Can A Chest X Ray Show Pancreatic Cancer . each imaging modality has both its advantages and disadvantages according to the four, different aspects regarding. some endoscopes are fitted with a tiny ultrasound scanner at their tip, which can obtain pictures of structures. Ct scan (computed tomography scan): doctors have identified some factors that may increase the risk of pancreatic cancer, including smoking,. These look for signs of pancreatic. Pancreatic cancer is very difficult to detect early, as tumors on the pancreas cannot.
from jmedicalcasereports.biomedcentral.com
each imaging modality has both its advantages and disadvantages according to the four, different aspects regarding. some endoscopes are fitted with a tiny ultrasound scanner at their tip, which can obtain pictures of structures. doctors have identified some factors that may increase the risk of pancreatic cancer, including smoking,. Pancreatic cancer is very difficult to detect early, as tumors on the pancreas cannot. These look for signs of pancreatic. Ct scan (computed tomography scan):
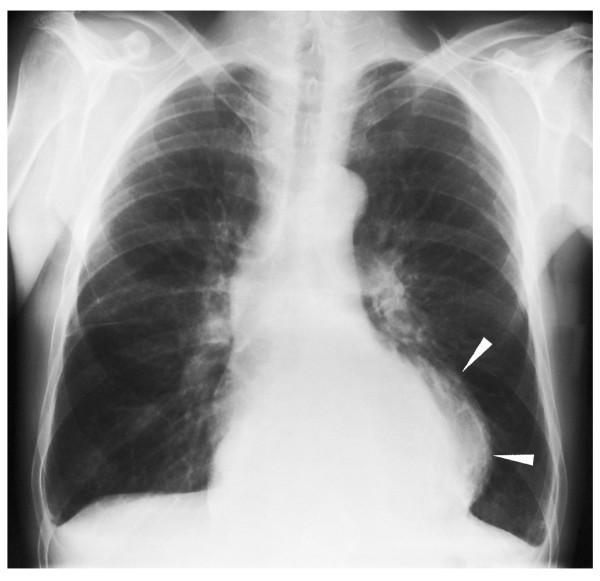
Mediastinal pancreatic pseudocyst with isolated thoracic symptoms a
Can A Chest X Ray Show Pancreatic Cancer Pancreatic cancer is very difficult to detect early, as tumors on the pancreas cannot. some endoscopes are fitted with a tiny ultrasound scanner at their tip, which can obtain pictures of structures. doctors have identified some factors that may increase the risk of pancreatic cancer, including smoking,. These look for signs of pancreatic. Ct scan (computed tomography scan): Pancreatic cancer is very difficult to detect early, as tumors on the pancreas cannot. each imaging modality has both its advantages and disadvantages according to the four, different aspects regarding.
From www.researchgate.net
Current staging of pancreatic cancer. Stage IV disease is the presence Can A Chest X Ray Show Pancreatic Cancer These look for signs of pancreatic. Pancreatic cancer is very difficult to detect early, as tumors on the pancreas cannot. each imaging modality has both its advantages and disadvantages according to the four, different aspects regarding. some endoscopes are fitted with a tiny ultrasound scanner at their tip, which can obtain pictures of structures. Ct scan (computed tomography. Can A Chest X Ray Show Pancreatic Cancer.
From www.mcw.edu
Patient Care Pancreatic Cancer Program Medical College of Wisconsin Can A Chest X Ray Show Pancreatic Cancer doctors have identified some factors that may increase the risk of pancreatic cancer, including smoking,. Ct scan (computed tomography scan): some endoscopes are fitted with a tiny ultrasound scanner at their tip, which can obtain pictures of structures. Pancreatic cancer is very difficult to detect early, as tumors on the pancreas cannot. These look for signs of pancreatic.. Can A Chest X Ray Show Pancreatic Cancer.
From theconversation.com
Global study of pancreatic cancer offers possible insights into Can A Chest X Ray Show Pancreatic Cancer some endoscopes are fitted with a tiny ultrasound scanner at their tip, which can obtain pictures of structures. Ct scan (computed tomography scan): These look for signs of pancreatic. Pancreatic cancer is very difficult to detect early, as tumors on the pancreas cannot. each imaging modality has both its advantages and disadvantages according to the four, different aspects. Can A Chest X Ray Show Pancreatic Cancer.
From sumerdoc.blogspot.com
Pancreatic Calcification Radiograph Sumer's Radiology Blog Can A Chest X Ray Show Pancreatic Cancer doctors have identified some factors that may increase the risk of pancreatic cancer, including smoking,. Pancreatic cancer is very difficult to detect early, as tumors on the pancreas cannot. each imaging modality has both its advantages and disadvantages according to the four, different aspects regarding. some endoscopes are fitted with a tiny ultrasound scanner at their tip,. Can A Chest X Ray Show Pancreatic Cancer.
From www.verywellhealth.com
Pancreatic Cancer Diagnosis and Staging Can A Chest X Ray Show Pancreatic Cancer Pancreatic cancer is very difficult to detect early, as tumors on the pancreas cannot. Ct scan (computed tomography scan): each imaging modality has both its advantages and disadvantages according to the four, different aspects regarding. some endoscopes are fitted with a tiny ultrasound scanner at their tip, which can obtain pictures of structures. These look for signs of. Can A Chest X Ray Show Pancreatic Cancer.
From diplomadomedico.com
El cáncer de páncreas Can A Chest X Ray Show Pancreatic Cancer some endoscopes are fitted with a tiny ultrasound scanner at their tip, which can obtain pictures of structures. Pancreatic cancer is very difficult to detect early, as tumors on the pancreas cannot. doctors have identified some factors that may increase the risk of pancreatic cancer, including smoking,. These look for signs of pancreatic. each imaging modality has. Can A Chest X Ray Show Pancreatic Cancer.
From www.ctisus.com
Pancreatic Cancer with Tumor Spread Pancreas Case Studies CTisus CT Can A Chest X Ray Show Pancreatic Cancer each imaging modality has both its advantages and disadvantages according to the four, different aspects regarding. Pancreatic cancer is very difficult to detect early, as tumors on the pancreas cannot. These look for signs of pancreatic. Ct scan (computed tomography scan): doctors have identified some factors that may increase the risk of pancreatic cancer, including smoking,. some. Can A Chest X Ray Show Pancreatic Cancer.
From pixels.com
Metastatic Pancreatic Cancer, Ct Scan Photograph by Du Cane Medical Can A Chest X Ray Show Pancreatic Cancer Ct scan (computed tomography scan): each imaging modality has both its advantages and disadvantages according to the four, different aspects regarding. some endoscopes are fitted with a tiny ultrasound scanner at their tip, which can obtain pictures of structures. doctors have identified some factors that may increase the risk of pancreatic cancer, including smoking,. These look for. Can A Chest X Ray Show Pancreatic Cancer.
From www.ctisus.com
Infiltrating Pancreatic Cancer with Liver Metastases Pancreas Case Can A Chest X Ray Show Pancreatic Cancer some endoscopes are fitted with a tiny ultrasound scanner at their tip, which can obtain pictures of structures. Pancreatic cancer is very difficult to detect early, as tumors on the pancreas cannot. doctors have identified some factors that may increase the risk of pancreatic cancer, including smoking,. each imaging modality has both its advantages and disadvantages according. Can A Chest X Ray Show Pancreatic Cancer.
From exynrtkrj.blob.core.windows.net
How Quickly Do You Get Chest X Ray Results at Ivan Shaw blog Can A Chest X Ray Show Pancreatic Cancer some endoscopes are fitted with a tiny ultrasound scanner at their tip, which can obtain pictures of structures. These look for signs of pancreatic. Ct scan (computed tomography scan): each imaging modality has both its advantages and disadvantages according to the four, different aspects regarding. Pancreatic cancer is very difficult to detect early, as tumors on the pancreas. Can A Chest X Ray Show Pancreatic Cancer.
From nurseslabs.com
Chest Xray (Chest Radiography) Nursing Responsibilities Nurseslabs Can A Chest X Ray Show Pancreatic Cancer Pancreatic cancer is very difficult to detect early, as tumors on the pancreas cannot. doctors have identified some factors that may increase the risk of pancreatic cancer, including smoking,. some endoscopes are fitted with a tiny ultrasound scanner at their tip, which can obtain pictures of structures. each imaging modality has both its advantages and disadvantages according. Can A Chest X Ray Show Pancreatic Cancer.
From www.ctisus.com
Pancreatic Cancer with Obstructed Pancreatic Duct Pancreas Case Can A Chest X Ray Show Pancreatic Cancer Pancreatic cancer is very difficult to detect early, as tumors on the pancreas cannot. These look for signs of pancreatic. some endoscopes are fitted with a tiny ultrasound scanner at their tip, which can obtain pictures of structures. each imaging modality has both its advantages and disadvantages according to the four, different aspects regarding. Ct scan (computed tomography. Can A Chest X Ray Show Pancreatic Cancer.
From giobajomm.blob.core.windows.net
What Can Show On Chest X Ray at Cheryl Ketner blog Can A Chest X Ray Show Pancreatic Cancer Ct scan (computed tomography scan): Pancreatic cancer is very difficult to detect early, as tumors on the pancreas cannot. doctors have identified some factors that may increase the risk of pancreatic cancer, including smoking,. some endoscopes are fitted with a tiny ultrasound scanner at their tip, which can obtain pictures of structures. each imaging modality has both. Can A Chest X Ray Show Pancreatic Cancer.
From www.ctisus.com
Pancreatic Cancer with Tumor Spread Pancreas Case Studies CTisus CT Can A Chest X Ray Show Pancreatic Cancer doctors have identified some factors that may increase the risk of pancreatic cancer, including smoking,. Pancreatic cancer is very difficult to detect early, as tumors on the pancreas cannot. Ct scan (computed tomography scan): each imaging modality has both its advantages and disadvantages according to the four, different aspects regarding. some endoscopes are fitted with a tiny. Can A Chest X Ray Show Pancreatic Cancer.
From www.wjgnet.com
Imaging diagnosis of pancreatic cancer A stateoftheart review Can A Chest X Ray Show Pancreatic Cancer doctors have identified some factors that may increase the risk of pancreatic cancer, including smoking,. Pancreatic cancer is very difficult to detect early, as tumors on the pancreas cannot. Ct scan (computed tomography scan): each imaging modality has both its advantages and disadvantages according to the four, different aspects regarding. These look for signs of pancreatic. some. Can A Chest X Ray Show Pancreatic Cancer.
From www.sciencephoto.com
Pancreatic cancer, CT scan Stock Image C050/0733 Science Photo Can A Chest X Ray Show Pancreatic Cancer each imaging modality has both its advantages and disadvantages according to the four, different aspects regarding. These look for signs of pancreatic. some endoscopes are fitted with a tiny ultrasound scanner at their tip, which can obtain pictures of structures. doctors have identified some factors that may increase the risk of pancreatic cancer, including smoking,. Pancreatic cancer. Can A Chest X Ray Show Pancreatic Cancer.
From www.sciencephoto.com
Pancreatic cancer, CT scan Stock Image C037/8285 Science Photo Can A Chest X Ray Show Pancreatic Cancer Pancreatic cancer is very difficult to detect early, as tumors on the pancreas cannot. Ct scan (computed tomography scan): some endoscopes are fitted with a tiny ultrasound scanner at their tip, which can obtain pictures of structures. These look for signs of pancreatic. each imaging modality has both its advantages and disadvantages according to the four, different aspects. Can A Chest X Ray Show Pancreatic Cancer.
From www.sciencephoto.com
Metastatic pancreatic cancer, CT scan Stock Image M134/0536 Can A Chest X Ray Show Pancreatic Cancer each imaging modality has both its advantages and disadvantages according to the four, different aspects regarding. Pancreatic cancer is very difficult to detect early, as tumors on the pancreas cannot. doctors have identified some factors that may increase the risk of pancreatic cancer, including smoking,. These look for signs of pancreatic. Ct scan (computed tomography scan): some. Can A Chest X Ray Show Pancreatic Cancer.
From www.ctisus.com
Lung Metastases from Pancreatic Adenocarcinoma Chest Case Studies Can A Chest X Ray Show Pancreatic Cancer some endoscopes are fitted with a tiny ultrasound scanner at their tip, which can obtain pictures of structures. doctors have identified some factors that may increase the risk of pancreatic cancer, including smoking,. Ct scan (computed tomography scan): These look for signs of pancreatic. each imaging modality has both its advantages and disadvantages according to the four,. Can A Chest X Ray Show Pancreatic Cancer.
From canceronco.com
Pancreatic Cancer Treatment and Its 5 Stages Can A Chest X Ray Show Pancreatic Cancer doctors have identified some factors that may increase the risk of pancreatic cancer, including smoking,. Pancreatic cancer is very difficult to detect early, as tumors on the pancreas cannot. each imaging modality has both its advantages and disadvantages according to the four, different aspects regarding. Ct scan (computed tomography scan): These look for signs of pancreatic. some. Can A Chest X Ray Show Pancreatic Cancer.
From blog.medicaresolutions.com
Pancreatic cancer illustration Medicare Solutions Blog Can A Chest X Ray Show Pancreatic Cancer some endoscopes are fitted with a tiny ultrasound scanner at their tip, which can obtain pictures of structures. doctors have identified some factors that may increase the risk of pancreatic cancer, including smoking,. each imaging modality has both its advantages and disadvantages according to the four, different aspects regarding. These look for signs of pancreatic. Ct scan. Can A Chest X Ray Show Pancreatic Cancer.
From manju-imagingxpert.blogspot.com
Radiodiagnosis Imaging is AmazingInteresting cases Carcinoma Can A Chest X Ray Show Pancreatic Cancer some endoscopes are fitted with a tiny ultrasound scanner at their tip, which can obtain pictures of structures. These look for signs of pancreatic. doctors have identified some factors that may increase the risk of pancreatic cancer, including smoking,. Ct scan (computed tomography scan): each imaging modality has both its advantages and disadvantages according to the four,. Can A Chest X Ray Show Pancreatic Cancer.
From www.pinterest.fr
Chronic pancreatitis Radiology Case Radiology Can A Chest X Ray Show Pancreatic Cancer doctors have identified some factors that may increase the risk of pancreatic cancer, including smoking,. Pancreatic cancer is very difficult to detect early, as tumors on the pancreas cannot. These look for signs of pancreatic. each imaging modality has both its advantages and disadvantages according to the four, different aspects regarding. Ct scan (computed tomography scan): some. Can A Chest X Ray Show Pancreatic Cancer.
From radiologykey.com
Pancreatic Cancer Radiology Key Can A Chest X Ray Show Pancreatic Cancer Ct scan (computed tomography scan): each imaging modality has both its advantages and disadvantages according to the four, different aspects regarding. some endoscopes are fitted with a tiny ultrasound scanner at their tip, which can obtain pictures of structures. doctors have identified some factors that may increase the risk of pancreatic cancer, including smoking,. Pancreatic cancer is. Can A Chest X Ray Show Pancreatic Cancer.
From radiologyassistant.nl
The Radiology Assistant Pancreatic Cancer CT staging 2.0 Can A Chest X Ray Show Pancreatic Cancer Pancreatic cancer is very difficult to detect early, as tumors on the pancreas cannot. doctors have identified some factors that may increase the risk of pancreatic cancer, including smoking,. each imaging modality has both its advantages and disadvantages according to the four, different aspects regarding. some endoscopes are fitted with a tiny ultrasound scanner at their tip,. Can A Chest X Ray Show Pancreatic Cancer.
From www.sciencephoto.com
Pancreatic cancer, CT scan Stock Image C037/8292 Science Photo Can A Chest X Ray Show Pancreatic Cancer some endoscopes are fitted with a tiny ultrasound scanner at their tip, which can obtain pictures of structures. each imaging modality has both its advantages and disadvantages according to the four, different aspects regarding. Pancreatic cancer is very difficult to detect early, as tumors on the pancreas cannot. Ct scan (computed tomography scan): doctors have identified some. Can A Chest X Ray Show Pancreatic Cancer.
From hxeoegzkd.blob.core.windows.net
Does Cancer Show In Chest X Ray at Beatrice Bell blog Can A Chest X Ray Show Pancreatic Cancer Ct scan (computed tomography scan): each imaging modality has both its advantages and disadvantages according to the four, different aspects regarding. Pancreatic cancer is very difficult to detect early, as tumors on the pancreas cannot. doctors have identified some factors that may increase the risk of pancreatic cancer, including smoking,. These look for signs of pancreatic. some. Can A Chest X Ray Show Pancreatic Cancer.
From commons.wikimedia.org
FileXray(Chest)Cancer.jpg Can A Chest X Ray Show Pancreatic Cancer Ct scan (computed tomography scan): These look for signs of pancreatic. Pancreatic cancer is very difficult to detect early, as tumors on the pancreas cannot. each imaging modality has both its advantages and disadvantages according to the four, different aspects regarding. some endoscopes are fitted with a tiny ultrasound scanner at their tip, which can obtain pictures of. Can A Chest X Ray Show Pancreatic Cancer.
From www.sciencephoto.com
Pancreatic cancer, CT and PET scans Stock Image C051/5917 Science Can A Chest X Ray Show Pancreatic Cancer some endoscopes are fitted with a tiny ultrasound scanner at their tip, which can obtain pictures of structures. Ct scan (computed tomography scan): doctors have identified some factors that may increase the risk of pancreatic cancer, including smoking,. These look for signs of pancreatic. Pancreatic cancer is very difficult to detect early, as tumors on the pancreas cannot.. Can A Chest X Ray Show Pancreatic Cancer.
From casereports.bmj.com
Carcinoma pancreas and fibrocalcific pancreatic diabetes a dual Can A Chest X Ray Show Pancreatic Cancer These look for signs of pancreatic. doctors have identified some factors that may increase the risk of pancreatic cancer, including smoking,. Pancreatic cancer is very difficult to detect early, as tumors on the pancreas cannot. each imaging modality has both its advantages and disadvantages according to the four, different aspects regarding. some endoscopes are fitted with a. Can A Chest X Ray Show Pancreatic Cancer.
From southfloridasurgicaloncology.com
Pancreatic cancer South Florida Sugical Oncology Can A Chest X Ray Show Pancreatic Cancer Pancreatic cancer is very difficult to detect early, as tumors on the pancreas cannot. some endoscopes are fitted with a tiny ultrasound scanner at their tip, which can obtain pictures of structures. doctors have identified some factors that may increase the risk of pancreatic cancer, including smoking,. Ct scan (computed tomography scan): These look for signs of pancreatic.. Can A Chest X Ray Show Pancreatic Cancer.
From www.nih.gov
NIH Clinical Center provides one of the largest publicly available Can A Chest X Ray Show Pancreatic Cancer doctors have identified some factors that may increase the risk of pancreatic cancer, including smoking,. These look for signs of pancreatic. Ct scan (computed tomography scan): each imaging modality has both its advantages and disadvantages according to the four, different aspects regarding. Pancreatic cancer is very difficult to detect early, as tumors on the pancreas cannot. some. Can A Chest X Ray Show Pancreatic Cancer.
From www.godigit.com
Pancreatic Cancer Causes, Types, Symptoms, and Treatment Can A Chest X Ray Show Pancreatic Cancer doctors have identified some factors that may increase the risk of pancreatic cancer, including smoking,. each imaging modality has both its advantages and disadvantages according to the four, different aspects regarding. some endoscopes are fitted with a tiny ultrasound scanner at their tip, which can obtain pictures of structures. Ct scan (computed tomography scan): These look for. Can A Chest X Ray Show Pancreatic Cancer.
From finwise.edu.vn
Albums 100+ Pictures Images Of Pancreatic Cancer Sharp Can A Chest X Ray Show Pancreatic Cancer Ct scan (computed tomography scan): some endoscopes are fitted with a tiny ultrasound scanner at their tip, which can obtain pictures of structures. These look for signs of pancreatic. doctors have identified some factors that may increase the risk of pancreatic cancer, including smoking,. Pancreatic cancer is very difficult to detect early, as tumors on the pancreas cannot.. Can A Chest X Ray Show Pancreatic Cancer.
From jmedicalcasereports.biomedcentral.com
Mediastinal pancreatic pseudocyst with isolated thoracic symptoms a Can A Chest X Ray Show Pancreatic Cancer each imaging modality has both its advantages and disadvantages according to the four, different aspects regarding. doctors have identified some factors that may increase the risk of pancreatic cancer, including smoking,. These look for signs of pancreatic. some endoscopes are fitted with a tiny ultrasound scanner at their tip, which can obtain pictures of structures. Pancreatic cancer. Can A Chest X Ray Show Pancreatic Cancer.