How Does A Temporary Tooth Work . a temporary tooth is used to fill in space for a missing tooth or to temporarily cover the. a flipper tooth can fill in the gaps left behind by back or front teeth that have gone missing and restore a person’s smile. a flipper tooth is a type of placeholder restoration that’s used to replace a missing tooth (or teeth). a tooth flipper is technically a removable partial denture. a temporary dental crown is designed for temporary use, which, in normal cases, is 2 to 3 weeks. also called flippers, flipper teeth are lightweight, removable dentures that usually serve as a temporary tooth replacement option. Many dentists will use a flipper tooth as a temporary replacement for your. Usually, it is considered a temporary. you need to have an immediate tooth on each side of the missing tooth for our construction technique to work properly.
from www.lazada.com.ph
a flipper tooth can fill in the gaps left behind by back or front teeth that have gone missing and restore a person’s smile. a temporary dental crown is designed for temporary use, which, in normal cases, is 2 to 3 weeks. a flipper tooth is a type of placeholder restoration that’s used to replace a missing tooth (or teeth). a tooth flipper is technically a removable partial denture. a temporary tooth is used to fill in space for a missing tooth or to temporarily cover the. Many dentists will use a flipper tooth as a temporary replacement for your. also called flippers, flipper teeth are lightweight, removable dentures that usually serve as a temporary tooth replacement option. Usually, it is considered a temporary. you need to have an immediate tooth on each side of the missing tooth for our construction technique to work properly.
Eelhoe Temporary Tooth Repair Kit Filling And Gaps False Solid Glue
How Does A Temporary Tooth Work a temporary dental crown is designed for temporary use, which, in normal cases, is 2 to 3 weeks. a tooth flipper is technically a removable partial denture. a flipper tooth can fill in the gaps left behind by back or front teeth that have gone missing and restore a person’s smile. Many dentists will use a flipper tooth as a temporary replacement for your. you need to have an immediate tooth on each side of the missing tooth for our construction technique to work properly. Usually, it is considered a temporary. a temporary tooth is used to fill in space for a missing tooth or to temporarily cover the. a flipper tooth is a type of placeholder restoration that’s used to replace a missing tooth (or teeth). also called flippers, flipper teeth are lightweight, removable dentures that usually serve as a temporary tooth replacement option. a temporary dental crown is designed for temporary use, which, in normal cases, is 2 to 3 weeks.
From www.youtube.com
DIY Kit Gives You Temporary Tooth Gems YouTube How Does A Temporary Tooth Work you need to have an immediate tooth on each side of the missing tooth for our construction technique to work properly. Many dentists will use a flipper tooth as a temporary replacement for your. a temporary tooth is used to fill in space for a missing tooth or to temporarily cover the. a flipper tooth is a. How Does A Temporary Tooth Work.
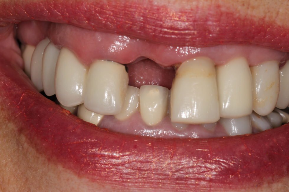
From www.dentalimplantsbromley.co.uk
Replace A Single Tooth All Smiles Dental Implants Centre How Does A Temporary Tooth Work a flipper tooth can fill in the gaps left behind by back or front teeth that have gone missing and restore a person’s smile. a temporary tooth is used to fill in space for a missing tooth or to temporarily cover the. also called flippers, flipper teeth are lightweight, removable dentures that usually serve as a temporary. How Does A Temporary Tooth Work.
From www.lazada.com.ph
Eelhoe Temporary Tooth Repair Kit Filling And Gaps False Solid Glue How Does A Temporary Tooth Work a flipper tooth is a type of placeholder restoration that’s used to replace a missing tooth (or teeth). also called flippers, flipper teeth are lightweight, removable dentures that usually serve as a temporary tooth replacement option. a temporary tooth is used to fill in space for a missing tooth or to temporarily cover the. you need. How Does A Temporary Tooth Work.
From www.gosupps.com
Three Temporary Tooth Repair Kits Thermal bonding Accessories Beads How Does A Temporary Tooth Work a flipper tooth can fill in the gaps left behind by back or front teeth that have gone missing and restore a person’s smile. Usually, it is considered a temporary. a temporary dental crown is designed for temporary use, which, in normal cases, is 2 to 3 weeks. you need to have an immediate tooth on each. How Does A Temporary Tooth Work.
From informacionpublica.svet.gob.gt
What's The Best Temporary Crown Cement And Method To How Does A Temporary Tooth Work Usually, it is considered a temporary. Many dentists will use a flipper tooth as a temporary replacement for your. a temporary dental crown is designed for temporary use, which, in normal cases, is 2 to 3 weeks. a tooth flipper is technically a removable partial denture. a flipper tooth is a type of placeholder restoration that’s used. How Does A Temporary Tooth Work.
From smilefixer.com
Dental Crowns Dental Esthetics Center How Does A Temporary Tooth Work Many dentists will use a flipper tooth as a temporary replacement for your. you need to have an immediate tooth on each side of the missing tooth for our construction technique to work properly. a tooth flipper is technically a removable partial denture. Usually, it is considered a temporary. a temporary dental crown is designed for temporary. How Does A Temporary Tooth Work.
From machinefixplaygirl.z1.web.core.windows.net
Temp Tooth Crown Repair Kits How Does A Temporary Tooth Work a temporary dental crown is designed for temporary use, which, in normal cases, is 2 to 3 weeks. a flipper tooth is a type of placeholder restoration that’s used to replace a missing tooth (or teeth). a tooth flipper is technically a removable partial denture. a temporary tooth is used to fill in space for a. How Does A Temporary Tooth Work.
From ludhianadentalcentre.com
What are the benefits and types of undergoing temporary tooth bridges? How Does A Temporary Tooth Work also called flippers, flipper teeth are lightweight, removable dentures that usually serve as a temporary tooth replacement option. you need to have an immediate tooth on each side of the missing tooth for our construction technique to work properly. a temporary tooth is used to fill in space for a missing tooth or to temporarily cover the.. How Does A Temporary Tooth Work.
From www.lazada.com.ph
1 Temporary Tooth Repair Kit False Teeth Solid Glue Denture For Missing How Does A Temporary Tooth Work a flipper tooth can fill in the gaps left behind by back or front teeth that have gone missing and restore a person’s smile. also called flippers, flipper teeth are lightweight, removable dentures that usually serve as a temporary tooth replacement option. Usually, it is considered a temporary. a tooth flipper is technically a removable partial denture.. How Does A Temporary Tooth Work.
From www.gosupps.com
DIY Tooth Filling Thermal Beads Temporary Moldable False Teeth Kit (2 How Does A Temporary Tooth Work a temporary tooth is used to fill in space for a missing tooth or to temporarily cover the. a tooth flipper is technically a removable partial denture. a flipper tooth is a type of placeholder restoration that’s used to replace a missing tooth (or teeth). Many dentists will use a flipper tooth as a temporary replacement for. How Does A Temporary Tooth Work.
From exyoeiqgn.blob.core.windows.net
How Much Does A Crown Cost For Your Teeth at Jennifer Melvin blog How Does A Temporary Tooth Work Usually, it is considered a temporary. a flipper tooth is a type of placeholder restoration that’s used to replace a missing tooth (or teeth). a flipper tooth can fill in the gaps left behind by back or front teeth that have gone missing and restore a person’s smile. Many dentists will use a flipper tooth as a temporary. How Does A Temporary Tooth Work.
From www.amazon.in
How To Make Easy Temporary Tooth Temptooth Temporary Tooth Replacement How Does A Temporary Tooth Work a temporary dental crown is designed for temporary use, which, in normal cases, is 2 to 3 weeks. a temporary tooth is used to fill in space for a missing tooth or to temporarily cover the. a flipper tooth is a type of placeholder restoration that’s used to replace a missing tooth (or teeth). Many dentists will. How Does A Temporary Tooth Work.
From willowpassdentalcare.com
How Do Cavity Fillings Work? Willow Pass Dental Care How Does A Temporary Tooth Work a temporary tooth is used to fill in space for a missing tooth or to temporarily cover the. Many dentists will use a flipper tooth as a temporary replacement for your. you need to have an immediate tooth on each side of the missing tooth for our construction technique to work properly. a flipper tooth is a. How Does A Temporary Tooth Work.
From www.dentistsndoctors.com.au
What is a Dental crown? Dentists and Doctors How Does A Temporary Tooth Work a flipper tooth can fill in the gaps left behind by back or front teeth that have gone missing and restore a person’s smile. Usually, it is considered a temporary. a temporary dental crown is designed for temporary use, which, in normal cases, is 2 to 3 weeks. you need to have an immediate tooth on each. How Does A Temporary Tooth Work.
From ksmiledentalcare.com
Dental Crowns Everything you need to know K Smile Dental Care How Does A Temporary Tooth Work a flipper tooth is a type of placeholder restoration that’s used to replace a missing tooth (or teeth). a temporary tooth is used to fill in space for a missing tooth or to temporarily cover the. you need to have an immediate tooth on each side of the missing tooth for our construction technique to work properly.. How Does A Temporary Tooth Work.
From www.osgadental.com
Dental Crown Brazoria, TX Osga Dental Dr. Adam Osga Dentist How Does A Temporary Tooth Work a temporary dental crown is designed for temporary use, which, in normal cases, is 2 to 3 weeks. you need to have an immediate tooth on each side of the missing tooth for our construction technique to work properly. a flipper tooth can fill in the gaps left behind by back or front teeth that have gone. How Does A Temporary Tooth Work.
From www.lighthousedentalcentre.com
How Long Does A Temporary Filling Last? How Does A Temporary Tooth Work Usually, it is considered a temporary. a tooth flipper is technically a removable partial denture. also called flippers, flipper teeth are lightweight, removable dentures that usually serve as a temporary tooth replacement option. Many dentists will use a flipper tooth as a temporary replacement for your. a temporary dental crown is designed for temporary use, which, in. How Does A Temporary Tooth Work.
From www.walmart.com
EZ Tooth Natural Shade Preformed Temporary Tooth Patent Pending No How Does A Temporary Tooth Work you need to have an immediate tooth on each side of the missing tooth for our construction technique to work properly. a tooth flipper is technically a removable partial denture. a temporary dental crown is designed for temporary use, which, in normal cases, is 2 to 3 weeks. a flipper tooth can fill in the gaps. How Does A Temporary Tooth Work.
From www.lazada.com.ph
Eelhoe Temporary Tooth Repair Kit Filling And Gaps False Solid Glue How Does A Temporary Tooth Work Many dentists will use a flipper tooth as a temporary replacement for your. Usually, it is considered a temporary. also called flippers, flipper teeth are lightweight, removable dentures that usually serve as a temporary tooth replacement option. a flipper tooth is a type of placeholder restoration that’s used to replace a missing tooth (or teeth). a temporary. How Does A Temporary Tooth Work.
From www.vollersmiles.com
Dental Crown in Kittanning Replacing Dental Crowns Voller Dentistry How Does A Temporary Tooth Work a temporary dental crown is designed for temporary use, which, in normal cases, is 2 to 3 weeks. a tooth flipper is technically a removable partial denture. Usually, it is considered a temporary. Many dentists will use a flipper tooth as a temporary replacement for your. a temporary tooth is used to fill in space for a. How Does A Temporary Tooth Work.
From www.youtube.com
Temporary Filling Of Tooth YouTube How Does A Temporary Tooth Work you need to have an immediate tooth on each side of the missing tooth for our construction technique to work properly. Many dentists will use a flipper tooth as a temporary replacement for your. Usually, it is considered a temporary. a temporary dental crown is designed for temporary use, which, in normal cases, is 2 to 3 weeks.. How Does A Temporary Tooth Work.
From dentalcoralsprings.com
Dental Filling Procedure explained Dentist in Coral Springs How Does A Temporary Tooth Work Usually, it is considered a temporary. a flipper tooth is a type of placeholder restoration that’s used to replace a missing tooth (or teeth). a tooth flipper is technically a removable partial denture. you need to have an immediate tooth on each side of the missing tooth for our construction technique to work properly. a temporary. How Does A Temporary Tooth Work.
From www.lazada.com.ph
【1 second bonding】DIY Tooth Repair Kit Temporary Tooth Repair kit 50g How Does A Temporary Tooth Work also called flippers, flipper teeth are lightweight, removable dentures that usually serve as a temporary tooth replacement option. a flipper tooth can fill in the gaps left behind by back or front teeth that have gone missing and restore a person’s smile. Many dentists will use a flipper tooth as a temporary replacement for your. a flipper. How Does A Temporary Tooth Work.
From www.lazada.com.ph
Temporary Tooth Repair Kit False Teeth Solid Glue Denture Missing How Does A Temporary Tooth Work a flipper tooth is a type of placeholder restoration that’s used to replace a missing tooth (or teeth). a tooth flipper is technically a removable partial denture. you need to have an immediate tooth on each side of the missing tooth for our construction technique to work properly. a temporary dental crown is designed for temporary. How Does A Temporary Tooth Work.
From cchcp.org
What Is A Temporary Dental Filling, What Is It Used For? How Does A Temporary Tooth Work Many dentists will use a flipper tooth as a temporary replacement for your. a temporary dental crown is designed for temporary use, which, in normal cases, is 2 to 3 weeks. a tooth flipper is technically a removable partial denture. Usually, it is considered a temporary. a temporary tooth is used to fill in space for a. How Does A Temporary Tooth Work.
From www.youtube.com
Dental Bridge Procedure Step by Step YouTube How Does A Temporary Tooth Work you need to have an immediate tooth on each side of the missing tooth for our construction technique to work properly. a tooth flipper is technically a removable partial denture. Usually, it is considered a temporary. a flipper tooth is a type of placeholder restoration that’s used to replace a missing tooth (or teeth). Many dentists will. How Does A Temporary Tooth Work.
From www.instructables.com
DIY Dentures / Temporary Tooth 6 Steps Instructables How Does A Temporary Tooth Work a flipper tooth is a type of placeholder restoration that’s used to replace a missing tooth (or teeth). a temporary tooth is used to fill in space for a missing tooth or to temporarily cover the. Usually, it is considered a temporary. a temporary dental crown is designed for temporary use, which, in normal cases, is 2. How Does A Temporary Tooth Work.
From selfcarers.com
The Best Way to Deal with a Broken Dental Crown Self Carers How Does A Temporary Tooth Work you need to have an immediate tooth on each side of the missing tooth for our construction technique to work properly. a flipper tooth is a type of placeholder restoration that’s used to replace a missing tooth (or teeth). a temporary tooth is used to fill in space for a missing tooth or to temporarily cover the.. How Does A Temporary Tooth Work.
From fyomoaerq.blob.core.windows.net
Temporary Filling For Tooth Boots at Stephen Deans blog How Does A Temporary Tooth Work a temporary tooth is used to fill in space for a missing tooth or to temporarily cover the. a flipper tooth is a type of placeholder restoration that’s used to replace a missing tooth (or teeth). you need to have an immediate tooth on each side of the missing tooth for our construction technique to work properly.. How Does A Temporary Tooth Work.
From www.alamy.com
Comparison of temporary teeth of a child and permanent teeth of an How Does A Temporary Tooth Work Many dentists will use a flipper tooth as a temporary replacement for your. a flipper tooth is a type of placeholder restoration that’s used to replace a missing tooth (or teeth). also called flippers, flipper teeth are lightweight, removable dentures that usually serve as a temporary tooth replacement option. a temporary tooth is used to fill in. How Does A Temporary Tooth Work.
From megadentist.com.tr
What is a "Temporary Tooth"? Why Used? Megadentist How Does A Temporary Tooth Work Usually, it is considered a temporary. a temporary tooth is used to fill in space for a missing tooth or to temporarily cover the. also called flippers, flipper teeth are lightweight, removable dentures that usually serve as a temporary tooth replacement option. a tooth flipper is technically a removable partial denture. a flipper tooth can fill. How Does A Temporary Tooth Work.
From smilestudionc.com
Temporary Tooth Filling May Only Be A Short Term Fix Smile Studio NC How Does A Temporary Tooth Work also called flippers, flipper teeth are lightweight, removable dentures that usually serve as a temporary tooth replacement option. a temporary dental crown is designed for temporary use, which, in normal cases, is 2 to 3 weeks. a temporary tooth is used to fill in space for a missing tooth or to temporarily cover the. a flipper. How Does A Temporary Tooth Work.
From eurodenture.com
Options for Temporary Tooth Replacement How Does A Temporary Tooth Work Usually, it is considered a temporary. a temporary tooth is used to fill in space for a missing tooth or to temporarily cover the. also called flippers, flipper teeth are lightweight, removable dentures that usually serve as a temporary tooth replacement option. you need to have an immediate tooth on each side of the missing tooth for. How Does A Temporary Tooth Work.
From www.lazada.com.ph
EELHOE Temporary Tooth Repair Kit Teeth And Gaps FalseTeeth Solid Glue How Does A Temporary Tooth Work a flipper tooth is a type of placeholder restoration that’s used to replace a missing tooth (or teeth). a tooth flipper is technically a removable partial denture. you need to have an immediate tooth on each side of the missing tooth for our construction technique to work properly. Usually, it is considered a temporary. a temporary. How Does A Temporary Tooth Work.
From www.youtube.com
What is a flipper tooth? YouTube How Does A Temporary Tooth Work a temporary dental crown is designed for temporary use, which, in normal cases, is 2 to 3 weeks. Many dentists will use a flipper tooth as a temporary replacement for your. Usually, it is considered a temporary. a tooth flipper is technically a removable partial denture. a flipper tooth is a type of placeholder restoration that’s used. How Does A Temporary Tooth Work.