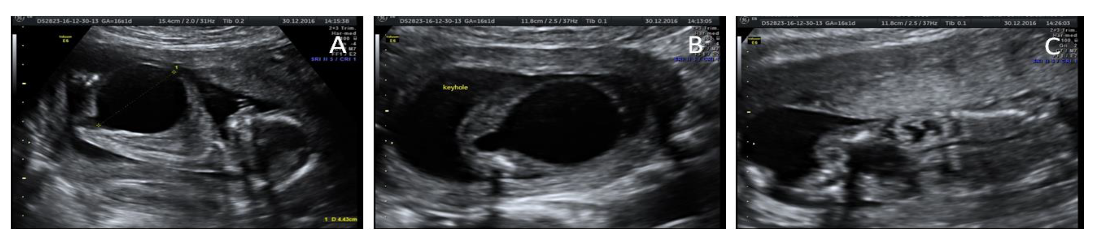
Bladder Keyhole Sign . It refers to the appearance of. The most common symptom is a urinary tract. Symptoms of posterior urethral valves can range from moderate to severe. The presence of the keyhole sign alone was not found to be predictive of a diagnosis of puv (p = 0.27). The ‘keyhole sign’, representing a dilatation of the posterior urethra in patients with posterior urethral obstruction 10, is thought to be a very specific sign of puv. In addition, ureteral dilation may be seen because of the. “keyhole” sign, is commonly associated with posterior urethral valves (figure 2). A keyhole sign detected on ultrasound indicates obstructive uropathy, with posterior urethral valves being the most common cause. A “keyhole” bladder was more likely to be. The keyhole sign is an ultrasonographic sign seen in boys with posterior urethral valves.
from www.youtube.com
The keyhole sign is an ultrasonographic sign seen in boys with posterior urethral valves. Symptoms of posterior urethral valves can range from moderate to severe. It refers to the appearance of. The ‘keyhole sign’, representing a dilatation of the posterior urethra in patients with posterior urethral obstruction 10, is thought to be a very specific sign of puv. A keyhole sign detected on ultrasound indicates obstructive uropathy, with posterior urethral valves being the most common cause. The presence of the keyhole sign alone was not found to be predictive of a diagnosis of puv (p = 0.27). In addition, ureteral dilation may be seen because of the. A “keyhole” bladder was more likely to be. The most common symptom is a urinary tract. “keyhole” sign, is commonly associated with posterior urethral valves (figure 2).
Megacystis obstructive uropathy at 12 and 14 weeks' YouTube
Bladder Keyhole Sign It refers to the appearance of. A keyhole sign detected on ultrasound indicates obstructive uropathy, with posterior urethral valves being the most common cause. The keyhole sign is an ultrasonographic sign seen in boys with posterior urethral valves. The ‘keyhole sign’, representing a dilatation of the posterior urethra in patients with posterior urethral obstruction 10, is thought to be a very specific sign of puv. “keyhole” sign, is commonly associated with posterior urethral valves (figure 2). The most common symptom is a urinary tract. The presence of the keyhole sign alone was not found to be predictive of a diagnosis of puv (p = 0.27). It refers to the appearance of. Symptoms of posterior urethral valves can range from moderate to severe. A “keyhole” bladder was more likely to be. In addition, ureteral dilation may be seen because of the.
From www.pinterest.com
The keyhole sign is an ultrasonographic sign seen in boys with Bladder Keyhole Sign In addition, ureteral dilation may be seen because of the. A keyhole sign detected on ultrasound indicates obstructive uropathy, with posterior urethral valves being the most common cause. “keyhole” sign, is commonly associated with posterior urethral valves (figure 2). The ‘keyhole sign’, representing a dilatation of the posterior urethra in patients with posterior urethral obstruction 10, is thought to be. Bladder Keyhole Sign.
From www.researchgate.net
"Keyhole" bladder. Axial view of a distended fetal bladder in an Bladder Keyhole Sign The most common symptom is a urinary tract. In addition, ureteral dilation may be seen because of the. Symptoms of posterior urethral valves can range from moderate to severe. The keyhole sign is an ultrasonographic sign seen in boys with posterior urethral valves. The ‘keyhole sign’, representing a dilatation of the posterior urethra in patients with posterior urethral obstruction 10,. Bladder Keyhole Sign.
From radiopaedia.org
Image Bladder Keyhole Sign The most common symptom is a urinary tract. It refers to the appearance of. In addition, ureteral dilation may be seen because of the. A keyhole sign detected on ultrasound indicates obstructive uropathy, with posterior urethral valves being the most common cause. The ‘keyhole sign’, representing a dilatation of the posterior urethra in patients with posterior urethral obstruction 10, is. Bladder Keyhole Sign.
From slideplayer.com
Dr Prashanth. G R2Radiology SSGH Baroda 18/12/07 ppt download Bladder Keyhole Sign A “keyhole” bladder was more likely to be. A keyhole sign detected on ultrasound indicates obstructive uropathy, with posterior urethral valves being the most common cause. The keyhole sign is an ultrasonographic sign seen in boys with posterior urethral valves. The most common symptom is a urinary tract. The ‘keyhole sign’, representing a dilatation of the posterior urethra in patients. Bladder Keyhole Sign.
From www.mdpi.com
Genes Free FullText GenomeWide Survey for Microdeletions or Bladder Keyhole Sign The keyhole sign is an ultrasonographic sign seen in boys with posterior urethral valves. The most common symptom is a urinary tract. “keyhole” sign, is commonly associated with posterior urethral valves (figure 2). A “keyhole” bladder was more likely to be. It refers to the appearance of. A keyhole sign detected on ultrasound indicates obstructive uropathy, with posterior urethral valves. Bladder Keyhole Sign.
From www.researchgate.net
Keyhole sign on prenatal ultrasonography. Download Scientific Diagram Bladder Keyhole Sign In addition, ureteral dilation may be seen because of the. The presence of the keyhole sign alone was not found to be predictive of a diagnosis of puv (p = 0.27). The ‘keyhole sign’, representing a dilatation of the posterior urethra in patients with posterior urethral obstruction 10, is thought to be a very specific sign of puv. Symptoms of. Bladder Keyhole Sign.
From oboi-marvel-na-stenu.blogspot.com
[View 19+] Get Antenatal Posterior Urethral Valve Radiology Pictures vector Bladder Keyhole Sign The keyhole sign is an ultrasonographic sign seen in boys with posterior urethral valves. “keyhole” sign, is commonly associated with posterior urethral valves (figure 2). Symptoms of posterior urethral valves can range from moderate to severe. It refers to the appearance of. A keyhole sign detected on ultrasound indicates obstructive uropathy, with posterior urethral valves being the most common cause.. Bladder Keyhole Sign.
From www.youtube.com
Megacystis obstructive uropathy at 12 and 14 weeks' YouTube Bladder Keyhole Sign The keyhole sign is an ultrasonographic sign seen in boys with posterior urethral valves. “keyhole” sign, is commonly associated with posterior urethral valves (figure 2). A keyhole sign detected on ultrasound indicates obstructive uropathy, with posterior urethral valves being the most common cause. The most common symptom is a urinary tract. In addition, ureteral dilation may be seen because of. Bladder Keyhole Sign.
From www.researchgate.net
"Keyhole" bladder. 3D rendering of distended bladder in a 19week Bladder Keyhole Sign The ‘keyhole sign’, representing a dilatation of the posterior urethra in patients with posterior urethral obstruction 10, is thought to be a very specific sign of puv. The keyhole sign is an ultrasonographic sign seen in boys with posterior urethral valves. The presence of the keyhole sign alone was not found to be predictive of a diagnosis of puv (p. Bladder Keyhole Sign.
From www.researchgate.net
"Keyhole" bladder. 3D rendering of distended bladder in a 19week Bladder Keyhole Sign A “keyhole” bladder was more likely to be. In addition, ureteral dilation may be seen because of the. The ‘keyhole sign’, representing a dilatation of the posterior urethra in patients with posterior urethral obstruction 10, is thought to be a very specific sign of puv. “keyhole” sign, is commonly associated with posterior urethral valves (figure 2). The keyhole sign is. Bladder Keyhole Sign.
From www.villageinframe.com
Keyhole Sign Radiology A Pictures Of Hole 2018 Bladder Keyhole Sign A keyhole sign detected on ultrasound indicates obstructive uropathy, with posterior urethral valves being the most common cause. It refers to the appearance of. Symptoms of posterior urethral valves can range from moderate to severe. “keyhole” sign, is commonly associated with posterior urethral valves (figure 2). The presence of the keyhole sign alone was not found to be predictive of. Bladder Keyhole Sign.
From radiopaedia.org
Keyhole sign (disambiguation) Radiology Reference Article Bladder Keyhole Sign The most common symptom is a urinary tract. A “keyhole” bladder was more likely to be. The ‘keyhole sign’, representing a dilatation of the posterior urethra in patients with posterior urethral obstruction 10, is thought to be a very specific sign of puv. It refers to the appearance of. The keyhole sign is an ultrasonographic sign seen in boys with. Bladder Keyhole Sign.
From www.researchgate.net
Ultrasound of fetal bladder with classic "keyhole sign" (8). Download Bladder Keyhole Sign It refers to the appearance of. A keyhole sign detected on ultrasound indicates obstructive uropathy, with posterior urethral valves being the most common cause. The presence of the keyhole sign alone was not found to be predictive of a diagnosis of puv (p = 0.27). The keyhole sign is an ultrasonographic sign seen in boys with posterior urethral valves. The. Bladder Keyhole Sign.
From tri-giac-la-gi-vi-du.blogspot.com
[Download 46+] Get Posterior Urethral Valve Keyhole Sign Background jpg Bladder Keyhole Sign A keyhole sign detected on ultrasound indicates obstructive uropathy, with posterior urethral valves being the most common cause. It refers to the appearance of. The keyhole sign is an ultrasonographic sign seen in boys with posterior urethral valves. The ‘keyhole sign’, representing a dilatation of the posterior urethra in patients with posterior urethral obstruction 10, is thought to be a. Bladder Keyhole Sign.
From www.researchgate.net
Prenatal ultrasound a, b and fetal MRI c, d , e showing bilateral Bladder Keyhole Sign A keyhole sign detected on ultrasound indicates obstructive uropathy, with posterior urethral valves being the most common cause. Symptoms of posterior urethral valves can range from moderate to severe. In addition, ureteral dilation may be seen because of the. The most common symptom is a urinary tract. “keyhole” sign, is commonly associated with posterior urethral valves (figure 2). It refers. Bladder Keyhole Sign.
From thefetus.net
📃 Posterior urethral valve with bladder rupture and urinary ascites Bladder Keyhole Sign It refers to the appearance of. A “keyhole” bladder was more likely to be. The most common symptom is a urinary tract. The keyhole sign is an ultrasonographic sign seen in boys with posterior urethral valves. The ‘keyhole sign’, representing a dilatation of the posterior urethra in patients with posterior urethral obstruction 10, is thought to be a very specific. Bladder Keyhole Sign.
From kidney.thecommonvein.net
IF Finding Sign Keyhole Sign Kidney Bladder Keyhole Sign A keyhole sign detected on ultrasound indicates obstructive uropathy, with posterior urethral valves being the most common cause. The most common symptom is a urinary tract. The keyhole sign is an ultrasonographic sign seen in boys with posterior urethral valves. In addition, ureteral dilation may be seen because of the. A “keyhole” bladder was more likely to be. The presence. Bladder Keyhole Sign.
From sac-homme-bandouliere.blogspot.com
[View 41+] View Keyhole Sign Posterior Urethral Valve Ultrasound Pics jpg Bladder Keyhole Sign “keyhole” sign, is commonly associated with posterior urethral valves (figure 2). A keyhole sign detected on ultrasound indicates obstructive uropathy, with posterior urethral valves being the most common cause. The keyhole sign is an ultrasonographic sign seen in boys with posterior urethral valves. The most common symptom is a urinary tract. A “keyhole” bladder was more likely to be. In. Bladder Keyhole Sign.
From www.researchgate.net
Thickwalled, hyperemic urinary bladder with keyhole sign. Download Bladder Keyhole Sign In addition, ureteral dilation may be seen because of the. A “keyhole” bladder was more likely to be. A keyhole sign detected on ultrasound indicates obstructive uropathy, with posterior urethral valves being the most common cause. Symptoms of posterior urethral valves can range from moderate to severe. The keyhole sign is an ultrasonographic sign seen in boys with posterior urethral. Bladder Keyhole Sign.
From www.villageinframe.com
Keyhole Sign In Posterior Urethral Valve A Pictures Of Hole 2018 Bladder Keyhole Sign A “keyhole” bladder was more likely to be. The presence of the keyhole sign alone was not found to be predictive of a diagnosis of puv (p = 0.27). Symptoms of posterior urethral valves can range from moderate to severe. A keyhole sign detected on ultrasound indicates obstructive uropathy, with posterior urethral valves being the most common cause. The ‘keyhole. Bladder Keyhole Sign.
From www.withpower.com
Fetal Cystoscopy for Bladder Outlet Obstruction Clinical Trial 2023 Power Bladder Keyhole Sign The keyhole sign is an ultrasonographic sign seen in boys with posterior urethral valves. A “keyhole” bladder was more likely to be. A keyhole sign detected on ultrasound indicates obstructive uropathy, with posterior urethral valves being the most common cause. In addition, ureteral dilation may be seen because of the. The ‘keyhole sign’, representing a dilatation of the posterior urethra. Bladder Keyhole Sign.
From fallingwithstyleineugene.blogspot.com
Key Hole Sign In Posterior Urethral Valve / The 'keyhole sign Bladder Keyhole Sign The keyhole sign is an ultrasonographic sign seen in boys with posterior urethral valves. “keyhole” sign, is commonly associated with posterior urethral valves (figure 2). It refers to the appearance of. The most common symptom is a urinary tract. The presence of the keyhole sign alone was not found to be predictive of a diagnosis of puv (p = 0.27).. Bladder Keyhole Sign.
From kidney.thecommonvein.net
Posterior Urethral Valves Kidney Bladder Keyhole Sign “keyhole” sign, is commonly associated with posterior urethral valves (figure 2). In addition, ureteral dilation may be seen because of the. A keyhole sign detected on ultrasound indicates obstructive uropathy, with posterior urethral valves being the most common cause. A “keyhole” bladder was more likely to be. The ‘keyhole sign’, representing a dilatation of the posterior urethra in patients with. Bladder Keyhole Sign.
From www.facebook.com
💥The KEYHOLE SIGN is an... Salus sonography Bladder Keyhole Sign Symptoms of posterior urethral valves can range from moderate to severe. “keyhole” sign, is commonly associated with posterior urethral valves (figure 2). The presence of the keyhole sign alone was not found to be predictive of a diagnosis of puv (p = 0.27). The ‘keyhole sign’, representing a dilatation of the posterior urethra in patients with posterior urethral obstruction 10,. Bladder Keyhole Sign.
From www.youtube.com
KEY HOLE APPEARANCE RADIOLOGY YouTube Bladder Keyhole Sign The presence of the keyhole sign alone was not found to be predictive of a diagnosis of puv (p = 0.27). A “keyhole” bladder was more likely to be. The keyhole sign is an ultrasonographic sign seen in boys with posterior urethral valves. It refers to the appearance of. A keyhole sign detected on ultrasound indicates obstructive uropathy, with posterior. Bladder Keyhole Sign.
From www.researchgate.net
"Keyhole" bladder. 3D rendering of distended bladder in a 19week Bladder Keyhole Sign “keyhole” sign, is commonly associated with posterior urethral valves (figure 2). The ‘keyhole sign’, representing a dilatation of the posterior urethra in patients with posterior urethral obstruction 10, is thought to be a very specific sign of puv. A “keyhole” bladder was more likely to be. In addition, ureteral dilation may be seen because of the. The presence of the. Bladder Keyhole Sign.
From www.researchgate.net
Antenatal ultrasound of fetus demonstrating “keyhole” sign indicative Bladder Keyhole Sign The presence of the keyhole sign alone was not found to be predictive of a diagnosis of puv (p = 0.27). “keyhole” sign, is commonly associated with posterior urethral valves (figure 2). A keyhole sign detected on ultrasound indicates obstructive uropathy, with posterior urethral valves being the most common cause. The ‘keyhole sign’, representing a dilatation of the posterior urethra. Bladder Keyhole Sign.
From www.researchgate.net
"Keyhole" bladder. 3D rendering of distended bladder in a 19week Bladder Keyhole Sign “keyhole” sign, is commonly associated with posterior urethral valves (figure 2). The most common symptom is a urinary tract. The ‘keyhole sign’, representing a dilatation of the posterior urethra in patients with posterior urethral obstruction 10, is thought to be a very specific sign of puv. A “keyhole” bladder was more likely to be. The keyhole sign is an ultrasonographic. Bladder Keyhole Sign.
From ar.inspiredpencil.com
Posterior Urethral Valves Ultrasound Bladder Keyhole Sign “keyhole” sign, is commonly associated with posterior urethral valves (figure 2). A “keyhole” bladder was more likely to be. It refers to the appearance of. In addition, ureteral dilation may be seen because of the. Symptoms of posterior urethral valves can range from moderate to severe. A keyhole sign detected on ultrasound indicates obstructive uropathy, with posterior urethral valves being. Bladder Keyhole Sign.
From pubs.rsna.org
Classic Signs in Uroradiology RadioGraphics Bladder Keyhole Sign The keyhole sign is an ultrasonographic sign seen in boys with posterior urethral valves. Symptoms of posterior urethral valves can range from moderate to severe. “keyhole” sign, is commonly associated with posterior urethral valves (figure 2). The presence of the keyhole sign alone was not found to be predictive of a diagnosis of puv (p = 0.27). A keyhole sign. Bladder Keyhole Sign.
From www.ajog.org
Bladder outlet obstruction American Journal of Obstetrics & Gynecology Bladder Keyhole Sign In addition, ureteral dilation may be seen because of the. The ‘keyhole sign’, representing a dilatation of the posterior urethra in patients with posterior urethral obstruction 10, is thought to be a very specific sign of puv. “keyhole” sign, is commonly associated with posterior urethral valves (figure 2). It refers to the appearance of. The presence of the keyhole sign. Bladder Keyhole Sign.
From radiologykey.com
Bladder and Urethra Disease Radiology Key Bladder Keyhole Sign The most common symptom is a urinary tract. The ‘keyhole sign’, representing a dilatation of the posterior urethra in patients with posterior urethral obstruction 10, is thought to be a very specific sign of puv. The keyhole sign is an ultrasonographic sign seen in boys with posterior urethral valves. Symptoms of posterior urethral valves can range from moderate to severe.. Bladder Keyhole Sign.
From www.youtube.com
Posterior Urethral Valves YouTube Bladder Keyhole Sign The keyhole sign is an ultrasonographic sign seen in boys with posterior urethral valves. The presence of the keyhole sign alone was not found to be predictive of a diagnosis of puv (p = 0.27). The ‘keyhole sign’, representing a dilatation of the posterior urethra in patients with posterior urethral obstruction 10, is thought to be a very specific sign. Bladder Keyhole Sign.
From www.researchgate.net
CT pyelogram showing thick walled urinary bladder and bilateral Bladder Keyhole Sign A keyhole sign detected on ultrasound indicates obstructive uropathy, with posterior urethral valves being the most common cause. It refers to the appearance of. The keyhole sign is an ultrasonographic sign seen in boys with posterior urethral valves. The ‘keyhole sign’, representing a dilatation of the posterior urethra in patients with posterior urethral obstruction 10, is thought to be a. Bladder Keyhole Sign.
From journals.sagepub.com
The Mechanism of Prune Belly Syndrome Development A Sonographic Bladder Keyhole Sign The most common symptom is a urinary tract. A “keyhole” bladder was more likely to be. Symptoms of posterior urethral valves can range from moderate to severe. The keyhole sign is an ultrasonographic sign seen in boys with posterior urethral valves. It refers to the appearance of. “keyhole” sign, is commonly associated with posterior urethral valves (figure 2). The ‘keyhole. Bladder Keyhole Sign.