Paget's Disease Extramammary . It looks similar to a patch of. Extramammary paget’s disease (empd) is a rare type of skin condition that may be associated with different types of cancer. Importance extramammary paget disease (empd) is a frequently recurring malignant neoplasm with metastatic potential that presents in older adults on the genital, perianal, and axillary. Extramammary paget disease (empd) is a rare dermatologic condition that frequently presents in areas where apocrine sweat glands are abundant.
from pathology.or.jp
Extramammary paget disease (empd) is a rare dermatologic condition that frequently presents in areas where apocrine sweat glands are abundant. Importance extramammary paget disease (empd) is a frequently recurring malignant neoplasm with metastatic potential that presents in older adults on the genital, perianal, and axillary. It looks similar to a patch of. Extramammary paget’s disease (empd) is a rare type of skin condition that may be associated with different types of cancer.
20.Skin (9) Extramammary Paget’s diseasePathology Core Pictures
Paget's Disease Extramammary Extramammary paget’s disease (empd) is a rare type of skin condition that may be associated with different types of cancer. Extramammary paget disease (empd) is a rare dermatologic condition that frequently presents in areas where apocrine sweat glands are abundant. Importance extramammary paget disease (empd) is a frequently recurring malignant neoplasm with metastatic potential that presents in older adults on the genital, perianal, and axillary. Extramammary paget’s disease (empd) is a rare type of skin condition that may be associated with different types of cancer. It looks similar to a patch of.
From mavink.com
Paget's Disease Histology Paget's Disease Extramammary It looks similar to a patch of. Extramammary paget disease (empd) is a rare dermatologic condition that frequently presents in areas where apocrine sweat glands are abundant. Importance extramammary paget disease (empd) is a frequently recurring malignant neoplasm with metastatic potential that presents in older adults on the genital, perianal, and axillary. Extramammary paget’s disease (empd) is a rare type. Paget's Disease Extramammary.
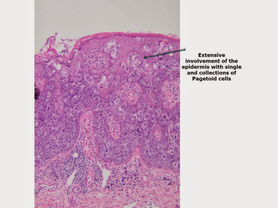
From www.researchgate.net
Extramammary Paget's disease (Case 1). (A, B) Normal skin control from Paget's Disease Extramammary It looks similar to a patch of. Extramammary paget disease (empd) is a rare dermatologic condition that frequently presents in areas where apocrine sweat glands are abundant. Extramammary paget’s disease (empd) is a rare type of skin condition that may be associated with different types of cancer. Importance extramammary paget disease (empd) is a frequently recurring malignant neoplasm with metastatic. Paget's Disease Extramammary.
From consultationsindermatology.blogspot.com
Consultations in Dermatology Extramammary Paget's Disease Paget's Disease Extramammary It looks similar to a patch of. Extramammary paget’s disease (empd) is a rare type of skin condition that may be associated with different types of cancer. Extramammary paget disease (empd) is a rare dermatologic condition that frequently presents in areas where apocrine sweat glands are abundant. Importance extramammary paget disease (empd) is a frequently recurring malignant neoplasm with metastatic. Paget's Disease Extramammary.
From www.youtube.com
Extramammary Paget Disease 5Minute Pathology Pearls YouTube Paget's Disease Extramammary Extramammary paget’s disease (empd) is a rare type of skin condition that may be associated with different types of cancer. Importance extramammary paget disease (empd) is a frequently recurring malignant neoplasm with metastatic potential that presents in older adults on the genital, perianal, and axillary. Extramammary paget disease (empd) is a rare dermatologic condition that frequently presents in areas where. Paget's Disease Extramammary.
From www.wikiwand.com
Extramammary Paget's disease Wikiwand Paget's Disease Extramammary It looks similar to a patch of. Importance extramammary paget disease (empd) is a frequently recurring malignant neoplasm with metastatic potential that presents in older adults on the genital, perianal, and axillary. Extramammary paget disease (empd) is a rare dermatologic condition that frequently presents in areas where apocrine sweat glands are abundant. Extramammary paget’s disease (empd) is a rare type. Paget's Disease Extramammary.
From www.ncbi.nlm.nih.gov
Extramammary Paget Disease StatPearls NCBI Bookshelf Paget's Disease Extramammary Extramammary paget disease (empd) is a rare dermatologic condition that frequently presents in areas where apocrine sweat glands are abundant. Importance extramammary paget disease (empd) is a frequently recurring malignant neoplasm with metastatic potential that presents in older adults on the genital, perianal, and axillary. It looks similar to a patch of. Extramammary paget’s disease (empd) is a rare type. Paget's Disease Extramammary.
From www.researchgate.net
Invasive extramammary paget disease showing intradermal bandlike Paget's Disease Extramammary Extramammary paget disease (empd) is a rare dermatologic condition that frequently presents in areas where apocrine sweat glands are abundant. Extramammary paget’s disease (empd) is a rare type of skin condition that may be associated with different types of cancer. Importance extramammary paget disease (empd) is a frequently recurring malignant neoplasm with metastatic potential that presents in older adults on. Paget's Disease Extramammary.
From www.mdedge.com
Acantholytic Anaplastic Extramammary Paget Disease MDedge Dermatology Paget's Disease Extramammary Importance extramammary paget disease (empd) is a frequently recurring malignant neoplasm with metastatic potential that presents in older adults on the genital, perianal, and axillary. Extramammary paget disease (empd) is a rare dermatologic condition that frequently presents in areas where apocrine sweat glands are abundant. Extramammary paget’s disease (empd) is a rare type of skin condition that may be associated. Paget's Disease Extramammary.
From wn.com
Extramammary Paget's Disease Histology Paget's Disease Extramammary Extramammary paget’s disease (empd) is a rare type of skin condition that may be associated with different types of cancer. Extramammary paget disease (empd) is a rare dermatologic condition that frequently presents in areas where apocrine sweat glands are abundant. Importance extramammary paget disease (empd) is a frequently recurring malignant neoplasm with metastatic potential that presents in older adults on. Paget's Disease Extramammary.
From www.myempd.com
Extramammary Paget's Disease Photos — Paget's Disease Extramammary Extramammary paget’s disease (empd) is a rare type of skin condition that may be associated with different types of cancer. It looks similar to a patch of. Importance extramammary paget disease (empd) is a frequently recurring malignant neoplasm with metastatic potential that presents in older adults on the genital, perianal, and axillary. Extramammary paget disease (empd) is a rare dermatologic. Paget's Disease Extramammary.
From www.sciencephoto.com
Extramammary Paget's disease, light micrograph Stock Image C044 Paget's Disease Extramammary Extramammary paget’s disease (empd) is a rare type of skin condition that may be associated with different types of cancer. It looks similar to a patch of. Extramammary paget disease (empd) is a rare dermatologic condition that frequently presents in areas where apocrine sweat glands are abundant. Importance extramammary paget disease (empd) is a frequently recurring malignant neoplasm with metastatic. Paget's Disease Extramammary.
From www.pathologyoutlines.com
Pathology Outlines Extramammary Paget disease Paget's Disease Extramammary It looks similar to a patch of. Extramammary paget’s disease (empd) is a rare type of skin condition that may be associated with different types of cancer. Importance extramammary paget disease (empd) is a frequently recurring malignant neoplasm with metastatic potential that presents in older adults on the genital, perianal, and axillary. Extramammary paget disease (empd) is a rare dermatologic. Paget's Disease Extramammary.
From www.researchgate.net
Pigmented extramammary Paget's disease. Spread of Paget's cells Paget's Disease Extramammary Importance extramammary paget disease (empd) is a frequently recurring malignant neoplasm with metastatic potential that presents in older adults on the genital, perianal, and axillary. It looks similar to a patch of. Extramammary paget disease (empd) is a rare dermatologic condition that frequently presents in areas where apocrine sweat glands are abundant. Extramammary paget’s disease (empd) is a rare type. Paget's Disease Extramammary.
From www.pathologyatlas.ca
Extramammary Paget disease of the skin Ottawa Atlas of Pathology Paget's Disease Extramammary It looks similar to a patch of. Importance extramammary paget disease (empd) is a frequently recurring malignant neoplasm with metastatic potential that presents in older adults on the genital, perianal, and axillary. Extramammary paget’s disease (empd) is a rare type of skin condition that may be associated with different types of cancer. Extramammary paget disease (empd) is a rare dermatologic. Paget's Disease Extramammary.
From www.pathologyoutlines.com
Pathology Outlines Extramammary Paget disease Paget's Disease Extramammary It looks similar to a patch of. Importance extramammary paget disease (empd) is a frequently recurring malignant neoplasm with metastatic potential that presents in older adults on the genital, perianal, and axillary. Extramammary paget’s disease (empd) is a rare type of skin condition that may be associated with different types of cancer. Extramammary paget disease (empd) is a rare dermatologic. Paget's Disease Extramammary.
From orthoinfo.aaos.org
Paget's Disease of Bone Symptoms and Treatment OrthoInfo AAOS Paget's Disease Extramammary Importance extramammary paget disease (empd) is a frequently recurring malignant neoplasm with metastatic potential that presents in older adults on the genital, perianal, and axillary. It looks similar to a patch of. Extramammary paget disease (empd) is a rare dermatologic condition that frequently presents in areas where apocrine sweat glands are abundant. Extramammary paget’s disease (empd) is a rare type. Paget's Disease Extramammary.
From www.myempd.com
En savoir plus sur la maladie de Paget extramammaire — Paget's Disease Extramammary Extramammary paget’s disease (empd) is a rare type of skin condition that may be associated with different types of cancer. It looks similar to a patch of. Extramammary paget disease (empd) is a rare dermatologic condition that frequently presents in areas where apocrine sweat glands are abundant. Importance extramammary paget disease (empd) is a frequently recurring malignant neoplasm with metastatic. Paget's Disease Extramammary.
From pathology.or.jp
20.Skin (9) Extramammary Paget’s diseasePathology Core Pictures Paget's Disease Extramammary It looks similar to a patch of. Extramammary paget’s disease (empd) is a rare type of skin condition that may be associated with different types of cancer. Importance extramammary paget disease (empd) is a frequently recurring malignant neoplasm with metastatic potential that presents in older adults on the genital, perianal, and axillary. Extramammary paget disease (empd) is a rare dermatologic. Paget's Disease Extramammary.
From www.researchgate.net
Extramammary Paget Disease (EMPD) Figure illustrates the use of Paget's Disease Extramammary Extramammary paget disease (empd) is a rare dermatologic condition that frequently presents in areas where apocrine sweat glands are abundant. It looks similar to a patch of. Importance extramammary paget disease (empd) is a frequently recurring malignant neoplasm with metastatic potential that presents in older adults on the genital, perianal, and axillary. Extramammary paget’s disease (empd) is a rare type. Paget's Disease Extramammary.
From www.researchgate.net
Extramammary Paget's disease with an invasive component. A, Single and Paget's Disease Extramammary Extramammary paget’s disease (empd) is a rare type of skin condition that may be associated with different types of cancer. Importance extramammary paget disease (empd) is a frequently recurring malignant neoplasm with metastatic potential that presents in older adults on the genital, perianal, and axillary. It looks similar to a patch of. Extramammary paget disease (empd) is a rare dermatologic. Paget's Disease Extramammary.
From www.jaad.org
Ectopic extramammary Paget disease mimicking Bowen disease Journal of Paget's Disease Extramammary It looks similar to a patch of. Importance extramammary paget disease (empd) is a frequently recurring malignant neoplasm with metastatic potential that presents in older adults on the genital, perianal, and axillary. Extramammary paget’s disease (empd) is a rare type of skin condition that may be associated with different types of cancer. Extramammary paget disease (empd) is a rare dermatologic. Paget's Disease Extramammary.
From www.nirujahealthtech.com
Paget's disease Signs & Symptoms Paget's Disease Extramammary Importance extramammary paget disease (empd) is a frequently recurring malignant neoplasm with metastatic potential that presents in older adults on the genital, perianal, and axillary. Extramammary paget’s disease (empd) is a rare type of skin condition that may be associated with different types of cancer. Extramammary paget disease (empd) is a rare dermatologic condition that frequently presents in areas where. Paget's Disease Extramammary.
From www.researchgate.net
(PDF) Extensive invasive extramammary Paget disease evaluated by F18 Paget's Disease Extramammary Extramammary paget disease (empd) is a rare dermatologic condition that frequently presents in areas where apocrine sweat glands are abundant. Importance extramammary paget disease (empd) is a frequently recurring malignant neoplasm with metastatic potential that presents in older adults on the genital, perianal, and axillary. Extramammary paget’s disease (empd) is a rare type of skin condition that may be associated. Paget's Disease Extramammary.
From pathology.or.jp
20.Skin (9) Extramammary Paget’s diseasePathology Core Pictures Paget's Disease Extramammary Importance extramammary paget disease (empd) is a frequently recurring malignant neoplasm with metastatic potential that presents in older adults on the genital, perianal, and axillary. Extramammary paget disease (empd) is a rare dermatologic condition that frequently presents in areas where apocrine sweat glands are abundant. Extramammary paget’s disease (empd) is a rare type of skin condition that may be associated. Paget's Disease Extramammary.
From mavink.com
Stages Of Paget's Disease Skin Paget's Disease Extramammary Importance extramammary paget disease (empd) is a frequently recurring malignant neoplasm with metastatic potential that presents in older adults on the genital, perianal, and axillary. It looks similar to a patch of. Extramammary paget’s disease (empd) is a rare type of skin condition that may be associated with different types of cancer. Extramammary paget disease (empd) is a rare dermatologic. Paget's Disease Extramammary.
From www.scribd.com
Extramammary Paget's Disease of The Skin, M 69, Perianal Skin PDF Paget's Disease Extramammary Extramammary paget disease (empd) is a rare dermatologic condition that frequently presents in areas where apocrine sweat glands are abundant. Extramammary paget’s disease (empd) is a rare type of skin condition that may be associated with different types of cancer. Importance extramammary paget disease (empd) is a frequently recurring malignant neoplasm with metastatic potential that presents in older adults on. Paget's Disease Extramammary.
From www.researchgate.net
(PDF) Ectopic extramammary Paget's disease on the face Paget's Disease Extramammary Extramammary paget’s disease (empd) is a rare type of skin condition that may be associated with different types of cancer. It looks similar to a patch of. Extramammary paget disease (empd) is a rare dermatologic condition that frequently presents in areas where apocrine sweat glands are abundant. Importance extramammary paget disease (empd) is a frequently recurring malignant neoplasm with metastatic. Paget's Disease Extramammary.
From pathology.or.jp
20.Skin (9) Extramammary Paget’s diseasePathology Core Pictures Paget's Disease Extramammary Importance extramammary paget disease (empd) is a frequently recurring malignant neoplasm with metastatic potential that presents in older adults on the genital, perianal, and axillary. Extramammary paget’s disease (empd) is a rare type of skin condition that may be associated with different types of cancer. Extramammary paget disease (empd) is a rare dermatologic condition that frequently presents in areas where. Paget's Disease Extramammary.
From mavink.com
Paget's Disease Histology Paget's Disease Extramammary Extramammary paget’s disease (empd) is a rare type of skin condition that may be associated with different types of cancer. It looks similar to a patch of. Extramammary paget disease (empd) is a rare dermatologic condition that frequently presents in areas where apocrine sweat glands are abundant. Importance extramammary paget disease (empd) is a frequently recurring malignant neoplasm with metastatic. Paget's Disease Extramammary.
From www.researchgate.net
Pigmented extramammary Paget's disease. There is severe intraepidermal Paget's Disease Extramammary It looks similar to a patch of. Extramammary paget disease (empd) is a rare dermatologic condition that frequently presents in areas where apocrine sweat glands are abundant. Extramammary paget’s disease (empd) is a rare type of skin condition that may be associated with different types of cancer. Importance extramammary paget disease (empd) is a frequently recurring malignant neoplasm with metastatic. Paget's Disease Extramammary.
From www.researchgate.net
(a) Skin and left scrotum involvement of the extramammary Paget's Paget's Disease Extramammary It looks similar to a patch of. Importance extramammary paget disease (empd) is a frequently recurring malignant neoplasm with metastatic potential that presents in older adults on the genital, perianal, and axillary. Extramammary paget’s disease (empd) is a rare type of skin condition that may be associated with different types of cancer. Extramammary paget disease (empd) is a rare dermatologic. Paget's Disease Extramammary.
From ijdvl.com
Ectopic extramammary Paget's disease on the face Indian Journal of Paget's Disease Extramammary Extramammary paget’s disease (empd) is a rare type of skin condition that may be associated with different types of cancer. It looks similar to a patch of. Extramammary paget disease (empd) is a rare dermatologic condition that frequently presents in areas where apocrine sweat glands are abundant. Importance extramammary paget disease (empd) is a frequently recurring malignant neoplasm with metastatic. Paget's Disease Extramammary.
From www.sciencephoto.com
Extramammary Paget's disease, micrograph Stock Image C013/2075 Paget's Disease Extramammary Extramammary paget’s disease (empd) is a rare type of skin condition that may be associated with different types of cancer. Extramammary paget disease (empd) is a rare dermatologic condition that frequently presents in areas where apocrine sweat glands are abundant. It looks similar to a patch of. Importance extramammary paget disease (empd) is a frequently recurring malignant neoplasm with metastatic. Paget's Disease Extramammary.
From www.msdmanuals.com
Image XRay of the Pelvis in Paget Disease MSD Manual Professional Paget's Disease Extramammary Extramammary paget’s disease (empd) is a rare type of skin condition that may be associated with different types of cancer. It looks similar to a patch of. Importance extramammary paget disease (empd) is a frequently recurring malignant neoplasm with metastatic potential that presents in older adults on the genital, perianal, and axillary. Extramammary paget disease (empd) is a rare dermatologic. Paget's Disease Extramammary.
From www.thelancet.com
Pathogenesis and management of Paget's disease of bone The Lancet Paget's Disease Extramammary Importance extramammary paget disease (empd) is a frequently recurring malignant neoplasm with metastatic potential that presents in older adults on the genital, perianal, and axillary. Extramammary paget disease (empd) is a rare dermatologic condition that frequently presents in areas where apocrine sweat glands are abundant. Extramammary paget’s disease (empd) is a rare type of skin condition that may be associated. Paget's Disease Extramammary.