Manual Diff Myelo . Myelocytes are immature granulocytes (a type of white blood cells), that are usually only found in bone marrow. 45 rows a manual blood smear review of all samples was also to be performed, with a manual differential when indicated. Myelocytes are immature white blood cells, primarily found in the bone marrow, and their presence in a peripheral blood sample is. Myeloid leukocytosis triggers a differential diagnosis of myeloid leukemoid reactions versus myeloid malignancies. The complete blood count (cbc) measures the amounts of different cells in the blood, such as the red blood cells, white blood cells, and platelets.
from www.whatifitswhim.com
45 rows a manual blood smear review of all samples was also to be performed, with a manual differential when indicated. Myelocytes are immature granulocytes (a type of white blood cells), that are usually only found in bone marrow. Myeloid leukocytosis triggers a differential diagnosis of myeloid leukemoid reactions versus myeloid malignancies. The complete blood count (cbc) measures the amounts of different cells in the blood, such as the red blood cells, white blood cells, and platelets. Myelocytes are immature white blood cells, primarily found in the bone marrow, and their presence in a peripheral blood sample is.
Uncover WHIM Syndrome Mechanisms CXCR4 Dysregulation + Myelokathexis
Manual Diff Myelo 45 rows a manual blood smear review of all samples was also to be performed, with a manual differential when indicated. Myelocytes are immature granulocytes (a type of white blood cells), that are usually only found in bone marrow. 45 rows a manual blood smear review of all samples was also to be performed, with a manual differential when indicated. Myeloid leukocytosis triggers a differential diagnosis of myeloid leukemoid reactions versus myeloid malignancies. Myelocytes are immature white blood cells, primarily found in the bone marrow, and their presence in a peripheral blood sample is. The complete blood count (cbc) measures the amounts of different cells in the blood, such as the red blood cells, white blood cells, and platelets.
From www.researchgate.net
Various appearances of articular gout on synovial fluid smear Manual Diff Myelo Myelocytes are immature white blood cells, primarily found in the bone marrow, and their presence in a peripheral blood sample is. 45 rows a manual blood smear review of all samples was also to be performed, with a manual differential when indicated. The complete blood count (cbc) measures the amounts of different cells in the blood, such as the red. Manual Diff Myelo.
From www.academia.edu
(PDF) Myeloopticoneuropathy in copper deficiency occurring after Manual Diff Myelo Myeloid leukocytosis triggers a differential diagnosis of myeloid leukemoid reactions versus myeloid malignancies. Myelocytes are immature white blood cells, primarily found in the bone marrow, and their presence in a peripheral blood sample is. The complete blood count (cbc) measures the amounts of different cells in the blood, such as the red blood cells, white blood cells, and platelets. 45. Manual Diff Myelo.
From wiki.clinicalflow.com
Myelodysplastic Syndromes (MDS) Flow Cytometry Manual Diff Myelo Myelocytes are immature white blood cells, primarily found in the bone marrow, and their presence in a peripheral blood sample is. Myelocytes are immature granulocytes (a type of white blood cells), that are usually only found in bone marrow. 45 rows a manual blood smear review of all samples was also to be performed, with a manual differential when indicated.. Manual Diff Myelo.
From www.wikiwand.com
Myeloid tissue Wikiwand Manual Diff Myelo Myeloid leukocytosis triggers a differential diagnosis of myeloid leukemoid reactions versus myeloid malignancies. Myelocytes are immature granulocytes (a type of white blood cells), that are usually only found in bone marrow. Myelocytes are immature white blood cells, primarily found in the bone marrow, and their presence in a peripheral blood sample is. The complete blood count (cbc) measures the amounts. Manual Diff Myelo.
From en.ppt-online.org
WBC pathology. (Subject 11) online presentation Manual Diff Myelo 45 rows a manual blood smear review of all samples was also to be performed, with a manual differential when indicated. Myeloid leukocytosis triggers a differential diagnosis of myeloid leukemoid reactions versus myeloid malignancies. Myelocytes are immature granulocytes (a type of white blood cells), that are usually only found in bone marrow. Myelocytes are immature white blood cells, primarily found. Manual Diff Myelo.
From www.pinterest.co.kr
Myeloblast Highest N/C ratio Finest nuclear chromatin pattern Manual Diff Myelo Myeloid leukocytosis triggers a differential diagnosis of myeloid leukemoid reactions versus myeloid malignancies. 45 rows a manual blood smear review of all samples was also to be performed, with a manual differential when indicated. Myelocytes are immature white blood cells, primarily found in the bone marrow, and their presence in a peripheral blood sample is. Myelocytes are immature granulocytes (a. Manual Diff Myelo.
From www.thebloodproject.com
White Blood Cell Differential Counts • The Blood Project Manual Diff Myelo Myelocytes are immature granulocytes (a type of white blood cells), that are usually only found in bone marrow. The complete blood count (cbc) measures the amounts of different cells in the blood, such as the red blood cells, white blood cells, and platelets. Myeloid leukocytosis triggers a differential diagnosis of myeloid leukemoid reactions versus myeloid malignancies. 45 rows a manual. Manual Diff Myelo.
From www.slideserve.com
PPT Manual differential WBC=218200/ul Blast 1 Promy 1 Myelo 11 Manual Diff Myelo Myeloid leukocytosis triggers a differential diagnosis of myeloid leukemoid reactions versus myeloid malignancies. 45 rows a manual blood smear review of all samples was also to be performed, with a manual differential when indicated. Myelocytes are immature white blood cells, primarily found in the bone marrow, and their presence in a peripheral blood sample is. Myelocytes are immature granulocytes (a. Manual Diff Myelo.
From www.haematologica.org
Morphological evaluation of monocytes and their precursors Haematologica Manual Diff Myelo The complete blood count (cbc) measures the amounts of different cells in the blood, such as the red blood cells, white blood cells, and platelets. Myelocytes are immature granulocytes (a type of white blood cells), that are usually only found in bone marrow. Myeloid leukocytosis triggers a differential diagnosis of myeloid leukemoid reactions versus myeloid malignancies. 45 rows a manual. Manual Diff Myelo.
From www.slideserve.com
PPT Sysmex XE2100 PowerPoint Presentation ID1363808 Manual Diff Myelo The complete blood count (cbc) measures the amounts of different cells in the blood, such as the red blood cells, white blood cells, and platelets. 45 rows a manual blood smear review of all samples was also to be performed, with a manual differential when indicated. Myelocytes are immature granulocytes (a type of white blood cells), that are usually only. Manual Diff Myelo.
From www.studocu.com
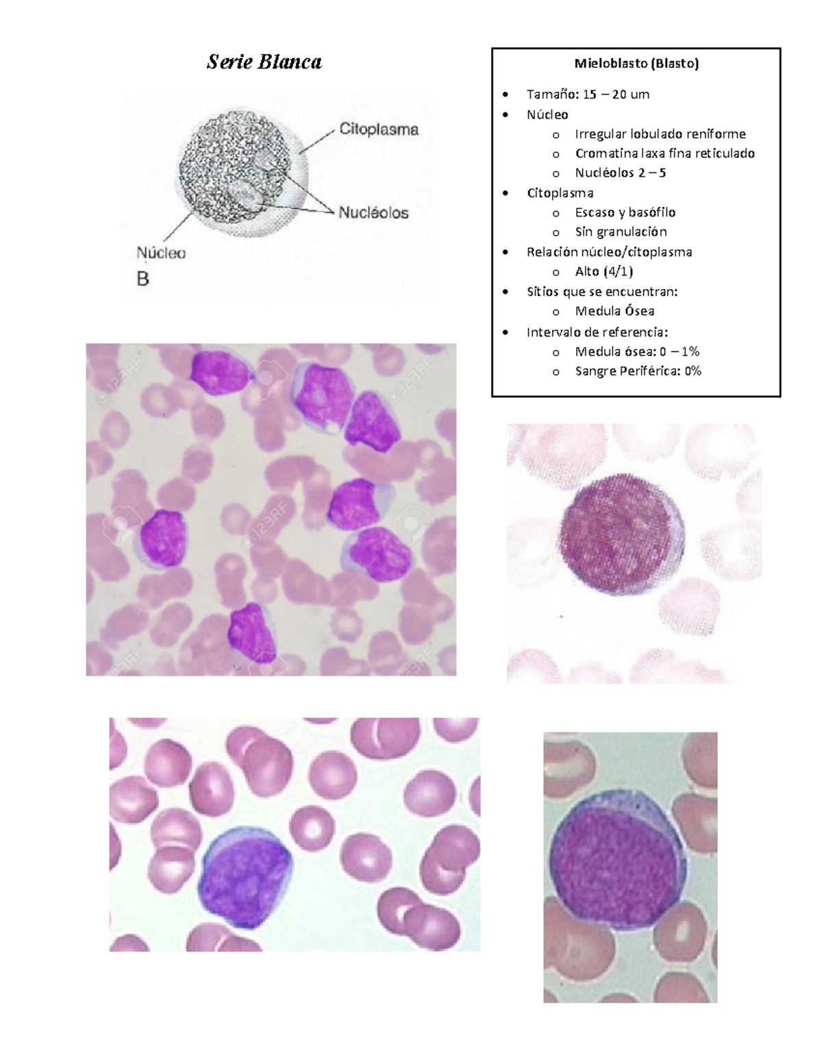
OCSE Hematologia Parte I Serie Blanca Mieloblasto (Blasto) Tamaño 15 Manual Diff Myelo Myelocytes are immature white blood cells, primarily found in the bone marrow, and their presence in a peripheral blood sample is. Myeloid leukocytosis triggers a differential diagnosis of myeloid leukemoid reactions versus myeloid malignancies. The complete blood count (cbc) measures the amounts of different cells in the blood, such as the red blood cells, white blood cells, and platelets. 45. Manual Diff Myelo.
From www.mdpi.com
Diagnostics Free FullText Proteomic Alteration in the Progression Manual Diff Myelo Myelocytes are immature white blood cells, primarily found in the bone marrow, and their presence in a peripheral blood sample is. The complete blood count (cbc) measures the amounts of different cells in the blood, such as the red blood cells, white blood cells, and platelets. Myeloid leukocytosis triggers a differential diagnosis of myeloid leukemoid reactions versus myeloid malignancies. 45. Manual Diff Myelo.
From www.thebloodproject.com
White Blood Cell Counts Cheat Sheet • The Blood Project Manual Diff Myelo Myelocytes are immature white blood cells, primarily found in the bone marrow, and their presence in a peripheral blood sample is. The complete blood count (cbc) measures the amounts of different cells in the blood, such as the red blood cells, white blood cells, and platelets. Myeloid leukocytosis triggers a differential diagnosis of myeloid leukemoid reactions versus myeloid malignancies. 45. Manual Diff Myelo.
From www.slideserve.com
PPT Manual differential WBC=218200/ul Blast 1 Promy 1 Myelo 11 Manual Diff Myelo 45 rows a manual blood smear review of all samples was also to be performed, with a manual differential when indicated. Myelocytes are immature granulocytes (a type of white blood cells), that are usually only found in bone marrow. The complete blood count (cbc) measures the amounts of different cells in the blood, such as the red blood cells, white. Manual Diff Myelo.
From www.pinterest.com
Immature Granulocytes in PBFs 1. Myeloblast Background Information of Manual Diff Myelo 45 rows a manual blood smear review of all samples was also to be performed, with a manual differential when indicated. Myelocytes are immature white blood cells, primarily found in the bone marrow, and their presence in a peripheral blood sample is. The complete blood count (cbc) measures the amounts of different cells in the blood, such as the red. Manual Diff Myelo.
From studylib.net
Hema Diff count notes Manual Diff Myelo The complete blood count (cbc) measures the amounts of different cells in the blood, such as the red blood cells, white blood cells, and platelets. Myeloid leukocytosis triggers a differential diagnosis of myeloid leukemoid reactions versus myeloid malignancies. Myelocytes are immature white blood cells, primarily found in the bone marrow, and their presence in a peripheral blood sample is. Myelocytes. Manual Diff Myelo.
From www.pinterest.es
Pin de Yam Moors en Pathology Hematología, Microbiología, Histología Manual Diff Myelo 45 rows a manual blood smear review of all samples was also to be performed, with a manual differential when indicated. Myelocytes are immature white blood cells, primarily found in the bone marrow, and their presence in a peripheral blood sample is. The complete blood count (cbc) measures the amounts of different cells in the blood, such as the red. Manual Diff Myelo.
From www.semanticscholar.org
Figure 1 from MYELOID NEOPLASIA Loss of Ezh 2 cooperates with Jak 2 V Manual Diff Myelo Myelocytes are immature white blood cells, primarily found in the bone marrow, and their presence in a peripheral blood sample is. The complete blood count (cbc) measures the amounts of different cells in the blood, such as the red blood cells, white blood cells, and platelets. Myelocytes are immature granulocytes (a type of white blood cells), that are usually only. Manual Diff Myelo.
From www.youtube.com
Leukopoiesis Morphology of Myeloid Series cells YouTube Manual Diff Myelo 45 rows a manual blood smear review of all samples was also to be performed, with a manual differential when indicated. Myelocytes are immature white blood cells, primarily found in the bone marrow, and their presence in a peripheral blood sample is. The complete blood count (cbc) measures the amounts of different cells in the blood, such as the red. Manual Diff Myelo.
From www.researchgate.net
Preoperative myeloCT on the cervical spine Download Scientific Diagram Manual Diff Myelo 45 rows a manual blood smear review of all samples was also to be performed, with a manual differential when indicated. Myeloid leukocytosis triggers a differential diagnosis of myeloid leukemoid reactions versus myeloid malignancies. The complete blood count (cbc) measures the amounts of different cells in the blood, such as the red blood cells, white blood cells, and platelets. Myelocytes. Manual Diff Myelo.
From diagnose-multiples-myelom.letscast.fm
Diagnose Multiples Myelom Ein Podcast für Betroffene und Angehörige Manual Diff Myelo Myelocytes are immature granulocytes (a type of white blood cells), that are usually only found in bone marrow. Myelocytes are immature white blood cells, primarily found in the bone marrow, and their presence in a peripheral blood sample is. The complete blood count (cbc) measures the amounts of different cells in the blood, such as the red blood cells, white. Manual Diff Myelo.
From www.slideserve.com
PPT Chapter 17 Blood PowerPoint Presentation, free download ID Manual Diff Myelo Myelocytes are immature white blood cells, primarily found in the bone marrow, and their presence in a peripheral blood sample is. Myelocytes are immature granulocytes (a type of white blood cells), that are usually only found in bone marrow. 45 rows a manual blood smear review of all samples was also to be performed, with a manual differential when indicated.. Manual Diff Myelo.
From medcell.org
Myeloid Cells Lab Manual Diff Myelo Myeloid leukocytosis triggers a differential diagnosis of myeloid leukemoid reactions versus myeloid malignancies. Myelocytes are immature granulocytes (a type of white blood cells), that are usually only found in bone marrow. 45 rows a manual blood smear review of all samples was also to be performed, with a manual differential when indicated. Myelocytes are immature white blood cells, primarily found. Manual Diff Myelo.
From www.researchgate.net
Perturbed myelo/erythropoiesis is transplantable with Lyn / BM. (A) BM Manual Diff Myelo Myeloid leukocytosis triggers a differential diagnosis of myeloid leukemoid reactions versus myeloid malignancies. The complete blood count (cbc) measures the amounts of different cells in the blood, such as the red blood cells, white blood cells, and platelets. 45 rows a manual blood smear review of all samples was also to be performed, with a manual differential when indicated. Myelocytes. Manual Diff Myelo.
From www.researchgate.net
In vitro myeloprotective effect of Phragmitis rhizoma extract and its Manual Diff Myelo The complete blood count (cbc) measures the amounts of different cells in the blood, such as the red blood cells, white blood cells, and platelets. 45 rows a manual blood smear review of all samples was also to be performed, with a manual differential when indicated. Myeloid leukocytosis triggers a differential diagnosis of myeloid leukemoid reactions versus myeloid malignancies. Myelocytes. Manual Diff Myelo.
From jmmultiplemyeloma.blogspot.com
jm's Adventure with Multiple Myeloma Chemotherapy Day 2 Cycle 3 July Manual Diff Myelo Myelocytes are immature white blood cells, primarily found in the bone marrow, and their presence in a peripheral blood sample is. 45 rows a manual blood smear review of all samples was also to be performed, with a manual differential when indicated. The complete blood count (cbc) measures the amounts of different cells in the blood, such as the red. Manual Diff Myelo.
From www.whatifitswhim.com
Uncover WHIM Syndrome Mechanisms CXCR4 Dysregulation + Myelokathexis Manual Diff Myelo Myelocytes are immature granulocytes (a type of white blood cells), that are usually only found in bone marrow. Myeloid leukocytosis triggers a differential diagnosis of myeloid leukemoid reactions versus myeloid malignancies. Myelocytes are immature white blood cells, primarily found in the bone marrow, and their presence in a peripheral blood sample is. The complete blood count (cbc) measures the amounts. Manual Diff Myelo.
From www.haematologica.org
Diagnosis and classification of myelodysplastic syndrome International Manual Diff Myelo 45 rows a manual blood smear review of all samples was also to be performed, with a manual differential when indicated. Myeloid leukocytosis triggers a differential diagnosis of myeloid leukemoid reactions versus myeloid malignancies. Myelocytes are immature white blood cells, primarily found in the bone marrow, and their presence in a peripheral blood sample is. The complete blood count (cbc). Manual Diff Myelo.
From medcell.org
Myeloid Cells Lab Manual Diff Myelo Myeloid leukocytosis triggers a differential diagnosis of myeloid leukemoid reactions versus myeloid malignancies. Myelocytes are immature granulocytes (a type of white blood cells), that are usually only found in bone marrow. 45 rows a manual blood smear review of all samples was also to be performed, with a manual differential when indicated. Myelocytes are immature white blood cells, primarily found. Manual Diff Myelo.
From co.pinterest.com
Promyelocyte Vs Myelocyte In The Neurtrophilic Pictures Hematology Manual Diff Myelo The complete blood count (cbc) measures the amounts of different cells in the blood, such as the red blood cells, white blood cells, and platelets. 45 rows a manual blood smear review of all samples was also to be performed, with a manual differential when indicated. Myelocytes are immature granulocytes (a type of white blood cells), that are usually only. Manual Diff Myelo.
From www.mindray.com
Hemabook Chapter 23 Empowering WBC Differential with Digital Manual Diff Myelo Myelocytes are immature granulocytes (a type of white blood cells), that are usually only found in bone marrow. Myeloid leukocytosis triggers a differential diagnosis of myeloid leukemoid reactions versus myeloid malignancies. Myelocytes are immature white blood cells, primarily found in the bone marrow, and their presence in a peripheral blood sample is. 45 rows a manual blood smear review of. Manual Diff Myelo.
From www.slideserve.com
PPT Manual differential WBC=218200/ul Blast 1 Promy 1 Myelo 11 Manual Diff Myelo Myelocytes are immature white blood cells, primarily found in the bone marrow, and their presence in a peripheral blood sample is. 45 rows a manual blood smear review of all samples was also to be performed, with a manual differential when indicated. The complete blood count (cbc) measures the amounts of different cells in the blood, such as the red. Manual Diff Myelo.
From www.slideserve.com
PPT Manual differential WBC=218200/ul Blast 1 Promy 1 Myelo 11 Manual Diff Myelo The complete blood count (cbc) measures the amounts of different cells in the blood, such as the red blood cells, white blood cells, and platelets. Myelocytes are immature white blood cells, primarily found in the bone marrow, and their presence in a peripheral blood sample is. 45 rows a manual blood smear review of all samples was also to be. Manual Diff Myelo.
From www.whatifitswhim.com
Uncover WHIM Syndrome Mechanisms CXCR4 Dysregulation + Myelokathexis Manual Diff Myelo Myeloid leukocytosis triggers a differential diagnosis of myeloid leukemoid reactions versus myeloid malignancies. The complete blood count (cbc) measures the amounts of different cells in the blood, such as the red blood cells, white blood cells, and platelets. Myelocytes are immature granulocytes (a type of white blood cells), that are usually only found in bone marrow. Myelocytes are immature white. Manual Diff Myelo.
From www.slideserve.com
PPT Manual differential WBC=218200/ul Blast 1 Promy 1 Myelo 11 Manual Diff Myelo The complete blood count (cbc) measures the amounts of different cells in the blood, such as the red blood cells, white blood cells, and platelets. Myelocytes are immature white blood cells, primarily found in the bone marrow, and their presence in a peripheral blood sample is. Myelocytes are immature granulocytes (a type of white blood cells), that are usually only. Manual Diff Myelo.