What Does Pulmonary Embolism Look Like On X Ray . Atelectasis or parenchymal abnormality (68%) 3. The radiologist directs the tip of the catheter into the different branches of the right and left pulmonary arteries and injects the contrast dye,. Early diagnosis and anticoagulation are critical in pulmonary embolism; Known as a computed tomographic pulmonary angiography (ctpa), this scan. Pe is apparent as a ventilated. Although uncommon and rarely seen, radiologists should also be vigilant for classical pe signs on cxr , including hampton. This noninvasive test shows images of your heart and lungs on film. Pulmonary embolism (pe) refers to partial or complete embolic occlusion of one or more pulmonary arteries, most commonly due to thrombus.
from openpress.usask.ca
Early diagnosis and anticoagulation are critical in pulmonary embolism; This noninvasive test shows images of your heart and lungs on film. Although uncommon and rarely seen, radiologists should also be vigilant for classical pe signs on cxr , including hampton. Pulmonary embolism (pe) refers to partial or complete embolic occlusion of one or more pulmonary arteries, most commonly due to thrombus. The radiologist directs the tip of the catheter into the different branches of the right and left pulmonary arteries and injects the contrast dye,. Atelectasis or parenchymal abnormality (68%) 3. Pe is apparent as a ventilated. Known as a computed tomographic pulmonary angiography (ctpa), this scan.
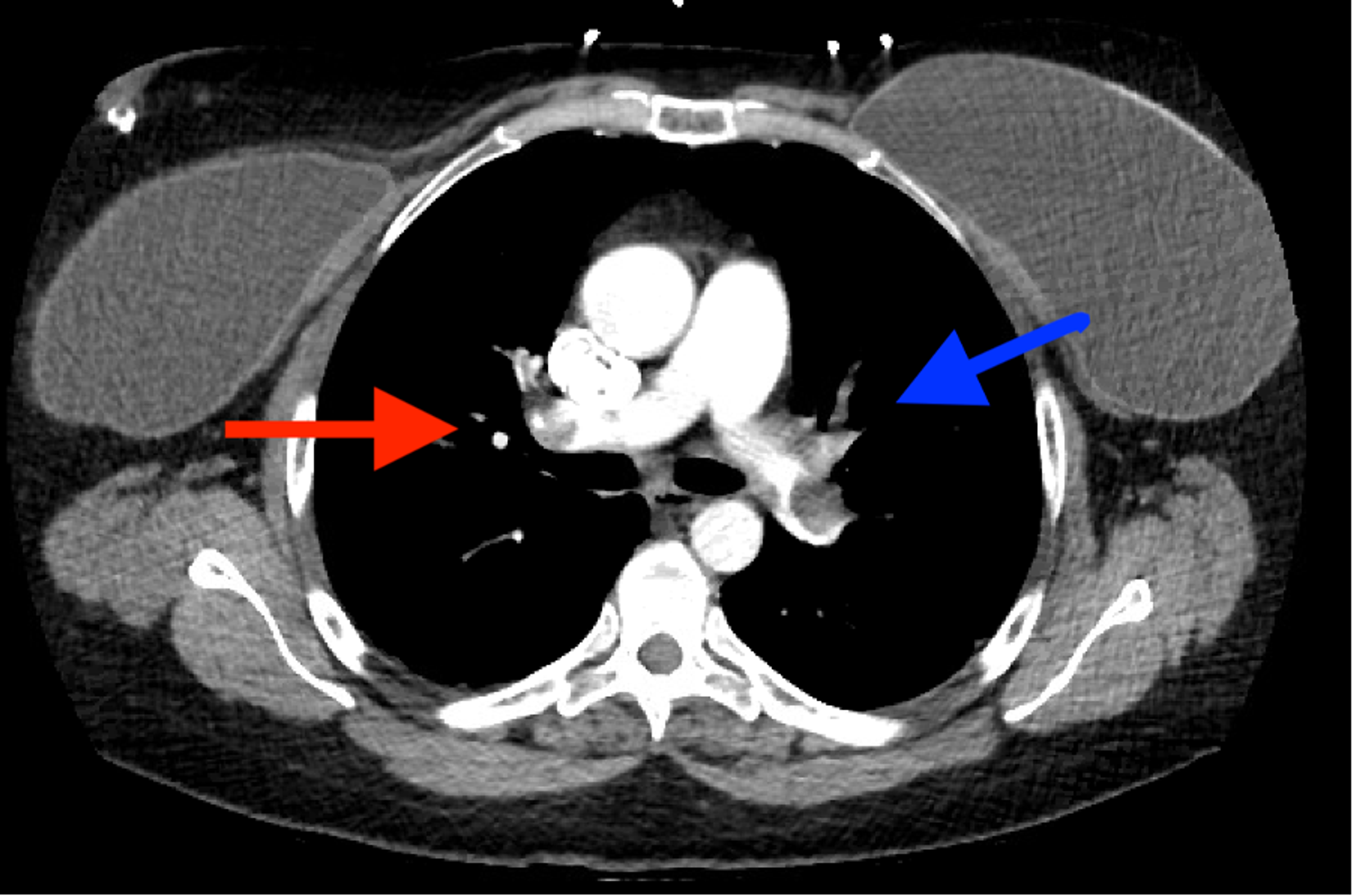
Pulmonary Thromboembolism Undergraduate Diagnostic Imaging Fundamentals
What Does Pulmonary Embolism Look Like On X Ray This noninvasive test shows images of your heart and lungs on film. This noninvasive test shows images of your heart and lungs on film. Pulmonary embolism (pe) refers to partial or complete embolic occlusion of one or more pulmonary arteries, most commonly due to thrombus. Atelectasis or parenchymal abnormality (68%) 3. The radiologist directs the tip of the catheter into the different branches of the right and left pulmonary arteries and injects the contrast dye,. Although uncommon and rarely seen, radiologists should also be vigilant for classical pe signs on cxr , including hampton. Early diagnosis and anticoagulation are critical in pulmonary embolism; Pe is apparent as a ventilated. Known as a computed tomographic pulmonary angiography (ctpa), this scan.
From emergencymedicinecases.com
Pulmonary Embolism Emergency Medicine Cases What Does Pulmonary Embolism Look Like On X Ray This noninvasive test shows images of your heart and lungs on film. Early diagnosis and anticoagulation are critical in pulmonary embolism; Pe is apparent as a ventilated. Pulmonary embolism (pe) refers to partial or complete embolic occlusion of one or more pulmonary arteries, most commonly due to thrombus. Although uncommon and rarely seen, radiologists should also be vigilant for classical. What Does Pulmonary Embolism Look Like On X Ray.
From medicalschoolquicktopics.blogspot.com
Air embolism,what to know? What Does Pulmonary Embolism Look Like On X Ray Known as a computed tomographic pulmonary angiography (ctpa), this scan. Atelectasis or parenchymal abnormality (68%) 3. Pe is apparent as a ventilated. Pulmonary embolism (pe) refers to partial or complete embolic occlusion of one or more pulmonary arteries, most commonly due to thrombus. This noninvasive test shows images of your heart and lungs on film. Although uncommon and rarely seen,. What Does Pulmonary Embolism Look Like On X Ray.
From www.medicalnewstoday.com
What are the different types of pulmonary embolism? What Does Pulmonary Embolism Look Like On X Ray Atelectasis or parenchymal abnormality (68%) 3. Early diagnosis and anticoagulation are critical in pulmonary embolism; The radiologist directs the tip of the catheter into the different branches of the right and left pulmonary arteries and injects the contrast dye,. Although uncommon and rarely seen, radiologists should also be vigilant for classical pe signs on cxr , including hampton. This noninvasive. What Does Pulmonary Embolism Look Like On X Ray.
From ar.inspiredpencil.com
Pulmonary Embolism X Ray What Does Pulmonary Embolism Look Like On X Ray The radiologist directs the tip of the catheter into the different branches of the right and left pulmonary arteries and injects the contrast dye,. Although uncommon and rarely seen, radiologists should also be vigilant for classical pe signs on cxr , including hampton. Early diagnosis and anticoagulation are critical in pulmonary embolism; Atelectasis or parenchymal abnormality (68%) 3. Known as. What Does Pulmonary Embolism Look Like On X Ray.
From www.cureus.com
Cureus Bilateral Pulmonary Emboli on Dabigatran What Does Pulmonary Embolism Look Like On X Ray Pe is apparent as a ventilated. Early diagnosis and anticoagulation are critical in pulmonary embolism; Atelectasis or parenchymal abnormality (68%) 3. Pulmonary embolism (pe) refers to partial or complete embolic occlusion of one or more pulmonary arteries, most commonly due to thrombus. Known as a computed tomographic pulmonary angiography (ctpa), this scan. Although uncommon and rarely seen, radiologists should also. What Does Pulmonary Embolism Look Like On X Ray.
From pmj.bmj.com
Radiographic features of pulmonary embolism Hampton's hump What Does Pulmonary Embolism Look Like On X Ray Pulmonary embolism (pe) refers to partial or complete embolic occlusion of one or more pulmonary arteries, most commonly due to thrombus. The radiologist directs the tip of the catheter into the different branches of the right and left pulmonary arteries and injects the contrast dye,. This noninvasive test shows images of your heart and lungs on film. Known as a. What Does Pulmonary Embolism Look Like On X Ray.
From www.sciencephoto.com
Pulmonary embolism, CT scan Stock Image C010/4916 Science Photo What Does Pulmonary Embolism Look Like On X Ray Although uncommon and rarely seen, radiologists should also be vigilant for classical pe signs on cxr , including hampton. The radiologist directs the tip of the catheter into the different branches of the right and left pulmonary arteries and injects the contrast dye,. This noninvasive test shows images of your heart and lungs on film. Known as a computed tomographic. What Does Pulmonary Embolism Look Like On X Ray.
From app.figure1.com
Chest xray of patient with suspected pulmonary embolism (PE) What Does Pulmonary Embolism Look Like On X Ray Known as a computed tomographic pulmonary angiography (ctpa), this scan. Pulmonary embolism (pe) refers to partial or complete embolic occlusion of one or more pulmonary arteries, most commonly due to thrombus. The radiologist directs the tip of the catheter into the different branches of the right and left pulmonary arteries and injects the contrast dye,. Pe is apparent as a. What Does Pulmonary Embolism Look Like On X Ray.
From ar.inspiredpencil.com
Pulmonary Embolism Chest X Ray What Does Pulmonary Embolism Look Like On X Ray The radiologist directs the tip of the catheter into the different branches of the right and left pulmonary arteries and injects the contrast dye,. Atelectasis or parenchymal abnormality (68%) 3. Pulmonary embolism (pe) refers to partial or complete embolic occlusion of one or more pulmonary arteries, most commonly due to thrombus. Although uncommon and rarely seen, radiologists should also be. What Does Pulmonary Embolism Look Like On X Ray.
From ar.inspiredpencil.com
Pulmonary Embolism Chest X Ray What Does Pulmonary Embolism Look Like On X Ray Pe is apparent as a ventilated. Pulmonary embolism (pe) refers to partial or complete embolic occlusion of one or more pulmonary arteries, most commonly due to thrombus. Early diagnosis and anticoagulation are critical in pulmonary embolism; Atelectasis or parenchymal abnormality (68%) 3. Known as a computed tomographic pulmonary angiography (ctpa), this scan. This noninvasive test shows images of your heart. What Does Pulmonary Embolism Look Like On X Ray.
From mungfali.com
Pulmonary Embolism Chest X Ray What Does Pulmonary Embolism Look Like On X Ray This noninvasive test shows images of your heart and lungs on film. Atelectasis or parenchymal abnormality (68%) 3. Known as a computed tomographic pulmonary angiography (ctpa), this scan. Pulmonary embolism (pe) refers to partial or complete embolic occlusion of one or more pulmonary arteries, most commonly due to thrombus. The radiologist directs the tip of the catheter into the different. What Does Pulmonary Embolism Look Like On X Ray.
From www.youtube.com
How to Identify a Pulmonary Embolism on CT Search Pattern for CTA What Does Pulmonary Embolism Look Like On X Ray This noninvasive test shows images of your heart and lungs on film. Pulmonary embolism (pe) refers to partial or complete embolic occlusion of one or more pulmonary arteries, most commonly due to thrombus. Early diagnosis and anticoagulation are critical in pulmonary embolism; Known as a computed tomographic pulmonary angiography (ctpa), this scan. Atelectasis or parenchymal abnormality (68%) 3. Although uncommon. What Does Pulmonary Embolism Look Like On X Ray.
From www.youtube.com
PULMONARY EMBOLI XRAY MedEd PatientExperience YouTube What Does Pulmonary Embolism Look Like On X Ray This noninvasive test shows images of your heart and lungs on film. Atelectasis or parenchymal abnormality (68%) 3. Pulmonary embolism (pe) refers to partial or complete embolic occlusion of one or more pulmonary arteries, most commonly due to thrombus. Pe is apparent as a ventilated. Known as a computed tomographic pulmonary angiography (ctpa), this scan. Early diagnosis and anticoagulation are. What Does Pulmonary Embolism Look Like On X Ray.
From heart.bmj.com
Saddle pulmonary embolism diagnosis by spiral computed tomography Heart What Does Pulmonary Embolism Look Like On X Ray Pe is apparent as a ventilated. Early diagnosis and anticoagulation are critical in pulmonary embolism; This noninvasive test shows images of your heart and lungs on film. Atelectasis or parenchymal abnormality (68%) 3. Known as a computed tomographic pulmonary angiography (ctpa), this scan. The radiologist directs the tip of the catheter into the different branches of the right and left. What Does Pulmonary Embolism Look Like On X Ray.
From radrounds.com
Saddle Pulmonary Embolism CTA Chest radRounds Radiology Network What Does Pulmonary Embolism Look Like On X Ray Early diagnosis and anticoagulation are critical in pulmonary embolism; Pe is apparent as a ventilated. Although uncommon and rarely seen, radiologists should also be vigilant for classical pe signs on cxr , including hampton. Known as a computed tomographic pulmonary angiography (ctpa), this scan. The radiologist directs the tip of the catheter into the different branches of the right and. What Does Pulmonary Embolism Look Like On X Ray.
From ddxof.com
Pulmonary Embolism in Hospitalized Patients What Does Pulmonary Embolism Look Like On X Ray Atelectasis or parenchymal abnormality (68%) 3. Although uncommon and rarely seen, radiologists should also be vigilant for classical pe signs on cxr , including hampton. The radiologist directs the tip of the catheter into the different branches of the right and left pulmonary arteries and injects the contrast dye,. Early diagnosis and anticoagulation are critical in pulmonary embolism; Pe is. What Does Pulmonary Embolism Look Like On X Ray.
From learningradiology.com
Learning Radiology pulmonary, embolism, embolus What Does Pulmonary Embolism Look Like On X Ray Known as a computed tomographic pulmonary angiography (ctpa), this scan. This noninvasive test shows images of your heart and lungs on film. The radiologist directs the tip of the catheter into the different branches of the right and left pulmonary arteries and injects the contrast dye,. Atelectasis or parenchymal abnormality (68%) 3. Although uncommon and rarely seen, radiologists should also. What Does Pulmonary Embolism Look Like On X Ray.
From medicoapps.org
Pulmonary Embolism What Does Pulmonary Embolism Look Like On X Ray Known as a computed tomographic pulmonary angiography (ctpa), this scan. Pe is apparent as a ventilated. Although uncommon and rarely seen, radiologists should also be vigilant for classical pe signs on cxr , including hampton. Atelectasis or parenchymal abnormality (68%) 3. Early diagnosis and anticoagulation are critical in pulmonary embolism; This noninvasive test shows images of your heart and lungs. What Does Pulmonary Embolism Look Like On X Ray.
From openpress.usask.ca
Pulmonary Thromboembolism Undergraduate Diagnostic Imaging Fundamentals What Does Pulmonary Embolism Look Like On X Ray Pulmonary embolism (pe) refers to partial or complete embolic occlusion of one or more pulmonary arteries, most commonly due to thrombus. Pe is apparent as a ventilated. The radiologist directs the tip of the catheter into the different branches of the right and left pulmonary arteries and injects the contrast dye,. Known as a computed tomographic pulmonary angiography (ctpa), this. What Does Pulmonary Embolism Look Like On X Ray.
From ar.inspiredpencil.com
Pulmonary Embolism Chest X Ray What Does Pulmonary Embolism Look Like On X Ray This noninvasive test shows images of your heart and lungs on film. The radiologist directs the tip of the catheter into the different branches of the right and left pulmonary arteries and injects the contrast dye,. Atelectasis or parenchymal abnormality (68%) 3. Pulmonary embolism (pe) refers to partial or complete embolic occlusion of one or more pulmonary arteries, most commonly. What Does Pulmonary Embolism Look Like On X Ray.
From www.ahajournals.org
Westermark’s and Palla’s Signs in Acute Pulmonary Embolism Circulation What Does Pulmonary Embolism Look Like On X Ray Pe is apparent as a ventilated. Early diagnosis and anticoagulation are critical in pulmonary embolism; Although uncommon and rarely seen, radiologists should also be vigilant for classical pe signs on cxr , including hampton. The radiologist directs the tip of the catheter into the different branches of the right and left pulmonary arteries and injects the contrast dye,. Pulmonary embolism. What Does Pulmonary Embolism Look Like On X Ray.
From fity.club
Pulmonary Embolism X Ray Google Search Chest Pathology What Does Pulmonary Embolism Look Like On X Ray Atelectasis or parenchymal abnormality (68%) 3. Known as a computed tomographic pulmonary angiography (ctpa), this scan. Early diagnosis and anticoagulation are critical in pulmonary embolism; The radiologist directs the tip of the catheter into the different branches of the right and left pulmonary arteries and injects the contrast dye,. This noninvasive test shows images of your heart and lungs on. What Does Pulmonary Embolism Look Like On X Ray.
From ctisus.com
Extensive Pulmonary Embolism Chest Case Studies CTisus CT Scanning What Does Pulmonary Embolism Look Like On X Ray Pe is apparent as a ventilated. Pulmonary embolism (pe) refers to partial or complete embolic occlusion of one or more pulmonary arteries, most commonly due to thrombus. The radiologist directs the tip of the catheter into the different branches of the right and left pulmonary arteries and injects the contrast dye,. Early diagnosis and anticoagulation are critical in pulmonary embolism;. What Does Pulmonary Embolism Look Like On X Ray.
From mungfali.com
Pulmonary Embolism Chest X Ray Findings What Does Pulmonary Embolism Look Like On X Ray Early diagnosis and anticoagulation are critical in pulmonary embolism; Pe is apparent as a ventilated. Known as a computed tomographic pulmonary angiography (ctpa), this scan. This noninvasive test shows images of your heart and lungs on film. Pulmonary embolism (pe) refers to partial or complete embolic occlusion of one or more pulmonary arteries, most commonly due to thrombus. Although uncommon. What Does Pulmonary Embolism Look Like On X Ray.
From ar.inspiredpencil.com
Pulmonary Embolism Chest X Ray What Does Pulmonary Embolism Look Like On X Ray Early diagnosis and anticoagulation are critical in pulmonary embolism; Pulmonary embolism (pe) refers to partial or complete embolic occlusion of one or more pulmonary arteries, most commonly due to thrombus. The radiologist directs the tip of the catheter into the different branches of the right and left pulmonary arteries and injects the contrast dye,. This noninvasive test shows images of. What Does Pulmonary Embolism Look Like On X Ray.
From yu4med.blogspot.com
Med4yu Pulmonary Embolism What Does Pulmonary Embolism Look Like On X Ray Early diagnosis and anticoagulation are critical in pulmonary embolism; Known as a computed tomographic pulmonary angiography (ctpa), this scan. The radiologist directs the tip of the catheter into the different branches of the right and left pulmonary arteries and injects the contrast dye,. Atelectasis or parenchymal abnormality (68%) 3. This noninvasive test shows images of your heart and lungs on. What Does Pulmonary Embolism Look Like On X Ray.
From ar.inspiredpencil.com
Pulmonary Embolism Chest X Ray What Does Pulmonary Embolism Look Like On X Ray Known as a computed tomographic pulmonary angiography (ctpa), this scan. This noninvasive test shows images of your heart and lungs on film. The radiologist directs the tip of the catheter into the different branches of the right and left pulmonary arteries and injects the contrast dye,. Pulmonary embolism (pe) refers to partial or complete embolic occlusion of one or more. What Does Pulmonary Embolism Look Like On X Ray.
From www.pinterest.com
Pulmonary Embolism Pulmonary embolism, Pulmonary, Radiography What Does Pulmonary Embolism Look Like On X Ray Known as a computed tomographic pulmonary angiography (ctpa), this scan. Although uncommon and rarely seen, radiologists should also be vigilant for classical pe signs on cxr , including hampton. Pulmonary embolism (pe) refers to partial or complete embolic occlusion of one or more pulmonary arteries, most commonly due to thrombus. This noninvasive test shows images of your heart and lungs. What Does Pulmonary Embolism Look Like On X Ray.
From www.sciencephoto.com
Acute pulmonary embolism, CT scan Stock Image C029/4561 Science What Does Pulmonary Embolism Look Like On X Ray The radiologist directs the tip of the catheter into the different branches of the right and left pulmonary arteries and injects the contrast dye,. This noninvasive test shows images of your heart and lungs on film. Pulmonary embolism (pe) refers to partial or complete embolic occlusion of one or more pulmonary arteries, most commonly due to thrombus. Although uncommon and. What Does Pulmonary Embolism Look Like On X Ray.
From www.slideshare.net
Imaging of Pulmonary Embolism What Does Pulmonary Embolism Look Like On X Ray Known as a computed tomographic pulmonary angiography (ctpa), this scan. This noninvasive test shows images of your heart and lungs on film. Pe is apparent as a ventilated. Early diagnosis and anticoagulation are critical in pulmonary embolism; Atelectasis or parenchymal abnormality (68%) 3. Pulmonary embolism (pe) refers to partial or complete embolic occlusion of one or more pulmonary arteries, most. What Does Pulmonary Embolism Look Like On X Ray.
From journal.wiredreflexes.com
Pulmonary Embolism What Does Pulmonary Embolism Look Like On X Ray This noninvasive test shows images of your heart and lungs on film. Atelectasis or parenchymal abnormality (68%) 3. Pulmonary embolism (pe) refers to partial or complete embolic occlusion of one or more pulmonary arteries, most commonly due to thrombus. Known as a computed tomographic pulmonary angiography (ctpa), this scan. The radiologist directs the tip of the catheter into the different. What Does Pulmonary Embolism Look Like On X Ray.
From ar.inspiredpencil.com
Saddle Pulmonary Embolism Xray What Does Pulmonary Embolism Look Like On X Ray Known as a computed tomographic pulmonary angiography (ctpa), this scan. Pulmonary embolism (pe) refers to partial or complete embolic occlusion of one or more pulmonary arteries, most commonly due to thrombus. Atelectasis or parenchymal abnormality (68%) 3. Pe is apparent as a ventilated. Although uncommon and rarely seen, radiologists should also be vigilant for classical pe signs on cxr ,. What Does Pulmonary Embolism Look Like On X Ray.
From www.youtube.com
PULMONARY EMBOLISM XRAY FINDINGS ALL DIFFERENTIALS YouTube What Does Pulmonary Embolism Look Like On X Ray The radiologist directs the tip of the catheter into the different branches of the right and left pulmonary arteries and injects the contrast dye,. Atelectasis or parenchymal abnormality (68%) 3. Early diagnosis and anticoagulation are critical in pulmonary embolism; Known as a computed tomographic pulmonary angiography (ctpa), this scan. Pe is apparent as a ventilated. This noninvasive test shows images. What Does Pulmonary Embolism Look Like On X Ray.
From healthjade.net
Pulmonary Embolism Causes, Signs & Symptoms, Diagnosis, Treatment What Does Pulmonary Embolism Look Like On X Ray Atelectasis or parenchymal abnormality (68%) 3. Known as a computed tomographic pulmonary angiography (ctpa), this scan. Although uncommon and rarely seen, radiologists should also be vigilant for classical pe signs on cxr , including hampton. Pulmonary embolism (pe) refers to partial or complete embolic occlusion of one or more pulmonary arteries, most commonly due to thrombus. The radiologist directs the. What Does Pulmonary Embolism Look Like On X Ray.
From animalia-life.club
Chest X Ray Pulmonary Embolism What Does Pulmonary Embolism Look Like On X Ray This noninvasive test shows images of your heart and lungs on film. The radiologist directs the tip of the catheter into the different branches of the right and left pulmonary arteries and injects the contrast dye,. Although uncommon and rarely seen, radiologists should also be vigilant for classical pe signs on cxr , including hampton. Pe is apparent as a. What Does Pulmonary Embolism Look Like On X Ray.