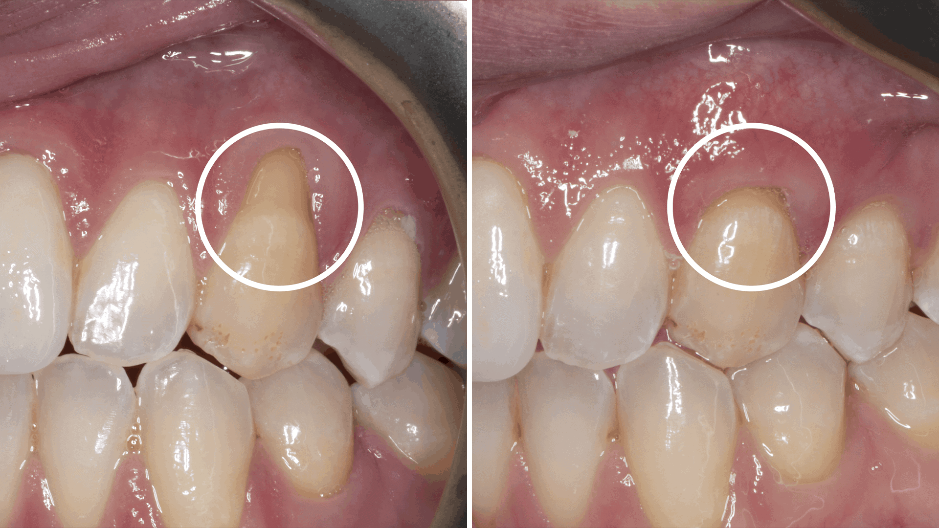
Can Veneers Fix Gum Recession . Gum veneers are removable devices made. In doing so, it exposes more of the. if the gums are healthy and the recession is under control, veneers can be a good way for people with receding. gum veneers cover unsightly gaps between teeth that have been subject to gingival and periodontal disease. receding gums, or gingival recession, is an oral condition in which your gum tissue wears away or retracts. veneers are a popular cosmetic dental treatment that can help improve the appearance of your teeth by covering up imperfections such as chips, cracks, and discoloration. Cosmetically, your best options might be veneers, which can reduce the appearance of receding. They’re a great choice for people looking to improve their smile, but there are some things to consider when looking into them. It’s caused by a number. gum recession is when your gum tissue pulls away from your teeth, exposing the roots underneath.
from www.youtube.com
In doing so, it exposes more of the. Gum veneers are removable devices made. Cosmetically, your best options might be veneers, which can reduce the appearance of receding. gum recession is when your gum tissue pulls away from your teeth, exposing the roots underneath. gum veneers cover unsightly gaps between teeth that have been subject to gingival and periodontal disease. It’s caused by a number. veneers are a popular cosmetic dental treatment that can help improve the appearance of your teeth by covering up imperfections such as chips, cracks, and discoloration. receding gums, or gingival recession, is an oral condition in which your gum tissue wears away or retracts. if the gums are healthy and the recession is under control, veneers can be a good way for people with receding. They’re a great choice for people looking to improve their smile, but there are some things to consider when looking into them.
Fix Dental Implant Gum Recession YouTube
Can Veneers Fix Gum Recession gum recession is when your gum tissue pulls away from your teeth, exposing the roots underneath. In doing so, it exposes more of the. gum veneers cover unsightly gaps between teeth that have been subject to gingival and periodontal disease. gum recession is when your gum tissue pulls away from your teeth, exposing the roots underneath. Gum veneers are removable devices made. receding gums, or gingival recession, is an oral condition in which your gum tissue wears away or retracts. veneers are a popular cosmetic dental treatment that can help improve the appearance of your teeth by covering up imperfections such as chips, cracks, and discoloration. It’s caused by a number. if the gums are healthy and the recession is under control, veneers can be a good way for people with receding. They’re a great choice for people looking to improve their smile, but there are some things to consider when looking into them. Cosmetically, your best options might be veneers, which can reduce the appearance of receding.
From www.youtube.com
Fix Dental Implant Gum Recession YouTube Can Veneers Fix Gum Recession gum veneers cover unsightly gaps between teeth that have been subject to gingival and periodontal disease. receding gums, or gingival recession, is an oral condition in which your gum tissue wears away or retracts. It’s caused by a number. if the gums are healthy and the recession is under control, veneers can be a good way for. Can Veneers Fix Gum Recession.
From www.youtube.com
How to get gum recession back and Improve your smile with Porcelain Can Veneers Fix Gum Recession Gum veneers are removable devices made. They’re a great choice for people looking to improve their smile, but there are some things to consider when looking into them. It’s caused by a number. gum veneers cover unsightly gaps between teeth that have been subject to gingival and periodontal disease. if the gums are healthy and the recession is. Can Veneers Fix Gum Recession.
From windsordentists.com.au
Replacing Composite Fillings with Porcelain Veneers Windsor Dentists Can Veneers Fix Gum Recession gum recession is when your gum tissue pulls away from your teeth, exposing the roots underneath. if the gums are healthy and the recession is under control, veneers can be a good way for people with receding. Gum veneers are removable devices made. It’s caused by a number. In doing so, it exposes more of the. They’re a. Can Veneers Fix Gum Recession.
From www.southanchoragedental.com
How a Dentist Can Fix Gum Recession South Anchorage Dental Can Veneers Fix Gum Recession receding gums, or gingival recession, is an oral condition in which your gum tissue wears away or retracts. gum recession is when your gum tissue pulls away from your teeth, exposing the roots underneath. veneers are a popular cosmetic dental treatment that can help improve the appearance of your teeth by covering up imperfections such as chips,. Can Veneers Fix Gum Recession.
From www.kshb.com
Discover an easier fix for receding gums Can Veneers Fix Gum Recession gum recession is when your gum tissue pulls away from your teeth, exposing the roots underneath. Cosmetically, your best options might be veneers, which can reduce the appearance of receding. receding gums, or gingival recession, is an oral condition in which your gum tissue wears away or retracts. if the gums are healthy and the recession is. Can Veneers Fix Gum Recession.
From www.youtube.com
Can You Fix Recession (Gum Loss) Around Dental Implants YouTube Can Veneers Fix Gum Recession gum recession is when your gum tissue pulls away from your teeth, exposing the roots underneath. It’s caused by a number. In doing so, it exposes more of the. veneers are a popular cosmetic dental treatment that can help improve the appearance of your teeth by covering up imperfections such as chips, cracks, and discoloration. They’re a great. Can Veneers Fix Gum Recession.
From www.konigdds.com
Can Porcelain Veneers Be Used to Fix Receding Gums and Worn Teeth Can Veneers Fix Gum Recession receding gums, or gingival recession, is an oral condition in which your gum tissue wears away or retracts. gum veneers cover unsightly gaps between teeth that have been subject to gingival and periodontal disease. They’re a great choice for people looking to improve their smile, but there are some things to consider when looking into them. if. Can Veneers Fix Gum Recession.
From museumdental.com
How to Fix receding Gums? Museum Dental Center Los Angeles Can Veneers Fix Gum Recession Cosmetically, your best options might be veneers, which can reduce the appearance of receding. if the gums are healthy and the recession is under control, veneers can be a good way for people with receding. receding gums, or gingival recession, is an oral condition in which your gum tissue wears away or retracts. In doing so, it exposes. Can Veneers Fix Gum Recession.
From www.lajolladentalboutique.com
Chao Pinhole® Surgical Technique San Diego, La Jolla Gum Recession Can Veneers Fix Gum Recession In doing so, it exposes more of the. receding gums, or gingival recession, is an oral condition in which your gum tissue wears away or retracts. gum veneers cover unsightly gaps between teeth that have been subject to gingival and periodontal disease. Gum veneers are removable devices made. gum recession is when your gum tissue pulls away. Can Veneers Fix Gum Recession.
From ar.inspiredpencil.com
Receding Gums Surgery Can Veneers Fix Gum Recession gum veneers cover unsightly gaps between teeth that have been subject to gingival and periodontal disease. They’re a great choice for people looking to improve their smile, but there are some things to consider when looking into them. It’s caused by a number. veneers are a popular cosmetic dental treatment that can help improve the appearance of your. Can Veneers Fix Gum Recession.
From www.stanleysmiles.com
How Can You Fix Gum Recession? Stanley Dentistry Can Veneers Fix Gum Recession if the gums are healthy and the recession is under control, veneers can be a good way for people with receding. They’re a great choice for people looking to improve their smile, but there are some things to consider when looking into them. gum recession is when your gum tissue pulls away from your teeth, exposing the roots. Can Veneers Fix Gum Recession.
From expertdental.in
A Detailed Note on Gum Recession Expert Dental Care Can Veneers Fix Gum Recession Gum veneers are removable devices made. gum veneers cover unsightly gaps between teeth that have been subject to gingival and periodontal disease. gum recession is when your gum tissue pulls away from your teeth, exposing the roots underneath. receding gums, or gingival recession, is an oral condition in which your gum tissue wears away or retracts. They’re. Can Veneers Fix Gum Recession.
From orchardcottagedental.co.uk
Can veneers fix gaps between teeth? Orchard Cottage Dental Can Veneers Fix Gum Recession gum recession is when your gum tissue pulls away from your teeth, exposing the roots underneath. Gum veneers are removable devices made. In doing so, it exposes more of the. receding gums, or gingival recession, is an oral condition in which your gum tissue wears away or retracts. veneers are a popular cosmetic dental treatment that can. Can Veneers Fix Gum Recession.
From giowrvapv.blob.core.windows.net
Can Veneers Cover Gum Recession at Barbara Roberts blog Can Veneers Fix Gum Recession In doing so, it exposes more of the. They’re a great choice for people looking to improve their smile, but there are some things to consider when looking into them. if the gums are healthy and the recession is under control, veneers can be a good way for people with receding. veneers are a popular cosmetic dental treatment. Can Veneers Fix Gum Recession.
From blog.dentalplans.com
Can Porcelain Veneers Fix Crooked Teeth? DentalPlans Blog Can Veneers Fix Gum Recession Cosmetically, your best options might be veneers, which can reduce the appearance of receding. gum recession is when your gum tissue pulls away from your teeth, exposing the roots underneath. Gum veneers are removable devices made. They’re a great choice for people looking to improve their smile, but there are some things to consider when looking into them. In. Can Veneers Fix Gum Recession.
From smileprep.com
Can Clear Aligners Fix Gum Recession? Smile Prep Can Veneers Fix Gum Recession In doing so, it exposes more of the. Cosmetically, your best options might be veneers, which can reduce the appearance of receding. veneers are a popular cosmetic dental treatment that can help improve the appearance of your teeth by covering up imperfections such as chips, cracks, and discoloration. gum recession is when your gum tissue pulls away from. Can Veneers Fix Gum Recession.
From www.southviewdentistrycharlotte.com
A Case Study on How to Fix Gum Recession Can Veneers Fix Gum Recession receding gums, or gingival recession, is an oral condition in which your gum tissue wears away or retracts. They’re a great choice for people looking to improve their smile, but there are some things to consider when looking into them. if the gums are healthy and the recession is under control, veneers can be a good way for. Can Veneers Fix Gum Recession.
From gumdiseaseguide.org
Fix Gaps Caused By Gum Recession Gum Disease Guide Can Veneers Fix Gum Recession It’s caused by a number. receding gums, or gingival recession, is an oral condition in which your gum tissue wears away or retracts. gum veneers cover unsightly gaps between teeth that have been subject to gingival and periodontal disease. In doing so, it exposes more of the. gum recession is when your gum tissue pulls away from. Can Veneers Fix Gum Recession.
From smileprep.com
Can Braces Fix Gum Recession? Smile Prep Can Veneers Fix Gum Recession Cosmetically, your best options might be veneers, which can reduce the appearance of receding. It’s caused by a number. Gum veneers are removable devices made. In doing so, it exposes more of the. veneers are a popular cosmetic dental treatment that can help improve the appearance of your teeth by covering up imperfections such as chips, cracks, and discoloration.. Can Veneers Fix Gum Recession.
From www.citydental.co.nz
How Long Do Veneers Last City Dental Can Veneers Fix Gum Recession They’re a great choice for people looking to improve their smile, but there are some things to consider when looking into them. gum recession is when your gum tissue pulls away from your teeth, exposing the roots underneath. Gum veneers are removable devices made. receding gums, or gingival recession, is an oral condition in which your gum tissue. Can Veneers Fix Gum Recession.
From www.resslerdental.com
Fix receding gums graft repair Boynton Beach Gum Specialist Can Veneers Fix Gum Recession receding gums, or gingival recession, is an oral condition in which your gum tissue wears away or retracts. In doing so, it exposes more of the. if the gums are healthy and the recession is under control, veneers can be a good way for people with receding. gum veneers cover unsightly gaps between teeth that have been. Can Veneers Fix Gum Recession.
From fyopukbea.blob.core.windows.net
Can Veneers Cause Gum Disease at Robert Bloss blog Can Veneers Fix Gum Recession They’re a great choice for people looking to improve their smile, but there are some things to consider when looking into them. Gum veneers are removable devices made. gum veneers cover unsightly gaps between teeth that have been subject to gingival and periodontal disease. receding gums, or gingival recession, is an oral condition in which your gum tissue. Can Veneers Fix Gum Recession.
From bestoralbelectrictoothbrush.com
How to Fix Receding Gum Line With These Powerful Techniques TeethMastery Can Veneers Fix Gum Recession gum veneers cover unsightly gaps between teeth that have been subject to gingival and periodontal disease. if the gums are healthy and the recession is under control, veneers can be a good way for people with receding. It’s caused by a number. Gum veneers are removable devices made. They’re a great choice for people looking to improve their. Can Veneers Fix Gum Recession.
From exysikyiv.blob.core.windows.net
Does Chewing Gum Cause Receding Gums at Patricia Sasso blog Can Veneers Fix Gum Recession They’re a great choice for people looking to improve their smile, but there are some things to consider when looking into them. gum veneers cover unsightly gaps between teeth that have been subject to gingival and periodontal disease. Gum veneers are removable devices made. receding gums, or gingival recession, is an oral condition in which your gum tissue. Can Veneers Fix Gum Recession.
From www.advanceddentistrysydney.com.au
How to Help Fix Gum Recession Can Veneers Fix Gum Recession if the gums are healthy and the recession is under control, veneers can be a good way for people with receding. In doing so, it exposes more of the. Gum veneers are removable devices made. Cosmetically, your best options might be veneers, which can reduce the appearance of receding. veneers are a popular cosmetic dental treatment that can. Can Veneers Fix Gum Recession.
From www.reddit.com
Veneers and gum recession? r/Dentistry Can Veneers Fix Gum Recession Gum veneers are removable devices made. gum veneers cover unsightly gaps between teeth that have been subject to gingival and periodontal disease. It’s caused by a number. They’re a great choice for people looking to improve their smile, but there are some things to consider when looking into them. receding gums, or gingival recession, is an oral condition. Can Veneers Fix Gum Recession.
From gumdiseaseguide.org
Gum recession Causes, Treatment, Prevention and More Can Veneers Fix Gum Recession Gum veneers are removable devices made. Cosmetically, your best options might be veneers, which can reduce the appearance of receding. They’re a great choice for people looking to improve their smile, but there are some things to consider when looking into them. It’s caused by a number. gum recession is when your gum tissue pulls away from your teeth,. Can Veneers Fix Gum Recession.
From createsmiles.com
Gum Recession CreateSmiles by Dr. Brad Lockhart Tustin Dentist Can Veneers Fix Gum Recession In doing so, it exposes more of the. gum veneers cover unsightly gaps between teeth that have been subject to gingival and periodontal disease. It’s caused by a number. veneers are a popular cosmetic dental treatment that can help improve the appearance of your teeth by covering up imperfections such as chips, cracks, and discoloration. Cosmetically, your best. Can Veneers Fix Gum Recession.
From www.youtube.com
Upper and Lower Teeth Gum Recession Treated with Alloderm & Emdogain Can Veneers Fix Gum Recession gum recession is when your gum tissue pulls away from your teeth, exposing the roots underneath. In doing so, it exposes more of the. if the gums are healthy and the recession is under control, veneers can be a good way for people with receding. They’re a great choice for people looking to improve their smile, but there. Can Veneers Fix Gum Recession.
From www.youtube.com
How to Regrow Receding Gums Fix Gum Recession at Home YouTube Can Veneers Fix Gum Recession They’re a great choice for people looking to improve their smile, but there are some things to consider when looking into them. Cosmetically, your best options might be veneers, which can reduce the appearance of receding. gum recession is when your gum tissue pulls away from your teeth, exposing the roots underneath. It’s caused by a number. veneers. Can Veneers Fix Gum Recession.
From exyubzyej.blob.core.windows.net
Can You Repair Veneer Teeth at Margie Higgins blog Can Veneers Fix Gum Recession It’s caused by a number. veneers are a popular cosmetic dental treatment that can help improve the appearance of your teeth by covering up imperfections such as chips, cracks, and discoloration. receding gums, or gingival recession, is an oral condition in which your gum tissue wears away or retracts. They’re a great choice for people looking to improve. Can Veneers Fix Gum Recession.
From giowrvapv.blob.core.windows.net
Can Veneers Cover Gum Recession at Barbara Roberts blog Can Veneers Fix Gum Recession receding gums, or gingival recession, is an oral condition in which your gum tissue wears away or retracts. In doing so, it exposes more of the. gum veneers cover unsightly gaps between teeth that have been subject to gingival and periodontal disease. It’s caused by a number. Cosmetically, your best options might be veneers, which can reduce the. Can Veneers Fix Gum Recession.
From giowrvapv.blob.core.windows.net
Can Veneers Cover Gum Recession at Barbara Roberts blog Can Veneers Fix Gum Recession gum recession is when your gum tissue pulls away from your teeth, exposing the roots underneath. gum veneers cover unsightly gaps between teeth that have been subject to gingival and periodontal disease. Gum veneers are removable devices made. Cosmetically, your best options might be veneers, which can reduce the appearance of receding. if the gums are healthy. Can Veneers Fix Gum Recession.
From giowrvapv.blob.core.windows.net
Can Veneers Cover Gum Recession at Barbara Roberts blog Can Veneers Fix Gum Recession It’s caused by a number. In doing so, it exposes more of the. veneers are a popular cosmetic dental treatment that can help improve the appearance of your teeth by covering up imperfections such as chips, cracks, and discoloration. Cosmetically, your best options might be veneers, which can reduce the appearance of receding. receding gums, or gingival recession,. Can Veneers Fix Gum Recession.
From www.masterpiecesmile.com
Porcelain Veneers and Gum Recession Philadelphia, PA Can Veneers Fix Gum Recession Gum veneers are removable devices made. if the gums are healthy and the recession is under control, veneers can be a good way for people with receding. In doing so, it exposes more of the. veneers are a popular cosmetic dental treatment that can help improve the appearance of your teeth by covering up imperfections such as chips,. Can Veneers Fix Gum Recession.