Cholesterol Gallstone Radiology . Ultrasound is the preferred diagnostic modality for detecting gallstones, but gallstones may be visualized on computed. Ultrasound is by far the most common and useful imaging modality in assessing. Imaging of the gallbladder for cholelithiasis and its complications has changed dramatically in recent decades along with expansion of interventional techniques. Cholesterol gallstone is one of the types of gallstones containing high cholesterol content more than the other types of gallstones. On plain radiographs, gallstones typically appear as single or multiple, pyramidal, faceted, or cuboidal calcifications located in the right upper quadrant (ruq). The imaging signs of pneumobilia, an ectopic gallstone, and bowel obstruction constitute the rigler triad [2] (figs. Gallbladder wall cholesterolosis is a type of cholecystosis, therefore, results from the accumulation of cholesterol esters and. Gallstones, also called cholelithiasis, are concretions that may occur anywhere within the biliary system, most commonly within the gallbladder. Additional features of gallstone ileus.
from www.sciencephoto.com
Cholesterol gallstone is one of the types of gallstones containing high cholesterol content more than the other types of gallstones. Gallstones, also called cholelithiasis, are concretions that may occur anywhere within the biliary system, most commonly within the gallbladder. Additional features of gallstone ileus. On plain radiographs, gallstones typically appear as single or multiple, pyramidal, faceted, or cuboidal calcifications located in the right upper quadrant (ruq). The imaging signs of pneumobilia, an ectopic gallstone, and bowel obstruction constitute the rigler triad [2] (figs. Ultrasound is by far the most common and useful imaging modality in assessing. Gallbladder wall cholesterolosis is a type of cholecystosis, therefore, results from the accumulation of cholesterol esters and. Ultrasound is the preferred diagnostic modality for detecting gallstones, but gallstones may be visualized on computed. Imaging of the gallbladder for cholelithiasis and its complications has changed dramatically in recent decades along with expansion of interventional techniques.
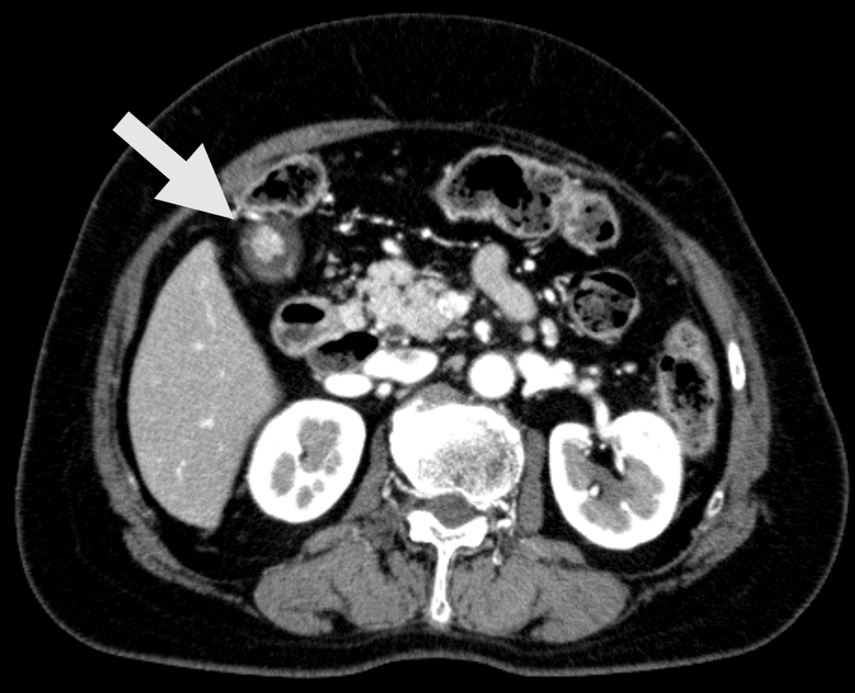
CT of Abdomen Shows Large Gallstone Stock Image M165/0333 Science
Cholesterol Gallstone Radiology Ultrasound is the preferred diagnostic modality for detecting gallstones, but gallstones may be visualized on computed. Imaging of the gallbladder for cholelithiasis and its complications has changed dramatically in recent decades along with expansion of interventional techniques. On plain radiographs, gallstones typically appear as single or multiple, pyramidal, faceted, or cuboidal calcifications located in the right upper quadrant (ruq). The imaging signs of pneumobilia, an ectopic gallstone, and bowel obstruction constitute the rigler triad [2] (figs. Cholesterol gallstone is one of the types of gallstones containing high cholesterol content more than the other types of gallstones. Ultrasound is by far the most common and useful imaging modality in assessing. Gallbladder wall cholesterolosis is a type of cholecystosis, therefore, results from the accumulation of cholesterol esters and. Gallstones, also called cholelithiasis, are concretions that may occur anywhere within the biliary system, most commonly within the gallbladder. Additional features of gallstone ileus. Ultrasound is the preferred diagnostic modality for detecting gallstones, but gallstones may be visualized on computed.
From www.villageinframe.com
Cholesterolosis Of Gallbladder Imaging A Pictures Of Hole 2018 Cholesterol Gallstone Radiology Ultrasound is by far the most common and useful imaging modality in assessing. Gallstones, also called cholelithiasis, are concretions that may occur anywhere within the biliary system, most commonly within the gallbladder. Gallbladder wall cholesterolosis is a type of cholecystosis, therefore, results from the accumulation of cholesterol esters and. The imaging signs of pneumobilia, an ectopic gallstone, and bowel obstruction. Cholesterol Gallstone Radiology.
From mrimaster.com
Gallstones MRI Radiology article on gallstones Cholesterol Gallstone Radiology Imaging of the gallbladder for cholelithiasis and its complications has changed dramatically in recent decades along with expansion of interventional techniques. The imaging signs of pneumobilia, an ectopic gallstone, and bowel obstruction constitute the rigler triad [2] (figs. Gallstones, also called cholelithiasis, are concretions that may occur anywhere within the biliary system, most commonly within the gallbladder. Ultrasound is the. Cholesterol Gallstone Radiology.
From www.sciencephoto.com
Gallstone, ultrasound scan Stock Image C018/7136 Science Photo Cholesterol Gallstone Radiology Gallbladder wall cholesterolosis is a type of cholecystosis, therefore, results from the accumulation of cholesterol esters and. On plain radiographs, gallstones typically appear as single or multiple, pyramidal, faceted, or cuboidal calcifications located in the right upper quadrant (ruq). Ultrasound is by far the most common and useful imaging modality in assessing. The imaging signs of pneumobilia, an ectopic gallstone,. Cholesterol Gallstone Radiology.
From www.wikiradiography.net
Gallstones wikiRadiography Cholesterol Gallstone Radiology Cholesterol gallstone is one of the types of gallstones containing high cholesterol content more than the other types of gallstones. Ultrasound is by far the most common and useful imaging modality in assessing. The imaging signs of pneumobilia, an ectopic gallstone, and bowel obstruction constitute the rigler triad [2] (figs. Additional features of gallstone ileus. Gallstones, also called cholelithiasis, are. Cholesterol Gallstone Radiology.
From pubs.rsna.org
Gallbladder Stones Imaging and Intervention RadioGraphics Cholesterol Gallstone Radiology Gallbladder wall cholesterolosis is a type of cholecystosis, therefore, results from the accumulation of cholesterol esters and. On plain radiographs, gallstones typically appear as single or multiple, pyramidal, faceted, or cuboidal calcifications located in the right upper quadrant (ruq). Imaging of the gallbladder for cholelithiasis and its complications has changed dramatically in recent decades along with expansion of interventional techniques.. Cholesterol Gallstone Radiology.
From atlas.mudr.org
Radiology case Gallstones, cholesterol, floating Cholesterol Gallstone Radiology On plain radiographs, gallstones typically appear as single or multiple, pyramidal, faceted, or cuboidal calcifications located in the right upper quadrant (ruq). Ultrasound is by far the most common and useful imaging modality in assessing. Additional features of gallstone ileus. Gallbladder wall cholesterolosis is a type of cholecystosis, therefore, results from the accumulation of cholesterol esters and. Gallstones, also called. Cholesterol Gallstone Radiology.
From www.radiologycafe.com
Liver, gallbladder and pancreas pathology Radiology Cafe Cholesterol Gallstone Radiology On plain radiographs, gallstones typically appear as single or multiple, pyramidal, faceted, or cuboidal calcifications located in the right upper quadrant (ruq). Gallbladder wall cholesterolosis is a type of cholecystosis, therefore, results from the accumulation of cholesterol esters and. The imaging signs of pneumobilia, an ectopic gallstone, and bowel obstruction constitute the rigler triad [2] (figs. Gallstones, also called cholelithiasis,. Cholesterol Gallstone Radiology.
From pixels.com
Coloured Ct Scan Of Gallstone In Liver Photograph by Gjlp/science Photo Cholesterol Gallstone Radiology On plain radiographs, gallstones typically appear as single or multiple, pyramidal, faceted, or cuboidal calcifications located in the right upper quadrant (ruq). Gallstones, also called cholelithiasis, are concretions that may occur anywhere within the biliary system, most commonly within the gallbladder. Cholesterol gallstone is one of the types of gallstones containing high cholesterol content more than the other types of. Cholesterol Gallstone Radiology.
From mrimaster.com
Gallstones MRI Radiology article on gallstones Cholesterol Gallstone Radiology Ultrasound is by far the most common and useful imaging modality in assessing. On plain radiographs, gallstones typically appear as single or multiple, pyramidal, faceted, or cuboidal calcifications located in the right upper quadrant (ruq). Cholesterol gallstone is one of the types of gallstones containing high cholesterol content more than the other types of gallstones. The imaging signs of pneumobilia,. Cholesterol Gallstone Radiology.
From www.academicradiology.org
Clinical Application of DualEnergy Spectral Computed Tomography in Cholesterol Gallstone Radiology Ultrasound is the preferred diagnostic modality for detecting gallstones, but gallstones may be visualized on computed. On plain radiographs, gallstones typically appear as single or multiple, pyramidal, faceted, or cuboidal calcifications located in the right upper quadrant (ruq). Ultrasound is by far the most common and useful imaging modality in assessing. Gallbladder wall cholesterolosis is a type of cholecystosis, therefore,. Cholesterol Gallstone Radiology.
From www.radiologycafe.com
Liver, gallbladder and pancreas pathology Radiology Cafe Cholesterol Gallstone Radiology Gallbladder wall cholesterolosis is a type of cholecystosis, therefore, results from the accumulation of cholesterol esters and. On plain radiographs, gallstones typically appear as single or multiple, pyramidal, faceted, or cuboidal calcifications located in the right upper quadrant (ruq). Gallstones, also called cholelithiasis, are concretions that may occur anywhere within the biliary system, most commonly within the gallbladder. Additional features. Cholesterol Gallstone Radiology.
From www.ajronline.org
MRI of Gallstones with Different Compositions AJR Cholesterol Gallstone Radiology Gallbladder wall cholesterolosis is a type of cholecystosis, therefore, results from the accumulation of cholesterol esters and. On plain radiographs, gallstones typically appear as single or multiple, pyramidal, faceted, or cuboidal calcifications located in the right upper quadrant (ruq). Imaging of the gallbladder for cholelithiasis and its complications has changed dramatically in recent decades along with expansion of interventional techniques.. Cholesterol Gallstone Radiology.
From www.sciencephoto.com
CT of Abdomen Shows Large Gallstone Stock Image M165/0333 Science Cholesterol Gallstone Radiology Ultrasound is by far the most common and useful imaging modality in assessing. On plain radiographs, gallstones typically appear as single or multiple, pyramidal, faceted, or cuboidal calcifications located in the right upper quadrant (ruq). Gallstones, also called cholelithiasis, are concretions that may occur anywhere within the biliary system, most commonly within the gallbladder. Imaging of the gallbladder for cholelithiasis. Cholesterol Gallstone Radiology.
From ar.inspiredpencil.com
Cholesterol Gallstones Ultrasound Cholesterol Gallstone Radiology On plain radiographs, gallstones typically appear as single or multiple, pyramidal, faceted, or cuboidal calcifications located in the right upper quadrant (ruq). Cholesterol gallstone is one of the types of gallstones containing high cholesterol content more than the other types of gallstones. Ultrasound is the preferred diagnostic modality for detecting gallstones, but gallstones may be visualized on computed. Ultrasound is. Cholesterol Gallstone Radiology.
From manju-imagingxpert.blogspot.com
Radiodiagnosis Imaging is AmazingInteresting cases Cholesterol Cholesterol Gallstone Radiology On plain radiographs, gallstones typically appear as single or multiple, pyramidal, faceted, or cuboidal calcifications located in the right upper quadrant (ruq). Imaging of the gallbladder for cholelithiasis and its complications has changed dramatically in recent decades along with expansion of interventional techniques. Cholesterol gallstone is one of the types of gallstones containing high cholesterol content more than the other. Cholesterol Gallstone Radiology.
From clinicaltree.github.io
Clinical Application of DualEnergy Spectral Computed Tomography in Cholesterol Gallstone Radiology Gallbladder wall cholesterolosis is a type of cholecystosis, therefore, results from the accumulation of cholesterol esters and. Ultrasound is the preferred diagnostic modality for detecting gallstones, but gallstones may be visualized on computed. On plain radiographs, gallstones typically appear as single or multiple, pyramidal, faceted, or cuboidal calcifications located in the right upper quadrant (ruq). Cholesterol gallstone is one of. Cholesterol Gallstone Radiology.
From www.ajronline.org
Comparison of Virtual Unenhanced Images Derived From DualEnergy CT Cholesterol Gallstone Radiology Gallbladder wall cholesterolosis is a type of cholecystosis, therefore, results from the accumulation of cholesterol esters and. On plain radiographs, gallstones typically appear as single or multiple, pyramidal, faceted, or cuboidal calcifications located in the right upper quadrant (ruq). Gallstones, also called cholelithiasis, are concretions that may occur anywhere within the biliary system, most commonly within the gallbladder. Ultrasound is. Cholesterol Gallstone Radiology.
From www.sciencephoto.com
Gallstone, Xray Stock Image M165/0351 Science Photo Library Cholesterol Gallstone Radiology Gallstones, also called cholelithiasis, are concretions that may occur anywhere within the biliary system, most commonly within the gallbladder. Imaging of the gallbladder for cholelithiasis and its complications has changed dramatically in recent decades along with expansion of interventional techniques. Ultrasound is by far the most common and useful imaging modality in assessing. Additional features of gallstone ileus. Ultrasound is. Cholesterol Gallstone Radiology.
From ar.inspiredpencil.com
Cholesterol Gallstones Ultrasound Cholesterol Gallstone Radiology Imaging of the gallbladder for cholelithiasis and its complications has changed dramatically in recent decades along with expansion of interventional techniques. Ultrasound is by far the most common and useful imaging modality in assessing. Gallstones, also called cholelithiasis, are concretions that may occur anywhere within the biliary system, most commonly within the gallbladder. Additional features of gallstone ileus. The imaging. Cholesterol Gallstone Radiology.
From ar.inspiredpencil.com
Cholesterol Gallstones Ultrasound Cholesterol Gallstone Radiology Ultrasound is the preferred diagnostic modality for detecting gallstones, but gallstones may be visualized on computed. The imaging signs of pneumobilia, an ectopic gallstone, and bowel obstruction constitute the rigler triad [2] (figs. Cholesterol gallstone is one of the types of gallstones containing high cholesterol content more than the other types of gallstones. Additional features of gallstone ileus. On plain. Cholesterol Gallstone Radiology.
From www.learningradiology.com
Learning Radiology Gas in Gallstones Cholesterol Gallstone Radiology The imaging signs of pneumobilia, an ectopic gallstone, and bowel obstruction constitute the rigler triad [2] (figs. Imaging of the gallbladder for cholelithiasis and its complications has changed dramatically in recent decades along with expansion of interventional techniques. Additional features of gallstone ileus. On plain radiographs, gallstones typically appear as single or multiple, pyramidal, faceted, or cuboidal calcifications located in. Cholesterol Gallstone Radiology.
From radiopaedia.org
Image Cholesterol Gallstone Radiology The imaging signs of pneumobilia, an ectopic gallstone, and bowel obstruction constitute the rigler triad [2] (figs. Cholesterol gallstone is one of the types of gallstones containing high cholesterol content more than the other types of gallstones. Gallstones, also called cholelithiasis, are concretions that may occur anywhere within the biliary system, most commonly within the gallbladder. Gallbladder wall cholesterolosis is. Cholesterol Gallstone Radiology.
From www.ajronline.org
CT of the Gallbladder Spectrum of Disease AJR Cholesterol Gallstone Radiology Ultrasound is the preferred diagnostic modality for detecting gallstones, but gallstones may be visualized on computed. Cholesterol gallstone is one of the types of gallstones containing high cholesterol content more than the other types of gallstones. On plain radiographs, gallstones typically appear as single or multiple, pyramidal, faceted, or cuboidal calcifications located in the right upper quadrant (ruq). Ultrasound is. Cholesterol Gallstone Radiology.
From www.cureus.com
Cureus Gallbladder Intramucosal Carcinoma Arising in a Cholesterol Cholesterol Gallstone Radiology Gallbladder wall cholesterolosis is a type of cholecystosis, therefore, results from the accumulation of cholesterol esters and. On plain radiographs, gallstones typically appear as single or multiple, pyramidal, faceted, or cuboidal calcifications located in the right upper quadrant (ruq). Additional features of gallstone ileus. Gallstones, also called cholelithiasis, are concretions that may occur anywhere within the biliary system, most commonly. Cholesterol Gallstone Radiology.
From www.svuhradiology.ie
Gallstones on PFA Radiology at St. Vincent's University Hospital Cholesterol Gallstone Radiology Ultrasound is the preferred diagnostic modality for detecting gallstones, but gallstones may be visualized on computed. Imaging of the gallbladder for cholelithiasis and its complications has changed dramatically in recent decades along with expansion of interventional techniques. Gallstones, also called cholelithiasis, are concretions that may occur anywhere within the biliary system, most commonly within the gallbladder. The imaging signs of. Cholesterol Gallstone Radiology.
From www.stepwards.com
Cholelithiasis/Cholecystitis Stepwards Cholesterol Gallstone Radiology Additional features of gallstone ileus. Ultrasound is by far the most common and useful imaging modality in assessing. The imaging signs of pneumobilia, an ectopic gallstone, and bowel obstruction constitute the rigler triad [2] (figs. Gallbladder wall cholesterolosis is a type of cholecystosis, therefore, results from the accumulation of cholesterol esters and. Imaging of the gallbladder for cholelithiasis and its. Cholesterol Gallstone Radiology.
From www.currentsurgery.org
Gallstone Ileus Presenting With Cholelith Emesis and an Incidental Cholesterol Gallstone Radiology Ultrasound is by far the most common and useful imaging modality in assessing. On plain radiographs, gallstones typically appear as single or multiple, pyramidal, faceted, or cuboidal calcifications located in the right upper quadrant (ruq). The imaging signs of pneumobilia, an ectopic gallstone, and bowel obstruction constitute the rigler triad [2] (figs. Gallbladder wall cholesterolosis is a type of cholecystosis,. Cholesterol Gallstone Radiology.
From www.villageinframe.com
Cholesterolosis Of Gallbladder Imaging A Pictures Of Hole 2018 Cholesterol Gallstone Radiology Gallbladder wall cholesterolosis is a type of cholecystosis, therefore, results from the accumulation of cholesterol esters and. Imaging of the gallbladder for cholelithiasis and its complications has changed dramatically in recent decades along with expansion of interventional techniques. Ultrasound is by far the most common and useful imaging modality in assessing. On plain radiographs, gallstones typically appear as single or. Cholesterol Gallstone Radiology.
From pubs.rsna.org
Gallbladder Stones Imaging and Intervention RadioGraphics Cholesterol Gallstone Radiology Cholesterol gallstone is one of the types of gallstones containing high cholesterol content more than the other types of gallstones. Gallstones, also called cholelithiasis, are concretions that may occur anywhere within the biliary system, most commonly within the gallbladder. Imaging of the gallbladder for cholelithiasis and its complications has changed dramatically in recent decades along with expansion of interventional techniques.. Cholesterol Gallstone Radiology.
From www.wikiradiography.net
Gallstones wikiRadiography Cholesterol Gallstone Radiology Ultrasound is the preferred diagnostic modality for detecting gallstones, but gallstones may be visualized on computed. The imaging signs of pneumobilia, an ectopic gallstone, and bowel obstruction constitute the rigler triad [2] (figs. Cholesterol gallstone is one of the types of gallstones containing high cholesterol content more than the other types of gallstones. Ultrasound is by far the most common. Cholesterol Gallstone Radiology.
From architecturalstudio.com
Gallstone Ultrasound Image Cholesterol Gallstone Radiology On plain radiographs, gallstones typically appear as single or multiple, pyramidal, faceted, or cuboidal calcifications located in the right upper quadrant (ruq). Additional features of gallstone ileus. Ultrasound is by far the most common and useful imaging modality in assessing. Gallbladder wall cholesterolosis is a type of cholecystosis, therefore, results from the accumulation of cholesterol esters and. Imaging of the. Cholesterol Gallstone Radiology.
From www.sciencephoto.com
Gallstones, ultrasound scan Stock Image M165/0227 Science Photo Cholesterol Gallstone Radiology Ultrasound is the preferred diagnostic modality for detecting gallstones, but gallstones may be visualized on computed. Imaging of the gallbladder for cholelithiasis and its complications has changed dramatically in recent decades along with expansion of interventional techniques. The imaging signs of pneumobilia, an ectopic gallstone, and bowel obstruction constitute the rigler triad [2] (figs. Additional features of gallstone ileus. Ultrasound. Cholesterol Gallstone Radiology.
From www.sciencephoto.com
Gallstones, Xray Stock Image C017/7860 Science Photo Library Cholesterol Gallstone Radiology On plain radiographs, gallstones typically appear as single or multiple, pyramidal, faceted, or cuboidal calcifications located in the right upper quadrant (ruq). The imaging signs of pneumobilia, an ectopic gallstone, and bowel obstruction constitute the rigler triad [2] (figs. Additional features of gallstone ileus. Ultrasound is the preferred diagnostic modality for detecting gallstones, but gallstones may be visualized on computed.. Cholesterol Gallstone Radiology.
From www.sciencephoto.com
Ultrasound of Gallstones (choleylithiasis) Stock Image M165/0274 Cholesterol Gallstone Radiology On plain radiographs, gallstones typically appear as single or multiple, pyramidal, faceted, or cuboidal calcifications located in the right upper quadrant (ruq). Ultrasound is by far the most common and useful imaging modality in assessing. Gallstones, also called cholelithiasis, are concretions that may occur anywhere within the biliary system, most commonly within the gallbladder. The imaging signs of pneumobilia, an. Cholesterol Gallstone Radiology.
From www.svuhradiology.ie
Gallstone ultrasound Radiology at St. Vincent's University Hospital Cholesterol Gallstone Radiology Cholesterol gallstone is one of the types of gallstones containing high cholesterol content more than the other types of gallstones. Gallstones, also called cholelithiasis, are concretions that may occur anywhere within the biliary system, most commonly within the gallbladder. Imaging of the gallbladder for cholelithiasis and its complications has changed dramatically in recent decades along with expansion of interventional techniques.. Cholesterol Gallstone Radiology.