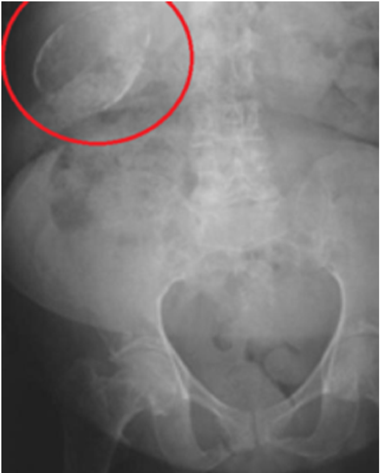
What Is A Porcelain Gallbladder . Porcelain gb is a complete or partial calcification of the entire gb wall thickness or its mucosal layer that is visualized on plain. The wall becomes brittle, hard, and often takes on a bluish hue. Learn about porcelain gallbladder, a condition characterized by the calcification of the gallbladder wall. Porcelain gallbladder refers to the condition in which the inner gallbladder wall is encrusted with calcium. Porcelain gallbladder is associated with an increased risk for gallbladder cancer, but the magnitude of risk appears to be small. Porcelain gallbladder is a rare condition characterized by complete or scattered encrustation of the gallbladder wall. Porcelain gallbladder is an extremely rare condition with an incidence of 0.06 to 0.8% and considered as high risk for carcinoma.
from www.cmaj.ca
Porcelain gallbladder is associated with an increased risk for gallbladder cancer, but the magnitude of risk appears to be small. Porcelain gallbladder refers to the condition in which the inner gallbladder wall is encrusted with calcium. The wall becomes brittle, hard, and often takes on a bluish hue. Porcelain gallbladder is a rare condition characterized by complete or scattered encrustation of the gallbladder wall. Porcelain gallbladder is an extremely rare condition with an incidence of 0.06 to 0.8% and considered as high risk for carcinoma. Porcelain gb is a complete or partial calcification of the entire gb wall thickness or its mucosal layer that is visualized on plain. Learn about porcelain gallbladder, a condition characterized by the calcification of the gallbladder wall.
Porcelain gallbladder CMAJ
What Is A Porcelain Gallbladder Porcelain gallbladder refers to the condition in which the inner gallbladder wall is encrusted with calcium. Porcelain gb is a complete or partial calcification of the entire gb wall thickness or its mucosal layer that is visualized on plain. Porcelain gallbladder is a rare condition characterized by complete or scattered encrustation of the gallbladder wall. Learn about porcelain gallbladder, a condition characterized by the calcification of the gallbladder wall. Porcelain gallbladder refers to the condition in which the inner gallbladder wall is encrusted with calcium. The wall becomes brittle, hard, and often takes on a bluish hue. Porcelain gallbladder is associated with an increased risk for gallbladder cancer, but the magnitude of risk appears to be small. Porcelain gallbladder is an extremely rare condition with an incidence of 0.06 to 0.8% and considered as high risk for carcinoma.
From www.sciencephoto.com
Xray showing a socalled porcelain gallbladder Stock Image F018 What Is A Porcelain Gallbladder The wall becomes brittle, hard, and often takes on a bluish hue. Porcelain gallbladder is an extremely rare condition with an incidence of 0.06 to 0.8% and considered as high risk for carcinoma. Porcelain gb is a complete or partial calcification of the entire gb wall thickness or its mucosal layer that is visualized on plain. Learn about porcelain gallbladder,. What Is A Porcelain Gallbladder.
From medicinembbs.blogspot.com
MBBS Medicine (Humanity First) Gallstones What Is A Porcelain Gallbladder Porcelain gallbladder is an extremely rare condition with an incidence of 0.06 to 0.8% and considered as high risk for carcinoma. Porcelain gallbladder is a rare condition characterized by complete or scattered encrustation of the gallbladder wall. The wall becomes brittle, hard, and often takes on a bluish hue. Porcelain gallbladder is associated with an increased risk for gallbladder cancer,. What Is A Porcelain Gallbladder.
From www.pinterest.com
Porcelain Gallbladder vs. Courvoisier’s Gallbladder BY MUNIZ, PA What Is A Porcelain Gallbladder Learn about porcelain gallbladder, a condition characterized by the calcification of the gallbladder wall. The wall becomes brittle, hard, and often takes on a bluish hue. Porcelain gallbladder is associated with an increased risk for gallbladder cancer, but the magnitude of risk appears to be small. Porcelain gallbladder is a rare condition characterized by complete or scattered encrustation of the. What Is A Porcelain Gallbladder.
From clinicalgate.com
Porcelain Gallbladder Clinical Gate What Is A Porcelain Gallbladder Porcelain gb is a complete or partial calcification of the entire gb wall thickness or its mucosal layer that is visualized on plain. Porcelain gallbladder is associated with an increased risk for gallbladder cancer, but the magnitude of risk appears to be small. Learn about porcelain gallbladder, a condition characterized by the calcification of the gallbladder wall. Porcelain gallbladder refers. What Is A Porcelain Gallbladder.
From www.youtube.com
Porcelain Gallbladder YouTube What Is A Porcelain Gallbladder Porcelain gallbladder refers to the condition in which the inner gallbladder wall is encrusted with calcium. Learn about porcelain gallbladder, a condition characterized by the calcification of the gallbladder wall. Porcelain gallbladder is an extremely rare condition with an incidence of 0.06 to 0.8% and considered as high risk for carcinoma. Porcelain gb is a complete or partial calcification of. What Is A Porcelain Gallbladder.
From www.semanticscholar.org
Figure 1 from Porcelain gallbladder. Semantic Scholar What Is A Porcelain Gallbladder Porcelain gallbladder is a rare condition characterized by complete or scattered encrustation of the gallbladder wall. Porcelain gallbladder is an extremely rare condition with an incidence of 0.06 to 0.8% and considered as high risk for carcinoma. Porcelain gb is a complete or partial calcification of the entire gb wall thickness or its mucosal layer that is visualized on plain.. What Is A Porcelain Gallbladder.
From healthjade.net
Porcelain gallbladder definition, causes, symptoms, diagnosis & treatment What Is A Porcelain Gallbladder Porcelain gallbladder is associated with an increased risk for gallbladder cancer, but the magnitude of risk appears to be small. Learn about porcelain gallbladder, a condition characterized by the calcification of the gallbladder wall. The wall becomes brittle, hard, and often takes on a bluish hue. Porcelain gb is a complete or partial calcification of the entire gb wall thickness. What Is A Porcelain Gallbladder.
From jetem.org
POCUS Porcelain Gallbladder. US 2. JETem 2021 JETem What Is A Porcelain Gallbladder Porcelain gallbladder is an extremely rare condition with an incidence of 0.06 to 0.8% and considered as high risk for carcinoma. Porcelain gallbladder refers to the condition in which the inner gallbladder wall is encrusted with calcium. Porcelain gallbladder is associated with an increased risk for gallbladder cancer, but the magnitude of risk appears to be small. The wall becomes. What Is A Porcelain Gallbladder.
From www.ehealthstar.com
Porcelain Gallbladder, Cancer Risk, Prognosis, Images eHealthStar What Is A Porcelain Gallbladder Porcelain gallbladder is an extremely rare condition with an incidence of 0.06 to 0.8% and considered as high risk for carcinoma. Porcelain gallbladder refers to the condition in which the inner gallbladder wall is encrusted with calcium. Porcelain gb is a complete or partial calcification of the entire gb wall thickness or its mucosal layer that is visualized on plain.. What Is A Porcelain Gallbladder.
From www.researchgate.net
Porcelain gallbladder. Ultrasound image showing contracted gallbladder What Is A Porcelain Gallbladder Porcelain gallbladder is associated with an increased risk for gallbladder cancer, but the magnitude of risk appears to be small. The wall becomes brittle, hard, and often takes on a bluish hue. Porcelain gallbladder is a rare condition characterized by complete or scattered encrustation of the gallbladder wall. Learn about porcelain gallbladder, a condition characterized by the calcification of the. What Is A Porcelain Gallbladder.
From www.wikidoc.org
Porcelain gallbladder wikidoc What Is A Porcelain Gallbladder The wall becomes brittle, hard, and often takes on a bluish hue. Porcelain gallbladder is an extremely rare condition with an incidence of 0.06 to 0.8% and considered as high risk for carcinoma. Learn about porcelain gallbladder, a condition characterized by the calcification of the gallbladder wall. Porcelain gallbladder refers to the condition in which the inner gallbladder wall is. What Is A Porcelain Gallbladder.
From radiopaedia.org
Porcelain gallbladder Image What Is A Porcelain Gallbladder Porcelain gallbladder is a rare condition characterized by complete or scattered encrustation of the gallbladder wall. Porcelain gallbladder refers to the condition in which the inner gallbladder wall is encrusted with calcium. Learn about porcelain gallbladder, a condition characterized by the calcification of the gallbladder wall. The wall becomes brittle, hard, and often takes on a bluish hue. Porcelain gallbladder. What Is A Porcelain Gallbladder.
From www.cureus.com
Cureus CT Imaging Findings of Porcelain Gallbladder and Epiploic What Is A Porcelain Gallbladder Porcelain gb is a complete or partial calcification of the entire gb wall thickness or its mucosal layer that is visualized on plain. Learn about porcelain gallbladder, a condition characterized by the calcification of the gallbladder wall. Porcelain gallbladder is a rare condition characterized by complete or scattered encrustation of the gallbladder wall. Porcelain gallbladder refers to the condition in. What Is A Porcelain Gallbladder.
From www.slideserve.com
PPT Gallbladder Disease PowerPoint Presentation, free download ID What Is A Porcelain Gallbladder Porcelain gb is a complete or partial calcification of the entire gb wall thickness or its mucosal layer that is visualized on plain. Porcelain gallbladder is an extremely rare condition with an incidence of 0.06 to 0.8% and considered as high risk for carcinoma. Porcelain gallbladder is associated with an increased risk for gallbladder cancer, but the magnitude of risk. What Is A Porcelain Gallbladder.
From www.svuhradiology.ie
Porcelain gallbladder Radiology at St. Vincent's University Hospital What Is A Porcelain Gallbladder Porcelain gallbladder is a rare condition characterized by complete or scattered encrustation of the gallbladder wall. Porcelain gb is a complete or partial calcification of the entire gb wall thickness or its mucosal layer that is visualized on plain. Learn about porcelain gallbladder, a condition characterized by the calcification of the gallbladder wall. Porcelain gallbladder is an extremely rare condition. What Is A Porcelain Gallbladder.
From health.gov.capital
What is porcelain gallbladder? Health.Gov.Capital What Is A Porcelain Gallbladder Porcelain gallbladder is an extremely rare condition with an incidence of 0.06 to 0.8% and considered as high risk for carcinoma. Porcelain gallbladder is associated with an increased risk for gallbladder cancer, but the magnitude of risk appears to be small. Porcelain gallbladder refers to the condition in which the inner gallbladder wall is encrusted with calcium. Porcelain gb is. What Is A Porcelain Gallbladder.
From www.slideserve.com
PPT Diseases of the Gallbladder and Biliary Tract PowerPoint What Is A Porcelain Gallbladder The wall becomes brittle, hard, and often takes on a bluish hue. Porcelain gallbladder refers to the condition in which the inner gallbladder wall is encrusted with calcium. Porcelain gb is a complete or partial calcification of the entire gb wall thickness or its mucosal layer that is visualized on plain. Porcelain gallbladder is an extremely rare condition with an. What Is A Porcelain Gallbladder.
From www.researchgate.net
Porcelain gallbladder. Ultrasound of the gallbladder reveals an What Is A Porcelain Gallbladder Porcelain gallbladder is an extremely rare condition with an incidence of 0.06 to 0.8% and considered as high risk for carcinoma. Porcelain gallbladder refers to the condition in which the inner gallbladder wall is encrusted with calcium. Porcelain gb is a complete or partial calcification of the entire gb wall thickness or its mucosal layer that is visualized on plain.. What Is A Porcelain Gallbladder.
From www.alamy.com
Xray showing a socalled porcelain gallbladder Stock Photo Alamy What Is A Porcelain Gallbladder Learn about porcelain gallbladder, a condition characterized by the calcification of the gallbladder wall. The wall becomes brittle, hard, and often takes on a bluish hue. Porcelain gb is a complete or partial calcification of the entire gb wall thickness or its mucosal layer that is visualized on plain. Porcelain gallbladder is a rare condition characterized by complete or scattered. What Is A Porcelain Gallbladder.
From www.slideserve.com
PPT GALLSTONES AND ITS COMPLICATIONS PowerPoint Presentation, free What Is A Porcelain Gallbladder Porcelain gb is a complete or partial calcification of the entire gb wall thickness or its mucosal layer that is visualized on plain. The wall becomes brittle, hard, and often takes on a bluish hue. Porcelain gallbladder is associated with an increased risk for gallbladder cancer, but the magnitude of risk appears to be small. Porcelain gallbladder is a rare. What Is A Porcelain Gallbladder.
From ultrasound-cases.blogspot.com
Porcelain Gallbladder Ultrasound Cases Info What Is A Porcelain Gallbladder The wall becomes brittle, hard, and often takes on a bluish hue. Porcelain gallbladder refers to the condition in which the inner gallbladder wall is encrusted with calcium. Porcelain gallbladder is a rare condition characterized by complete or scattered encrustation of the gallbladder wall. Porcelain gallbladder is associated with an increased risk for gallbladder cancer, but the magnitude of risk. What Is A Porcelain Gallbladder.
From www.dramitajain.com
What to Know About Porcelain Gallbladder? What Is A Porcelain Gallbladder Porcelain gallbladder is an extremely rare condition with an incidence of 0.06 to 0.8% and considered as high risk for carcinoma. Learn about porcelain gallbladder, a condition characterized by the calcification of the gallbladder wall. Porcelain gallbladder is associated with an increased risk for gallbladder cancer, but the magnitude of risk appears to be small. The wall becomes brittle, hard,. What Is A Porcelain Gallbladder.
From www.cmaj.ca
Porcelain gallbladder CMAJ What Is A Porcelain Gallbladder Porcelain gallbladder is an extremely rare condition with an incidence of 0.06 to 0.8% and considered as high risk for carcinoma. Porcelain gallbladder is a rare condition characterized by complete or scattered encrustation of the gallbladder wall. Porcelain gb is a complete or partial calcification of the entire gb wall thickness or its mucosal layer that is visualized on plain.. What Is A Porcelain Gallbladder.
From gallbladder.thecommonvein.net
Carcinoma Gallbladder What Is A Porcelain Gallbladder Porcelain gb is a complete or partial calcification of the entire gb wall thickness or its mucosal layer that is visualized on plain. Porcelain gallbladder is a rare condition characterized by complete or scattered encrustation of the gallbladder wall. Porcelain gallbladder refers to the condition in which the inner gallbladder wall is encrusted with calcium. The wall becomes brittle, hard,. What Is A Porcelain Gallbladder.
From rebelem.com
Porcelain Gallbladder REBEL EM Emergency Medicine Blog What Is A Porcelain Gallbladder Porcelain gallbladder is an extremely rare condition with an incidence of 0.06 to 0.8% and considered as high risk for carcinoma. Learn about porcelain gallbladder, a condition characterized by the calcification of the gallbladder wall. The wall becomes brittle, hard, and often takes on a bluish hue. Porcelain gallbladder is associated with an increased risk for gallbladder cancer, but the. What Is A Porcelain Gallbladder.
From www.youtube.com
porcelain gallbladder YouTube What Is A Porcelain Gallbladder The wall becomes brittle, hard, and often takes on a bluish hue. Porcelain gallbladder is associated with an increased risk for gallbladder cancer, but the magnitude of risk appears to be small. Porcelain gallbladder is an extremely rare condition with an incidence of 0.06 to 0.8% and considered as high risk for carcinoma. Porcelain gallbladder is a rare condition characterized. What Is A Porcelain Gallbladder.
From ar.inspiredpencil.com
Porcelain Gallbladder What Is A Porcelain Gallbladder Porcelain gallbladder is an extremely rare condition with an incidence of 0.06 to 0.8% and considered as high risk for carcinoma. Porcelain gallbladder is a rare condition characterized by complete or scattered encrustation of the gallbladder wall. Porcelain gallbladder refers to the condition in which the inner gallbladder wall is encrusted with calcium. Porcelain gb is a complete or partial. What Is A Porcelain Gallbladder.
From www.eurorad.org
Porcelain gall bladder Eurorad What Is A Porcelain Gallbladder Porcelain gallbladder is associated with an increased risk for gallbladder cancer, but the magnitude of risk appears to be small. Porcelain gallbladder refers to the condition in which the inner gallbladder wall is encrusted with calcium. Porcelain gallbladder is an extremely rare condition with an incidence of 0.06 to 0.8% and considered as high risk for carcinoma. Porcelain gallbladder is. What Is A Porcelain Gallbladder.
From www.pinterest.com
Typical picture of a porcelain gallbladder (calcification of the wall What Is A Porcelain Gallbladder Porcelain gallbladder refers to the condition in which the inner gallbladder wall is encrusted with calcium. Porcelain gallbladder is a rare condition characterized by complete or scattered encrustation of the gallbladder wall. Porcelain gallbladder is associated with an increased risk for gallbladder cancer, but the magnitude of risk appears to be small. The wall becomes brittle, hard, and often takes. What Is A Porcelain Gallbladder.
From radiologycases.my
Porcelain gallbladder Radiology Cases What Is A Porcelain Gallbladder Porcelain gallbladder is a rare condition characterized by complete or scattered encrustation of the gallbladder wall. Porcelain gallbladder is an extremely rare condition with an incidence of 0.06 to 0.8% and considered as high risk for carcinoma. The wall becomes brittle, hard, and often takes on a bluish hue. Porcelain gallbladder refers to the condition in which the inner gallbladder. What Is A Porcelain Gallbladder.
From clinicalgate.com
Porcelain Gallbladder Clinical Gate What Is A Porcelain Gallbladder Porcelain gallbladder is a rare condition characterized by complete or scattered encrustation of the gallbladder wall. Porcelain gallbladder refers to the condition in which the inner gallbladder wall is encrusted with calcium. Learn about porcelain gallbladder, a condition characterized by the calcification of the gallbladder wall. Porcelain gb is a complete or partial calcification of the entire gb wall thickness. What Is A Porcelain Gallbladder.
From pathologyapps.com
porcelain gallbladder biliary tract histology What Is A Porcelain Gallbladder Porcelain gallbladder is associated with an increased risk for gallbladder cancer, but the magnitude of risk appears to be small. Porcelain gb is a complete or partial calcification of the entire gb wall thickness or its mucosal layer that is visualized on plain. Porcelain gallbladder is a rare condition characterized by complete or scattered encrustation of the gallbladder wall. Learn. What Is A Porcelain Gallbladder.
From www.clinmedjournals.org
Clinical Image Porcelain Gallbladder What Is A Porcelain Gallbladder The wall becomes brittle, hard, and often takes on a bluish hue. Porcelain gallbladder is a rare condition characterized by complete or scattered encrustation of the gallbladder wall. Porcelain gallbladder refers to the condition in which the inner gallbladder wall is encrusted with calcium. Porcelain gallbladder is an extremely rare condition with an incidence of 0.06 to 0.8% and considered. What Is A Porcelain Gallbladder.
From fineartamerica.com
Porcelain Gallbladder Photograph by Zephyr/science Photo Library Fine What Is A Porcelain Gallbladder Porcelain gallbladder is a rare condition characterized by complete or scattered encrustation of the gallbladder wall. Porcelain gallbladder refers to the condition in which the inner gallbladder wall is encrusted with calcium. Porcelain gb is a complete or partial calcification of the entire gb wall thickness or its mucosal layer that is visualized on plain. Porcelain gallbladder is an extremely. What Is A Porcelain Gallbladder.
From jetem.org
POCUS Porcelain Gallbladder. CT. JETem 2021 JETem What Is A Porcelain Gallbladder Porcelain gallbladder is a rare condition characterized by complete or scattered encrustation of the gallbladder wall. Porcelain gb is a complete or partial calcification of the entire gb wall thickness or its mucosal layer that is visualized on plain. Porcelain gallbladder refers to the condition in which the inner gallbladder wall is encrusted with calcium. Learn about porcelain gallbladder, a. What Is A Porcelain Gallbladder.