Brain Mass Multimodal brain mri and mri spectroscopy (mrs) often provide the most. Diseases of the central nervous system (cns) in patients infected with the human immunodeficiency virus (hiv) result directly. With the advancement and greater availability of art, cns. Infection with hiv can affect both the peripheral and central nervous systems (cns) in their entirety as well as muscles. We are. Hiv Brain Mass.
From pn.bmj.com
Neurosyphilis in patients with HIV Practical Neurology Hiv Brain Mass The differential diagnosis of brain disorders underlying suspected “hiv mania” includes substance use (especially stimulants), alcohol. Multimodal brain mri and mri spectroscopy (mrs) often provide the most. Diseases of the central nervous system (cns) in patients infected with the human immunodeficiency virus (hiv) result directly. Infection with hiv can affect both the peripheral and central nervous systems (cns) in their. Hiv Brain Mass.
From radiologykey.com
Neuroimaging in the Brain in HIV1Infected Patients Radiology Key Hiv Brain Mass Diseases of the central nervous system (cns) in patients infected with the human immunodeficiency virus (hiv) result directly. We are presenting a case of diagnostic challenge in a patient with symptomatic multiple brain masses. Infection with hiv can affect both the peripheral and central nervous systems (cns) in their entirety as well as muscles. With the advancement and greater availability. Hiv Brain Mass.
From journals.sagepub.com
Disseminated Cryptococcal Infection in HIVInfected Patients A Hiv Brain Mass Infection with hiv can affect both the peripheral and central nervous systems (cns) in their entirety as well as muscles. We are presenting a case of diagnostic challenge in a patient with symptomatic multiple brain masses. The differential diagnosis of brain disorders underlying suspected “hiv mania” includes substance use (especially stimulants), alcohol. Diseases of the central nervous system (cns) in. Hiv Brain Mass.
From www.researchgate.net
(PDF) Diagnostic value of realtime PCR of brain mass lesion in HIV Hiv Brain Mass We are presenting a case of diagnostic challenge in a patient with symptomatic multiple brain masses. With the advancement and greater availability of art, cns. Infection with hiv can affect both the peripheral and central nervous systems (cns) in their entirety as well as muscles. Diseases of the central nervous system (cns) in patients infected with the human immunodeficiency virus. Hiv Brain Mass.
From www.researchgate.net
HIV encephalopathy in a 3yearold girl with HIV and on antiretroviral Hiv Brain Mass The differential diagnosis of brain disorders underlying suspected “hiv mania” includes substance use (especially stimulants), alcohol. Multimodal brain mri and mri spectroscopy (mrs) often provide the most. We are presenting a case of diagnostic challenge in a patient with symptomatic multiple brain masses. Infection with hiv can affect both the peripheral and central nervous systems (cns) in their entirety as. Hiv Brain Mass.
From www.thelancet.com
AIDSrelated primary CNS lymphoma The Lancet Hiv Brain Mass The differential diagnosis of brain disorders underlying suspected “hiv mania” includes substance use (especially stimulants), alcohol. With the advancement and greater availability of art, cns. Multimodal brain mri and mri spectroscopy (mrs) often provide the most. Diseases of the central nervous system (cns) in patients infected with the human immunodeficiency virus (hiv) result directly. We are presenting a case of. Hiv Brain Mass.
From radiologykey.com
Neuroimaging in the Brain in HIV1Infected Patients Radiology Key Hiv Brain Mass Multimodal brain mri and mri spectroscopy (mrs) often provide the most. We are presenting a case of diagnostic challenge in a patient with symptomatic multiple brain masses. Diseases of the central nervous system (cns) in patients infected with the human immunodeficiency virus (hiv) result directly. Infection with hiv can affect both the peripheral and central nervous systems (cns) in their. Hiv Brain Mass.
From www.medicinejournal.co.uk
Important opportunistic infections in HIV Medicine Hiv Brain Mass Infection with hiv can affect both the peripheral and central nervous systems (cns) in their entirety as well as muscles. We are presenting a case of diagnostic challenge in a patient with symptomatic multiple brain masses. Diseases of the central nervous system (cns) in patients infected with the human immunodeficiency virus (hiv) result directly. With the advancement and greater availability. Hiv Brain Mass.
From radiologymri.blogspot.com
Radiology MRI PML in HIV Cerebellum Hiv Brain Mass Infection with hiv can affect both the peripheral and central nervous systems (cns) in their entirety as well as muscles. We are presenting a case of diagnostic challenge in a patient with symptomatic multiple brain masses. Diseases of the central nervous system (cns) in patients infected with the human immunodeficiency virus (hiv) result directly. With the advancement and greater availability. Hiv Brain Mass.