Abscess Under Tongue . It causes swelling in the tissues under the tongue and in the neck. Bumps under the tongue can be harmless, or they can occur due to an underlying condition. The most common cause of ludwig's angina is a tooth infection that spreads, although other conditions (including tongue piercings) can lead to strep and staph bacteria entering the tissue. An abscessed tooth (tooth infection) causes ludwig’s angina. In 9 of 10 cases, the infection starts in the second or third molar in your lower. The swelling can be so severe that it cuts off the person’s airways. It often develops after an. Ludwig angina is a type of bacterial infection that occurs in the floor of the mouth, under the tongue. Considered a type of cellulitis, ludwig’s angina spreads rapidly to infect the soft tissues underneath your tongue. If you’ve developed an abscess (a pocket of pus), they’ll drain the infection and remove any stones or other blockages. In most cases, ludwig's angina is successfully treated with antibiotics unless complications arise. Potential causes include canker sores, cysts, or human papillomavirus (hpv). Ludwig’s angina is a rare form of cellulitis.
from www.medicalimages.com
The most common cause of ludwig's angina is a tooth infection that spreads, although other conditions (including tongue piercings) can lead to strep and staph bacteria entering the tissue. The swelling can be so severe that it cuts off the person’s airways. Considered a type of cellulitis, ludwig’s angina spreads rapidly to infect the soft tissues underneath your tongue. In 9 of 10 cases, the infection starts in the second or third molar in your lower. It causes swelling in the tissues under the tongue and in the neck. If you’ve developed an abscess (a pocket of pus), they’ll drain the infection and remove any stones or other blockages. Bumps under the tongue can be harmless, or they can occur due to an underlying condition. Ludwig’s angina is a rare form of cellulitis. It often develops after an. Potential causes include canker sores, cysts, or human papillomavirus (hpv).
STOCK IMAGE, oral medicine submandibular gland swelling large lump under the tongue of a 28 year
Abscess Under Tongue In most cases, ludwig's angina is successfully treated with antibiotics unless complications arise. If you’ve developed an abscess (a pocket of pus), they’ll drain the infection and remove any stones or other blockages. Bumps under the tongue can be harmless, or they can occur due to an underlying condition. It causes swelling in the tissues under the tongue and in the neck. Ludwig angina is a type of bacterial infection that occurs in the floor of the mouth, under the tongue. Potential causes include canker sores, cysts, or human papillomavirus (hpv). The most common cause of ludwig's angina is a tooth infection that spreads, although other conditions (including tongue piercings) can lead to strep and staph bacteria entering the tissue. In 9 of 10 cases, the infection starts in the second or third molar in your lower. Ludwig’s angina is a rare form of cellulitis. Considered a type of cellulitis, ludwig’s angina spreads rapidly to infect the soft tissues underneath your tongue. In most cases, ludwig's angina is successfully treated with antibiotics unless complications arise. It often develops after an. The swelling can be so severe that it cuts off the person’s airways. An abscessed tooth (tooth infection) causes ludwig’s angina.
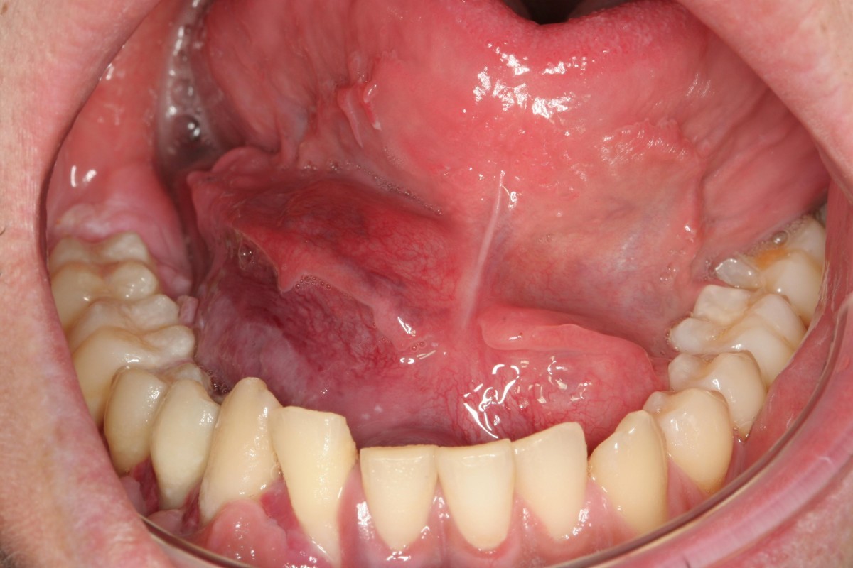
From www.cureus.com
Cureus Management of Acute Periodontal Abscess Mimicking Acute Apical Abscess in the Anterior Abscess Under Tongue Potential causes include canker sores, cysts, or human papillomavirus (hpv). Ludwig’s angina is a rare form of cellulitis. It often develops after an. Bumps under the tongue can be harmless, or they can occur due to an underlying condition. In 9 of 10 cases, the infection starts in the second or third molar in your lower. The swelling can be. Abscess Under Tongue.
From www.researchgate.net
(PDF) Unusual complication of dental extraction Lingual abscess Abscess Under Tongue Ludwig’s angina is a rare form of cellulitis. In most cases, ludwig's angina is successfully treated with antibiotics unless complications arise. An abscessed tooth (tooth infection) causes ludwig’s angina. Considered a type of cellulitis, ludwig’s angina spreads rapidly to infect the soft tissues underneath your tongue. It often develops after an. In 9 of 10 cases, the infection starts in. Abscess Under Tongue.
From journals.sagepub.com
Clinical and Diagnostic Aspect of Tongue Abscess Massimo Mesolella, Salvatore Allosso, Brigida Abscess Under Tongue Considered a type of cellulitis, ludwig’s angina spreads rapidly to infect the soft tissues underneath your tongue. It causes swelling in the tissues under the tongue and in the neck. The most common cause of ludwig's angina is a tooth infection that spreads, although other conditions (including tongue piercings) can lead to strep and staph bacteria entering the tissue. If. Abscess Under Tongue.
From journals.sagepub.com
Clinical and Diagnostic Aspect of Tongue Abscess Massimo Mesolella, Salvatore Allosso, Brigida Abscess Under Tongue The swelling can be so severe that it cuts off the person’s airways. Ludwig’s angina is a rare form of cellulitis. In most cases, ludwig's angina is successfully treated with antibiotics unless complications arise. In 9 of 10 cases, the infection starts in the second or third molar in your lower. The most common cause of ludwig's angina is a. Abscess Under Tongue.
From www.semanticscholar.org
Figure 1 from Tongue Abscess A Case Report Semantic Scholar Abscess Under Tongue In most cases, ludwig's angina is successfully treated with antibiotics unless complications arise. Considered a type of cellulitis, ludwig’s angina spreads rapidly to infect the soft tissues underneath your tongue. If you’ve developed an abscess (a pocket of pus), they’ll drain the infection and remove any stones or other blockages. Ludwig angina is a type of bacterial infection that occurs. Abscess Under Tongue.
From www.facialart.com
Swelling Related to Ranula Under The Tongue Swelling Related to Ranula Under The Tongue Abscess Under Tongue It often develops after an. The swelling can be so severe that it cuts off the person’s airways. In 9 of 10 cases, the infection starts in the second or third molar in your lower. Ludwig angina is a type of bacterial infection that occurs in the floor of the mouth, under the tongue. It causes swelling in the tissues. Abscess Under Tongue.
From www.youtube.com
Abscess in mouth YouTube Abscess Under Tongue The swelling can be so severe that it cuts off the person’s airways. Ludwig angina is a type of bacterial infection that occurs in the floor of the mouth, under the tongue. It often develops after an. Ludwig’s angina is a rare form of cellulitis. In 9 of 10 cases, the infection starts in the second or third molar in. Abscess Under Tongue.
From www.clinmedjournals.org
Tongue Abscess Delayed Diagnosis of a Foreign Body in the Tongue Abscess Under Tongue In 9 of 10 cases, the infection starts in the second or third molar in your lower. Considered a type of cellulitis, ludwig’s angina spreads rapidly to infect the soft tissues underneath your tongue. The most common cause of ludwig's angina is a tooth infection that spreads, although other conditions (including tongue piercings) can lead to strep and staph bacteria. Abscess Under Tongue.
From www.youtube.com
Tongue Abscess Diagnosis and Treatment of an Condition YouTube Abscess Under Tongue It causes swelling in the tissues under the tongue and in the neck. Considered a type of cellulitis, ludwig’s angina spreads rapidly to infect the soft tissues underneath your tongue. In 9 of 10 cases, the infection starts in the second or third molar in your lower. Ludwig angina is a type of bacterial infection that occurs in the floor. Abscess Under Tongue.
From www.jem-journal.com
Acute Abscess of the Base of the Tongue A Rare But Important Emergency Journal of Emergency Abscess Under Tongue An abscessed tooth (tooth infection) causes ludwig’s angina. Ludwig’s angina is a rare form of cellulitis. It causes swelling in the tissues under the tongue and in the neck. Bumps under the tongue can be harmless, or they can occur due to an underlying condition. Considered a type of cellulitis, ludwig’s angina spreads rapidly to infect the soft tissues underneath. Abscess Under Tongue.
From www.researchgate.net
(PDF) Unusual complication of dental extraction Lingual abscess Abscess Under Tongue Potential causes include canker sores, cysts, or human papillomavirus (hpv). An abscessed tooth (tooth infection) causes ludwig’s angina. Considered a type of cellulitis, ludwig’s angina spreads rapidly to infect the soft tissues underneath your tongue. If you’ve developed an abscess (a pocket of pus), they’ll drain the infection and remove any stones or other blockages. It causes swelling in the. Abscess Under Tongue.
From www.researchgate.net
Contrastenhanced CT scan showed the abscess confined at the ventral... Download Scientific Abscess Under Tongue Potential causes include canker sores, cysts, or human papillomavirus (hpv). If you’ve developed an abscess (a pocket of pus), they’ll drain the infection and remove any stones or other blockages. The swelling can be so severe that it cuts off the person’s airways. It often develops after an. Bumps under the tongue can be harmless, or they can occur due. Abscess Under Tongue.
From healthjade.net
Peritonsillar abscess causes, signs, symptoms, diagnosis and treatment Abscess Under Tongue Potential causes include canker sores, cysts, or human papillomavirus (hpv). In 9 of 10 cases, the infection starts in the second or third molar in your lower. The most common cause of ludwig's angina is a tooth infection that spreads, although other conditions (including tongue piercings) can lead to strep and staph bacteria entering the tissue. Considered a type of. Abscess Under Tongue.
From www.dreamstime.com
Sublingual Gland Stone Disease in Mouth Stock Image Image of closeup, blood 141352655 Abscess Under Tongue It often develops after an. Ludwig’s angina is a rare form of cellulitis. Ludwig angina is a type of bacterial infection that occurs in the floor of the mouth, under the tongue. If you’ve developed an abscess (a pocket of pus), they’ll drain the infection and remove any stones or other blockages. Bumps under the tongue can be harmless, or. Abscess Under Tongue.
From www.clinicaladvisor.com
Image of the Week A Hard Lesion Near the Frenulum of the Tongue Clinical Advisor Abscess Under Tongue Potential causes include canker sores, cysts, or human papillomavirus (hpv). Bumps under the tongue can be harmless, or they can occur due to an underlying condition. In most cases, ludwig's angina is successfully treated with antibiotics unless complications arise. The swelling can be so severe that it cuts off the person’s airways. If you’ve developed an abscess (a pocket of. Abscess Under Tongue.
From healthjade.net
Abscess tooth, dental abscess causes, signs, symptoms, diagnosis & treatment Abscess Under Tongue It causes swelling in the tissues under the tongue and in the neck. In 9 of 10 cases, the infection starts in the second or third molar in your lower. An abscessed tooth (tooth infection) causes ludwig’s angina. Ludwig angina is a type of bacterial infection that occurs in the floor of the mouth, under the tongue. Ludwig’s angina is. Abscess Under Tongue.
From head-face-med.biomedcentral.com
Ewing of the mandible mimicking an odontogenic abscess a case report Head & Face Abscess Under Tongue Bumps under the tongue can be harmless, or they can occur due to an underlying condition. It causes swelling in the tissues under the tongue and in the neck. In most cases, ludwig's angina is successfully treated with antibiotics unless complications arise. In 9 of 10 cases, the infection starts in the second or third molar in your lower. It. Abscess Under Tongue.
From www.swissdentbodrum.com
Abscess in the Mouth Diagnosis, and Treatment Swiss Dent Abscess Under Tongue An abscessed tooth (tooth infection) causes ludwig’s angina. In most cases, ludwig's angina is successfully treated with antibiotics unless complications arise. If you’ve developed an abscess (a pocket of pus), they’ll drain the infection and remove any stones or other blockages. Ludwig’s angina is a rare form of cellulitis. It causes swelling in the tissues under the tongue and in. Abscess Under Tongue.
From www.ekdantamclinic.com
Tooth Abscess Stages, Complications, Symptoms and Causes Ekdantam Clinic Abscess Under Tongue Considered a type of cellulitis, ludwig’s angina spreads rapidly to infect the soft tissues underneath your tongue. If you’ve developed an abscess (a pocket of pus), they’ll drain the infection and remove any stones or other blockages. It often develops after an. In 9 of 10 cases, the infection starts in the second or third molar in your lower. Ludwig. Abscess Under Tongue.
From www.acep.org
Abscess Evaluation Sonoguide Abscess Under Tongue Ludwig angina is a type of bacterial infection that occurs in the floor of the mouth, under the tongue. In most cases, ludwig's angina is successfully treated with antibiotics unless complications arise. The most common cause of ludwig's angina is a tooth infection that spreads, although other conditions (including tongue piercings) can lead to strep and staph bacteria entering the. Abscess Under Tongue.
From rheatoreque.blogspot.com
Kid With Abscess On Gum Dental Abscess In A Child Stock Image C008 3595 Science Photo Library Abscess Under Tongue In 9 of 10 cases, the infection starts in the second or third molar in your lower. It causes swelling in the tissues under the tongue and in the neck. Ludwig’s angina is a rare form of cellulitis. Potential causes include canker sores, cysts, or human papillomavirus (hpv). Ludwig angina is a type of bacterial infection that occurs in the. Abscess Under Tongue.
From www.jem-journal.com
Acute Abscess of the Base of the Tongue A Rare But Important Emergency Journal of Emergency Abscess Under Tongue It often develops after an. In 9 of 10 cases, the infection starts in the second or third molar in your lower. Considered a type of cellulitis, ludwig’s angina spreads rapidly to infect the soft tissues underneath your tongue. It causes swelling in the tissues under the tongue and in the neck. Potential causes include canker sores, cysts, or human. Abscess Under Tongue.
From www.directorioodontologico.info
What Does an Abscess on the Gum Look Like? Directorio Odontológico Abscess Under Tongue It often develops after an. Bumps under the tongue can be harmless, or they can occur due to an underlying condition. Potential causes include canker sores, cysts, or human papillomavirus (hpv). It causes swelling in the tissues under the tongue and in the neck. The most common cause of ludwig's angina is a tooth infection that spreads, although other conditions. Abscess Under Tongue.
From www.semanticscholar.org
Figure 1 from Primary lingual abscess presenting as acute swelling of the tongue obstructing the Abscess Under Tongue Ludwig angina is a type of bacterial infection that occurs in the floor of the mouth, under the tongue. Potential causes include canker sores, cysts, or human papillomavirus (hpv). Considered a type of cellulitis, ludwig’s angina spreads rapidly to infect the soft tissues underneath your tongue. It causes swelling in the tissues under the tongue and in the neck. The. Abscess Under Tongue.
From www.medicalimages.com
STOCK IMAGE, oral medicine submandibular gland swelling large lump under the tongue of a 28 year Abscess Under Tongue The most common cause of ludwig's angina is a tooth infection that spreads, although other conditions (including tongue piercings) can lead to strep and staph bacteria entering the tissue. Ludwig angina is a type of bacterial infection that occurs in the floor of the mouth, under the tongue. The swelling can be so severe that it cuts off the person’s. Abscess Under Tongue.
From www.medicalimages.com
STOCK IMAGE, oral medicine submandibular gland swelling large lump under the tongue of a 28 year Abscess Under Tongue It often develops after an. In 9 of 10 cases, the infection starts in the second or third molar in your lower. Potential causes include canker sores, cysts, or human papillomavirus (hpv). If you’ve developed an abscess (a pocket of pus), they’ll drain the infection and remove any stones or other blockages. The most common cause of ludwig's angina is. Abscess Under Tongue.
From narodnatribuna.info
Gingival Abscess Prevention And Treatment Abscess Under Tongue Bumps under the tongue can be harmless, or they can occur due to an underlying condition. In most cases, ludwig's angina is successfully treated with antibiotics unless complications arise. An abscessed tooth (tooth infection) causes ludwig’s angina. Ludwig’s angina is a rare form of cellulitis. The most common cause of ludwig's angina is a tooth infection that spreads, although other. Abscess Under Tongue.
From www.youtube.com
QUINCY/PERITONSILLAR ABSCESS, CAUSES,SIGNS,SYMPTOMS, DIAGNOSIS AND TREATMENT YouTube Abscess Under Tongue In most cases, ludwig's angina is successfully treated with antibiotics unless complications arise. The swelling can be so severe that it cuts off the person’s airways. An abscessed tooth (tooth infection) causes ludwig’s angina. Considered a type of cellulitis, ludwig’s angina spreads rapidly to infect the soft tissues underneath your tongue. If you’ve developed an abscess (a pocket of pus),. Abscess Under Tongue.
From www.researchgate.net
Abscess of the root of the tongue. Contrastenhanced CT scan shows a... Download Scientific Abscess Under Tongue In 9 of 10 cases, the infection starts in the second or third molar in your lower. The swelling can be so severe that it cuts off the person’s airways. Ludwig angina is a type of bacterial infection that occurs in the floor of the mouth, under the tongue. It causes swelling in the tissues under the tongue and in. Abscess Under Tongue.
From dtjournal.org
Abscess of the Left Tongue Abscess Under Tongue The swelling can be so severe that it cuts off the person’s airways. An abscessed tooth (tooth infection) causes ludwig’s angina. Considered a type of cellulitis, ludwig’s angina spreads rapidly to infect the soft tissues underneath your tongue. If you’ve developed an abscess (a pocket of pus), they’ll drain the infection and remove any stones or other blockages. Ludwig angina. Abscess Under Tongue.
From emeralddental.in
TYPES OF DENTAL ABSCESS EMERALD DENTAL Abscess Under Tongue If you’ve developed an abscess (a pocket of pus), they’ll drain the infection and remove any stones or other blockages. In 9 of 10 cases, the infection starts in the second or third molar in your lower. Considered a type of cellulitis, ludwig’s angina spreads rapidly to infect the soft tissues underneath your tongue. An abscessed tooth (tooth infection) causes. Abscess Under Tongue.
From sciencephoto.com
Abscess in the lower jaw Stock Image C010/6655 Science Photo Library Abscess Under Tongue It causes swelling in the tissues under the tongue and in the neck. In 9 of 10 cases, the infection starts in the second or third molar in your lower. Ludwig angina is a type of bacterial infection that occurs in the floor of the mouth, under the tongue. If you’ve developed an abscess (a pocket of pus), they’ll drain. Abscess Under Tongue.
From medicine.uiowa.edu
Submandibular abscess from stone (sialolithiasis, neck abscess) Iowa Head and Neck Protocols Abscess Under Tongue In most cases, ludwig's angina is successfully treated with antibiotics unless complications arise. Ludwig’s angina is a rare form of cellulitis. If you’ve developed an abscess (a pocket of pus), they’ll drain the infection and remove any stones or other blockages. Ludwig angina is a type of bacterial infection that occurs in the floor of the mouth, under the tongue.. Abscess Under Tongue.
From www.ajnr.org
Tongue Abscesses MR Imaging Findings American Journal of Neuroradiology Abscess Under Tongue Ludwig’s angina is a rare form of cellulitis. If you’ve developed an abscess (a pocket of pus), they’ll drain the infection and remove any stones or other blockages. The swelling can be so severe that it cuts off the person’s airways. It often develops after an. Considered a type of cellulitis, ludwig’s angina spreads rapidly to infect the soft tissues. Abscess Under Tongue.
From www.jem-journal.com
Acute Abscess of the Base of the Tongue A Rare But Important Emergency Journal of Emergency Abscess Under Tongue Potential causes include canker sores, cysts, or human papillomavirus (hpv). Bumps under the tongue can be harmless, or they can occur due to an underlying condition. Ludwig’s angina is a rare form of cellulitis. Ludwig angina is a type of bacterial infection that occurs in the floor of the mouth, under the tongue. It causes swelling in the tissues under. Abscess Under Tongue.